Spandidos Publications Logo
  • About
    • About Spandidos
    • Aims and Scopes
    • Abstracting and Indexing
    • Editorial Policies
    • Reprints and Permissions
    • Job Opportunities
    • Terms and Conditions
    • Contact
  • Journals
    • All Journals
    • Oncology Letters
      • Oncology Letters
      • Information for Authors
      • Editorial Policies
      • Editorial Board
      • Aims and Scope
      • Abstracting and Indexing
      • Bibliographic Information
      • Archive
    • International Journal of Oncology
      • International Journal of Oncology
      • Information for Authors
      • Editorial Policies
      • Editorial Board
      • Aims and Scope
      • Abstracting and Indexing
      • Bibliographic Information
      • Archive
    • Molecular and Clinical Oncology
      • Molecular and Clinical Oncology
      • Information for Authors
      • Editorial Policies
      • Editorial Board
      • Aims and Scope
      • Abstracting and Indexing
      • Bibliographic Information
      • Archive
    • Experimental and Therapeutic Medicine
      • Experimental and Therapeutic Medicine
      • Information for Authors
      • Editorial Policies
      • Editorial Board
      • Aims and Scope
      • Abstracting and Indexing
      • Bibliographic Information
      • Archive
    • International Journal of Molecular Medicine
      • International Journal of Molecular Medicine
      • Information for Authors
      • Editorial Policies
      • Editorial Board
      • Aims and Scope
      • Abstracting and Indexing
      • Bibliographic Information
      • Archive
    • Biomedical Reports
      • Biomedical Reports
      • Information for Authors
      • Editorial Policies
      • Editorial Board
      • Aims and Scope
      • Abstracting and Indexing
      • Bibliographic Information
      • Archive
    • Oncology Reports
      • Oncology Reports
      • Information for Authors
      • Editorial Policies
      • Editorial Board
      • Aims and Scope
      • Abstracting and Indexing
      • Bibliographic Information
      • Archive
    • Molecular Medicine Reports
      • Molecular Medicine Reports
      • Information for Authors
      • Editorial Policies
      • Editorial Board
      • Aims and Scope
      • Abstracting and Indexing
      • Bibliographic Information
      • Archive
    • World Academy of Sciences Journal
      • World Academy of Sciences Journal
      • Information for Authors
      • Editorial Policies
      • Editorial Board
      • Aims and Scope
      • Abstracting and Indexing
      • Bibliographic Information
      • Archive
    • International Journal of Functional Nutrition
      • International Journal of Functional Nutrition
      • Information for Authors
      • Editorial Policies
      • Editorial Board
      • Aims and Scope
      • Abstracting and Indexing
      • Bibliographic Information
      • Archive
    • International Journal of Epigenetics
      • International Journal of Epigenetics
      • Information for Authors
      • Editorial Policies
      • Editorial Board
      • Aims and Scope
      • Abstracting and Indexing
      • Bibliographic Information
      • Archive
    • Medicine International
      • Medicine International
      • Information for Authors
      • Editorial Policies
      • Editorial Board
      • Aims and Scope
      • Abstracting and Indexing
      • Bibliographic Information
      • Archive
  • Articles
  • Information
    • Information for Authors
    • Information for Reviewers
    • Information for Librarians
    • Information for Advertisers
    • Conferences
  • Language Editing
Spandidos Publications Logo
  • About
    • About Spandidos
    • Aims and Scopes
    • Abstracting and Indexing
    • Editorial Policies
    • Reprints and Permissions
    • Job Opportunities
    • Terms and Conditions
    • Contact
  • Journals
    • All Journals
    • Biomedical Reports
      • Information for Authors
      • Editorial Policies
      • Editorial Board
      • Aims and Scope
      • Abstracting and Indexing
      • Bibliographic Information
      • Archive
    • Experimental and Therapeutic Medicine
      • Information for Authors
      • Editorial Policies
      • Editorial Board
      • Aims and Scope
      • Abstracting and Indexing
      • Bibliographic Information
      • Archive
    • International Journal of Epigenetics
      • Information for Authors
      • Editorial Policies
      • Editorial Board
      • Aims and Scope
      • Abstracting and Indexing
      • Bibliographic Information
      • Archive
    • International Journal of Functional Nutrition
      • Information for Authors
      • Editorial Policies
      • Editorial Board
      • Aims and Scope
      • Abstracting and Indexing
      • Bibliographic Information
      • Archive
    • International Journal of Molecular Medicine
      • Information for Authors
      • Editorial Policies
      • Editorial Board
      • Aims and Scope
      • Abstracting and Indexing
      • Bibliographic Information
      • Archive
    • International Journal of Oncology
      • Information for Authors
      • Editorial Policies
      • Editorial Board
      • Aims and Scope
      • Abstracting and Indexing
      • Bibliographic Information
      • Archive
    • Medicine International
      • Information for Authors
      • Editorial Policies
      • Editorial Board
      • Aims and Scope
      • Abstracting and Indexing
      • Bibliographic Information
      • Archive
    • Molecular and Clinical Oncology
      • Information for Authors
      • Editorial Policies
      • Editorial Board
      • Aims and Scope
      • Abstracting and Indexing
      • Bibliographic Information
      • Archive
    • Molecular Medicine Reports
      • Information for Authors
      • Editorial Policies
      • Editorial Board
      • Aims and Scope
      • Abstracting and Indexing
      • Bibliographic Information
      • Archive
    • Oncology Letters
      • Information for Authors
      • Editorial Policies
      • Editorial Board
      • Aims and Scope
      • Abstracting and Indexing
      • Bibliographic Information
      • Archive
    • Oncology Reports
      • Information for Authors
      • Editorial Policies
      • Editorial Board
      • Aims and Scope
      • Abstracting and Indexing
      • Bibliographic Information
      • Archive
    • World Academy of Sciences Journal
      • Information for Authors
      • Editorial Policies
      • Editorial Board
      • Aims and Scope
      • Abstracting and Indexing
      • Bibliographic Information
      • Archive
  • Articles
  • Information
    • For Authors
    • For Reviewers
    • For Librarians
    • For Advertisers
    • Conferences
  • Language Editing
Login Register Submit
  • This site uses cookies
  • You can change your cookie settings at any time by following the instructions in our Cookie Policy. To find out more, you may read our Privacy Policy.

    I agree
Search articles by DOI, keyword, author or affiliation
Search
Advanced Search
presentation
Molecular and Clinical Oncology
Join Editorial Board Propose a Special Issue
Print ISSN: 2049-9450 Online ISSN: 2049-9469
Journal Cover
February-2016 Volume 4 Issue 2

Full Size Image

Sign up for eToc alerts
Recommend to Library

Journals

International Journal of Molecular Medicine

International Journal of Molecular Medicine

International Journal of Molecular Medicine is an international journal devoted to molecular mechanisms of human disease.

International Journal of Oncology

International Journal of Oncology

International Journal of Oncology is an international journal devoted to oncology research and cancer treatment.

Molecular Medicine Reports

Molecular Medicine Reports

Covers molecular medicine topics such as pharmacology, pathology, genetics, neuroscience, infectious diseases, molecular cardiology, and molecular surgery.

Oncology Reports

Oncology Reports

Oncology Reports is an international journal devoted to fundamental and applied research in Oncology.

Experimental and Therapeutic Medicine

Experimental and Therapeutic Medicine

Experimental and Therapeutic Medicine is an international journal devoted to laboratory and clinical medicine.

Oncology Letters

Oncology Letters

Oncology Letters is an international journal devoted to Experimental and Clinical Oncology.

Biomedical Reports

Biomedical Reports

Explores a wide range of biological and medical fields, including pharmacology, genetics, microbiology, neuroscience, and molecular cardiology.

Molecular and Clinical Oncology

Molecular and Clinical Oncology

International journal addressing all aspects of oncology research, from tumorigenesis and oncogenes to chemotherapy and metastasis.

World Academy of Sciences Journal

World Academy of Sciences Journal

Multidisciplinary open-access journal spanning biochemistry, genetics, neuroscience, environmental health, and synthetic biology.

International Journal of Functional Nutrition

International Journal of Functional Nutrition

Open-access journal combining biochemistry, pharmacology, immunology, and genetics to advance health through functional nutrition.

International Journal of Epigenetics

International Journal of Epigenetics

Publishes open-access research on using epigenetics to advance understanding and treatment of human disease.

Medicine International

Medicine International

An International Open Access Journal Devoted to General Medicine.

Journal Cover
February-2016 Volume 4 Issue 2

Full Size Image

Sign up for eToc alerts
Recommend to Library

  • Article
  • Citations
    • Cite This Article
    • Download Citation
    • Create Citation Alert
    • Remove Citation Alert
    • Cited By
  • Similar Articles
    • Related Articles (in Spandidos Publications)
    • Similar Articles (Google Scholar)
    • Similar Articles (PubMed)
  • Download PDF
  • Download XML
  • View XML
Article Open Access

Clinical characteristics and pathology of thyroid‑like follicular carcinoma of the kidney: Report of 3 cases and a literature review

  • Authors:
    • Fan Chen
    • Yang Wang
    • Xiuzhen Wu
    • Yaofeng Zhu
    • Xuewen Jiang
    • Shouzhen Chen
    • Zhaocun Zhang
    • Zhichuan Zou
    • Yue Yang
    • Kejia Zhu
    • Yong Wang
    • Jianfeng Cui
    • Ben‑Kang Shi
  • View Affiliations / Copyright

    Affiliations: Department of Urology, Qilu Hospital, Shandong University, Jinan, Shandong 250012, P.R. China, Department of Urology, Affiliated Hospital of Chengdu University, Chengdu, Sichuan 610000, P.R. China, Department of Pathology, The People's Hospital of Linqu, Zibo, Shandong 262600, P.R. China
    Copyright: © Chen et al. This is an open access article distributed under the terms of Creative Commons Attribution License.
  • Pages: 143-150
    |
    Published online on: November 20, 2015
       https://doi.org/10.3892/mco.2015.682
  • Expand metrics +
Metrics: Total Views: 0 (Spandidos Publications: | PMC Statistics: )
Metrics: Total PDF Downloads: 0 (Spandidos Publications: | PMC Statistics: )
Cited By (CrossRef): 0 citations Loading Articles...

This article is mentioned in:



Abstract

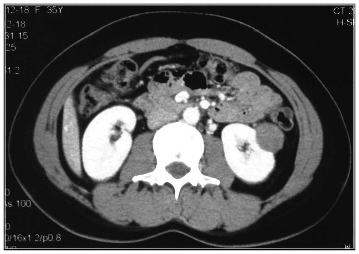
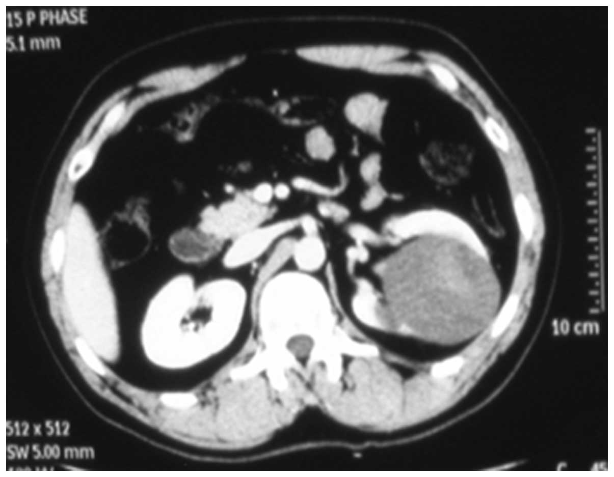
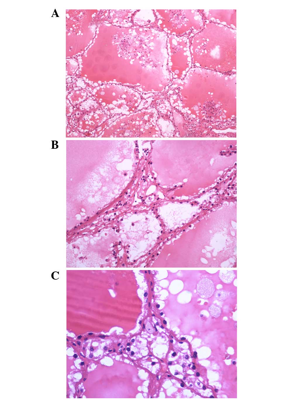
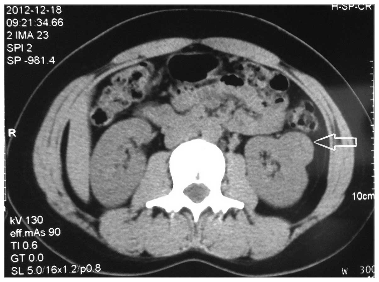
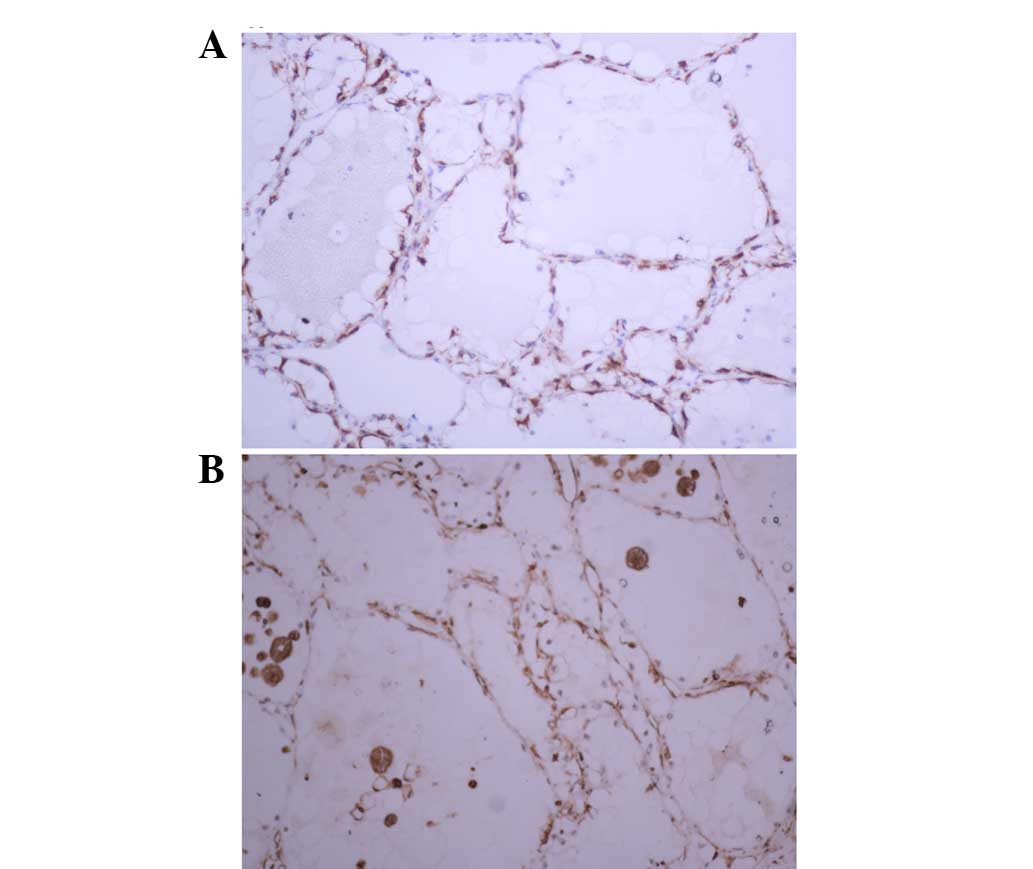
Thyroid‑like follicular carcinoma (TLFC) of the kidney is an extremely rare type of renal tumor, which has not been classified under a known subtype of renal cell carcinoma. It is histologically similar to the primary thyroid follicular carcinoma; however, the characteristics lack thyroid immunohistochemical markers. The aim of the present study was to illustrate the clinical characteristics of 3 new cases along with a review of the literature. The patients were compared with regards to gender, age, location and size of the tumor, imageology, morphology, immunohistochemistry and prognosis. According to the limited data, TLFC occurs mainly in young women and its clinical manifestations have no difference with other renal tumors. Its imageological features resemble a large spectrum of benign and malignant renal and extra‑renal conditions, which should be eliminated in the diagnostic process. Confirmed diagnosis depends on the examination of pathology and immunohistochemistry. Surgical ablation is the preferred therapeutic method. Currently, TLFC has a relatively good prognosis; however, this conclusion requires further cases and long‑term follow‑ups. Improving the understanding of TLFC can help avoid misdiagnosis and prevent inappropriate treatment.
View Figures

Figure 1

Figure 2

Figure 3

Figure 4

Figure 5

View References

1 

Jemal A, Siegel R, Ward E, Murray T, Xu J and Thun MJ: Cancer statistics, 2007. CA Cancer J Clin. 57:43–66. 2007. View Article : Google Scholar : PubMed/NCBI

2 

Kosary CL and McLaughlin JK: Kidney and renal pelvis. SEER Cancer Statistics Review. 1973–1990. Miller BA, Ries LAG, Hankey BF, et al: NIH publication no. 93–2789, XI.1-XI.22. (Bethesda, MD). National Cancer Institute. 1993.

3 

Eble JN, Sauter G, Epstein JI and Sesterhenn IA: Pathology and genetics of tumours of the urinary system and male genital organs. World Health Organization Classification of Tumours (3rd). (Lyon). IARC Press. 2004.

4 

Angell SK, Pruthi R and Freiha FS: Primary thyroid-like carcinoma of the kidney. Urology. 48:632–635. 1996. View Article : Google Scholar : PubMed/NCBI

5 

Amin MB, Gupta R, Ondrej H, McKenney JK, Michal M, Young AN, Paner GP, Junker K and Epstein JI: Primary thyroid-like follicular carcinoma of the kidney: Report of 6 cases of a histologically distinctive adult renal epithelial neoplasm. Am J Surg Pathol. 33:393–400. 2009. View Article : Google Scholar : PubMed/NCBI

6 

Jung SJ, Chung JI, Park SH, Ayala AG and Ro JY: Thyroid follicular carcinoma-like tumor of kidney: A case report with morphologic, immunohistochemical and genetic analysis. Am J Surg Pathol. 30:411–415. 2006.PubMed/NCBI

7 

Khoja HA, Almutawa A, Binmahfooz A, Aslam M, Ghazi AA and Almaiman S: Papillary thyroid carcinoma-like tumor of the kidney: A case report. Int J Surg Pathol. 20:411–415. 2012. View Article : Google Scholar : PubMed/NCBI

8 

Dhillon J, Tannir NM, Matin SF, Tamboli P, Czerniak BA and Guo CC: Thyroid-like follicular carcinoma of the kidney with metastases to the lungs and retroperitoneal lymph nodes. Hum Pathol. 42:146–150. 2011. View Article : Google Scholar : PubMed/NCBI

9 

Sterlacci W, Verdorfer I, Gabriel M and Mikuz G: Thyroid follicular carcinoma-like renal tumor: A case report with morphologic, immunophenotypic, cytogenetic, and scintigraphic studies. Virchows Arch. 452:91–95. 2008. View Article : Google Scholar : PubMed/NCBI

10 

Alessandrini L, Fassan M, Gardiman MP, Guttilla A and Zattoni F, Galletti TP and Zattoni F: Thyroid-like follicular carcinoma of the kidney: Report of two cases with detailed immunohistochemical profile and literature review. Virchows Arch. 461:345–350. 2012. View Article : Google Scholar : PubMed/NCBI

11 

Malde S, Sheikh I, Woodman I, Fish D, Bilagi P and Sheriff MK: Primary thyroid-like follicular renal cell carcinoma: An emerging entity. Case Rep Pathol. 2013:6874272013.PubMed/NCBI

12 

Wu HW, Chen WJ, You Y, Cui QC and Liu TH: Clinicopathologic characteristics of primary thyroid-like follicular carcinoma in kidney. Zhonghua Bing Li Xue Za Zhi. 42:37–41. 2013.(In Chinese). PubMed/NCBI

13 

Volavšek M, Strojan-Fležar M and Mikuz G: Thyroid-like follicular carcinoma of the kidney in a patient with nephrolithiasis and polycystic kidney disease: A case report. Diagn Pathol. 8:1082013. View Article : Google Scholar : PubMed/NCBI

14 

Xu H and Zhang WY: Clinicopathological features of thyroid follicular carcinoma-like renal cell carcinoma. Chin J Diag Pathol. 17:46–49. 2010.

15 

He CN, Li P, Zhao HF, Zhai JP, Liu YQ and Ma LN: Thyroid follicular carcinoma-like tumor of kidney: Report of a case. Zhonghua Bing Li Xue Za Zhi. 37:428–430. 2008.(In Chinese). PubMed/NCBI

16 

Li XD, Xu N, Xue XY, Zheng QS, Li GP, Wei Y, Jiang T and Huang JB: Thyroid follicular carcinoma-like tumor of kidney: A case report and literature review. J Mod Urol. 18:22013.

17 

Ghaouti M, Roquet L, Baron M, Pfister C and Sabourin JC: Thyroid-like follicular carcinoma of the kidney: A case report and review of the literature. Diagn Pathol. 9:1862014. View Article : Google Scholar : PubMed/NCBI

18 

Wu WW, Chu JT, Nael A, Rezk SA, Romansky SG and Shane L: Thyroid-like follicular carcinoma of the kidney in a young patient with history of pediatric acute lymphoblastic leukemia. Case Rep Pathol. 2014:3139742014.PubMed/NCBI

19 

Lin YZ, Wei Y, Xu N, Li XD, Xue XY, Zheng QS, Jiang T and Huang JB: Thyroid-like follicular carcinoma of the kidney: A report of two cases and literature review. Oncol Lett. 7:1796–1802. 2014.PubMed/NCBI

20 

Cao Y, Paner GP, Perry KT, Flanigan RC, Campbell SC and Picken MM: Renal neoplasms in younger adults: Analysis of 112 tumors from a single institution according to the new 2004 World Health Organization classification and 2002 American Joint Committee on Cancer Staging System. Arch Pathol Lab Med. 129:487–491. 2005.PubMed/NCBI

21 

Laberke HG, Klingebiel T and Quack G: A contribution to the morphology and pathogenesis of thyroid-like lesions in the kidney. Pathol Res Pract. 176:284–296. 1983. View Article : Google Scholar : PubMed/NCBI

22 

Nadasdy T, Laszik Z, Blick KE, Johnson DL and Silva FG: Tubular atrophy in the end-stage kidney: A lectin and immunohistochemical study. Hum Pathol. 25:22–28. 1994. View Article : Google Scholar : PubMed/NCBI

23 

Garcia-Sanchis L, Lopez-Aznar D, Oltra A, Rivas A, Alonso J, Montalar J and Mateo A: Metastatic follicular thyroid carcinoma to the kidney: A case report. Clin Nucl Med. 24:48–50. 1999. View Article : Google Scholar : PubMed/NCBI

24 

Matei DV, Verweij F, Scardino E, Rocco B, Renne G, Tradati N and De Cobelli O: Late solitary thyroid carcinoma metastasis to the kidney: A case report. Anticancer Res. 23:561–564. 2003.PubMed/NCBI

25 

Regojo Balboa JM, Sánchez Zalabardo D, Rioja Zuazu J, Fernández Montero JM, López Ferrandis J, Zudaire Bergera JJ, Rosell Costa D, Robles García JE and Berián Polo JM: Follicula carcinoma of the thyroid manifested initially asympton primary renal neoplasm. Actas Urol Esp. 28:308–310. 2004.(In Spanish). PubMed/NCBI

26 

Robboy SJ, Shaco-Levy R, Peng RY, Snyder MJ, Donahue J, Bentley RC, Bean S, Krigman HR, Roth LM and Young RH: Malignant struma ovarii: An analysis of 88 cases, including 27 with extraovarian spread. Int J Gynecol Pathol. 28:405–422. 2009. View Article : Google Scholar : PubMed/NCBI

Related Articles

  • Abstract
  • View
  • Download
  • Twitter
Copy and paste a formatted citation
Spandidos Publications style
Chen F, Wang Y, Wu X, Zhu Y, Jiang X, Chen S, Zhang Z, Zou Z, Yang Y, Zhu K, Zhu K, et al: Clinical characteristics and pathology of thyroid‑like follicular carcinoma of the kidney: Report of 3 cases and a literature review. Mol Clin Oncol 4: 143-150, 2016.
APA
Chen, F., Wang, Y., Wu, X., Zhu, Y., Jiang, X., Chen, S. ... Shi, B. (2016). Clinical characteristics and pathology of thyroid‑like follicular carcinoma of the kidney: Report of 3 cases and a literature review. Molecular and Clinical Oncology, 4, 143-150. https://doi.org/10.3892/mco.2015.682
MLA
Chen, F., Wang, Y., Wu, X., Zhu, Y., Jiang, X., Chen, S., Zhang, Z., Zou, Z., Yang, Y., Zhu, K., Wang, Y., Cui, J., Shi, B."Clinical characteristics and pathology of thyroid‑like follicular carcinoma of the kidney: Report of 3 cases and a literature review". Molecular and Clinical Oncology 4.2 (2016): 143-150.
Chicago
Chen, F., Wang, Y., Wu, X., Zhu, Y., Jiang, X., Chen, S., Zhang, Z., Zou, Z., Yang, Y., Zhu, K., Wang, Y., Cui, J., Shi, B."Clinical characteristics and pathology of thyroid‑like follicular carcinoma of the kidney: Report of 3 cases and a literature review". Molecular and Clinical Oncology 4, no. 2 (2016): 143-150. https://doi.org/10.3892/mco.2015.682
Copy and paste a formatted citation
x
Spandidos Publications style
Chen F, Wang Y, Wu X, Zhu Y, Jiang X, Chen S, Zhang Z, Zou Z, Yang Y, Zhu K, Zhu K, et al: Clinical characteristics and pathology of thyroid‑like follicular carcinoma of the kidney: Report of 3 cases and a literature review. Mol Clin Oncol 4: 143-150, 2016.
APA
Chen, F., Wang, Y., Wu, X., Zhu, Y., Jiang, X., Chen, S. ... Shi, B. (2016). Clinical characteristics and pathology of thyroid‑like follicular carcinoma of the kidney: Report of 3 cases and a literature review. Molecular and Clinical Oncology, 4, 143-150. https://doi.org/10.3892/mco.2015.682
MLA
Chen, F., Wang, Y., Wu, X., Zhu, Y., Jiang, X., Chen, S., Zhang, Z., Zou, Z., Yang, Y., Zhu, K., Wang, Y., Cui, J., Shi, B."Clinical characteristics and pathology of thyroid‑like follicular carcinoma of the kidney: Report of 3 cases and a literature review". Molecular and Clinical Oncology 4.2 (2016): 143-150.
Chicago
Chen, F., Wang, Y., Wu, X., Zhu, Y., Jiang, X., Chen, S., Zhang, Z., Zou, Z., Yang, Y., Zhu, K., Wang, Y., Cui, J., Shi, B."Clinical characteristics and pathology of thyroid‑like follicular carcinoma of the kidney: Report of 3 cases and a literature review". Molecular and Clinical Oncology 4, no. 2 (2016): 143-150. https://doi.org/10.3892/mco.2015.682
Follow us
  • Twitter
  • LinkedIn
  • Facebook
About
  • Spandidos Publications
  • Careers
  • Cookie Policy
  • Privacy Policy
How can we help?
  • Help
  • Live Chat
  • Contact
  • Email to our Support Team