Spandidos Publications Logo
  • About
    • About Spandidos
    • Aims and Scopes
    • Abstracting and Indexing
    • Editorial Policies
    • Reprints and Permissions
    • Job Opportunities
    • Terms and Conditions
    • Contact
  • Journals
    • All Journals
    • Oncology Letters
      • Oncology Letters
      • Information for Authors
      • Editorial Policies
      • Editorial Board
      • Aims and Scope
      • Abstracting and Indexing
      • Bibliographic Information
      • Archive
    • International Journal of Oncology
      • International Journal of Oncology
      • Information for Authors
      • Editorial Policies
      • Editorial Board
      • Aims and Scope
      • Abstracting and Indexing
      • Bibliographic Information
      • Archive
    • Molecular and Clinical Oncology
      • Molecular and Clinical Oncology
      • Information for Authors
      • Editorial Policies
      • Editorial Board
      • Aims and Scope
      • Abstracting and Indexing
      • Bibliographic Information
      • Archive
    • Experimental and Therapeutic Medicine
      • Experimental and Therapeutic Medicine
      • Information for Authors
      • Editorial Policies
      • Editorial Board
      • Aims and Scope
      • Abstracting and Indexing
      • Bibliographic Information
      • Archive
    • International Journal of Molecular Medicine
      • International Journal of Molecular Medicine
      • Information for Authors
      • Editorial Policies
      • Editorial Board
      • Aims and Scope
      • Abstracting and Indexing
      • Bibliographic Information
      • Archive
    • Biomedical Reports
      • Biomedical Reports
      • Information for Authors
      • Editorial Policies
      • Editorial Board
      • Aims and Scope
      • Abstracting and Indexing
      • Bibliographic Information
      • Archive
    • Oncology Reports
      • Oncology Reports
      • Information for Authors
      • Editorial Policies
      • Editorial Board
      • Aims and Scope
      • Abstracting and Indexing
      • Bibliographic Information
      • Archive
    • Molecular Medicine Reports
      • Molecular Medicine Reports
      • Information for Authors
      • Editorial Policies
      • Editorial Board
      • Aims and Scope
      • Abstracting and Indexing
      • Bibliographic Information
      • Archive
    • World Academy of Sciences Journal
      • World Academy of Sciences Journal
      • Information for Authors
      • Editorial Policies
      • Editorial Board
      • Aims and Scope
      • Abstracting and Indexing
      • Bibliographic Information
      • Archive
    • International Journal of Functional Nutrition
      • International Journal of Functional Nutrition
      • Information for Authors
      • Editorial Policies
      • Editorial Board
      • Aims and Scope
      • Abstracting and Indexing
      • Bibliographic Information
      • Archive
    • International Journal of Epigenetics
      • International Journal of Epigenetics
      • Information for Authors
      • Editorial Policies
      • Editorial Board
      • Aims and Scope
      • Abstracting and Indexing
      • Bibliographic Information
      • Archive
    • Medicine International
      • Medicine International
      • Information for Authors
      • Editorial Policies
      • Editorial Board
      • Aims and Scope
      • Abstracting and Indexing
      • Bibliographic Information
      • Archive
  • Articles
  • Information
    • Information for Authors
    • Information for Reviewers
    • Information for Librarians
    • Information for Advertisers
    • Conferences
  • Language Editing
Spandidos Publications Logo
  • About
    • About Spandidos
    • Aims and Scopes
    • Abstracting and Indexing
    • Editorial Policies
    • Reprints and Permissions
    • Job Opportunities
    • Terms and Conditions
    • Contact
  • Journals
    • All Journals
    • Biomedical Reports
      • Information for Authors
      • Editorial Policies
      • Editorial Board
      • Aims and Scope
      • Abstracting and Indexing
      • Bibliographic Information
      • Archive
    • Experimental and Therapeutic Medicine
      • Information for Authors
      • Editorial Policies
      • Editorial Board
      • Aims and Scope
      • Abstracting and Indexing
      • Bibliographic Information
      • Archive
    • International Journal of Epigenetics
      • Information for Authors
      • Editorial Policies
      • Editorial Board
      • Aims and Scope
      • Abstracting and Indexing
      • Bibliographic Information
      • Archive
    • International Journal of Functional Nutrition
      • Information for Authors
      • Editorial Policies
      • Editorial Board
      • Aims and Scope
      • Abstracting and Indexing
      • Bibliographic Information
      • Archive
    • International Journal of Molecular Medicine
      • Information for Authors
      • Editorial Policies
      • Editorial Board
      • Aims and Scope
      • Abstracting and Indexing
      • Bibliographic Information
      • Archive
    • International Journal of Oncology
      • Information for Authors
      • Editorial Policies
      • Editorial Board
      • Aims and Scope
      • Abstracting and Indexing
      • Bibliographic Information
      • Archive
    • Medicine International
      • Information for Authors
      • Editorial Policies
      • Editorial Board
      • Aims and Scope
      • Abstracting and Indexing
      • Bibliographic Information
      • Archive
    • Molecular and Clinical Oncology
      • Information for Authors
      • Editorial Policies
      • Editorial Board
      • Aims and Scope
      • Abstracting and Indexing
      • Bibliographic Information
      • Archive
    • Molecular Medicine Reports
      • Information for Authors
      • Editorial Policies
      • Editorial Board
      • Aims and Scope
      • Abstracting and Indexing
      • Bibliographic Information
      • Archive
    • Oncology Letters
      • Information for Authors
      • Editorial Policies
      • Editorial Board
      • Aims and Scope
      • Abstracting and Indexing
      • Bibliographic Information
      • Archive
    • Oncology Reports
      • Information for Authors
      • Editorial Policies
      • Editorial Board
      • Aims and Scope
      • Abstracting and Indexing
      • Bibliographic Information
      • Archive
    • World Academy of Sciences Journal
      • Information for Authors
      • Editorial Policies
      • Editorial Board
      • Aims and Scope
      • Abstracting and Indexing
      • Bibliographic Information
      • Archive
  • Articles
  • Information
    • For Authors
    • For Reviewers
    • For Librarians
    • For Advertisers
    • Conferences
  • Language Editing
Login Register Submit
  • This site uses cookies
  • You can change your cookie settings at any time by following the instructions in our Cookie Policy. To find out more, you may read our Privacy Policy.

    I agree
Search articles by DOI, keyword, author or affiliation
Search
Advanced Search
presentation
Molecular and Clinical Oncology
Join Editorial Board Propose a Special Issue
Print ISSN: 2049-9450 Online ISSN: 2049-9469
Journal Cover
November-2015 Volume 3 Issue 6

Full Size Image

Sign up for eToc alerts
Recommend to Library

Journals

International Journal of Molecular Medicine

International Journal of Molecular Medicine

International Journal of Molecular Medicine is an international journal devoted to molecular mechanisms of human disease.

International Journal of Oncology

International Journal of Oncology

International Journal of Oncology is an international journal devoted to oncology research and cancer treatment.

Molecular Medicine Reports

Molecular Medicine Reports

Covers molecular medicine topics such as pharmacology, pathology, genetics, neuroscience, infectious diseases, molecular cardiology, and molecular surgery.

Oncology Reports

Oncology Reports

Oncology Reports is an international journal devoted to fundamental and applied research in Oncology.

Experimental and Therapeutic Medicine

Experimental and Therapeutic Medicine

Experimental and Therapeutic Medicine is an international journal devoted to laboratory and clinical medicine.

Oncology Letters

Oncology Letters

Oncology Letters is an international journal devoted to Experimental and Clinical Oncology.

Biomedical Reports

Biomedical Reports

Explores a wide range of biological and medical fields, including pharmacology, genetics, microbiology, neuroscience, and molecular cardiology.

Molecular and Clinical Oncology

Molecular and Clinical Oncology

International journal addressing all aspects of oncology research, from tumorigenesis and oncogenes to chemotherapy and metastasis.

World Academy of Sciences Journal

World Academy of Sciences Journal

Multidisciplinary open-access journal spanning biochemistry, genetics, neuroscience, environmental health, and synthetic biology.

International Journal of Functional Nutrition

International Journal of Functional Nutrition

Open-access journal combining biochemistry, pharmacology, immunology, and genetics to advance health through functional nutrition.

International Journal of Epigenetics

International Journal of Epigenetics

Publishes open-access research on using epigenetics to advance understanding and treatment of human disease.

Medicine International

Medicine International

An International Open Access Journal Devoted to General Medicine.

Journal Cover
November-2015 Volume 3 Issue 6

Full Size Image

Sign up for eToc alerts
Recommend to Library

  • Article
  • Citations
    • Cite This Article
    • Download Citation
    • Create Citation Alert
    • Remove Citation Alert
    • Cited By
  • Similar Articles
    • Related Articles (in Spandidos Publications)
    • Similar Articles (Google Scholar)
    • Similar Articles (PubMed)
  • Download PDF
  • Download XML
  • View XML
Case Report

Severe ileitis associated with capecitabine: Two case reports and review of the literature

  • Authors:
    • Shing Fung Lee
    • Chi Leung Chiang
    • Ann Shing Lee
    • Frank Chi Shing Wong
    • Stewart Yuk Tung
  • View Affiliations / Copyright

    Affiliations: Department of Clinical Oncology, Tuen Mun Hospital, Tuen Mun, Hong Kong, SAR, P.R. China
  • Pages: 1398-1400
    |
    Published online on: September 2, 2015
       https://doi.org/10.3892/mco.2015.635
  • Expand metrics +
Metrics: Total Views: 0 (Spandidos Publications: | PMC Statistics: )
Metrics: Total PDF Downloads: 0 (Spandidos Publications: | PMC Statistics: )
Cited By (CrossRef): 0 citations Loading Articles...

This article is mentioned in:



Abstract

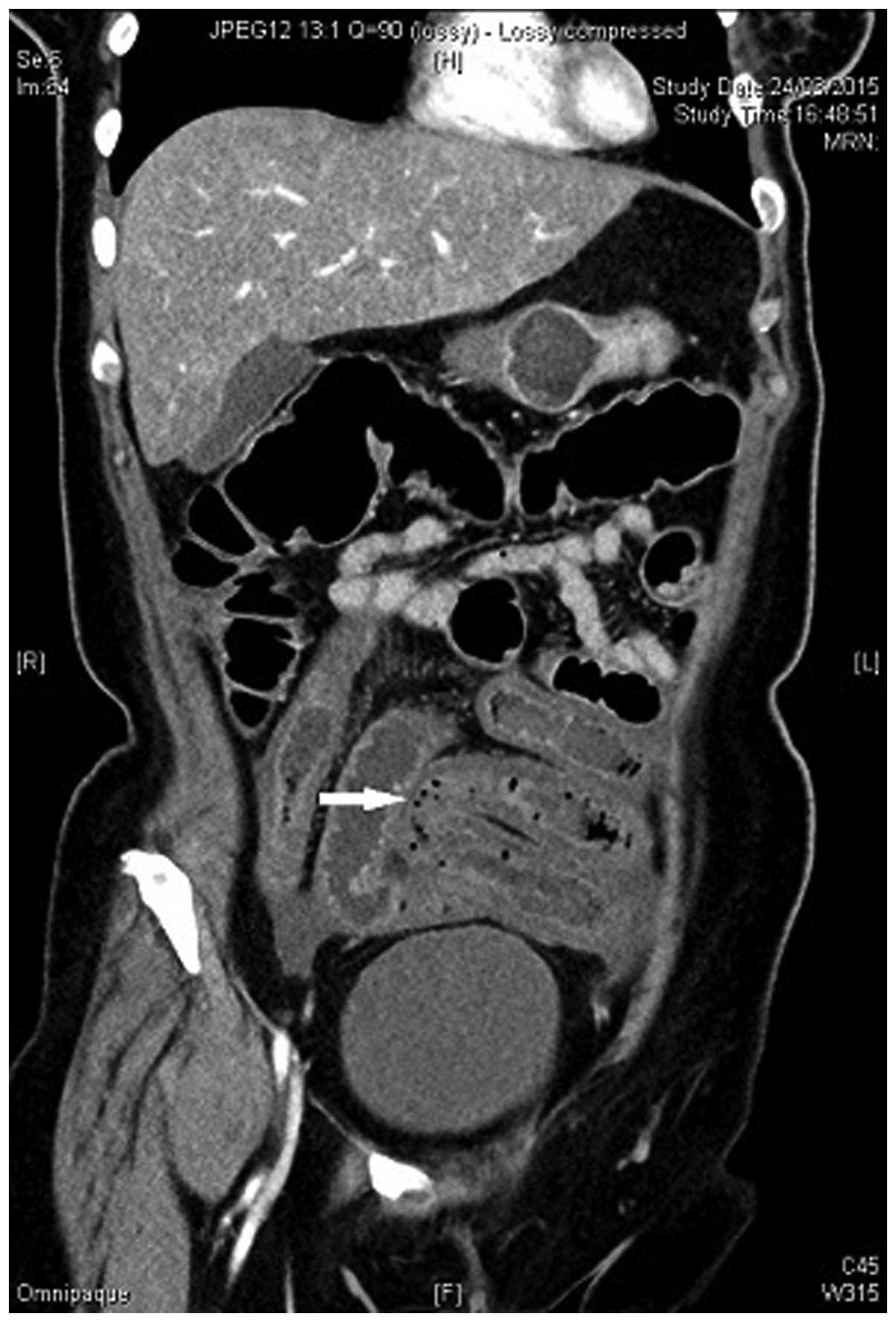
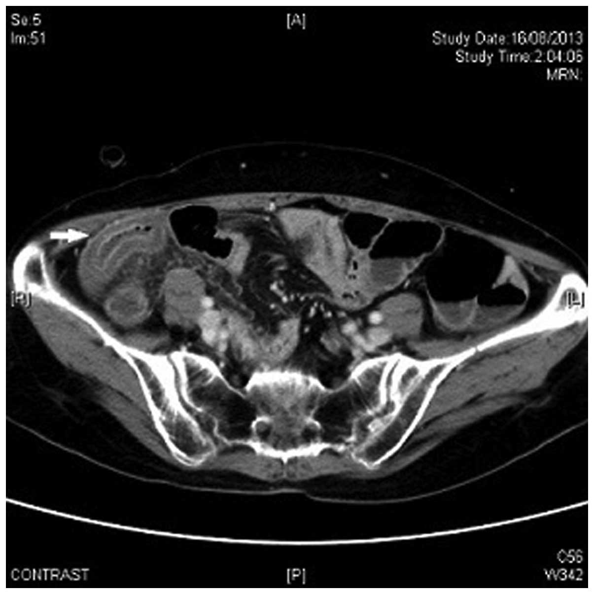
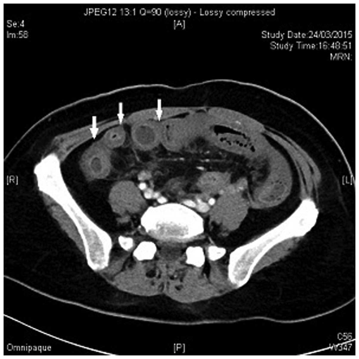
Capecitabine is a commonly used anticancer drug, which has been associated with adverse events, including skin and gastrointestinal symptoms, such as vomiting and diarrhea. We herein present treated two rare cases of capecitabine‑associated ileitis. In one of the patients, ileitis occurred during combination chemotherapy for metastatic colon cancer, despite previous good tolerance to this drug; the other patient developed ileitis following adjuvant single‑agent treatment. The first case is unlike previously reported cases, in which patients had no past exposure to capecitabine. Ileitis may be severe but reversible with early diagnosis and proper supportive treatment, and patients may resume chemotherapy following capecitabine discontinuation.
View Figures

Figure 1

Figure 2

Figure 3

Figure 4

View References

1 

Saif MW, Katirtzoglou NA and Syrigos KN: Capecitabine: An overview of the side effects and their management. Anticancer Drugs. 19:447–464. 2008.PubMed/NCBI

2 

Radwan R, Namelo WC, Robinson M, Brewster AE and Williams GL: Ileitis secondary to oral capecitabine treatment? Case Rep Med. 154981(2012)2012.

3 

Bouma G and Imholz AL: Ileitis following capecitabine use. Ned Tijdschr Geneeskd. 155:A30642011.([In Dutch]). PubMed/NCBI

4 

Al-Gahmi AM, Kerr IG, Zekri JM and Zagnoon AA: Capecitabine-induced terminal ileitis. Ann Saudi Med. 32:661–662. 2012.PubMed/NCBI

5 

Shoemaker LK, Arora U and Rocha Lima CM: 5-fluorouracil-induced coronary vasospasm. Cancer Contr. 11:46–49. 2004.

6 

Jensen SA and Sørensen JB: 5-fluorouracil-based therapy induces endovascular injury having potential significance to development of clinically overt cardiotoxicity. Cancer Chemother Pharmacol. 69:57–64. 2012. View Article : Google Scholar : PubMed/NCBI

7 

Kuzel T, Esparaz B, Green D and Kies M: Thrombogenicity of intravenous 5-fluorouracil alone or in combination with cisplatin. Cancer. 65:885–889. 1990. View Article : Google Scholar : PubMed/NCBI

8 

Bucaloiu ID, Dubagunta S, Pachipala KK, Kamal N and Fata F: Small-cell cancers, and an unusual reaction to chemotherapy: Case 4. Fluorouracil-related small bowel vasculitis. J Clin Oncol. 21:2442–2443. 2003.PubMed/NCBI

9 

Soares PM, Mota JM, Souza EP, Justino PF, Franco AX, Cunha FQ, Ribeiro RA and Souza MH: Inflammatory intestinal damage induced by 5-fluorouracil requires IL-4. Cytokine. 61:46–49. 2013. View Article : Google Scholar : PubMed/NCBI

10 

Badgwell BD, Camp ER, Feig B, Wolff RA, Eng C, Ellis LM and Cormier JN: Management of bevacizumab-associated bowel perforation: A case series and review of the literature. Ann Oncol. 19:577–582. 2008. View Article : Google Scholar : PubMed/NCBI

Related Articles

  • Abstract
  • View
  • Download
  • Twitter
Copy and paste a formatted citation
Spandidos Publications style
Lee SF, Chiang CL, Lee AS, Wong FC and Tung SY: Severe ileitis associated with capecitabine: Two case reports and review of the literature. Mol Clin Oncol 3: 1398-1400, 2015.
APA
Lee, S.F., Chiang, C.L., Lee, A.S., Wong, F.C., & Tung, S.Y. (2015). Severe ileitis associated with capecitabine: Two case reports and review of the literature. Molecular and Clinical Oncology, 3, 1398-1400. https://doi.org/10.3892/mco.2015.635
MLA
Lee, S. F., Chiang, C. L., Lee, A. S., Wong, F. C., Tung, S. Y."Severe ileitis associated with capecitabine: Two case reports and review of the literature". Molecular and Clinical Oncology 3.6 (2015): 1398-1400.
Chicago
Lee, S. F., Chiang, C. L., Lee, A. S., Wong, F. C., Tung, S. Y."Severe ileitis associated with capecitabine: Two case reports and review of the literature". Molecular and Clinical Oncology 3, no. 6 (2015): 1398-1400. https://doi.org/10.3892/mco.2015.635
Copy and paste a formatted citation
x
Spandidos Publications style
Lee SF, Chiang CL, Lee AS, Wong FC and Tung SY: Severe ileitis associated with capecitabine: Two case reports and review of the literature. Mol Clin Oncol 3: 1398-1400, 2015.
APA
Lee, S.F., Chiang, C.L., Lee, A.S., Wong, F.C., & Tung, S.Y. (2015). Severe ileitis associated with capecitabine: Two case reports and review of the literature. Molecular and Clinical Oncology, 3, 1398-1400. https://doi.org/10.3892/mco.2015.635
MLA
Lee, S. F., Chiang, C. L., Lee, A. S., Wong, F. C., Tung, S. Y."Severe ileitis associated with capecitabine: Two case reports and review of the literature". Molecular and Clinical Oncology 3.6 (2015): 1398-1400.
Chicago
Lee, S. F., Chiang, C. L., Lee, A. S., Wong, F. C., Tung, S. Y."Severe ileitis associated with capecitabine: Two case reports and review of the literature". Molecular and Clinical Oncology 3, no. 6 (2015): 1398-1400. https://doi.org/10.3892/mco.2015.635
Follow us
  • Twitter
  • LinkedIn
  • Facebook
About
  • Spandidos Publications
  • Careers
  • Cookie Policy
  • Privacy Policy
How can we help?
  • Help
  • Live Chat
  • Contact
  • Email to our Support Team