Spandidos Publications Logo
  • About
    • About Spandidos
    • Aims and Scopes
    • Abstracting and Indexing
    • Editorial Policies
    • Reprints and Permissions
    • Job Opportunities
    • Terms and Conditions
    • Contact
  • Journals
    • All Journals
    • Oncology Letters
      • Oncology Letters
      • Information for Authors
      • Editorial Policies
      • Editorial Board
      • Aims and Scope
      • Abstracting and Indexing
      • Bibliographic Information
      • Archive
    • International Journal of Oncology
      • International Journal of Oncology
      • Information for Authors
      • Editorial Policies
      • Editorial Board
      • Aims and Scope
      • Abstracting and Indexing
      • Bibliographic Information
      • Archive
    • Molecular and Clinical Oncology
      • Molecular and Clinical Oncology
      • Information for Authors
      • Editorial Policies
      • Editorial Board
      • Aims and Scope
      • Abstracting and Indexing
      • Bibliographic Information
      • Archive
    • Experimental and Therapeutic Medicine
      • Experimental and Therapeutic Medicine
      • Information for Authors
      • Editorial Policies
      • Editorial Board
      • Aims and Scope
      • Abstracting and Indexing
      • Bibliographic Information
      • Archive
    • International Journal of Molecular Medicine
      • International Journal of Molecular Medicine
      • Information for Authors
      • Editorial Policies
      • Editorial Board
      • Aims and Scope
      • Abstracting and Indexing
      • Bibliographic Information
      • Archive
    • Biomedical Reports
      • Biomedical Reports
      • Information for Authors
      • Editorial Policies
      • Editorial Board
      • Aims and Scope
      • Abstracting and Indexing
      • Bibliographic Information
      • Archive
    • Oncology Reports
      • Oncology Reports
      • Information for Authors
      • Editorial Policies
      • Editorial Board
      • Aims and Scope
      • Abstracting and Indexing
      • Bibliographic Information
      • Archive
    • Molecular Medicine Reports
      • Molecular Medicine Reports
      • Information for Authors
      • Editorial Policies
      • Editorial Board
      • Aims and Scope
      • Abstracting and Indexing
      • Bibliographic Information
      • Archive
    • World Academy of Sciences Journal
      • World Academy of Sciences Journal
      • Information for Authors
      • Editorial Policies
      • Editorial Board
      • Aims and Scope
      • Abstracting and Indexing
      • Bibliographic Information
      • Archive
    • International Journal of Functional Nutrition
      • International Journal of Functional Nutrition
      • Information for Authors
      • Editorial Policies
      • Editorial Board
      • Aims and Scope
      • Abstracting and Indexing
      • Bibliographic Information
      • Archive
    • International Journal of Epigenetics
      • International Journal of Epigenetics
      • Information for Authors
      • Editorial Policies
      • Editorial Board
      • Aims and Scope
      • Abstracting and Indexing
      • Bibliographic Information
      • Archive
    • Medicine International
      • Medicine International
      • Information for Authors
      • Editorial Policies
      • Editorial Board
      • Aims and Scope
      • Abstracting and Indexing
      • Bibliographic Information
      • Archive
  • Articles
  • Information
    • Information for Authors
    • Information for Reviewers
    • Information for Librarians
    • Information for Advertisers
    • Conferences
  • Language Editing
Spandidos Publications Logo
  • About
    • About Spandidos
    • Aims and Scopes
    • Abstracting and Indexing
    • Editorial Policies
    • Reprints and Permissions
    • Job Opportunities
    • Terms and Conditions
    • Contact
  • Journals
    • All Journals
    • Biomedical Reports
      • Information for Authors
      • Editorial Policies
      • Editorial Board
      • Aims and Scope
      • Abstracting and Indexing
      • Bibliographic Information
      • Archive
    • Experimental and Therapeutic Medicine
      • Information for Authors
      • Editorial Policies
      • Editorial Board
      • Aims and Scope
      • Abstracting and Indexing
      • Bibliographic Information
      • Archive
    • International Journal of Epigenetics
      • Information for Authors
      • Editorial Policies
      • Editorial Board
      • Aims and Scope
      • Abstracting and Indexing
      • Bibliographic Information
      • Archive
    • International Journal of Functional Nutrition
      • Information for Authors
      • Editorial Policies
      • Editorial Board
      • Aims and Scope
      • Abstracting and Indexing
      • Bibliographic Information
      • Archive
    • International Journal of Molecular Medicine
      • Information for Authors
      • Editorial Policies
      • Editorial Board
      • Aims and Scope
      • Abstracting and Indexing
      • Bibliographic Information
      • Archive
    • International Journal of Oncology
      • Information for Authors
      • Editorial Policies
      • Editorial Board
      • Aims and Scope
      • Abstracting and Indexing
      • Bibliographic Information
      • Archive
    • Medicine International
      • Information for Authors
      • Editorial Policies
      • Editorial Board
      • Aims and Scope
      • Abstracting and Indexing
      • Bibliographic Information
      • Archive
    • Molecular and Clinical Oncology
      • Information for Authors
      • Editorial Policies
      • Editorial Board
      • Aims and Scope
      • Abstracting and Indexing
      • Bibliographic Information
      • Archive
    • Molecular Medicine Reports
      • Information for Authors
      • Editorial Policies
      • Editorial Board
      • Aims and Scope
      • Abstracting and Indexing
      • Bibliographic Information
      • Archive
    • Oncology Letters
      • Information for Authors
      • Editorial Policies
      • Editorial Board
      • Aims and Scope
      • Abstracting and Indexing
      • Bibliographic Information
      • Archive
    • Oncology Reports
      • Information for Authors
      • Editorial Policies
      • Editorial Board
      • Aims and Scope
      • Abstracting and Indexing
      • Bibliographic Information
      • Archive
    • World Academy of Sciences Journal
      • Information for Authors
      • Editorial Policies
      • Editorial Board
      • Aims and Scope
      • Abstracting and Indexing
      • Bibliographic Information
      • Archive
  • Articles
  • Information
    • For Authors
    • For Reviewers
    • For Librarians
    • For Advertisers
    • Conferences
  • Language Editing
Login Register Submit
  • This site uses cookies
  • You can change your cookie settings at any time by following the instructions in our Cookie Policy. To find out more, you may read our Privacy Policy.

    I agree
Search articles by DOI, keyword, author or affiliation
Search
Advanced Search
presentation
Molecular and Clinical Oncology
Join Editorial Board Propose a Special Issue
Print ISSN: 2049-9450 Online ISSN: 2049-9469
Journal Cover
November-2016 Volume 5 Issue 5

Full Size Image

Sign up for eToc alerts
Recommend to Library

Journals

International Journal of Molecular Medicine

International Journal of Molecular Medicine

International Journal of Molecular Medicine is an international journal devoted to molecular mechanisms of human disease.

International Journal of Oncology

International Journal of Oncology

International Journal of Oncology is an international journal devoted to oncology research and cancer treatment.

Molecular Medicine Reports

Molecular Medicine Reports

Covers molecular medicine topics such as pharmacology, pathology, genetics, neuroscience, infectious diseases, molecular cardiology, and molecular surgery.

Oncology Reports

Oncology Reports

Oncology Reports is an international journal devoted to fundamental and applied research in Oncology.

Experimental and Therapeutic Medicine

Experimental and Therapeutic Medicine

Experimental and Therapeutic Medicine is an international journal devoted to laboratory and clinical medicine.

Oncology Letters

Oncology Letters

Oncology Letters is an international journal devoted to Experimental and Clinical Oncology.

Biomedical Reports

Biomedical Reports

Explores a wide range of biological and medical fields, including pharmacology, genetics, microbiology, neuroscience, and molecular cardiology.

Molecular and Clinical Oncology

Molecular and Clinical Oncology

International journal addressing all aspects of oncology research, from tumorigenesis and oncogenes to chemotherapy and metastasis.

World Academy of Sciences Journal

World Academy of Sciences Journal

Multidisciplinary open-access journal spanning biochemistry, genetics, neuroscience, environmental health, and synthetic biology.

International Journal of Functional Nutrition

International Journal of Functional Nutrition

Open-access journal combining biochemistry, pharmacology, immunology, and genetics to advance health through functional nutrition.

International Journal of Epigenetics

International Journal of Epigenetics

Publishes open-access research on using epigenetics to advance understanding and treatment of human disease.

Medicine International

Medicine International

An International Open Access Journal Devoted to General Medicine.

Journal Cover
November-2016 Volume 5 Issue 5

Full Size Image

Sign up for eToc alerts
Recommend to Library

  • Article
  • Citations
    • Cite This Article
    • Download Citation
    • Create Citation Alert
    • Remove Citation Alert
    • Cited By
  • Similar Articles
    • Related Articles (in Spandidos Publications)
    • Similar Articles (Google Scholar)
    • Similar Articles (PubMed)
  • Download PDF
  • Download XML
  • View XML
Case Report Open Access

Small-cell lung cancer with recurrent syncope as the initial symptom: A case report and literature review

  • Authors:
    • Xi Jiang
    • Jiayi Zhao
    • Chengguang Bai
    • Enhong Xu
    • Zhenhao Chen
    • Yiping Han
  • View Affiliations / Copyright

    Affiliations: Graduate Management Unit, Changhai Hospital, the Second Military Medical University, Shanghai 200433, P.R. China, Department of Respiratory and Critical Care, Changhai Hospital, the Second Military Medical University, Shanghai 200433, P.R. China, Department of Pathology, Changhai Hospital, the Second Military Medical University, Shanghai 200433, P.R. China
    Copyright: © Jiang et al. This is an open access article distributed under the terms of Creative Commons Attribution License.
  • Pages: 545-549
    |
    Published online on: September 21, 2016
       https://doi.org/10.3892/mco.2016.1032
  • Expand metrics +
Metrics: Total Views: 0 (Spandidos Publications: | PMC Statistics: )
Metrics: Total PDF Downloads: 0 (Spandidos Publications: | PMC Statistics: )
Cited By (CrossRef): 0 citations Loading Articles...

This article is mentioned in:


Abstract

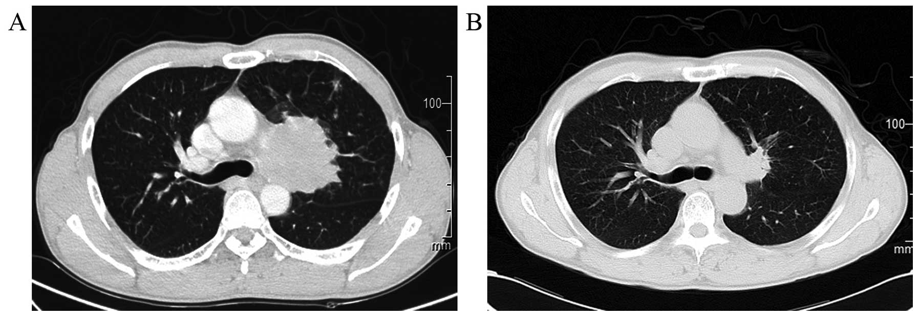
Small-cell lung cancer (SCLC) presenting with syncope as the initial symptom is rare in adults. This onset of tumour-induced syncope cannot be screened or differentiated by coronary angiography, magnetic resonance angiography of the neck or 24-hour dynamic electrocardiogram. We herein describe the case of a 61-year-old man who presented with recurrent syncope that resolved after the first course of chemotherapy (carboplatin plus etoposide) for SCLC. A mass measuring 57x53 mm was identified in the left hilum, and a diagnosis of limited-disease SCLC (T4N2M0, IIIB) was made. Considering the rapid and complete remission after the treatment of the primary lesion, we hypothesised that the syncope was neurogenic and associated with cancer. Thus, 8 similar cases retrieved from PubMed were reviewed and, for the first time, the mechanism underlying the syncope was identified, which may involve tumour location, neurobiology and other inducing factors. Thus, for the treatment of such SCLC patients, standard chemotherapy is crucial for preventing syncopal attacks.
View Figures

Figure 1

Figure 2

Figure 3

Figure 4

View References

1 

Veltmann C, Borggrefe M, Wolpert C and Schimpf R: Evaluation and management of syncope. Minerva Cardioangiol. 58:701–715. 2010.PubMed/NCBI

2 

Brignole M and Hamdan MH: New concepts in the assessment of syncope. J Am Coll Cardiol. 59:1583–1591. 2012. View Article : Google Scholar : PubMed/NCBI

3 

Zhang D, Wang L and Yang Z: Recurrent Syncope Associated with Lung Cancer. Case Rep Med. 2015:3097842015.PubMed/NCBI

4 

Koga T, Kaseda S, Miyazaki N, Kawazoe N, Abe I, Sadoshima S, Onoyama K and Koga T: Neurally mediated syncope induced by lung cancer-a case report. Angiology. 51:263–267. 2000. View Article : Google Scholar : PubMed/NCBI

5 

Li YB, Yao ZH, Cao YJ and Wang R: Lung cancer: A rare cause of recurrent syncope after pacemaker implantation. Chin Med J. 126:1992–1993. 2013.PubMed/NCBI

6 

Campagna D, Amaradio MD, Battaglia E, Demma S, Russo C and Polosa R: An uncommon cause of syncope. Intern Emerg Med. 11:425–429. 2016. View Article : Google Scholar : PubMed/NCBI

7 

Angelini P and Holoye PY: Neurocardiogenic syncope and Prinzmetal's angina associated with bronchogenic carcinoma. Chest. 111:819–822. 1997. View Article : Google Scholar : PubMed/NCBI

8 

Demura Y, Mizuno S, Wakabayashi M, Totani Y, Okamura S, Shiozaki K, Ameshima S, Sasaki F, Ishizaki T and Miyamori I: Neurally mediated syncope in association with small cell lung carcinoma. Nihon Kokyuki Gakkai Zasshi. 38:229–232. 2000.(In Japanese). PubMed/NCBI

9 

Martin MG, Ardati AK, Dunlay SM, Abernethy AP and Blazing MA: Small cell lung cancer presenting as a paraneoplastic syndrome characterized by recurrent episodic hypotension and bradycardia: Case report. Chest. 131:290–293. 2007. View Article : Google Scholar : PubMed/NCBI

10 

Shimizu K, Yoshii Y, Watanabe S, Hosoda C, Takagi M, Tominaga T, Kawaishi M and Kuwano K: Neurally mediated syncope associated with small cell lung cancer: A case report and review. Intern Med. 50:2367–2369. 2011. View Article : Google Scholar : PubMed/NCBI

11 

Nishino M, Jagannathan JP, Ramaiya NH and Van den Abbeele AD: Revised RECIST guideline version 1.1: What oncologists want to know and what radiologists need to know. AJR Am J Roentgenol. 195:281–289. 2010. View Article : Google Scholar : PubMed/NCBI

12 

Ntusi NA, Coccia CB, Cupido BJ and Chin A: An approach to the clinical assessment and management of syncope in adults. S Afr Med J. 105:690–693. 2015. View Article : Google Scholar : PubMed/NCBI

13 

Yu C: Clinical Applied Anatomy of Highly Selective Vagotomy of Hilum Pulmonis in Human. [D]. Minimally Invasive Thoracic Surgery of ZhongShan University; Guangzhou: pp. 1–27. 2007

14 

Wang J, Li J, Liu G and Deslauriers J: Nerves of the mediastinum. Thorac Surg Clin. 21:239–249. 2011. View Article : Google Scholar : PubMed/NCBI

15 

Graus F and Dalmau J: Paraneoplastic neurological syndromes. Curr Opin Neurol. 25:795–801. 2012. View Article : Google Scholar : PubMed/NCBI

16 

Alboni P, Bondanelli M, Dinelli M, Gruppillo P, Franceschetti P, Marchi P and Uberti EC degli: Role of the serotonergic system in the genesis of vasovagal syncope. Europace. 2:172–180. 2000. View Article : Google Scholar : PubMed/NCBI

17 

Benditt DG, Ermis C, Padanilam B, Samniah N and Sakaguchi S: Catecholamine response during haemodynamically stable upright posture in individuals with and without tilt-table induced vasovagal syncope. Europace. 5:65–70. 2003. View Article : Google Scholar : PubMed/NCBI

18 

Theodorakis GN, Livanis EG, Leftheriotis D, Flevari P, Markianos M and Kremastinos DT: Head-up tilt test with clomipramine challenge in vasovagal syndrome-a new tilt testing protocol. Eur Heart J. 24:658–663. 2003. View Article : Google Scholar : PubMed/NCBI

19 

Fenton AM, Hammill SC, Rea RF, Low PA and Shen WK: Vasovagal syncope. Ann Intern Med. 133:714–725. 2000. View Article : Google Scholar : PubMed/NCBI

20 

Mosqueda-Garcia R, Furlan R, Tank J and Fernandez-Violante R: The elusive pathophysiology of neurally mediated syncope. Circulation. 102:2898–2906. 2000. View Article : Google Scholar : PubMed/NCBI

21 

Lurie KG, Benditt D and Mosqueda-Garcia R: Syncope and the autonomic nervous system. J Cardiovasc Electrophysiol. 7:760–776. 1996. View Article : Google Scholar : PubMed/NCBI

22 

Morillo CA: Evidence-based common sense: The role of clinical history for the diagnosis of vasovagal syncope. Eur Heart J. 27:253–254. 2006. View Article : Google Scholar : PubMed/NCBI

23 

Hermes A, Bergman B, Bremnes R, Ek L, Fluge S, Sederholm C, Sundstrøm S, Thaning L, Vilsvik J, Aasebø U, et al: Irinotecan plus carboplatin versus oral etoposide plus carboplatin in extensive small-cell lung cancer: A randomized phase III trial. J Clin Oncol. 26:4261–4267. 2008. View Article : Google Scholar : PubMed/NCBI

Related Articles

  • Abstract
  • View
  • Download
  • Twitter
Copy and paste a formatted citation
Spandidos Publications style
Jiang X, Zhao J, Bai C, Xu E, Chen Z and Han Y: Small-cell lung cancer with recurrent syncope as the initial symptom: A case report and literature review. Mol Clin Oncol 5: 545-549, 2016.
APA
Jiang, X., Zhao, J., Bai, C., Xu, E., Chen, Z., & Han, Y. (2016). Small-cell lung cancer with recurrent syncope as the initial symptom: A case report and literature review. Molecular and Clinical Oncology, 5, 545-549. https://doi.org/10.3892/mco.2016.1032
MLA
Jiang, X., Zhao, J., Bai, C., Xu, E., Chen, Z., Han, Y."Small-cell lung cancer with recurrent syncope as the initial symptom: A case report and literature review". Molecular and Clinical Oncology 5.5 (2016): 545-549.
Chicago
Jiang, X., Zhao, J., Bai, C., Xu, E., Chen, Z., Han, Y."Small-cell lung cancer with recurrent syncope as the initial symptom: A case report and literature review". Molecular and Clinical Oncology 5, no. 5 (2016): 545-549. https://doi.org/10.3892/mco.2016.1032
Copy and paste a formatted citation
x
Spandidos Publications style
Jiang X, Zhao J, Bai C, Xu E, Chen Z and Han Y: Small-cell lung cancer with recurrent syncope as the initial symptom: A case report and literature review. Mol Clin Oncol 5: 545-549, 2016.
APA
Jiang, X., Zhao, J., Bai, C., Xu, E., Chen, Z., & Han, Y. (2016). Small-cell lung cancer with recurrent syncope as the initial symptom: A case report and literature review. Molecular and Clinical Oncology, 5, 545-549. https://doi.org/10.3892/mco.2016.1032
MLA
Jiang, X., Zhao, J., Bai, C., Xu, E., Chen, Z., Han, Y."Small-cell lung cancer with recurrent syncope as the initial symptom: A case report and literature review". Molecular and Clinical Oncology 5.5 (2016): 545-549.
Chicago
Jiang, X., Zhao, J., Bai, C., Xu, E., Chen, Z., Han, Y."Small-cell lung cancer with recurrent syncope as the initial symptom: A case report and literature review". Molecular and Clinical Oncology 5, no. 5 (2016): 545-549. https://doi.org/10.3892/mco.2016.1032
Follow us
  • Twitter
  • LinkedIn
  • Facebook
About
  • Spandidos Publications
  • Careers
  • Cookie Policy
  • Privacy Policy
How can we help?
  • Help
  • Live Chat
  • Contact
  • Email to our Support Team