Spandidos Publications Logo
  • About
    • About Spandidos
    • Aims and Scopes
    • Abstracting and Indexing
    • Editorial Policies
    • Reprints and Permissions
    • Job Opportunities
    • Terms and Conditions
    • Contact
  • Journals
    • All Journals
    • Oncology Letters
      • Oncology Letters
      • Information for Authors
      • Editorial Policies
      • Editorial Board
      • Aims and Scope
      • Abstracting and Indexing
      • Bibliographic Information
      • Archive
    • International Journal of Oncology
      • International Journal of Oncology
      • Information for Authors
      • Editorial Policies
      • Editorial Board
      • Aims and Scope
      • Abstracting and Indexing
      • Bibliographic Information
      • Archive
    • Molecular and Clinical Oncology
      • Molecular and Clinical Oncology
      • Information for Authors
      • Editorial Policies
      • Editorial Board
      • Aims and Scope
      • Abstracting and Indexing
      • Bibliographic Information
      • Archive
    • Experimental and Therapeutic Medicine
      • Experimental and Therapeutic Medicine
      • Information for Authors
      • Editorial Policies
      • Editorial Board
      • Aims and Scope
      • Abstracting and Indexing
      • Bibliographic Information
      • Archive
    • International Journal of Molecular Medicine
      • International Journal of Molecular Medicine
      • Information for Authors
      • Editorial Policies
      • Editorial Board
      • Aims and Scope
      • Abstracting and Indexing
      • Bibliographic Information
      • Archive
    • Biomedical Reports
      • Biomedical Reports
      • Information for Authors
      • Editorial Policies
      • Editorial Board
      • Aims and Scope
      • Abstracting and Indexing
      • Bibliographic Information
      • Archive
    • Oncology Reports
      • Oncology Reports
      • Information for Authors
      • Editorial Policies
      • Editorial Board
      • Aims and Scope
      • Abstracting and Indexing
      • Bibliographic Information
      • Archive
    • Molecular Medicine Reports
      • Molecular Medicine Reports
      • Information for Authors
      • Editorial Policies
      • Editorial Board
      • Aims and Scope
      • Abstracting and Indexing
      • Bibliographic Information
      • Archive
    • World Academy of Sciences Journal
      • World Academy of Sciences Journal
      • Information for Authors
      • Editorial Policies
      • Editorial Board
      • Aims and Scope
      • Abstracting and Indexing
      • Bibliographic Information
      • Archive
    • International Journal of Functional Nutrition
      • International Journal of Functional Nutrition
      • Information for Authors
      • Editorial Policies
      • Editorial Board
      • Aims and Scope
      • Abstracting and Indexing
      • Bibliographic Information
      • Archive
    • International Journal of Epigenetics
      • International Journal of Epigenetics
      • Information for Authors
      • Editorial Policies
      • Editorial Board
      • Aims and Scope
      • Abstracting and Indexing
      • Bibliographic Information
      • Archive
    • Medicine International
      • Medicine International
      • Information for Authors
      • Editorial Policies
      • Editorial Board
      • Aims and Scope
      • Abstracting and Indexing
      • Bibliographic Information
      • Archive
  • Articles
  • Information
    • Information for Authors
    • Information for Reviewers
    • Information for Librarians
    • Information for Advertisers
    • Conferences
  • Language Editing
Spandidos Publications Logo
  • About
    • About Spandidos
    • Aims and Scopes
    • Abstracting and Indexing
    • Editorial Policies
    • Reprints and Permissions
    • Job Opportunities
    • Terms and Conditions
    • Contact
  • Journals
    • All Journals
    • Biomedical Reports
      • Information for Authors
      • Editorial Policies
      • Editorial Board
      • Aims and Scope
      • Abstracting and Indexing
      • Bibliographic Information
      • Archive
    • Experimental and Therapeutic Medicine
      • Information for Authors
      • Editorial Policies
      • Editorial Board
      • Aims and Scope
      • Abstracting and Indexing
      • Bibliographic Information
      • Archive
    • International Journal of Epigenetics
      • Information for Authors
      • Editorial Policies
      • Editorial Board
      • Aims and Scope
      • Abstracting and Indexing
      • Bibliographic Information
      • Archive
    • International Journal of Functional Nutrition
      • Information for Authors
      • Editorial Policies
      • Editorial Board
      • Aims and Scope
      • Abstracting and Indexing
      • Bibliographic Information
      • Archive
    • International Journal of Molecular Medicine
      • Information for Authors
      • Editorial Policies
      • Editorial Board
      • Aims and Scope
      • Abstracting and Indexing
      • Bibliographic Information
      • Archive
    • International Journal of Oncology
      • Information for Authors
      • Editorial Policies
      • Editorial Board
      • Aims and Scope
      • Abstracting and Indexing
      • Bibliographic Information
      • Archive
    • Medicine International
      • Information for Authors
      • Editorial Policies
      • Editorial Board
      • Aims and Scope
      • Abstracting and Indexing
      • Bibliographic Information
      • Archive
    • Molecular and Clinical Oncology
      • Information for Authors
      • Editorial Policies
      • Editorial Board
      • Aims and Scope
      • Abstracting and Indexing
      • Bibliographic Information
      • Archive
    • Molecular Medicine Reports
      • Information for Authors
      • Editorial Policies
      • Editorial Board
      • Aims and Scope
      • Abstracting and Indexing
      • Bibliographic Information
      • Archive
    • Oncology Letters
      • Information for Authors
      • Editorial Policies
      • Editorial Board
      • Aims and Scope
      • Abstracting and Indexing
      • Bibliographic Information
      • Archive
    • Oncology Reports
      • Information for Authors
      • Editorial Policies
      • Editorial Board
      • Aims and Scope
      • Abstracting and Indexing
      • Bibliographic Information
      • Archive
    • World Academy of Sciences Journal
      • Information for Authors
      • Editorial Policies
      • Editorial Board
      • Aims and Scope
      • Abstracting and Indexing
      • Bibliographic Information
      • Archive
  • Articles
  • Information
    • For Authors
    • For Reviewers
    • For Librarians
    • For Advertisers
    • Conferences
  • Language Editing
Login Register Submit
  • This site uses cookies
  • You can change your cookie settings at any time by following the instructions in our Cookie Policy. To find out more, you may read our Privacy Policy.

    I agree
Search articles by DOI, keyword, author or affiliation
Search
Advanced Search
presentation
Molecular and Clinical Oncology
Join Editorial Board Propose a Special Issue
Print ISSN: 2049-9450 Online ISSN: 2049-9469
Journal Cover
February-2016 Volume 4 Issue 2

Full Size Image

Sign up for eToc alerts
Recommend to Library

Journals

International Journal of Molecular Medicine

International Journal of Molecular Medicine

International Journal of Molecular Medicine is an international journal devoted to molecular mechanisms of human disease.

International Journal of Oncology

International Journal of Oncology

International Journal of Oncology is an international journal devoted to oncology research and cancer treatment.

Molecular Medicine Reports

Molecular Medicine Reports

Covers molecular medicine topics such as pharmacology, pathology, genetics, neuroscience, infectious diseases, molecular cardiology, and molecular surgery.

Oncology Reports

Oncology Reports

Oncology Reports is an international journal devoted to fundamental and applied research in Oncology.

Experimental and Therapeutic Medicine

Experimental and Therapeutic Medicine

Experimental and Therapeutic Medicine is an international journal devoted to laboratory and clinical medicine.

Oncology Letters

Oncology Letters

Oncology Letters is an international journal devoted to Experimental and Clinical Oncology.

Biomedical Reports

Biomedical Reports

Explores a wide range of biological and medical fields, including pharmacology, genetics, microbiology, neuroscience, and molecular cardiology.

Molecular and Clinical Oncology

Molecular and Clinical Oncology

International journal addressing all aspects of oncology research, from tumorigenesis and oncogenes to chemotherapy and metastasis.

World Academy of Sciences Journal

World Academy of Sciences Journal

Multidisciplinary open-access journal spanning biochemistry, genetics, neuroscience, environmental health, and synthetic biology.

International Journal of Functional Nutrition

International Journal of Functional Nutrition

Open-access journal combining biochemistry, pharmacology, immunology, and genetics to advance health through functional nutrition.

International Journal of Epigenetics

International Journal of Epigenetics

Publishes open-access research on using epigenetics to advance understanding and treatment of human disease.

Medicine International

Medicine International

An International Open Access Journal Devoted to General Medicine.

Journal Cover
February-2016 Volume 4 Issue 2

Full Size Image

Sign up for eToc alerts
Recommend to Library

  • Article
  • Citations
    • Cite This Article
    • Download Citation
    • Create Citation Alert
    • Remove Citation Alert
    • Cited By
  • Similar Articles
    • Related Articles (in Spandidos Publications)
    • Similar Articles (Google Scholar)
    • Similar Articles (PubMed)
  • Download PDF
  • Download XML
  • View XML
Article

An assessment of interfractional bladder, rectum and vagina motion in postoperative cervical cancer based on daily cone‑beam computed tomography

  • Authors:
    • Xin Wang
    • Min Yu
    • Jin Wang
    • Renming Zhong
    • Yali Shen
    • Yaqin Zhao
    • Zhiping Li
    • Sen Bai
    • Feng Xu
  • View Affiliations / Copyright

    Affiliations: Department of Radiation Oncology, Cancer Center, West China Hospital, Sichuan University, Chengdu, Sichuan 610041, P.R. China
  • Pages: 271-277
    |
    Published online on: December 10, 2015
       https://doi.org/10.3892/mco.2015.704
  • Expand metrics +
Metrics: Total Views: 0 (Spandidos Publications: | PMC Statistics: )
Metrics: Total PDF Downloads: 0 (Spandidos Publications: | PMC Statistics: )
Cited By (CrossRef): 0 citations Loading Articles...

This article is mentioned in:



Abstract

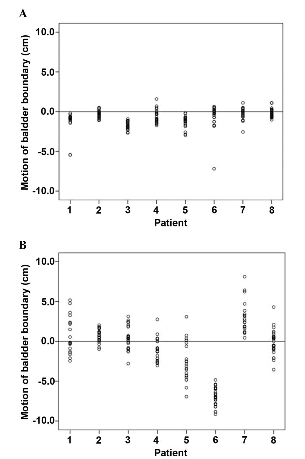
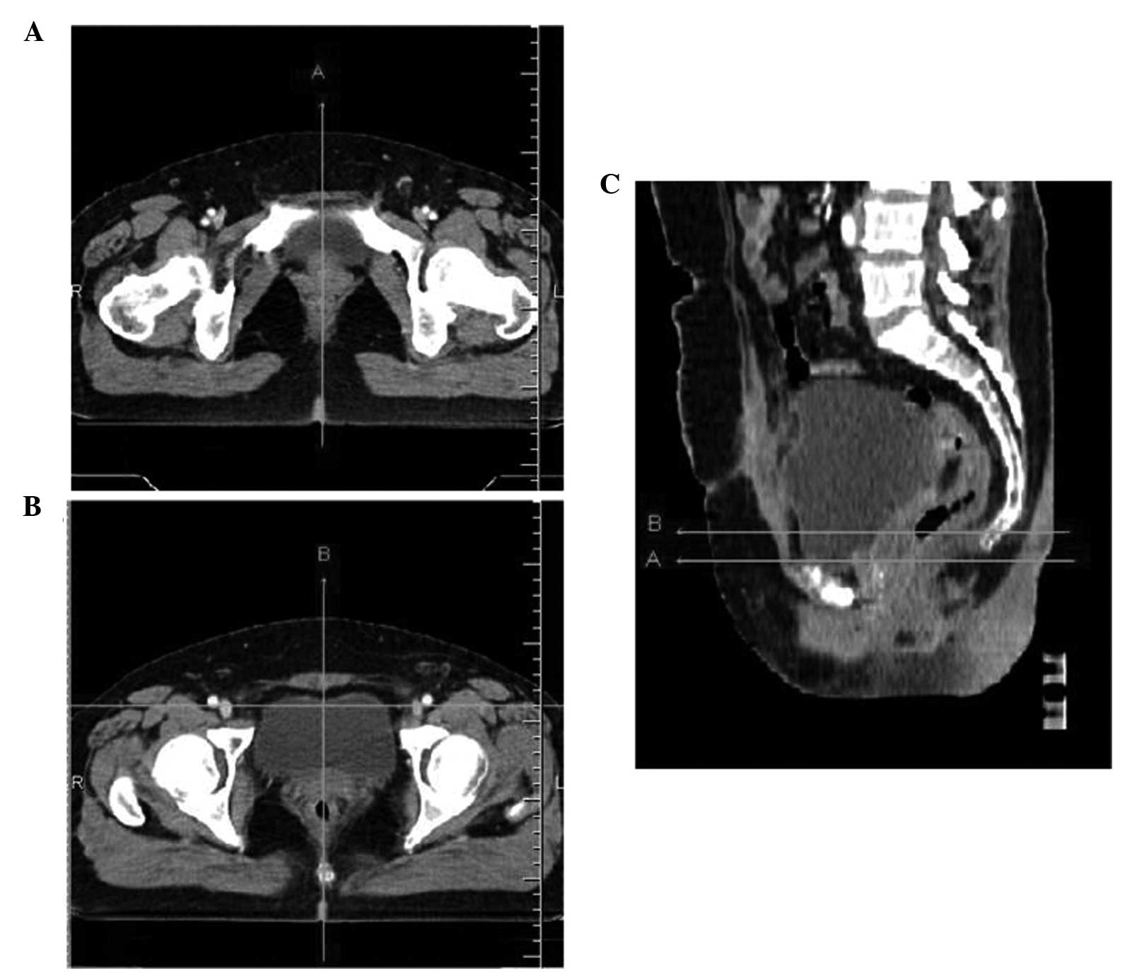
Interfractional variations of the bladder, rectum and vagina may affect the accuracy of postoperative intensity‑modulated radiotherapy in patients with cervical cancer. This study aimed to assess the interfractional variations with daily kv cone‑beam computed tomography (CBCT). All the patients were instructed to control the filling status of the bladder and rectum. CBCT images were obtained daily after set‑up and the bladder, rectum and vagina were contoured on each CBCT scan. All the contours were transferred to the planning CT following image fusion. Interfractional variations in pelvic organs were assessed with CBCT based on two reference lines, which were identified as A (the midsaggital line across the superior border of pubic symphysis) and B (a parallel line 1.5 cm above line A). The mean volume (range) of the bladder and rectum was 156.5 (1.7‑626.5) and 48.2 (11.3‑139.7) ml, respectively. The uniform planning target volume (PTV) margin of 10 mm failed to encompass the vagina in 17.3 and 18.1% of the fractions on lines A and B, respectively. The motion of the vagina (standard deviation) was 0.3 (0.3) and 0.1 (0.5) cm on lines A and B, respectively. The anteroposterior dimension and position of the vagina were significantly affected by the filling status of the bladder (P<0.05), but not by that of the rectum. Although instructions were given, the interfractional variations of the vagina and other pelvic organs were significant, which may exceed the uniform PTV margin; therefore, more effective methods to decrease these variations should be investigated.
View Figures

Figure 1

Figure 2

Figure 3

Figure 4

View References

1 

Heron DE, Gerszten K, Selvaraj RN, et al: Conventional 3D conformal versus intensity-modulated radiotherapy for the adjuvant treatment of gynecologic malignancies: A comparative dosimetric study of dose-volume histograms. Gynecol Oncol. 91:39–45. 2003. View Article : Google Scholar : PubMed/NCBI

2 

Mundt AJ, Lujan AE, Rotmensch J, Waggoner SE, Yamada SD, Fleming G and Roeske JC: Intensity-modulated whole pelvic radiotherapy in women with gynecologic malignancies. Int J Radiat Oncol Biol Phys. 52:1330–1337. 2002. View Article : Google Scholar : PubMed/NCBI

3 

Portelance L, Chao KS, Grigsby PW, Bennet H and Low D: Intensity-modulated radiation therapy (IMRT) reduces small bowel, rectum and bladder doses in patients with cervical cancer receiving pelvic and para-aortic irradiation. Int J Radiat Oncol Biol Phys. 51:261–266. 2001. View Article : Google Scholar : PubMed/NCBI

4 

Roeske JC, Lujan A, Rotmensch J, Waggoner SE, Yamada D and Mundt AJ: Intensity-modulated whole pelvic radiation therapy in patients with gynecologic malignancies. Int J Radiat Oncol Biol Phys. 48:1613–1621. 2000. View Article : Google Scholar : PubMed/NCBI

5 

van de Bunt L, van der Heide UA, Ketelaars M, de Kort GA and Jürgenliemk-Schulz IM: Conventional, conformal and intensity-modulated radiation therapy treatment planning of external beam radiotherapy for cervical cancer: The impact of tumor regression. Int J Radiat Oncol Biol Phys. 64:189–196. 2006. View Article : Google Scholar : PubMed/NCBI

6 

Brixey CJ, Roeske JC, Lujan AE, Yamada SD, Rotmensch J and Mundt AJ: Impact of intensity-modulated radiotherapy on acute hematologic toxicity in women with gynecologic malignancies. Int J Radiat Oncol Biol Phys. 54:1388–1396. 2002. View Article : Google Scholar : PubMed/NCBI

7 

Mundt AJ, Mell LK and Roeske JC: Preliminary analysis of chronic gastrointestinal toxicity in gynecology patients treated with intensity-modulated whole pelvic radiation therapy. Int J Radiat Oncol Biol Phys. 56:1354–1360. 2003. View Article : Google Scholar : PubMed/NCBI

8 

Beriwal S, Jain SK, Heron DE, Kim H, Gerszten K, Edwards RP and Kelley JL: Clinical outcome with adjuvant treatment of endometrial carcinoma using intensity-modulated radiation therapy. Gynecol Oncol. 102:195–199. 2006. View Article : Google Scholar : PubMed/NCBI

9 

Salama JK, Mundt AJ, Roeske J and Mehta N: Preliminary outcome and toxicity report of extended-field, intensity-modulated radiation therapy for gynecologic malignancies. Int J Radiat Oncol Biol Phys. 65:1170–1176. 2006. View Article : Google Scholar : PubMed/NCBI

10 

Beriwal S, Gan GN, Heron DE, Selvaraj RN, Kim H, Lalonde R, Kelley JL and Edwards RP: Early clinical outcome with concurrent chemotherapy and extended-field, intensity-modulated radiotherapy for cervical cancer. Int J Radiat Oncol Biol Phys. 68:166–171. 2007. View Article : Google Scholar : PubMed/NCBI

11 

Small W Jr, Mell LK, Anderson P, et al: Consensus guidelines for delineation of clinical target volume for intensity-modulated pelvic radiotherapy in postoperative treatment of endometrial and cervical cancer. Int J Radiat Oncol Biol Phys. 71:428–434. 2008. View Article : Google Scholar : PubMed/NCBI

12 

Jhingran A, Salehpour M, Sam M, Levy L and Eifel PJ: Vaginal motion and bladder and rectal volumes during pelvic intensity-modulated radiation therapy after hysterectomy. Int J Radiat Oncol Biol Phys. 82:256–262. 2012. View Article : Google Scholar : PubMed/NCBI

13 

Taylor A and Powell ME: An assessment of interfractional uterine and cervical motion: Implications for radiotherapy target volume definition in gynaecological cancer. Radiother Oncol. 88:250–257. 2008. View Article : Google Scholar : PubMed/NCBI

14 

van de Bunt L, Jürgenliemk-Schulz IM, de Kort GA, Roesink JM, Tersteeg RJ and van der Heide UA: Motion and deformation of the target volumes during IMRT for cervical cancer. What margins do we need? Radiother Oncol. 88:233–240. 2008. View Article : Google Scholar : PubMed/NCBI

15 

Haripotepornkul NH, Nath SK, Scanderbeg D, Saenz C and Yashar CM: Evaluation of intra- and inter-fraction movement of the cervix during intensity modulated radiation therapy. Radiother Oncol. 98:347–351. 2011. View Article : Google Scholar : PubMed/NCBI

16 

Buchali A, Koswig S, Dinges S, Rosenthal P, Salk J, Lackner G, Böhmer D, Schlenger L and Budach V: Impact of the filling status of the bladder and rectum on their integral dose distribution and the movement of the uterus in the treatment planning of gynaecological cancer. Radiother Oncol. 52:29–34. 1999. View Article : Google Scholar : PubMed/NCBI

17 

Ahmad R, Hoogeman MS, Quint S and Mens JW: deP ree I and Heijmen BJ: Inter-fraction bladder filling variations and time trends for cervical cancer patients assessed with a portable 3-dimensional ultrasound bladder scanner. Radiother Oncol. 89:172–179. 2008. View Article : Google Scholar : PubMed/NCBI

18 

Chan P, Dinniwell R, Haider MA, Cho YB, Jaffray D, Lockwood G, Levin W, Manchul L, Fyles A and Milosevic M: Inter- and intrafractional tumor and organ movement in patients with cervical cancer undergoing radiotherapy, A cinematic-MRI point-of-interest study. Int J Radiat Oncol Biol Phys. 70:1507–1515. 2008. View Article : Google Scholar : PubMed/NCBI

19 

Kerkhof EM, van der Put RW, Raaymakers BW, van der Heide UA, Jürgenliemk-Schulz IM and Lagendijk JJ: Intrafraction motion in patients with cervical cancer: The benefit of soft tissue registration using MRI. Radiother Oncol. 93:115–121. 2009. View Article : Google Scholar : PubMed/NCBI

20 

Hammoud R, Patel SH, Pradhan D, Kim J, Guan H, Li S and Movsas B: Examining margin reduction and its impact on dose distribution for prostate cancer patients undergoing daily cone-beam computed tomography. Int J Radiat Oncol Biol Phys. 71:265–273. 2008. View Article : Google Scholar : PubMed/NCBI

21 

Showalter TN, Nawaz AO, Xiao Y, Galvin JM and Valicenti RK: A cone beam CT-based study for clinical target definition using pelvic anatomy during postprostatectomy radiotherapy. Int J Radiat Oncol Biol Phys. 70:431–436. 2008. View Article : Google Scholar : PubMed/NCBI

22 

Brock KK, Hawkins M, Eccles C, Moseley JL, Moseley DJ, Jaffray DA and Dawson LA: Improving image-guided target localization through deformable registration. Acta Oncol. 47:1279–1285. 2008. View Article : Google Scholar : PubMed/NCBI

23 

Ding GX, Duggan DM, Coffey CW, Deeley M, Hallahan DE, Cmelak A and Malcolm A: A study on adaptive IMRT treatment planning using kV cone-beam CT. Radiother Oncol. 85:116–125. 2007. View Article : Google Scholar : PubMed/NCBI

24 

Kerkhof EM, Raaymakers BW, van der Heide UA, van de Bunt L, Jürgenliemk-Schulz IM and Lagendijk JJ: Online MRI guidance for healthy tissue sparing in patients with cervical cancer: An IMRT planning study. Radiother Oncol. 88:241–249. 2008. View Article : Google Scholar : PubMed/NCBI

25 

Jürgenliemk-Schulz IM, Toet-Bosma MZ, de Kort GA, Schreuder HW, Roesink JM, Tersteeg RJ and van der Heide UA: Internal motion of the vagina after hysterectomy for gynaecological cancer. Radiother Oncol. 98:244–248. 2011. View Article : Google Scholar : PubMed/NCBI

26 

Stam MR, van Lin EN, van der Vight LP, Kaanders JH and Visser AG: Bladder filling variation during radiation treatment of prostate cancer: Can the use of a bladder ultrasound scanner and biofeedback optimize bladder filling? Int J Radiat Oncol Biol Phys. 65:371–377. 2006. View Article : Google Scholar : PubMed/NCBI

27 

O'Doherty UM, McNair HA, Norman AR, et al: Variability of bladder filling in patients receiving radical radiotherapy to the prostate. Radiother Oncol. 79:335–340. 2006. View Article : Google Scholar : PubMed/NCBI

28 

Lim K, Kelly V, Stewart J, et al: Pelvic radiotherapy for cancer of the cervix: Is what you plan actually what you deliver? Int J Radiat Oncol Biol Phys. 74:304–312. 2009. View Article : Google Scholar : PubMed/NCBI

29 

Kavanagh BD, Schefter TE, Wu Q, Tong S, Newman F, Arnfield M, Benedict SH, McCourt S and Mohan R: Clinical application of intensity-modulated radiotherapy for locally advanced cervical cancer. Semin Radiat Oncol. 12:260–271. 2002. View Article : Google Scholar : PubMed/NCBI

30 

Chen MF, Tseng CJ, Tseng CC, Kuo YC, Yu CY and Chen WC: Clinical outcome in posthysterectomy cervical cancer patients treated with concurrent cisplatin and intensity-modulated pelvic radiotherapy, Comparison with conventional radiotherapy. Int J Radiat Oncol Biol Phys. 67:1438–1444. 2007. View Article : Google Scholar : PubMed/NCBI

31 

Ma DJ, Michaletz-Lorenz M, Goddu SM and Grigsby PW: Magnitude of interfractional vaginal cuff movement, Implications for external irradiation. Int J Radiat Oncol Biol Phys. 82:1439–1444. 2012. View Article : Google Scholar : PubMed/NCBI

32 

Harris EE, Latifi K, Rusthoven C, Javedan K and Forster K: Assessment of organ motion in postoperative endometrial and cervical cancer patients treated with intensity-modulated radiation therapy. Int J Radiat Oncol Biol Phys. 81:e645–e650. 2011. View Article : Google Scholar : PubMed/NCBI

33 

Tyagi N, Lewis JH, Yashar CM, Vo D, Jiang SB, Mundt AJ and Mell LK: Daily online cone beam computed tomography to assess interfractional motion in patients with intact cervical cancer. Int J Radiat Oncol Biol Phys. 80:273–280. 2011. View Article : Google Scholar : PubMed/NCBI

Related Articles

  • Abstract
  • View
  • Download
  • Twitter
Copy and paste a formatted citation
Spandidos Publications style
Wang X, Yu M, Wang J, Zhong R, Shen Y, Zhao Y, Li Z, Bai S and Xu F: An assessment of interfractional bladder, rectum and vagina motion in postoperative cervical cancer based on daily cone‑beam computed tomography. Mol Clin Oncol 4: 271-277, 2016.
APA
Wang, X., Yu, M., Wang, J., Zhong, R., Shen, Y., Zhao, Y. ... Xu, F. (2016). An assessment of interfractional bladder, rectum and vagina motion in postoperative cervical cancer based on daily cone‑beam computed tomography. Molecular and Clinical Oncology, 4, 271-277. https://doi.org/10.3892/mco.2015.704
MLA
Wang, X., Yu, M., Wang, J., Zhong, R., Shen, Y., Zhao, Y., Li, Z., Bai, S., Xu, F."An assessment of interfractional bladder, rectum and vagina motion in postoperative cervical cancer based on daily cone‑beam computed tomography". Molecular and Clinical Oncology 4.2 (2016): 271-277.
Chicago
Wang, X., Yu, M., Wang, J., Zhong, R., Shen, Y., Zhao, Y., Li, Z., Bai, S., Xu, F."An assessment of interfractional bladder, rectum and vagina motion in postoperative cervical cancer based on daily cone‑beam computed tomography". Molecular and Clinical Oncology 4, no. 2 (2016): 271-277. https://doi.org/10.3892/mco.2015.704
Copy and paste a formatted citation
x
Spandidos Publications style
Wang X, Yu M, Wang J, Zhong R, Shen Y, Zhao Y, Li Z, Bai S and Xu F: An assessment of interfractional bladder, rectum and vagina motion in postoperative cervical cancer based on daily cone‑beam computed tomography. Mol Clin Oncol 4: 271-277, 2016.
APA
Wang, X., Yu, M., Wang, J., Zhong, R., Shen, Y., Zhao, Y. ... Xu, F. (2016). An assessment of interfractional bladder, rectum and vagina motion in postoperative cervical cancer based on daily cone‑beam computed tomography. Molecular and Clinical Oncology, 4, 271-277. https://doi.org/10.3892/mco.2015.704
MLA
Wang, X., Yu, M., Wang, J., Zhong, R., Shen, Y., Zhao, Y., Li, Z., Bai, S., Xu, F."An assessment of interfractional bladder, rectum and vagina motion in postoperative cervical cancer based on daily cone‑beam computed tomography". Molecular and Clinical Oncology 4.2 (2016): 271-277.
Chicago
Wang, X., Yu, M., Wang, J., Zhong, R., Shen, Y., Zhao, Y., Li, Z., Bai, S., Xu, F."An assessment of interfractional bladder, rectum and vagina motion in postoperative cervical cancer based on daily cone‑beam computed tomography". Molecular and Clinical Oncology 4, no. 2 (2016): 271-277. https://doi.org/10.3892/mco.2015.704
Follow us
  • Twitter
  • LinkedIn
  • Facebook
About
  • Spandidos Publications
  • Careers
  • Cookie Policy
  • Privacy Policy
How can we help?
  • Help
  • Live Chat
  • Contact
  • Email to our Support Team