Spandidos Publications Logo
  • About
    • About Spandidos
    • Aims and Scopes
    • Abstracting and Indexing
    • Editorial Policies
    • Reprints and Permissions
    • Job Opportunities
    • Terms and Conditions
    • Contact
  • Journals
    • All Journals
    • Oncology Letters
      • Oncology Letters
      • Information for Authors
      • Editorial Policies
      • Editorial Board
      • Aims and Scope
      • Abstracting and Indexing
      • Bibliographic Information
      • Archive
    • International Journal of Oncology
      • International Journal of Oncology
      • Information for Authors
      • Editorial Policies
      • Editorial Board
      • Aims and Scope
      • Abstracting and Indexing
      • Bibliographic Information
      • Archive
    • Molecular and Clinical Oncology
      • Molecular and Clinical Oncology
      • Information for Authors
      • Editorial Policies
      • Editorial Board
      • Aims and Scope
      • Abstracting and Indexing
      • Bibliographic Information
      • Archive
    • Experimental and Therapeutic Medicine
      • Experimental and Therapeutic Medicine
      • Information for Authors
      • Editorial Policies
      • Editorial Board
      • Aims and Scope
      • Abstracting and Indexing
      • Bibliographic Information
      • Archive
    • International Journal of Molecular Medicine
      • International Journal of Molecular Medicine
      • Information for Authors
      • Editorial Policies
      • Editorial Board
      • Aims and Scope
      • Abstracting and Indexing
      • Bibliographic Information
      • Archive
    • Biomedical Reports
      • Biomedical Reports
      • Information for Authors
      • Editorial Policies
      • Editorial Board
      • Aims and Scope
      • Abstracting and Indexing
      • Bibliographic Information
      • Archive
    • Oncology Reports
      • Oncology Reports
      • Information for Authors
      • Editorial Policies
      • Editorial Board
      • Aims and Scope
      • Abstracting and Indexing
      • Bibliographic Information
      • Archive
    • Molecular Medicine Reports
      • Molecular Medicine Reports
      • Information for Authors
      • Editorial Policies
      • Editorial Board
      • Aims and Scope
      • Abstracting and Indexing
      • Bibliographic Information
      • Archive
    • World Academy of Sciences Journal
      • World Academy of Sciences Journal
      • Information for Authors
      • Editorial Policies
      • Editorial Board
      • Aims and Scope
      • Abstracting and Indexing
      • Bibliographic Information
      • Archive
    • International Journal of Functional Nutrition
      • International Journal of Functional Nutrition
      • Information for Authors
      • Editorial Policies
      • Editorial Board
      • Aims and Scope
      • Abstracting and Indexing
      • Bibliographic Information
      • Archive
    • International Journal of Epigenetics
      • International Journal of Epigenetics
      • Information for Authors
      • Editorial Policies
      • Editorial Board
      • Aims and Scope
      • Abstracting and Indexing
      • Bibliographic Information
      • Archive
    • Medicine International
      • Medicine International
      • Information for Authors
      • Editorial Policies
      • Editorial Board
      • Aims and Scope
      • Abstracting and Indexing
      • Bibliographic Information
      • Archive
  • Articles
  • Information
    • Information for Authors
    • Information for Reviewers
    • Information for Librarians
    • Information for Advertisers
    • Conferences
  • Language Editing
Spandidos Publications Logo
  • About
    • About Spandidos
    • Aims and Scopes
    • Abstracting and Indexing
    • Editorial Policies
    • Reprints and Permissions
    • Job Opportunities
    • Terms and Conditions
    • Contact
  • Journals
    • All Journals
    • Biomedical Reports
      • Information for Authors
      • Editorial Policies
      • Editorial Board
      • Aims and Scope
      • Abstracting and Indexing
      • Bibliographic Information
      • Archive
    • Experimental and Therapeutic Medicine
      • Information for Authors
      • Editorial Policies
      • Editorial Board
      • Aims and Scope
      • Abstracting and Indexing
      • Bibliographic Information
      • Archive
    • International Journal of Epigenetics
      • Information for Authors
      • Editorial Policies
      • Editorial Board
      • Aims and Scope
      • Abstracting and Indexing
      • Bibliographic Information
      • Archive
    • International Journal of Functional Nutrition
      • Information for Authors
      • Editorial Policies
      • Editorial Board
      • Aims and Scope
      • Abstracting and Indexing
      • Bibliographic Information
      • Archive
    • International Journal of Molecular Medicine
      • Information for Authors
      • Editorial Policies
      • Editorial Board
      • Aims and Scope
      • Abstracting and Indexing
      • Bibliographic Information
      • Archive
    • International Journal of Oncology
      • Information for Authors
      • Editorial Policies
      • Editorial Board
      • Aims and Scope
      • Abstracting and Indexing
      • Bibliographic Information
      • Archive
    • Medicine International
      • Information for Authors
      • Editorial Policies
      • Editorial Board
      • Aims and Scope
      • Abstracting and Indexing
      • Bibliographic Information
      • Archive
    • Molecular and Clinical Oncology
      • Information for Authors
      • Editorial Policies
      • Editorial Board
      • Aims and Scope
      • Abstracting and Indexing
      • Bibliographic Information
      • Archive
    • Molecular Medicine Reports
      • Information for Authors
      • Editorial Policies
      • Editorial Board
      • Aims and Scope
      • Abstracting and Indexing
      • Bibliographic Information
      • Archive
    • Oncology Letters
      • Information for Authors
      • Editorial Policies
      • Editorial Board
      • Aims and Scope
      • Abstracting and Indexing
      • Bibliographic Information
      • Archive
    • Oncology Reports
      • Information for Authors
      • Editorial Policies
      • Editorial Board
      • Aims and Scope
      • Abstracting and Indexing
      • Bibliographic Information
      • Archive
    • World Academy of Sciences Journal
      • Information for Authors
      • Editorial Policies
      • Editorial Board
      • Aims and Scope
      • Abstracting and Indexing
      • Bibliographic Information
      • Archive
  • Articles
  • Information
    • For Authors
    • For Reviewers
    • For Librarians
    • For Advertisers
    • Conferences
  • Language Editing
Login Register Submit
  • This site uses cookies
  • You can change your cookie settings at any time by following the instructions in our Cookie Policy. To find out more, you may read our Privacy Policy.

    I agree
Search articles by DOI, keyword, author or affiliation
Search
Advanced Search
presentation
Molecular and Clinical Oncology
Join Editorial Board Propose a Special Issue
Print ISSN: 2049-9450 Online ISSN: 2049-9469
Journal Cover
July-2015 Volume 3 Issue 4

Full Size Image

Sign up for eToc alerts
Recommend to Library

Journals

International Journal of Molecular Medicine

International Journal of Molecular Medicine

International Journal of Molecular Medicine is an international journal devoted to molecular mechanisms of human disease.

International Journal of Oncology

International Journal of Oncology

International Journal of Oncology is an international journal devoted to oncology research and cancer treatment.

Molecular Medicine Reports

Molecular Medicine Reports

Covers molecular medicine topics such as pharmacology, pathology, genetics, neuroscience, infectious diseases, molecular cardiology, and molecular surgery.

Oncology Reports

Oncology Reports

Oncology Reports is an international journal devoted to fundamental and applied research in Oncology.

Experimental and Therapeutic Medicine

Experimental and Therapeutic Medicine

Experimental and Therapeutic Medicine is an international journal devoted to laboratory and clinical medicine.

Oncology Letters

Oncology Letters

Oncology Letters is an international journal devoted to Experimental and Clinical Oncology.

Biomedical Reports

Biomedical Reports

Explores a wide range of biological and medical fields, including pharmacology, genetics, microbiology, neuroscience, and molecular cardiology.

Molecular and Clinical Oncology

Molecular and Clinical Oncology

International journal addressing all aspects of oncology research, from tumorigenesis and oncogenes to chemotherapy and metastasis.

World Academy of Sciences Journal

World Academy of Sciences Journal

Multidisciplinary open-access journal spanning biochemistry, genetics, neuroscience, environmental health, and synthetic biology.

International Journal of Functional Nutrition

International Journal of Functional Nutrition

Open-access journal combining biochemistry, pharmacology, immunology, and genetics to advance health through functional nutrition.

International Journal of Epigenetics

International Journal of Epigenetics

Publishes open-access research on using epigenetics to advance understanding and treatment of human disease.

Medicine International

Medicine International

An International Open Access Journal Devoted to General Medicine.

Journal Cover
July-2015 Volume 3 Issue 4

Full Size Image

Sign up for eToc alerts
Recommend to Library

  • Article
  • Citations
    • Cite This Article
    • Download Citation
    • Create Citation Alert
    • Remove Citation Alert
    • Cited By
  • Similar Articles
    • Related Articles (in Spandidos Publications)
    • Similar Articles (Google Scholar)
    • Similar Articles (PubMed)
  • Download PDF
  • Download XML
  • View XML
Case Report

Primary Ewing's sarcoma of the sinonasal tract, eroding the ethmoid and sphenoid sinus with intracranial extension: A rare case report

  • Authors:
    • Maria Emanuela Negru
    • Andrea Pietro Sponghini
    • David Rondonotti
    • Francesca Platini
    • Marco Giavarra
    • Laura Forti
    • Mariangela Lombardi
    • Laura Masini
    • Renzo Boldorini
    • Alessandra Galetto
  • View Affiliations / Copyright

    Affiliations: Medical Oncology Unit, University Hospital Maggiore della Carità, I‑28100 Novara, Italy, Radiodiagnostic and Interventional Radiology Institute, University Hospital Maggiore della Carità, I‑28100 Novara, Italy, Department of Radiotherapy, University Hospital Maggiore della Carità, I‑28100 Novara, Italy, Department of Health Sciences, School of Medicine, University Hospital Maggiore della Carità, I‑28100 Novara, Italy
  • Pages: 807-810
    |
    Published online on: April 24, 2015
       https://doi.org/10.3892/mco.2015.548
  • Expand metrics +
Metrics: Total Views: 0 (Spandidos Publications: | PMC Statistics: )
Metrics: Total PDF Downloads: 0 (Spandidos Publications: | PMC Statistics: )
Cited By (CrossRef): 0 citations Loading Articles...

This article is mentioned in:



Abstract

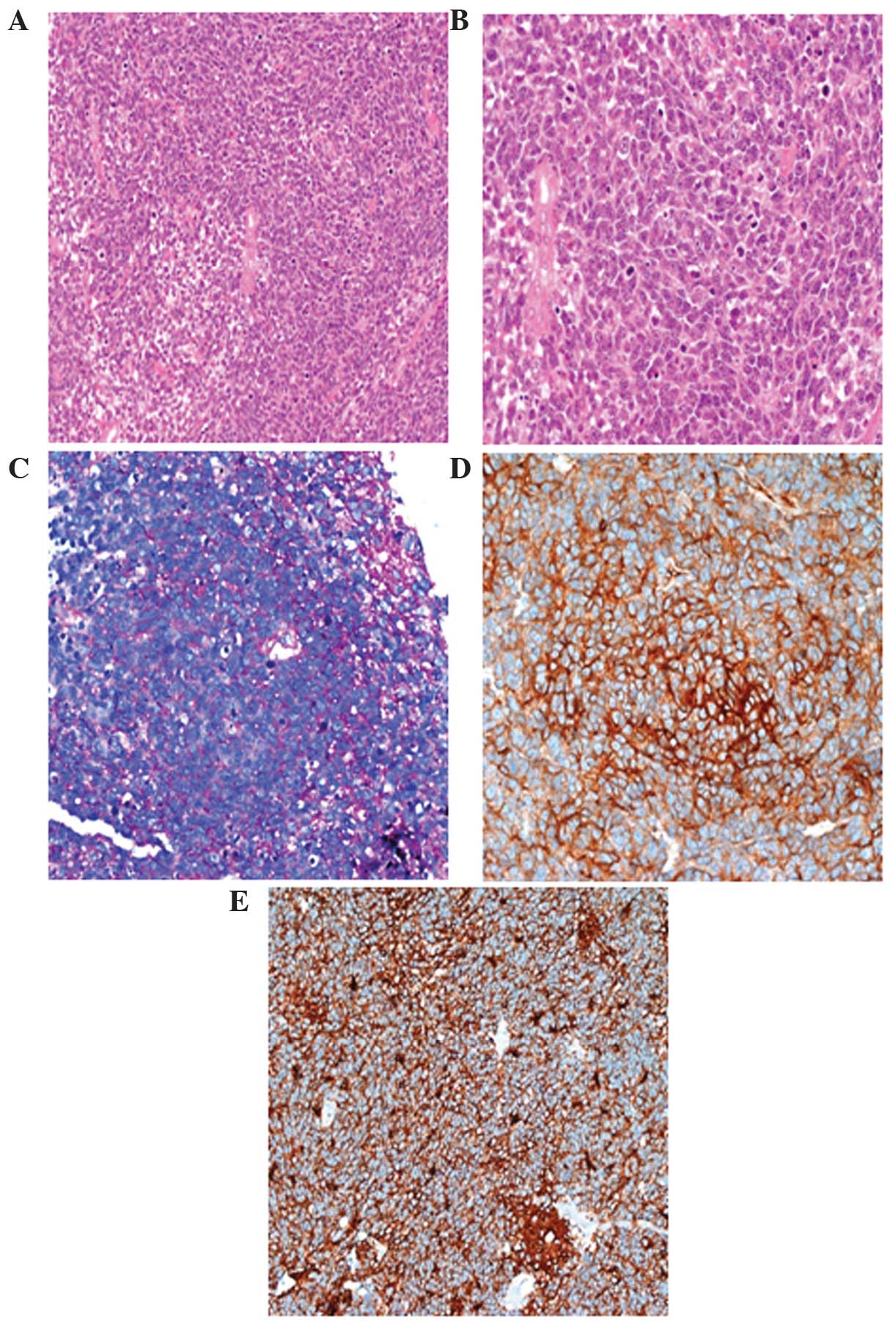
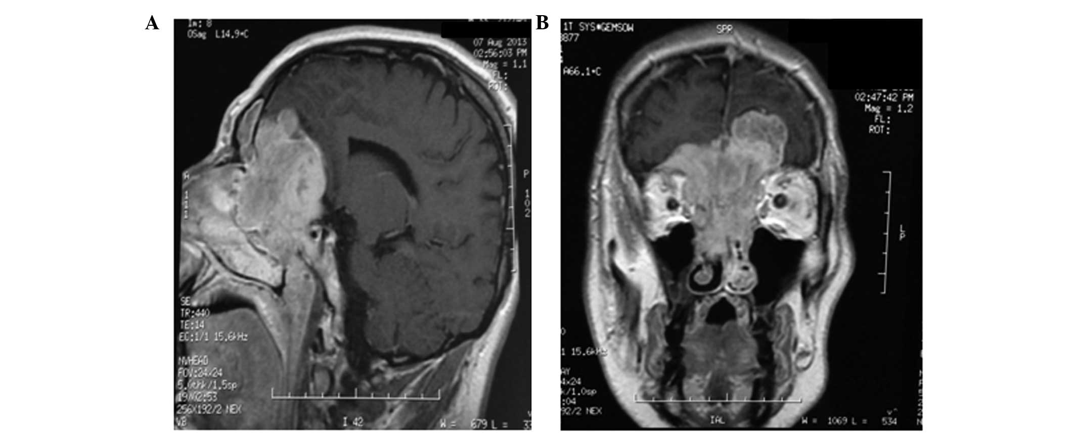
Ewing's sarcoma (ES) is an aggressive tumour that may present with skeletal and extraskeletal forms. The extraskeletal form is rarely encountered in the head and neck region and is extremely rare in the sinonasal tract. This is the case report of a ES of the ethmoid sinus with intracranial and orbital extension in a 33‑year‑old male patient who presented with anosmia, epistaxis, reduction of visual acuity in the left eye and headache. On otorhinolaryngological clinical examination and biopsy via flexible endoscope, the lesion was misdiagnosed as ethmoid sinus carcinoma. The subsequent magnetic resonance imaging (MRI) of the brain revealed a large mass (6x7 cm) eroding the ethmoid and sphenoid sinuses, extending beyond the orbits and occupying the anterior cranial fossa with a maximum extension of ~5 cm. The patient underwent surgical resection and the microscopic examination of the specimen established the diagnosis of ES (immunohistochemically positive for CD99, neuron‑specific enolase, CD56, synaptophysin, pancytokeratin, low‑molecular weight cytokeratins and vimentin. The periodic acid Schiff stain exhibited strong intracytoplasmic block positivity and fluorescence in situ hybridization revealed a t(22;11) translocation. first‑line chemotherapy was administered for 3 cycles; however, on restaging MRI, local disease progression was diagnosed. The patient received radiotherapy and second‑line chemotherapy for 6 cycles. At 15 months after the diagnosis, the patient remains recurrence-free and maintains a good functional status and quality of life.
View Figures

Figure 1

Figure 2

Figure 3

View References

1 

Tanboon J, Sitthinamsuwan B, Paruang T, Marrano P and Thorner PS: Primary intracranial Ewing sarcoma with an unusually aggressive course: A case report and review of the literature. Neuropathology. 32:293–300. 2012. View Article : Google Scholar : PubMed/NCBI

2 

Li M, Hoschar AP, Budd GT, Chao ST and Scharpf J: Primary Ewing's sarcoma of the ethmoid sinus with intracranial and orbital extension: Case report and literature review. Am J Otolaryngol. 34:563–568. 2013. View Article : Google Scholar : PubMed/NCBI

3 

Ewing J: Diffuse endothelioma of bone. Pathol Soc. 21:17–24. 1921.

4 

Balamuth NJ and Womer RB: Ewing's sarcoma. Lancet Oncol. 11:184–192. 2010. View Article : Google Scholar : PubMed/NCBI

5 

Yeshvanth SK, Ninan K, Bhandary SK, Lakshinarayana KP, Shetty JK and Makannavar JH: Rare case of extraskeletal Ewings sarcoma of the sinonasal tract. J Cancer Res Ther. 8:142–144. 2012. View Article : Google Scholar : PubMed/NCBI

6 

Delattre O, Zucman J, Melot T, et al: The Ewing family of tumors - a subgroup of small-round-cell tumors defined by specific chimeric transcripts. N Engl J Med. 331:294–299. 1994. View Article : Google Scholar : PubMed/NCBI

7 

de Bree R, van der Waal I, de Bree E and Leemans CR: Management of adult soft tissue sarcomas of the head and neck. Oral Oncol. 46:786–790. 2010. View Article : Google Scholar : PubMed/NCBI

8 

Whaley JT, Indelicato DJ, Morris CG, Hinerman RW, Amdur RJ, Mendenhall WM, Keole SR and Marcus RB Jr: Ewing tumors of the head and neck. Am J Clin Oncol. 33:321–326. 2010. View Article : Google Scholar : PubMed/NCBI

9 

Womer RB, West DC, Krailo MD, et al: Randomized controlled trial of interval-compressed chemotherapy for the treatment of localized Ewing sarcoma: A report from the Children's Oncology Group. J Clin Oncol. 30:4148–4154. 2012. View Article : Google Scholar : PubMed/NCBI

10 

Ahmed AA, Zia H and Wagner L: Therapy resistance mechanisms in Ewing's sarcoma family tumors. Cancer Chemother Pharmacol. 73:657–663. 2014. View Article : Google Scholar : PubMed/NCBI

Related Articles

  • Abstract
  • View
  • Download
  • Twitter
Copy and paste a formatted citation
Spandidos Publications style
Negru ME, Sponghini AP, Rondonotti D, Platini F, Giavarra M, Forti L, Lombardi M, Masini L, Boldorini R, Galetto A, Galetto A, et al: Primary Ewing's sarcoma of the sinonasal tract, eroding the ethmoid and sphenoid sinus with intracranial extension: A rare case report. Mol Clin Oncol 3: 807-810, 2015.
APA
Negru, M.E., Sponghini, A.P., Rondonotti, D., Platini, F., Giavarra, M., Forti, L. ... Galetto, A. (2015). Primary Ewing's sarcoma of the sinonasal tract, eroding the ethmoid and sphenoid sinus with intracranial extension: A rare case report. Molecular and Clinical Oncology, 3, 807-810. https://doi.org/10.3892/mco.2015.548
MLA
Negru, M. E., Sponghini, A. P., Rondonotti, D., Platini, F., Giavarra, M., Forti, L., Lombardi, M., Masini, L., Boldorini, R., Galetto, A."Primary Ewing's sarcoma of the sinonasal tract, eroding the ethmoid and sphenoid sinus with intracranial extension: A rare case report". Molecular and Clinical Oncology 3.4 (2015): 807-810.
Chicago
Negru, M. E., Sponghini, A. P., Rondonotti, D., Platini, F., Giavarra, M., Forti, L., Lombardi, M., Masini, L., Boldorini, R., Galetto, A."Primary Ewing's sarcoma of the sinonasal tract, eroding the ethmoid and sphenoid sinus with intracranial extension: A rare case report". Molecular and Clinical Oncology 3, no. 4 (2015): 807-810. https://doi.org/10.3892/mco.2015.548
Copy and paste a formatted citation
x
Spandidos Publications style
Negru ME, Sponghini AP, Rondonotti D, Platini F, Giavarra M, Forti L, Lombardi M, Masini L, Boldorini R, Galetto A, Galetto A, et al: Primary Ewing's sarcoma of the sinonasal tract, eroding the ethmoid and sphenoid sinus with intracranial extension: A rare case report. Mol Clin Oncol 3: 807-810, 2015.
APA
Negru, M.E., Sponghini, A.P., Rondonotti, D., Platini, F., Giavarra, M., Forti, L. ... Galetto, A. (2015). Primary Ewing's sarcoma of the sinonasal tract, eroding the ethmoid and sphenoid sinus with intracranial extension: A rare case report. Molecular and Clinical Oncology, 3, 807-810. https://doi.org/10.3892/mco.2015.548
MLA
Negru, M. E., Sponghini, A. P., Rondonotti, D., Platini, F., Giavarra, M., Forti, L., Lombardi, M., Masini, L., Boldorini, R., Galetto, A."Primary Ewing's sarcoma of the sinonasal tract, eroding the ethmoid and sphenoid sinus with intracranial extension: A rare case report". Molecular and Clinical Oncology 3.4 (2015): 807-810.
Chicago
Negru, M. E., Sponghini, A. P., Rondonotti, D., Platini, F., Giavarra, M., Forti, L., Lombardi, M., Masini, L., Boldorini, R., Galetto, A."Primary Ewing's sarcoma of the sinonasal tract, eroding the ethmoid and sphenoid sinus with intracranial extension: A rare case report". Molecular and Clinical Oncology 3, no. 4 (2015): 807-810. https://doi.org/10.3892/mco.2015.548
Follow us
  • Twitter
  • LinkedIn
  • Facebook
About
  • Spandidos Publications
  • Careers
  • Cookie Policy
  • Privacy Policy
How can we help?
  • Help
  • Live Chat
  • Contact
  • Email to our Support Team