Spandidos Publications Logo
  • About
    • About Spandidos
    • Aims and Scopes
    • Abstracting and Indexing
    • Editorial Policies
    • Reprints and Permissions
    • Job Opportunities
    • Terms and Conditions
    • Contact
  • Journals
    • All Journals
    • Oncology Letters
      • Oncology Letters
      • Information for Authors
      • Editorial Policies
      • Editorial Board
      • Aims and Scope
      • Abstracting and Indexing
      • Bibliographic Information
      • Archive
    • International Journal of Oncology
      • International Journal of Oncology
      • Information for Authors
      • Editorial Policies
      • Editorial Board
      • Aims and Scope
      • Abstracting and Indexing
      • Bibliographic Information
      • Archive
    • Molecular and Clinical Oncology
      • Molecular and Clinical Oncology
      • Information for Authors
      • Editorial Policies
      • Editorial Board
      • Aims and Scope
      • Abstracting and Indexing
      • Bibliographic Information
      • Archive
    • Experimental and Therapeutic Medicine
      • Experimental and Therapeutic Medicine
      • Information for Authors
      • Editorial Policies
      • Editorial Board
      • Aims and Scope
      • Abstracting and Indexing
      • Bibliographic Information
      • Archive
    • International Journal of Molecular Medicine
      • International Journal of Molecular Medicine
      • Information for Authors
      • Editorial Policies
      • Editorial Board
      • Aims and Scope
      • Abstracting and Indexing
      • Bibliographic Information
      • Archive
    • Biomedical Reports
      • Biomedical Reports
      • Information for Authors
      • Editorial Policies
      • Editorial Board
      • Aims and Scope
      • Abstracting and Indexing
      • Bibliographic Information
      • Archive
    • Oncology Reports
      • Oncology Reports
      • Information for Authors
      • Editorial Policies
      • Editorial Board
      • Aims and Scope
      • Abstracting and Indexing
      • Bibliographic Information
      • Archive
    • Molecular Medicine Reports
      • Molecular Medicine Reports
      • Information for Authors
      • Editorial Policies
      • Editorial Board
      • Aims and Scope
      • Abstracting and Indexing
      • Bibliographic Information
      • Archive
    • World Academy of Sciences Journal
      • World Academy of Sciences Journal
      • Information for Authors
      • Editorial Policies
      • Editorial Board
      • Aims and Scope
      • Abstracting and Indexing
      • Bibliographic Information
      • Archive
    • International Journal of Functional Nutrition
      • International Journal of Functional Nutrition
      • Information for Authors
      • Editorial Policies
      • Editorial Board
      • Aims and Scope
      • Abstracting and Indexing
      • Bibliographic Information
      • Archive
    • International Journal of Epigenetics
      • International Journal of Epigenetics
      • Information for Authors
      • Editorial Policies
      • Editorial Board
      • Aims and Scope
      • Abstracting and Indexing
      • Bibliographic Information
      • Archive
    • Medicine International
      • Medicine International
      • Information for Authors
      • Editorial Policies
      • Editorial Board
      • Aims and Scope
      • Abstracting and Indexing
      • Bibliographic Information
      • Archive
  • Articles
  • Information
    • Information for Authors
    • Information for Reviewers
    • Information for Librarians
    • Information for Advertisers
    • Conferences
  • Language Editing
Spandidos Publications Logo
  • About
    • About Spandidos
    • Aims and Scopes
    • Abstracting and Indexing
    • Editorial Policies
    • Reprints and Permissions
    • Job Opportunities
    • Terms and Conditions
    • Contact
  • Journals
    • All Journals
    • Biomedical Reports
      • Information for Authors
      • Editorial Policies
      • Editorial Board
      • Aims and Scope
      • Abstracting and Indexing
      • Bibliographic Information
      • Archive
    • Experimental and Therapeutic Medicine
      • Information for Authors
      • Editorial Policies
      • Editorial Board
      • Aims and Scope
      • Abstracting and Indexing
      • Bibliographic Information
      • Archive
    • International Journal of Epigenetics
      • Information for Authors
      • Editorial Policies
      • Editorial Board
      • Aims and Scope
      • Abstracting and Indexing
      • Bibliographic Information
      • Archive
    • International Journal of Functional Nutrition
      • Information for Authors
      • Editorial Policies
      • Editorial Board
      • Aims and Scope
      • Abstracting and Indexing
      • Bibliographic Information
      • Archive
    • International Journal of Molecular Medicine
      • Information for Authors
      • Editorial Policies
      • Editorial Board
      • Aims and Scope
      • Abstracting and Indexing
      • Bibliographic Information
      • Archive
    • International Journal of Oncology
      • Information for Authors
      • Editorial Policies
      • Editorial Board
      • Aims and Scope
      • Abstracting and Indexing
      • Bibliographic Information
      • Archive
    • Medicine International
      • Information for Authors
      • Editorial Policies
      • Editorial Board
      • Aims and Scope
      • Abstracting and Indexing
      • Bibliographic Information
      • Archive
    • Molecular and Clinical Oncology
      • Information for Authors
      • Editorial Policies
      • Editorial Board
      • Aims and Scope
      • Abstracting and Indexing
      • Bibliographic Information
      • Archive
    • Molecular Medicine Reports
      • Information for Authors
      • Editorial Policies
      • Editorial Board
      • Aims and Scope
      • Abstracting and Indexing
      • Bibliographic Information
      • Archive
    • Oncology Letters
      • Information for Authors
      • Editorial Policies
      • Editorial Board
      • Aims and Scope
      • Abstracting and Indexing
      • Bibliographic Information
      • Archive
    • Oncology Reports
      • Information for Authors
      • Editorial Policies
      • Editorial Board
      • Aims and Scope
      • Abstracting and Indexing
      • Bibliographic Information
      • Archive
    • World Academy of Sciences Journal
      • Information for Authors
      • Editorial Policies
      • Editorial Board
      • Aims and Scope
      • Abstracting and Indexing
      • Bibliographic Information
      • Archive
  • Articles
  • Information
    • For Authors
    • For Reviewers
    • For Librarians
    • For Advertisers
    • Conferences
  • Language Editing
Login Register Submit
  • This site uses cookies
  • You can change your cookie settings at any time by following the instructions in our Cookie Policy. To find out more, you may read our Privacy Policy.

    I agree
Search articles by DOI, keyword, author or affiliation
Search
Advanced Search
presentation
Molecular and Clinical Oncology
Join Editorial Board Propose a Special Issue
Print ISSN: 2049-9450 Online ISSN: 2049-9469
Journal Cover
March-April 2014 Volume 2 Issue 2

Full Size Image

Sign up for eToc alerts
Recommend to Library

Journals

International Journal of Molecular Medicine

International Journal of Molecular Medicine

International Journal of Molecular Medicine is an international journal devoted to molecular mechanisms of human disease.

International Journal of Oncology

International Journal of Oncology

International Journal of Oncology is an international journal devoted to oncology research and cancer treatment.

Molecular Medicine Reports

Molecular Medicine Reports

Covers molecular medicine topics such as pharmacology, pathology, genetics, neuroscience, infectious diseases, molecular cardiology, and molecular surgery.

Oncology Reports

Oncology Reports

Oncology Reports is an international journal devoted to fundamental and applied research in Oncology.

Experimental and Therapeutic Medicine

Experimental and Therapeutic Medicine

Experimental and Therapeutic Medicine is an international journal devoted to laboratory and clinical medicine.

Oncology Letters

Oncology Letters

Oncology Letters is an international journal devoted to Experimental and Clinical Oncology.

Biomedical Reports

Biomedical Reports

Explores a wide range of biological and medical fields, including pharmacology, genetics, microbiology, neuroscience, and molecular cardiology.

Molecular and Clinical Oncology

Molecular and Clinical Oncology

International journal addressing all aspects of oncology research, from tumorigenesis and oncogenes to chemotherapy and metastasis.

World Academy of Sciences Journal

World Academy of Sciences Journal

Multidisciplinary open-access journal spanning biochemistry, genetics, neuroscience, environmental health, and synthetic biology.

International Journal of Functional Nutrition

International Journal of Functional Nutrition

Open-access journal combining biochemistry, pharmacology, immunology, and genetics to advance health through functional nutrition.

International Journal of Epigenetics

International Journal of Epigenetics

Publishes open-access research on using epigenetics to advance understanding and treatment of human disease.

Medicine International

Medicine International

An International Open Access Journal Devoted to General Medicine.

Journal Cover
March-April 2014 Volume 2 Issue 2

Full Size Image

Sign up for eToc alerts
Recommend to Library

  • Article
  • Citations
    • Cite This Article
    • Download Citation
    • Create Citation Alert
    • Remove Citation Alert
    • Cited By
  • Similar Articles
    • Related Articles (in Spandidos Publications)
    • Similar Articles (Google Scholar)
    • Similar Articles (PubMed)
  • Download PDF
  • Download XML
  • View XML
Case Report

Adenosquamous cell lung cancer successfully treated with gefitinib: A case report

  • Authors:
    • Koichi Kurishima
    • Gen Ohara
    • Katsunori Kagohashi
    • Hiroko Watanabe
    • Norio Takayashiki
    • Atsushi Ishibashi
    • Hiroaki Satoh
  • View Affiliations / Copyright

    Affiliations: Division of Respiratory Medicine, Mito Medical Center, University of Tsukuba, Mito, Ibaraki 310‑0015, Japan, Division of Pathology, Mito Medical Center, University of Tsukuba, Mito, Ibaraki 310‑0015, Japan, Division of Surgery, Mito Medical Center, University of Tsukuba, Mito, Ibaraki 310‑0015, Japan
  • Pages: 282-284
    |
    Published online on: December 9, 2013
       https://doi.org/10.3892/mco.2013.221
  • Expand metrics +
Metrics: Total Views: 0 (Spandidos Publications: | PMC Statistics: )
Metrics: Total PDF Downloads: 0 (Spandidos Publications: | PMC Statistics: )
Cited By (CrossRef): 0 citations Loading Articles...

This article is mentioned in:



Abstract

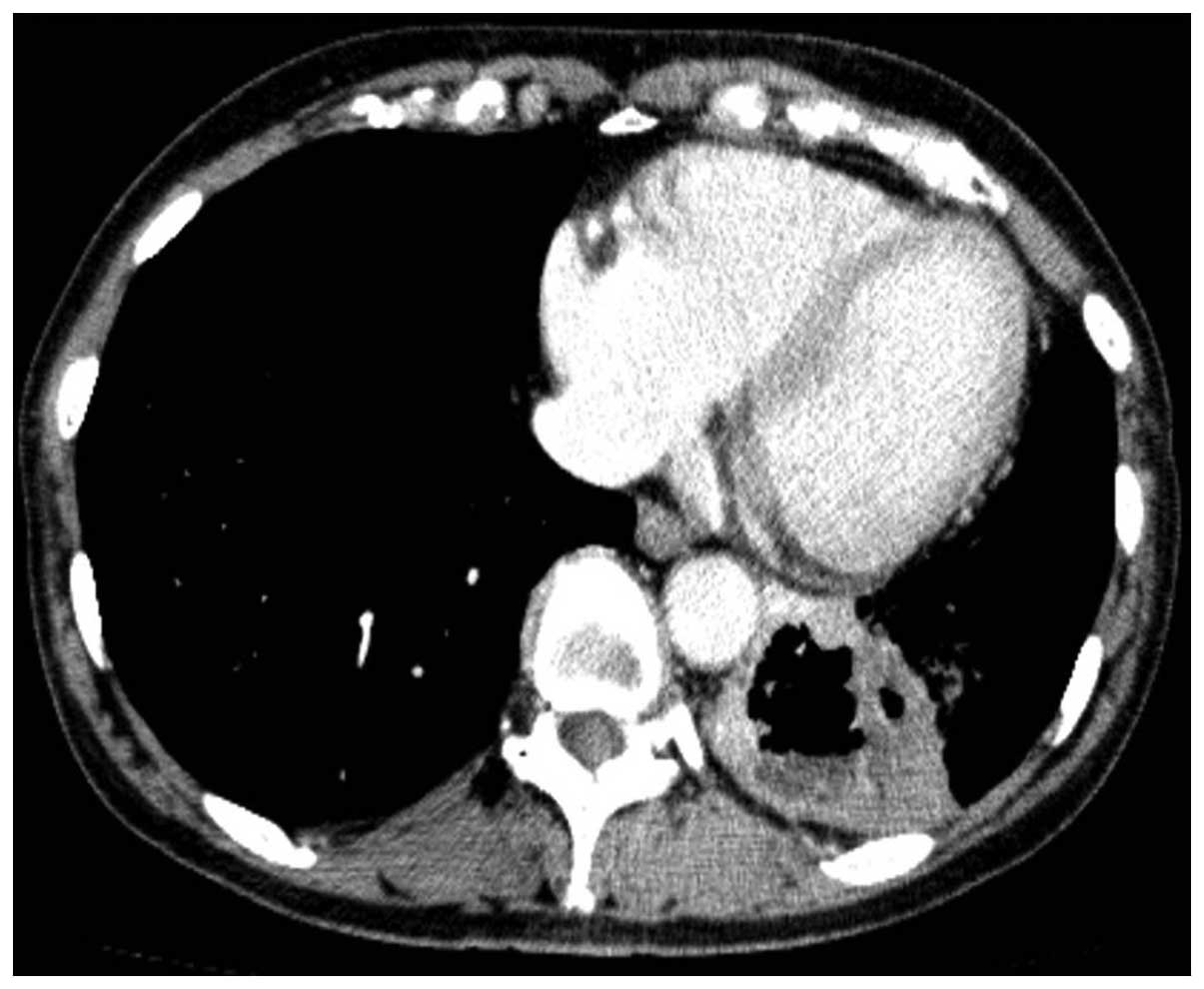
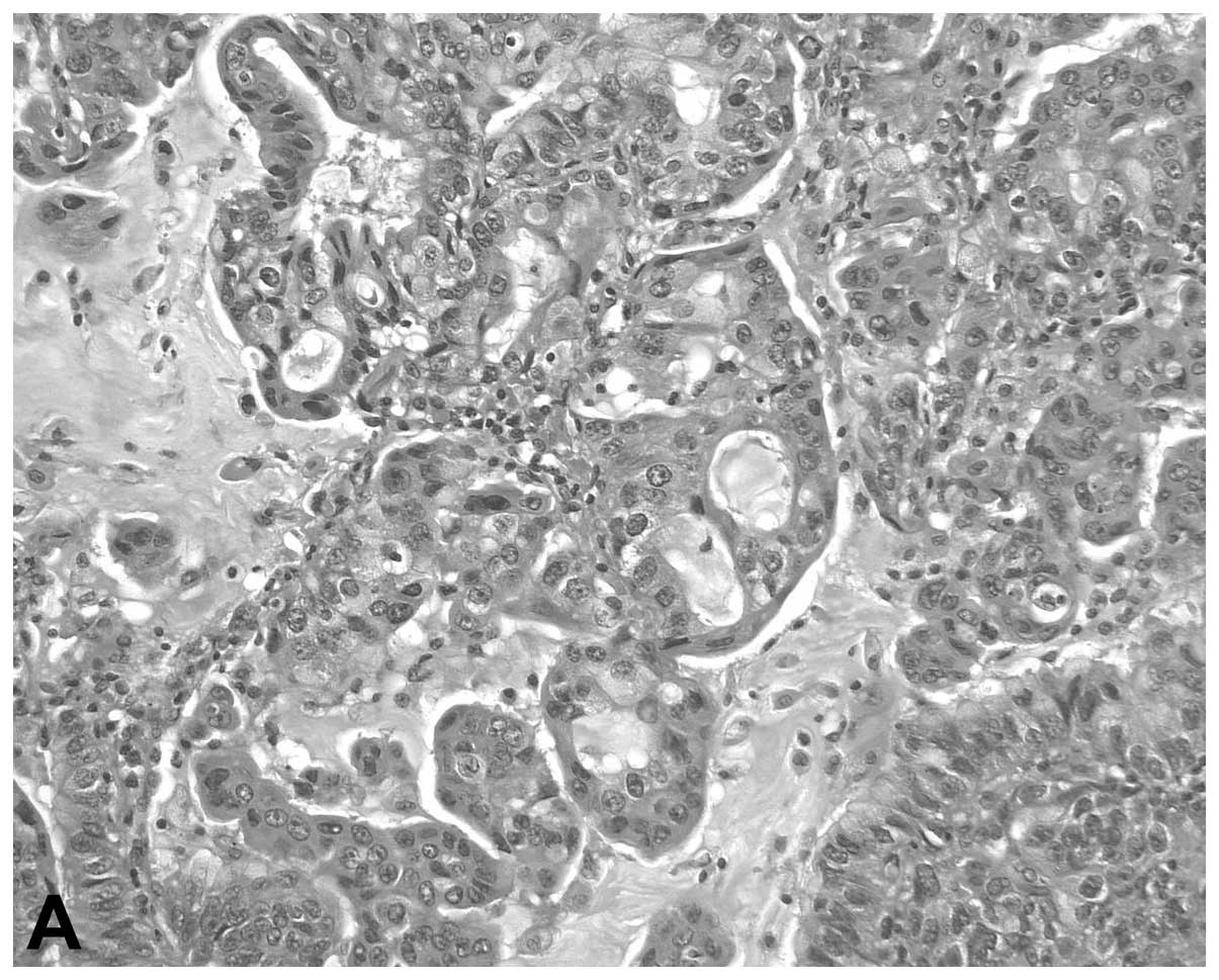
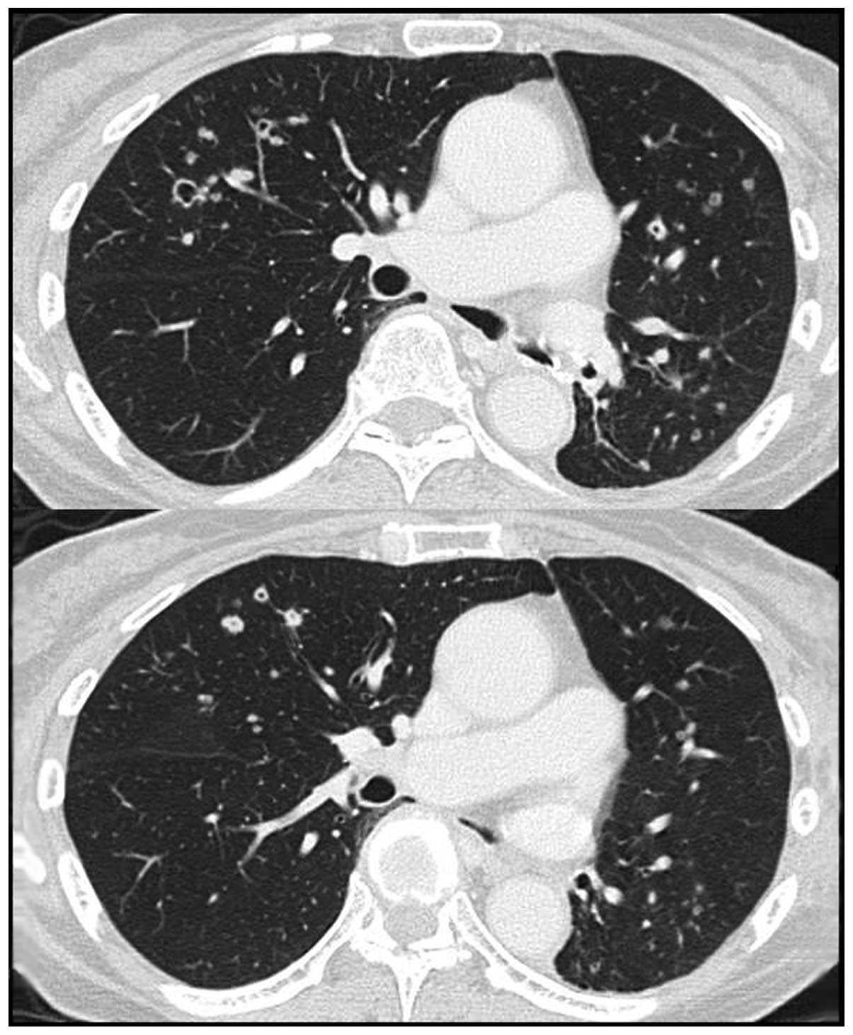
Although adenosquamous cell lung cancer (ASCLC) is included in the non‑small‑cell lung cancers (NSCLCs), the number of currently available studies on the response of this type of cancer to epidermal growth factor receptor‑tyrosine kinase inhibitors (EGFR‑TKIs) is limited. This is the case report of a 66‑year‑old female who was referred to the Mito Medical Center (Mito, Japan) with hemoptysis and the chest computed tomography (CT) scan revealed a large cavitary mass in the lower lobe of the left lung. The patient underwent surgical resection of the lesion and the final pathological diagnosis was ASCLC staged as pT2bN2M0. Notably, an EGFR exon 19 deletion was identified in the adenocarcinomatous as well as the squamous cell carcinomatous components of the tumor. Despite adjuvant chemotherapy, the patient developed small cavitary metastases in the lungs bilaterally. Therefore, treatment with gefitinib was initiated. The chest CT scan revealed substantial regression of the metastatic cavitary tumors in both lungs, with thinning of the walls. The patient remains alive and recurrence‑free 19 months following the initiation of gefitinib therapy. This case demonstrated an optimal clinical response to gefitinib treatment for EGFR mutation‑positive ASCLC, suggesting that gefitinib is a therapeutic option for such a subset of patients with ASCLC.
View Figures

Figure 1

Figure 2

Figure 3

Figure 4

View References

1 

D’Incecco A and Cappuzzo F: Gefitinib for non-small-cell lung cancer treatment. Expert Opin Drug Saf. 10:987–996. 2011.

2 

Travis WD, Brambilla E, Muller-Hermelink HK and Harris CC: Pathology and Genetics: Tumours of the Lung, Pleura, Thymus and Heart. IARC Press; Lyon: 2004

3 

Qin BM, Chen X, Zhu JD and Pei DQ: Identification of EGFR kinase domain mutations among lung cancer patients in China: implication for targeted cancer therapy. Cell Res. 15:212–217. 2005. View Article : Google Scholar : PubMed/NCBI

4 

Ohtsuka K, Ohnishi H, Fujiwara M, et al: Abnormalities of epidermal growth factor receptor in lung squamous-cell carcinomas, adenosquamous carcinomas, and large-cell carcinomas: tyrosine kinase domain mutations are not rare in tumors with an adenocarcinoma component. Cancer. 109:741–750. 2007. View Article : Google Scholar

5 

Kang SM, Kang HJ, Shin JH, et al: Identical epidermal growth factor receptor mutations in adenocarcinomatous and squamous cell carcinomatous components of adenosquamous carcinoma of the lung. Cancer. 109:581–587. 2007. View Article : Google Scholar : PubMed/NCBI

6 

Niho S, Yokose T, Kodama T, Nishiwaki Y and Mukai K: Clonal analysis of adenosquamous carcinoma of the lung. Jpn J Cancer Res. 90:1244–1247. 1999. View Article : Google Scholar : PubMed/NCBI

7 

Kanazawa H, Ebina M, Ino-Oka N, et al: Transition from squamous cell carcinoma to adenocarcinoma in adenosquamous carcinoma of the lung. Am J Pathol. 156:1289–1298. 2000. View Article : Google Scholar : PubMed/NCBI

8 

Toyooka S, Yatabe Y, Tokumo M, et al: Mutations of epidermal growth factor receptor and K-ras genes in adenosquamous carcinoma of the lung. Int J Cancer. 118:1588–1590. 2006. View Article : Google Scholar : PubMed/NCBI

9 

Huang SF, Liu HP, Li LH, et al: High frequency of epidermal growth factor receptor mutations with complex patterns in non-small cell lung cancers related to gefitinib responsiveness in Taiwan. Clin Cancer Res. 10:8195–8203. 2004. View Article : Google Scholar : PubMed/NCBI

10 

Kosaka T, Yatabe Y, Endoh H, Kuwano H, Takahashi T and Mitsudomi T: Mutations of the epidermal growth factor receptor gene in lung cancer: biological and clinical implications. Cancer Res. 64:8919–8923. 2004. View Article : Google Scholar

11 

Sasaki H, Endo K, Yukiue H, Kobayashi Y, Yano M and Fujii Y: Mutation of epidermal growth factor receptor gene in adenosquamous carcinoma of the lung. Lung Cancer. 55:129–130. 2007. View Article : Google Scholar : PubMed/NCBI

12 

Mitsudomi T, Kosaka T, Endoh H, et al: Mutations of the epidermal growth factor receptor gene predict prolonged survival after gefitinib treatment in patients with non-small-cell lung cancer with postoperative recurrence. J Clin Oncol. 23:2513–2520. 2005. View Article : Google Scholar

13 

Shukuya T, Takahashi T, Kaira R, et al: Efficacy of gefitinib for non-adenocarcinoma non-small-cell lung cancer patients harboring epidermal growth factor receptor mutations: a pooled analysis of published reports. Cancer Sci. 102:1032–1037. 2011. View Article : Google Scholar : PubMed/NCBI

14 

Alberg AJ, Brock MV and Samet JM: Epidemiology of lung cancer: looking to the future. J Clin Oncol. 23:3175–3185. 2005. View Article : Google Scholar : PubMed/NCBI

15 

Ruffini E, Rena O, Oliaro A, et al: Lung tumors with mixed histologic pattern. Clinico-pathologic characteristics and prognostic significance. Eur J Cardiothorac Surg. 22:701–707. 2002. View Article : Google Scholar : PubMed/NCBI

16 

de Jong WK, Schaapveld M, Blaauwgeers JL and Groen HJ: Pulmonary tumours in the Netherlands: focus on temporal trends in histology and stage and on rare tumours. Thorax. 63:1096–1102. 2008.PubMed/NCBI

17 

Sugimoto Y, Semba H, Fujii S, Furukawa E and Kurano R: Clinical analysis of primary lung cancer with a thin-walled cavity to explain the mechanism of thin-walled cavity formation. Nihon Kokyuki Gakkai Zasshi. 45:460–464. 2007.(In Japanese).

18 

Kazerooni EA, Bhalla M, Shepard JA and McLoud TC: Adenosquamous carcinoma of the lung: radiologic appearance. AJR Am J Roentgenol. 163:301–306. 1994. View Article : Google Scholar : PubMed/NCBI

19 

Honda O, Tsubamoto M, Inoue A, et al: Pulmonary cavitary nodules on computed tomography: differentiation of malignancy and benignancy. J Comput Assist Tomogr. 31:943–949. 2007. View Article : Google Scholar : PubMed/NCBI

Related Articles

  • Abstract
  • View
  • Download
  • Twitter
Copy and paste a formatted citation
Spandidos Publications style
Kurishima K, Ohara G, Kagohashi K, Watanabe H, Takayashiki N, Ishibashi A and Satoh H: Adenosquamous cell lung cancer successfully treated with gefitinib: A case report. Mol Clin Oncol 2: 282-284, 2014.
APA
Kurishima, K., Ohara, G., Kagohashi, K., Watanabe, H., Takayashiki, N., Ishibashi, A., & Satoh, H. (2014). Adenosquamous cell lung cancer successfully treated with gefitinib: A case report. Molecular and Clinical Oncology, 2, 282-284. https://doi.org/10.3892/mco.2013.221
MLA
Kurishima, K., Ohara, G., Kagohashi, K., Watanabe, H., Takayashiki, N., Ishibashi, A., Satoh, H."Adenosquamous cell lung cancer successfully treated with gefitinib: A case report". Molecular and Clinical Oncology 2.2 (2014): 282-284.
Chicago
Kurishima, K., Ohara, G., Kagohashi, K., Watanabe, H., Takayashiki, N., Ishibashi, A., Satoh, H."Adenosquamous cell lung cancer successfully treated with gefitinib: A case report". Molecular and Clinical Oncology 2, no. 2 (2014): 282-284. https://doi.org/10.3892/mco.2013.221
Copy and paste a formatted citation
x
Spandidos Publications style
Kurishima K, Ohara G, Kagohashi K, Watanabe H, Takayashiki N, Ishibashi A and Satoh H: Adenosquamous cell lung cancer successfully treated with gefitinib: A case report. Mol Clin Oncol 2: 282-284, 2014.
APA
Kurishima, K., Ohara, G., Kagohashi, K., Watanabe, H., Takayashiki, N., Ishibashi, A., & Satoh, H. (2014). Adenosquamous cell lung cancer successfully treated with gefitinib: A case report. Molecular and Clinical Oncology, 2, 282-284. https://doi.org/10.3892/mco.2013.221
MLA
Kurishima, K., Ohara, G., Kagohashi, K., Watanabe, H., Takayashiki, N., Ishibashi, A., Satoh, H."Adenosquamous cell lung cancer successfully treated with gefitinib: A case report". Molecular and Clinical Oncology 2.2 (2014): 282-284.
Chicago
Kurishima, K., Ohara, G., Kagohashi, K., Watanabe, H., Takayashiki, N., Ishibashi, A., Satoh, H."Adenosquamous cell lung cancer successfully treated with gefitinib: A case report". Molecular and Clinical Oncology 2, no. 2 (2014): 282-284. https://doi.org/10.3892/mco.2013.221
Follow us
  • Twitter
  • LinkedIn
  • Facebook
About
  • Spandidos Publications
  • Careers
  • Cookie Policy
  • Privacy Policy
How can we help?
  • Help
  • Live Chat
  • Contact
  • Email to our Support Team