Spandidos Publications Logo
  • About
    • About Spandidos
    • Aims and Scopes
    • Abstracting and Indexing
    • Editorial Policies
    • Reprints and Permissions
    • Job Opportunities
    • Terms and Conditions
    • Contact
  • Journals
    • All Journals
    • Oncology Letters
      • Oncology Letters
      • Information for Authors
      • Editorial Policies
      • Editorial Board
      • Aims and Scope
      • Abstracting and Indexing
      • Bibliographic Information
      • Archive
    • International Journal of Oncology
      • International Journal of Oncology
      • Information for Authors
      • Editorial Policies
      • Editorial Board
      • Aims and Scope
      • Abstracting and Indexing
      • Bibliographic Information
      • Archive
    • Molecular and Clinical Oncology
      • Molecular and Clinical Oncology
      • Information for Authors
      • Editorial Policies
      • Editorial Board
      • Aims and Scope
      • Abstracting and Indexing
      • Bibliographic Information
      • Archive
    • Experimental and Therapeutic Medicine
      • Experimental and Therapeutic Medicine
      • Information for Authors
      • Editorial Policies
      • Editorial Board
      • Aims and Scope
      • Abstracting and Indexing
      • Bibliographic Information
      • Archive
    • International Journal of Molecular Medicine
      • International Journal of Molecular Medicine
      • Information for Authors
      • Editorial Policies
      • Editorial Board
      • Aims and Scope
      • Abstracting and Indexing
      • Bibliographic Information
      • Archive
    • Biomedical Reports
      • Biomedical Reports
      • Information for Authors
      • Editorial Policies
      • Editorial Board
      • Aims and Scope
      • Abstracting and Indexing
      • Bibliographic Information
      • Archive
    • Oncology Reports
      • Oncology Reports
      • Information for Authors
      • Editorial Policies
      • Editorial Board
      • Aims and Scope
      • Abstracting and Indexing
      • Bibliographic Information
      • Archive
    • Molecular Medicine Reports
      • Molecular Medicine Reports
      • Information for Authors
      • Editorial Policies
      • Editorial Board
      • Aims and Scope
      • Abstracting and Indexing
      • Bibliographic Information
      • Archive
    • World Academy of Sciences Journal
      • World Academy of Sciences Journal
      • Information for Authors
      • Editorial Policies
      • Editorial Board
      • Aims and Scope
      • Abstracting and Indexing
      • Bibliographic Information
      • Archive
    • International Journal of Functional Nutrition
      • International Journal of Functional Nutrition
      • Information for Authors
      • Editorial Policies
      • Editorial Board
      • Aims and Scope
      • Abstracting and Indexing
      • Bibliographic Information
      • Archive
    • International Journal of Epigenetics
      • International Journal of Epigenetics
      • Information for Authors
      • Editorial Policies
      • Editorial Board
      • Aims and Scope
      • Abstracting and Indexing
      • Bibliographic Information
      • Archive
    • Medicine International
      • Medicine International
      • Information for Authors
      • Editorial Policies
      • Editorial Board
      • Aims and Scope
      • Abstracting and Indexing
      • Bibliographic Information
      • Archive
  • Articles
  • Information
    • Information for Authors
    • Information for Reviewers
    • Information for Librarians
    • Information for Advertisers
    • Conferences
  • Language Editing
Spandidos Publications Logo
  • About
    • About Spandidos
    • Aims and Scopes
    • Abstracting and Indexing
    • Editorial Policies
    • Reprints and Permissions
    • Job Opportunities
    • Terms and Conditions
    • Contact
  • Journals
    • All Journals
    • Biomedical Reports
      • Information for Authors
      • Editorial Policies
      • Editorial Board
      • Aims and Scope
      • Abstracting and Indexing
      • Bibliographic Information
      • Archive
    • Experimental and Therapeutic Medicine
      • Information for Authors
      • Editorial Policies
      • Editorial Board
      • Aims and Scope
      • Abstracting and Indexing
      • Bibliographic Information
      • Archive
    • International Journal of Epigenetics
      • Information for Authors
      • Editorial Policies
      • Editorial Board
      • Aims and Scope
      • Abstracting and Indexing
      • Bibliographic Information
      • Archive
    • International Journal of Functional Nutrition
      • Information for Authors
      • Editorial Policies
      • Editorial Board
      • Aims and Scope
      • Abstracting and Indexing
      • Bibliographic Information
      • Archive
    • International Journal of Molecular Medicine
      • Information for Authors
      • Editorial Policies
      • Editorial Board
      • Aims and Scope
      • Abstracting and Indexing
      • Bibliographic Information
      • Archive
    • International Journal of Oncology
      • Information for Authors
      • Editorial Policies
      • Editorial Board
      • Aims and Scope
      • Abstracting and Indexing
      • Bibliographic Information
      • Archive
    • Medicine International
      • Information for Authors
      • Editorial Policies
      • Editorial Board
      • Aims and Scope
      • Abstracting and Indexing
      • Bibliographic Information
      • Archive
    • Molecular and Clinical Oncology
      • Information for Authors
      • Editorial Policies
      • Editorial Board
      • Aims and Scope
      • Abstracting and Indexing
      • Bibliographic Information
      • Archive
    • Molecular Medicine Reports
      • Information for Authors
      • Editorial Policies
      • Editorial Board
      • Aims and Scope
      • Abstracting and Indexing
      • Bibliographic Information
      • Archive
    • Oncology Letters
      • Information for Authors
      • Editorial Policies
      • Editorial Board
      • Aims and Scope
      • Abstracting and Indexing
      • Bibliographic Information
      • Archive
    • Oncology Reports
      • Information for Authors
      • Editorial Policies
      • Editorial Board
      • Aims and Scope
      • Abstracting and Indexing
      • Bibliographic Information
      • Archive
    • World Academy of Sciences Journal
      • Information for Authors
      • Editorial Policies
      • Editorial Board
      • Aims and Scope
      • Abstracting and Indexing
      • Bibliographic Information
      • Archive
  • Articles
  • Information
    • For Authors
    • For Reviewers
    • For Librarians
    • For Advertisers
    • Conferences
  • Language Editing
Login Register Submit
  • This site uses cookies
  • You can change your cookie settings at any time by following the instructions in our Cookie Policy. To find out more, you may read our Privacy Policy.

    I agree
Search articles by DOI, keyword, author or affiliation
Search
Advanced Search
presentation
Molecular and Clinical Oncology
Join Editorial Board Propose a Special Issue
Print ISSN: 2049-9450 Online ISSN: 2049-9469
Journal Cover
February-2017 Volume 6 Issue 2

Full Size Image

Sign up for eToc alerts
Recommend to Library

Journals

International Journal of Molecular Medicine

International Journal of Molecular Medicine

International Journal of Molecular Medicine is an international journal devoted to molecular mechanisms of human disease.

International Journal of Oncology

International Journal of Oncology

International Journal of Oncology is an international journal devoted to oncology research and cancer treatment.

Molecular Medicine Reports

Molecular Medicine Reports

Covers molecular medicine topics such as pharmacology, pathology, genetics, neuroscience, infectious diseases, molecular cardiology, and molecular surgery.

Oncology Reports

Oncology Reports

Oncology Reports is an international journal devoted to fundamental and applied research in Oncology.

Experimental and Therapeutic Medicine

Experimental and Therapeutic Medicine

Experimental and Therapeutic Medicine is an international journal devoted to laboratory and clinical medicine.

Oncology Letters

Oncology Letters

Oncology Letters is an international journal devoted to Experimental and Clinical Oncology.

Biomedical Reports

Biomedical Reports

Explores a wide range of biological and medical fields, including pharmacology, genetics, microbiology, neuroscience, and molecular cardiology.

Molecular and Clinical Oncology

Molecular and Clinical Oncology

International journal addressing all aspects of oncology research, from tumorigenesis and oncogenes to chemotherapy and metastasis.

World Academy of Sciences Journal

World Academy of Sciences Journal

Multidisciplinary open-access journal spanning biochemistry, genetics, neuroscience, environmental health, and synthetic biology.

International Journal of Functional Nutrition

International Journal of Functional Nutrition

Open-access journal combining biochemistry, pharmacology, immunology, and genetics to advance health through functional nutrition.

International Journal of Epigenetics

International Journal of Epigenetics

Publishes open-access research on using epigenetics to advance understanding and treatment of human disease.

Medicine International

Medicine International

An International Open Access Journal Devoted to General Medicine.

Journal Cover
February-2017 Volume 6 Issue 2

Full Size Image

Sign up for eToc alerts
Recommend to Library

  • Article
  • Citations
    • Cite This Article
    • Download Citation
    • Create Citation Alert
    • Remove Citation Alert
    • Cited By
  • Similar Articles
    • Related Articles (in Spandidos Publications)
    • Similar Articles (Google Scholar)
    • Similar Articles (PubMed)
  • Download PDF
  • Download XML
  • View XML
Case Report

Spontaneous regression of hepatocellular carcinoma in a Caucasian male patient: A case report and review of the literature

  • Authors:
    • Daniel P. Noij
    • Petrus W.G. van Der Linden
  • View Affiliations / Copyright

    Affiliations: Department of Internal Medicine, Spaarne Gasthuis, 2035 RC Haarlem, The Netherlands
  • Pages: 225-228
    |
    Published online on: December 22, 2016
       https://doi.org/10.3892/mco.2016.1115
  • Expand metrics +
Metrics: Total Views: 0 (Spandidos Publications: | PMC Statistics: )
Metrics: Total PDF Downloads: 0 (Spandidos Publications: | PMC Statistics: )
Cited By (CrossRef): 0 citations Loading Articles...

This article is mentioned in:



Abstract

Hepatocellular carcinoma (HCC) is the most common primary hepatic cancer. As it often presents at an advanced stage, it generally has a poor prognosis. Spontaneous regression is a rare finding in HCC, and is often associated with tumour ischemia or a systemic inflammatory response. We herein present the case of a Caucasian patient with spontaneous regression of advanced HCC, not associated with either mechanism. Our patient was a 74‑year old Caucasian male who presented with advanced biopsy‑proven HCC, with α‑fetoprotein levels of >16,600 kU/l. On computed tomography examination, multiple metastases were identified. Due to the poor performance status and as the patient declined treatment, he was referred to a general practitioner for supportive palliative care. Six months later, the patient was alive and feeling well. He had suffered a cerebrovascular accident with ensuing partial hemiparesis, and had been initiated on enalapril, furosemide and curcumin. On re‑evaluation, the lung lesions had disappeared, whereas both the liver and peritoneal lesions had decreased in size. Following a review of the literature, the conclusion was that this case of spontaneous regression of advanced HCC was not caused by ischemia, inflammation, or any other previously reported mechanism. Further research is required to elucidate the mechanisms underlying spontaneous regression of HCC.

Introduction

Primary liver cancer is the seventh deadliest type of cancer, with a 5-year survival rate of 18%. The annual increase in the incidence of primary liver cancer indicates that this is among the most rapidly increasing cancer incidences (3.7% in men and 3.0% in women) (1). Over 90% of primary liver cancer cases are hepatocellular carcinomas (HCCs). The majority of the patients present with advanced-stage disease, with only palliative treatment options available, including sorafenib and transarterial chemoembolization (2). Sorafenib is a multikinase inhibitor that is used as first-line palliative treatment in patients with advanced HCC; it improves the overall survival (mean, 2.8 months) and is reasonably well-tolerated, with the main side effects being diarrhoea, weight loss and hand-foot skin reaction (3).

Several cases of spontaneous tumour regression in HCC have been reported. The estimated incidence of spontaneous regression is 0.4% in HCC patients (4). Different hypotheses have been suggested, including tumour ischemia (5), systemic inflammatory reactions, discontinuation of immunosuppressive therapy (6), abstinence from alcohol consumption or the use of herbal preparations.

We herein report a case of regression of untreated metastasized HCC that not associated with any of the abovementioned mechanisms.

Case report

A 74-year old Caucasian male patient was admitted to our hospital with a 6-week history of malaise, loss of appetite, increased abdominal circumference, epigastric tenderness and a 20-kg weight loss. The liver was non-tender and palpable 5 cm below the costal margin. A firm, non-tender mass, 2 cm in diameter, was detected in the epigastric angle. There was no lymphadenopathy or a rectal mass.

The patient's medical history included hepatic steatosis, hypertension, diabetes mellitus type 2 and percutaneous transluminal coronary angioplasties after a myocardial infarction. He had been prescribed insulin, metformin, pantoprazole, isosorbide mononitrate, enalapril, clopidogrel, felodipine, simvastatin, temazepam and metoprolol. The patient was a non-smoker and consumed 2 units of alcohol daily.

Hepatitis B and C and human immunodeficiency virus serology were assessed with the enzyme immunoassay method and were negative.

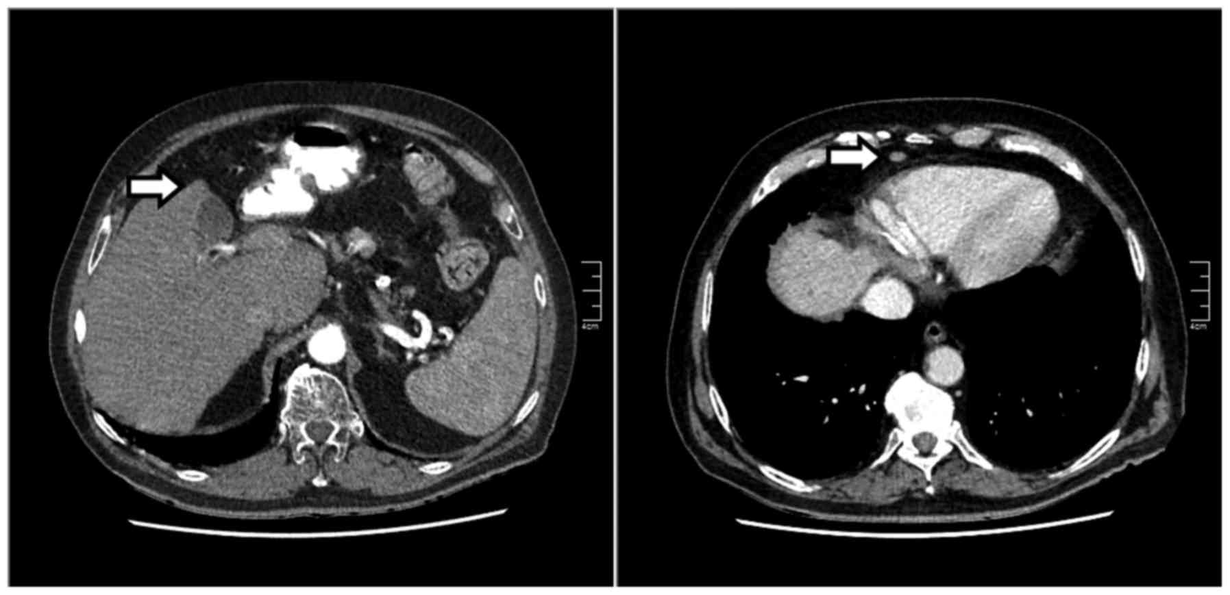
A computed tomography (CT) scan revealed multiple liver and lung lesions suspicious for metastases, peritoneal depositions, but no primary tumour (Fig. 1). An ultrasound-guided liver biopsy was performed. The biopsy revealed malignant cells positive for pancytokeratin, slightly positive for cytokeratin (CK) 7, α-fetoprotein (AFP), carbohydrate antigen-125 and CD-10, and negative for CK20, CDX-2, thyroid transcription factor-1, prostate-specific antigen, CK7 and monoclonal carcinoembryonic antigen (CEA), findings consistent with an undifferentiated carcinoma. Additional immunostaining was positive for hepatocyte paraffin 1 monoclonal antibody, and polyclonal CEA canalicular immunostaining was also present. Combined with a serum AFP level of >16,600 kU/l, the diagnosis of advanced HCC was established. Other laboratory tests are summarised in Table I. The patient had a poor performance status (WHO performance status 3) and declined any form of treatment. Therefore, he was referred to the general practitioner for supportive palliative care.

Figure 1.

Initial computed tomography images showing a suspicious hepatic lesion and a lesion appearing to be malignant anterior to the pericardium (arrows).

Table I.

Overview of laboratory tests.

Table I.

Overview of laboratory tests.

ParametersUnitsAdmission 1–2015Six months 7–2015
Hbmmol/l8.4b9.4
MCVfl8288
Thrombocytes x109/l242194
Leukocytes x109/l7.79.7
APTTsec28–
PTsec12.6–
Sodiummmol/l137139
Potassiummmol/l5.04.2
Creatininµmol/l7475
MDRD clearanceml/min/1.73 m29089
Total bilirubinµmol/l1513
APU/l258a118
G-GTU/l469a294a
ASTU/l37a23
ALTU/l2433
LDHU/l325a254a
Albuming/l36.837.1
Total proteing/l65.268.5
Calciummmol/l2.322.34
AFPkU/l >16600.0a1794.7a
CEAug/l1.21.1
CA-15.3kU/l14.6–
CA-19.9kU/l1118
PSAug/l1.10.90
hCGU/l<2.0<2.0

a High value.

b Low value. Hb, haemoglobin; MCV, mean corpuscular volume; APTT, activated partial thromboplastin time; PT, prothrombin time; MDRD, Modification of Diet in Renal Disease; AP, alkaline phosphatase; G-GT, gamma-glutamyl transferase; AST, aspartate aminotransferase; ALT, alanine aminotransferase; LDH, lactate dehydrogenase; AFP, α-fetoprotein; CEA, carcinoembryonic antigen; CA, carbohydrate antigen; PSA, prostatespecific antigen; hCG, human chorionic gonadotropin.

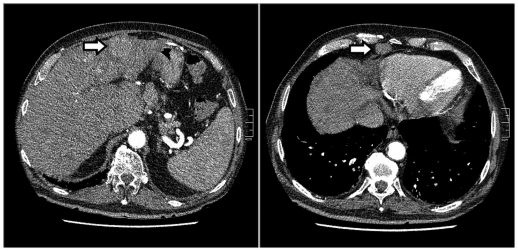
Six months later, the patient attended the outpatient clinic for re-evaluation of his disease. Over that time he had suffered a cerebrovascular accident (CVA) with ensuing partial hemiparesis. The AFP level had decreased to 1,795 kU/l. The CT scan revealed that the pulmonary lesion had disappeared, whereas the suspicious hepatic lesion and the lesion anterior to the pericardium had significantly decreased in size (Fig. 2). An ultrasound-guided biopsy was repeated and the pathological examination indicated the previously diagnosed HCC. An independent academic pathology department confirmed the results. The patient had gained 4 kg in weight over 6 months and maintained the consumption of 2 units of alcohol per day; he also reported improvement of his overall condition on a weekly basis. Two months after the CVA, he had been initiated on enalapril, furosemide and cucurmin, whereas he discontinued the use of simvastatin due to the side effects. The patient had not used androgens or herbal preparations and did not suffer from any type of inflammatory disease. One month later, the AFP level further decreased to 1,252 kU/l (Fig. 3).

Figure 2.

Follow-up computed tomography images at 6 months after initial diagnosis. The liver had significantly decreased in size. The suspicious hepatic lesion and the lesion anterior to the pericardium had also significantly decreased in size (arrows).

Figure 3.

Decrease in serum α-fetoprotein (AFP) levels and gamma-glutamyl transferase (G-GT) levels over time.

Discussion

The present case differs from other case reports on spontaneous regression of HCC, as neither invasive diagnostic procedures (e.g., hepatic arteriography) nor any form of treatment was performed, and no apparent inflammatory reaction occurred. During follow-up, the patient suffered a CVA and started using enalapril, furosemide and curcumin, which require further evaluation.

Curcumin is a substance found in turmeric roots and is a ginger-like herb. Curcumin has shown antitumour properties in cell lines by blocking nuclear factor-κB, thereby inducing cell death in curcumin-sensitive cells (7). Moreover, curcumin may act as an iron chelator and as a hepcidin suppressor. Iron overload in hemochromatosis is associated with an increased risk of HCC (8). However, there are insufficient data to propose iron depletion for the treatment of HCC. The patient had used curcumin for only 2 months. Given the extent of the tumour regression, it is unlikely that this may be attributed to the use of curcumin for 2 months. Moreover, the optimal dosing for the use of curcumin in oncology is unknown. More research is required to assess a potential role for curcumin in cancer treatment.

The only new medications the patient received were furosemide and enalapril. To the best of our knowledge, furosemide has no therapeutic properties in cancer, although the combined use of angiotensin-converting enzyme inhibitors and curcumin has been associated with inhibition of angiogenesis and diminished tumour growth in HCC in mice (9).

Some of the other medications used by the patient have been associated with a decreased risk of HCC. However, these are unlikely causes of tumour regression, as the tumour developed while the patient was receiving these preparations. Aspirin, but not non-aspirin non-steroidal anti-inflammatory drugs (NSAIDs), has been associated with a reduced risk of HCC (risk ratio=0.59) in a large prospective observational study (10). The non-randomized allocation of treatment increases the risk of confounding of results. Our patient used clopidogrel, which is a non-aspirin NSAID. Metoprolol has been associated with an inhibition of low-density lipoprotein cholesterol synthesis in a study on human cell lines, thereby reducing the risk of HCC (11). Metformin has been associated with a decreased risk of HCC in a meta-analysis of 8 observational studies (odds ratio=0.50), whereas insulin usage increased the risk on HCC (odds ratio=1.62) (12). Metformin decreases insulin resistance and inhibits the mammalian target of rapamycin pathway, thereby inhibiting cell proliferation and inducing apoptosis (13). Simvastatin was associated with a decreased risk of HCC in a large epidemiological study (14); thus, its discontinuation would increase rather than reduce the risk of HCC. To the best of our knowledge, pantoprazole, felodipine and temazepam have no therapeutic properties in cancer.

Ischemia may have contributed to tumour regression, given the patient's history of cardiovascular and cerebrovascular disease. However, although the CT scan revealed calcifications of the superior mesenteric artery, there was no thrombosis of the hepatic artery or the portal vein. Moreover, the extrahepatic lesions decreased in size. Thus, there appears to be no possible route through which CVA exerted any effect on the regression of the HCC and its metastases. Thus, ischemia appears to be an unlikely cause of tumour regression in this patient.

Regression of HCC has been associated with systemic inflammatory responses (e.g., regression following cholangitis or capsular rupture) (5). It is unlikely that any inflammatory reaction occurred, given the absence of fever, leukocytosis, or elevation of the C-reactive protein levels. It is therefore unlikely that inflammation contributed to tumour regression. More research is required to elucidate the mechanisms underlying the spontaneous regression of HCC in the present case.

In conclusion, we herein report a case of spontaneous regression of advanced HCC in a Caucasian male patient that may not be attributed to ischemia or inflammation.

Acknowledgements

We would like to thank Professor JPH Drenth for his comments during the preparation of the manuscript.

References

1 

Siegel RL, Miller KD and Jemal A: Cancer statistics, 2016. CA Cancer J Clin. 66:7–30. 2016. View Article : Google Scholar : PubMed/NCBI

2 

Bruix J and Sherman M: American Association for the Study of Liver Diseases: Management of hepatocellular carcinoma: An update. Hepatology. 53:1020–1022. 2011. View Article : Google Scholar : PubMed/NCBI

3 

Llovet JM, Ricci S, Mazzaferro V, Hilgard P, Gane E, Blanc JF, de Oliveira AC, Santoro A, Raoul JL, Forner A, et al: Sorafenib in advanced hepatocellular carcinoma. N Engl J Med. 359:378–390. 2008. View Article : Google Scholar : PubMed/NCBI

4 

Oquiñena S, GuillenGrima F, Iñarrairaegui M, Zozaya JM and Sangro B: Spontaneous regression of hepatocellular carcinoma: A systematic review. Eur J Gastroenterol Hepatol. 21:254–257. 2009. View Article : Google Scholar : PubMed/NCBI

5 

Huz JI, Melis M and Sarpel U: Spontaneous regression of hepatocellular carcinoma is most often associated with tumour hypoxia or a systemic inflammatory response. HPB (Oxford). 14:500–505. 2012. View Article : Google Scholar : PubMed/NCBI

6 

Kumar A and Le DT: Hepatocellular carcinoma regression after cessation of immunosuppressive therapy. J Clin Oncol. 34:e90–e92. 2016. View Article : Google Scholar : PubMed/NCBI

7 

Marquardt JU, GomezQuiroz L, Camacho LO Arreguin, Pinna F, Lee YH, Kitade M, Domínguez MP, Castven D, Breuhahn K, Conner EA, et al: Curcumin effectively inhibits oncogenic NF-κB signaling and restrains stemness features in liver cancer. J Hepatol. 63:661–669. 2015. View Article : Google Scholar : PubMed/NCBI

8 

Kowdley KV: Iron, hemochromatosis, and hepatocellular carcinoma. Gastroenterology. 127:(5 Suppl 1). S79–S86. 2004. View Article : Google Scholar : PubMed/NCBI

9 

Nasr M, Selima E, Hamed O and Kazem A: Targeting different angiogenic pathways with combination of curcumin, leflunomide and perindopril inhibits diethylnitrosamine-induced hepatocellular carcinoma in mice. Eur J Pharmacol. 723:267–275. 2014. View Article : Google Scholar : PubMed/NCBI

10 

Sahasrabuddhe VV, Gunja MZ, Graubard BI, Trabert B, Schwartz LM, Park Y, Hollenbeck AR, Freedman ND and McGlynn KA: Nonsteroidal anti-inflammatory drug use, chronic liver disease, and hepatocellular carcinoma. J Natl Cancer Inst. 104:1808–1814. 2012. View Article : Google Scholar : PubMed/NCBI

11 

Naegele H, Behnke B, Gebhardt A and Strohbeck M: Effects of antihypertensive drugs on cholesterol metabolism of human mononuclear leukocytes and hepatoma cells. Clin Biochem. 31:37–45. 1998. View Article : Google Scholar : PubMed/NCBI

12 

Singh S, Singh PP, Singh AG, Murad MH and Sanchez W: Anti-diabetic medications and the risk of hepatocellular cancer: A systematic review and meta-analysis. Am J Gastroenterol. 108:881–891; quiz 892. 2013. View Article : Google Scholar : PubMed/NCBI

13 

Jalving M, Gietema JA, Lefrandt JD, de Jong S, Reyners AK, Gans RO and de Vries EG: Metformin: Taking away the candy for cancer? Eur J Cancer. 46:2369–2380. 2010. View Article : Google Scholar : PubMed/NCBI

14 

Lai SW, Liao KF, Lai HC, Muo CH, Sung FC and Chen PC: Statin use and risk of hepatocellular carcinoma. Eur J Epidemiol. 28:485–492. 2013. View Article : Google Scholar : PubMed/NCBI

Related Articles

  • Abstract
  • View
  • Download
  • Twitter
Copy and paste a formatted citation
Spandidos Publications style
Noij DP and van Der Linden PW: Spontaneous regression of hepatocellular carcinoma in a Caucasian male patient: A case report and review of the literature. Mol Clin Oncol 6: 225-228, 2017.
APA
Noij, D.P., & van Der Linden, P.W. (2017). Spontaneous regression of hepatocellular carcinoma in a Caucasian male patient: A case report and review of the literature. Molecular and Clinical Oncology, 6, 225-228. https://doi.org/10.3892/mco.2016.1115
MLA
Noij, D. P., van Der Linden, P. W."Spontaneous regression of hepatocellular carcinoma in a Caucasian male patient: A case report and review of the literature". Molecular and Clinical Oncology 6.2 (2017): 225-228.
Chicago
Noij, D. P., van Der Linden, P. W."Spontaneous regression of hepatocellular carcinoma in a Caucasian male patient: A case report and review of the literature". Molecular and Clinical Oncology 6, no. 2 (2017): 225-228. https://doi.org/10.3892/mco.2016.1115
Copy and paste a formatted citation
x
Spandidos Publications style
Noij DP and van Der Linden PW: Spontaneous regression of hepatocellular carcinoma in a Caucasian male patient: A case report and review of the literature. Mol Clin Oncol 6: 225-228, 2017.
APA
Noij, D.P., & van Der Linden, P.W. (2017). Spontaneous regression of hepatocellular carcinoma in a Caucasian male patient: A case report and review of the literature. Molecular and Clinical Oncology, 6, 225-228. https://doi.org/10.3892/mco.2016.1115
MLA
Noij, D. P., van Der Linden, P. W."Spontaneous regression of hepatocellular carcinoma in a Caucasian male patient: A case report and review of the literature". Molecular and Clinical Oncology 6.2 (2017): 225-228.
Chicago
Noij, D. P., van Der Linden, P. W."Spontaneous regression of hepatocellular carcinoma in a Caucasian male patient: A case report and review of the literature". Molecular and Clinical Oncology 6, no. 2 (2017): 225-228. https://doi.org/10.3892/mco.2016.1115
Follow us
  • Twitter
  • LinkedIn
  • Facebook
About
  • Spandidos Publications
  • Careers
  • Cookie Policy
  • Privacy Policy
How can we help?
  • Help
  • Live Chat
  • Contact
  • Email to our Support Team