Spandidos Publications Logo
  • About
    • About Spandidos
    • Aims and Scopes
    • Abstracting and Indexing
    • Editorial Policies
    • Reprints and Permissions
    • Job Opportunities
    • Terms and Conditions
    • Contact
  • Journals
    • All Journals
    • Oncology Letters
      • Oncology Letters
      • Information for Authors
      • Editorial Policies
      • Editorial Board
      • Aims and Scope
      • Abstracting and Indexing
      • Bibliographic Information
      • Archive
    • International Journal of Oncology
      • International Journal of Oncology
      • Information for Authors
      • Editorial Policies
      • Editorial Board
      • Aims and Scope
      • Abstracting and Indexing
      • Bibliographic Information
      • Archive
    • Molecular and Clinical Oncology
      • Molecular and Clinical Oncology
      • Information for Authors
      • Editorial Policies
      • Editorial Board
      • Aims and Scope
      • Abstracting and Indexing
      • Bibliographic Information
      • Archive
    • Experimental and Therapeutic Medicine
      • Experimental and Therapeutic Medicine
      • Information for Authors
      • Editorial Policies
      • Editorial Board
      • Aims and Scope
      • Abstracting and Indexing
      • Bibliographic Information
      • Archive
    • International Journal of Molecular Medicine
      • International Journal of Molecular Medicine
      • Information for Authors
      • Editorial Policies
      • Editorial Board
      • Aims and Scope
      • Abstracting and Indexing
      • Bibliographic Information
      • Archive
    • Biomedical Reports
      • Biomedical Reports
      • Information for Authors
      • Editorial Policies
      • Editorial Board
      • Aims and Scope
      • Abstracting and Indexing
      • Bibliographic Information
      • Archive
    • Oncology Reports
      • Oncology Reports
      • Information for Authors
      • Editorial Policies
      • Editorial Board
      • Aims and Scope
      • Abstracting and Indexing
      • Bibliographic Information
      • Archive
    • Molecular Medicine Reports
      • Molecular Medicine Reports
      • Information for Authors
      • Editorial Policies
      • Editorial Board
      • Aims and Scope
      • Abstracting and Indexing
      • Bibliographic Information
      • Archive
    • World Academy of Sciences Journal
      • World Academy of Sciences Journal
      • Information for Authors
      • Editorial Policies
      • Editorial Board
      • Aims and Scope
      • Abstracting and Indexing
      • Bibliographic Information
      • Archive
    • International Journal of Functional Nutrition
      • International Journal of Functional Nutrition
      • Information for Authors
      • Editorial Policies
      • Editorial Board
      • Aims and Scope
      • Abstracting and Indexing
      • Bibliographic Information
      • Archive
    • International Journal of Epigenetics
      • International Journal of Epigenetics
      • Information for Authors
      • Editorial Policies
      • Editorial Board
      • Aims and Scope
      • Abstracting and Indexing
      • Bibliographic Information
      • Archive
    • Medicine International
      • Medicine International
      • Information for Authors
      • Editorial Policies
      • Editorial Board
      • Aims and Scope
      • Abstracting and Indexing
      • Bibliographic Information
      • Archive
  • Articles
  • Information
    • Information for Authors
    • Information for Reviewers
    • Information for Librarians
    • Information for Advertisers
    • Conferences
  • Language Editing
Spandidos Publications Logo
  • About
    • About Spandidos
    • Aims and Scopes
    • Abstracting and Indexing
    • Editorial Policies
    • Reprints and Permissions
    • Job Opportunities
    • Terms and Conditions
    • Contact
  • Journals
    • All Journals
    • Biomedical Reports
      • Information for Authors
      • Editorial Policies
      • Editorial Board
      • Aims and Scope
      • Abstracting and Indexing
      • Bibliographic Information
      • Archive
    • Experimental and Therapeutic Medicine
      • Information for Authors
      • Editorial Policies
      • Editorial Board
      • Aims and Scope
      • Abstracting and Indexing
      • Bibliographic Information
      • Archive
    • International Journal of Epigenetics
      • Information for Authors
      • Editorial Policies
      • Editorial Board
      • Aims and Scope
      • Abstracting and Indexing
      • Bibliographic Information
      • Archive
    • International Journal of Functional Nutrition
      • Information for Authors
      • Editorial Policies
      • Editorial Board
      • Aims and Scope
      • Abstracting and Indexing
      • Bibliographic Information
      • Archive
    • International Journal of Molecular Medicine
      • Information for Authors
      • Editorial Policies
      • Editorial Board
      • Aims and Scope
      • Abstracting and Indexing
      • Bibliographic Information
      • Archive
    • International Journal of Oncology
      • Information for Authors
      • Editorial Policies
      • Editorial Board
      • Aims and Scope
      • Abstracting and Indexing
      • Bibliographic Information
      • Archive
    • Medicine International
      • Information for Authors
      • Editorial Policies
      • Editorial Board
      • Aims and Scope
      • Abstracting and Indexing
      • Bibliographic Information
      • Archive
    • Molecular and Clinical Oncology
      • Information for Authors
      • Editorial Policies
      • Editorial Board
      • Aims and Scope
      • Abstracting and Indexing
      • Bibliographic Information
      • Archive
    • Molecular Medicine Reports
      • Information for Authors
      • Editorial Policies
      • Editorial Board
      • Aims and Scope
      • Abstracting and Indexing
      • Bibliographic Information
      • Archive
    • Oncology Letters
      • Information for Authors
      • Editorial Policies
      • Editorial Board
      • Aims and Scope
      • Abstracting and Indexing
      • Bibliographic Information
      • Archive
    • Oncology Reports
      • Information for Authors
      • Editorial Policies
      • Editorial Board
      • Aims and Scope
      • Abstracting and Indexing
      • Bibliographic Information
      • Archive
    • World Academy of Sciences Journal
      • Information for Authors
      • Editorial Policies
      • Editorial Board
      • Aims and Scope
      • Abstracting and Indexing
      • Bibliographic Information
      • Archive
  • Articles
  • Information
    • For Authors
    • For Reviewers
    • For Librarians
    • For Advertisers
    • Conferences
  • Language Editing
Login Register Submit
  • This site uses cookies
  • You can change your cookie settings at any time by following the instructions in our Cookie Policy. To find out more, you may read our Privacy Policy.

    I agree
Search articles by DOI, keyword, author or affiliation
Search
Advanced Search
presentation
Molecular and Clinical Oncology
Join Editorial Board Propose a Special Issue
Print ISSN: 2049-9450 Online ISSN: 2049-9469
Journal Cover
November-2015 Volume 3 Issue 6

Full Size Image

Sign up for eToc alerts
Recommend to Library

Journals

International Journal of Molecular Medicine

International Journal of Molecular Medicine

International Journal of Molecular Medicine is an international journal devoted to molecular mechanisms of human disease.

International Journal of Oncology

International Journal of Oncology

International Journal of Oncology is an international journal devoted to oncology research and cancer treatment.

Molecular Medicine Reports

Molecular Medicine Reports

Covers molecular medicine topics such as pharmacology, pathology, genetics, neuroscience, infectious diseases, molecular cardiology, and molecular surgery.

Oncology Reports

Oncology Reports

Oncology Reports is an international journal devoted to fundamental and applied research in Oncology.

Experimental and Therapeutic Medicine

Experimental and Therapeutic Medicine

Experimental and Therapeutic Medicine is an international journal devoted to laboratory and clinical medicine.

Oncology Letters

Oncology Letters

Oncology Letters is an international journal devoted to Experimental and Clinical Oncology.

Biomedical Reports

Biomedical Reports

Explores a wide range of biological and medical fields, including pharmacology, genetics, microbiology, neuroscience, and molecular cardiology.

Molecular and Clinical Oncology

Molecular and Clinical Oncology

International journal addressing all aspects of oncology research, from tumorigenesis and oncogenes to chemotherapy and metastasis.

World Academy of Sciences Journal

World Academy of Sciences Journal

Multidisciplinary open-access journal spanning biochemistry, genetics, neuroscience, environmental health, and synthetic biology.

International Journal of Functional Nutrition

International Journal of Functional Nutrition

Open-access journal combining biochemistry, pharmacology, immunology, and genetics to advance health through functional nutrition.

International Journal of Epigenetics

International Journal of Epigenetics

Publishes open-access research on using epigenetics to advance understanding and treatment of human disease.

Medicine International

Medicine International

An International Open Access Journal Devoted to General Medicine.

Journal Cover
November-2015 Volume 3 Issue 6

Full Size Image

Sign up for eToc alerts
Recommend to Library

  • Article
  • Citations
    • Cite This Article
    • Download Citation
    • Create Citation Alert
    • Remove Citation Alert
    • Cited By
  • Similar Articles
    • Related Articles (in Spandidos Publications)
    • Similar Articles (Google Scholar)
    • Similar Articles (PubMed)
  • Download PDF
  • Download XML
  • View XML
Article

Role of CXC chemokine receptor type 7 in carcinogenesis and lymph node metastasis of colon cancer

  • Authors:
    • Hong Xian Wang
    • Lin Yu Tao
    • Ke Qi
    • Hao Yun Zhang
    • Duo Feng
    • Wen Jun Wei
    • Heng Kong
    • Tian Wen Chen
    • Qiu Sheng Lin
    • Dao Jin Chen
  • View Affiliations / Copyright

    Affiliations: Department of Surgery, Nanshan Affiliated Hospital, Guangdong Medical College, Shenzhen, Guangdong 518052, P.R. China, Department of Surgery, The Third Xiangya Hospital, Central South University, Changsha, Hunan 410083, P.R. China
  • Pages: 1229-1232
    |
    Published online on: September 15, 2015
       https://doi.org/10.3892/mco.2015.643
  • Expand metrics +
Metrics: Total Views: 0 (Spandidos Publications: | PMC Statistics: )
Metrics: Total PDF Downloads: 0 (Spandidos Publications: | PMC Statistics: )
Cited By (CrossRef): 0 citations Loading Articles...

This article is mentioned in:



Abstract

Upregulated expression of the CXC chemokine receptor type 7 (CXCR7) promotes breast, lung and prostate cancer progression and metastasis. However, the role of CXCR7 in colon cancer has not been determined. We hypothesized that increased CXCR7 expression may contribute to human colon cancer occurrence and progression. Reverse transcription quantitative polymerase chain reaction and western blot analysis were performed on 34 malignant and 18 normal colon tissue specimens. The specimens were obtained from 19 male and 15 female patients, with a mean age of 52 years (range, 34‑79 years). Of the 34 patients, 20 had lymph node metastases. None of the patients had received adjuvant radiotherapy or chemotherapy prior to surgery. This study demonstrated that CXCR7 levels were significantly higher in colon tumors compared with those in normal colon tissue (P﹤0.01). In addition, lymph node metastatic colon tumors exhibited significantly higher CXCR7 expression compared with non-metastatic tumors (P﹤0.01); however, there were no differences in CXCR7 expression among distinct histopathological types (well‑differentiated vs. moderately‑to‑poorly differentiated adenocarcinoma, P﹥0.01). Therefore, the evidence obtained from the present study supports involvement of the upregulated CXCR7 expression in colon tumorigenesis and lymph node metastasis.

Introduction

Several chemokine receptors have been implicated in tumorigenesis and metastasis of various tumors (1). CXC chemokine ligand 12 (CXCL12), also known as stromal cell-derived factor-1 (SDF-1), plays an important role in progression and organ-specific metastasis of several carcinomas (2), partly through stimulation of the G protein-coupled receptor, CXCR4. However, CXCR4 inhibition only partially inhibits tumor progression in vivo, suggesting that other factors contribute to epithelial cancer progression (3).

CXCR7, formerly known as orphan receptor RDC1, was recently identified as a second CXCL12/SDF-1 receptor. Specifically, high-affinity CXCR7-CXCL12/SDF-1 interactions activate chemotaxis in CXCR7-expressing tumor cells and promote tumor growth and metastasis in animal models (1,2). Moreover, increased CXCR7 expression directly correlates with greater tumor aggressiveness (3). Recent studies support a mechanistic role for CXCR7 in several malignancies, including lung cancer (1,4), prostate cancer (3), malignant pheochromocytomas (5), papillary thyroid carcinoma (6), ovarian cancer (7), hepatocellular carcinoma (8), breast cancer (9) and Kaposi's sarcoma (10). However, hardly any previous reports have definitively linked CXCR7 upregulation with human colon cancer and related lymph node metastasis and histopathology.

To the best of our knowledge, this study is the first to investigate the association of CXCR7 mRNA and protein upregulation with colon cancer using reverse transcription quantitative polymerase chain reaction (RT-qPCR) and western blot analysis, and determine CXCR7 expression in relation to lymph node metastasis.

Patients and methods

Patients

Tissue samples from 34 human colon tumors and 18 normal colon tissue specimens were obtained from 34 patients with primary colon cancer. The patient cohort comprised 19 male and 15 female patients, with a mean age of 52 years (range, 34–79 years). None of the patients had received adjuvant radiotherapy or chemotherapy prior to surgery. Patients with rectal primary tumors were excluded.

The tumor specimens were dissected from resected colon cancer tissues and the normal colon specimens were obtained from the distal resected colon margin. All the resected primary tumors and lymph nodes were histologically examined with hematoxylin and eosin staining. Of the 34 colon cancer patients, 20 were diagnosed with lymph node metastasis. Histologically, 24 patients had well-differentiated adenocarcinomas and 10 had moderately-to-poorly differentiated adenocarcinomas. The 18 normal colon specimens were determined to be tumor-free by histological examination. All the dissected samples were snap-frozen in liquid nitrogen and preserved at −80°C until RNA or protein extraction.

This study was approved by the Institutional Review Board of the Third Xiangya Hospital of Central South University (Hunan, China).

RT-qPCR analysis

Total RNA was extracted using TRIzol (Invitrogen Life Technologies, Carlsbad, CA, USA) according to the manufacturer's instructions. RNA was treated with RQ1 RNase-Free DNase (Promega Corporation, Madison, WI, USA). The RT reaction was performed using the RevertAid™ RT kit (Fermentas Life Technologies, Carlsbad, CA, USA) with 1 µl RNA template, 1 µl oligo(dT) primer (0.5 µg/µl), 4 µl X5 reaction buffer, 1 µl RNase inhibitor, 2 µl dNTPs (10 mM) and 1 µl reverse transcriptase. The reaction mixture (20 µl) was incubated at 42°C for 60 min, then at 70°C for 10 min, followed by cooling on ice. RT-qPCR was performed on the resulting cDNA, using the manufacturer's protocol (Takara Bio Inc., Shiga, Japan), in 25 µl reaction volume per capillary. The gene-specific primer sequences (Invitrogen) were as follows: CXCR7 forward, 5′-CCGTTCCCTTCTCCATTATCGCTGTCTTCT-3′ and reverse, 5′-GTGAAGAGGGCGTGCTCCAGCCGGCAG GTGAA-3′; β-actin forward, 5′-GCGAGAAGATGACCC AGATC-3′ and reverse, 5′-CCAGTGGTACGGCCAGAGG-3′. The reaction mixture contained 12.5 µl SYBR® Premix Ex Taq™ II (2×), 2 µl cDNA template, 1 µl primer pair mixture and dH2O. RT-qPCR amplification consisted of an initial denaturation step (95°C for 5 min), 40 cycles of denaturation (94°C for 20 sec), annealing (53°C for 20 sec) and extension (72°C for 20 sec), followed by final incubation at 72°C for 5 min. All the measurements were normalized to the expression of the 28S ribosomal genes, considered as stable housekeeping genes (β-actin). Gene expression was determined using the ΔΔCt method: 2−ΔΔCT (ΔΔCt = [Ct (CXCR7) - Ct (β-actin)]target - [Ct (CXCR7)-Ct (β-actin)]internal standard).

The CXCR7mRNA sequence was obtained from GenBank (accession no. NM_020311).

Western blot analysis

The tissue samples were lysed in ice-cold RIPA buffer (Beyotime Institute of Biotechnology, Shanghai, China). The protein concentrations were determined using bicinchoninic acid (Pierce Biotechnology, Inc., Rockford, IL, USA) from lysates clarified by centrifugation at 12,000 rpm for 20 min. Equivalent protein quantities (30–50 µg) were separated by denaturing SDS-PAGE electrophoresis, transferred to PVDF membranes and blocked in Tris-buffered saline (TBS) containing 5% non-fat dried milk and 0.05% Tween-20. The membranes were incubated overnight with the appropriate primary antibodies (rabbit anti-human CXCR7 antibody and rabbit anti-human GAPDH antibody; both from Abcam, Cambridge, UK) at dilutions specified by the manufacturer, then washed 4 times in TBS/Tween-20 and incubated with horseradish peroxidase-conjugated secondary antibody (goat anti-rabbit IgG HRP conjugate; Dako, Glostrup, Denmark). Blots were then developed using an enhanced chemiluminescence kit (Beyotime). The resulting values were reported as CXCR7/GAPDH densitometric arbitrary units.

Statistical analysis

RT-qPCR data are reported as medians and evaluated statistically using the non-parametric Mann-Whitney test. Western blot analysis data are reported as means ± standard deviations and statistically analyzed using t-tests. The differences were considered statistically significant at P-values of <0.05.

Results

CXCR7 expression is increased in colon cancer

CXCR7 expression was found to be upregulated in human colon cancer and was associated with lymph node metastasis.

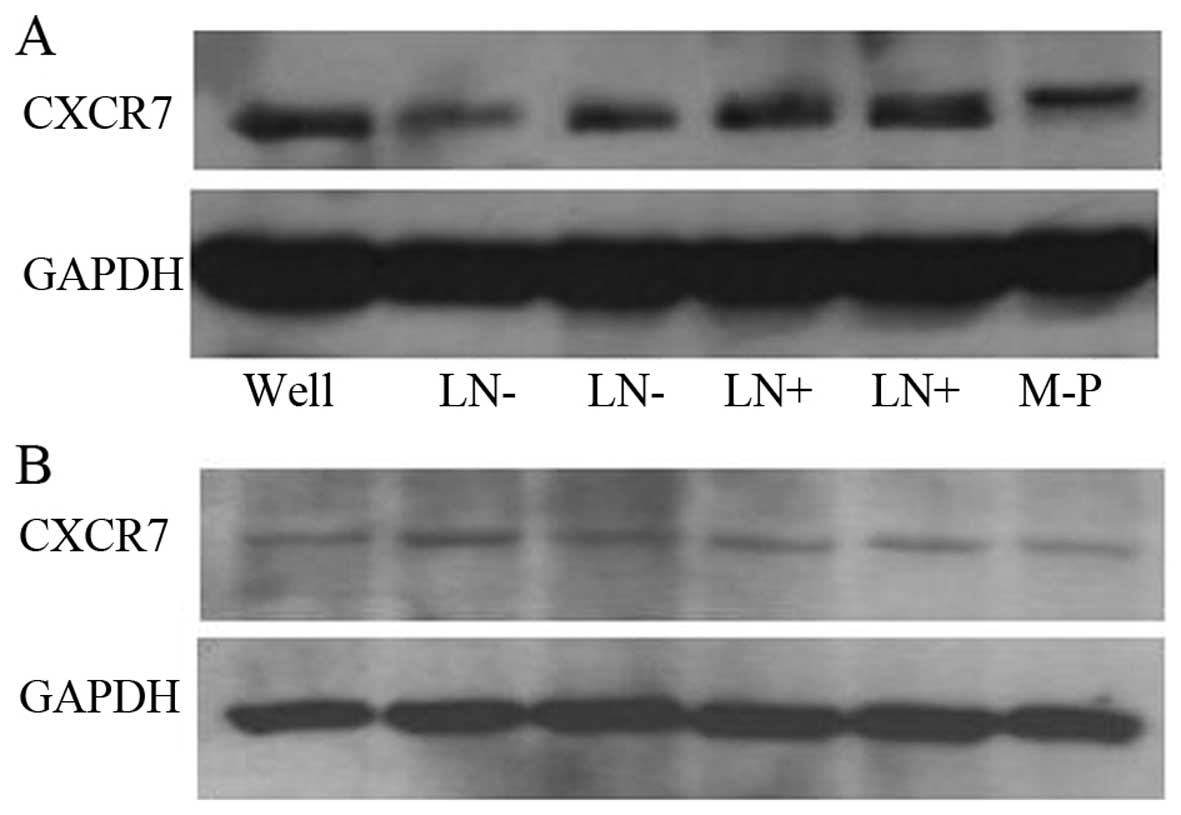
The normalized CXCR7 mRNA and protein levels were significantly higher in colon cancer tissues, compared with those in normal colon tissues (Table I, Z=5.868, P<0.001; Figs. 1 and 2, t=4.25, P<0.001). These are the first data demonstrating CXCR7 upregulation in human colon cancer.

Figure 1.

The CXC chemokine receptor type 7 (CXCR7) protein expression was quantified by IOD (CXCR7/GAPDH) by western blot analysis: Colon cancer tissue (Ca.) and normal colon tissues (Nor.), P﹤0.05; tumors with and those without lymph node (LN) metastases (LN+ and LN-, respectively), P﹤0.05; well-differentiated adenocarcinomas (Well) and moderately-to-poorly differentiated adenocarcinomas (M-P), P﹥0.05. SD, standard deviation; IOD, integrated optical density.

Figure 2.

Western blot analysis of CXC chemokine receptor type 7 (CXCR7) protein expression in (A) colon tumors and (B) normal colon tissues. CXCR7 protein expression was found to be increased in colon tumors compared with that in normal colon tissues. In addition, the CXCR7 protein was increased in colon tumors with lymph node metastases (LN-) compared with the non-metastatic group (LN+). No significant difference was observed between well-differentiated adenocarcinomas (Well) and moderately-to-poorly differentiated adenocarcinomas (M-P).

Table I.

Analysis of clinicopathological factors and CXCR7 mRNA expression (RT-qPCR).

Table I.

Analysis of clinicopathological factors and CXCR7 mRNA expression (RT-qPCR).

Clinicopathological factorsNo.MIQRZ-valueP-value
Normal colon tissues180.220.2165.868<0.001
Colon cancer tissue341.140.85
Lymph node metastatic status
  Positive201.4551.5533.92<0.001
  Negative140.740.585
Histological classification
  Wella241.4151.3561.0960.273
  M-Pb101.0650.233

a Well-differentiated adenocarcinoma.

b Moderately-to-poorly differentiated adenocarcinoma. CXCR7, CXC chemokine receptor type 7; RT-qPCR, reverse transcription quantitative polymerase chain reaction; M, median; IQR, interquartile range.

Our 34 colon cancer patients were divided into lymph node metastatic (20 patients, positive) and non-metastatic (14 patients, negative) groups. Additionally, the patients were classified histopathologically into 24 cases with well-differentiated and 10 cases with moderately-to-poorly differentiated adenocarcinomas. The CXCR7 mRNA levels were significantly different between the positive and negative lymph node groups (Table I, Z=3.92, P<0.001). Moreover, CXCR7 mRNA upregulation was positively correlated with lymph node metastasis, namely colon tumors with metastatic lymph nodes exhibited higher CXCR7 levels, whereas non-metastatic tumors exhibited lower CXCR7 expression. No significant difference was found based on histopathological criteria (Table I, Z=1.096, P=0.273). CXCR7 protein expression was consistent with our CXCR7 mRNA results. The CXCR7 protein level was significantly increased in colon tumors with lymph node metastases compared with the non-metastatic group (Figs. 1 and 2, t=5.36, P<0.001), whereas no significant difference was observed between histopathologically distinct tumor types (Figs. 1 and 2, t=1.768, P=0.089). Therefore, our results suggest that CXCR7 mRNA and protein upregulation is correlated with lymph node metastasis, but is not associated with the histopathological type.

Discussion

Chemokines are a group of low-molecular-weight proteins that regulate cell trafficking by binding to specific G-protein-coupled seven-span transmembrane receptors on target cells. Chemokine receptors are classified by the type of chemokines they bind (CXC, CC, XC, CX3C), followed by R for receptor and a number indicating the order of discovery (2). A number of chemokine receptors have >1 known ligand and several chemokines are able to activate >1 receptor. Thus, there is significant promiscuity in chemokine/receptor signaling.

The chemokine CXCL12/SDF-1 regulates a number of essential biological processes, including cardiac and neuronal development, stem cell motility, neovascularization, angiogenesis and apoptosis. In particular, CXCL12/SDF-1 promotes primary tumor growth and progression to metastasis. These processes are mediated by SDF-1 via its canonical receptor, known as CXCR4 (4).

However, the metastatic behavior of carcinomas was only partially blocked by CXCR4 inhibition in vivo, suggesting that other genes may be involved in CXCL12/SDF-1-mediated tumorigenesis (3). An alternate receptor, the G-protein-coupled receptor CXCR7 (formerly known as RDC1) was recently shown to bind with high affinity to CXCL12/SDF-1 and CXCL11/I-TAC. Membrane-associated CXCR7 is expressed on a number of tumor cell lines, activated endothelial cells and fetal liver cells, but is absent on other cell types (4). A receptor exhibited a four-fold higher expression in malignant pheochromocytomas compared with benign ones (5). Ectopic CXCR7 expression in NIH 3T3 cells significantly increased cell proliferation and formed tumors when xenografted in nude mice (10). CXCR7 overexpression provided tumor cells with increased adhesive and invasive properties, in addition to a growth and survival advantage in vivo. By contrast, CXCR7 downregulation using RNA interference exerted opposite effects. Specifically, RNAi-mediated CXCR7 downregulation inhibited tumor cell adhesion and invasion, thus conferring growth and survival disadvantages in vivo (1,3). Xue et al (8) demonstrated that CXCR7 enhances the risk of extrahepatic metastasis in relatively well-differentiated hepatocellular carcinomas, potentially functioned by upregulation of osteopontin.

Several studies reported that CXCR7 regulates tumor development in vivo. Specifically, CXCR7 was shown to enhance tumor formation from breast, lung and prostate cancer cells (1,3) and promoted experimental lung metastases from breast and osteosarcoma in mouse models (1,11). Furthermore, several human malignancies, including breast, lung, cervical, prostate, renal and esophageal tumors, pancreatic adenocarcinoma, Kaposi's sarcoma and cutaneous squamous cell carcinoma, were found to express elevated CXCR7 levels compared with normal tissues (1,3,10,12,13). Additionally, in the majority of human cancers, the CXCR7 expression levels increased as the tumors became more aggressive.

Despite this evidence, a CXCR7 pathogenic mechanism has not been clearly determined. CD44 and cadherin-11 are among the potential downstream targets of CXCR7, which likely contribute to tumor cell invasiveness. CXCR7 also regulates the expression of the pro-angiogenic factors interleukin-8 or vascular endothelial growth factor (3). It was recently suggested that the biological effect of proliferation was attenuated and cell cycle arrest was caused by CXCR7 silencing in MCF-7 human breast cancer cells. Furthermore, CXCR7 knockdown attenuated the levels of phosphorylated epithelial growth factor receptor (EGFR) at tyrosine 1110 following EGF-stimulation and also decreased the phosphorylation of extracellular signal-regulated protein kinases 1 and 2 (ERK1/2) in MCF-7 cells (9). Liu et al (14) observed that CXCR7 knockdown by siRNA decreased the phosphorylation of ERK1/2 and attenuated cell proliferation, invasion and migration in multiple glioblastoma multiforme cell lines. Therefore, we hypothesize that CXCR7 is involved in colon cancer development and lymph node metastasis.

The aim of the present study was to demonstrate that upregulated CXCR7 was correlated with human colon cancer. Our data indicated that the CXCR7 transcript level was significantly elevated in colon cancer compared with normal colon tissue using a combination of mRNA and protein detection, and suggest that elevated CXCR7 expression promotes colon carcinogenesis. Additionally, as CXCR7 was found to be expressed, although at lower levels, in normal colon tissues, it is likely involved in non-malignant processes within the human colon.

Our results unequivocally demonstrated that CXCR7 was significantly upregulated in colon tumors with lymph node metastasis compared with non-metastatic colon tumors. These results are consistent with previous findings in prostate cancer (3). Lymph node status was a significant risk factor predicting cancer recurrence (15). Our study suggests that CXCR7 may be an important predictor of lymph node metastasis in colon cancer, but does not account for histopathological differences among colon cancer types. The sample size of the present study may not be optimal, but should be sufficient to draw a conclusion that may guide clinical decision-making.

Acknowledgements

We would like to thank Professor Xiaowei Xing and Dr Hongwei Lv (Centralab of Xiangya Third Hospital of Central South University) for technical assistance and proofreading of the manuscript. We would also like to thank Professor Huiqing Mao (Medical College of Qinghai University) for helping with the data analysis.

References

1 

Miao Z, Luker KE, Summers BC, et al: CXCR7 (RDC1) promotes breast and lung tumor growth in vivo and is expressed on tumor-associated vasculature. Proc Natl Acad Sci USA. 104:15735–15740. 2007. View Article : Google Scholar : PubMed/NCBI

2 

Ghanem I, Riveiro ME, Paradis V, et al: Insights on the CXCL12-CXCR4 axis in hepatocellular carcinoma carcinogenesis. Am J Transl Res. 6:340–352. 2014.PubMed/NCBI

3 

Wang J, Shiozawa Y, Wang J, et al: The role of CXCR7/RDC1 as a chemokine receptor for CXCL12/SDF-1 in prostate cancer. J Biol Chem. 283:4283–4294. 2008. View Article : Google Scholar : PubMed/NCBI

4 

Burns JM, Summers BC, Wang Y, et al: A novel chemokine receptor for SDF-1 and I-TAC involved in cell survival, cell adhesion, and tumor development. J Exp Med. 203:2201–2213. 2006. View Article : Google Scholar : PubMed/NCBI

5 

Thouënnon E, Pierre A, Tanguy Y, et al: Expression of trophic amidated peptides and their receptors in benign and malignant pheochromocytomas: high expression of adrenomedullin RDC1 receptor and implication in tumoral cell survival. Endocr Relat Cancer. 17:637–651. 2010. View Article : Google Scholar : PubMed/NCBI

6 

Liu Z, Yang L, Teng X, et al: The involvement of CXCR7 in modulating the progression of papillary thyroid carcinoma. J Surg Res. 91:379–388. 2014. View Article : Google Scholar

7 

Yu Y, Li H, Xue B, et al: SDF-1/CXCR7 axis enhances ovarian cancer cell invasion by MMP-9 expression through p38 MAPK pathway. DNA Cell Biol. 33:543–549. 2014. View Article : Google Scholar : PubMed/NCBI

8 

Xue TC, Chen RX, Ren ZG, et al: Transmembrane receptor CXCR7 increases the risk of extrahepatic metastasis of relatively well-differentiated hepatocellular carcinoma through upregulation of osteopontin. Oncol Rep. 30:105–110. 2013.PubMed/NCBI

9 

Salazar N, Muñoz D, Kallifatidis G, et al: The chemokine receptor CXCR7 interacts with EGFR to promote breast cancer cell proliferation. Mol Cancer. 13:1982014. View Article : Google Scholar : PubMed/NCBI

10 

Raggo C, Ruhl R, McAllister S, et al: Novel cellular genes essential for transformation of endothelial cells by Kaposi's sarcoma-associated herpesvirus. Cancer Res. 65:5084–5095. 2005. View Article : Google Scholar : PubMed/NCBI

11 

Goguet-Surmenian E, Richard-Fiardo P, Guillemot E, et al: CXCR7-mediated progression of osteosarcoma in the lungs. Br J Cancer. 109:1579–1585. 2013. View Article : Google Scholar : PubMed/NCBI

12 

Liu Z, Teng XY, Meng XP and Wang BS: Expression of stromal cell-derived factor 1 and CXCR7 ligand receptor system in pancreatic adenocarcinoma. World J Surg Oncol. 12:3482014. View Article : Google Scholar : PubMed/NCBI

13 

Hu SC, Yu HS, Yen FL, et al: CXCR7 expression correlates with tumor depth in cutaneous squamous cell carcinoma skin lesions and promotes tumor cell survival through ERK activation. Exp Dermatol. 23:902–908. 2014. View Article : Google Scholar : PubMed/NCBI

14 

Liu Y, Carson-Walter E and Walter KA: Targeting chemokine receptor CXCR7 inhibits glioma cell proliferation and mobility. Anticancer Res. 35:53–64. 2015.PubMed/NCBI

15 

Gill S, Haince JF, Shi Q, et al: Prognostic value of molecular detection of lymph node metastases after curative resection of stage II colon cancer: A systematic pooled data analysis. Clin Colorectal Cancer. Dec 24–2014.(Epub ahead of print). View Article : Google Scholar : PubMed/NCBI

Related Articles

  • Abstract
  • View
  • Download
  • Twitter
Copy and paste a formatted citation
Spandidos Publications style
Wang HX, Tao LY, Qi K, Zhang HY, Feng D, Wei WJ, Kong H, Chen TW, Lin QS, Chen DJ, Chen DJ, et al: Role of CXC chemokine receptor type 7 in carcinogenesis and lymph node metastasis of colon cancer. Mol Clin Oncol 3: 1229-1232, 2015.
APA
Wang, H.X., Tao, L.Y., Qi, K., Zhang, H.Y., Feng, D., Wei, W.J. ... Chen, D.J. (2015). Role of CXC chemokine receptor type 7 in carcinogenesis and lymph node metastasis of colon cancer. Molecular and Clinical Oncology, 3, 1229-1232. https://doi.org/10.3892/mco.2015.643
MLA
Wang, H. X., Tao, L. Y., Qi, K., Zhang, H. Y., Feng, D., Wei, W. J., Kong, H., Chen, T. W., Lin, Q. S., Chen, D. J."Role of CXC chemokine receptor type 7 in carcinogenesis and lymph node metastasis of colon cancer". Molecular and Clinical Oncology 3.6 (2015): 1229-1232.
Chicago
Wang, H. X., Tao, L. Y., Qi, K., Zhang, H. Y., Feng, D., Wei, W. J., Kong, H., Chen, T. W., Lin, Q. S., Chen, D. J."Role of CXC chemokine receptor type 7 in carcinogenesis and lymph node metastasis of colon cancer". Molecular and Clinical Oncology 3, no. 6 (2015): 1229-1232. https://doi.org/10.3892/mco.2015.643
Copy and paste a formatted citation
x
Spandidos Publications style
Wang HX, Tao LY, Qi K, Zhang HY, Feng D, Wei WJ, Kong H, Chen TW, Lin QS, Chen DJ, Chen DJ, et al: Role of CXC chemokine receptor type 7 in carcinogenesis and lymph node metastasis of colon cancer. Mol Clin Oncol 3: 1229-1232, 2015.
APA
Wang, H.X., Tao, L.Y., Qi, K., Zhang, H.Y., Feng, D., Wei, W.J. ... Chen, D.J. (2015). Role of CXC chemokine receptor type 7 in carcinogenesis and lymph node metastasis of colon cancer. Molecular and Clinical Oncology, 3, 1229-1232. https://doi.org/10.3892/mco.2015.643
MLA
Wang, H. X., Tao, L. Y., Qi, K., Zhang, H. Y., Feng, D., Wei, W. J., Kong, H., Chen, T. W., Lin, Q. S., Chen, D. J."Role of CXC chemokine receptor type 7 in carcinogenesis and lymph node metastasis of colon cancer". Molecular and Clinical Oncology 3.6 (2015): 1229-1232.
Chicago
Wang, H. X., Tao, L. Y., Qi, K., Zhang, H. Y., Feng, D., Wei, W. J., Kong, H., Chen, T. W., Lin, Q. S., Chen, D. J."Role of CXC chemokine receptor type 7 in carcinogenesis and lymph node metastasis of colon cancer". Molecular and Clinical Oncology 3, no. 6 (2015): 1229-1232. https://doi.org/10.3892/mco.2015.643
Follow us
  • Twitter
  • LinkedIn
  • Facebook
About
  • Spandidos Publications
  • Careers
  • Cookie Policy
  • Privacy Policy
How can we help?
  • Help
  • Live Chat
  • Contact
  • Email to our Support Team