Spandidos Publications Logo
  • About
    • About Spandidos
    • Aims and Scopes
    • Abstracting and Indexing
    • Editorial Policies
    • Reprints and Permissions
    • Job Opportunities
    • Terms and Conditions
    • Contact
  • Journals
    • All Journals
    • Oncology Letters
      • Oncology Letters
      • Information for Authors
      • Editorial Policies
      • Editorial Board
      • Aims and Scope
      • Abstracting and Indexing
      • Bibliographic Information
      • Archive
    • International Journal of Oncology
      • International Journal of Oncology
      • Information for Authors
      • Editorial Policies
      • Editorial Board
      • Aims and Scope
      • Abstracting and Indexing
      • Bibliographic Information
      • Archive
    • Molecular and Clinical Oncology
      • Molecular and Clinical Oncology
      • Information for Authors
      • Editorial Policies
      • Editorial Board
      • Aims and Scope
      • Abstracting and Indexing
      • Bibliographic Information
      • Archive
    • Experimental and Therapeutic Medicine
      • Experimental and Therapeutic Medicine
      • Information for Authors
      • Editorial Policies
      • Editorial Board
      • Aims and Scope
      • Abstracting and Indexing
      • Bibliographic Information
      • Archive
    • International Journal of Molecular Medicine
      • International Journal of Molecular Medicine
      • Information for Authors
      • Editorial Policies
      • Editorial Board
      • Aims and Scope
      • Abstracting and Indexing
      • Bibliographic Information
      • Archive
    • Biomedical Reports
      • Biomedical Reports
      • Information for Authors
      • Editorial Policies
      • Editorial Board
      • Aims and Scope
      • Abstracting and Indexing
      • Bibliographic Information
      • Archive
    • Oncology Reports
      • Oncology Reports
      • Information for Authors
      • Editorial Policies
      • Editorial Board
      • Aims and Scope
      • Abstracting and Indexing
      • Bibliographic Information
      • Archive
    • Molecular Medicine Reports
      • Molecular Medicine Reports
      • Information for Authors
      • Editorial Policies
      • Editorial Board
      • Aims and Scope
      • Abstracting and Indexing
      • Bibliographic Information
      • Archive
    • World Academy of Sciences Journal
      • World Academy of Sciences Journal
      • Information for Authors
      • Editorial Policies
      • Editorial Board
      • Aims and Scope
      • Abstracting and Indexing
      • Bibliographic Information
      • Archive
    • International Journal of Functional Nutrition
      • International Journal of Functional Nutrition
      • Information for Authors
      • Editorial Policies
      • Editorial Board
      • Aims and Scope
      • Abstracting and Indexing
      • Bibliographic Information
      • Archive
    • International Journal of Epigenetics
      • International Journal of Epigenetics
      • Information for Authors
      • Editorial Policies
      • Editorial Board
      • Aims and Scope
      • Abstracting and Indexing
      • Bibliographic Information
      • Archive
    • Medicine International
      • Medicine International
      • Information for Authors
      • Editorial Policies
      • Editorial Board
      • Aims and Scope
      • Abstracting and Indexing
      • Bibliographic Information
      • Archive
  • Articles
  • Information
    • Information for Authors
    • Information for Reviewers
    • Information for Librarians
    • Information for Advertisers
    • Conferences
  • Language Editing
Spandidos Publications Logo
  • About
    • About Spandidos
    • Aims and Scopes
    • Abstracting and Indexing
    • Editorial Policies
    • Reprints and Permissions
    • Job Opportunities
    • Terms and Conditions
    • Contact
  • Journals
    • All Journals
    • Biomedical Reports
      • Information for Authors
      • Editorial Policies
      • Editorial Board
      • Aims and Scope
      • Abstracting and Indexing
      • Bibliographic Information
      • Archive
    • Experimental and Therapeutic Medicine
      • Information for Authors
      • Editorial Policies
      • Editorial Board
      • Aims and Scope
      • Abstracting and Indexing
      • Bibliographic Information
      • Archive
    • International Journal of Epigenetics
      • Information for Authors
      • Editorial Policies
      • Editorial Board
      • Aims and Scope
      • Abstracting and Indexing
      • Bibliographic Information
      • Archive
    • International Journal of Functional Nutrition
      • Information for Authors
      • Editorial Policies
      • Editorial Board
      • Aims and Scope
      • Abstracting and Indexing
      • Bibliographic Information
      • Archive
    • International Journal of Molecular Medicine
      • Information for Authors
      • Editorial Policies
      • Editorial Board
      • Aims and Scope
      • Abstracting and Indexing
      • Bibliographic Information
      • Archive
    • International Journal of Oncology
      • Information for Authors
      • Editorial Policies
      • Editorial Board
      • Aims and Scope
      • Abstracting and Indexing
      • Bibliographic Information
      • Archive
    • Medicine International
      • Information for Authors
      • Editorial Policies
      • Editorial Board
      • Aims and Scope
      • Abstracting and Indexing
      • Bibliographic Information
      • Archive
    • Molecular and Clinical Oncology
      • Information for Authors
      • Editorial Policies
      • Editorial Board
      • Aims and Scope
      • Abstracting and Indexing
      • Bibliographic Information
      • Archive
    • Molecular Medicine Reports
      • Information for Authors
      • Editorial Policies
      • Editorial Board
      • Aims and Scope
      • Abstracting and Indexing
      • Bibliographic Information
      • Archive
    • Oncology Letters
      • Information for Authors
      • Editorial Policies
      • Editorial Board
      • Aims and Scope
      • Abstracting and Indexing
      • Bibliographic Information
      • Archive
    • Oncology Reports
      • Information for Authors
      • Editorial Policies
      • Editorial Board
      • Aims and Scope
      • Abstracting and Indexing
      • Bibliographic Information
      • Archive
    • World Academy of Sciences Journal
      • Information for Authors
      • Editorial Policies
      • Editorial Board
      • Aims and Scope
      • Abstracting and Indexing
      • Bibliographic Information
      • Archive
  • Articles
  • Information
    • For Authors
    • For Reviewers
    • For Librarians
    • For Advertisers
    • Conferences
  • Language Editing
Login Register Submit
  • This site uses cookies
  • You can change your cookie settings at any time by following the instructions in our Cookie Policy. To find out more, you may read our Privacy Policy.

    I agree
Search articles by DOI, keyword, author or affiliation
Search
Advanced Search
presentation
Molecular and Clinical Oncology
Join Editorial Board Propose a Special Issue
Print ISSN: 2049-9450 Online ISSN: 2049-9469
Journal Cover
June-2017 Volume 6 Issue 6

Full Size Image

Sign up for eToc alerts
Recommend to Library

Journals

International Journal of Molecular Medicine

International Journal of Molecular Medicine

International Journal of Molecular Medicine is an international journal devoted to molecular mechanisms of human disease.

International Journal of Oncology

International Journal of Oncology

International Journal of Oncology is an international journal devoted to oncology research and cancer treatment.

Molecular Medicine Reports

Molecular Medicine Reports

Covers molecular medicine topics such as pharmacology, pathology, genetics, neuroscience, infectious diseases, molecular cardiology, and molecular surgery.

Oncology Reports

Oncology Reports

Oncology Reports is an international journal devoted to fundamental and applied research in Oncology.

Experimental and Therapeutic Medicine

Experimental and Therapeutic Medicine

Experimental and Therapeutic Medicine is an international journal devoted to laboratory and clinical medicine.

Oncology Letters

Oncology Letters

Oncology Letters is an international journal devoted to Experimental and Clinical Oncology.

Biomedical Reports

Biomedical Reports

Explores a wide range of biological and medical fields, including pharmacology, genetics, microbiology, neuroscience, and molecular cardiology.

Molecular and Clinical Oncology

Molecular and Clinical Oncology

International journal addressing all aspects of oncology research, from tumorigenesis and oncogenes to chemotherapy and metastasis.

World Academy of Sciences Journal

World Academy of Sciences Journal

Multidisciplinary open-access journal spanning biochemistry, genetics, neuroscience, environmental health, and synthetic biology.

International Journal of Functional Nutrition

International Journal of Functional Nutrition

Open-access journal combining biochemistry, pharmacology, immunology, and genetics to advance health through functional nutrition.

International Journal of Epigenetics

International Journal of Epigenetics

Publishes open-access research on using epigenetics to advance understanding and treatment of human disease.

Medicine International

Medicine International

An International Open Access Journal Devoted to General Medicine.

Journal Cover
June-2017 Volume 6 Issue 6

Full Size Image

Sign up for eToc alerts
Recommend to Library

  • Article
  • Citations
    • Cite This Article
    • Download Citation
    • Create Citation Alert
    • Remove Citation Alert
    • Cited By
  • Similar Articles
    • Related Articles (in Spandidos Publications)
    • Similar Articles (Google Scholar)
    • Similar Articles (PubMed)
  • Download PDF
  • Download XML
  • View XML
Case Report

Salivary duct carcinoma treated with cetuximab-based targeted therapy: A case report

  • Authors:
    • Kenta Kawahara
    • Akimitsu Hiraki
    • Ryoji Yoshida
    • Hidetaka Arita
    • Yuichiro Matsuoka
    • Toshio Yamashita
    • Kan‑Ichi Koga
    • Masashi Nagata
    • Akiyuki Hirosue
    • Daiki Fukuma
    • Hideki Nakayama
  • View Affiliations / Copyright

    Affiliations: Department of Oral and Maxillofacial Surgery, Sensory and Motor Organ Sciences, Faculty of Life Sciences, Kumamoto University, Kumamoto 860‑8556, Japan, Division of Oral Oncology, Department of Oral and Maxillofacial Surgery, Fukuoka Dental College, Fukuoka 814‑0193, Japan, Department of Oral and Maxillofacial Surgery, Amakusa Central General Hospital, Amakusa, Kumamoto 863‑0033, Japan
  • Pages: 886-892
    |
    Published online on: April 21, 2017
       https://doi.org/10.3892/mco.2017.1226
  • Expand metrics +
Metrics: Total Views: 0 (Spandidos Publications: | PMC Statistics: )
Metrics: Total PDF Downloads: 0 (Spandidos Publications: | PMC Statistics: )
Cited By (CrossRef): 0 citations Loading Articles...

This article is mentioned in:



Abstract

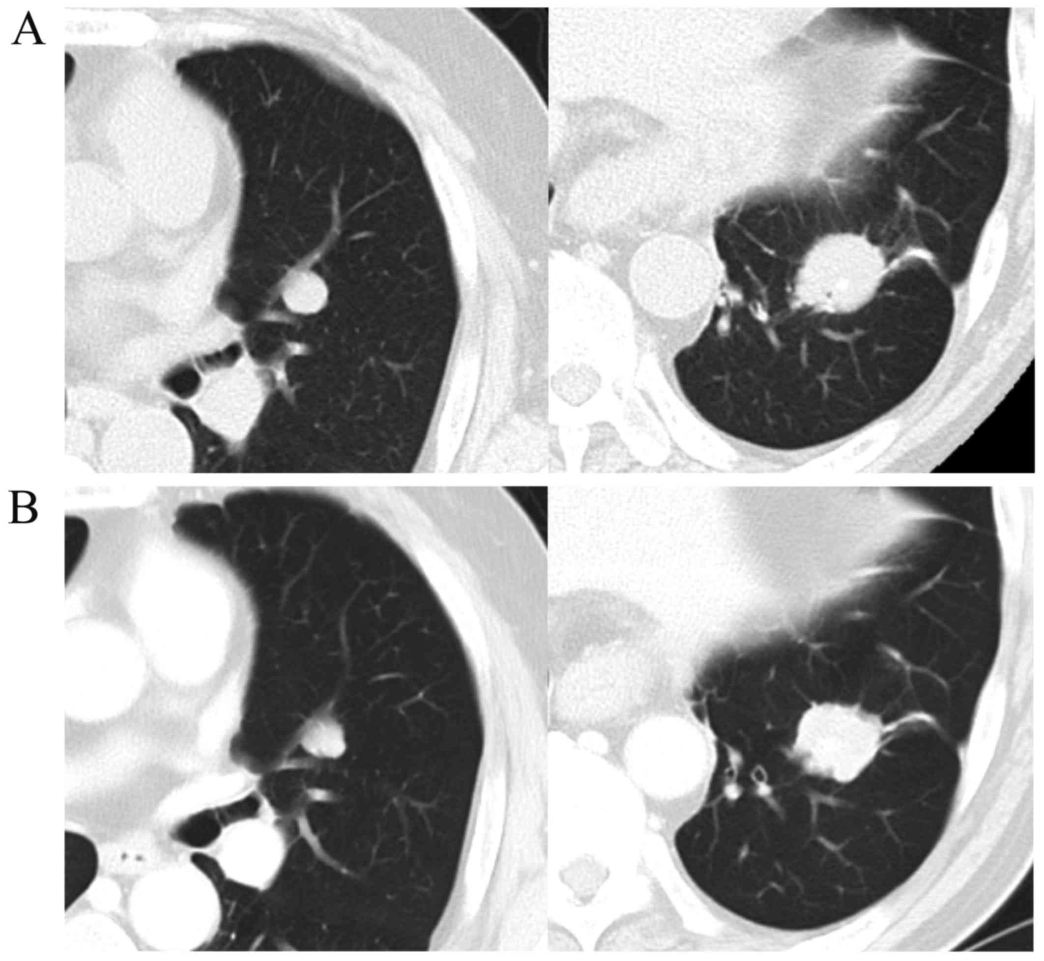
Salivary duct carcinoma is a highly aggressive disease with a poor prognosis. Surgical resection is currently the only curative treatment, as there is no effective systemic therapy for this malignancy. Recently, trastuzumab has been shown to exhibit therapeutic efficacy in the treatment of salivary duct carcinoma; similarly, molecularly targeted agents, such as cetuximab, are expected to be useful for salivary duct carcinoma treatment. We herein describe the case of a 56-year-old man diagnosed with salivary duct carcinoma in the left submandibular region, with ipsilateral multiple metastases to the neck lymph nodes. Radical resection of the tumor and submandibular gland with neck dissection were performed. One month after radical surgery, computed tomography (CT) scans indicated metastasis in the lower lobe of the left lung. CT‑guided transthoracic fine‑needle aspiration biopsy revealed a single metastasis and lung metastasectomy was immediately performed. The tumor cells of the primary lesion and those of the lung metastasis were immunohistochemically positive for epidermal growth factor receptor. One month later, multiple right lung metastases appeared, and the patient was treated with cisplatin/5‑fluorouracil (5‑FU) chemotherapy plus cetuximab, achieving a complete radiographic response. However, multiple lung metastases developed during adjuvant weekly cetuximab monotherapy. Subsequently, treatment with S‑1 and weekly cetuximab was initiated, and the multiple lung metastases have been maintained as stable disease for 5 months. To the best of our knowledge, this is the first report of cetuximab use for the treatment of salivary duct carcinoma. Although cisplatin/5‑FU chemotherapy plus cetuximab was efficacious in treating the lung metastasis, cetuximab monotherapy was insufficient for controlling tumor growth.
View Figures

Figure 1

Figure 2

Figure 3

Figure 4

View References

1 

Gal R, Strauss M, Zohar Y and Kessler E: Salivary duct carcinoma of the parotid gland. Cytologic and histopathologic study. Acta Cytol. 29:454–456. 1985.PubMed/NCBI

2 

Jaehne M, Roeser K, Jaekel T, Schepers JD, Albert N and Löning T: Clinical and immunohistologic typing of salivary duct carcinoma: A report of 50 cases. Cancer. 103:2526–2533. 2005. View Article : Google Scholar : PubMed/NCBI

3 

Seifert G, Batsakis J, Brocheriou C, Cardesa A, Dardick I and Ellis G: World Health Organization. Histological typing of salivary gland tumors. 2nd. New York: Springer; 1991, View Article : Google Scholar

4 

Seifert G and Caselitz J: Epithelial salivary gland tumors: Tumor markersFenoglio-Preiser CM, Wolff M and Rilke F: Progress in surgical pathology. New York: Field & Wood; pp. 157–187. 1989, View Article : Google Scholar

5 

Barnes L, Eveson J, Reichart P and Sidranksky D: World Health Organization Classification of TumoursPathology and genetics of head and neck tumours. Lyon: IARC Press; pp. 236–237. 2005

6 

McHugh JB, Visscher DW and Barnes EL: Update on selected salivary gland neoplasms. Arch Pathol Lab Med. 133:1763–1774. 2009.PubMed/NCBI

7 

Shinoto M, Shioyama Y, Nakamura K, Nakashima T, Kunitake N, Higaki Y, Sasaki T, Ohga S, Yoshitake T, Ohnishi K, et al: Postoperative radiotherapy in patients with salivary duct carcinoma: Clinical outcomes and prognostic factors. J Radiat Res. 54:925–930. 2013. View Article : Google Scholar : PubMed/NCBI

8 

Kim JY, Lee S, Cho KJ, Kim SY, Nam SY, Choi SH, Roh JL, Choi EK, Kim JH, Song SY, et al: Treatment results of post-operative radiotherapy in patients with salivary duct carcinoma of the major salivary glands. Br J Radiol. 85:e947–e952. 2012. View Article : Google Scholar : PubMed/NCBI

9 

Johnston ML, Huang SH, Waldron JN, Atenafu EG, Chan K, Cummings BJ, Gilbert RW, Goldstein D, Gullane PJ, Irish JC, et al: Salivary duct carcinoma: Treatment, outcomes, and patterns of failure. Head Neck. 8 Suppl 1:E820–E826. 2016. View Article : Google Scholar

10 

Salovaara E, Hakala O, Bäck L, Koivunen P, Saarilahti K, Passador-Santos F, Leivo I and Mäkitie AA: Management and outcome of salivary duct carcinoma in major salivary glands. Eur Arch Otorhinolaryngol. 270:281–285. 2013. View Article : Google Scholar : PubMed/NCBI

11 

Weon YC, Park SW, Kim HJ, Jeong HS, Ko YH, Park IS, Kim ST, Baek CH and Son YI: Salivary duct carcinomas: Clinical and CT and MR imaging features in 20 patients. Neuroradiology. 54:631–640. 2012. View Article : Google Scholar : PubMed/NCBI

12 

Roh JL, Cho KJ, Kwon GY, Choi SH, Nam SY and Kim SY: Prognostic values of pathologic findings and hypoxia markers in 21 patients with salivary duct carcinoma. J Surg Oncol. 97:596–600. 2008. View Article : Google Scholar : PubMed/NCBI

13 

Falchook GS, Lippman SM, Bastida CC and Kurzrock R: Human epidermal receptor 2-amplified salivary duct carcinoma: Regression with dual human epidermal receptor 2 inhibition and anti-vascular endothelial growth factor combination treatment. Head Neck. 36:E25–E27. 2014. View Article : Google Scholar : PubMed/NCBI

14 

Xie S, Yang H, Bredell M, Shen S, Yang H, Jin L and Zhang S: Salivary duct carcinoma of the parotid gland: A case report and review of the literature. Oncol Lett. 9:371–374. 2015.PubMed/NCBI

15 

Lee JS, Kwon OJ, Park JJ and Seo JH: Salivary duct carcinoma of the parotid gland: Is adjuvant HER-2-targeted therapy required? J Oral Maxillofac Surg. 72:1023–1031. 2014. View Article : Google Scholar : PubMed/NCBI

16 

Limaye SA, Posner MR, Krane JF, Fonfria M, Lorch JH, Dillon DA, Shreenivas AV, Tishler RB and Haddad RI: Trastuzumab for the treatment of salivary duct carcinoma. Oncologist. 18:294–300. 2013. View Article : Google Scholar : PubMed/NCBI

17 

Fan CY, Melhem MF, Hosal AS, Grandis JR and Barnes EL: Expression of androgen receptor, epidermal growth factor receptor, and transforming growth factor alpha in salivary duct carcinoma. Arch Otolaryngol Head Neck Surg. 127:1075–1079. 2001. View Article : Google Scholar : PubMed/NCBI

18 

Williams MD, Roberts D, Blumenschein GR Jr, Temam S, Kies MS, Rosenthal DI, Weber RS and El-Naggar AK: Differential expression of hormonal and growth factor receptors in salivary duct carcinomas: Biologic significance and potential role in therapeutic stratification of patients. Am J Surg Path. 31:1645–1652. 2007. View Article : Google Scholar : PubMed/NCBI

19 

Williams MD, Roberts DB, Kies MS, Mao L, Weber RS and El-Naggar AK: Genetic and expression analysis of HER-2 and EGFR genes in salivary duct carcinoma: Empirical and therapeutic significance. Clin Cancer Res. 16:2266–2274. 2010. View Article : Google Scholar : PubMed/NCBI

20 

Locati LD, Bossi P, Perrone F, Potepan P, Crippa F, Mariani L, Casieri P, Orsenigo M, Losa M, Bergamini C, et al: Cetuximab in recurrent and/or metastatic salivary gland carcinomas: A phase II study. Oral Oncol. 45:574–578. 2009. View Article : Google Scholar : PubMed/NCBI

21 

Seifert G, Brocheriou C, Cardesa A and Eveson JW: WHO International histological classification of tumours. Tentative histological classification of salivary gland tumours. Pathol Res Pract. 186:555–581. 1990. View Article : Google Scholar : PubMed/NCBI

22 

Vermorken JB, Mesia R, Rivera F, Remenar E, Kawecki A, Rottey S, Rottey S, Erfan J, Zabolotnyy D, Kienzer HR, et al: Platinum-based chemotherapy plus cetuximab in head and neck cancer. New Engl J Med. 359:1116–1127. 2008. View Article : Google Scholar : PubMed/NCBI

23 

Guo Y, Shi M, Yang A, Feng J, Zhu X, Choi YJ, Hu G, Pan J, Hu C, Luo R, et al: Platinum-based chemotherapy plus cetuximab first-line for Asian patients with recurrent and/or metastatic squamous cell carcinoma of the head and neck: Results of an open-label, single-arm, multicenter trial. Head Neck. 37:1081–1087. 2015. View Article : Google Scholar : PubMed/NCBI

24 

Tsukahara K, Kubota A, Hasegawa Y, Takemura H, Terada T, Taguchi T, Nagahara K, Nakatani H, Yoshino K, Higaki Y, et al: Randomized phase III trial of adjuvant chemotherapy with S-1 after curative treatment in patients with squamous-cell carcinoma of the head and neck (ACTS-HNC). PLoS One. 10:e01169652015. View Article : Google Scholar : PubMed/NCBI

25 

Kleinsasser O, Klein HJ and Hubner G: Salivary duct carcinoma. A group of salivary gland tumors analogous to mammary duct carcinoma. Arch Klin Exp Ohren Nasen Kehlkopfheilkd. 192:100–105. 1968.(In German). View Article : Google Scholar : PubMed/NCBI

26 

Adelstein DJ, Koyfman SA, El-Naggar AK and Hanna EY: Biology and management of salivary gland cancers. Semin Radiat Oncol. 22:245–253. 2012. View Article : Google Scholar : PubMed/NCBI

27 

Barnes L, Rao U, Krause J, Contis L, Schwartz A and Scalamogna P: Salivary duct carcinoma. Part I. A clinicopathologic evaluation and DNA image analysis of 13 cases with review of the literature. Oral Surg Oral Med Oral Pathol. 78:64–73. 1994. View Article : Google Scholar : PubMed/NCBI

28 

Guzzo M, Di Palma S, Grandi C and Molinari R: Salivary duct carcinoma: Clinical characteristics and treatment strategies. Head Neck. 19:126–133. 1997. View Article : Google Scholar : PubMed/NCBI

29 

Airoldi M, Fornari G, Pedani F, Marchionatti S, Gabriele P, Succo G and Bumma C: Paclitaxel and carboplatin for recurrent salivary gland malignancies. Anticancer Res. 20:3781–3783. 2000.PubMed/NCBI

30 

Surakanti SG and Agulnik M: Salivary gland malignancies: The role for chemotherapy and molecular targeted agents. Semin Oncol. 35:309–319. 2008. View Article : Google Scholar : PubMed/NCBI

31 

Dimery IW, Legha SS, Shirinian M and Hong WK: Fluorouracil, doxorubicin, cyclophosphamide, and cisplatin combination chemotherapy in advanced or recurrent salivary gland carcinoma. J Clin Oncol. 8:1056–1062. 1990. View Article : Google Scholar : PubMed/NCBI

32 

Lagha A, Chraiet N, Ayadi M, Krimi S, Allani B, Rifi H, Raies H and Mezlini A: Systemic therapy in the management of metastatic or advanced salivary gland cancers. Oral Oncol. 48:948–957. 2012. View Article : Google Scholar : PubMed/NCBI

33 

Bobbio A, Copelli C, Ampollini L, Bianchi B, Carbognani P, Bettati S, Sesenna E and Rusca M: Lung metastasis resection of adenoid cystic carcinoma of salivary glands. Eur J Cardiothorac Surg. 33:790–793. 2008. View Article : Google Scholar : PubMed/NCBI

34 

Liu D, Labow DM, Dang N, Martini N, Bains M, Burt M, Downey R Jr, Rusch V, Shah J and Ginsberg RJ: Pulmonary metastasectomy for head and neck cancers. Ann Surg Oncol. 6:572–578. 1999. View Article : Google Scholar : PubMed/NCBI

35 

Kaidar-Person O, Billan S and Kuten A: Targeted therapy with trastuzumab for advanced salivary ductal carcinoma: Case report and literature review. Med Oncol. 29:704–706. 2012. View Article : Google Scholar : PubMed/NCBI

36 

Nabili V, Tan JW, Bhuta S, Sercarz JA and Head CS: Salivary duct carcinoma: A clinical and histologic review with implications for trastuzumab therapy. Head Neck. 29:907–912. 2007. View Article : Google Scholar : PubMed/NCBI

37 

Prat A, Parera M, Reyes V, Peralta S, Cedrés S, Andreu J, Huguet P and del Campo JM: Successful treatment of pulmonary metastatic salivary ductal carcinoma with trastuzumab-based therapy. Head Neck. 30:680–683. 2008. View Article : Google Scholar : PubMed/NCBI

38 

Ettl T, Stiegler C, Zeitler K, Agaimy A, Zenk J, Reichert TE, Gosau M, Kühnel T, Brockhoff G and Schwarz S: EGFR, HER2, survivin, and loss of pSTAT3 characterize high-grade malignancy in salivary gland cancer with impact on prognosis. Hum Pathol. 43:921–931. 2012. View Article : Google Scholar : PubMed/NCBI

39 

Ito FA, Ito K, Coletta RD, Graner E, de Almeida OP and Lopes MA: Salivary gland tumors: Immunohistochemical study of EGF EGFR, ErbB-2, FAS and Ki-67. Anal Quant Cytol Histol. 31:280–287. 2009.PubMed/NCBI

Related Articles

  • Abstract
  • View
  • Download
  • Twitter
Copy and paste a formatted citation
Spandidos Publications style
Kawahara K, Hiraki A, Yoshida R, Arita H, Matsuoka Y, Yamashita T, Koga KI, Nagata M, Hirosue A, Fukuma D, Fukuma D, et al: Salivary duct carcinoma treated with cetuximab-based targeted therapy: A case report. Mol Clin Oncol 6: 886-892, 2017.
APA
Kawahara, K., Hiraki, A., Yoshida, R., Arita, H., Matsuoka, Y., Yamashita, T. ... Nakayama, H. (2017). Salivary duct carcinoma treated with cetuximab-based targeted therapy: A case report. Molecular and Clinical Oncology, 6, 886-892. https://doi.org/10.3892/mco.2017.1226
MLA
Kawahara, K., Hiraki, A., Yoshida, R., Arita, H., Matsuoka, Y., Yamashita, T., Koga, K., Nagata, M., Hirosue, A., Fukuma, D., Nakayama, H."Salivary duct carcinoma treated with cetuximab-based targeted therapy: A case report". Molecular and Clinical Oncology 6.6 (2017): 886-892.
Chicago
Kawahara, K., Hiraki, A., Yoshida, R., Arita, H., Matsuoka, Y., Yamashita, T., Koga, K., Nagata, M., Hirosue, A., Fukuma, D., Nakayama, H."Salivary duct carcinoma treated with cetuximab-based targeted therapy: A case report". Molecular and Clinical Oncology 6, no. 6 (2017): 886-892. https://doi.org/10.3892/mco.2017.1226
Copy and paste a formatted citation
x
Spandidos Publications style
Kawahara K, Hiraki A, Yoshida R, Arita H, Matsuoka Y, Yamashita T, Koga KI, Nagata M, Hirosue A, Fukuma D, Fukuma D, et al: Salivary duct carcinoma treated with cetuximab-based targeted therapy: A case report. Mol Clin Oncol 6: 886-892, 2017.
APA
Kawahara, K., Hiraki, A., Yoshida, R., Arita, H., Matsuoka, Y., Yamashita, T. ... Nakayama, H. (2017). Salivary duct carcinoma treated with cetuximab-based targeted therapy: A case report. Molecular and Clinical Oncology, 6, 886-892. https://doi.org/10.3892/mco.2017.1226
MLA
Kawahara, K., Hiraki, A., Yoshida, R., Arita, H., Matsuoka, Y., Yamashita, T., Koga, K., Nagata, M., Hirosue, A., Fukuma, D., Nakayama, H."Salivary duct carcinoma treated with cetuximab-based targeted therapy: A case report". Molecular and Clinical Oncology 6.6 (2017): 886-892.
Chicago
Kawahara, K., Hiraki, A., Yoshida, R., Arita, H., Matsuoka, Y., Yamashita, T., Koga, K., Nagata, M., Hirosue, A., Fukuma, D., Nakayama, H."Salivary duct carcinoma treated with cetuximab-based targeted therapy: A case report". Molecular and Clinical Oncology 6, no. 6 (2017): 886-892. https://doi.org/10.3892/mco.2017.1226
Follow us
  • Twitter
  • LinkedIn
  • Facebook
About
  • Spandidos Publications
  • Careers
  • Cookie Policy
  • Privacy Policy
How can we help?
  • Help
  • Live Chat
  • Contact
  • Email to our Support Team