Spandidos Publications Logo
  • About
    • About Spandidos
    • Aims and Scopes
    • Abstracting and Indexing
    • Editorial Policies
    • Reprints and Permissions
    • Job Opportunities
    • Terms and Conditions
    • Contact
  • Journals
    • All Journals
    • Oncology Letters
      • Oncology Letters
      • Information for Authors
      • Editorial Policies
      • Editorial Board
      • Aims and Scope
      • Abstracting and Indexing
      • Bibliographic Information
      • Archive
    • International Journal of Oncology
      • International Journal of Oncology
      • Information for Authors
      • Editorial Policies
      • Editorial Board
      • Aims and Scope
      • Abstracting and Indexing
      • Bibliographic Information
      • Archive
    • Molecular and Clinical Oncology
      • Molecular and Clinical Oncology
      • Information for Authors
      • Editorial Policies
      • Editorial Board
      • Aims and Scope
      • Abstracting and Indexing
      • Bibliographic Information
      • Archive
    • Experimental and Therapeutic Medicine
      • Experimental and Therapeutic Medicine
      • Information for Authors
      • Editorial Policies
      • Editorial Board
      • Aims and Scope
      • Abstracting and Indexing
      • Bibliographic Information
      • Archive
    • International Journal of Molecular Medicine
      • International Journal of Molecular Medicine
      • Information for Authors
      • Editorial Policies
      • Editorial Board
      • Aims and Scope
      • Abstracting and Indexing
      • Bibliographic Information
      • Archive
    • Biomedical Reports
      • Biomedical Reports
      • Information for Authors
      • Editorial Policies
      • Editorial Board
      • Aims and Scope
      • Abstracting and Indexing
      • Bibliographic Information
      • Archive
    • Oncology Reports
      • Oncology Reports
      • Information for Authors
      • Editorial Policies
      • Editorial Board
      • Aims and Scope
      • Abstracting and Indexing
      • Bibliographic Information
      • Archive
    • Molecular Medicine Reports
      • Molecular Medicine Reports
      • Information for Authors
      • Editorial Policies
      • Editorial Board
      • Aims and Scope
      • Abstracting and Indexing
      • Bibliographic Information
      • Archive
    • World Academy of Sciences Journal
      • World Academy of Sciences Journal
      • Information for Authors
      • Editorial Policies
      • Editorial Board
      • Aims and Scope
      • Abstracting and Indexing
      • Bibliographic Information
      • Archive
    • International Journal of Functional Nutrition
      • International Journal of Functional Nutrition
      • Information for Authors
      • Editorial Policies
      • Editorial Board
      • Aims and Scope
      • Abstracting and Indexing
      • Bibliographic Information
      • Archive
    • International Journal of Epigenetics
      • International Journal of Epigenetics
      • Information for Authors
      • Editorial Policies
      • Editorial Board
      • Aims and Scope
      • Abstracting and Indexing
      • Bibliographic Information
      • Archive
    • Medicine International
      • Medicine International
      • Information for Authors
      • Editorial Policies
      • Editorial Board
      • Aims and Scope
      • Abstracting and Indexing
      • Bibliographic Information
      • Archive
  • Articles
  • Information
    • Information for Authors
    • Information for Reviewers
    • Information for Librarians
    • Information for Advertisers
    • Conferences
  • Language Editing
Spandidos Publications Logo
  • About
    • About Spandidos
    • Aims and Scopes
    • Abstracting and Indexing
    • Editorial Policies
    • Reprints and Permissions
    • Job Opportunities
    • Terms and Conditions
    • Contact
  • Journals
    • All Journals
    • Biomedical Reports
      • Information for Authors
      • Editorial Policies
      • Editorial Board
      • Aims and Scope
      • Abstracting and Indexing
      • Bibliographic Information
      • Archive
    • Experimental and Therapeutic Medicine
      • Information for Authors
      • Editorial Policies
      • Editorial Board
      • Aims and Scope
      • Abstracting and Indexing
      • Bibliographic Information
      • Archive
    • International Journal of Epigenetics
      • Information for Authors
      • Editorial Policies
      • Editorial Board
      • Aims and Scope
      • Abstracting and Indexing
      • Bibliographic Information
      • Archive
    • International Journal of Functional Nutrition
      • Information for Authors
      • Editorial Policies
      • Editorial Board
      • Aims and Scope
      • Abstracting and Indexing
      • Bibliographic Information
      • Archive
    • International Journal of Molecular Medicine
      • Information for Authors
      • Editorial Policies
      • Editorial Board
      • Aims and Scope
      • Abstracting and Indexing
      • Bibliographic Information
      • Archive
    • International Journal of Oncology
      • Information for Authors
      • Editorial Policies
      • Editorial Board
      • Aims and Scope
      • Abstracting and Indexing
      • Bibliographic Information
      • Archive
    • Medicine International
      • Information for Authors
      • Editorial Policies
      • Editorial Board
      • Aims and Scope
      • Abstracting and Indexing
      • Bibliographic Information
      • Archive
    • Molecular and Clinical Oncology
      • Information for Authors
      • Editorial Policies
      • Editorial Board
      • Aims and Scope
      • Abstracting and Indexing
      • Bibliographic Information
      • Archive
    • Molecular Medicine Reports
      • Information for Authors
      • Editorial Policies
      • Editorial Board
      • Aims and Scope
      • Abstracting and Indexing
      • Bibliographic Information
      • Archive
    • Oncology Letters
      • Information for Authors
      • Editorial Policies
      • Editorial Board
      • Aims and Scope
      • Abstracting and Indexing
      • Bibliographic Information
      • Archive
    • Oncology Reports
      • Information for Authors
      • Editorial Policies
      • Editorial Board
      • Aims and Scope
      • Abstracting and Indexing
      • Bibliographic Information
      • Archive
    • World Academy of Sciences Journal
      • Information for Authors
      • Editorial Policies
      • Editorial Board
      • Aims and Scope
      • Abstracting and Indexing
      • Bibliographic Information
      • Archive
  • Articles
  • Information
    • For Authors
    • For Reviewers
    • For Librarians
    • For Advertisers
    • Conferences
  • Language Editing
Login Register Submit
  • This site uses cookies
  • You can change your cookie settings at any time by following the instructions in our Cookie Policy. To find out more, you may read our Privacy Policy.

    I agree
Search articles by DOI, keyword, author or affiliation
Search
Advanced Search
presentation
Molecular and Clinical Oncology
Join Editorial Board Propose a Special Issue
Print ISSN: 2049-9450 Online ISSN: 2049-9469
Journal Cover
July-2016 Volume 5 Issue 1

Full Size Image

Sign up for eToc alerts
Recommend to Library

Journals

International Journal of Molecular Medicine

International Journal of Molecular Medicine

International Journal of Molecular Medicine is an international journal devoted to molecular mechanisms of human disease.

International Journal of Oncology

International Journal of Oncology

International Journal of Oncology is an international journal devoted to oncology research and cancer treatment.

Molecular Medicine Reports

Molecular Medicine Reports

Covers molecular medicine topics such as pharmacology, pathology, genetics, neuroscience, infectious diseases, molecular cardiology, and molecular surgery.

Oncology Reports

Oncology Reports

Oncology Reports is an international journal devoted to fundamental and applied research in Oncology.

Experimental and Therapeutic Medicine

Experimental and Therapeutic Medicine

Experimental and Therapeutic Medicine is an international journal devoted to laboratory and clinical medicine.

Oncology Letters

Oncology Letters

Oncology Letters is an international journal devoted to Experimental and Clinical Oncology.

Biomedical Reports

Biomedical Reports

Explores a wide range of biological and medical fields, including pharmacology, genetics, microbiology, neuroscience, and molecular cardiology.

Molecular and Clinical Oncology

Molecular and Clinical Oncology

International journal addressing all aspects of oncology research, from tumorigenesis and oncogenes to chemotherapy and metastasis.

World Academy of Sciences Journal

World Academy of Sciences Journal

Multidisciplinary open-access journal spanning biochemistry, genetics, neuroscience, environmental health, and synthetic biology.

International Journal of Functional Nutrition

International Journal of Functional Nutrition

Open-access journal combining biochemistry, pharmacology, immunology, and genetics to advance health through functional nutrition.

International Journal of Epigenetics

International Journal of Epigenetics

Publishes open-access research on using epigenetics to advance understanding and treatment of human disease.

Medicine International

Medicine International

An International Open Access Journal Devoted to General Medicine.

Journal Cover
July-2016 Volume 5 Issue 1

Full Size Image

Sign up for eToc alerts
Recommend to Library

  • Article
  • Citations
    • Cite This Article
    • Download Citation
    • Create Citation Alert
    • Remove Citation Alert
    • Cited By
  • Similar Articles
    • Related Articles (in Spandidos Publications)
    • Similar Articles (Google Scholar)
    • Similar Articles (PubMed)
  • Download PDF
  • Download XML
  • View XML
Case Report

Breast metastasis from signet ring cell carcinoma of the urinary bladder: A case report

  • Authors:
    • Yaomin Chen
    • Haiyan Wei
    • Jun Li
    • Xiaojiao Liu
    • Peifen Fu
  • View Affiliations / Copyright

    Affiliations: Department of Breast Surgery, The First Affiliated Hospital, College of Medicine, Zhejiang University, Hangzhou, Zhejiang 310003, P.R. China
  • Pages: 111-112
    |
    Published online on: April 28, 2016
       https://doi.org/10.3892/mco.2016.884
  • Expand metrics +
Metrics: Total Views: 0 (Spandidos Publications: | PMC Statistics: )
Metrics: Total PDF Downloads: 0 (Spandidos Publications: | PMC Statistics: )
Cited By (CrossRef): 0 citations Loading Articles...

This article is mentioned in:



Abstract

Carcinoma of the bladder metastatic to the breast is only sporadically reported in the literature. To the best of our knowledge, the present report is the first described case of signet ring cell carcinoma of the urinary bladder metastasizing to the breast. The patient was a 43‑year‑old woman who underwent transurethral partial cystectomy for signet ring cell carcinoma of the urinary bladder and adjuvant chemotherapy with cisplatin and gemcitabine. At 7 months postcystectomy, the patient presented with a solitary nodule in the right breast. Following transdermic core needle puncture biopsy of the lesion and histological examination, the tumor was found to be composed of signet ring cells, which were similar to the cells in the original cystectomy specimen.The patient underwent mastectomy without further chemotherapy and has remained free from metastasis to other organs during 1 year follow-up.

Introduction

Breast cancer is the most common malignancy in women, whereas metastases to the breast from extramammary malignancies are very rare, accounting for only 0.43% of all malignant breast tumors (1). The most common primary tumors metastasizing to the breast are melanoma (29.8%), lung carcinoma (16.4%), gynecological carcinoma (12.7%), intestinal carcinoma (9.9%), leukemia and lymphoma (8.4%), rhabdomyosarcoma (7.3%) and renal cell carcinoma (1.5%). Clinically, the lesions are usually round, painless, without skin retraction or associated adenopathies (33%). On imaging, metastatic lesions are frequently single. Diagnosis, sometimes suggested by morphological study of the tumor, is confirmed by immunohistochemistry. Systemic metastases are common and they are associated with a shorter survival (1). Breast metastasis originating from urinary bladder carcinoma has previously been described (2–4). We herein report the case of a 43 year-old woman with signet ring cell carcinoma of the urinary bladder metastasizing to the breast.

Case report

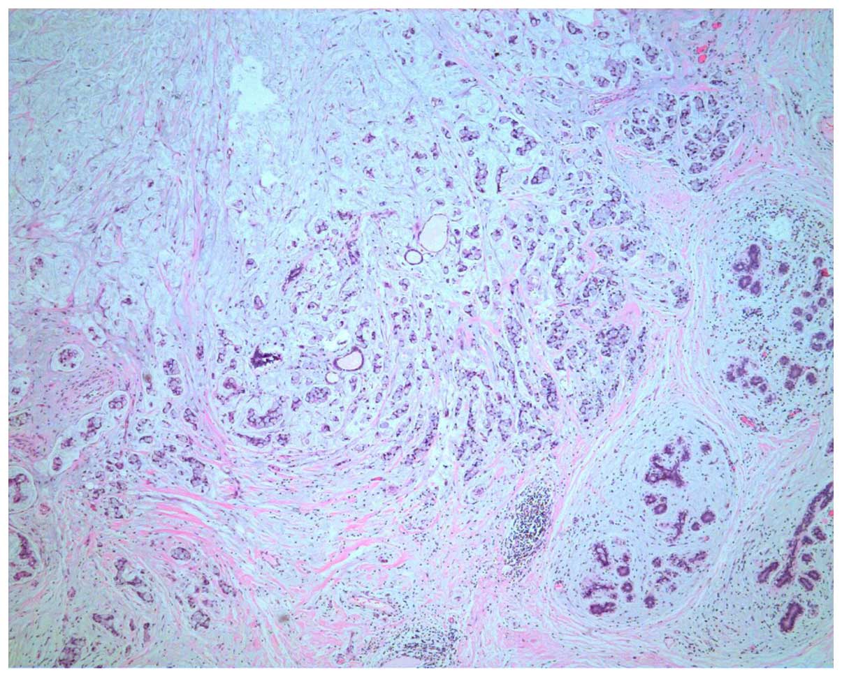
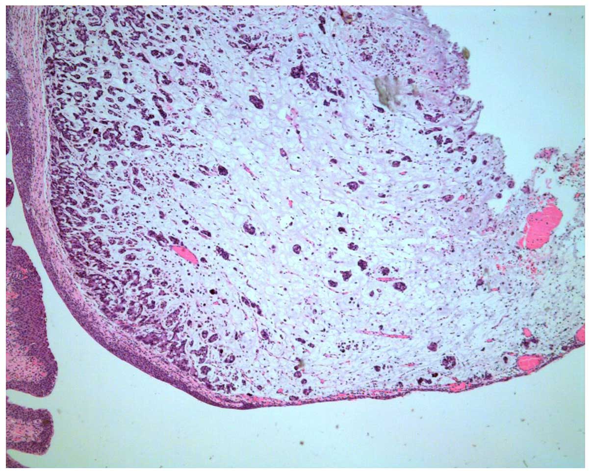
A 43 year-old female patient was referred to our hospital in February, 2014 with a 2-month history of intermittent painless total gross hematuria, frequency and urgency. Ultrasonography and a computed tomography scan revealed a solitary mass located below the urachus, without lymph node enlargement or distant metastases. A histopathological specimen obtained by cystoscopic examination was diagnosed as a poorly differentiated mucin-secreting adenocarcinoma of the signet ring cell type. A complete gastrointestinal endoscopic evaluation and analysis of tumor markers were performed to exclude an extravesical primary tumor, but no other primary site was identified. The tumor was therefore treated as a primary signet ring cell carcinoma of the urinary bladder and the patient underwent transurethral partial cystectomy. The histopathological examination of the surgical specimen revealed an adenocarcinoma composed of signet ring cells, with an abundant mucin pool, invading the deep muscular layer (Fig. 1). Adjuvant chemotherapy was then performed, with four cycles of cisplatin (100 mg/m2 on day 1) and gemcitabine (1,000 mg/m2 on days 1 and 8), every 21 days. In September, 2014 a solitary subcutaneous mass (1.9×1.0 cm) was palpated in the right breast. As it is difficult to differentiate metastatic lesions in the breast from primary breast cancer or benign lesions by ultrasonic appearance (Fig. 2) and physical examination, a transdermic core needle puncture biopsy of the breast lump was performed, which revealed the presence of a signet ring cell carcinoma metastatic from the bladder (Fig. 3). The patient underwent mastectomy. No further chemotherapy was performed and the patient remained free from metastasis to other organs during 1 year follow-up.

Figure 1.

Poorly differentiated mucin-secreting adenocarcinoma of the signet ring cell type (CK20+, CDX2+, CEA+, P63−, CK7+). Staining, hematoxylin and eosin; original magnification, ×50. CK, cytokeratin; CDX2 caudal type homeobox 2; CEA, carcinoembryonic antigen.

Figure 2.

Ultrasonogram showing a lesion located in the upper right breast.

Figure 3.

Metastatic adenocarcinoma composed of signet ring cells with an abundant mucin pool (ER−, PR−, CK5−, E-cadherin+, G15−, P120−, CDX2+, MMG−). Staining, hematoxylin and eosin;original magnification, ×50. ER, estrogen receptor; PR, progesterone receptor; CK, cytokeratin; CDX2 caudal type homeobox 2; MMG, mammaglobin.

Discussion

Signet ring cell carcinoma is a relatively rare neoplasm that rarely occurs in the urinary bladder, comprising only 0.24–2% of all primary epithelial urinary bladder tumors (5,6), with <100 cases reported in the literature since the first 2 cases reported by Saphir in 1955 (7). The most frequent sites of metastasis from primary bladder carcinoma are the lymph nodes, liver, lung and bone (8). This type of neoplasm generally occurs in middle age, is usually diagnosed at an advanced stage and is usually associated with a poor prognosis (9). The first case of carcinoma of the bladder metastatic to the male breast was reported by Truesdale et al in 1979 (2). At 7 months postcystectomy, a poorly differentiated transitional cell carcinoma metastatic to the breast and suprasternal area was detected. The first detailed description of a case of transitional cell carcinoma of the bladder metastatic to the female breast was reported by Erkman et al in 1982 (3). The patient was a 43-year-old woman who underwent radical cystectomy 3 months prior to presentation with two asymptomatic right breast masses as the first evidence of widely metastatic bladder carcinoma. Recently, breast metastasis originating from urinary bladder carcinoma has been described sporadically (10). To the best of our knowledge, the present case represents the first description of a primary signet ring cell carcinoma of the urinary bladder with breast metastases. In addition, the patient's presentation with a solitary metastatic breast nodule without widespread dissemination is inconsistent with the natural history of metastatic bladder carcinoma, although 1 year follow-up period was relatively shorter. The ultrasonic appearance of breast metastasis exhibits no typical characteristics. Therefore, the differentiation of metastatic lesions in the breast from primary breast cancer or other types of cancer depends on histopathological examination.

References

1. 

Koch A, Richter-Marot A, Wissler MP, Baratte A and Mathelin C: Mammary metastasis of extramammary cancers: current knowledge and diagnostic difficulties. Gynecol Obstet Fertil. 41:653–659. 2013. View Article : Google Scholar : PubMed/NCBI

2. 

Truesdale BH, Johnson RD, Evins SC, et al: Carcinoma of bladder metastatic to breast. Urology. 13:430–431. 1979. View Article : Google Scholar : PubMed/NCBI

3. 

Erkman AW, Markman M, Murphy JB and Lenhard RE Jr: Transitional cell carcinoma of the bladder metastatic to the breast. Med Pediatr Oncol. 10:141–144. 1982. View Article : Google Scholar : PubMed/NCBI

4. 

Domínguez Anguiano M, Campoy Martínez P, Cañizares Diaz I, Ramírez Mendoza A and Soltero González A: Breast metastasis of bladder carcinoma: Report of a case. Arch Esp Urol. 52:985–987. 1999.PubMed/NCBI

5. 

Sunghwan J, Soojin J, Kweonsik M, Jae-il C, Sunghyup C and Dongil K: Primary signet ring cell carcinoma of the urinary bladder. Korean J Urol. 50:188–191. 2009. View Article : Google Scholar

6. 

Torenbeek R, Koot RA, Blonjous CE, De Bruin PC, Newling DW and Meijer CJ: Primary signet-ring cell of the urinary bladder. Histopathology. 28:33–40. 1996. View Article : Google Scholar : PubMed/NCBI

7. 

Saphir O: Signet-ring cell carcinoma of the urinary bladder. Am J Pathol. 31:223–231. 1955.PubMed/NCBI

8. 

Babian RJ, Johnson DE, Llamas L and Ayala AG: Metastases from transitional cell carcinoma of urinary bladder. Urology. 16:142–144. 1980. View Article : Google Scholar : PubMed/NCBI

9. 

El-Mekresh MM, El-Baz MA, Abol-Enein H and Ghoneim MA: Primary adenocarcinoma of the urinary bladder: A report of 185 cases. British J Urol. 82:206–212. 1998. View Article : Google Scholar

10. 

Cappabianca S, Grassi R, D'Alessandro P, Del Vecchio A, Maioli A and Donofrio V: Metastasis to the male breast from carcinoma of the urinary bladder. Br J Radiol. 73:1326–1328. 2000. View Article : Google Scholar : PubMed/NCBI

Related Articles

  • Abstract
  • View
  • Download
  • Twitter
Copy and paste a formatted citation
Spandidos Publications style
Chen Y, Wei H, Li J, Liu X and Fu P: Breast metastasis from signet ring cell carcinoma of the urinary bladder: A case report. Mol Clin Oncol 5: 111-112, 2016.
APA
Chen, Y., Wei, H., Li, J., Liu, X., & Fu, P. (2016). Breast metastasis from signet ring cell carcinoma of the urinary bladder: A case report. Molecular and Clinical Oncology, 5, 111-112. https://doi.org/10.3892/mco.2016.884
MLA
Chen, Y., Wei, H., Li, J., Liu, X., Fu, P."Breast metastasis from signet ring cell carcinoma of the urinary bladder: A case report". Molecular and Clinical Oncology 5.1 (2016): 111-112.
Chicago
Chen, Y., Wei, H., Li, J., Liu, X., Fu, P."Breast metastasis from signet ring cell carcinoma of the urinary bladder: A case report". Molecular and Clinical Oncology 5, no. 1 (2016): 111-112. https://doi.org/10.3892/mco.2016.884
Copy and paste a formatted citation
x
Spandidos Publications style
Chen Y, Wei H, Li J, Liu X and Fu P: Breast metastasis from signet ring cell carcinoma of the urinary bladder: A case report. Mol Clin Oncol 5: 111-112, 2016.
APA
Chen, Y., Wei, H., Li, J., Liu, X., & Fu, P. (2016). Breast metastasis from signet ring cell carcinoma of the urinary bladder: A case report. Molecular and Clinical Oncology, 5, 111-112. https://doi.org/10.3892/mco.2016.884
MLA
Chen, Y., Wei, H., Li, J., Liu, X., Fu, P."Breast metastasis from signet ring cell carcinoma of the urinary bladder: A case report". Molecular and Clinical Oncology 5.1 (2016): 111-112.
Chicago
Chen, Y., Wei, H., Li, J., Liu, X., Fu, P."Breast metastasis from signet ring cell carcinoma of the urinary bladder: A case report". Molecular and Clinical Oncology 5, no. 1 (2016): 111-112. https://doi.org/10.3892/mco.2016.884
Follow us
  • Twitter
  • LinkedIn
  • Facebook
About
  • Spandidos Publications
  • Careers
  • Cookie Policy
  • Privacy Policy
How can we help?
  • Help
  • Live Chat
  • Contact
  • Email to our Support Team