Spandidos Publications Logo
  • About
    • About Spandidos
    • Aims and Scopes
    • Abstracting and Indexing
    • Editorial Policies
    • Reprints and Permissions
    • Job Opportunities
    • Terms and Conditions
    • Contact
  • Journals
    • All Journals
    • Oncology Letters
      • Oncology Letters
      • Information for Authors
      • Editorial Policies
      • Editorial Board
      • Aims and Scope
      • Abstracting and Indexing
      • Bibliographic Information
      • Archive
    • International Journal of Oncology
      • International Journal of Oncology
      • Information for Authors
      • Editorial Policies
      • Editorial Board
      • Aims and Scope
      • Abstracting and Indexing
      • Bibliographic Information
      • Archive
    • Molecular and Clinical Oncology
      • Molecular and Clinical Oncology
      • Information for Authors
      • Editorial Policies
      • Editorial Board
      • Aims and Scope
      • Abstracting and Indexing
      • Bibliographic Information
      • Archive
    • Experimental and Therapeutic Medicine
      • Experimental and Therapeutic Medicine
      • Information for Authors
      • Editorial Policies
      • Editorial Board
      • Aims and Scope
      • Abstracting and Indexing
      • Bibliographic Information
      • Archive
    • International Journal of Molecular Medicine
      • International Journal of Molecular Medicine
      • Information for Authors
      • Editorial Policies
      • Editorial Board
      • Aims and Scope
      • Abstracting and Indexing
      • Bibliographic Information
      • Archive
    • Biomedical Reports
      • Biomedical Reports
      • Information for Authors
      • Editorial Policies
      • Editorial Board
      • Aims and Scope
      • Abstracting and Indexing
      • Bibliographic Information
      • Archive
    • Oncology Reports
      • Oncology Reports
      • Information for Authors
      • Editorial Policies
      • Editorial Board
      • Aims and Scope
      • Abstracting and Indexing
      • Bibliographic Information
      • Archive
    • Molecular Medicine Reports
      • Molecular Medicine Reports
      • Information for Authors
      • Editorial Policies
      • Editorial Board
      • Aims and Scope
      • Abstracting and Indexing
      • Bibliographic Information
      • Archive
    • World Academy of Sciences Journal
      • World Academy of Sciences Journal
      • Information for Authors
      • Editorial Policies
      • Editorial Board
      • Aims and Scope
      • Abstracting and Indexing
      • Bibliographic Information
      • Archive
    • International Journal of Functional Nutrition
      • International Journal of Functional Nutrition
      • Information for Authors
      • Editorial Policies
      • Editorial Board
      • Aims and Scope
      • Abstracting and Indexing
      • Bibliographic Information
      • Archive
    • International Journal of Epigenetics
      • International Journal of Epigenetics
      • Information for Authors
      • Editorial Policies
      • Editorial Board
      • Aims and Scope
      • Abstracting and Indexing
      • Bibliographic Information
      • Archive
    • Medicine International
      • Medicine International
      • Information for Authors
      • Editorial Policies
      • Editorial Board
      • Aims and Scope
      • Abstracting and Indexing
      • Bibliographic Information
      • Archive
  • Articles
  • Information
    • Information for Authors
    • Information for Reviewers
    • Information for Librarians
    • Information for Advertisers
    • Conferences
  • Language Editing
Spandidos Publications Logo
  • About
    • About Spandidos
    • Aims and Scopes
    • Abstracting and Indexing
    • Editorial Policies
    • Reprints and Permissions
    • Job Opportunities
    • Terms and Conditions
    • Contact
  • Journals
    • All Journals
    • Biomedical Reports
      • Information for Authors
      • Editorial Policies
      • Editorial Board
      • Aims and Scope
      • Abstracting and Indexing
      • Bibliographic Information
      • Archive
    • Experimental and Therapeutic Medicine
      • Information for Authors
      • Editorial Policies
      • Editorial Board
      • Aims and Scope
      • Abstracting and Indexing
      • Bibliographic Information
      • Archive
    • International Journal of Epigenetics
      • Information for Authors
      • Editorial Policies
      • Editorial Board
      • Aims and Scope
      • Abstracting and Indexing
      • Bibliographic Information
      • Archive
    • International Journal of Functional Nutrition
      • Information for Authors
      • Editorial Policies
      • Editorial Board
      • Aims and Scope
      • Abstracting and Indexing
      • Bibliographic Information
      • Archive
    • International Journal of Molecular Medicine
      • Information for Authors
      • Editorial Policies
      • Editorial Board
      • Aims and Scope
      • Abstracting and Indexing
      • Bibliographic Information
      • Archive
    • International Journal of Oncology
      • Information for Authors
      • Editorial Policies
      • Editorial Board
      • Aims and Scope
      • Abstracting and Indexing
      • Bibliographic Information
      • Archive
    • Medicine International
      • Information for Authors
      • Editorial Policies
      • Editorial Board
      • Aims and Scope
      • Abstracting and Indexing
      • Bibliographic Information
      • Archive
    • Molecular and Clinical Oncology
      • Information for Authors
      • Editorial Policies
      • Editorial Board
      • Aims and Scope
      • Abstracting and Indexing
      • Bibliographic Information
      • Archive
    • Molecular Medicine Reports
      • Information for Authors
      • Editorial Policies
      • Editorial Board
      • Aims and Scope
      • Abstracting and Indexing
      • Bibliographic Information
      • Archive
    • Oncology Letters
      • Information for Authors
      • Editorial Policies
      • Editorial Board
      • Aims and Scope
      • Abstracting and Indexing
      • Bibliographic Information
      • Archive
    • Oncology Reports
      • Information for Authors
      • Editorial Policies
      • Editorial Board
      • Aims and Scope
      • Abstracting and Indexing
      • Bibliographic Information
      • Archive
    • World Academy of Sciences Journal
      • Information for Authors
      • Editorial Policies
      • Editorial Board
      • Aims and Scope
      • Abstracting and Indexing
      • Bibliographic Information
      • Archive
  • Articles
  • Information
    • For Authors
    • For Reviewers
    • For Librarians
    • For Advertisers
    • Conferences
  • Language Editing
Login Register Submit
  • This site uses cookies
  • You can change your cookie settings at any time by following the instructions in our Cookie Policy. To find out more, you may read our Privacy Policy.

    I agree
Search articles by DOI, keyword, author or affiliation
Search
Advanced Search
presentation
Molecular and Clinical Oncology
Join Editorial Board Propose a Special Issue
Print ISSN: 2049-9450 Online ISSN: 2049-9469
Journal Cover
March-2017 Volume 6 Issue 3

Full Size Image

Sign up for eToc alerts
Recommend to Library

Journals

International Journal of Molecular Medicine

International Journal of Molecular Medicine

International Journal of Molecular Medicine is an international journal devoted to molecular mechanisms of human disease.

International Journal of Oncology

International Journal of Oncology

International Journal of Oncology is an international journal devoted to oncology research and cancer treatment.

Molecular Medicine Reports

Molecular Medicine Reports

Covers molecular medicine topics such as pharmacology, pathology, genetics, neuroscience, infectious diseases, molecular cardiology, and molecular surgery.

Oncology Reports

Oncology Reports

Oncology Reports is an international journal devoted to fundamental and applied research in Oncology.

Experimental and Therapeutic Medicine

Experimental and Therapeutic Medicine

Experimental and Therapeutic Medicine is an international journal devoted to laboratory and clinical medicine.

Oncology Letters

Oncology Letters

Oncology Letters is an international journal devoted to Experimental and Clinical Oncology.

Biomedical Reports

Biomedical Reports

Explores a wide range of biological and medical fields, including pharmacology, genetics, microbiology, neuroscience, and molecular cardiology.

Molecular and Clinical Oncology

Molecular and Clinical Oncology

International journal addressing all aspects of oncology research, from tumorigenesis and oncogenes to chemotherapy and metastasis.

World Academy of Sciences Journal

World Academy of Sciences Journal

Multidisciplinary open-access journal spanning biochemistry, genetics, neuroscience, environmental health, and synthetic biology.

International Journal of Functional Nutrition

International Journal of Functional Nutrition

Open-access journal combining biochemistry, pharmacology, immunology, and genetics to advance health through functional nutrition.

International Journal of Epigenetics

International Journal of Epigenetics

Publishes open-access research on using epigenetics to advance understanding and treatment of human disease.

Medicine International

Medicine International

An International Open Access Journal Devoted to General Medicine.

Journal Cover
March-2017 Volume 6 Issue 3

Full Size Image

Sign up for eToc alerts
Recommend to Library

  • Article
  • Citations
    • Cite This Article
    • Download Citation
    • Create Citation Alert
    • Remove Citation Alert
    • Cited By
  • Similar Articles
    • Related Articles (in Spandidos Publications)
    • Similar Articles (Google Scholar)
    • Similar Articles (PubMed)
  • Download PDF
  • Download XML
  • View XML
Article

Response to regorafenib at an initial dose of 120 mg as salvage therapy for metastatic colorectal cancer

  • Authors:
    • Hiroshi Osawa
  • View Affiliations / Copyright

    Affiliations: Department of Oncology and Hematology, Edogawa Hospital, Tokyo 133‑0052, Japan
  • Pages: 365-372
    |
    Published online on: January 31, 2017
       https://doi.org/10.3892/mco.2017.1145
  • Expand metrics +
Metrics: Total Views: 0 (Spandidos Publications: | PMC Statistics: )
Metrics: Total PDF Downloads: 0 (Spandidos Publications: | PMC Statistics: )
Cited By (CrossRef): 0 citations Loading Articles...

This article is mentioned in:


Abstract

Regorafenib (Reg) is an oral multikinase inhibitor that has achieved improved overall survival in patients with metastatic colorectal cancer (mCRC) in the salvage therapy setting. However, Reg is difficult to manage and determine the optimal dose due to adverse events (AEs). The objective of this study was to retrospectively evaluate the clinical benefit and determine the optimal dose of Reg in mCRC patients. A total of 20 mCRC patients were enrolled in this retrospective study. Initially, 8 patients who received a starting dose of 160 mg Reg (160 mg group) once a day were evaluated; however, they were unable to continue with the initial dose of 160 mg due to grade 3 adverse events (AEs), such as hand‑foot skin reaction (HFSR) and small intestinal hemorrhage. Furthermore, 2 of the 8 patients refused subsequent treatment due to HFSR and the remaining 6 patients received a dose reduction from 160 to 120 mg Reg. A reduced dose of 120 mg Reg was also assessed with our dose modification method in 12 patients (120 mg group). The optimal response of the 160 and 120 mg group patients was 0.0 and 8.3% (1/12), respectively. In the 160 mg group, 3 patients exhibited stable disease (SD). Surprisingly, among the the 120 mg group patients 1 exhibited partial response (PR) and 6 had SD. The PR case displayed shrinkage of the local recurrence and morphological changes. One of the SD cases exhibited formation of a cavity in the lung metastasis, with intralesional morphological changes of the liver metastasis. The duration of the treatment in the PR case and the SD case with the cavitation was 6.5 months (9 cycles) and 5 months (6 cycles), respectively. The median progression­‑free survival (PFS) was 77 days (range, 30‑230+ days) and the median overall survival (OS) was 204 days (range, 53‑511+ days). The final date of the follow‑up period was July 31, 2016. The 160 mg group was associated with a 25% (3/8) incidence of HFSR, 12.5% (1/8) of small intestinal hemorrhage and 12.5% (1/8) of anemia and thrombocytopenia; the AEs were grade >3. The 120 mg group was associated with an incidence of only 8.3% (1/12) of grade >3 hypertension. Thus, the 120 mg group experienced lower treatment‑related toxicity compared with the 160 mg group. Despite a reduced initial dose of Reg, a significant effect was observed, with 1 PR and 6 favorable SD cases, with good tolerability. Therefore, an initial dose modification of 120 mg Reg is recommended as an alternative strategy for the treatment of mCRC in the salvage setting.

Introduction

The pattern of cause of death and the annual odds of death in metastatic colorectal cancer (mCRC) are similar between Japan and the global standards (1,2). Approximately 20–25% of patients with CRC have metastatic disease at diagnosis and the majority of mCRC patients require intensive or palliative chemotherapy (3,4). Patients with mCRC generally receive a combination of 5-fluorouracil (5-FU)/leucovorin and either oxaliplatin (L-OHP) (FOLFOX) or irinotecan (CPT-11) (FOLFIRI) with molecular-targeted therapy as first-line chemotherapy, and the overall survival (OS) of patients with mCRC has improved. Previous studies reported the median OS of mCRC patients to be >30 months. However, the progression-free survival (PFS) of first-line chemotherapy in mCRC has not improved over the past decade (5–12). Therefore, treatments after first-line chemotherapy are important and further therapeutic agents are required. Regorafenib (Reg) is an oral multikinase inhibitor targeting multiple tumor pathways, such as proliferation (KIT, BRAF, RAF-1 and RET), tumor microenvironment signaling (platelet-derived growth factor receptor-β and fibroblast growth factor receptor) and neoangiogenesis [vascular endothelial growth factor receptor (VEGFR)1–3 and angiopoietin-1 receptor] (13). An international phase III study (CORRECT) was conducted: A total of 760 patients with mCRC, who were refractory or intolerant to standard chemotherapy including 5-FU, L-OHP, CPT-11 and molecular-targeted drugs, such as anti-VEGF antibody and anti-epidermal growth factor receptor (EGFR) antibody, were randomized in a 2:1 ratio to receive Reg or placebo. The primary endpoint was OS and this endpoint met the planned interim analysis, with a hazard ratio of 0.77 [95% confidence interval (CI): 0.64–0.94; one-sided P=0.0052]). The most common grade ≥3 Reg-related adverse events (AEs) were fatigue, hand-foot skin reaction (HFSR), diarrhea and anorexia (14). A total of 100 Japanese patients were enrolled in the CORRECT study. The efficacy of Reg was similar between Japanese and non-Japanese patients. However, AEs such as HFSR, hypertension, thrombocytopenia and proteinuria occurred at a higher incidence among Japanese patients, and it was also reported that 1 Japanese patient succumbed to liver dysfunction due to Reg. In addition, dose modifications due to AEs were more frequent and the dose intensity of Reg was lower in Japanese compared with that in non-Japanese patients (15). Therefore, although Reg achieved clinical benefits with tolerable AEs according to previous studies (14,16), its efficacy and safety in Japanese patients should be verified in the clinical setting. The objective of the present study was to retrospectively evaluate the clinical benefit and determine the optimal dose of Reg in mCRC patients who experienced treatment failure with standard chemotherapy, such as fluoropyrimidines (FUs), L-OHP and CPT-11 with molecular-targeted antibodies.

Patients and methods

Patients

Patients with confirmed colorectal adenocarcinoma who met the following inclusion criteria were included in the present study: i) No age restriction; ii) major organ function preserved [leukocyte count ≥4,000/mm3; platelet count ≥100,000/mm3; total bilirubin ≤1.5 mg/dl; aspartate aminotransferase (AST) and alanine aminotransferase (ALT) <2.5 times upper limit of normal; and creatinine clearance ≥60 ml/min]; iii) Eastern Cooperative Oncology Group (ECOG) performance status (PS) score 0–2; iv) no active multiple primary cancers; v) confirmed KRAS or RAS mutational status; vi) no serious complications (intestinal obstruction, hypertension, proteinuria or thrombosis); and vii) written informed consent. The administration dosage and the schedule of Reg, best therapeutic effects and AEs were investigated. The PFS was defined as the period from Reg initiation to the date of tumor progression or death from any cause and the OS was defined as the period from Reg initiation to the date of death from any cause. This study was performed according to the regulations of the local Ethics Committee of our hospital and according to the principles of the Declaration of Helsinki.

Treatment and methods

All the patients had experienced treatment failure with all the available standard chemotherapies, such as FUs, L-OHP and CPT-11 with molecular-targeted antibodies. In this study, treatment efficacy and AEs were first evaluated in 8 patients following standard-dose Reg and reduced dosage was discussed for the next patient group. The dose of Reg in the first 8 patients was 160 mg/day orally on days 1–21 every 28 days, and the dose was modified according to the dose modification/interruption protocol of the CORRECT study after treatment initiation (14). In the next 12 patients, the initial dose of Reg was modified to 120 mg/day orally on days 1–21 every 28 days; our original dose modification was used, as efficacy and AEs were evaluated in the 160 mg group patients (Fig. 1).

Figure 1.

Treatment procedure illustrating our original dose modification method.

Evaluation

The incidence of AEs and their severity were evaluated to determine treatment safety. In addition, the OS, PFS and best objective response were assessed to determine treatment efficacy. Evaluation was performed by computed tomography or magnetic resonance imaging (MRI) at the start of Reg treatment and after every 2 cycles. AEs were evaluated based on the National Cancer Institute (NCI) Common Terminology Criteria for Adverse Events (CTCAE), version 4.0 (https://evs.nci.nih.gov/ftp1/CTCAE/CTCAE_4.03_2010-06-14_QuickReference_5×7.pdf). Reg was administered to a total of 20 patients between May, 2013 and June, 2016; the final date of the follow-up period was July 31, 2016.

Results

Patient characteristics

This study enrolled 20 patients, including 12 men and 8 women. The median age was 65.5 years (range, 40–73 years). The median ECOG PS was 1 (PS0, n=3; PS1, n=14; and PS2, n=3) and the median number of prior therapy cycles was 4 (range, 3–7). All the patients had received treatment with L-OHP, CPT-11, FUs and bevacizumab (Bmab), and all KRAS or RAS wild-type patients were treated with anti-EGFR antibody. The median number of Reg cycles was 2 (range, 1–9). The treatment refusal rate was 15% (3/20) (Table I).

Table I.

Patient characteristics according to the dose of regorafenib (n=20).

Table I.

Patient characteristics according to the dose of regorafenib (n=20).

Dose groups

CharacteristicsTotal (n=20)160 mg (n=8)120 mg (n=12)
Gender, n
  Male1468
  Female624
Age, years
  Median (range)65.5 (40–76)64 (40–73)65.5 (51–76)
Primary, n
  Colon1358
  Rectum734
PS, n
  0312
  11468
  2312
BSA, m2
  Median (range)1.535 (1.27–1.75)1.54 (1.40–1.73)1.52 (1.27–1.75)
Metastatic sites, n
  Lung1037
  Liver1156
  Peritoneum514
Local422
KRAS or RAS, n
  Wildtype1358
  Mutant734
Prior therapy, n
  Median (range)4 (2–7)4 (3–6)4.5 (3–7)
Prior drugs, n
  Oxaliplatin20812
  Irinotecan20812
  FUs20812
  Bevacizumab20812
  Anti-EGFR1358

[i] PS, performance status; BSA, body surface area; FUs, fluoropyrimidines; EGFR, epithelial growth factor receptor.

Treatment outcomes

A total of 3 patients refused treatment during the first cycle in the 160 mg group due to HFSR and small intestinal hemorrhage. The dose reduction rate was 62.5% (5/8) in the 160 mg group and 25% (3/12) in the 120 mg group, mainly due to HFSR, stomatitis and thrombocytopenia. The median relative dose intensity (RDI) was 63.5% (range, 48.4–94.3%) and there was no difference between the 160 and 120 mg doses of Reg (63.6 and 62.5%, respectively). A total of 15 patients received further treatments [10 patients received TAS-102 and 4 were re-challenged with cetuximab (Cmab) monotherapy] (Table II).

Table II.

Treatment characteristics (total number of regorafenib administrations was 58).

Table II.

Treatment characteristics (total number of regorafenib administrations was 58).

Dose groups

CharacteristicsTotal (n=20)160 mg (n=8)120 mg (n=12)
Number of cycles [median (range)]2 (1–9)2 (1–7)2 (2–9)
RDI, % [median (range)]63.5 (48.494.3)63.6 (48.4–81.4)62.5 (53.2–94.3)
Treatment refusal, n (%)3 (15.0)3 (37.5)0 (0.0)
Dose reduction, n (%)
Adverse events11 (55.0)5 (62.5)4 (33.3)
  HFSR, n761
  Stomatitis, n311
  Thrombocytopenia, n101
  Hypertension, n101
Further treatment, n (%)15 (75.0)5 (62.5)10 (83.3)
  TAS-1021459
  Cetuximab alone  101

[i] RDI, relative dose intensity; HFSR, hand-foot skin reaction.

Efficacy

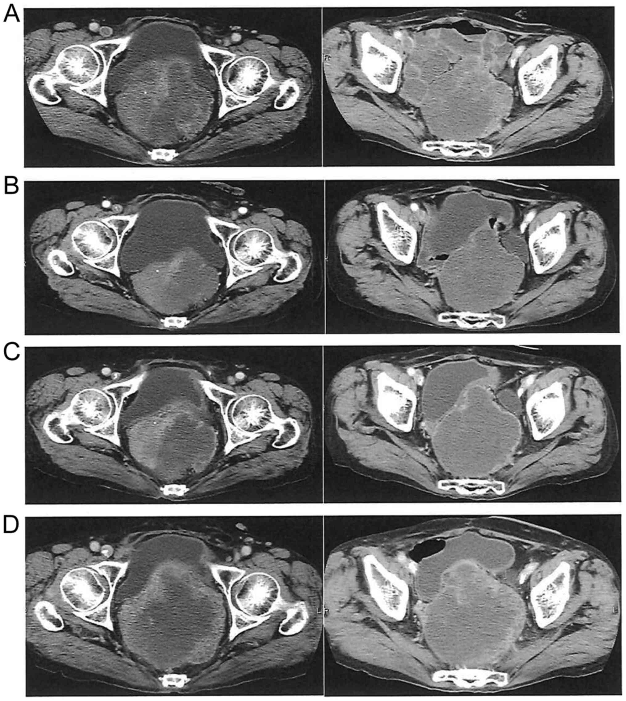
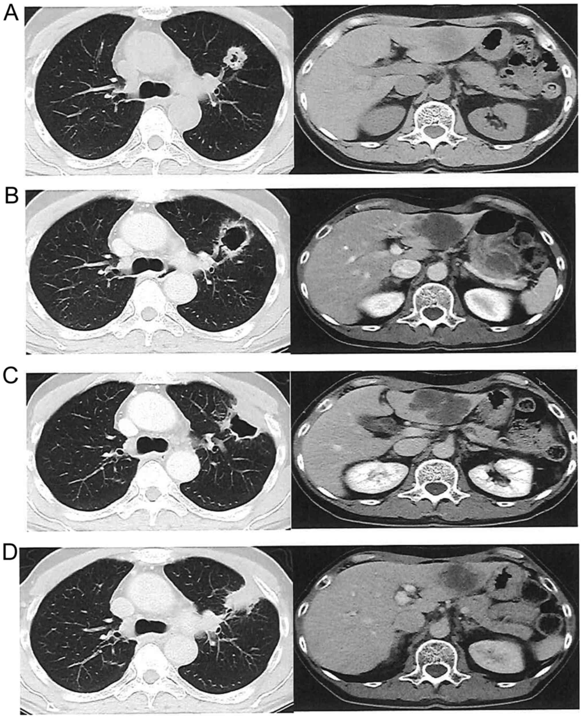
None of the patients achieved complete response; however, 1 patient achieved partial response (PR) and 9 had stable disease (SD). The objective response rate was 5.6% and the disease control rate (DCR) was 55.6% (Table III). Two patients who were treated with the dose of 120 mg were able to receive Reg for >6 cycles: One was a 66-year-old woman with local recurrence who received five prior chemotherapies with Bmab, Cmab, panitumumab, L-OHP, CPT-11 and FUs. The patient was started on Reg as sixth-line chemotherapy, and after three courses of Reg, the local recurrence exhibited a PR and the radiological tumor density decreased, with cystic changes of the lesion. The patient was eventually treated with Reg until the ninth cycle (6.5 months) (Fig. 3). The other patient was a 64-year-old man with multiple lung and liver metastases who received five prior chemotherapies; he was also started on Reg as sixth- line chemotherapy and, after two courses of Reg, formation of a cavity in a lung metastasis with intralesional cystic change of the liver metastases were observed. The patient received treatment with Reg until the sixth cycle (5 months) (Fig. 4). The median OS was 204 days (Fig. 2A) and the PFS was 77 days (Fig. 2B) in all the patients.

Figure 3.

Efficacy of regorafenib at 120 mg/day in a female patient please confirm who received 9 cycles of treatment and achieved partial response. (A) Pretreatment computed tomography scan. (B) Shrinkage of local recurrence and decrease of internal density after 3 cycles. (C) Change in size and internal density after 6 cycles. (D) Increased size and internal density after 9 cycles, indicating progressive disease.

Figure 4.

Efficacy of regorafenib at 120 mg/day in a male patient with lung and liver metastases who received 6 cycles of regorafenib. (A) Pretreatment computed tomography scan. (B) Cavity formation in the lung metastasis, with cystic change of the internal structure in the liver metastases after 2 cycles. (C) Change in size and internal density after 4 cycles. (D) Increased size and internal density of lung and liver metastases after 6 cycles, indicating progressive disease.

Figure 2.

The overall survival (OS) and progression-free survival (PFS) curves of the entire investigated patient cohort (n=20). (A) The Kaplan-Meier estimate for OS was 204 days (range, 53–511+ days). (B) The Kaplan-Meier estimate for PFS was 77 days (range, 30–230+ days).

Table III.

Treatment efficacy (n=20).

Table III.

Treatment efficacy (n=20).

Best objective responseTotal (n=20)160 g (n=8)120 mg (n=12)
CR000
PR101
SD936
PD725
NE330
Response rate5.6%0%8.3%
Disease control rate55.6%60%58.3%

[i] CR, complete response; PR, partial response; SD, stable disease; PD, progressive disease; NE, no evaluation.

Safety

Reg was administered a total of 58 times and the AEs were assessed in 20 patients. In regards to hematological AEs, leukopenia was observed in 30%, neutropenia in 20%, anemia in 25% and thrombocytopenia in 10% of the cases. As other abnormal laboratory test values, ALT was elevated in 30%, AST in 25%, lactate dehydrogenase in 25%, γ-glutamyl transpeptidase in 25% and alkaline phosphatase in 10% of the cases. As regards non-hematological AEs, HFSR was observed in all the patients, whereas gastrointestinal disorders, including nausea, anorexia and stomatitis, were observed in 75% of the cases. In particular, a patient presented with melena due to small intestinal hemorrhage. Fatigue was also observed in 50% of the patients. These AEs tended to occur at the dose of 160 mg rather than that of 120 mg. The incidence of grade 3 HFSR was 75% and all the cases were included in the 160 mg group; 3 of those cases refused subsequent treatment with Reg. As other grade 3 AEs, neutropenia and hypertension were each observed in 5% of the cases. Grade 3 neutropenia also occurred at the dose of 160 mg, but hypertension occurred at the dose of 120 mg. There were no reported grade 4 AEs or chemotherapy-related deaths (Table IV).

Table IV.

Hematological and non-hematological adverse events (total number of regorafenib administrations was 58).

Table IV.

Hematological and non-hematological adverse events (total number of regorafenib administrations was 58).

Dose groups

Adverse eventsTotal (n=20)160 mg (n=8)120 mg (n=12)
HematologicalAnyGrade 3AnyGrade 3AnyGrade 3
  Leukocytopenia6 (30.0) 2 (25.0) 4 (33.3)
  Neutropenia4 (20.0)1 (5.0)2 (25.0)1 (25.0)2 (16.7)
  Anemia5 (25.0) 3 (37.5) 2 (16.7)
  Thrombocytopenia2 (10.0) 1 (12.5) 1 (8.3)
  Increased AST5 (25.0) 2 (25.0) 3 (25.0)
  Increased ALT6 (30.0) 3 (75.0) 3 (25.0)
  Increased γ-GT5 (25.0) 3 (75.0) 2 (16.7)
  Hyperbilirubinemia2 (10.0) 1 (12.5) 1 (8.3)
  Increased LDH5 (25.0) 3 (37.5) 2 (16.7)
  Increased ALP2 (10.0) 1 (12.5) 1 (8.3)
Electrolyte disorders
  Hyponatremia2 (10.0) 1 (12.5) 1 (8.3)
  Hypokalemia1 (5.0) 1 (8.3)
  Non-hematological
  Gastrointestinal disorder
    Nausea/vomiting3 (15.0) 2 (25.0) 1 (8.3)
    Anorexia4 (20.0) 3 (37.5) 1 (8.3)
    Diarrhea1 (5.0) 1 (12.5)
    Stomatitis6 (30.0) 3 (37.5) 3 (25.0)
    Small intestinal hemorrhage1 (12.5) 1 (12.5)1 (12.5)
General disorders
  General fatigue9 (45.0) 6 (75.0) 3 (25.0)
  Alopecia3 (15.0) 2 (25.0) 1 (8.3)
Skin and subcutaneous disorders
  HFSR18 (90.0)8 (40.0)8 (100.0)6 (75.0)10 (83.3)2 (16.7)
Nervous system disorders
  Peripheral sensory neuropathy2 (10.0) 1 (12.5) 1 (8.3)
Hypertension4 (20.0)1 (5.0)2 (25.0) 2 (16.7)1 (8.3)

[i] AST, aspartate aminotransferase; ALT, alanine aminotransferase; γ-GT, γ-glutamyl transpeptidase; LDH, lactate dehydrogenase; ALP, alkaline phosphatase; HFSR, hand-foot skin reaction.

Discussion

The CORRECT study demonstrated that Reg prolonged the OS of patients with mCRC in the salvage setting compared with best supportive care (14). OS, the primary endpoint, was similar between Japanese and non-Japanese patients, whereas PFS and DCR also improved significantly in both groups. However, the AE profiles of Reg were different, and AEs such as HFSR, hypertension, thrombocytopenia, proteinuria and lipase elevation were observed at a higher rate among Japanese patients. The incidence of grade ≥3 AEs was also higher in the Japanese group, and 1 Japanese patient developed fatal liver dysfunction. The dose intensity of Reg was lower in Japanese compared with that in non-Japanese patients, as dose modifications due to AEs were more frequent in the Japanese group. The rate of treatment discontinuation due to Reg-associated AEs was also higher in the Japanese group (15). When Reg was launched in May, 2013, treatment was initiated at the dose of 160 mg. However, management and determination of the optimal dose was difficult due to AEs. Although the first 8 patients received local skin management, such as controlling the formation of calluses, providing comfort with cushions, and applying local creams, 6 patients developed severe HFSR and 1 patient developed small intestinal hemorrhage. The patients were unable to continue with the subsequent cycles, and they all required hospitalization. Following that, 2 patients deferred Reg and the remaining patients were forced to change the chemotherapy regimen. Reg treatment was then reconsidered, and dosage and Reg-related AEs were investigated. In the CORRECT study, the most frequent grade ≥3 AEs were HFSR, fatigue, diarrhea, hypertension and rash/desquamation. It was reported that these AEs occurred shortly after treatment initiation and quickly increased in severity. For example, the medium time to first occurrence and maximum severity of HFSR was 15 and 22 days in the first cycle, respectively. In this analysis, close monitoring of AEs, particularly during the first several days following the initiation of Reg, and prompt intervention, including dose modification, were strongly recommended in order to manage Reg-related AEs (17). However, as patients with Reg-related HFSR develop painful erythema and tense blisters evolving into callus-like hyperkeratoses (18), they are likely to refuse subsequent treatment if they experience severe symptoms, similar to our patients. Additionally, as there are several patients with poor PS, multiple liver metastases and a number of complications (e.g., diabetes mellitus and hypertension) in clinical practice, a reduced initial dose of Reg was considered. In a phase I study of Reg, the grade ≥3 AEs were fewer with the dose of 120 mg compared with that of 160 mg (43 and 67%, respectively). In the pharmacokinetics analysis of the study, the mean 24-h area under the concentration-time curve after multiple doses of Reg did not exhibit a dose-proportional numerical increase by increasing the administered dose from 120 to 220 mg. On pharmacodynamics analysis, tumor perfusion properties were measured by non-invasive angiogenic imaging using dynamic contrast-enhanced MRI and a ≥40% decrease in tumor perfusion was observed at the dose of 120–220 mg (19). Therefore, the initial dose of 120 mg Reg was selected and increased by 40 mg if the patients did not have any grade 3 or unacceptable AEs. Additionally, in our experience, patients with Reg-related HFSR recover soon if the treatment is interrupted prior to the symptoms becoming severe. Thus, the treatment was interrupted as soon as patients developed any grade 3 or unacceptable AEs, including HFSR with pain, and the dose was reduced by 40 mg (Fig. 1). A total of 12 patients were treated at the dose of 120 mg Reg and only 1 patient developed a grade 3 adverse event. The median RDI in the 120 mg group was similar to that in the 160 mg group. One PR and 6 SD cases were observed in the 120 mg group, with 2 exhibiting morphological changes in their metastatic lesions. It was reported that the onset of cavitation in lung metastases and low tumor density at baseline tended to be correlated with better PFS and OS (20); the duration of the treatment in our 2 cases was 5 and 6.5 months. Based on the results, the morphological changes in the metastases have the potential to become a predictive factor for Reg. Recently, certain investigators recommended a starting Reg dose of 80 mg; however, it remains unclear whether Reg-related AEs develop in a dose- or time-dependent manner. At present, the starting dose of 120 mg Reg is used to clearly evaluate dose- or time-dependent development of AEs. In conclusion, the dose of 160 mg of Reg for patients with mCRC was not fully manageable in the salvage therapy setting. However, an initial dose of 120 mg Reg, with our dose modification methods, was not only effective and tolerable, but also maintained the RDI of Reg. Future investigation is required to confirm the clinical benefit of this treatment, as the present study was retrospective and only included a small number of patients. In addition, patients often experience unexpected AEs in the salvage setting; thus, oncologists must closely monitor the patients' condition.

References

1 

Matsuda A, Matsuda T, Shibata A, Katanoda K, Sobue T and Nishimoto H and Nishimoto H: Japan Cancer Surveillance Research Grou: Cancer incidence and incidence rates in Japan in 2008: A study of 25 population-based cancer registries for the Monitoring of Cancer Incidence in Japan (MCIJ) project. Jpn J Clin Oncol. 44:388–396. 2014. View Article : Google Scholar : PubMed/NCBI

2 

Haggar FA and Boushey RP: Colorectal cancer epidemiology: Incidence, mortality, survival, and risk factors. Clin Colon Rectal Surg. 22:191–197. 2009. View Article : Google Scholar : PubMed/NCBI

3 

Arnold D and Stein A: New developments in the second-line treatment of metastatic colorectal cancer: Potential place in therapy. Drugs. 73:883–891. 2013. View Article : Google Scholar : PubMed/NCBI

4 

Van Cutsem E, Cervantes A, Nordlinger B and Arnold D: ESMO Guidelines Working Group: Metastatic colorectal cancer: ESMO clinical practice guidelines for diagnosis, treatment and follow-up. Ann Oncol. 25:(Suppl 3). iii1–iii9. 2014. View Article : Google Scholar : PubMed/NCBI

5 

Hurwitz H, Fehrenbacher L, Novotny W, Cartwright T, Hainsworth J, Heim W, Berlin J, Baron A, Griffing S, Holmgren E, et al: Bevacizumab plus irinotecan, fluorouracil, and leucovorin for metastatic colorectal cancer. N Engl J Med. 350:2335–2342. 2004. View Article : Google Scholar : PubMed/NCBI

6 

Saltz LB, Clarke S, Díaz-Rubio E, Scheithauer W, Figer A, Wong R, Koski S, Lichinitser M, Yang TS, Rivera F, et al: Bevacizumab in combination with oxaliplatin-based chemotherapy as first-line therapy in metastatic colorectal cancer: A randomized phase III study. J Clin Oncol. 26:2013–2019. 2008. View Article : Google Scholar : PubMed/NCBI

7 

Bokemeyer C, Bondarenko I, Hartmann JT, de Braud F, Schuch G, Zubel A, Celik I, Schlichting M and Koralewski P: Efficacy according to biomarker status of cetuximab plus FOLFOX-4 as first-line treatment for metastatic colorectal cancer: The OPUS study. Ann Oncol. 22:1535–1546. 2011. View Article : Google Scholar : PubMed/NCBI

8 

Van Cutsem E, Köhne CH, Láng I, Folprecht G, Nowacki MP, Cascinu S, Shchepotin I, Maurel J, Cunningham D, Tejper S, et al: Cetuximab plus irinotecan, fluorouracil, and leucovorin as first-line treatment for metastatic colorectal cancer: Updated analysis of overall survival according to tumor KRAS and BRAF mutation status. J Clin Oncol. 29:2011–2019. 2011. View Article : Google Scholar : PubMed/NCBI

9 

Douillard JY, Oliner KS, Siena S, Tabernero J, Burkes R, Barugel M, Humblet Y, Bodoky G, Cunningham D, Jassem J, et al: Panitumumab-FOLFOX4 treatment and RAS mutations in colorectal cancer. N Engl J Med. 369:1023–1034. 2013. View Article : Google Scholar : PubMed/NCBI

10 

Modest DP, Stintzing S, von Weikersthal LF, Decker T, Kiani A, Vehling-Kaiser U, Al-Batran SE, Heintges T, Lerchenmuller C, Kahl C, et al: Impact of subsequent therapies on outcome of the FIRE-3/AIO KRK0306 trial: First-line therapy with FOLFIRI plus cetuximab or bevacizumab in patients with KRAS wild-type tumors in metastatic colorectal cancer. J Clin Oncol. 33:3718–3726. 2015. View Article : Google Scholar : PubMed/NCBI

11 

Venook AP, Niedzwiecki D, Lenz HJ, Innocenti F, Mahoney MR, O'Neil BH, Shaw JM, Polite BN, Hochster HS, Atkins JN, et al: CALGB/SWOG 80405: Phase III trial of irinotecan/5-FU/leucovorin (FOLFIRI) or oxaliplatin/5-FU/leucovorin (mFOLFOX6) with bevacizumab (BV) or cetuximab (CET) for patients (pts) with KRAS wild-type (wt) untreated metastatic adenocarcinoma of the colon or rectum (MCRC). J Clin Oncol. 32:(Suppl; abstr LBA3). 5s2014.

12 

Yamazaki K, Nagase M, Tamagawa H, Ueda S, Murata K Tamura, Tsuda T, Baba E, Tsuda M, Moriwaki T, Esaki T, et al: A randomized phase III trial of mFOLFOX6 plus bevacizumab versus FOLFIRI plus bevacizumab as first-line treatment for metastatic colorectal cancer: West Japan Oncology Group study 4407G (WJOG4407G). J Clin Oncol. 32:(Suppl; abstr 3534). 5s2014.

13 

Schmieder R, Hoffmann J, Becker M, Bhargava A, Müller T, Kahmann N, Ellinghaus P, Adams R, Rosenthal A, Thierauch KH, et al: Regorafenib (BAY 73–4506): Antitumor and antimetastatic activities in preclinical models of colorectal cancer. Int J Cancer. 15:1487–1496. 2014. View Article : Google Scholar

14 

Grothey A, Van Cutsem E, Sobrero A, Siena S, Falcone A, Ychou M, Humblet Y, Bouché O, Mineur L, Barone C, et al: Regorafenib monotherapy for previously treated metastatic colorectal cancer (CORRECT): An international, multicentre, randomised, placebo-controlled, phase 3 trial. Lancet. 381:303–312. 2013. View Article : Google Scholar : PubMed/NCBI

15 

Yoshino T, Komatsu Y, Yamada Y, Yamazaki K, Tsuji A, Ura T, Grothey A, Van Cutsem E, Wagner A, Cihon F, et al: Randomized phase III trial of regorafenib in metastatic colorectal cancer: Analysis of the CORRECT Japanese and non-Japanese subpopulations. Invest New Drugs. 33:740–750. 2015. View Article : Google Scholar : PubMed/NCBI

16 

Li J, Qin S, Xu R, Yau TC, Ma B, Pan H, Xu J, Bai Y, Chi Y, Wang L, et al: Regorafenib plus best supportive care versus placebo plus best supportive care in Asian patients with previously treated metastatic colorectal cancer (CONCUR): A randomised, double-blind, placebo-controlled, phase 3 trial. Lancet Oncol. 16:619–629. 2015. View Article : Google Scholar : PubMed/NCBI

17 

Grothey A, Sobrero AF, Siena S, Falcone A, Ychou M, Humblet Y, Bouche O, Mineur L, Barone C, Adenis A, et al: Time profile of adverse events (AEs) from regorafenib (REG) treatment for metastatic colorectal cancer (mCRC) in the phase III CORRECT study. J Clin Oncol. 31:(Suppl; abstr 3637). 2013.

18 

McLellan B, Ciardiello F, Lacouture ME, Segaert S and Van Cutsem E: Regorafenib-associated hand-foot skin reaction: Practical advice on diagnosis, prevention, and management. Ann Oncol. 26:2017–2026. 2015. View Article : Google Scholar : PubMed/NCBI

19 

Mross K, Frost A, Steinbild S, Hedbom S, Büchert M, Fasol U, Unger C, Krätzschmar J, Heinig R, Boix O, et al: A phase I dose-escalation study of regorafenib (BAY 73–4506), an inhibitor of oncogenic, angiogenic, and stromal kinases, in patients with advanced solid tumors. Clin Cancer Res. 18:2658–2667. 2012. View Article : Google Scholar : PubMed/NCBI

20 

Ricotta R, Sartore-Bianchi A, Verrioli A, Vanzulli A and Siena S: Regorafenib for metastatic colorectal cancer. Lancet. 381:15372013. View Article : Google Scholar : PubMed/NCBI

Related Articles

  • Abstract
  • View
  • Download
  • Twitter
Copy and paste a formatted citation
Spandidos Publications style
Osawa H: Response to regorafenib at an initial dose of 120 mg as salvage therapy for metastatic colorectal cancer. Mol Clin Oncol 6: 365-372, 2017.
APA
Osawa, H. (2017). Response to regorafenib at an initial dose of 120 mg as salvage therapy for metastatic colorectal cancer. Molecular and Clinical Oncology, 6, 365-372. https://doi.org/10.3892/mco.2017.1145
MLA
Osawa, H."Response to regorafenib at an initial dose of 120 mg as salvage therapy for metastatic colorectal cancer". Molecular and Clinical Oncology 6.3 (2017): 365-372.
Chicago
Osawa, H."Response to regorafenib at an initial dose of 120 mg as salvage therapy for metastatic colorectal cancer". Molecular and Clinical Oncology 6, no. 3 (2017): 365-372. https://doi.org/10.3892/mco.2017.1145
Copy and paste a formatted citation
x
Spandidos Publications style
Osawa H: Response to regorafenib at an initial dose of 120 mg as salvage therapy for metastatic colorectal cancer. Mol Clin Oncol 6: 365-372, 2017.
APA
Osawa, H. (2017). Response to regorafenib at an initial dose of 120 mg as salvage therapy for metastatic colorectal cancer. Molecular and Clinical Oncology, 6, 365-372. https://doi.org/10.3892/mco.2017.1145
MLA
Osawa, H."Response to regorafenib at an initial dose of 120 mg as salvage therapy for metastatic colorectal cancer". Molecular and Clinical Oncology 6.3 (2017): 365-372.
Chicago
Osawa, H."Response to regorafenib at an initial dose of 120 mg as salvage therapy for metastatic colorectal cancer". Molecular and Clinical Oncology 6, no. 3 (2017): 365-372. https://doi.org/10.3892/mco.2017.1145
Follow us
  • Twitter
  • LinkedIn
  • Facebook
About
  • Spandidos Publications
  • Careers
  • Cookie Policy
  • Privacy Policy
How can we help?
  • Help
  • Live Chat
  • Contact
  • Email to our Support Team