Spandidos Publications Logo
  • About
    • About Spandidos
    • Aims and Scopes
    • Abstracting and Indexing
    • Editorial Policies
    • Reprints and Permissions
    • Job Opportunities
    • Terms and Conditions
    • Contact
  • Journals
    • All Journals
    • Oncology Letters
      • Oncology Letters
      • Information for Authors
      • Editorial Policies
      • Editorial Board
      • Aims and Scope
      • Abstracting and Indexing
      • Bibliographic Information
      • Archive
    • International Journal of Oncology
      • International Journal of Oncology
      • Information for Authors
      • Editorial Policies
      • Editorial Board
      • Aims and Scope
      • Abstracting and Indexing
      • Bibliographic Information
      • Archive
    • Molecular and Clinical Oncology
      • Molecular and Clinical Oncology
      • Information for Authors
      • Editorial Policies
      • Editorial Board
      • Aims and Scope
      • Abstracting and Indexing
      • Bibliographic Information
      • Archive
    • Experimental and Therapeutic Medicine
      • Experimental and Therapeutic Medicine
      • Information for Authors
      • Editorial Policies
      • Editorial Board
      • Aims and Scope
      • Abstracting and Indexing
      • Bibliographic Information
      • Archive
    • International Journal of Molecular Medicine
      • International Journal of Molecular Medicine
      • Information for Authors
      • Editorial Policies
      • Editorial Board
      • Aims and Scope
      • Abstracting and Indexing
      • Bibliographic Information
      • Archive
    • Biomedical Reports
      • Biomedical Reports
      • Information for Authors
      • Editorial Policies
      • Editorial Board
      • Aims and Scope
      • Abstracting and Indexing
      • Bibliographic Information
      • Archive
    • Oncology Reports
      • Oncology Reports
      • Information for Authors
      • Editorial Policies
      • Editorial Board
      • Aims and Scope
      • Abstracting and Indexing
      • Bibliographic Information
      • Archive
    • Molecular Medicine Reports
      • Molecular Medicine Reports
      • Information for Authors
      • Editorial Policies
      • Editorial Board
      • Aims and Scope
      • Abstracting and Indexing
      • Bibliographic Information
      • Archive
    • World Academy of Sciences Journal
      • World Academy of Sciences Journal
      • Information for Authors
      • Editorial Policies
      • Editorial Board
      • Aims and Scope
      • Abstracting and Indexing
      • Bibliographic Information
      • Archive
    • International Journal of Functional Nutrition
      • International Journal of Functional Nutrition
      • Information for Authors
      • Editorial Policies
      • Editorial Board
      • Aims and Scope
      • Abstracting and Indexing
      • Bibliographic Information
      • Archive
    • International Journal of Epigenetics
      • International Journal of Epigenetics
      • Information for Authors
      • Editorial Policies
      • Editorial Board
      • Aims and Scope
      • Abstracting and Indexing
      • Bibliographic Information
      • Archive
    • Medicine International
      • Medicine International
      • Information for Authors
      • Editorial Policies
      • Editorial Board
      • Aims and Scope
      • Abstracting and Indexing
      • Bibliographic Information
      • Archive
  • Articles
  • Information
    • Information for Authors
    • Information for Reviewers
    • Information for Librarians
    • Information for Advertisers
    • Conferences
  • Language Editing
Spandidos Publications Logo
  • About
    • About Spandidos
    • Aims and Scopes
    • Abstracting and Indexing
    • Editorial Policies
    • Reprints and Permissions
    • Job Opportunities
    • Terms and Conditions
    • Contact
  • Journals
    • All Journals
    • Biomedical Reports
      • Information for Authors
      • Editorial Policies
      • Editorial Board
      • Aims and Scope
      • Abstracting and Indexing
      • Bibliographic Information
      • Archive
    • Experimental and Therapeutic Medicine
      • Information for Authors
      • Editorial Policies
      • Editorial Board
      • Aims and Scope
      • Abstracting and Indexing
      • Bibliographic Information
      • Archive
    • International Journal of Epigenetics
      • Information for Authors
      • Editorial Policies
      • Editorial Board
      • Aims and Scope
      • Abstracting and Indexing
      • Bibliographic Information
      • Archive
    • International Journal of Functional Nutrition
      • Information for Authors
      • Editorial Policies
      • Editorial Board
      • Aims and Scope
      • Abstracting and Indexing
      • Bibliographic Information
      • Archive
    • International Journal of Molecular Medicine
      • Information for Authors
      • Editorial Policies
      • Editorial Board
      • Aims and Scope
      • Abstracting and Indexing
      • Bibliographic Information
      • Archive
    • International Journal of Oncology
      • Information for Authors
      • Editorial Policies
      • Editorial Board
      • Aims and Scope
      • Abstracting and Indexing
      • Bibliographic Information
      • Archive
    • Medicine International
      • Information for Authors
      • Editorial Policies
      • Editorial Board
      • Aims and Scope
      • Abstracting and Indexing
      • Bibliographic Information
      • Archive
    • Molecular and Clinical Oncology
      • Information for Authors
      • Editorial Policies
      • Editorial Board
      • Aims and Scope
      • Abstracting and Indexing
      • Bibliographic Information
      • Archive
    • Molecular Medicine Reports
      • Information for Authors
      • Editorial Policies
      • Editorial Board
      • Aims and Scope
      • Abstracting and Indexing
      • Bibliographic Information
      • Archive
    • Oncology Letters
      • Information for Authors
      • Editorial Policies
      • Editorial Board
      • Aims and Scope
      • Abstracting and Indexing
      • Bibliographic Information
      • Archive
    • Oncology Reports
      • Information for Authors
      • Editorial Policies
      • Editorial Board
      • Aims and Scope
      • Abstracting and Indexing
      • Bibliographic Information
      • Archive
    • World Academy of Sciences Journal
      • Information for Authors
      • Editorial Policies
      • Editorial Board
      • Aims and Scope
      • Abstracting and Indexing
      • Bibliographic Information
      • Archive
  • Articles
  • Information
    • For Authors
    • For Reviewers
    • For Librarians
    • For Advertisers
    • Conferences
  • Language Editing
Login Register Submit
  • This site uses cookies
  • You can change your cookie settings at any time by following the instructions in our Cookie Policy. To find out more, you may read our Privacy Policy.

    I agree
Search articles by DOI, keyword, author or affiliation
Search
Advanced Search
presentation
Molecular and Clinical Oncology
Join Editorial Board Propose a Special Issue
Print ISSN: 2049-9450 Online ISSN: 2049-9469
Journal Cover
April-2016 Volume 4 Issue 4

Full Size Image

Sign up for eToc alerts
Recommend to Library

Journals

International Journal of Molecular Medicine

International Journal of Molecular Medicine

International Journal of Molecular Medicine is an international journal devoted to molecular mechanisms of human disease.

International Journal of Oncology

International Journal of Oncology

International Journal of Oncology is an international journal devoted to oncology research and cancer treatment.

Molecular Medicine Reports

Molecular Medicine Reports

Covers molecular medicine topics such as pharmacology, pathology, genetics, neuroscience, infectious diseases, molecular cardiology, and molecular surgery.

Oncology Reports

Oncology Reports

Oncology Reports is an international journal devoted to fundamental and applied research in Oncology.

Experimental and Therapeutic Medicine

Experimental and Therapeutic Medicine

Experimental and Therapeutic Medicine is an international journal devoted to laboratory and clinical medicine.

Oncology Letters

Oncology Letters

Oncology Letters is an international journal devoted to Experimental and Clinical Oncology.

Biomedical Reports

Biomedical Reports

Explores a wide range of biological and medical fields, including pharmacology, genetics, microbiology, neuroscience, and molecular cardiology.

Molecular and Clinical Oncology

Molecular and Clinical Oncology

International journal addressing all aspects of oncology research, from tumorigenesis and oncogenes to chemotherapy and metastasis.

World Academy of Sciences Journal

World Academy of Sciences Journal

Multidisciplinary open-access journal spanning biochemistry, genetics, neuroscience, environmental health, and synthetic biology.

International Journal of Functional Nutrition

International Journal of Functional Nutrition

Open-access journal combining biochemistry, pharmacology, immunology, and genetics to advance health through functional nutrition.

International Journal of Epigenetics

International Journal of Epigenetics

Publishes open-access research on using epigenetics to advance understanding and treatment of human disease.

Medicine International

Medicine International

An International Open Access Journal Devoted to General Medicine.

Journal Cover
April-2016 Volume 4 Issue 4

Full Size Image

Sign up for eToc alerts
Recommend to Library

  • Article
  • Citations
    • Cite This Article
    • Download Citation
    • Create Citation Alert
    • Remove Citation Alert
    • Cited By
  • Similar Articles
    • Related Articles (in Spandidos Publications)
    • Similar Articles (Google Scholar)
    • Similar Articles (PubMed)
  • Download PDF
  • Download XML
  • View XML
Case Report

Primary intraosseous squamous cell carcinoma derived from a maxillary cyst: A case report and literature review

  • Authors:
    • Takuma Morita
    • Masashi Yamashiro
    • Kou Kayamori
    • Miho Mizutani
    • Koichi Nakakuki
    • Yasuyuki Michi
    • Narikazu Uzawa
    • Toshiyuki Izumo
    • Kiyoshi Harada
  • View Affiliations / Copyright

    Affiliations: Division of Maxillofacial and Neck Reconstruction, Department of Maxillofacial Reconstruction and Function, Maxillofacial Surgery, Graduate School, Tokyo Medical and Dental University, Tokyo 113‑8549, Japan, Department of Dentistry and Oral Surgery, NTT Medical Center, Tokyo 141‑8625, Japan, Section of Oral Pathology, Graduate School, Tokyo Medical and Dental University, Tokyo 113‑8549, Japan, Department of Diagnostic Oral Pathology, Division of Oral Health Science, Oral Restitution, Graduate School, Tokyo Medical and Dental University, Tokyo 113‑8549, Japan
  • Pages: 553-558
    |
    Published online on: January 26, 2016
       https://doi.org/10.3892/mco.2016.741
  • Expand metrics +
Metrics: Total Views: 0 (Spandidos Publications: | PMC Statistics: )
Metrics: Total PDF Downloads: 0 (Spandidos Publications: | PMC Statistics: )
Cited By (CrossRef): 0 citations Loading Articles...

This article is mentioned in:



Abstract

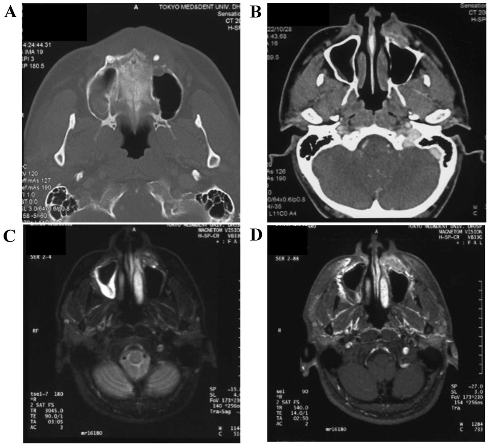
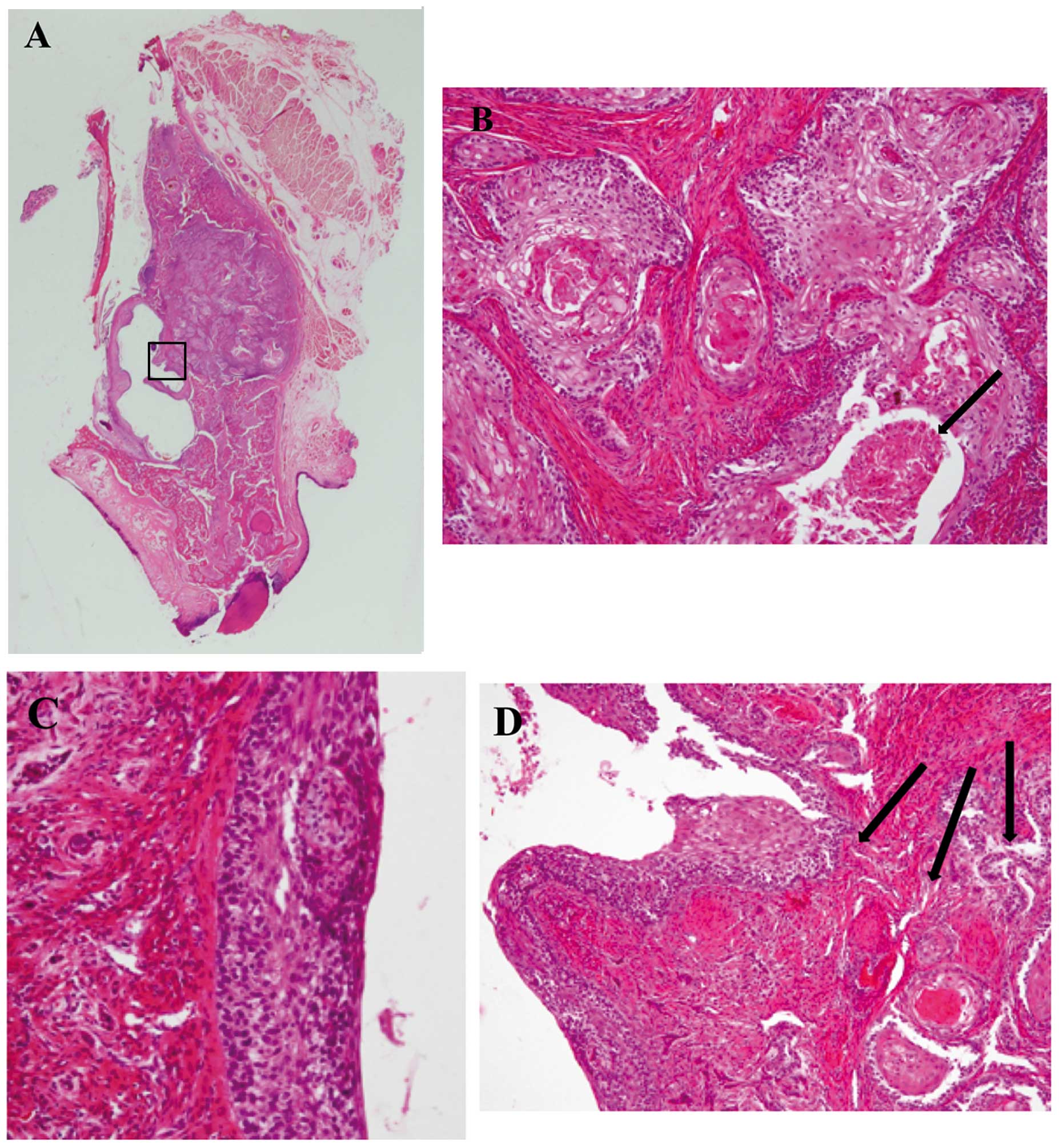
Primary intraosseous squamous cell carcinoma (PIOSCC) is a rare malignant central jaw tumor derived from odontogenic epithelial remnants. PIOSCC predominantly affects the mandible, although both jawbones may be involved. This case report describes a PIOSCC type 2 of the maxilla in a 37‑year‑old man, treated by partial maxillectomy. Histopathologically, the tumor was diagnosed as PIOSCC derived from an odontogenic cyst. Postoperatively, the patient has been followed up for 53 months, with no recurrence of the disease. We herein describe the clinical details, treatment results and histopathological characteristics of a rare case of PIOSCC derived from a maxillary odontogenic cyst with reference to the relevant literature.
View Figures

Figure 1

Figure 2

Figure 3

Figure 4

Figure 5

View References

1 

Loos D: Central epidermoid carcinoma of the jaws. Dtsch Monatsschr Zahnheilk. 31:3081913.

2 

Willis RA: Pathology of Tumors (1st). London: Butterworth & Co. 310–316. 1948.

3 

Pindborg JJ, Kramer IRH and Torloni H: Histological Typing of Odontogenic Tumors. Jaw Cysts and Allied Lesions (1st). (Geneva). World Health Organization. 35–36. 1972.

4 

Elzay RP: Primary intraosseous carcinoma of the jaws. Review and update of odontogenic carcinomas. Oral Surg Oral Med Oral Pathol. 54:299–303. 1982. View Article : Google Scholar : PubMed/NCBI

5 

Slootweg PJ and Muller H: Malignant ameloblastoma or ameloblastic carcinoma. Oral Surg Oral Med Oral Pathol. 57:168–176. 1984. View Article : Google Scholar : PubMed/NCBI

6 

Waldron CA and Mustoe TA: Primary intraosseous carcinoma of mandible with probable origin in an odontogenic cyst. Oral Surg Oral Med Oral Pathol. 67:716–724. 1989. View Article : Google Scholar : PubMed/NCBI

7 

Eversole LR, Siar CH and van der Waal I: Primary intraosseous squamous cell carcinomas In: World Health Organization Classification of Tumors. Pathology and Genetics Head and Neck Tumors. Barnes L, Evson JW, Reichart P and Sidransky D: (Lyon). IACR Press. 290–291. 2005.

8 

Gardner AF: A survey of odontogenic cysts and their relationship to squamous cell carcinoma. Dent J. 41:161–167. 1975.PubMed/NCBI

9 

Otten JE, Joos U and Schilli W: Carcinogenesis in the apex of the cyst-forming odontogenic epithelium. Dtsch Zahnhartl Z. 40:544–547. 1985.(In German).

10 

Kreidler J, Haas S and Kamp W: Carcinogenesis in jaw cyst. 2 case reports. Dtsch Zahnhartl Z. 40:548–550. 1985.(In German).

11 

van der Waal I, Rauhamaa R, van der Kwast WA and Snow GB: Squamous cell carcinoma arising in the lining of odontogenic cysts. Report of 5 cases. Int J Oral Surg. 14:146–152. 1985. View Article : Google Scholar : PubMed/NCBI

12 

Stoelinga PJ and Bronkhorst FB: The incidence, multiple presentation and recurrence of aggressive cysts of the jaws. J Craniomaxfac Surg. 16:184–195. 1988. View Article : Google Scholar

13 

Bodner L, Manor E, Shear M and van der Waal I: Primary intraosseous squamous cell carcinoma arising in an odontogenic cyst: A clinicopathologic analysis of 116 reported cases. J Oral Pathol Med. 40:733–738. 2011. View Article : Google Scholar : PubMed/NCBI

14 

Gardner AF: The odontogenic cyst as a potential carcinoma: A clinicopathological appraisal. J Am Dent Assoc. 78:746–755. 1969. View Article : Google Scholar : PubMed/NCBI

15 

Axhausen G: Die Kiefergeschwülste. Berichte vom IX Internationalen Zahnärztekongress der FDI (Wien). 1936.

16 

Mann JB, Ash JE and Bernier JL: Atlas of dental and oral pathology (3rd). Chicago: American Dental Association. 1944.

17 

Frankl Z and Wiesner J: Cancer starting from a cyst. Dent Item Interest. 71:5641949.

18 

Martensson G: Cyst and carcinoma of the jaws. Oral Surg Oral Med Oral Pathol. 8:673–681. 1955. View Article : Google Scholar : PubMed/NCBI

19 

Kodel G: Zur Malignen Umwandlung odontogener Kieferzysten. Dtsch Zahn Mund Kieferhk. 36:891961.

20 

Williams IE and Newman CW: Squamous cell carcinoma associated with a dentigerous cyst of the maxilla. Review and report of a case. Oral Surg Oral Med Oral Pathol. 16:1012–1016. 1963. View Article : Google Scholar : PubMed/NCBI

21 

Lee KW and Loke SJ: Squamous cell carcinoma arising in a dentigerous cyst. Cancer. 20:2241–2244. 1967. View Article : Google Scholar : PubMed/NCBI

22 

Bannerjee SC: Squamous cell carcinoma in a maxillary cyst. Oral Surg Oral Med Oral Pathol. 23:193–200. 1967. View Article : Google Scholar : PubMed/NCBI

23 

Hampl PF and Harrigan WF: Squamous cell carcinoma possibly arising from an odontogenic cyst: Report of a case. J Oral Surg. 31:359–362. 1973.PubMed/NCBI

24 

Areen RG, McClatchey KD and Baker HL: Squamous cell carcinoma developing in an odontogenic keratocyst. Report of a case. Arch Otolaryngol. 107:568–569. 1981. View Article : Google Scholar : PubMed/NCBI

25 

Nithiananda S: Squamous cell carcinoma arising in the lining of odontogenic cyst. Br J Oral Surg. 21:56–62. 1983. View Article : Google Scholar : PubMed/NCBI

26 

Pearcey RG: Squamous cell carcinoma arising in dental cyst. Clin Radiol. 36:387–388. 1985. View Article : Google Scholar : PubMed/NCBI

27 

Siar CH and Ng KH: Squamous cell carcinoma in an orthokeratinised odontogenic keratocyst. Int J Oral Maxillofac Surg. 16:95–98. 1987. View Article : Google Scholar : PubMed/NCBI

28 

Berenholz L, Gottlieb RD, Cho SY and Lowry LD: Squamous cell carcinoma arising in a dentigerous cyst. Ear Nose Throat. 67:764–766, 768. 1988.

29 

Müller S and Waldron CA: Primary intraosseous squamous carcinoma. Report of two cases. Int J Oral Maxillofac Surg. 20:362–365. 1991. View Article : Google Scholar : PubMed/NCBI

30 

Berens A, Kramer FJ, Kuettner C, Eckardt A and Kreft A: Growth of a squamous epithelial carcinoma in an odontogenic cyst. Mund Kiefer Gesichtschir. 4:330–334. 2000.(in German). View Article : Google Scholar : PubMed/NCBI

31 

Makowski G, McGuff S and Van Sickels JE: Squamous cell carcinoma in a maxillary odontogenic cyst. J Oral Maxillofac Surg. 59:76–80. 2001. View Article : Google Scholar : PubMed/NCBI

32 

Saito T, Okada H, Akimoto Y and Yamamoto H: Primary intraosseous carcinoma arising from an odontogenic cyst: A case report and review of the Japanese cases. J Oral Sci. 44:49–53. 2002. View Article : Google Scholar : PubMed/NCBI

33 

Chaisuparat R, Coletti D, Kolokythas A, Ord RA and Nikitakis NG: Primary intraosseous odontogenic carcinoma arising in an odontogenic cyst or de novo: A clinicopathologic study of six new cases. Oral Surg Oral Med Oral Pathol Oral Radiol Endodod. 101:194–200. 2006. View Article : Google Scholar

34 

Mohyuddin N and Yao M: Primary intraosseous carcinoma of the anterior maxilla: An unusual case and review of the literature. Ear Nose Throat J. 90:E35–E37. 2011.PubMed/NCBI

35 

Maria A, Sharma Y and Chhabria A: Squamous cell carcinoma in a maxillary odontogenic keratocyst: A rare entity. Natl J Maxillofac Surg. 2:214–218. 2011. View Article : Google Scholar : PubMed/NCBI

36 

Uchida K, Ochiai T, Sinohara A, Miki M, Muto A, Yoshinari N, Hasegawa H and Taguchi A: Primary intraosseous odontogenic carcinoma arising from a dentigerous cyst. J Hard Tissue Biol. 22:375–382. 2013. View Article : Google Scholar

37 

Jain M, Mittal S and Gupta DK: Primary intraosseous squamous cell carcinoma arising in odontogenic cysts: An insight in pathogenesis. J Oral Maxillofac Surg. 71:e7–e14. 2013. View Article : Google Scholar : PubMed/NCBI

38 

Nomura T, Monobe H, Tamaruya N, Kishishita S, Saito K, Miyamoto R and Nakao K: Primary intraosseous squamous cell carcinoma of the jaw: Two new cases and review of the literature. Eur Arch Otorhinolaryngol. 270:375–379. 2013. View Article : Google Scholar : PubMed/NCBI

39 

Chantravekin Y, Rungsiyanont S, Tang P, Tungpisityotin M and Swasdison S: Primary intraosseous squamous cell carcinoma derived from odontogenic cyst: Case report and review of 56 cases. Asian J Oral Maxillofac Surg. 20:215–220. 2008. View Article : Google Scholar

40 

Eversole LR, Sabes WR and Rovin S: Aggressive growth and neoplastic potential of odontogenic cysts: With special reference to central epidermoid and mucoepidermoid carcinomas. Cancer. 35:270–282. 1975. View Article : Google Scholar : PubMed/NCBI

Related Articles

  • Abstract
  • View
  • Download
  • Twitter
Copy and paste a formatted citation
Spandidos Publications style
Morita T, Yamashiro M, Kayamori K, Mizutani M, Nakakuki K, Michi Y, Uzawa N, Izumo T and Harada K: Primary intraosseous squamous cell carcinoma derived from a maxillary cyst: A case report and literature review. Mol Clin Oncol 4: 553-558, 2016.
APA
Morita, T., Yamashiro, M., Kayamori, K., Mizutani, M., Nakakuki, K., Michi, Y. ... Harada, K. (2016). Primary intraosseous squamous cell carcinoma derived from a maxillary cyst: A case report and literature review. Molecular and Clinical Oncology, 4, 553-558. https://doi.org/10.3892/mco.2016.741
MLA
Morita, T., Yamashiro, M., Kayamori, K., Mizutani, M., Nakakuki, K., Michi, Y., Uzawa, N., Izumo, T., Harada, K."Primary intraosseous squamous cell carcinoma derived from a maxillary cyst: A case report and literature review". Molecular and Clinical Oncology 4.4 (2016): 553-558.
Chicago
Morita, T., Yamashiro, M., Kayamori, K., Mizutani, M., Nakakuki, K., Michi, Y., Uzawa, N., Izumo, T., Harada, K."Primary intraosseous squamous cell carcinoma derived from a maxillary cyst: A case report and literature review". Molecular and Clinical Oncology 4, no. 4 (2016): 553-558. https://doi.org/10.3892/mco.2016.741
Copy and paste a formatted citation
x
Spandidos Publications style
Morita T, Yamashiro M, Kayamori K, Mizutani M, Nakakuki K, Michi Y, Uzawa N, Izumo T and Harada K: Primary intraosseous squamous cell carcinoma derived from a maxillary cyst: A case report and literature review. Mol Clin Oncol 4: 553-558, 2016.
APA
Morita, T., Yamashiro, M., Kayamori, K., Mizutani, M., Nakakuki, K., Michi, Y. ... Harada, K. (2016). Primary intraosseous squamous cell carcinoma derived from a maxillary cyst: A case report and literature review. Molecular and Clinical Oncology, 4, 553-558. https://doi.org/10.3892/mco.2016.741
MLA
Morita, T., Yamashiro, M., Kayamori, K., Mizutani, M., Nakakuki, K., Michi, Y., Uzawa, N., Izumo, T., Harada, K."Primary intraosseous squamous cell carcinoma derived from a maxillary cyst: A case report and literature review". Molecular and Clinical Oncology 4.4 (2016): 553-558.
Chicago
Morita, T., Yamashiro, M., Kayamori, K., Mizutani, M., Nakakuki, K., Michi, Y., Uzawa, N., Izumo, T., Harada, K."Primary intraosseous squamous cell carcinoma derived from a maxillary cyst: A case report and literature review". Molecular and Clinical Oncology 4, no. 4 (2016): 553-558. https://doi.org/10.3892/mco.2016.741
Follow us
  • Twitter
  • LinkedIn
  • Facebook
About
  • Spandidos Publications
  • Careers
  • Cookie Policy
  • Privacy Policy
How can we help?
  • Help
  • Live Chat
  • Contact
  • Email to our Support Team