Spandidos Publications Logo
  • About
    • About Spandidos
    • Aims and Scopes
    • Abstracting and Indexing
    • Editorial Policies
    • Reprints and Permissions
    • Job Opportunities
    • Terms and Conditions
    • Contact
  • Journals
    • All Journals
    • Oncology Letters
      • Oncology Letters
      • Information for Authors
      • Editorial Policies
      • Editorial Board
      • Aims and Scope
      • Abstracting and Indexing
      • Bibliographic Information
      • Archive
    • International Journal of Oncology
      • International Journal of Oncology
      • Information for Authors
      • Editorial Policies
      • Editorial Board
      • Aims and Scope
      • Abstracting and Indexing
      • Bibliographic Information
      • Archive
    • Molecular and Clinical Oncology
      • Molecular and Clinical Oncology
      • Information for Authors
      • Editorial Policies
      • Editorial Board
      • Aims and Scope
      • Abstracting and Indexing
      • Bibliographic Information
      • Archive
    • Experimental and Therapeutic Medicine
      • Experimental and Therapeutic Medicine
      • Information for Authors
      • Editorial Policies
      • Editorial Board
      • Aims and Scope
      • Abstracting and Indexing
      • Bibliographic Information
      • Archive
    • International Journal of Molecular Medicine
      • International Journal of Molecular Medicine
      • Information for Authors
      • Editorial Policies
      • Editorial Board
      • Aims and Scope
      • Abstracting and Indexing
      • Bibliographic Information
      • Archive
    • Biomedical Reports
      • Biomedical Reports
      • Information for Authors
      • Editorial Policies
      • Editorial Board
      • Aims and Scope
      • Abstracting and Indexing
      • Bibliographic Information
      • Archive
    • Oncology Reports
      • Oncology Reports
      • Information for Authors
      • Editorial Policies
      • Editorial Board
      • Aims and Scope
      • Abstracting and Indexing
      • Bibliographic Information
      • Archive
    • Molecular Medicine Reports
      • Molecular Medicine Reports
      • Information for Authors
      • Editorial Policies
      • Editorial Board
      • Aims and Scope
      • Abstracting and Indexing
      • Bibliographic Information
      • Archive
    • World Academy of Sciences Journal
      • World Academy of Sciences Journal
      • Information for Authors
      • Editorial Policies
      • Editorial Board
      • Aims and Scope
      • Abstracting and Indexing
      • Bibliographic Information
      • Archive
    • International Journal of Functional Nutrition
      • International Journal of Functional Nutrition
      • Information for Authors
      • Editorial Policies
      • Editorial Board
      • Aims and Scope
      • Abstracting and Indexing
      • Bibliographic Information
      • Archive
    • International Journal of Epigenetics
      • International Journal of Epigenetics
      • Information for Authors
      • Editorial Policies
      • Editorial Board
      • Aims and Scope
      • Abstracting and Indexing
      • Bibliographic Information
      • Archive
    • Medicine International
      • Medicine International
      • Information for Authors
      • Editorial Policies
      • Editorial Board
      • Aims and Scope
      • Abstracting and Indexing
      • Bibliographic Information
      • Archive
  • Articles
  • Information
    • Information for Authors
    • Information for Reviewers
    • Information for Librarians
    • Information for Advertisers
    • Conferences
  • Language Editing
Spandidos Publications Logo
  • About
    • About Spandidos
    • Aims and Scopes
    • Abstracting and Indexing
    • Editorial Policies
    • Reprints and Permissions
    • Job Opportunities
    • Terms and Conditions
    • Contact
  • Journals
    • All Journals
    • Biomedical Reports
      • Information for Authors
      • Editorial Policies
      • Editorial Board
      • Aims and Scope
      • Abstracting and Indexing
      • Bibliographic Information
      • Archive
    • Experimental and Therapeutic Medicine
      • Information for Authors
      • Editorial Policies
      • Editorial Board
      • Aims and Scope
      • Abstracting and Indexing
      • Bibliographic Information
      • Archive
    • International Journal of Epigenetics
      • Information for Authors
      • Editorial Policies
      • Editorial Board
      • Aims and Scope
      • Abstracting and Indexing
      • Bibliographic Information
      • Archive
    • International Journal of Functional Nutrition
      • Information for Authors
      • Editorial Policies
      • Editorial Board
      • Aims and Scope
      • Abstracting and Indexing
      • Bibliographic Information
      • Archive
    • International Journal of Molecular Medicine
      • Information for Authors
      • Editorial Policies
      • Editorial Board
      • Aims and Scope
      • Abstracting and Indexing
      • Bibliographic Information
      • Archive
    • International Journal of Oncology
      • Information for Authors
      • Editorial Policies
      • Editorial Board
      • Aims and Scope
      • Abstracting and Indexing
      • Bibliographic Information
      • Archive
    • Medicine International
      • Information for Authors
      • Editorial Policies
      • Editorial Board
      • Aims and Scope
      • Abstracting and Indexing
      • Bibliographic Information
      • Archive
    • Molecular and Clinical Oncology
      • Information for Authors
      • Editorial Policies
      • Editorial Board
      • Aims and Scope
      • Abstracting and Indexing
      • Bibliographic Information
      • Archive
    • Molecular Medicine Reports
      • Information for Authors
      • Editorial Policies
      • Editorial Board
      • Aims and Scope
      • Abstracting and Indexing
      • Bibliographic Information
      • Archive
    • Oncology Letters
      • Information for Authors
      • Editorial Policies
      • Editorial Board
      • Aims and Scope
      • Abstracting and Indexing
      • Bibliographic Information
      • Archive
    • Oncology Reports
      • Information for Authors
      • Editorial Policies
      • Editorial Board
      • Aims and Scope
      • Abstracting and Indexing
      • Bibliographic Information
      • Archive
    • World Academy of Sciences Journal
      • Information for Authors
      • Editorial Policies
      • Editorial Board
      • Aims and Scope
      • Abstracting and Indexing
      • Bibliographic Information
      • Archive
  • Articles
  • Information
    • For Authors
    • For Reviewers
    • For Librarians
    • For Advertisers
    • Conferences
  • Language Editing
Login Register Submit
  • This site uses cookies
  • You can change your cookie settings at any time by following the instructions in our Cookie Policy. To find out more, you may read our Privacy Policy.

    I agree
Search articles by DOI, keyword, author or affiliation
Search
Advanced Search
presentation
Molecular and Clinical Oncology
Join Editorial Board Propose a Special Issue
Print ISSN: 2049-9450 Online ISSN: 2049-9469
Journal Cover
February-2017 Volume 6 Issue 2

Full Size Image

Sign up for eToc alerts
Recommend to Library

Journals

International Journal of Molecular Medicine

International Journal of Molecular Medicine

International Journal of Molecular Medicine is an international journal devoted to molecular mechanisms of human disease.

International Journal of Oncology

International Journal of Oncology

International Journal of Oncology is an international journal devoted to oncology research and cancer treatment.

Molecular Medicine Reports

Molecular Medicine Reports

Covers molecular medicine topics such as pharmacology, pathology, genetics, neuroscience, infectious diseases, molecular cardiology, and molecular surgery.

Oncology Reports

Oncology Reports

Oncology Reports is an international journal devoted to fundamental and applied research in Oncology.

Experimental and Therapeutic Medicine

Experimental and Therapeutic Medicine

Experimental and Therapeutic Medicine is an international journal devoted to laboratory and clinical medicine.

Oncology Letters

Oncology Letters

Oncology Letters is an international journal devoted to Experimental and Clinical Oncology.

Biomedical Reports

Biomedical Reports

Explores a wide range of biological and medical fields, including pharmacology, genetics, microbiology, neuroscience, and molecular cardiology.

Molecular and Clinical Oncology

Molecular and Clinical Oncology

International journal addressing all aspects of oncology research, from tumorigenesis and oncogenes to chemotherapy and metastasis.

World Academy of Sciences Journal

World Academy of Sciences Journal

Multidisciplinary open-access journal spanning biochemistry, genetics, neuroscience, environmental health, and synthetic biology.

International Journal of Functional Nutrition

International Journal of Functional Nutrition

Open-access journal combining biochemistry, pharmacology, immunology, and genetics to advance health through functional nutrition.

International Journal of Epigenetics

International Journal of Epigenetics

Publishes open-access research on using epigenetics to advance understanding and treatment of human disease.

Medicine International

Medicine International

An International Open Access Journal Devoted to General Medicine.

Journal Cover
February-2017 Volume 6 Issue 2

Full Size Image

Sign up for eToc alerts
Recommend to Library

  • Article
  • Citations
    • Cite This Article
    • Download Citation
    • Create Citation Alert
    • Remove Citation Alert
    • Cited By
  • Similar Articles
    • Related Articles (in Spandidos Publications)
    • Similar Articles (Google Scholar)
    • Similar Articles (PubMed)
  • Download PDF
  • Download XML
  • View XML
Case Report

High-grade serous ovarian cancer 3 years after bilateral salpingectomy: A case report

  • Authors:
    • Emi Sato
    • Kentaro Nakayama
    • Masako Ishikawa
    • Kohei Nakamura
    • Tomoka Ishibashi
    • Satoru Kyo
  • View Affiliations / Copyright

    Affiliations: Department of Obstetrics and Gynecology, Shimane University School of Medicine, Izumo, Shimane 6938501, Japan
  • Pages: 201-203
    |
    Published online on: December 12, 2016
       https://doi.org/10.3892/mco.2016.1105
  • Expand metrics +
Metrics: Total Views: 0 (Spandidos Publications: | PMC Statistics: )
Metrics: Total PDF Downloads: 0 (Spandidos Publications: | PMC Statistics: )
Cited By (CrossRef): 0 citations Loading Articles...

This article is mentioned in:



Abstract

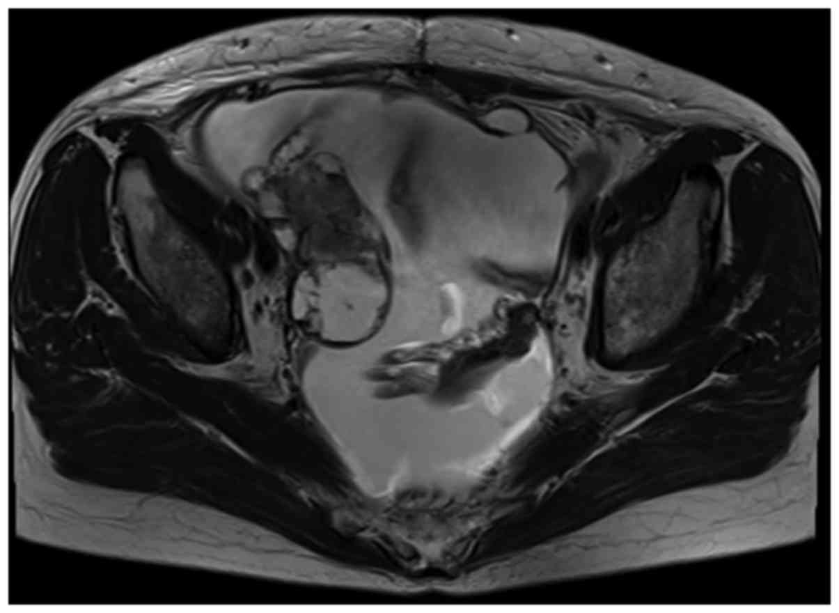
Although epithelial ovarian cancer commonly originates from the ovarian surface epithelium and/or ovarian inclusion cysts, it was recently proposed that high‑grade serous ovarian cancer (HGSC) develops from the fallopian tubes. In our department, we encountered a case of HGSC that contradicts the hypothesis of a tubal origin for HGSC. A 51-year-old postmenopausal woman had undergone hysterectomy, left oophorectomy and bilateral salpingectomy for uterine myoma. Three years later, the patient was diagnosed with stage IV ovarian cancer and underwent primary debulking surgery. The pathological examination revealed HGSC, although there was no evidence of serous tubal intraepithelial carcinoma or any other type of cancer in the previously resected left ovary and bilateral fallopian tubes. Moreover, p53 overexpression was not detected in the right ovarian cancer specimen, while paired box gene 8, a marker of fallopian tube epithelium, was highly expressed. Therefore, HGSC may develop from an inclusion cyst with metaplasia of from the ovarian surface epithelium.
View Figures

Figure 1

Figure 2

Figure 3

Figure 4

View References

1 

Kim J, Coffey DM, Creighton CJ, Yu Z, Hawkins SM and Matzuk MM: High-grade serous ovarian cancer arises from fallopian tube in a mouse model. Proc Natl Acad Sci USA. 109:3921–3926. 2012. View Article : Google Scholar : PubMed/NCBI

2 

Crum CP, Drapkin R, Kindelberger D, Medeiros F, Miron A and Lee Y: Lessons from BRCA: The tubal fimbria emerges as an origin for pelvic serous cancer. Clin Med Res. 5:35–44. 2007. View Article : Google Scholar : PubMed/NCBI

3 

Nusbaum R and Isaacs C: Management updates for women with a BRCA1 or BRCA2 mutation. Mol Diagn Ther. 11:133–144. 2007. View Article : Google Scholar : PubMed/NCBI

4 

Falconer H, Yin L, Grönberg H and Altman D: Ovarian cancer risk after salpingectomy: A nationwide population-based study. J Natl Cancer Inst. 107:2015. View Article : Google Scholar : PubMed/NCBI

5 

Scully RE: Classification of human ovarian tumors. Environ Health Perspect. 73:15–25. 1987. View Article : Google Scholar : PubMed/NCBI

6 

Lessard-Anderson CR, Handloqten KS, Molitor RJ, Dowdy SC, Cliby WA, Weaver AL, Sauver JS and Bakkum-Gamez JN: Effect of tubal sterilization technique on risk of serous epithelial ovarian and primary peritoneal carcinoma. Gynecol Oncol. 135:423–427. 2014. View Article : Google Scholar : PubMed/NCBI

7 

Madsen C, Baandrup L, Dehlendorff C and Kjaer SK: Tubal ligation and salpingectomy and the risk of epithelial ovarian cancer and borderline ovarian tumors: A nationwide case-control study. Acta Obstet Gynecol Scand. 94:86–94. 2015. View Article : Google Scholar : PubMed/NCBI

8 

Cancer Genome Atlas Research Network, . Integrated genomic analyses of ovarian carcinoma. Nature. 474:609–615. 2011. View Article : Google Scholar : PubMed/NCBI

9 

Verhaak RG, Tamayo P, Yang JY, Hubbard D, Zhang H, Creighton CJ, Fereday S, Lawrence M, Carter SL, Mermel CH, et al: Cancer Genome Atlas Research Network: Prognostically relevant gene signatures of high-grade serous ovarian carcinoma. J Clin Invest. 123:517–525. 2013.PubMed/NCBI

10 

Kindelberger DW, Lee Y, Miron A, Hirsch MS, Feltmate C, Medeiros F, Callahan MJ, Garner EO, Gordon RW, Birch C, et al: Intraepithelial carcinoma of the fimbria and pelvic serous carcinoma: Evidence for a causal relationship. Am J Surg Pathol. 31:161–169. 2007. View Article : Google Scholar : PubMed/NCBI

11 

Banet N and Kurman RJ: Two types of ovarian cortical inclusion cysts: Proposed origin and possible role in ovarian serous carcinogenesis. Int J Gynecol Pathol. 34:3–8. 2015. View Article : Google Scholar : PubMed/NCBI

Related Articles

  • Abstract
  • View
  • Download
  • Twitter
Copy and paste a formatted citation
Spandidos Publications style
Sato E, Nakayama K, Ishikawa M, Nakamura K, Ishibashi T and Kyo S: High-grade serous ovarian cancer 3 years after bilateral salpingectomy: A case report. Mol Clin Oncol 6: 201-203, 2017.
APA
Sato, E., Nakayama, K., Ishikawa, M., Nakamura, K., Ishibashi, T., & Kyo, S. (2017). High-grade serous ovarian cancer 3 years after bilateral salpingectomy: A case report. Molecular and Clinical Oncology, 6, 201-203. https://doi.org/10.3892/mco.2016.1105
MLA
Sato, E., Nakayama, K., Ishikawa, M., Nakamura, K., Ishibashi, T., Kyo, S."High-grade serous ovarian cancer 3 years after bilateral salpingectomy: A case report". Molecular and Clinical Oncology 6.2 (2017): 201-203.
Chicago
Sato, E., Nakayama, K., Ishikawa, M., Nakamura, K., Ishibashi, T., Kyo, S."High-grade serous ovarian cancer 3 years after bilateral salpingectomy: A case report". Molecular and Clinical Oncology 6, no. 2 (2017): 201-203. https://doi.org/10.3892/mco.2016.1105
Copy and paste a formatted citation
x
Spandidos Publications style
Sato E, Nakayama K, Ishikawa M, Nakamura K, Ishibashi T and Kyo S: High-grade serous ovarian cancer 3 years after bilateral salpingectomy: A case report. Mol Clin Oncol 6: 201-203, 2017.
APA
Sato, E., Nakayama, K., Ishikawa, M., Nakamura, K., Ishibashi, T., & Kyo, S. (2017). High-grade serous ovarian cancer 3 years after bilateral salpingectomy: A case report. Molecular and Clinical Oncology, 6, 201-203. https://doi.org/10.3892/mco.2016.1105
MLA
Sato, E., Nakayama, K., Ishikawa, M., Nakamura, K., Ishibashi, T., Kyo, S."High-grade serous ovarian cancer 3 years after bilateral salpingectomy: A case report". Molecular and Clinical Oncology 6.2 (2017): 201-203.
Chicago
Sato, E., Nakayama, K., Ishikawa, M., Nakamura, K., Ishibashi, T., Kyo, S."High-grade serous ovarian cancer 3 years after bilateral salpingectomy: A case report". Molecular and Clinical Oncology 6, no. 2 (2017): 201-203. https://doi.org/10.3892/mco.2016.1105
Follow us
  • Twitter
  • LinkedIn
  • Facebook
About
  • Spandidos Publications
  • Careers
  • Cookie Policy
  • Privacy Policy
How can we help?
  • Help
  • Live Chat
  • Contact
  • Email to our Support Team