Spandidos Publications Logo
  • About
    • About Spandidos
    • Aims and Scopes
    • Abstracting and Indexing
    • Editorial Policies
    • Reprints and Permissions
    • Job Opportunities
    • Terms and Conditions
    • Contact
  • Journals
    • All Journals
    • Oncology Letters
      • Oncology Letters
      • Information for Authors
      • Editorial Policies
      • Editorial Board
      • Aims and Scope
      • Abstracting and Indexing
      • Bibliographic Information
      • Archive
    • International Journal of Oncology
      • International Journal of Oncology
      • Information for Authors
      • Editorial Policies
      • Editorial Board
      • Aims and Scope
      • Abstracting and Indexing
      • Bibliographic Information
      • Archive
    • Molecular and Clinical Oncology
      • Molecular and Clinical Oncology
      • Information for Authors
      • Editorial Policies
      • Editorial Board
      • Aims and Scope
      • Abstracting and Indexing
      • Bibliographic Information
      • Archive
    • Experimental and Therapeutic Medicine
      • Experimental and Therapeutic Medicine
      • Information for Authors
      • Editorial Policies
      • Editorial Board
      • Aims and Scope
      • Abstracting and Indexing
      • Bibliographic Information
      • Archive
    • International Journal of Molecular Medicine
      • International Journal of Molecular Medicine
      • Information for Authors
      • Editorial Policies
      • Editorial Board
      • Aims and Scope
      • Abstracting and Indexing
      • Bibliographic Information
      • Archive
    • Biomedical Reports
      • Biomedical Reports
      • Information for Authors
      • Editorial Policies
      • Editorial Board
      • Aims and Scope
      • Abstracting and Indexing
      • Bibliographic Information
      • Archive
    • Oncology Reports
      • Oncology Reports
      • Information for Authors
      • Editorial Policies
      • Editorial Board
      • Aims and Scope
      • Abstracting and Indexing
      • Bibliographic Information
      • Archive
    • Molecular Medicine Reports
      • Molecular Medicine Reports
      • Information for Authors
      • Editorial Policies
      • Editorial Board
      • Aims and Scope
      • Abstracting and Indexing
      • Bibliographic Information
      • Archive
    • World Academy of Sciences Journal
      • World Academy of Sciences Journal
      • Information for Authors
      • Editorial Policies
      • Editorial Board
      • Aims and Scope
      • Abstracting and Indexing
      • Bibliographic Information
      • Archive
    • International Journal of Functional Nutrition
      • International Journal of Functional Nutrition
      • Information for Authors
      • Editorial Policies
      • Editorial Board
      • Aims and Scope
      • Abstracting and Indexing
      • Bibliographic Information
      • Archive
    • International Journal of Epigenetics
      • International Journal of Epigenetics
      • Information for Authors
      • Editorial Policies
      • Editorial Board
      • Aims and Scope
      • Abstracting and Indexing
      • Bibliographic Information
      • Archive
    • Medicine International
      • Medicine International
      • Information for Authors
      • Editorial Policies
      • Editorial Board
      • Aims and Scope
      • Abstracting and Indexing
      • Bibliographic Information
      • Archive
  • Articles
  • Information
    • Information for Authors
    • Information for Reviewers
    • Information for Librarians
    • Information for Advertisers
    • Conferences
  • Language Editing
Spandidos Publications Logo
  • About
    • About Spandidos
    • Aims and Scopes
    • Abstracting and Indexing
    • Editorial Policies
    • Reprints and Permissions
    • Job Opportunities
    • Terms and Conditions
    • Contact
  • Journals
    • All Journals
    • Biomedical Reports
      • Information for Authors
      • Editorial Policies
      • Editorial Board
      • Aims and Scope
      • Abstracting and Indexing
      • Bibliographic Information
      • Archive
    • Experimental and Therapeutic Medicine
      • Information for Authors
      • Editorial Policies
      • Editorial Board
      • Aims and Scope
      • Abstracting and Indexing
      • Bibliographic Information
      • Archive
    • International Journal of Epigenetics
      • Information for Authors
      • Editorial Policies
      • Editorial Board
      • Aims and Scope
      • Abstracting and Indexing
      • Bibliographic Information
      • Archive
    • International Journal of Functional Nutrition
      • Information for Authors
      • Editorial Policies
      • Editorial Board
      • Aims and Scope
      • Abstracting and Indexing
      • Bibliographic Information
      • Archive
    • International Journal of Molecular Medicine
      • Information for Authors
      • Editorial Policies
      • Editorial Board
      • Aims and Scope
      • Abstracting and Indexing
      • Bibliographic Information
      • Archive
    • International Journal of Oncology
      • Information for Authors
      • Editorial Policies
      • Editorial Board
      • Aims and Scope
      • Abstracting and Indexing
      • Bibliographic Information
      • Archive
    • Medicine International
      • Information for Authors
      • Editorial Policies
      • Editorial Board
      • Aims and Scope
      • Abstracting and Indexing
      • Bibliographic Information
      • Archive
    • Molecular and Clinical Oncology
      • Information for Authors
      • Editorial Policies
      • Editorial Board
      • Aims and Scope
      • Abstracting and Indexing
      • Bibliographic Information
      • Archive
    • Molecular Medicine Reports
      • Information for Authors
      • Editorial Policies
      • Editorial Board
      • Aims and Scope
      • Abstracting and Indexing
      • Bibliographic Information
      • Archive
    • Oncology Letters
      • Information for Authors
      • Editorial Policies
      • Editorial Board
      • Aims and Scope
      • Abstracting and Indexing
      • Bibliographic Information
      • Archive
    • Oncology Reports
      • Information for Authors
      • Editorial Policies
      • Editorial Board
      • Aims and Scope
      • Abstracting and Indexing
      • Bibliographic Information
      • Archive
    • World Academy of Sciences Journal
      • Information for Authors
      • Editorial Policies
      • Editorial Board
      • Aims and Scope
      • Abstracting and Indexing
      • Bibliographic Information
      • Archive
  • Articles
  • Information
    • For Authors
    • For Reviewers
    • For Librarians
    • For Advertisers
    • Conferences
  • Language Editing
Login Register Submit
  • This site uses cookies
  • You can change your cookie settings at any time by following the instructions in our Cookie Policy. To find out more, you may read our Privacy Policy.

    I agree
Search articles by DOI, keyword, author or affiliation
Search
Advanced Search
presentation
Molecular and Clinical Oncology
Join Editorial Board Propose a Special Issue
Print ISSN: 2049-9450 Online ISSN: 2049-9469
Journal Cover
July-2016 Volume 5 Issue 1

Full Size Image

Sign up for eToc alerts
Recommend to Library

Journals

International Journal of Molecular Medicine

International Journal of Molecular Medicine

International Journal of Molecular Medicine is an international journal devoted to molecular mechanisms of human disease.

International Journal of Oncology

International Journal of Oncology

International Journal of Oncology is an international journal devoted to oncology research and cancer treatment.

Molecular Medicine Reports

Molecular Medicine Reports

Covers molecular medicine topics such as pharmacology, pathology, genetics, neuroscience, infectious diseases, molecular cardiology, and molecular surgery.

Oncology Reports

Oncology Reports

Oncology Reports is an international journal devoted to fundamental and applied research in Oncology.

Experimental and Therapeutic Medicine

Experimental and Therapeutic Medicine

Experimental and Therapeutic Medicine is an international journal devoted to laboratory and clinical medicine.

Oncology Letters

Oncology Letters

Oncology Letters is an international journal devoted to Experimental and Clinical Oncology.

Biomedical Reports

Biomedical Reports

Explores a wide range of biological and medical fields, including pharmacology, genetics, microbiology, neuroscience, and molecular cardiology.

Molecular and Clinical Oncology

Molecular and Clinical Oncology

International journal addressing all aspects of oncology research, from tumorigenesis and oncogenes to chemotherapy and metastasis.

World Academy of Sciences Journal

World Academy of Sciences Journal

Multidisciplinary open-access journal spanning biochemistry, genetics, neuroscience, environmental health, and synthetic biology.

International Journal of Functional Nutrition

International Journal of Functional Nutrition

Open-access journal combining biochemistry, pharmacology, immunology, and genetics to advance health through functional nutrition.

International Journal of Epigenetics

International Journal of Epigenetics

Publishes open-access research on using epigenetics to advance understanding and treatment of human disease.

Medicine International

Medicine International

An International Open Access Journal Devoted to General Medicine.

Journal Cover
July-2016 Volume 5 Issue 1

Full Size Image

Sign up for eToc alerts
Recommend to Library

  • Article
  • Citations
    • Cite This Article
    • Download Citation
    • Create Citation Alert
    • Remove Citation Alert
    • Cited By
  • Similar Articles
    • Related Articles (in Spandidos Publications)
    • Similar Articles (Google Scholar)
    • Similar Articles (PubMed)
  • Download PDF
  • Download XML
  • View XML
Case Report

Spontaneous regression of multiple pulmonary nodules in a patient with unclassified renal cell carcinoma following laparoscopic partial nephrectomy: A case report

  • Authors:
    • Kosuke Ueda
    • Shigetaka Suekane
    • Tomotaro Mitani
    • Katsuaki Chikui
    • Kazuhisa Ejima
    • Shunsuke Suyama
    • Makoto Nakiri
    • Kiyoaki Nishihara
    • Mitsunori Matsuo
    • Tsukasa Igawa
  • View Affiliations / Copyright

    Affiliations: Department of Urology, Kurume University School of Medicine, Kurume, Fukuoka 830‑0011, Japan
  • Pages: 49-52
    |
    Published online on: May 11, 2016
       https://doi.org/10.3892/mco.2016.900
  • Expand metrics +
Metrics: Total Views: 0 (Spandidos Publications: | PMC Statistics: )
Metrics: Total PDF Downloads: 0 (Spandidos Publications: | PMC Statistics: )
Cited By (CrossRef): 0 citations Loading Articles...

This article is mentioned in:


Abstract

Spontaneous regression of metastatic renal cell carcinoma (RCC) is rare, but well-documented in clear cell RCC. However, there are no reports on spontaneous regression of unclassified RCC. Since the radiological findings of pulmonary infarcts and inflammatory pseudotumors are similar to those of metastases from RCC, a definitive diagnosis is difficult without performing a histological examination. A 56‑year‑old woman underwent medical examination by a physician. An abdominal computed tomography (CT) scan revealed a 22‑mm mass with a cystic area in the right kidney, as well as multiple enlarged lymph nodes in the common iliac, external iliac and groin areas, bilaterally. A chest CT revealed multiple pulmonary nodules bilaterally, the largest measuring 15 mm. Since the right renal tumor was suspected to be an RCC, laparoscopic partial nephrectomy was performed. The final pathological diagnosis of the renal tumor was unclassified RCC. One month following surgery, a CT scan revealed spontaneous regression of the pulmonary nodules. We herein present a rare case of spontaneous regression of pulmonary nodules in a patient with unclassified RCC following laparoscopic partial nephrectomy. To the best of our knowledge, this is the first case of spontaneous regression in unclassified RCC.

Introduction

Unclassified renal cell carcinoma (RCC) does not belong to a specific RCC subtype with unique diagnostic histological findings or characteristic genetic changes. The frequency of this type of RCC is quite variable, accounting for 0.7–5.7% of all RCCs (1). Previous reports suggested that unclassified RCC is associated with unfavourable histological characteristics and aggressive behavior (1,2).

Spontaneous regression of metastases of RCC is rare, but well-documented in the course of clear cell RCC. However, there are no reports on spontaneous regression of unclassified RCC to date. We herein present the rare case of spontaneous regression of pulmonary nodules in a patient with unclassified RCC following laparoscopic partial nephrectomy.

Case report

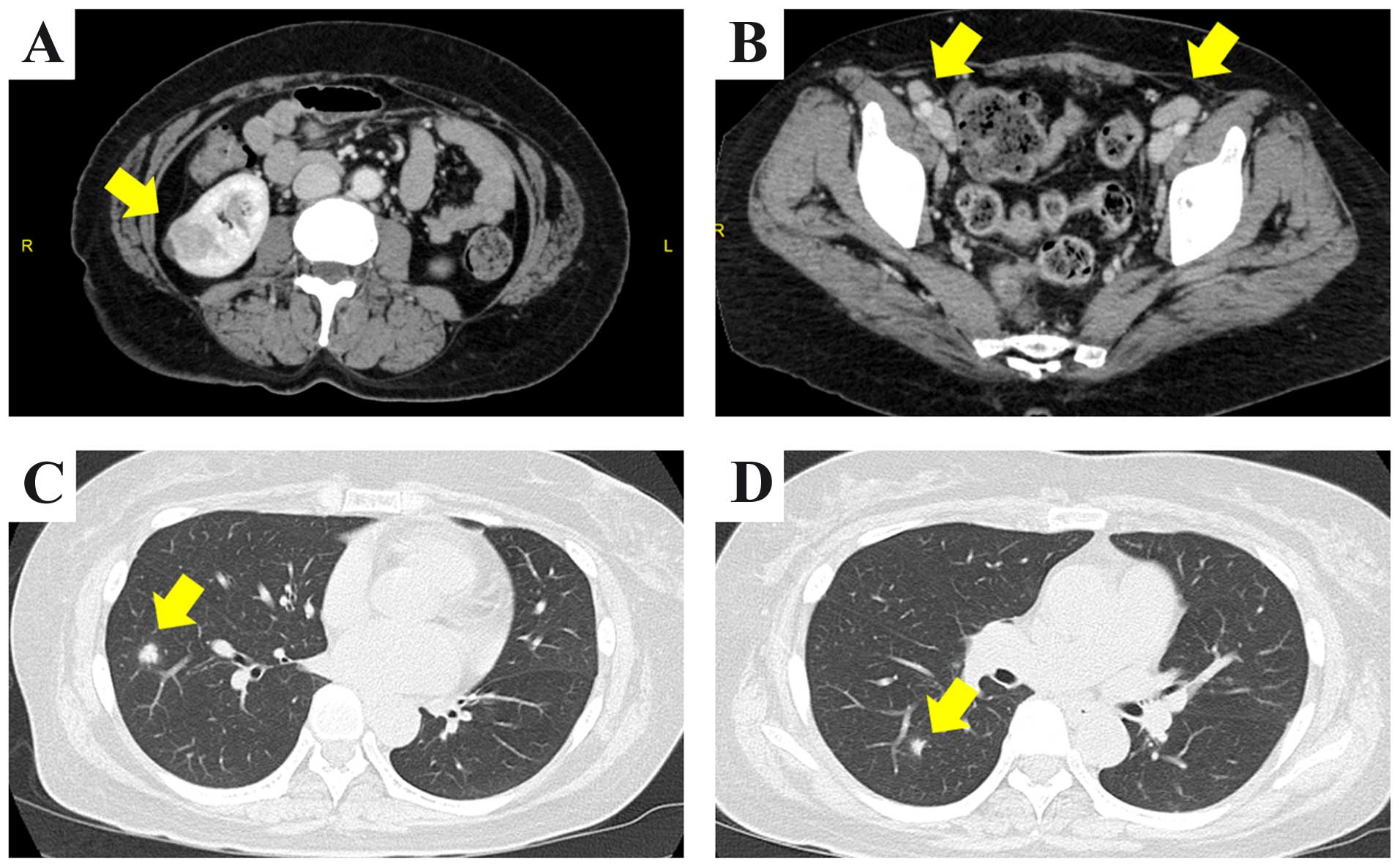
A 56-year old woman underwent medical examination by a physician. The patient was asymptomatic prior to hospitalization. Computed tomography (CT) was performed. Abdominal CT revealed a 22-mm mass with a cystic area in the right kidney and multiple enlarged lymph nodes in the common iliac, external iliac and groin areas bilaterally (Fig. 1A and B). The chest CT revealed multiple pulmonary nodules bilaterally, the largest measuring 15 mm (Fig. 1C and D). The laboratory tests revealed mild elevation of the C-reactive protein levels to 1.16 mg/dl (normal range, ≤0.14 mg/dl). The levels of tumor markers, such as squamous cell carcinoma antigen, carbohydrate antigen 19-9, carcinoembryonic antigen (CEA), cytokeratin 19 fragment and pro-gastrin-releasing peptide, were within the normal range. The serum concentration of soluble interleukin-2 receptor (sIL-2R) was increased to 914 U/ml (reference range, 122–496 U/ml). [18F] 2-fluoro-2-deoxy-d-glucose (18F-FDG) positron emission tomography showed high FDG uptake by multiple enlarged lymph nodes, whereas the right kidney mass and the pulmonary nodules exhibited no increased uptake. A right inguinal lymph node biopsy was first performed, since malignant lymphoma was suspected. On microscopic examination, there were sheets of lymphoid cells and numerous lymphoid follicles; however, there was no evidence of tumor cells (Fig. 2) and the lymph node enlargement was diagnosed as reactive lymphoid hyperplasia. Since the right renal tumor was suspected to be RCC, laparoscopic partial nephrectomy was performed, without any complications. The resected tumor was sized 25 mm and was well-circumscribed; histologically, it was composed of cells with eosinophilic cytoplasm arranged in glandular and cribriform patterns (Figs. 3 and 4). Immunohistochemically, almost all the tumor cells were diffusely positive for pancytokeratin (AE1/AE3), cytokeratin 7 and E-cadherin. Immunoreactivity for CD10, α-methylacyl-CoA racemase, 34βE12, c-kit, anaplastic lymphoma kinase, thyroid transcription factor-1, p63 and CEA was not detected in the tumor cells. These findings suggested that the tumor was a RCC with distal tubular characteristics. However, the findings were not typical. The case was referred for expert consultation, and the final pathological diagnosis was unclassified RCC. One month after surgery, a thoracic CT scan revealed spontaneous regression of the pulmonary nodules (Fig. 5). However, the enlargement of the lymph nodes did not subside. Surveillance CT scans at 3 months revealed no evidence of recurrence or progression of the pulmonary nodules and lymph nodes. In addition, the level of sIL-2R had decreased to 511 U/ml.

Figure 1.

(A-D) Computed tomography (CT) scan findings at diagnosis of this case. (A) Abdominal CT revealed a 22-mm enhanced mass with a cystic area in the right kidney (arrow), with (B) multiple enlarged lymph nodes in the common iliac, external iliac and groin areas, bilaterally (arrows). (C and D) Thoracic CT scan revealed several nodules with a maximum diameter of 15 mm in the lung (arrows).

Figure 2.

Microscopic appearance of biopsy specimen from a right inguinal lymph node. Sheets of lymphoid cells and numerous lymphoid follicles were identified. However, there was no evidence of malignancy (hematoxylin and eosin staining; magnification, ×100).

Figure 3.

Macroscopic appearance of the resected right renal mass. The tumor was sized 25 mm and was well-circumscribed.

Figure 4.

Microscopic appearance of the right renal tumor. The tumor was composed of cells with eosinophilic cytoplasm, arranged in glandular and cribriform patterns (hematoxylin and eosin staining; magnification, ×100).

Figure 5.

(A and B) Thoracic computed tomography scan showing spontaneous regression of multiple pulmonary nodules compared with Fig. 1 (arrows).

Discussion

RCC accounts for 3% of all cancers and its incidence is steadily increasing. RCC is the most common among renal tumors in adults, accounting for 85% of neoplasms arising in the kidney (3). Approximately one-fourth of RCC patients are known to have metastatic disease at the initial diagnosis (4). The lungs (50%), bones (49%), lymph nodes (6–32%), skin (11%), liver (8%) and brain (3%) are the most frequent sites of clinical metastases (5), and these patients generally have a poor prognosis, with a reported 5-year survival of 3–11% for unoperated patients (6).

In the era of immunotherapy, cytoreductive nephrectomy followed by interferon-α treatment increased overall survival (OS) in RCC patients compared with immunotherapy alone (7,8). In this era of molecular-targeted therapy, it was also reported that cytoreductive nephrectomy may provide an OS benefit in patients with metastatic RCC (9).

Spontaneous regression of metastases in RCC is rare, occurring in <1% of all cases (10). In 1928, Bumpus described the first reported case of spontaneous regression of metastatic RCC (11). It was previously reported that a number of these cases are associated with surgical removal of the primary tumor, but regression may also occur in association to radiation or embolization of the primary tumor (12). Different hypotheses of this rare phenomenon have been documented. The suggested mechanism of spontaneous regression is considered to be an immune response, which may be evoked by surgery, tumor necrosis, infection, radiotherapy and other treatments (13,14). In our case, spontaneous regression of multiple pulmonary nodules was observed following nephrectomy. Malignant lymphoma was first suspected on preoperative assessment, due to multiple lymph node enlargement and the increased sIL-2R level. However, histopathological examination of a lymph node biopsy specimen revealed reactive lymphoid hyperplasia, while the renal tumor was diagnosed as RCC. It has been reported that pulmonary infarcts caused by, e.g., emboli, may mimic pulmonary metastases on radiographic scans (15,16). Several reports have also demonstrated that IgG4-related diseases and Epstein-Barr virus-associated lymphoproliferative diseases occasionally cause inflammatory pseudotumors (17–19). The examinations of these diseases revealed contradictory findings.

Previous reports demonstrated that the majority of unclassified RCCs are aggressive, mainly because in the majority of the cases they are at an advanced stage at presentation (1,2). Our patient has a good clinical course, without disease recurrence or progression. Most previous reports of spontaneous regression were of clear cell RCC. To the best of our knowledge, this is the first case of spontaneous regression of pulmonary nodules in a patient with unclassified RCC following partial nephrectomy. However, the main limitation of this study is the lack of histological confirmation from the pulmonary nodules in our case. Adequate histological confirmation of metastases has been estimated to be available in only 20% of cases with spontaneous regression (20). Although there is no evidence of the pulmonary nodules being metastatic in our case, this clinical phenomenon is rare in unclassified RCC. As regards disease recurrence, long-term follow-up is required.

References

1 

Lopez-Beltran A, Kirkali Z, Montironi R, Blanca A, Algaba F, Scarpelli M, Yorukoglu K, Hartmann A and Cheng L: Unclassified renal cell carcinoma: A report of 56 cases. BJU Int. 110:786–793. 2012. View Article : Google Scholar : PubMed/NCBI

2 

Karakiewicz PI, Hutterer GC, Trinh QD, Pantuck AJ, Klatte T, Lam JS, Guille F, de La Taille A, Novara G, Tostain J, et al: Unclassified renal cell carcinoma: An analysis of 85 cases. BJU Int. 100:802–808. 2007. View Article : Google Scholar : PubMed/NCBI

3 

Landis SH, Murray T, Bolden S and Wingo PA: Cancer statistics, 1999. CA Cancer J Clin. 49:8–31.1. 1999. View Article : Google Scholar : PubMed/NCBI

4 

Hock LM, Lynch J and Balaji KC: Increasing incidence of all stages of kidney cancer in the last 2 decades in the United States: An analysis of Surveillance, Epidemiology and End Results program data. J Urol. 167:57–60. 2002. View Article : Google Scholar : PubMed/NCBI

5 

Pagano S, Franzoso F and Ruggeri P: Renal cell carcinoma metastases. Review of unusual clinical metastases, metastatic modes and patterns and comparison between clinical and autopsy metastatic series. Scand J Urol Nephrol. 30:165–172. 1996. View Article : Google Scholar : PubMed/NCBI

6 

Kavolius JP, Mastorakos DP, Pavlovich C, Russo P, Burt ME and Brady MS: Resection of metastatic renal cell carcinoma. J Clin Oncol. 16:2261–2266. 1998.PubMed/NCBI

7 

Flanigan RC, Salmon SE, Blumenstein BA, Bearman SI, Roy V, McGrath PC, Caton JR Jr, Munshi N and Crawford ED: Nephrectomy followed by interferon alfa-2b compared with interferon alfa-2b alone for metastatic renal-cell cancer. N Engl J Med. 345:1655–1659. 2001. View Article : Google Scholar : PubMed/NCBI

8 

Mickisch GH, Garin A, van Poppel H, de Prijck L and Sylvester R: European Organisation for Research and Treatment of Cancer (EORTC) Genitourinary Group: Radical nephrectomy plus interferon-alfa-based immunotherapy compared with interferon alfa alone in metastatic renal-cell carcinoma: A randomised trial. Lancet. 358:966–970. 2001. View Article : Google Scholar : PubMed/NCBI

9 

Heng DY, Wells JC, Rini BI, Beuselinck B, Lee JL, Knox JJ, Bjarnason GA, Pal SK, Kollmannsberger CK, Yuasa T, et al: Cytoreductive nephrectomy in patients with synchronous metastases from renal cell carcinoma: Results from the International Metastatic Renal Cell Carcinoma Database Consortium. Eur Urol. 66:704–710. 2014. View Article : Google Scholar : PubMed/NCBI

10 

de Riese W, Goldenberg K, Allhoff E, Stief C, Schlick R, Liedke S and Jonas U: Metastatic renal cell carcinoma (RCC): Spontaneous regression, long-term survival and late recurrence. Int Urol Nephrol. 23:13–25. 1991. View Article : Google Scholar : PubMed/NCBI

11 

Bumpus HC: The apparent disappearance of pulmonary metastasis in a case of hypernephroma following nephrectomy. J Urol. 20:181–191. 1928.

12 

Lokich J: Spontaneous regression of metastatic renal cancer. Case report and literature review. Am J Clin Oncol. 20:416–418. 1997. View Article : Google Scholar : PubMed/NCBI

13 

Ishiyama H, Teh BS, Ren H, Chiang S, Tann A, Blanco AI, Paulino AC and Amato R: Spontaneous regression of thoracic metastases while progression of brain metastases after stereotactic radiosurgery and stereotactic body radiotherapy for metastatic renal cell carcinoma: Abscopal effect prevented by the blood-brain barrier? Clin Genitourin Cancer. 10:196–198. 2012. View Article : Google Scholar : PubMed/NCBI

14 

Ricci SB and Cerchiari U: Spontaneous regression of malignant tumors: Importance of the immune system and other factors (Review). Oncol Lett. 1:941–945. 2010.PubMed/NCBI

15 

Janiszewska AD, Poletajew S and Wasiutyński A: Spontaneous regression of renal cell carcinoma. Contemp Oncol (Pozn). 17:123–127. 2013.PubMed/NCBI

16 

Wagner JR, Merino MJ, Pass HI, Linehan WM and Walther MM: Pulmonary infarcts can mimic pulmonary metastases from renal cancer. J Urol. 158:1688–1690. 1997. View Article : Google Scholar : PubMed/NCBI

17 

Miura H and Miyachi Y: IgG4-related retroperitoneal fibrosis and sclerosing cholangitis independent of autoimmune pancreatitis. A recurrent case after a 5-year history of spontaneous remission. JOP. 10:432–437. 2009.PubMed/NCBI

18 

McCabe MG, Hook CE and Burke GA: Spontaneous regression of an EBV-associated monoclonal large B-cell proliferation in the mastoid of a young child following surgical biopsy. Pediatr Blood Cancer. 51:557–559. 2008. View Article : Google Scholar : PubMed/NCBI

19 

Park SH, Kim CG, Kim JY and Choe JY: Spontaneous regression of EBV-associated diffuse lymphoproliferative disease in a patient with rheumatoid arthritis after discontinuation of etanercept treatment. Rheumatol Int. 28:475–477. 2008. View Article : Google Scholar : PubMed/NCBI

20 

Chan BP, Booth CM, Manduch M and Touma NJ: Spontaneous regression of metastatic pulmonary renal cell carcinoma in the setting of sarcomatoid differentiation of the primary tumour. Can Urol Assoc J. 7:E587–E589. 2013. View Article : Google Scholar : PubMed/NCBI

Related Articles

  • Abstract
  • View
  • Download
  • Twitter
Copy and paste a formatted citation
Spandidos Publications style
Ueda K, Suekane S, Mitani T, Chikui K, Ejima K, Suyama S, Nakiri M, Nishihara K, Matsuo M, Igawa T, Igawa T, et al: Spontaneous regression of multiple pulmonary nodules in a patient with unclassified renal cell carcinoma following laparoscopic partial nephrectomy: A case report. Mol Clin Oncol 5: 49-52, 2016.
APA
Ueda, K., Suekane, S., Mitani, T., Chikui, K., Ejima, K., Suyama, S. ... Igawa, T. (2016). Spontaneous regression of multiple pulmonary nodules in a patient with unclassified renal cell carcinoma following laparoscopic partial nephrectomy: A case report. Molecular and Clinical Oncology, 5, 49-52. https://doi.org/10.3892/mco.2016.900
MLA
Ueda, K., Suekane, S., Mitani, T., Chikui, K., Ejima, K., Suyama, S., Nakiri, M., Nishihara, K., Matsuo, M., Igawa, T."Spontaneous regression of multiple pulmonary nodules in a patient with unclassified renal cell carcinoma following laparoscopic partial nephrectomy: A case report". Molecular and Clinical Oncology 5.1 (2016): 49-52.
Chicago
Ueda, K., Suekane, S., Mitani, T., Chikui, K., Ejima, K., Suyama, S., Nakiri, M., Nishihara, K., Matsuo, M., Igawa, T."Spontaneous regression of multiple pulmonary nodules in a patient with unclassified renal cell carcinoma following laparoscopic partial nephrectomy: A case report". Molecular and Clinical Oncology 5, no. 1 (2016): 49-52. https://doi.org/10.3892/mco.2016.900
Copy and paste a formatted citation
x
Spandidos Publications style
Ueda K, Suekane S, Mitani T, Chikui K, Ejima K, Suyama S, Nakiri M, Nishihara K, Matsuo M, Igawa T, Igawa T, et al: Spontaneous regression of multiple pulmonary nodules in a patient with unclassified renal cell carcinoma following laparoscopic partial nephrectomy: A case report. Mol Clin Oncol 5: 49-52, 2016.
APA
Ueda, K., Suekane, S., Mitani, T., Chikui, K., Ejima, K., Suyama, S. ... Igawa, T. (2016). Spontaneous regression of multiple pulmonary nodules in a patient with unclassified renal cell carcinoma following laparoscopic partial nephrectomy: A case report. Molecular and Clinical Oncology, 5, 49-52. https://doi.org/10.3892/mco.2016.900
MLA
Ueda, K., Suekane, S., Mitani, T., Chikui, K., Ejima, K., Suyama, S., Nakiri, M., Nishihara, K., Matsuo, M., Igawa, T."Spontaneous regression of multiple pulmonary nodules in a patient with unclassified renal cell carcinoma following laparoscopic partial nephrectomy: A case report". Molecular and Clinical Oncology 5.1 (2016): 49-52.
Chicago
Ueda, K., Suekane, S., Mitani, T., Chikui, K., Ejima, K., Suyama, S., Nakiri, M., Nishihara, K., Matsuo, M., Igawa, T."Spontaneous regression of multiple pulmonary nodules in a patient with unclassified renal cell carcinoma following laparoscopic partial nephrectomy: A case report". Molecular and Clinical Oncology 5, no. 1 (2016): 49-52. https://doi.org/10.3892/mco.2016.900
Follow us
  • Twitter
  • LinkedIn
  • Facebook
About
  • Spandidos Publications
  • Careers
  • Cookie Policy
  • Privacy Policy
How can we help?
  • Help
  • Live Chat
  • Contact
  • Email to our Support Team