Spandidos Publications Logo
  • About
    • About Spandidos
    • Aims and Scopes
    • Abstracting and Indexing
    • Editorial Policies
    • Reprints and Permissions
    • Job Opportunities
    • Terms and Conditions
    • Contact
  • Journals
    • All Journals
    • Oncology Letters
      • Oncology Letters
      • Information for Authors
      • Editorial Policies
      • Editorial Board
      • Aims and Scope
      • Abstracting and Indexing
      • Bibliographic Information
      • Archive
    • International Journal of Oncology
      • International Journal of Oncology
      • Information for Authors
      • Editorial Policies
      • Editorial Board
      • Aims and Scope
      • Abstracting and Indexing
      • Bibliographic Information
      • Archive
    • Molecular and Clinical Oncology
      • Molecular and Clinical Oncology
      • Information for Authors
      • Editorial Policies
      • Editorial Board
      • Aims and Scope
      • Abstracting and Indexing
      • Bibliographic Information
      • Archive
    • Experimental and Therapeutic Medicine
      • Experimental and Therapeutic Medicine
      • Information for Authors
      • Editorial Policies
      • Editorial Board
      • Aims and Scope
      • Abstracting and Indexing
      • Bibliographic Information
      • Archive
    • International Journal of Molecular Medicine
      • International Journal of Molecular Medicine
      • Information for Authors
      • Editorial Policies
      • Editorial Board
      • Aims and Scope
      • Abstracting and Indexing
      • Bibliographic Information
      • Archive
    • Biomedical Reports
      • Biomedical Reports
      • Information for Authors
      • Editorial Policies
      • Editorial Board
      • Aims and Scope
      • Abstracting and Indexing
      • Bibliographic Information
      • Archive
    • Oncology Reports
      • Oncology Reports
      • Information for Authors
      • Editorial Policies
      • Editorial Board
      • Aims and Scope
      • Abstracting and Indexing
      • Bibliographic Information
      • Archive
    • Molecular Medicine Reports
      • Molecular Medicine Reports
      • Information for Authors
      • Editorial Policies
      • Editorial Board
      • Aims and Scope
      • Abstracting and Indexing
      • Bibliographic Information
      • Archive
    • World Academy of Sciences Journal
      • World Academy of Sciences Journal
      • Information for Authors
      • Editorial Policies
      • Editorial Board
      • Aims and Scope
      • Abstracting and Indexing
      • Bibliographic Information
      • Archive
    • International Journal of Functional Nutrition
      • International Journal of Functional Nutrition
      • Information for Authors
      • Editorial Policies
      • Editorial Board
      • Aims and Scope
      • Abstracting and Indexing
      • Bibliographic Information
      • Archive
    • International Journal of Epigenetics
      • International Journal of Epigenetics
      • Information for Authors
      • Editorial Policies
      • Editorial Board
      • Aims and Scope
      • Abstracting and Indexing
      • Bibliographic Information
      • Archive
    • Medicine International
      • Medicine International
      • Information for Authors
      • Editorial Policies
      • Editorial Board
      • Aims and Scope
      • Abstracting and Indexing
      • Bibliographic Information
      • Archive
  • Articles
  • Information
    • Information for Authors
    • Information for Reviewers
    • Information for Librarians
    • Information for Advertisers
    • Conferences
  • Language Editing
Spandidos Publications Logo
  • About
    • About Spandidos
    • Aims and Scopes
    • Abstracting and Indexing
    • Editorial Policies
    • Reprints and Permissions
    • Job Opportunities
    • Terms and Conditions
    • Contact
  • Journals
    • All Journals
    • Biomedical Reports
      • Information for Authors
      • Editorial Policies
      • Editorial Board
      • Aims and Scope
      • Abstracting and Indexing
      • Bibliographic Information
      • Archive
    • Experimental and Therapeutic Medicine
      • Information for Authors
      • Editorial Policies
      • Editorial Board
      • Aims and Scope
      • Abstracting and Indexing
      • Bibliographic Information
      • Archive
    • International Journal of Epigenetics
      • Information for Authors
      • Editorial Policies
      • Editorial Board
      • Aims and Scope
      • Abstracting and Indexing
      • Bibliographic Information
      • Archive
    • International Journal of Functional Nutrition
      • Information for Authors
      • Editorial Policies
      • Editorial Board
      • Aims and Scope
      • Abstracting and Indexing
      • Bibliographic Information
      • Archive
    • International Journal of Molecular Medicine
      • Information for Authors
      • Editorial Policies
      • Editorial Board
      • Aims and Scope
      • Abstracting and Indexing
      • Bibliographic Information
      • Archive
    • International Journal of Oncology
      • Information for Authors
      • Editorial Policies
      • Editorial Board
      • Aims and Scope
      • Abstracting and Indexing
      • Bibliographic Information
      • Archive
    • Medicine International
      • Information for Authors
      • Editorial Policies
      • Editorial Board
      • Aims and Scope
      • Abstracting and Indexing
      • Bibliographic Information
      • Archive
    • Molecular and Clinical Oncology
      • Information for Authors
      • Editorial Policies
      • Editorial Board
      • Aims and Scope
      • Abstracting and Indexing
      • Bibliographic Information
      • Archive
    • Molecular Medicine Reports
      • Information for Authors
      • Editorial Policies
      • Editorial Board
      • Aims and Scope
      • Abstracting and Indexing
      • Bibliographic Information
      • Archive
    • Oncology Letters
      • Information for Authors
      • Editorial Policies
      • Editorial Board
      • Aims and Scope
      • Abstracting and Indexing
      • Bibliographic Information
      • Archive
    • Oncology Reports
      • Information for Authors
      • Editorial Policies
      • Editorial Board
      • Aims and Scope
      • Abstracting and Indexing
      • Bibliographic Information
      • Archive
    • World Academy of Sciences Journal
      • Information for Authors
      • Editorial Policies
      • Editorial Board
      • Aims and Scope
      • Abstracting and Indexing
      • Bibliographic Information
      • Archive
  • Articles
  • Information
    • For Authors
    • For Reviewers
    • For Librarians
    • For Advertisers
    • Conferences
  • Language Editing
Login Register Submit
  • This site uses cookies
  • You can change your cookie settings at any time by following the instructions in our Cookie Policy. To find out more, you may read our Privacy Policy.

    I agree
Search articles by DOI, keyword, author or affiliation
Search
Advanced Search
presentation
Molecular and Clinical Oncology
Join Editorial Board Propose a Special Issue
Print ISSN: 2049-9450 Online ISSN: 2049-9469
Journal Cover
March-2017 Volume 6 Issue 3

Full Size Image

Sign up for eToc alerts
Recommend to Library

Journals

International Journal of Molecular Medicine

International Journal of Molecular Medicine

International Journal of Molecular Medicine is an international journal devoted to molecular mechanisms of human disease.

International Journal of Oncology

International Journal of Oncology

International Journal of Oncology is an international journal devoted to oncology research and cancer treatment.

Molecular Medicine Reports

Molecular Medicine Reports

Covers molecular medicine topics such as pharmacology, pathology, genetics, neuroscience, infectious diseases, molecular cardiology, and molecular surgery.

Oncology Reports

Oncology Reports

Oncology Reports is an international journal devoted to fundamental and applied research in Oncology.

Experimental and Therapeutic Medicine

Experimental and Therapeutic Medicine

Experimental and Therapeutic Medicine is an international journal devoted to laboratory and clinical medicine.

Oncology Letters

Oncology Letters

Oncology Letters is an international journal devoted to Experimental and Clinical Oncology.

Biomedical Reports

Biomedical Reports

Explores a wide range of biological and medical fields, including pharmacology, genetics, microbiology, neuroscience, and molecular cardiology.

Molecular and Clinical Oncology

Molecular and Clinical Oncology

International journal addressing all aspects of oncology research, from tumorigenesis and oncogenes to chemotherapy and metastasis.

World Academy of Sciences Journal

World Academy of Sciences Journal

Multidisciplinary open-access journal spanning biochemistry, genetics, neuroscience, environmental health, and synthetic biology.

International Journal of Functional Nutrition

International Journal of Functional Nutrition

Open-access journal combining biochemistry, pharmacology, immunology, and genetics to advance health through functional nutrition.

International Journal of Epigenetics

International Journal of Epigenetics

Publishes open-access research on using epigenetics to advance understanding and treatment of human disease.

Medicine International

Medicine International

An International Open Access Journal Devoted to General Medicine.

Journal Cover
March-2017 Volume 6 Issue 3

Full Size Image

Sign up for eToc alerts
Recommend to Library

  • Article
  • Citations
    • Cite This Article
    • Download Citation
    • Create Citation Alert
    • Remove Citation Alert
    • Cited By
  • Similar Articles
    • Related Articles (in Spandidos Publications)
    • Similar Articles (Google Scholar)
    • Similar Articles (PubMed)
  • Download PDF
  • Download XML
  • View XML
Article

Pilomatrix carcinoma: More malignant biological behavior than was considered in the past

  • Authors:
    • Marios Papadakis
    • Eelco de Bree
    • Nikolaos Floros
    • Elpida Giannikaki
    • Athina Xekalou
    • Andreas Manios
  • View Affiliations / Copyright

    Affiliations: Department of Plastic Surgery, Helios Clinic Wuppertal, University Hospital Witten-Herdecke, D-42283 Wuppertal, Germany, Department of Surgical Oncology, University Hospital of Crete, 71110 Heraklion, Greece, Department of Surgery, University Hospital Witten-Herdecke, D-42283 Wuppertal, Germany, Department of Pathology, General Hospital ‘Venizeleio and Pananio’, 71409 Heraklion, Greece
  • Pages: 415-418
    |
    Published online on: February 2, 2017
       https://doi.org/10.3892/mco.2017.1148
  • Expand metrics +
Metrics: Total Views: 0 (Spandidos Publications: | PMC Statistics: )
Metrics: Total PDF Downloads: 0 (Spandidos Publications: | PMC Statistics: )
Cited By (CrossRef): 0 citations Loading Articles...

This article is mentioned in:



Abstract

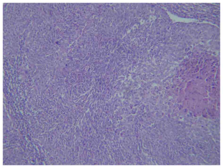
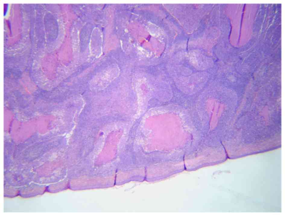
Pilomatrix carcinoma is a very rare malignancy, with ~130 cases reported in the literature. In the past, pilomatrix carcinoma was considered to be a low-grade malignant tumor. Currently, however, its significant recurrence and metastatic potential has been well documented. Lymph node and systemic metastases are frequently observed. Wide surgical excision of the primary lesion is the principal modality of treatment, whereas adjuvant radiotherapy may be beneficial in local tumor control. Lymph node metastases may be treated surgically or with radiotherapy. Systemic disease is not responsive to chemotherapy, and is hence associated with a poor prognosis. Since the majority of nodal and systemic metastases present after the initial diagnosis and treatment, follow-up examinations of these patients may be warranted, despite the currently inadequate treatment options. In the present study, a case of pilomatrix carcinoma of the parotid region with early local recurrence only 2 months after complete excision with negative surgical margins is reported. The local recurrence was treated by excision and radiotherapy. The associated literature is also discussed.
View Figures

Figure 1

Figure 2

Figure 3

View References

1 

Malherbe A and Chenantais J: Sur l'epithelioma calcifie des glandes sebacees. Progr Med. 8:826–828. 1880.

2 

Dubreuilh W and Cazenave E: De l'epithelioma calcifie: Etude histologique. Ann Dermatol Syphilol. 3:257–268. 1922.

3 

Forbis R Jr and Helwig EB: Pilomatrixoma (calcifying epithelioma). Arch Dermatol. 83:606–618. 1961. View Article : Google Scholar : PubMed/NCBI

4 

Lopansri S and Mihm MC Jr: Pilomatrix carcinoma or calcifying epitheliocarcinoma of Malherbe: A case report and review of literature. Cancer. 45:2368–2373. 1980. View Article : Google Scholar : PubMed/NCBI

5 

Nishioka M, Tanemura A, Yamanaka T, Tani M, Miura H, Asakura M, Tamai N and Katayama I: Pilomatrix carcinoma arising from pilomatricoma after 10-year senescent period: Immunohistochemical analysis. J Dermatol. 37:735–739. 2010. View Article : Google Scholar : PubMed/NCBI

6 

Sau P, Lupton GP and Graham JH: Pilomatrix carcinoma. Cancer. 71:2491–2498. 1993. View Article : Google Scholar : PubMed/NCBI

7 

Herrmann JL, Allan A, Trapp KM and Morgan MB: Pilomatrix carcinoma: 13 new cases and review of the literature with emphasis on predictors of metastasis. J Am Acad Dermatol. 71:38–43.e2. 2014. View Article : Google Scholar : PubMed/NCBI

8 

Kaddu S, Soyer HP, Wolf IH and Kerl H: Proliferating pilomatricoma. A histopathologic simulator of matrical carcinoma. J Cutan Pathol. 24:228–234. 1997. View Article : Google Scholar : PubMed/NCBI

9 

Tselis N, Heyd R, Vogt HG and Zamboglou N: Pilomatrix carcinoma with lymph node and pulmonary metastases. Strahlenther Onkol. 182:727–732. 2006. View Article : Google Scholar : PubMed/NCBI

10 

Bassarova A, Nesland JM, Sedloev T, Danielsen H and Christova S: Pilomatrix carcinoma with lymph node metastases. J Cutan Pathol. 31:330–335. 2004. View Article : Google Scholar : PubMed/NCBI

11 

Autelitano L, Biglioli F, Migliori G and Colletti G: Pilomatrix carcinoma with visceral metastases: Case report and review of the literature. J Plast Reconstr Aesthet Surg. 62:e574–e577. 2009. View Article : Google Scholar : PubMed/NCBI

12 

Hardisson D, Linares MD, Cuevas-Santos J and Contreras F: Pilomatrix carcinoma: A clinicopathologic study of six cases and review of the literature. Am J Dermatopathol. 23:394–401. 2001. View Article : Google Scholar : PubMed/NCBI

13 

Mikhaeel NG and Spittle MF: Malignant pilomatrixoma with multiple local recurrences and distant metastases: A case report and review of the literature. Clin Oncol (R Coll Radiol). 13:386–389. 2001. View Article : Google Scholar : PubMed/NCBI

14 

Lan MY, Lan MC, Ho CY, Li WY and Lin CZ: Pilomatricoma of the head and neck: A retrospective review of 179 cases. Arch Otolaryngol Head Neck Surg. 129:1327–1330. 2003. View Article : Google Scholar : PubMed/NCBI

15 

Manivel C, Wick MR and Mukai K: Pilomatrix carcinoma: An immunohistochemical comparison with benign pilomatrixoma and other benign cutaneous lesions of pilar origin. J Cutan Pathol. 13:22–29. 1986. View Article : Google Scholar : PubMed/NCBI

16 

Waxtein L, Vega E, Alvarez L, Cortes-Franco R, Hojyo T and Dominguez-Soto L: Malignant pilomatricoma: A case report. Int J Dermatol. 37:538–540. 1998. View Article : Google Scholar : PubMed/NCBI

17 

Liu JF, Li B, Fan ZX, Jiao T, Li C, Qin S, Lang JY and Chen JX: Pilomatrix carcinoma on the left side of the parotid region: A case report and review of the literature. Oncol Lett. 10:313–316. 2015.PubMed/NCBI

18 

Jani P, Chetty R and Ghazarian DM: An unusual composite pilomatrix carcinoma with intralesional melanocytes: Differential diagnosis, immunohistochemical evaluation, and review of the literature. Am J Dermatopathol. 30:174–177. 2008. View Article : Google Scholar : PubMed/NCBI

19 

Scheinfeld N: Pilomatrical carcinoma: A case in a patient with HIV and hepatitis C. Dermatol Online J. 14:42008.

20 

Kondo T and Tanaka Y: Malignant pilomatricoma in the parietal area. Pathol Oncol Res. 12:251–253. 2006. View Article : Google Scholar : PubMed/NCBI

21 

Bhasker S, Bajpai V, Bahl A and Kalyanakuppam S: Recurrent pilomatrix carcinoma of scalp treated by electron beam radiation therapy. Indian J Cancer. 47:217–219. 2010. View Article : Google Scholar : PubMed/NCBI

22 

Fujiwara T, Yamamoto H and Hashiro M: Malignant pilomatricoma. Scand J Plast Reconstr Surg Hand Surg. 36:119–121. 2002. View Article : Google Scholar : PubMed/NCBI

23 

Sable D and Snow SN: Pilomatrix carcinoma of the back treated by mohs micrographic surgery. Dermatol Surg. 30:1174–1176. 2004. View Article : Google Scholar : PubMed/NCBI

24 

Tawfiq N, Lakhrib N, Mharech A, Benchakroun N, Benider A, Benkirane A, Zamiati S, Mansouri I, Roubal M, Fatmi ME Kadiri, et al: Malignant pilomatrixoma of head and neck. A case report. Cancer Radiother. 14:198–201. 2010.(In French). View Article : Google Scholar : PubMed/NCBI

Related Articles

  • Abstract
  • View
  • Download
  • Twitter
Copy and paste a formatted citation
Spandidos Publications style
Papadakis M, de Bree E, Floros N, Giannikaki E, Xekalou A and Manios A: Pilomatrix carcinoma: More malignant biological behavior than was considered in the past. Mol Clin Oncol 6: 415-418, 2017.
APA
Papadakis, M., de Bree, E., Floros, N., Giannikaki, E., Xekalou, A., & Manios, A. (2017). Pilomatrix carcinoma: More malignant biological behavior than was considered in the past. Molecular and Clinical Oncology, 6, 415-418. https://doi.org/10.3892/mco.2017.1148
MLA
Papadakis, M., de Bree, E., Floros, N., Giannikaki, E., Xekalou, A., Manios, A."Pilomatrix carcinoma: More malignant biological behavior than was considered in the past". Molecular and Clinical Oncology 6.3 (2017): 415-418.
Chicago
Papadakis, M., de Bree, E., Floros, N., Giannikaki, E., Xekalou, A., Manios, A."Pilomatrix carcinoma: More malignant biological behavior than was considered in the past". Molecular and Clinical Oncology 6, no. 3 (2017): 415-418. https://doi.org/10.3892/mco.2017.1148
Copy and paste a formatted citation
x
Spandidos Publications style
Papadakis M, de Bree E, Floros N, Giannikaki E, Xekalou A and Manios A: Pilomatrix carcinoma: More malignant biological behavior than was considered in the past. Mol Clin Oncol 6: 415-418, 2017.
APA
Papadakis, M., de Bree, E., Floros, N., Giannikaki, E., Xekalou, A., & Manios, A. (2017). Pilomatrix carcinoma: More malignant biological behavior than was considered in the past. Molecular and Clinical Oncology, 6, 415-418. https://doi.org/10.3892/mco.2017.1148
MLA
Papadakis, M., de Bree, E., Floros, N., Giannikaki, E., Xekalou, A., Manios, A."Pilomatrix carcinoma: More malignant biological behavior than was considered in the past". Molecular and Clinical Oncology 6.3 (2017): 415-418.
Chicago
Papadakis, M., de Bree, E., Floros, N., Giannikaki, E., Xekalou, A., Manios, A."Pilomatrix carcinoma: More malignant biological behavior than was considered in the past". Molecular and Clinical Oncology 6, no. 3 (2017): 415-418. https://doi.org/10.3892/mco.2017.1148
Follow us
  • Twitter
  • LinkedIn
  • Facebook
About
  • Spandidos Publications
  • Careers
  • Cookie Policy
  • Privacy Policy
How can we help?
  • Help
  • Live Chat
  • Contact
  • Email to our Support Team