Spandidos Publications Logo
  • About
    • About Spandidos
    • Aims and Scopes
    • Abstracting and Indexing
    • Editorial Policies
    • Reprints and Permissions
    • Job Opportunities
    • Terms and Conditions
    • Contact
  • Journals
    • All Journals
    • Oncology Letters
      • Oncology Letters
      • Information for Authors
      • Editorial Policies
      • Editorial Board
      • Aims and Scope
      • Abstracting and Indexing
      • Bibliographic Information
      • Archive
    • International Journal of Oncology
      • International Journal of Oncology
      • Information for Authors
      • Editorial Policies
      • Editorial Board
      • Aims and Scope
      • Abstracting and Indexing
      • Bibliographic Information
      • Archive
    • Molecular and Clinical Oncology
      • Molecular and Clinical Oncology
      • Information for Authors
      • Editorial Policies
      • Editorial Board
      • Aims and Scope
      • Abstracting and Indexing
      • Bibliographic Information
      • Archive
    • Experimental and Therapeutic Medicine
      • Experimental and Therapeutic Medicine
      • Information for Authors
      • Editorial Policies
      • Editorial Board
      • Aims and Scope
      • Abstracting and Indexing
      • Bibliographic Information
      • Archive
    • International Journal of Molecular Medicine
      • International Journal of Molecular Medicine
      • Information for Authors
      • Editorial Policies
      • Editorial Board
      • Aims and Scope
      • Abstracting and Indexing
      • Bibliographic Information
      • Archive
    • Biomedical Reports
      • Biomedical Reports
      • Information for Authors
      • Editorial Policies
      • Editorial Board
      • Aims and Scope
      • Abstracting and Indexing
      • Bibliographic Information
      • Archive
    • Oncology Reports
      • Oncology Reports
      • Information for Authors
      • Editorial Policies
      • Editorial Board
      • Aims and Scope
      • Abstracting and Indexing
      • Bibliographic Information
      • Archive
    • Molecular Medicine Reports
      • Molecular Medicine Reports
      • Information for Authors
      • Editorial Policies
      • Editorial Board
      • Aims and Scope
      • Abstracting and Indexing
      • Bibliographic Information
      • Archive
    • World Academy of Sciences Journal
      • World Academy of Sciences Journal
      • Information for Authors
      • Editorial Policies
      • Editorial Board
      • Aims and Scope
      • Abstracting and Indexing
      • Bibliographic Information
      • Archive
    • International Journal of Functional Nutrition
      • International Journal of Functional Nutrition
      • Information for Authors
      • Editorial Policies
      • Editorial Board
      • Aims and Scope
      • Abstracting and Indexing
      • Bibliographic Information
      • Archive
    • International Journal of Epigenetics
      • International Journal of Epigenetics
      • Information for Authors
      • Editorial Policies
      • Editorial Board
      • Aims and Scope
      • Abstracting and Indexing
      • Bibliographic Information
      • Archive
    • Medicine International
      • Medicine International
      • Information for Authors
      • Editorial Policies
      • Editorial Board
      • Aims and Scope
      • Abstracting and Indexing
      • Bibliographic Information
      • Archive
  • Articles
  • Information
    • Information for Authors
    • Information for Reviewers
    • Information for Librarians
    • Information for Advertisers
    • Conferences
  • Language Editing
Spandidos Publications Logo
  • About
    • About Spandidos
    • Aims and Scopes
    • Abstracting and Indexing
    • Editorial Policies
    • Reprints and Permissions
    • Job Opportunities
    • Terms and Conditions
    • Contact
  • Journals
    • All Journals
    • Biomedical Reports
      • Information for Authors
      • Editorial Policies
      • Editorial Board
      • Aims and Scope
      • Abstracting and Indexing
      • Bibliographic Information
      • Archive
    • Experimental and Therapeutic Medicine
      • Information for Authors
      • Editorial Policies
      • Editorial Board
      • Aims and Scope
      • Abstracting and Indexing
      • Bibliographic Information
      • Archive
    • International Journal of Epigenetics
      • Information for Authors
      • Editorial Policies
      • Editorial Board
      • Aims and Scope
      • Abstracting and Indexing
      • Bibliographic Information
      • Archive
    • International Journal of Functional Nutrition
      • Information for Authors
      • Editorial Policies
      • Editorial Board
      • Aims and Scope
      • Abstracting and Indexing
      • Bibliographic Information
      • Archive
    • International Journal of Molecular Medicine
      • Information for Authors
      • Editorial Policies
      • Editorial Board
      • Aims and Scope
      • Abstracting and Indexing
      • Bibliographic Information
      • Archive
    • International Journal of Oncology
      • Information for Authors
      • Editorial Policies
      • Editorial Board
      • Aims and Scope
      • Abstracting and Indexing
      • Bibliographic Information
      • Archive
    • Medicine International
      • Information for Authors
      • Editorial Policies
      • Editorial Board
      • Aims and Scope
      • Abstracting and Indexing
      • Bibliographic Information
      • Archive
    • Molecular and Clinical Oncology
      • Information for Authors
      • Editorial Policies
      • Editorial Board
      • Aims and Scope
      • Abstracting and Indexing
      • Bibliographic Information
      • Archive
    • Molecular Medicine Reports
      • Information for Authors
      • Editorial Policies
      • Editorial Board
      • Aims and Scope
      • Abstracting and Indexing
      • Bibliographic Information
      • Archive
    • Oncology Letters
      • Information for Authors
      • Editorial Policies
      • Editorial Board
      • Aims and Scope
      • Abstracting and Indexing
      • Bibliographic Information
      • Archive
    • Oncology Reports
      • Information for Authors
      • Editorial Policies
      • Editorial Board
      • Aims and Scope
      • Abstracting and Indexing
      • Bibliographic Information
      • Archive
    • World Academy of Sciences Journal
      • Information for Authors
      • Editorial Policies
      • Editorial Board
      • Aims and Scope
      • Abstracting and Indexing
      • Bibliographic Information
      • Archive
  • Articles
  • Information
    • For Authors
    • For Reviewers
    • For Librarians
    • For Advertisers
    • Conferences
  • Language Editing
Login Register Submit
  • This site uses cookies
  • You can change your cookie settings at any time by following the instructions in our Cookie Policy. To find out more, you may read our Privacy Policy.

    I agree
Search articles by DOI, keyword, author or affiliation
Search
Advanced Search
presentation
International Journal of Oncology
Join Editorial Board Propose a Special Issue
Print ISSN: 1019-6439 Online ISSN: 1791-2423
Journal Cover
October-2024 Volume 65 Issue 4

Full Size Image

Cover Legend PDF

Sign up for eToc alerts
Recommend to Library

Journals

International Journal of Molecular Medicine

International Journal of Molecular Medicine

International Journal of Molecular Medicine is an international journal devoted to molecular mechanisms of human disease.

International Journal of Oncology

International Journal of Oncology

International Journal of Oncology is an international journal devoted to oncology research and cancer treatment.

Molecular Medicine Reports

Molecular Medicine Reports

Covers molecular medicine topics such as pharmacology, pathology, genetics, neuroscience, infectious diseases, molecular cardiology, and molecular surgery.

Oncology Reports

Oncology Reports

Oncology Reports is an international journal devoted to fundamental and applied research in Oncology.

Experimental and Therapeutic Medicine

Experimental and Therapeutic Medicine

Experimental and Therapeutic Medicine is an international journal devoted to laboratory and clinical medicine.

Oncology Letters

Oncology Letters

Oncology Letters is an international journal devoted to Experimental and Clinical Oncology.

Biomedical Reports

Biomedical Reports

Explores a wide range of biological and medical fields, including pharmacology, genetics, microbiology, neuroscience, and molecular cardiology.

Molecular and Clinical Oncology

Molecular and Clinical Oncology

International journal addressing all aspects of oncology research, from tumorigenesis and oncogenes to chemotherapy and metastasis.

World Academy of Sciences Journal

World Academy of Sciences Journal

Multidisciplinary open-access journal spanning biochemistry, genetics, neuroscience, environmental health, and synthetic biology.

International Journal of Functional Nutrition

International Journal of Functional Nutrition

Open-access journal combining biochemistry, pharmacology, immunology, and genetics to advance health through functional nutrition.

International Journal of Epigenetics

International Journal of Epigenetics

Publishes open-access research on using epigenetics to advance understanding and treatment of human disease.

Medicine International

Medicine International

An International Open Access Journal Devoted to General Medicine.

Journal Cover
October-2024 Volume 65 Issue 4

Full Size Image

Cover Legend PDF

Sign up for eToc alerts
Recommend to Library

  • Article
  • Citations
    • Cite This Article
    • Download Citation
    • Create Citation Alert
    • Remove Citation Alert
    • Cited By
  • Similar Articles
    • Related Articles (in Spandidos Publications)
    • Similar Articles (Google Scholar)
    • Similar Articles (PubMed)
  • Download PDF
  • Download XML
  • View XML

  • Supplementary Files
    • Supplementary_Data1.pdf
    • Supplementary_Data2.pdf
Article Open Access

Transcription factor E2F4 facilitates SUMOylation to promote HCC progression through interaction with LIN9

  • Authors:
    • Zhenwei Ma
    • Qilan Li
    • Wenjing Wang
    • Zhengdong Deng
  • View Affiliations / Copyright

    Affiliations: Department of Hepatobiliary and Pancreatic Surgery, Tianyou Hospital, Wuhan University of Science and Technology, Wuhan, Hubei 430064, P.R. China, Department of Critical Care Medicine, Union Hospital, Tongji Medical College, Huazhong University of Science and Technology, Wuhan, Hubei 430022, P.R. China, Department of Pediatric Surgery, Tongji Hospital, Tongji Medical College, Huazhong University of Science and Technology, Wuhan, Hubei 430030, P.R. China
    Copyright: © Ma et al. This is an open access article distributed under the terms of Creative Commons Attribution License.
  • Article Number: 98
    |
    Published online on: September 2, 2024
       https://doi.org/10.3892/ijo.2024.5686
  • Expand metrics +
Metrics: Total Views: 0 (Spandidos Publications: | PMC Statistics: )
Metrics: Total PDF Downloads: 0 (Spandidos Publications: | PMC Statistics: )
Cited By (CrossRef): 0 citations Loading Articles...

This article is mentioned in:



Abstract

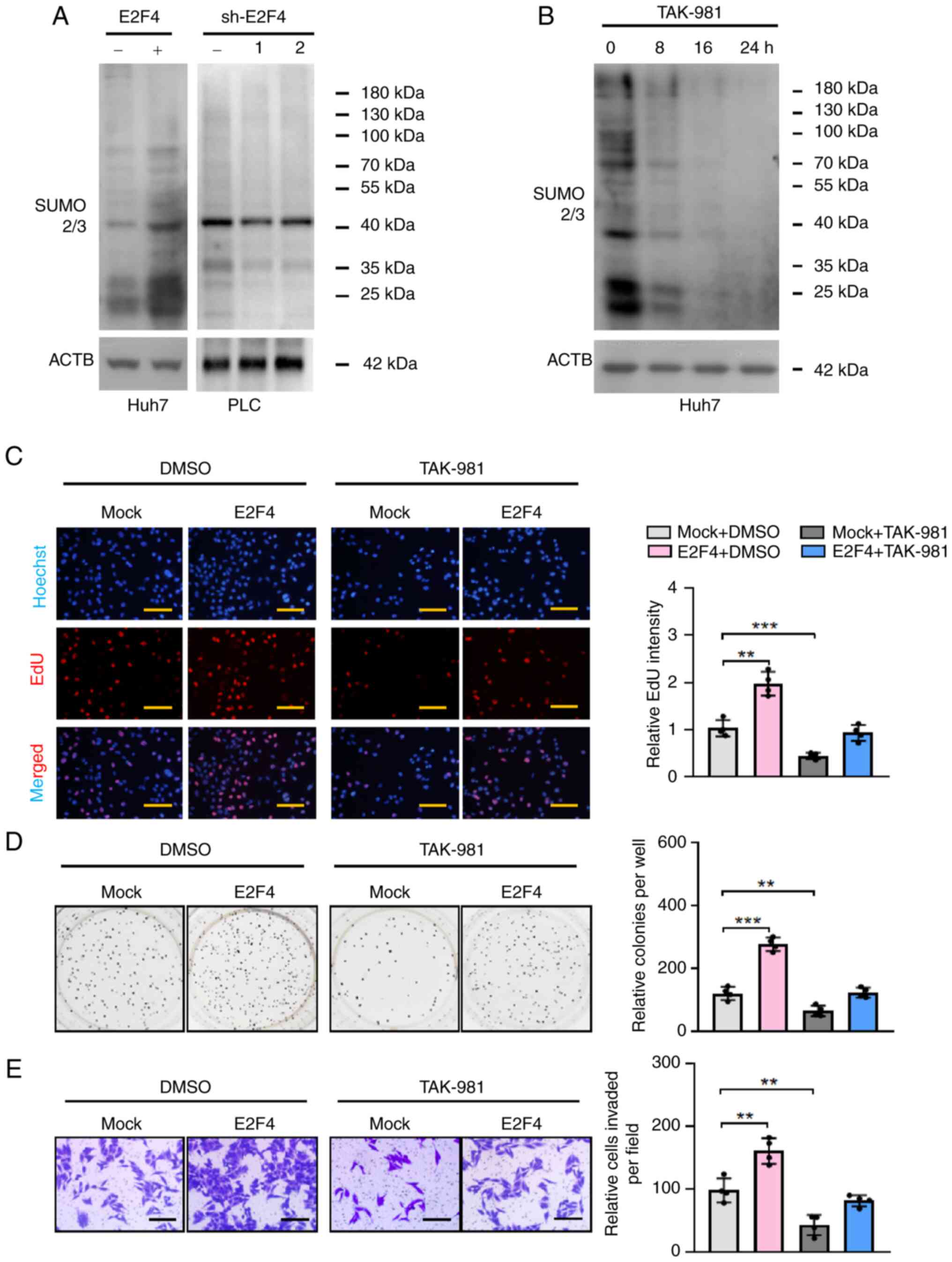
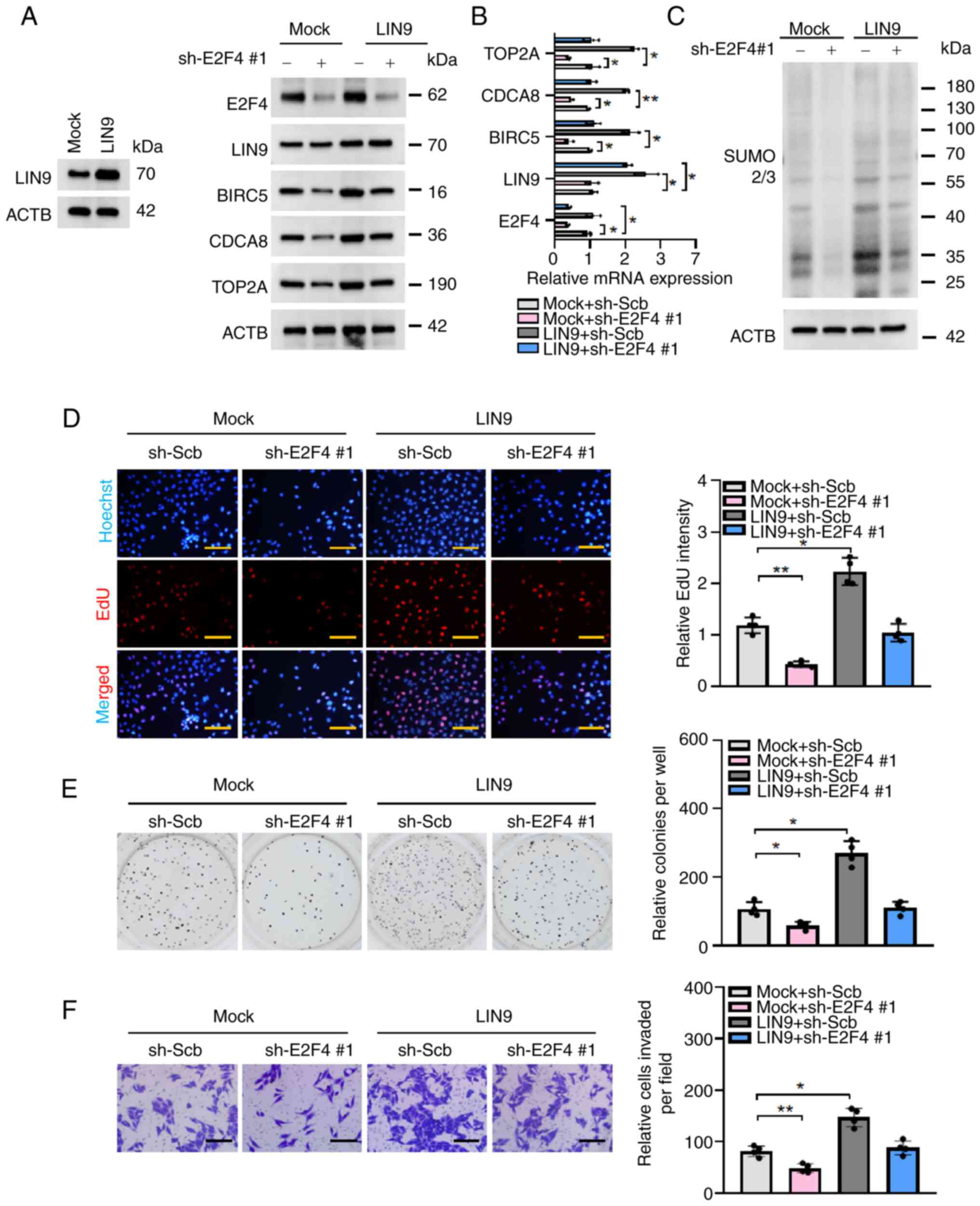
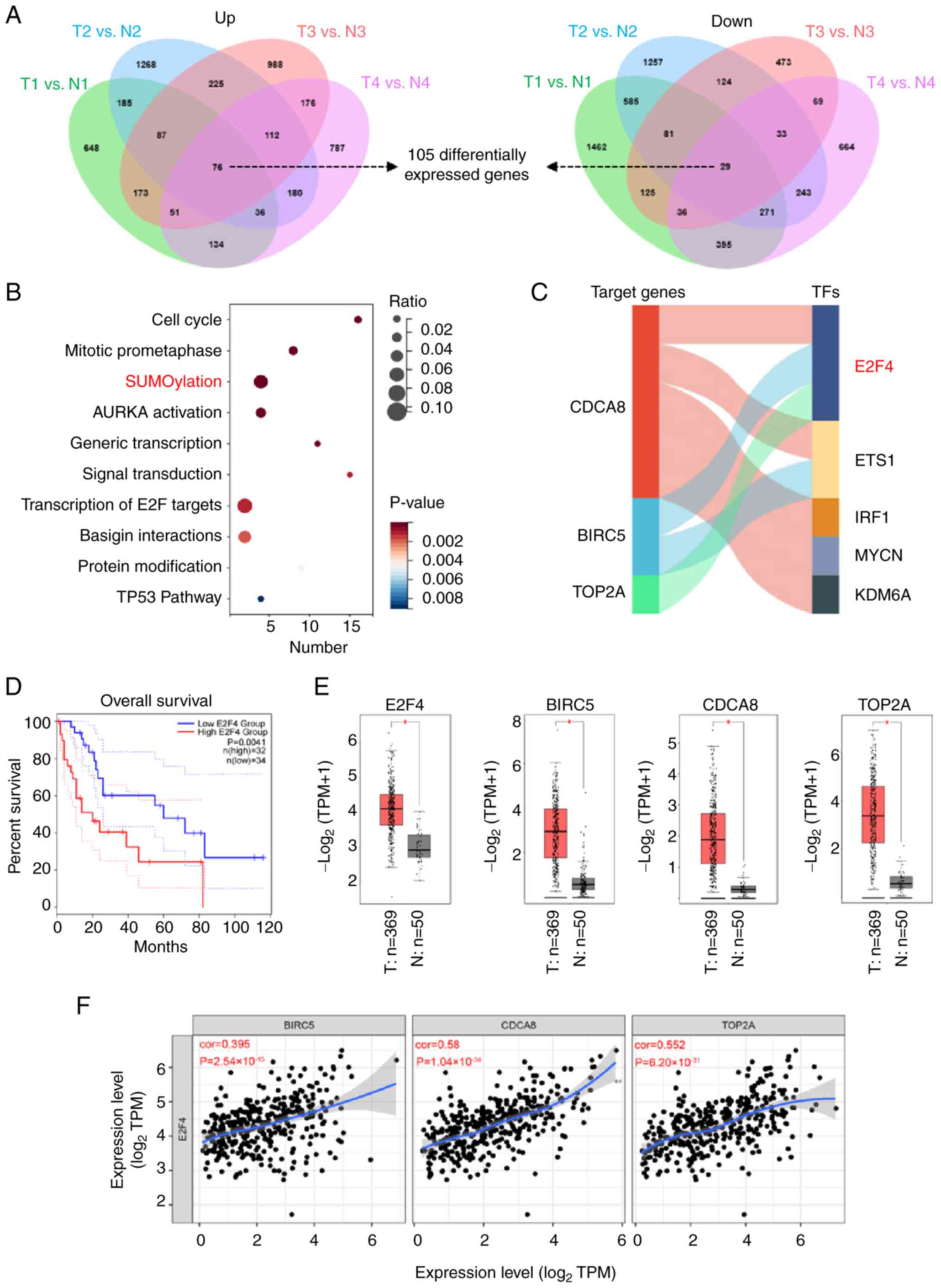
SUMOylation plays a crucial role in numerous cellular biological and pathophysiological processes associated with human disease; however, the mechanisms regulating the genes involved in SUMOylation remain unclear. In the present study, E2F transcription factor 4 (E2F4) was identified as an E2F member related to hepatocellular carcinoma (HCC) progression by public database analysis. It was found that E2F4 promoted the proliferation and invasiveness of HCC cells via SUMOylation using Soft agar and Transwell migration assays. Mechanistically, it was demonstrated that E2F4 upregulated the transcript and protein expression levels of baculoviral IAP repeat containing 5, cell division cycle associated 8 and DNA topoisomerase II α using western blotting. Furthermore, the interaction between E2F4 with lin‑9 DREAM multi‑vulva class B core complex component (LIN9) was explored by co‑immunoprecipitation, immunofluorescence co‑localization and bimolecular fluorescence complementation assays. Moreover, it was demonstrated that E2F4 promoted the progression of HCC cells via LIN9. Rescue experiments revealed that LIN9 facilitated the SUMOylation and proliferation of HCC cells, which was prevented by knocking down E2F4 expression. In conclusion, the findings of the present study indicated that E2F4 plays a major role in the proliferation of HCC cells and may be a potential therapeutic target in the future.
View Figures

Figure 1

Figure 2

Figure 3

Figure 4

Figure 5

Figure 6

View References

1 

Bray F, Laversanne M, Sung H, Ferlay J, Siegel RL, Soerjomataram I and Jemal A: Global cancer statistics 2022: GLOBOCAN estimates of incidence and mortality worldwide for 36 cancers in 185 countries. CA Cancer J Clin. 74:229–263. 2024. View Article : Google Scholar : PubMed/NCBI

2 

Facciorusso A: Drug-eluting beads transarterial chemoembolization for hepatocellular carcinoma: Current state of the art. World J Gastroenterol. 24:161–169. 2018. View Article : Google Scholar : PubMed/NCBI

3 

El-Serag HB, Marrero JA, Rudolph L and Reddy KR: Diagnosis and treatment of hepatocellular carcinoma. Gastroenterology. 134:1752–1763. 2008. View Article : Google Scholar : PubMed/NCBI

4 

Shen RR, Zhou AY, Kim E, O'Connell JT, Hagerstrand D, Beroukhim R and Hahn WC: TRAF2 is an NF-κB-activating oncogene in epithelial cancers. Oncogene. 34:209–216. 2015. View Article : Google Scholar

5 

Sunami Y, Ringelhan M, Kokai E, Lu M, O'Connor T, Lorentzen A, Weber A, Rodewald AK, Müllhaupt B, Terracciano L, et al: Canonical NF-κB signaling in hepatocytes acts as a tumor-suppressor in hepatitis B virus surface antigen-driven hepatocellular carcinoma by controlling the unfolded protein response. Hepatology. 63:1592–1607. 2016. View Article : Google Scholar : PubMed/NCBI

6 

Liang X, Yao J, Cui D, Zheng W, Liu Y, Lou G, Ye B, Shui L, Sun Y, Zhao Y and Zheng M: The TRAF2-p62 axis promotes proliferation and survival of liver cancer by activating mTORC1 pathway. Cell Death Differ. 30:1550–1562. 2023. View Article : Google Scholar : PubMed/NCBI

7 

Tian Y, Kuo CF, Sir D, Wang L, Govindarajan S, Petrovic LM and Ou JH: Autophagy inhibits oxidative stress and tumor suppressors to exert its dual effect on hepatocarcinogenesis. Cell Death Differ. 22:1025–1034. 2015. View Article : Google Scholar :

8 

Chang HM and Yeh ETHH: SUMO: From bench to bedside. Physiol Rev. 100:1599–1619. 2020. View Article : Google Scholar : PubMed/NCBI

9 

Seeler JS and Dejean A: SUMO and the robustness of cancer. Nat Rev Cancer. 17:184–197. 2017. View Article : Google Scholar : PubMed/NCBI

10 

Eifler K and Vertegaal ACO: SUMOylation-mediated regulation of cell cycle progression and cancer. Trends Biochem Sci. 40:779–793. 2015. View Article : Google Scholar : PubMed/NCBI

11 

Souza RF, Yin J, Smolinski KN, Zou TT, Wang S, Shi YQ, Rhyu MG, Cottrell J, Abraham JM, Biden K, et al: Frequent mutation of the E2F-4 cell cycle gene in primary human gastrointestinal tumors. Cancer Res. 57:2350–2353. 1997.PubMed/NCBI

12 

Wang D, Russell JL and Johnson DG: E2F4 and E2F1 have similar proliferative properties but different apoptotic and oncogenic properties in vivo. Mol Cell Biol. 20:3417–3424. 2000. View Article : Google Scholar : PubMed/NCBI

13 

Schwemmle S and Pfeifer GP: Genomic structure and mutation screening of the E2F4 gene in human tumors. Int J Cancer. 86:672–677. 2000. View Article : Google Scholar : PubMed/NCBI

14 

Zamani-Ahmadmahmudi M, Najafi A and Nassiri SM: Reconstruction of canine diffuse large B-cell lymphoma gene regulatory network: Detection of functional modules and hub genes. J Comp Pathol. 152:119–130. 2015. View Article : Google Scholar : PubMed/NCBI

15 

Cheng C, Varn FS and Marsit CJ: E2F4 program is predictive of progression and intravesical immunotherapy efficacy in bladder cancer. Mol Cancer Res. 13:1316–1324. 2015. View Article : Google Scholar : PubMed/NCBI

16 

Molina-Privado I, Jiménez-P R, Montes-Moreno S, Chiodo Y, Rodríguez-Martínez M, Sánchez-Verde L, Iglesias T, Piris MA and Campanero MR: E2F4 plays a key role in Burkitt lymphoma tumorigenesis. Leukemia. 26:2277–2285. 2012. View Article : Google Scholar : PubMed/NCBI

17 

Rakha EA, Pinder SE, Paish EC, Robertson JF and Ellis IO: Expression of E2F-4 in invasive breast carcinomas is associated with poor prognosis. J Pathol. 203:754–761. 2004. View Article : Google Scholar : PubMed/NCBI

18 

Xiao W, Wang J, Wang X, Cai S, Guo Y, Ye L, Li D, Hu A, Jin S, Yuan B, et al: Therapeutic targeting of the USP2-E2F4 axis inhibits autophagic machinery essential for zinc homeostasis in cancer progression. Autophagy. 18:2615–2635. 2022. View Article : Google Scholar : PubMed/NCBI

19 

Gong J, Fan H, Deng J and Zhang Q: LncRNA HAND2-AS1 represses cervical cancer progression by interaction with transcription factor E2F4 at the promoter of C16orf74. J Cell Mol Med. 24:6015–6027. 2020. View Article : Google Scholar : PubMed/NCBI

20 

Paquin MC, Leblanc C, Lemieux E, Bian B and Rivard N: Functional impact of colorectal cancer-associated mutations in the transcription factor E2F4. Int J Oncol. 43:2015–2022. 2013. View Article : Google Scholar : PubMed/NCBI

21 

Feng Y, Li L, Du Y, Peng X and Chen F: E2F4 functions as a tumour suppressor in acute myeloid leukaemia via inhibition of the MAPK signalling pathway by binding to EZH2. J Cell Mol Med. 24:2157–2168. 2020. View Article : Google Scholar : PubMed/NCBI

22 

Garneau H, Paquin MC, Carrier JC and Rivard N: E2F4 expression is required for cell cycle progression of normal intestinal crypt cells and colorectal cancer cells. J Cell Physiol. 221:350–358. 2009. View Article : Google Scholar : PubMed/NCBI

23 

Hlady RA, Sathyanarayan A, Thompson JJ, Zhou D, Wu Q, Pham K, Lee JH, Liu C and Robertson KD: Integrating the epigenome to identify drivers of hepatocellular carcinoma. Hepatology. 69:639–652. 2019. View Article : Google Scholar

24 

Cancer Genome Atlas Research Network: Electronic address: simplewheeler@bcm.edu; Cancer Genome Atlas Research Network: Comprehensive and integrative genomic characterization of hepatocellular carcinoma. Cell. 169:1327–1341.e23. 2017. View Article : Google Scholar

25 

Livak KJ and Schmittgen TD: Analysis of relative gene expression data using real-time quantitative PCR and the 2(-Delta Delta C(T)) method. Methods. 25:402–408. 2001. View Article : Google Scholar

26 

Jiang G, Zheng L, Pu J, Mei H, Zhao J, Huang K, Zeng F and Tong Q: Small RNAs targeting transcription start site induce heparanase silencing through interference with transcription initiation in human cancer cells. PLoS One. 7:e313792012. View Article : Google Scholar : PubMed/NCBI

27 

Fang E, Wang X, Wang J, Hu A, Song H, Yang F, Li D, Xiao W, Chen Y, Guo Y, et al: Therapeutic targeting of YY1/MZF1 axis by MZF1-uPEP inhibits aerobic glycolysis and neuroblastoma progression. Theranostics. 10:1555–1571. 2020. View Article : Google Scholar : PubMed/NCBI

28 

Li H, Yang F, Hu A, Wang X, Fang E, Chen Y, Li D, Song H, Wang J, Guo Y, et al: Therapeutic targeting of circ-CUX1/EWSR1/MAZ axis inhibits glycolysis and neuroblastoma progression. EMBO Mol Med. 11:e108352019. View Article : Google Scholar : PubMed/NCBI

29 

Fang E, Wang X, Yang F, Hu A, Wang J, Li D, Song H, Hong M, Guo Y, Liu Y, et al: Therapeutic targeting of MZF1-AS1/PARP1/E2F1 axis inhibits proline synthesis and neuroblastoma progression. Adv Sci (Weinh). 6:19005812019. View Article : Google Scholar : PubMed/NCBI

30 

Zhou Y, Zhou B, Pache L, Chang M, Khodabakhshi AH, Tanaseichuk O, Benner C and Chanda SK: Metascape provides a biologist-oriented resource for the analysis of systems-level datasets. Nat Commun. 10:15232019. View Article : Google Scholar : PubMed/NCBI

31 

Tang Z, Kang B, Li C, Chen T and Zhang Z: GEPIA2: An enhanced web server for large-scale expression profiling and interactive analysis. Nucleic Acids Res. 47(W1): W556–W560. 2019. View Article : Google Scholar : PubMed/NCBI

32 

Li T, Fan J, Wang B, Traugh N, Chen Q, Liu JS, Li B and Liu XS: TIMER: A web server for comprehensive analysis of tumor-infiltrating immune cells. Cancer Res. 77:e108–e110. 2017. View Article : Google Scholar : PubMed/NCBI

33 

Chen Q, Li F, Zhong C, Zou Y, Li Z, Gao Y, Zou Q, Xia Y, Wang K and Shen F: Inflammation score system using preoperative inflammatory markers to predict prognosis for hepatocellular carcinoma after hepatectomy: A cohort study. J Cancer. 11:4947–4956. 2020. View Article : Google Scholar : PubMed/NCBI

34 

Jiang Y, Sun A, Zhao Y, Ying W, Sun H, Yang X, Xing B, Sun W, Ren L, Hu B, et al: Proteomics identifies new therapeutic targets of early-stage hepatocellular carcinoma. Nature. 567:257–261. 2019. View Article : Google Scholar : PubMed/NCBI

35 

Clark DJ, Dhanasekaran SM, Petralia F, Pan J, Song X, Hu Y, da Veiga Leprevost F, Reva B, Lih TSM, Chang HY, et al: Integrated proteogenomic characterization of clear cell renal cell carcinoma. Cell. 180:2072020. View Article : Google Scholar : PubMed/NCBI

36 

Du Y, Hou G, Zhang H, Dou J, He J, Guo Y, Li L, Chen R, Wang Y, Deng R, et al: SUMOylation of the m6A-RNA methyltransferase METTL3 modulates its function. Nucleic Acids Res. 46:5195–5208. 2018. View Article : Google Scholar : PubMed/NCBI

37 

Bogachek MV, Park JM, De Andrade JP, Lorenzen AW, Kulak MV, White JR, Gu VW, Wu VT and Weigel RJ: Inhibiting the SUMO pathway represses the cancer stem cell population in breast and colorectal carcinomas. Stem Cell Reports. 7:1140–1151. 2016. View Article : Google Scholar : PubMed/NCBI

38 

He X, Riceberg J, Soucy T, Koenig E, Minissale J, Gallery M, Bernard H, Yang X, Liao H, Rabino C, et al: Probing the roles of SUMOylation in cancer cell biology by using a selective SAE inhibitor. Nat Chem Biol. 13:1164–1171. 2017. View Article : Google Scholar : PubMed/NCBI

39 

Hay RT: SUMO: A history of modification. Mol Cell. 18:1–12. 2005. View Article : Google Scholar : PubMed/NCBI

40 

Gareau JR and Lima CD: The SUMO pathway: Emerging mechanisms that shape specificity, conjugation and recognition. Nat Rev Mol Cell Biol. 11:861–871. 2010. View Article : Google Scholar : PubMed/NCBI

41 

Geiss-Friedlander R and Melchior F: Concepts in sumoylation: A decade on. Nat Rev Mol Cell Biol. 8:947–956. 2007. View Article : Google Scholar : PubMed/NCBI

42 

Yu B, Swatkoski S, Holly A, Lee LC, Giroux V, Lee CS, Hsu D, Smith JL, Yuen G, Yue J, et al: Oncogenesis driven by the Ras/Raf pathway requires the SUMO E2 ligase Ubc9. Proc Natl Acad Sci USA. 112:E1724–E1733. 2015. View Article : Google Scholar : PubMed/NCBI

43 

Zhang J, Tan GL, Jiang M, Wang TS, Liu GH, Xiong SS and Qing X: Effects of SENP1-induced deSUMOylation of STAT1 on proliferation and invasion in nasopharyngeal carcinoma. Cell Signal. 101:1105302023. View Article : Google Scholar

44 

Wang Z, Pan B, Su L, Yu H, Wu X, Yao Y, Zhang X, Qiu J and Tang N: SUMOylation inhibitors activate anti-tumor immunity by reshaping the immune microenvironment in a preclinical model of hepatocellular carcinoma. Cell Oncol (Dordr). 47:513–532. 2024. View Article : Google Scholar

45 

Wang B, Li X, Zhao G, Yan H, Dong P, Watari H, Sims M, Li W, Pfeffer LM, Guo Y and Yue J: miR-203 inhibits ovarian tumor metastasis by targeting BIRC5 and attenuating the TGFβ pathway. J Exp Clin Cancer Res. 37:2352018. View Article : Google Scholar

46 

Kelly RJ, Lopez-Chavez A, Citrin D, Janik JE and Morris JC: Impacting tumor cell-fate by targeting the inhibitor of apoptosis protein survivin. Mol Cancer. 10:352011. View Article : Google Scholar : PubMed/NCBI

47 

Xu R, Lin L, Zhang B, Wang J, Zhao F, Liu X and Li Y and Li Y: Identification of prognostic markers for hepatocellular carcinoma based on the epithelial-mesenchymal transition-related gene BIRC5. BMC Cancer. 21:6872021. View Article : Google Scholar : PubMed/NCBI

48 

Tian LL, Qian B, Jiang XH, Liu YS, Chen T, Jia CY, Zhou YL, Liu JB, Ma YS, Fu D and Ding ST: MicroRNA-497-5p is downregulated in hepatocellular carcinoma and associated with tumorigenesis and poor prognosis in patients. Int J Genomics. 2021:66703902021. View Article : Google Scholar : PubMed/NCBI

49 

Zhang M, Yan X, Wen P, Bai W and Zhang Q: CircANKRD52 promotes the tumorigenesis of hepatocellular carcinoma by sponging miR-497-5p and upregulating BIRC5 expression. Cell Transplant. 30:96368972110088742021. View Article : Google Scholar : PubMed/NCBI

50 

Zhang C, Zhao L, Leng L, Zhou Q, Zhang S, Gong F, Xie P and Lin G: CDCA8 regulates meiotic spindle assembly and chromosome segregation during human oocyte meiosis. Gene. 741:1444952020. View Article : Google Scholar : PubMed/NCBI

51 

Yamanaka Y, Heike T, Kumada T, Shibata M, Takaoka Y, Kitano A, Shiraishi K, Kato T, Nagato M, Okawa K, et al: Loss of Borealin/DasraB leads to defective cell proliferation, p53 accumulation and early embryonic lethality. Mech Dev. 125:441–450. 2008. View Article : Google Scholar : PubMed/NCBI

52 

Cui Y and Jiang N: CDCA8 facilitates tumor proliferation and predicts a poor prognosis in hepatocellular carcinoma. Appl Biochem Biotechnol. 196:1481–1492. 2024. View Article : Google Scholar

53 

Nielsen CF, Zhang T, Barisic M, Kalitsis P and Hudson DF: Topoisomerase IIα is essential for maintenance of mitotic chromosome structure. Proc Natl Acad Sci USA. 117:12131–12142. 2020. View Article : Google Scholar

54 

Zhong W, Yang Y, Zhang A, Lin W, Liang G, Ling Y, Zhong J, Yong J, Liu Z, Tian Z, et al: Prognostic and predictive value of the combination of TOP2A and HER2 in node-negative tumors 2 cm or smaller (T1N0) breast cancer. Breast Cancer. 27:1147–1157. 2020. View Article : Google Scholar : PubMed/NCBI

55 

Shen S, Kong J, Qiu Y, Yang X, Wang W and Yan L: Identification of core genes and outcomes in hepatocellular carcinoma by bioinformatics analysis. J Cell Biochem. 120:10069–10081. 2019. View Article : Google Scholar

56 

Gao X, Wang X and Zhang S: Bioinformatics identification of crucial genes and pathways associated with hepatocellular carcinoma. Biosci Rep. 38:BSR201814412018. View Article : Google Scholar : PubMed/NCBI

57 

Meng J, Wei Y, Deng Q, Li L and Li X: Study on the expression of TOP2A in hepatocellular carcinoma and its relationship with patient prognosis. Cancer Cell Int. 22:292022. View Article : Google Scholar : PubMed/NCBI

58 

Wang K, Jiang X, Jiang Y, Liu J, Du Y, Zhang Z, Li Y, Zhao X, Li J and Zhang R: EZH2-H3K27me3-mediated silencing of mir-139-5p inhibits cellular senescence in hepatocellular carcinoma by activating TOP2A. J Exp Clin Cancer Res. 42:3202023. View Article : Google Scholar : PubMed/NCBI

59 

Zhao HC, Chen CZ, Tian YZ, Song HQ, Wang XX, Li YJ, He JF and Zhao HL: CD168+ macrophages promote hepatocellular carcinoma tumor stemness and progression through TOP2A/β-catenin/YAP1 axis. iScience. 26:1068622023. View Article : Google Scholar

60 

Yang J, Song K, Krebs TL, Jackson MW and Danielpour D: Rb/E2F4 and Smad2/3 link survivin to TGF-beta-induced apoptosis and tumor progression. Oncogene. 27:5326–5338. 2008. View Article : Google Scholar : PubMed/NCBI

61 

Zwicker J, Lucibello FC, Wolfraim LA, Gross C, Truss M, Engeland K and Müller R: Cell cycle regulation of the cyclin A, cdc25C and cdc2 genes is based on a common mechanism of transcriptional repression. EMBO J. 14:4514–4522. 1995. View Article : Google Scholar : PubMed/NCBI

62 

Ikeda MA, Jakoi L and Nevins JR: A unique role for the Rb protein in controlling E2F accumulation during cell growth and differentiation. Proc Natl Acad Sci USA. 93:3215–3220. 1996. View Article : Google Scholar : PubMed/NCBI

63 

van der Sman J, Thomas NS and Lam EW: Modulation of E2F complexes during G0 to S phase transition in human primary B-lymphocytes. J Biol Chem. 274:12009–12016. 1999. View Article : Google Scholar : PubMed/NCBI

64 

Aksoy O, Chicas A, Zeng T, Zhao Z, McCurrach M, Wang X and Lowe SW: The atypical E2F family member E2F7 couples the p53 and RB pathways during cellular senescence. Genes Dev. 26:1546–1557. 2012. View Article : Google Scholar : PubMed/NCBI

65 

Zheng Q, Fu Q, Xu J, Gu X, Zhou H and Zhi C: Transcription factor E2F4 is an indicator of poor prognosis and is related to immune infiltration in hepatocellular carcinoma. J Cancer. 12:1792–1803. 2021. View Article : Google Scholar : PubMed/NCBI

66 

Huang YL, Ning G, Chen LB, Lian YF, Gu YR, Wang JL, Chen DM, Wei H and Huang YH: Promising diagnostic and prognostic value of E2Fs in human hepatocellular carcinoma. Cancer Manag Res. 11:1725–1740. 2019. View Article : Google Scholar : PubMed/NCBI

67 

Liu J, Xia L, Wang S, Cai X, Wu X, Zou C, Shan B, Luo M and Wang D: E2F4 promotes the proliferation of hepatocellular carcinoma cells through upregulation of CDCA3. J Cancer. 12:5173–5180. 2021. View Article : Google Scholar : PubMed/NCBI

68 

Wei J, Shi Y, Zou C, Zhang H, Peng H, Wang S, Xia L, Yang Y, Zhang X, Liu J, et al: Cellular Id1 inhibits hepatitis B virus transcription by interacting with the novel covalently closed circular DNA-binding protein E2F4. Int J Biol Sci. 18:65–81. 2022. View Article : Google Scholar : PubMed/NCBI

69 

Korenjak M and Brehm A: E2F-Rb complexes regulating transcription of genes important for differentiation and development. Curr Opin Genet Dev. 15:520–527. 2005. View Article : Google Scholar : PubMed/NCBI

70 

Lewis PW, Beall EL, Fleischer TC, Georlette D, Link AJ and Botchan MR: Identification of a Drosophila Myb-E2F2/RBF transcriptional repressor complex. Genes Dev. 18:2929–2940. 2004. View Article : Google Scholar : PubMed/NCBI

71 

Korenjak M, Taylor-Harding B, Binné UK, Satterlee JS, Stevaux O, Aasland R, White-Cooper H, Dyson N and Brehm A: Native E2F/RBF complexes contain Myb-interacting proteins and repress transcription of developmentally controlled E2F target genes. Cell. 119:181–193. 2004. View Article : Google Scholar : PubMed/NCBI

72 

Litovchick L, Sadasivam S, Florens L, Zhu X, Swanson SK, Velmurugan S, Chen R, Washburn MP, Liu XS and DeCaprio JA: Evolutionarily conserved multisubunit RBL2/p130 and E2F4 protein complex represses human cell cycle-dependent genes in quiescence. Mol Cell. 26:539–551. 2007. View Article : Google Scholar : PubMed/NCBI

73 

Sadasivam S, Duan S and DeCaprio JA: The MuvB complex sequentially recruits B-Myb and FoxM1 to promote mitotic gene expression. Genes Dev. 26:474–489. 2012. View Article : Google Scholar : PubMed/NCBI

74 

Fischer M, Grossmann P, Padi M and DeCaprio JA: Integration of TP53, DREAM, MMB-FOXM1 and RB-E2F target gene analyses identifies cell cycle gene regulatory networks. Nucleic Acids Res. 44:6070–6086. 2016. View Article : Google Scholar : PubMed/NCBI

75 

Sadasivam S and DeCaprio JA: The DREAM complex: Master coordinator of cell cycle-dependent gene expression. Nat Rev Cancer. 13:585–595. 2013. View Article : Google Scholar : PubMed/NCBI

76 

MacDonald J, Ramos-Valdes Y, Perampalam P, Litovchick L, DiMattia GE and Dick FA: A systematic analysis of negative growth control implicates the DREAM complex in cancer cell dormancy. Mol Cancer Res. 15:371–381. 2017. View Article : Google Scholar

77 

Wang L and Liu X: Comprehensive analysis of the expression and prognosis for the DREAM complex in human cancers. Front Genet. 13:8147252022. View Article : Google Scholar : PubMed/NCBI

78 

Tan Z, Chen M, Peng F, Yang P, Peng Z, Zhang Z, Li X, Zhu X, Zhang L, Zhao Y and Liu Y: E2F1 as a potential prognostic and therapeutic biomarker by affecting tumor development and immune microenvironment in hepatocellular carcinoma. Transl Cancer Res. 11:2713–2732. 2022. View Article : Google Scholar : PubMed/NCBI

79 

Ito Y, Miyoshi E, Takeda T, Sakon M, Noda K, Tsujimoto M, Monden M, Taniguchi N and Matsuura N: Expression and possible role of ets-1 in hepatocellular carcinoma. Am J Clin Pathol. 114:719–725. 2000. View Article : Google Scholar : PubMed/NCBI

80 

Yan Y, Zheng L, Du Q, Yan B and Geller DA: Interferon regulatory factor 1 (IRF-1) and IRF-2 regulate PD-L1 expression in hepatocellular carcinoma (HCC) cells. Cancer Immunol Immunother. 69:1891–1903. 2020. View Article : Google Scholar : PubMed/NCBI

81 

Qu LH, Fang Q, Yin T, Yi HM, Mei GB, Hong ZZ, Qiu XB, Zhou R and Dong HF: Comprehensive analyses of prognostic biomarkers and immune infiltrates among histone lysine demethylases (KDMs) in hepatocellular carcinoma. Cancer Immunol Immunother. 71:2449–2467. 2022. View Article : Google Scholar : PubMed/NCBI

82 

Nakajima T, Yasui K, Zen K, Inagaki Y, Fujii H, Minami M, Tanaka S, Taniwaki M, Itoh Y, Arii S, et al: Activation of B-Myb by E2F1 in hepatocellular carcinoma. Hepatol Res. 38:886–895. 2008. View Article : Google Scholar

83 

Chen Q, Wang L, Jiang M, Huang J, Jiang Z, Feng H and Ji Z: E2F1 interactive with BRCA1 pathway induces HCC two different small molecule metabolism or cell cycle regulation via mitochondrion or CD4+T to cytosol. J Cell Physiol. 233:1213–1221. 2018. View Article : Google Scholar

84 

Arakawa Y, Kajino K, Kano S, Tobita H, Hayashi J, Yasen M, Moriyama M, Arakawa Y and Hino O: Transcription of dbpA, a Y box binding protein, is positively regulated by E2F1: Implications in hepatocarcinogenesis. Biochem Biophys Res Commun. 322:297–302. 2004. View Article : Google Scholar : PubMed/NCBI

85 

Chen YL, Uen YH, Li CF, Horng KC, Chen LR, Wu WR, Tseng HY, Huang HY, Wu LC and Shiue YL: The E2F transcription factor 1 transactives stathmin 1 in hepatocellular carcinoma. Ann Surg Oncol. 20:4041–4054. 2013. View Article : Google Scholar

86 

Huang Y, Tai AW, Tong S and Lok AS: HBV core promoter mutations promote cellular proliferation through E2F1-mediated upregulation of S-phase kinase-associated protein 2 transcription. J Hepatol. 58:1068–1073. 2013. View Article : Google Scholar : PubMed/NCBI

87 

Farra R, Grassi G, Tonon F, Abrami M, Grassi M, Pozzato G, Fiotti N, Forte G and Dapas B: The role of the transcription factor E2F1 in hepatocellular carcinoma. Curr Drug Deliv. 14:272–281. 2017.

88 

Sun HX, Xu Y, Yang XR, Wang WM, Bai H, Shi RY, Nayar SK, Devbhandari RP, He YZ, Zhu QF, et al: Hypoxia inducible factor 2 alpha inhibits hepatocellular carcinoma growth through the transcription factor dimerization partner 3/E2F transcription factor 1-dependent apoptotic pathway. Hepatology. 57:1088–1097. 2013. View Article : Google Scholar

89 

Choi M, Lee H and Rho HM: E2F1 activates the human p53 promoter and overcomes the repressive effect of hepatitis B viral X protein (Hbx) on the p53 promoter. IUBMB Life. 53:309–317. 2002. View Article : Google Scholar

90 

Wang H, Chu F, Zhijie L, Bi Q, Lixin L, Zhuang Y, Xiaofeng Z, Niu X, Zhang D, Xi H and Li BA: MTBP enhances the activation of transcription factor ETS-1 and promotes the proliferation of hepatocellular carcinoma cells. Front Oncol. 12:9850822022. View Article : Google Scholar : PubMed/NCBI

91 

Bhagyaraj E, Ahuja N, Kumar S, Tiwari D, Gupta S, Nanduri R and Gupta P: TGF-β induced chemoresistance in liver cancer is modulated by xenobiotic nuclear receptor PXR. Cell Cycle. 18:3589–3602. 2019. View Article : Google Scholar : PubMed/NCBI

92 

Shao Z, Li Y, Dai W, Jia H, Zhang Y, Jiang Q, Chai Y, Li X, Sun H, Yang R, et al: ETS-1 induces Sorafenib-resistance in hepatocellular carcinoma cells via regulating transcription factor activity of PXR. Pharmacol Res. 135:188–200. 2018. View Article : Google Scholar : PubMed/NCBI

93 

Li YH, Lv MF, Lu MS and Bi JP: Bone marrow mesenchymal stem cell-derived exosomal MiR-338-3p represses progression of hepatocellular carcinoma by targeting ETS1. J Biol Regul Homeost Agents. 35:617–627. 2021.PubMed/NCBI

94 

Jie Y, Liu G, E M, Li Y, Xu G, Guo J, Li Y, Rong G, Li Y and Gu A: Novel small molecule inhibitors of the transcription factor ETS-1 and their antitumor activity against hepatocellular carcinoma. Eur J Pharmacol. 906:1742142021. View Article : Google Scholar : PubMed/NCBI

95 

Tamura T, Yanai H, Savitsky D and Taniguchi T: The IRF family transcription factors in immunity and oncogenesis. Annu Rev Immunol. 26:535–584. 2008. View Article : Google Scholar : PubMed/NCBI

96 

Li P, Du Q, Cao Z, Guo Z, Evankovich J, Yan W, Chang Y, Shao L, Stolz DB, Tsung A and Geller DA: Interferon-γ induces autophagy with growth inhibition and cell death in human hepatocellular carcinoma (HCC) cells through interferon-regulatory factor-1 (IRF-1). Cancer Lett. 314:213–222. 2012. View Article : Google Scholar

97 

Guo W, Li S, Qian Y, Li L, Wang F, Tong Y, Li Q, Zhu Z, Gao WQ and Liu Y: KDM6A promotes hepatocellular carcinoma progression and dictates lenvatinib efficacy by upregulating FGFR4 expression. Clin Transl Med. 13:e14522023. View Article : Google Scholar : PubMed/NCBI

98 

Li Y, Yang J, Zhang X, Liu H and Guo J: KDM6A suppresses hepatocellular carcinoma cell proliferation by negatively regulating the TGF-β/SMAD signaling pathway. Exp Ther Med. 20:2774–2782. 2020.PubMed/NCBI

Related Articles

  • Abstract
  • View
  • Download
  • Twitter
Copy and paste a formatted citation
Spandidos Publications style
Ma Z, Li Q, Wang W and Deng Z: Transcription factor E2F4 facilitates SUMOylation to promote HCC progression through interaction with LIN9. Int J Oncol 65: 98, 2024.
APA
Ma, Z., Li, Q., Wang, W., & Deng, Z. (2024). Transcription factor E2F4 facilitates SUMOylation to promote HCC progression through interaction with LIN9. International Journal of Oncology, 65, 98. https://doi.org/10.3892/ijo.2024.5686
MLA
Ma, Z., Li, Q., Wang, W., Deng, Z."Transcription factor E2F4 facilitates SUMOylation to promote HCC progression through interaction with LIN9". International Journal of Oncology 65.4 (2024): 98.
Chicago
Ma, Z., Li, Q., Wang, W., Deng, Z."Transcription factor E2F4 facilitates SUMOylation to promote HCC progression through interaction with LIN9". International Journal of Oncology 65, no. 4 (2024): 98. https://doi.org/10.3892/ijo.2024.5686
Copy and paste a formatted citation
x
Spandidos Publications style
Ma Z, Li Q, Wang W and Deng Z: Transcription factor E2F4 facilitates SUMOylation to promote HCC progression through interaction with LIN9. Int J Oncol 65: 98, 2024.
APA
Ma, Z., Li, Q., Wang, W., & Deng, Z. (2024). Transcription factor E2F4 facilitates SUMOylation to promote HCC progression through interaction with LIN9. International Journal of Oncology, 65, 98. https://doi.org/10.3892/ijo.2024.5686
MLA
Ma, Z., Li, Q., Wang, W., Deng, Z."Transcription factor E2F4 facilitates SUMOylation to promote HCC progression through interaction with LIN9". International Journal of Oncology 65.4 (2024): 98.
Chicago
Ma, Z., Li, Q., Wang, W., Deng, Z."Transcription factor E2F4 facilitates SUMOylation to promote HCC progression through interaction with LIN9". International Journal of Oncology 65, no. 4 (2024): 98. https://doi.org/10.3892/ijo.2024.5686
Follow us
  • Twitter
  • LinkedIn
  • Facebook
About
  • Spandidos Publications
  • Careers
  • Cookie Policy
  • Privacy Policy
How can we help?
  • Help
  • Live Chat
  • Contact
  • Email to our Support Team