Spandidos Publications Logo
  • About
    • About Spandidos
    • Aims and Scopes
    • Abstracting and Indexing
    • Editorial Policies
    • Reprints and Permissions
    • Job Opportunities
    • Terms and Conditions
    • Contact
  • Journals
    • All Journals
    • Oncology Letters
      • Oncology Letters
      • Information for Authors
      • Editorial Policies
      • Editorial Board
      • Aims and Scope
      • Abstracting and Indexing
      • Bibliographic Information
      • Archive
    • International Journal of Oncology
      • International Journal of Oncology
      • Information for Authors
      • Editorial Policies
      • Editorial Board
      • Aims and Scope
      • Abstracting and Indexing
      • Bibliographic Information
      • Archive
    • Molecular and Clinical Oncology
      • Molecular and Clinical Oncology
      • Information for Authors
      • Editorial Policies
      • Editorial Board
      • Aims and Scope
      • Abstracting and Indexing
      • Bibliographic Information
      • Archive
    • Experimental and Therapeutic Medicine
      • Experimental and Therapeutic Medicine
      • Information for Authors
      • Editorial Policies
      • Editorial Board
      • Aims and Scope
      • Abstracting and Indexing
      • Bibliographic Information
      • Archive
    • International Journal of Molecular Medicine
      • International Journal of Molecular Medicine
      • Information for Authors
      • Editorial Policies
      • Editorial Board
      • Aims and Scope
      • Abstracting and Indexing
      • Bibliographic Information
      • Archive
    • Biomedical Reports
      • Biomedical Reports
      • Information for Authors
      • Editorial Policies
      • Editorial Board
      • Aims and Scope
      • Abstracting and Indexing
      • Bibliographic Information
      • Archive
    • Oncology Reports
      • Oncology Reports
      • Information for Authors
      • Editorial Policies
      • Editorial Board
      • Aims and Scope
      • Abstracting and Indexing
      • Bibliographic Information
      • Archive
    • Molecular Medicine Reports
      • Molecular Medicine Reports
      • Information for Authors
      • Editorial Policies
      • Editorial Board
      • Aims and Scope
      • Abstracting and Indexing
      • Bibliographic Information
      • Archive
    • World Academy of Sciences Journal
      • World Academy of Sciences Journal
      • Information for Authors
      • Editorial Policies
      • Editorial Board
      • Aims and Scope
      • Abstracting and Indexing
      • Bibliographic Information
      • Archive
    • International Journal of Functional Nutrition
      • International Journal of Functional Nutrition
      • Information for Authors
      • Editorial Policies
      • Editorial Board
      • Aims and Scope
      • Abstracting and Indexing
      • Bibliographic Information
      • Archive
    • International Journal of Epigenetics
      • International Journal of Epigenetics
      • Information for Authors
      • Editorial Policies
      • Editorial Board
      • Aims and Scope
      • Abstracting and Indexing
      • Bibliographic Information
      • Archive
    • Medicine International
      • Medicine International
      • Information for Authors
      • Editorial Policies
      • Editorial Board
      • Aims and Scope
      • Abstracting and Indexing
      • Bibliographic Information
      • Archive
  • Articles
  • Information
    • Information for Authors
    • Information for Reviewers
    • Information for Librarians
    • Information for Advertisers
    • Conferences
  • Language Editing
Spandidos Publications Logo
  • About
    • About Spandidos
    • Aims and Scopes
    • Abstracting and Indexing
    • Editorial Policies
    • Reprints and Permissions
    • Job Opportunities
    • Terms and Conditions
    • Contact
  • Journals
    • All Journals
    • Biomedical Reports
      • Information for Authors
      • Editorial Policies
      • Editorial Board
      • Aims and Scope
      • Abstracting and Indexing
      • Bibliographic Information
      • Archive
    • Experimental and Therapeutic Medicine
      • Information for Authors
      • Editorial Policies
      • Editorial Board
      • Aims and Scope
      • Abstracting and Indexing
      • Bibliographic Information
      • Archive
    • International Journal of Epigenetics
      • Information for Authors
      • Editorial Policies
      • Editorial Board
      • Aims and Scope
      • Abstracting and Indexing
      • Bibliographic Information
      • Archive
    • International Journal of Functional Nutrition
      • Information for Authors
      • Editorial Policies
      • Editorial Board
      • Aims and Scope
      • Abstracting and Indexing
      • Bibliographic Information
      • Archive
    • International Journal of Molecular Medicine
      • Information for Authors
      • Editorial Policies
      • Editorial Board
      • Aims and Scope
      • Abstracting and Indexing
      • Bibliographic Information
      • Archive
    • International Journal of Oncology
      • Information for Authors
      • Editorial Policies
      • Editorial Board
      • Aims and Scope
      • Abstracting and Indexing
      • Bibliographic Information
      • Archive
    • Medicine International
      • Information for Authors
      • Editorial Policies
      • Editorial Board
      • Aims and Scope
      • Abstracting and Indexing
      • Bibliographic Information
      • Archive
    • Molecular and Clinical Oncology
      • Information for Authors
      • Editorial Policies
      • Editorial Board
      • Aims and Scope
      • Abstracting and Indexing
      • Bibliographic Information
      • Archive
    • Molecular Medicine Reports
      • Information for Authors
      • Editorial Policies
      • Editorial Board
      • Aims and Scope
      • Abstracting and Indexing
      • Bibliographic Information
      • Archive
    • Oncology Letters
      • Information for Authors
      • Editorial Policies
      • Editorial Board
      • Aims and Scope
      • Abstracting and Indexing
      • Bibliographic Information
      • Archive
    • Oncology Reports
      • Information for Authors
      • Editorial Policies
      • Editorial Board
      • Aims and Scope
      • Abstracting and Indexing
      • Bibliographic Information
      • Archive
    • World Academy of Sciences Journal
      • Information for Authors
      • Editorial Policies
      • Editorial Board
      • Aims and Scope
      • Abstracting and Indexing
      • Bibliographic Information
      • Archive
  • Articles
  • Information
    • For Authors
    • For Reviewers
    • For Librarians
    • For Advertisers
    • Conferences
  • Language Editing
Login Register Submit
  • This site uses cookies
  • You can change your cookie settings at any time by following the instructions in our Cookie Policy. To find out more, you may read our Privacy Policy.

    I agree
Search articles by DOI, keyword, author or affiliation
Search
Advanced Search
presentation
Molecular and Clinical Oncology
Join Editorial Board Propose a Special Issue
Print ISSN: 2049-9450 Online ISSN: 2049-9469
Journal Cover
January-February 2013 Volume 1 Issue 1

Full Size Image

Sign up for eToc alerts
Recommend to Library

Journals

International Journal of Molecular Medicine

International Journal of Molecular Medicine

International Journal of Molecular Medicine is an international journal devoted to molecular mechanisms of human disease.

International Journal of Oncology

International Journal of Oncology

International Journal of Oncology is an international journal devoted to oncology research and cancer treatment.

Molecular Medicine Reports

Molecular Medicine Reports

Covers molecular medicine topics such as pharmacology, pathology, genetics, neuroscience, infectious diseases, molecular cardiology, and molecular surgery.

Oncology Reports

Oncology Reports

Oncology Reports is an international journal devoted to fundamental and applied research in Oncology.

Experimental and Therapeutic Medicine

Experimental and Therapeutic Medicine

Experimental and Therapeutic Medicine is an international journal devoted to laboratory and clinical medicine.

Oncology Letters

Oncology Letters

Oncology Letters is an international journal devoted to Experimental and Clinical Oncology.

Biomedical Reports

Biomedical Reports

Explores a wide range of biological and medical fields, including pharmacology, genetics, microbiology, neuroscience, and molecular cardiology.

Molecular and Clinical Oncology

Molecular and Clinical Oncology

International journal addressing all aspects of oncology research, from tumorigenesis and oncogenes to chemotherapy and metastasis.

World Academy of Sciences Journal

World Academy of Sciences Journal

Multidisciplinary open-access journal spanning biochemistry, genetics, neuroscience, environmental health, and synthetic biology.

International Journal of Functional Nutrition

International Journal of Functional Nutrition

Open-access journal combining biochemistry, pharmacology, immunology, and genetics to advance health through functional nutrition.

International Journal of Epigenetics

International Journal of Epigenetics

Publishes open-access research on using epigenetics to advance understanding and treatment of human disease.

Medicine International

Medicine International

An International Open Access Journal Devoted to General Medicine.

Journal Cover
January-February 2013 Volume 1 Issue 1

Full Size Image

Sign up for eToc alerts
Recommend to Library

  • Article
  • Citations
    • Cite This Article
    • Download Citation
    • Create Citation Alert
    • Remove Citation Alert
    • Cited By
  • Similar Articles
    • Related Articles (in Spandidos Publications)
    • Similar Articles (Google Scholar)
    • Similar Articles (PubMed)
  • Download PDF
  • Download XML
  • View XML
Article

Differentiation between sessile serrated adenoma/polyp and non-sessile serrated adenoma/polyp in large hyper plastic polyp: A Japanese collaborative study

  • Authors:
    • Yosuke Shida
    • Kazuhito Ichikawa
    • Takahiro Fujimori
    • Yukari Fujimori
    • Shigeki Tomita
    • Takahiro Fujii
    • Yasushi Sano
    • Yasushi Oda
    • Hideyo Goto
    • Akihiko Ohta
    • Shinji Tanaka
    • Tamotsu Sugai
    • Takashi Yao
    • Yasuo Ohkura
    • Johji Imura
    • Hiroyuki Kato
  • View Affiliations / Copyright

    Affiliations: Department of Surgery 1, Dokkyo Medical University School of Medicine, Mibu, Japan, Department of Surgical and Molecular Pathology, Dokkyo Medical University School of Medicine, Mibu, Japan, Takahiro Fujii Clinic, Tokyo, Japan, Endoscopy Division, Gastrointestinal Center, Sano Hospital, Kobe, Japan, Oda GI Clinic, Kumamoto, Japan, Hattori GI Endoscopy and Oncology Clinic, Kumamoto, Japan, Ohta Clinic, Tokyo, Japan, Department of Endoscopy, Hiroshima University Hospital, Hiroshima, Japan, Division of Molecular Diagnostic Pathology, Department of Pathology, School of Medicine, Iwate Medical University, Morioka, Japan, Department of Human Pathology, Juntendo University School of Medicine, Tokyo, Japan, Department of Pathology, Kyorin University School of Medicine, Tokyo, Japan, Department of Diagnostic Pathology, Graduate School of Medicine and Pharmaceutical Science, University of Toyama, Toyama, Japan
  • Pages: 53-58
    |
    Published online on: September 7, 2012
       https://doi.org/10.3892/mco.2012.20
  • Expand metrics +
Metrics: Total Views: 0 (Spandidos Publications: | PMC Statistics: )
Metrics: Total PDF Downloads: 0 (Spandidos Publications: | PMC Statistics: )
Cited By (CrossRef): 0 citations Loading Articles...

This article is mentioned in:



Abstract

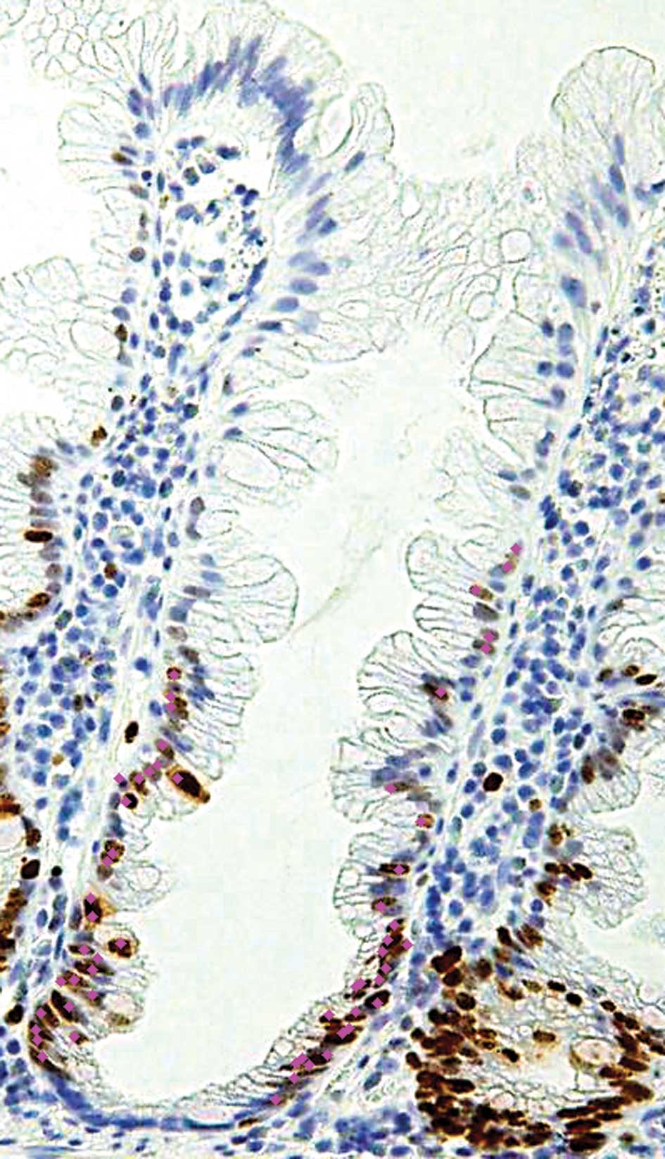
A hyperplastic polyp (HP) >10 mm is described as a large hyperplastic polyp (LHP). Previous studies have considered LHP and sessile serrated adenoma/polyp (SSA/P) as synonymous. Although HP and SSA/P have previously been morphologically distinguished, differences between LHP and SSA/P have not yet been reported. The present study aimed to define the differences between SSA/P and non-SSA/P in LHP using immunohistochemistry for Ki67. Colorectal serrated lesions (>10 mm) that were completely resected by endoscope and derived from 11 institutions in Japan [Dokkyo Medical University School of Medicine (Mibu), Takahiro Fujii Clinic (Tokyo), Sano Hospital (Kobe), Oda GI Clinic, Hattori GI Endoscopy and Oncology Clinic (Kumamoto), Ohta Clinic (Nagoya), Hiroshima University (Hiroshima), Iwate Medical University (Morioka), Juntendo and Kyorin Universities (Tokyo) as well as Toyama University (Toyama)] affiliated with the Japanese Society for Cancer of the Colon and Rectum (JSCCR) between January 2003 and December 2010 were selected. The histological criteria of the Japanese Society for Cancer of the Colon and Rectum (JSCCR, project meeting; editor-in chief, Takashi Yao) were used to distinguish SSA/P and non-SSA/P from LHP. Non-SSA/P comprises both incomplete SSA/P and HP. A total of 154 samples diagnosed as SSA/P or non-SSA/P from 148 patients were used. This study comprised 107 SSA/P and 47 non-SSA/P cases, whereby lesions were located on the right side of the colon (73.2 and 26.8%, respectively). Ki67‑positivity in SSA/Ps was significantly higher compared to non-SSA/Ps. A greater number of SSA/Ps in LHP were located on the right side of the colon compared to the left side. SSA/Ps occurring on the right side of the colon may be precursor lesions of colorectal carcinoma in serrated neoplasia pathways. In conclusion, LHPs and SSA/Ps limited to the right side of the colon are suggested to be clinically treated as the same type of lesions.
View Figures

Figure 1

Figure 2

Figure 3

Figure 4

View References

1. 

Torlakovic E and Snover DC: Serrated adenomatous polyposis in humans. Gastroenterology. 110:748–755. 1996.

2. 

Torlakovic E, Skovlund E, Snover DC, Torlakovic G and Nesland JM: Morphologic reappraisal of serrated colorectal polyps. Am J Surg Pathol. 27:65–81. 2003.

3. 

Snover DC, Ahnen DJ, Burt RW and Odze RD: Serrated polyps of the colon and rectum and serrated polyposis. WHO Classification of Tumours of the Digestive System. Bosman FT, Carneiro F, Hruban RH and Theise ND: International Agency for Research on Cancer; Lyon: pp. 160–165. 2010

4. 

Warner AS, Glick ME and Fogt F: Multiple large hyperplastic polyps of the colon coincident with adenocarcinoma. Am J Gastroenterol. 89:123–125. 1994.

5. 

Jass JR: Serrated adenoma of the colorectum and the DNA-methylator phenotype. Nat Clin Pract Oncol. 2:398–405. 2005.

6. 

Yao T, Sugai T, Iwashita A, et al: Histopathological characteristics and diagnostic criteria of SSA/P, project research ‘potential of cancerization of colorectal serrated lesions’ of Japanese Society for Cancer of the Colon and Rectum. Stomach and Intestine (Tokyo). 46:442–448. 2011.(In Japanese).

7. 

Fujimori Y, Fujimori T, Imura J, et al: An assessment of the diagnostic criteria for SSA/Ps using image processing software analysis for Ki67 immunohistochemistry. Diagn Pathol. 7:592012.

8. 

Kimura T, Fukui H, Sekikawa A, et al: Involvement of REG Ialpha protein in the regeneration of ductal epithelial cells in the minor salivary glands of patients with Sjögren’s syndrome. Clin Exp Immunol. 155:16–20. 2009.

9. 

Torlakovic E, Gomez JD, Driman DK, Parfitt JR, Wang C, Benerjee T and Snover DC: Sessile serrated adenoma (SSA) vs. traditional serrated adenoma (TSA). Am J Surg Pathol. 32:21–29. 2008.

10. 

Higuchi T, Sugihara K and Jass JR: Demographic and pathological characteristics of serrated polyps of colorectum. Histopathology. 47:32–40. 2005.

11. 

Kusaka T, Fukui H, Sano Y, Ueda Y, Chiba T and Fujimori T: Analysis of K-ras codon 12 mutations and p53 overexpression in colorectal nodule-aggregating tumors. J Gastroenterol Hepatol. 15:1151–1157. 2000.

12. 

Tanaka H, Fujimori Y, Ogata H, et al: Immunohistochemical analysis of Ki-67 expression in so-called SSA/P; In comparison with hyperplastic polyps. Prog Dig Endosc. 78:50–52. 2011.(In Japanese).

13. 

Hatanaka Y, Hashizume K, Nitta K, Kato T, Itoh I and Tani Y: Cytometrical image analysis for immunohistochemical hormone receptor status in breast carcinomas. Pathol Int. 53:693–699. 2003.

14. 

Longacre TA and Fenoglio-Preiser CM: Mixed hyperplastic adenomatous polyps/serrated adenomas. A distinct form of colorectal neoplasia. Am J Surg Pathol. 14:524–537. 1990.

15. 

Jass JR, Whitehall VL, Young J and Leggett BA: Emerging concepts in colorectal neoplasia. Gastroenterology. 123:862–876. 2002.

16. 

Sugihara K, Kusunoki M, Watanabe T, Sakai Y, Sekimoto M and Ajioka Y: Guidelines for classification. Japanese Classification of Colorectal Carcinoma. Japanese Society for Cancer of the Colon and Rectum. Kanehara & Co; Tokyo: pp. 1–34. 2009

17. 

Hawkins NJ, Bariol C and Ward RL: The serrated neoplasia pathway. Pathology. 34:548–555. 2002.

18. 

Snover DC: Update on the serrated pathway to colorectal carcinoma. Hum Pathol. 42:1–10. 2011.

19. 

García-Solano J, Pérez-Guillermo M, Conesa-Zamora P, Acosta-Ortega J, Trujillo-Santos J, Cerezuela-Fuentes P and Mäkinen MJ: Clinicopathologic study of 85 colorectal serrated adenocarcinomas: further insights into the full recognition of a new subset of colorectal carcinoma. Hum Pathol. 41:1359–1368. 2010.

20. 

Vogelstein B, Fearon ER, Hamilton SR, et al: Genetic alterations during colorectal-tumor development. N Engl J Med. 319:525–532. 1988.

21. 

Hamilton SR, Bosman FT, Boffetta P, et al: Carcinoma of the colon and rectum. WHO Classification of Tumours of the Digestive System. Bosman FT, Carneiro F, Hruban RH and Theise ND: International Agency for Research on Cancer; Lyon: pp. 134–146. 2010

22. 

Tanaka T: Colorectal carcinogenesis: review of human and experimental animal studies. J Carcinog. 8:52009.

23. 

Shimoda T, Ikegami M, Fujisaki J, Matsui T, Aizawa S and Ishikawa E: Early colorectal carcinoma with special reference to its development de novo. Cancer. 64:1138–1146. 1989.

24. 

Kudo S, Tamura S, Hirota S, et al: The problem of de novo colorectal carcinoma. Eur J Cancer. 31A:1118–1120. 1995.

25. 

Chung SM, Chen YT, Panczykowski A, Schamberg N, Klimstra DS and Yantiss RK: Serrated polyps with ‘intermediate features’ of sessile serrated polyp and microvesicular hyperplastic polyp: a practical approach to the classification of nondysplastic serrated polyps. Am J Surg Pathol. 32:407–412. 2008.

26. 

Fujii T and Fujimori T: Magnifying endoscopic diagnosis in large serrated lesion-LHP vs. SSA/P. Stomach and Intestine (Tokyo). 46:449–457. 2011.(In Japanese).

27. 

Shida Y, Fujimori T, Tanaka H, et al: Clinicopathological features of serrated adenocarcinoma defined by Mäkinen in dukes’ B colorectal carcinoma. Pathobiology. 79:169–174. 2012.

28. 

Tajiri H and Niwa H: Proposal for a consensus terminology in endoscopy: how should different endoscopic imaging techniques be grouped and defined? Endoscopy. 40:775–778. 2008.

29. 

Kudo S, Hirota S, Nakajima T, et al: Colorectal tumours and pit pattern. J Clin Pathol. 47:880–885. 1994.

30. 

An B, Kondo Y, Okamoto Y, et al: Characteristic methylation profile in CpG island methylator phenotype-negative distal colorectal cancers. Int J Cancer. 127:2095–2105. 2010.

Related Articles

  • Abstract
  • View
  • Download
  • Twitter
Copy and paste a formatted citation
Spandidos Publications style
Shida Y, Ichikawa K, Fujimori T, Fujimori Y, Tomita S, Fujii T, Sano Y, Oda Y, Goto H, Ohta A, Ohta A, et al: Differentiation between sessile serrated adenoma/polyp and non-sessile serrated adenoma/polyp in large hyper plastic polyp: A Japanese collaborative study. Mol Clin Oncol 1: 53-58, 2013.
APA
Shida, Y., Ichikawa, K., Fujimori, T., Fujimori, Y., Tomita, S., Fujii, T. ... Kato, H. (2013). Differentiation between sessile serrated adenoma/polyp and non-sessile serrated adenoma/polyp in large hyper plastic polyp: A Japanese collaborative study. Molecular and Clinical Oncology, 1, 53-58. https://doi.org/10.3892/mco.2012.20
MLA
Shida, Y., Ichikawa, K., Fujimori, T., Fujimori, Y., Tomita, S., Fujii, T., Sano, Y., Oda, Y., Goto, H., Ohta, A., Tanaka, S., Sugai, T., Yao, T., Ohkura, Y., Imura, J., Kato, H."Differentiation between sessile serrated adenoma/polyp and non-sessile serrated adenoma/polyp in large hyper plastic polyp: A Japanese collaborative study". Molecular and Clinical Oncology 1.1 (2013): 53-58.
Chicago
Shida, Y., Ichikawa, K., Fujimori, T., Fujimori, Y., Tomita, S., Fujii, T., Sano, Y., Oda, Y., Goto, H., Ohta, A., Tanaka, S., Sugai, T., Yao, T., Ohkura, Y., Imura, J., Kato, H."Differentiation between sessile serrated adenoma/polyp and non-sessile serrated adenoma/polyp in large hyper plastic polyp: A Japanese collaborative study". Molecular and Clinical Oncology 1, no. 1 (2013): 53-58. https://doi.org/10.3892/mco.2012.20
Copy and paste a formatted citation
x
Spandidos Publications style
Shida Y, Ichikawa K, Fujimori T, Fujimori Y, Tomita S, Fujii T, Sano Y, Oda Y, Goto H, Ohta A, Ohta A, et al: Differentiation between sessile serrated adenoma/polyp and non-sessile serrated adenoma/polyp in large hyper plastic polyp: A Japanese collaborative study. Mol Clin Oncol 1: 53-58, 2013.
APA
Shida, Y., Ichikawa, K., Fujimori, T., Fujimori, Y., Tomita, S., Fujii, T. ... Kato, H. (2013). Differentiation between sessile serrated adenoma/polyp and non-sessile serrated adenoma/polyp in large hyper plastic polyp: A Japanese collaborative study. Molecular and Clinical Oncology, 1, 53-58. https://doi.org/10.3892/mco.2012.20
MLA
Shida, Y., Ichikawa, K., Fujimori, T., Fujimori, Y., Tomita, S., Fujii, T., Sano, Y., Oda, Y., Goto, H., Ohta, A., Tanaka, S., Sugai, T., Yao, T., Ohkura, Y., Imura, J., Kato, H."Differentiation between sessile serrated adenoma/polyp and non-sessile serrated adenoma/polyp in large hyper plastic polyp: A Japanese collaborative study". Molecular and Clinical Oncology 1.1 (2013): 53-58.
Chicago
Shida, Y., Ichikawa, K., Fujimori, T., Fujimori, Y., Tomita, S., Fujii, T., Sano, Y., Oda, Y., Goto, H., Ohta, A., Tanaka, S., Sugai, T., Yao, T., Ohkura, Y., Imura, J., Kato, H."Differentiation between sessile serrated adenoma/polyp and non-sessile serrated adenoma/polyp in large hyper plastic polyp: A Japanese collaborative study". Molecular and Clinical Oncology 1, no. 1 (2013): 53-58. https://doi.org/10.3892/mco.2012.20
Follow us
  • Twitter
  • LinkedIn
  • Facebook
About
  • Spandidos Publications
  • Careers
  • Cookie Policy
  • Privacy Policy
How can we help?
  • Help
  • Live Chat
  • Contact
  • Email to our Support Team