Spandidos Publications Logo
  • About
    • About Spandidos
    • Aims and Scopes
    • Abstracting and Indexing
    • Editorial Policies
    • Reprints and Permissions
    • Job Opportunities
    • Terms and Conditions
    • Contact
  • Journals
    • All Journals
    • Oncology Letters
      • Oncology Letters
      • Information for Authors
      • Editorial Policies
      • Editorial Board
      • Aims and Scope
      • Abstracting and Indexing
      • Bibliographic Information
      • Archive
    • International Journal of Oncology
      • International Journal of Oncology
      • Information for Authors
      • Editorial Policies
      • Editorial Board
      • Aims and Scope
      • Abstracting and Indexing
      • Bibliographic Information
      • Archive
    • Molecular and Clinical Oncology
      • Molecular and Clinical Oncology
      • Information for Authors
      • Editorial Policies
      • Editorial Board
      • Aims and Scope
      • Abstracting and Indexing
      • Bibliographic Information
      • Archive
    • Experimental and Therapeutic Medicine
      • Experimental and Therapeutic Medicine
      • Information for Authors
      • Editorial Policies
      • Editorial Board
      • Aims and Scope
      • Abstracting and Indexing
      • Bibliographic Information
      • Archive
    • International Journal of Molecular Medicine
      • International Journal of Molecular Medicine
      • Information for Authors
      • Editorial Policies
      • Editorial Board
      • Aims and Scope
      • Abstracting and Indexing
      • Bibliographic Information
      • Archive
    • Biomedical Reports
      • Biomedical Reports
      • Information for Authors
      • Editorial Policies
      • Editorial Board
      • Aims and Scope
      • Abstracting and Indexing
      • Bibliographic Information
      • Archive
    • Oncology Reports
      • Oncology Reports
      • Information for Authors
      • Editorial Policies
      • Editorial Board
      • Aims and Scope
      • Abstracting and Indexing
      • Bibliographic Information
      • Archive
    • Molecular Medicine Reports
      • Molecular Medicine Reports
      • Information for Authors
      • Editorial Policies
      • Editorial Board
      • Aims and Scope
      • Abstracting and Indexing
      • Bibliographic Information
      • Archive
    • World Academy of Sciences Journal
      • World Academy of Sciences Journal
      • Information for Authors
      • Editorial Policies
      • Editorial Board
      • Aims and Scope
      • Abstracting and Indexing
      • Bibliographic Information
      • Archive
    • International Journal of Functional Nutrition
      • International Journal of Functional Nutrition
      • Information for Authors
      • Editorial Policies
      • Editorial Board
      • Aims and Scope
      • Abstracting and Indexing
      • Bibliographic Information
      • Archive
    • International Journal of Epigenetics
      • International Journal of Epigenetics
      • Information for Authors
      • Editorial Policies
      • Editorial Board
      • Aims and Scope
      • Abstracting and Indexing
      • Bibliographic Information
      • Archive
    • Medicine International
      • Medicine International
      • Information for Authors
      • Editorial Policies
      • Editorial Board
      • Aims and Scope
      • Abstracting and Indexing
      • Bibliographic Information
      • Archive
  • Articles
  • Information
    • Information for Authors
    • Information for Reviewers
    • Information for Librarians
    • Information for Advertisers
    • Conferences
  • Language Editing
Spandidos Publications Logo
  • About
    • About Spandidos
    • Aims and Scopes
    • Abstracting and Indexing
    • Editorial Policies
    • Reprints and Permissions
    • Job Opportunities
    • Terms and Conditions
    • Contact
  • Journals
    • All Journals
    • Biomedical Reports
      • Information for Authors
      • Editorial Policies
      • Editorial Board
      • Aims and Scope
      • Abstracting and Indexing
      • Bibliographic Information
      • Archive
    • Experimental and Therapeutic Medicine
      • Information for Authors
      • Editorial Policies
      • Editorial Board
      • Aims and Scope
      • Abstracting and Indexing
      • Bibliographic Information
      • Archive
    • International Journal of Epigenetics
      • Information for Authors
      • Editorial Policies
      • Editorial Board
      • Aims and Scope
      • Abstracting and Indexing
      • Bibliographic Information
      • Archive
    • International Journal of Functional Nutrition
      • Information for Authors
      • Editorial Policies
      • Editorial Board
      • Aims and Scope
      • Abstracting and Indexing
      • Bibliographic Information
      • Archive
    • International Journal of Molecular Medicine
      • Information for Authors
      • Editorial Policies
      • Editorial Board
      • Aims and Scope
      • Abstracting and Indexing
      • Bibliographic Information
      • Archive
    • International Journal of Oncology
      • Information for Authors
      • Editorial Policies
      • Editorial Board
      • Aims and Scope
      • Abstracting and Indexing
      • Bibliographic Information
      • Archive
    • Medicine International
      • Information for Authors
      • Editorial Policies
      • Editorial Board
      • Aims and Scope
      • Abstracting and Indexing
      • Bibliographic Information
      • Archive
    • Molecular and Clinical Oncology
      • Information for Authors
      • Editorial Policies
      • Editorial Board
      • Aims and Scope
      • Abstracting and Indexing
      • Bibliographic Information
      • Archive
    • Molecular Medicine Reports
      • Information for Authors
      • Editorial Policies
      • Editorial Board
      • Aims and Scope
      • Abstracting and Indexing
      • Bibliographic Information
      • Archive
    • Oncology Letters
      • Information for Authors
      • Editorial Policies
      • Editorial Board
      • Aims and Scope
      • Abstracting and Indexing
      • Bibliographic Information
      • Archive
    • Oncology Reports
      • Information for Authors
      • Editorial Policies
      • Editorial Board
      • Aims and Scope
      • Abstracting and Indexing
      • Bibliographic Information
      • Archive
    • World Academy of Sciences Journal
      • Information for Authors
      • Editorial Policies
      • Editorial Board
      • Aims and Scope
      • Abstracting and Indexing
      • Bibliographic Information
      • Archive
  • Articles
  • Information
    • For Authors
    • For Reviewers
    • For Librarians
    • For Advertisers
    • Conferences
  • Language Editing
Login Register Submit
  • This site uses cookies
  • You can change your cookie settings at any time by following the instructions in our Cookie Policy. To find out more, you may read our Privacy Policy.

    I agree
Search articles by DOI, keyword, author or affiliation
Search
Advanced Search
presentation
Molecular and Clinical Oncology
Join Editorial Board Propose a Special Issue
Print ISSN: 2049-9450 Online ISSN: 2049-9469
Journal Cover
April-2016 Volume 4 Issue 4

Full Size Image

Sign up for eToc alerts
Recommend to Library

Journals

International Journal of Molecular Medicine

International Journal of Molecular Medicine

International Journal of Molecular Medicine is an international journal devoted to molecular mechanisms of human disease.

International Journal of Oncology

International Journal of Oncology

International Journal of Oncology is an international journal devoted to oncology research and cancer treatment.

Molecular Medicine Reports

Molecular Medicine Reports

Covers molecular medicine topics such as pharmacology, pathology, genetics, neuroscience, infectious diseases, molecular cardiology, and molecular surgery.

Oncology Reports

Oncology Reports

Oncology Reports is an international journal devoted to fundamental and applied research in Oncology.

Experimental and Therapeutic Medicine

Experimental and Therapeutic Medicine

Experimental and Therapeutic Medicine is an international journal devoted to laboratory and clinical medicine.

Oncology Letters

Oncology Letters

Oncology Letters is an international journal devoted to Experimental and Clinical Oncology.

Biomedical Reports

Biomedical Reports

Explores a wide range of biological and medical fields, including pharmacology, genetics, microbiology, neuroscience, and molecular cardiology.

Molecular and Clinical Oncology

Molecular and Clinical Oncology

International journal addressing all aspects of oncology research, from tumorigenesis and oncogenes to chemotherapy and metastasis.

World Academy of Sciences Journal

World Academy of Sciences Journal

Multidisciplinary open-access journal spanning biochemistry, genetics, neuroscience, environmental health, and synthetic biology.

International Journal of Functional Nutrition

International Journal of Functional Nutrition

Open-access journal combining biochemistry, pharmacology, immunology, and genetics to advance health through functional nutrition.

International Journal of Epigenetics

International Journal of Epigenetics

Publishes open-access research on using epigenetics to advance understanding and treatment of human disease.

Medicine International

Medicine International

An International Open Access Journal Devoted to General Medicine.

Journal Cover
April-2016 Volume 4 Issue 4

Full Size Image

Sign up for eToc alerts
Recommend to Library

  • Article
  • Citations
    • Cite This Article
    • Download Citation
    • Create Citation Alert
    • Remove Citation Alert
    • Cited By
  • Similar Articles
    • Related Articles (in Spandidos Publications)
    • Similar Articles (Google Scholar)
    • Similar Articles (PubMed)
  • Download PDF
  • Download XML
  • View XML
Case Report Open Access

Brain metastases management paradigm shift: A case report and review of the literature

  • Authors:
    • Tamer Refaat
    • Sean Sachdev
    • Brijal Desai
    • Ian Bacchus
    • Saleh Hatoum
    • Plato Lee
    • Orin Bloch
    • James P. Chandler
    • John Kalapurakal
    • Maryanne Hoffman Marymont
  • View Affiliations / Copyright

    Affiliations: Department of Radiation Oncology, Robert H. Lurie Comprehensive Cancer Center, Feinberg School of Medicine, Northwestern University, Chicago, IL 606611, USA, Department of Neurological Surgery, Robert H. Lurie Comprehensive Cancer Center, Feinberg School of Medicine, Northwestern University, Chicago, IL 606611, USA
    Copyright: © Refaat et al. This is an open access article distributed under the terms of Creative Commons Attribution License.
  • Pages: 487-491
    |
    Published online on: February 8, 2016
       https://doi.org/10.3892/mco.2016.772
  • Expand metrics +
Metrics: Total Views: 0 (Spandidos Publications: | PMC Statistics: )
Metrics: Total PDF Downloads: 0 (Spandidos Publications: | PMC Statistics: )
Cited By (CrossRef): 0 citations Loading Articles...

This article is mentioned in:



Abstract

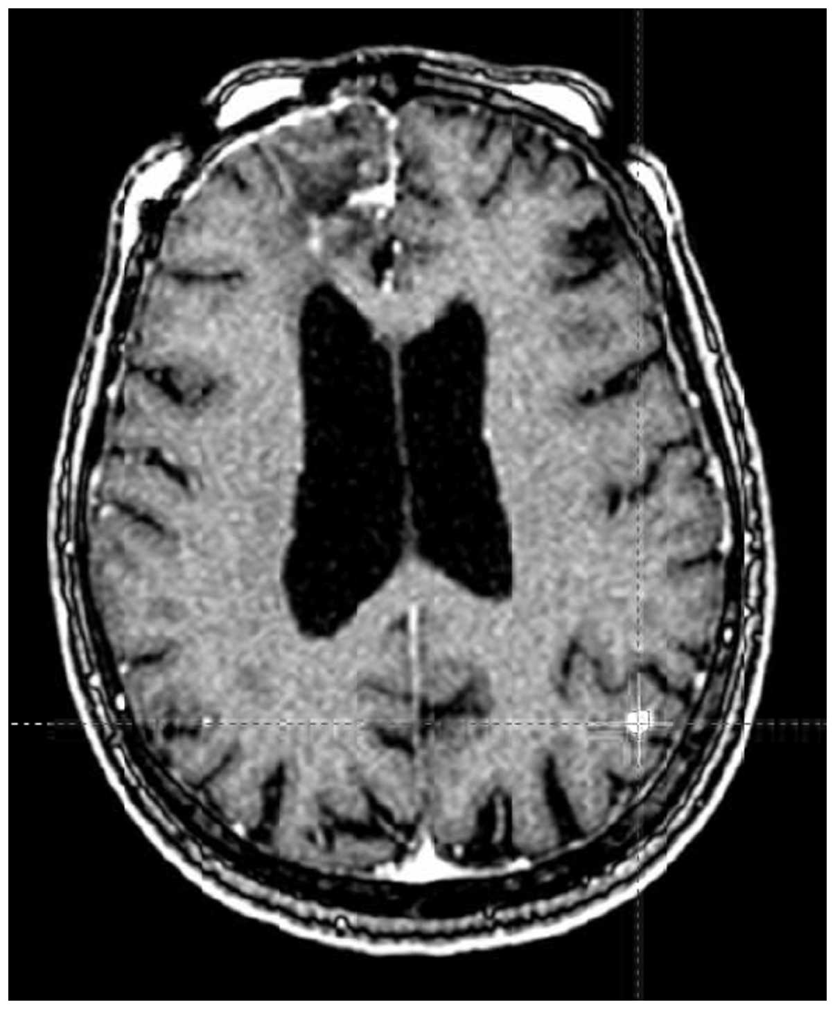
Brain metastases are the most common intracranial tumors in adults, accounting for over half of all lesions. Whole‑brain radiation therapy (WBRT) has been a cornerstone in the management of brain metastases for decades. Recently, stereotactic radiosurgery (SRS) has been considered as a definitive or postoperative approach instead of WBRT, to minimize the risk of cognitive impairment that may be associated with WBRT. This is the case report of a 74‑year‑old female patient who was diagnosed with lung cancer in November, 2002, and histopathologically confirmed brain metastases in January, 2005. The patient received 5 treatments with Gamma Knife SRS for recurring brain metastases between 2005 and 2014. The patient remains highly functional, with stable intracranial disease at 10 years since first developing brain metastases, and with stable lung disease. Therefore, Gamma Knife SRS is a safe and effective treatment modality for patients with recurrent intracranial metastases, with durable local control and minimal cognitive impairment.
View Figures

Figure 1

Figure 2

Figure 3

View References

1 

Wen PY and Loeffler JS: Management of brain metastases. Oncology (Williston Park). 13:941–954, 957-61; discussion 961–962. 1999.PubMed/NCBI

2 

Johnson JD and Young B: Demographics of brain metastasis. Neurosurg Clin N Am. 7:337–344. 1996.PubMed/NCBI

3 

Borgelt B, Gelber R, Kramer S, Brady LW, Chang CH, Davis LW, Perez CA and Hendrickson FR: The palliation of brain metastases: Final results of the first two studies by the Radiation Therapy Oncology Group. Int J Radiat Oncol Biol Phys. 6:1–9. 1980. View Article : Google Scholar : PubMed/NCBI

4 

Kurtz JM, Gelber R, Brady LW, Carella RJ and Cooper JS: The palliation of brain metastases in a favorable patient population: A randomized clinical trial by the Radiation Therapy Oncology Group. Int J Radiat Oncol Biol Phys. 7:891–895. 1981. View Article : Google Scholar : PubMed/NCBI

5 

Gelber RD, Larson M, Borgelt BB and Kramer S: Equivalence of radiation schedules for the palliative treatment of brain metastases in patients with favorable prognosis. Cancer. 48:1749–1753. 1981. View Article : Google Scholar : PubMed/NCBI

6 

Borgelt B, Gelber R, Larson M, Hendrickson F, Griffin T and Roth R: Ultra-rapid high dose irradiation schedules for the palliation of brain metastases: Final results of the first two studies by the Radiation Therapy Oncology Group. Int J Radiat Oncol Biol Phys. 7:1633–1638. 1981. View Article : Google Scholar : PubMed/NCBI

7 

Sawaya R, Hammoud M, Schoppa D, Hess KR, Wu SZ, Shi WM and Wildrick DM: Neurosurgical outcomes in a modern series of 400 craniotomies for treatment of parenchymal tumors. Neurosurgery. 42:1044–55; discussion 1055–1056. 1998. View Article : Google Scholar : PubMed/NCBI

8 

Asher AL, Burri SH, Wiggins WF, Kelly RP, Boltes MO, Mehrlich M, Norton HJ and Fraser RW: A new treatment paradigm: Neoadjuvant radiosurgery before surgical resection of brain metastases with analysis of local tumor recurrence. Int J Radiat Oncol Biol Phys. 88:899–906. 2014. View Article : Google Scholar : PubMed/NCBI

9 

Barnholtz-Sloan JS, Sloan AE, Davis FG, Vigneau FD, Lai P and Sawaya RE: Incidence proportions of brain metastases in patients diagnosed (1973 to 2001) in the Metropolitan Detroit Cancer Surveillance System. J Clin Oncol. 22:2865–2872. 2004. View Article : Google Scholar : PubMed/NCBI

10 

Schouten LJ, Rutten J, Huveneers HA and Twijnstra A: Incidence of brain metastases in a cohort of patients with carcinoma of the breast, colon, kidney and lung and melanoma. Cancer. 94:2698–2705. 2002. View Article : Google Scholar : PubMed/NCBI

11 

Gaspar L, Scott C, Rotman M, Asbell S, Phillips T, Wasserman T, McKenna WG and Byhardt R: Recursive partitioning analysis (RPA) of prognostic factors in three Radiation Therapy Oncology Group (RTOG) brain metastases trials. Int J Radiat Oncol Biol Phys. 37:745–751. 1997. View Article : Google Scholar : PubMed/NCBI

12 

Sperduto PW, Chao ST, Sneed PK, Luo X, Suh J, Roberge D, Bhatt A, Jensen AW, Brown PD, Shih H, et al: Diagnosis-specific prognostic factors, indexes and treatment outcomes for patients with newly diagnosed brain metastases: A multi-institutional analysis of 4,259 patients. Int J Radiat Oncol Biol Phys. 77:655–661. 2010. View Article : Google Scholar : PubMed/NCBI

13 

Patchell RA, Tibbs PA, Walsh JW, Dempsey RJ, Maruyama Y, Kryscio RJ, Markesbery WR, Macdonald JS and Young B: A randomized trial of surgery in the treatment of single metastases to the brain. N Engl J Med. 322:494–500. 1990. View Article : Google Scholar : PubMed/NCBI

14 

Noordijk EM, Vecht CJ, Haaxma-Reiche H, Padberg GW, Voormolen JH, Hoekstra FH, Tans JT, Lambooij N, Metsaars JA and Wattendorff AR: The choice of treatment of single brain metastasis should be based on extracranial tumor activity and age. Int J Radiat Oncol Biol Phys. 29:711–717. 1994. View Article : Google Scholar : PubMed/NCBI

15 

Schwartz M: Stereotactic radiosurgery: Comparing different technologies. CMAJ. 158:625–178. 1998.PubMed/NCBI

16 

Kuo JS, Yu C, Petrovich Z and Apuzzo ML: The CyberKnife stereotactic radiosurgery system: Description, installation and an initial evaluation of use and functionality. Neurosurgery. 53:1235–1239; discussion 1239. 2003. View Article : Google Scholar : PubMed/NCBI

17 

Miller DW: A review of proton beam radiation therapy. Med Phys. 22:1943–1954. 1995. View Article : Google Scholar : PubMed/NCBI

18 

Andrews DW, Scott CB, Sperduto PW, Flanders AE, Gaspar LE, Schell MC, Werner-Wasik M, Demas W, Ryu J, Bahary JP, et al: Whole-brain radiation therapy with or without stereotactic radiosurgery boost for patients with one to three brain metastases: Phase III results of the RTOG 9508 randomised trial. Lancet. 363:1665–1672. 2004. View Article : Google Scholar : PubMed/NCBI

19 

Pirzkall A, Debus J, Lohr F, Fuss M, Rhein B, Engenhart-Cabillic R and Wannenmacher M: Radiosurgery alone or in combination with whole-brain radiotherapy for brain metastases. J Clin Oncol. 16:3563–3569. 1998.PubMed/NCBI

20 

Alexander E III, Moriarty TM and Loeffler JS: Radiosurgery for metastases. J Neurooncol. 27:279–285. 1996. View Article : Google Scholar : PubMed/NCBI

21 

Alexander E III, Moriarty TM, Davis RB, Wen PY, Fine HA, Black PM, Kooy HM and Loeffler JS: Stereotactic radiosurgery for the definitive, noninvasive treatment of brain metastases. J Natl Cancer Inst. 87:34–40. 1995. View Article : Google Scholar : PubMed/NCBI

22 

Flickinger JC, Kondziolka D, Lunsford LD, Coffey RJ, Goodman ML, Shaw EG, Hudgins WR, Weiner R, Harsh GR IV and Sneed PK: A multi-institutional experience with stereotactic radiosurgery for solitary brain metastasis. Int J Radiat Oncol Biol Phys. 28:797–802. 1994. View Article : Google Scholar : PubMed/NCBI

23 

Yamamoto M, Serizawa T, Shuto T, Akabane A, Higuchi Y, Kawagishi J, Yamanaka K, Sato Y, Jokura H, Yomo S, et al: Stereotactic radiosurgery for patients with multiple brain metastases (JLGK0901): A multi-institutional prospective observational study. Lancet Oncol. 15:387–395. 2014. View Article : Google Scholar : PubMed/NCBI

24 

Kocher M, Soffietti R, Abacioglu U, Villà S, Fauchon F, Baumert BG, Fariselli L, Tzuk-Shina T, Kortmann RD, Carrie C, et al: Adjuvant whole-brain radiotherapy versus observation after radiosurgery or surgical resection of one to three cerebral metastases: Results of the EORTC 22952–26001 study. J Clin Oncol. 29:134–141. 2011. View Article : Google Scholar : PubMed/NCBI

Related Articles

  • Abstract
  • View
  • Download
  • Twitter
Copy and paste a formatted citation
Spandidos Publications style
Refaat T, Sachdev S, Desai B, Bacchus I, Hatoum S, Lee P, Bloch O, Chandler JP, Kalapurakal J, Marymont MH, Marymont MH, et al: Brain metastases management paradigm shift: A case report and review of the literature. Mol Clin Oncol 4: 487-491, 2016.
APA
Refaat, T., Sachdev, S., Desai, B., Bacchus, I., Hatoum, S., Lee, P. ... Marymont, M.H. (2016). Brain metastases management paradigm shift: A case report and review of the literature. Molecular and Clinical Oncology, 4, 487-491. https://doi.org/10.3892/mco.2016.772
MLA
Refaat, T., Sachdev, S., Desai, B., Bacchus, I., Hatoum, S., Lee, P., Bloch, O., Chandler, J. P., Kalapurakal, J., Marymont, M. H."Brain metastases management paradigm shift: A case report and review of the literature". Molecular and Clinical Oncology 4.4 (2016): 487-491.
Chicago
Refaat, T., Sachdev, S., Desai, B., Bacchus, I., Hatoum, S., Lee, P., Bloch, O., Chandler, J. P., Kalapurakal, J., Marymont, M. H."Brain metastases management paradigm shift: A case report and review of the literature". Molecular and Clinical Oncology 4, no. 4 (2016): 487-491. https://doi.org/10.3892/mco.2016.772
Copy and paste a formatted citation
x
Spandidos Publications style
Refaat T, Sachdev S, Desai B, Bacchus I, Hatoum S, Lee P, Bloch O, Chandler JP, Kalapurakal J, Marymont MH, Marymont MH, et al: Brain metastases management paradigm shift: A case report and review of the literature. Mol Clin Oncol 4: 487-491, 2016.
APA
Refaat, T., Sachdev, S., Desai, B., Bacchus, I., Hatoum, S., Lee, P. ... Marymont, M.H. (2016). Brain metastases management paradigm shift: A case report and review of the literature. Molecular and Clinical Oncology, 4, 487-491. https://doi.org/10.3892/mco.2016.772
MLA
Refaat, T., Sachdev, S., Desai, B., Bacchus, I., Hatoum, S., Lee, P., Bloch, O., Chandler, J. P., Kalapurakal, J., Marymont, M. H."Brain metastases management paradigm shift: A case report and review of the literature". Molecular and Clinical Oncology 4.4 (2016): 487-491.
Chicago
Refaat, T., Sachdev, S., Desai, B., Bacchus, I., Hatoum, S., Lee, P., Bloch, O., Chandler, J. P., Kalapurakal, J., Marymont, M. H."Brain metastases management paradigm shift: A case report and review of the literature". Molecular and Clinical Oncology 4, no. 4 (2016): 487-491. https://doi.org/10.3892/mco.2016.772
Follow us
  • Twitter
  • LinkedIn
  • Facebook
About
  • Spandidos Publications
  • Careers
  • Cookie Policy
  • Privacy Policy
How can we help?
  • Help
  • Live Chat
  • Contact
  • Email to our Support Team