Spandidos Publications Logo
  • About
    • About Spandidos
    • Aims and Scopes
    • Abstracting and Indexing
    • Editorial Policies
    • Reprints and Permissions
    • Job Opportunities
    • Terms and Conditions
    • Contact
  • Journals
    • All Journals
    • Oncology Letters
      • Oncology Letters
      • Information for Authors
      • Editorial Policies
      • Editorial Board
      • Aims and Scope
      • Abstracting and Indexing
      • Bibliographic Information
      • Archive
    • International Journal of Oncology
      • International Journal of Oncology
      • Information for Authors
      • Editorial Policies
      • Editorial Board
      • Aims and Scope
      • Abstracting and Indexing
      • Bibliographic Information
      • Archive
    • Molecular and Clinical Oncology
      • Molecular and Clinical Oncology
      • Information for Authors
      • Editorial Policies
      • Editorial Board
      • Aims and Scope
      • Abstracting and Indexing
      • Bibliographic Information
      • Archive
    • Experimental and Therapeutic Medicine
      • Experimental and Therapeutic Medicine
      • Information for Authors
      • Editorial Policies
      • Editorial Board
      • Aims and Scope
      • Abstracting and Indexing
      • Bibliographic Information
      • Archive
    • International Journal of Molecular Medicine
      • International Journal of Molecular Medicine
      • Information for Authors
      • Editorial Policies
      • Editorial Board
      • Aims and Scope
      • Abstracting and Indexing
      • Bibliographic Information
      • Archive
    • Biomedical Reports
      • Biomedical Reports
      • Information for Authors
      • Editorial Policies
      • Editorial Board
      • Aims and Scope
      • Abstracting and Indexing
      • Bibliographic Information
      • Archive
    • Oncology Reports
      • Oncology Reports
      • Information for Authors
      • Editorial Policies
      • Editorial Board
      • Aims and Scope
      • Abstracting and Indexing
      • Bibliographic Information
      • Archive
    • Molecular Medicine Reports
      • Molecular Medicine Reports
      • Information for Authors
      • Editorial Policies
      • Editorial Board
      • Aims and Scope
      • Abstracting and Indexing
      • Bibliographic Information
      • Archive
    • World Academy of Sciences Journal
      • World Academy of Sciences Journal
      • Information for Authors
      • Editorial Policies
      • Editorial Board
      • Aims and Scope
      • Abstracting and Indexing
      • Bibliographic Information
      • Archive
    • International Journal of Functional Nutrition
      • International Journal of Functional Nutrition
      • Information for Authors
      • Editorial Policies
      • Editorial Board
      • Aims and Scope
      • Abstracting and Indexing
      • Bibliographic Information
      • Archive
    • International Journal of Epigenetics
      • International Journal of Epigenetics
      • Information for Authors
      • Editorial Policies
      • Editorial Board
      • Aims and Scope
      • Abstracting and Indexing
      • Bibliographic Information
      • Archive
    • Medicine International
      • Medicine International
      • Information for Authors
      • Editorial Policies
      • Editorial Board
      • Aims and Scope
      • Abstracting and Indexing
      • Bibliographic Information
      • Archive
  • Articles
  • Information
    • Information for Authors
    • Information for Reviewers
    • Information for Librarians
    • Information for Advertisers
    • Conferences
  • Language Editing
Spandidos Publications Logo
  • About
    • About Spandidos
    • Aims and Scopes
    • Abstracting and Indexing
    • Editorial Policies
    • Reprints and Permissions
    • Job Opportunities
    • Terms and Conditions
    • Contact
  • Journals
    • All Journals
    • Biomedical Reports
      • Information for Authors
      • Editorial Policies
      • Editorial Board
      • Aims and Scope
      • Abstracting and Indexing
      • Bibliographic Information
      • Archive
    • Experimental and Therapeutic Medicine
      • Information for Authors
      • Editorial Policies
      • Editorial Board
      • Aims and Scope
      • Abstracting and Indexing
      • Bibliographic Information
      • Archive
    • International Journal of Epigenetics
      • Information for Authors
      • Editorial Policies
      • Editorial Board
      • Aims and Scope
      • Abstracting and Indexing
      • Bibliographic Information
      • Archive
    • International Journal of Functional Nutrition
      • Information for Authors
      • Editorial Policies
      • Editorial Board
      • Aims and Scope
      • Abstracting and Indexing
      • Bibliographic Information
      • Archive
    • International Journal of Molecular Medicine
      • Information for Authors
      • Editorial Policies
      • Editorial Board
      • Aims and Scope
      • Abstracting and Indexing
      • Bibliographic Information
      • Archive
    • International Journal of Oncology
      • Information for Authors
      • Editorial Policies
      • Editorial Board
      • Aims and Scope
      • Abstracting and Indexing
      • Bibliographic Information
      • Archive
    • Medicine International
      • Information for Authors
      • Editorial Policies
      • Editorial Board
      • Aims and Scope
      • Abstracting and Indexing
      • Bibliographic Information
      • Archive
    • Molecular and Clinical Oncology
      • Information for Authors
      • Editorial Policies
      • Editorial Board
      • Aims and Scope
      • Abstracting and Indexing
      • Bibliographic Information
      • Archive
    • Molecular Medicine Reports
      • Information for Authors
      • Editorial Policies
      • Editorial Board
      • Aims and Scope
      • Abstracting and Indexing
      • Bibliographic Information
      • Archive
    • Oncology Letters
      • Information for Authors
      • Editorial Policies
      • Editorial Board
      • Aims and Scope
      • Abstracting and Indexing
      • Bibliographic Information
      • Archive
    • Oncology Reports
      • Information for Authors
      • Editorial Policies
      • Editorial Board
      • Aims and Scope
      • Abstracting and Indexing
      • Bibliographic Information
      • Archive
    • World Academy of Sciences Journal
      • Information for Authors
      • Editorial Policies
      • Editorial Board
      • Aims and Scope
      • Abstracting and Indexing
      • Bibliographic Information
      • Archive
  • Articles
  • Information
    • For Authors
    • For Reviewers
    • For Librarians
    • For Advertisers
    • Conferences
  • Language Editing
Login Register Submit
  • This site uses cookies
  • You can change your cookie settings at any time by following the instructions in our Cookie Policy. To find out more, you may read our Privacy Policy.

    I agree
Search articles by DOI, keyword, author or affiliation
Search
Advanced Search
presentation
Molecular and Clinical Oncology
Join Editorial Board Propose a Special Issue
Print ISSN: 2049-9450 Online ISSN: 2049-9469
Journal Cover
June-2017 Volume 6 Issue 6

Full Size Image

Sign up for eToc alerts
Recommend to Library

Journals

International Journal of Molecular Medicine

International Journal of Molecular Medicine

International Journal of Molecular Medicine is an international journal devoted to molecular mechanisms of human disease.

International Journal of Oncology

International Journal of Oncology

International Journal of Oncology is an international journal devoted to oncology research and cancer treatment.

Molecular Medicine Reports

Molecular Medicine Reports

Covers molecular medicine topics such as pharmacology, pathology, genetics, neuroscience, infectious diseases, molecular cardiology, and molecular surgery.

Oncology Reports

Oncology Reports

Oncology Reports is an international journal devoted to fundamental and applied research in Oncology.

Experimental and Therapeutic Medicine

Experimental and Therapeutic Medicine

Experimental and Therapeutic Medicine is an international journal devoted to laboratory and clinical medicine.

Oncology Letters

Oncology Letters

Oncology Letters is an international journal devoted to Experimental and Clinical Oncology.

Biomedical Reports

Biomedical Reports

Explores a wide range of biological and medical fields, including pharmacology, genetics, microbiology, neuroscience, and molecular cardiology.

Molecular and Clinical Oncology

Molecular and Clinical Oncology

International journal addressing all aspects of oncology research, from tumorigenesis and oncogenes to chemotherapy and metastasis.

World Academy of Sciences Journal

World Academy of Sciences Journal

Multidisciplinary open-access journal spanning biochemistry, genetics, neuroscience, environmental health, and synthetic biology.

International Journal of Functional Nutrition

International Journal of Functional Nutrition

Open-access journal combining biochemistry, pharmacology, immunology, and genetics to advance health through functional nutrition.

International Journal of Epigenetics

International Journal of Epigenetics

Publishes open-access research on using epigenetics to advance understanding and treatment of human disease.

Medicine International

Medicine International

An International Open Access Journal Devoted to General Medicine.

Journal Cover
June-2017 Volume 6 Issue 6

Full Size Image

Sign up for eToc alerts
Recommend to Library

  • Article
  • Citations
    • Cite This Article
    • Download Citation
    • Create Citation Alert
    • Remove Citation Alert
    • Cited By
  • Similar Articles
    • Related Articles (in Spandidos Publications)
    • Similar Articles (Google Scholar)
    • Similar Articles (PubMed)
  • Download PDF
  • Download XML
  • View XML
Case Report

Widespread subdural metastasis from breast cancer progressing rapidly with cerebral herniation: A case report

  • Authors:
    • Yoshiko Okita
    • Norikazu Masuda
    • Makiko Mizutani
    • Yoshinori Kodama
    • Kiyoshi Mori
    • Masayuki Mano
    • Tomoyoshi Nakagawa
    • Shin Nakajima
    • Toshiyuki Fujinaka
  • View Affiliations / Copyright

    Affiliations: Department of Neurosurgery, National Hospital Organization Osaka National Hospital, Osaka 540‑0006, Japan, Department of Surgery, Breast Oncology, National Hospital Organization Osaka National Hospital, Osaka 540‑0006, Japan, Department of Central Laboratory and Surgical Pathology, National Hospital Organization Osaka National Hospital, Osaka 540‑0006, Japan
  • Pages: 960-962
    |
    Published online on: April 28, 2017
       https://doi.org/10.3892/mco.2017.1233
  • Expand metrics +
Metrics: Total Views: 0 (Spandidos Publications: | PMC Statistics: )
Metrics: Total PDF Downloads: 0 (Spandidos Publications: | PMC Statistics: )
Cited By (CrossRef): 0 citations Loading Articles...

This article is mentioned in:



Abstract

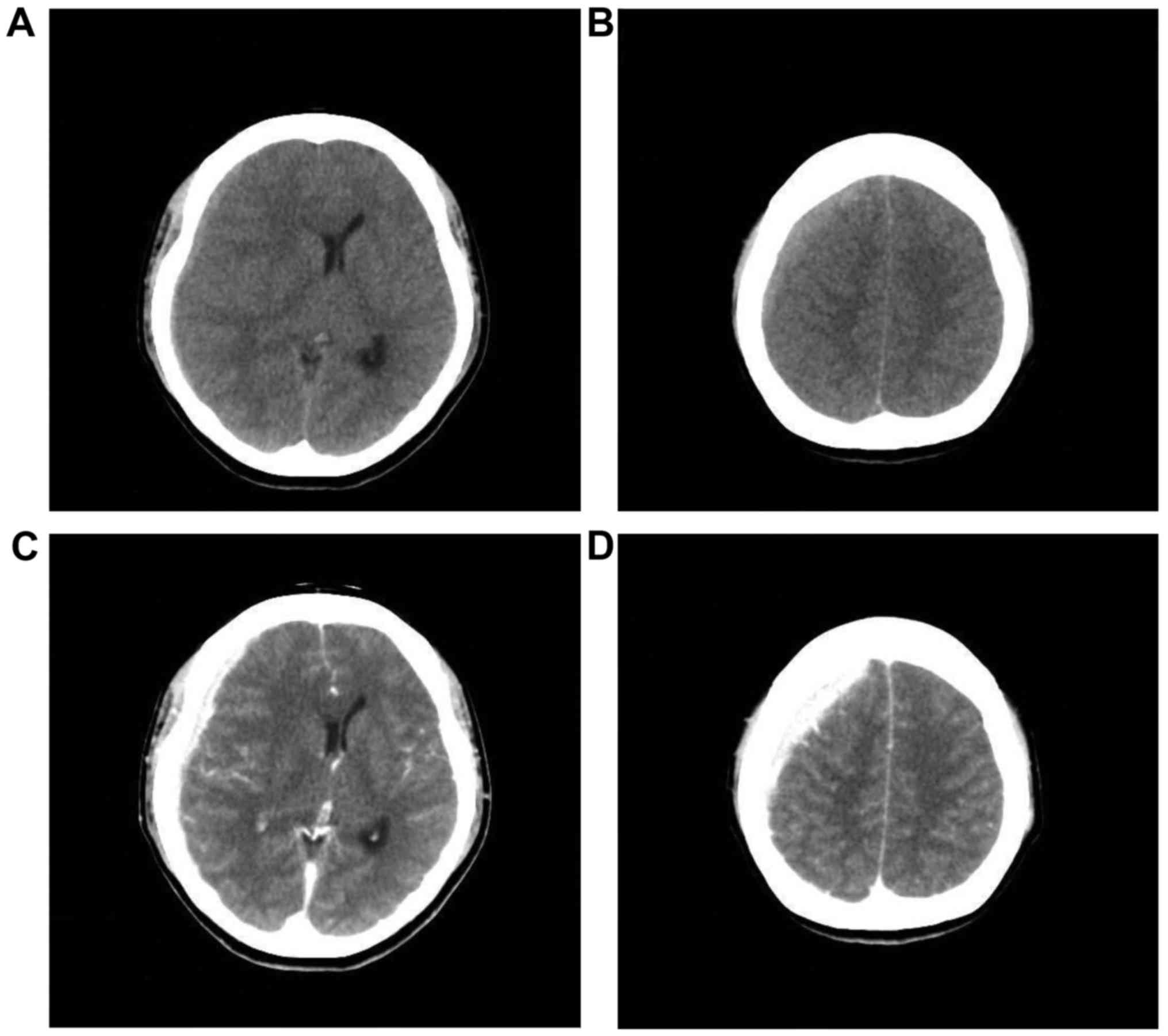
We herein present the case of a 49‑year‑old female patient presenting with nausea and headache. The patient's medical history included breast cancer with bone and lymph node metastasis. Computed tomography (CT) examination revealed a high‑density lesion in the right subdural space, suggesting hematoma. During surgery planned for subdural hematoma drainage, an en plaque subdural yellowish‑white tumor was identified, without hematoma. Histopathological examination revealed metastatic breast cancer. The patient was administered predonisolone and her neurological symptoms gradually recovered. However, 12 days after the first operation, the clinical course was complicated by vomiting and rapid loss of consciousness. Emergency CT revealed that the subdural tumor had enlarged and decompression was performed as life‑saving surgery. However, the patient's condition progressively deteriorated and she finally succumbed to the disease 2 months after the second operation. The aim of this study was to present the case of a patient with a large en plaque subdural tumor mimicking subdural hematoma and causing rapid loss of consciousness and cerebral herniation.
View Figures

Figure 1

Figure 2

View References

1 

Meyer PC and Reah TG: Secondary neoplasms of the central nervous system and meninges. Br J Cancer. 7:438–448. 1953. View Article : Google Scholar : PubMed/NCBI

2 

Laigle-Donadey F, Taillibert S, Mokhtari K, Hildebrand J and Delattre JY: Dural metastases. J Neurooncol. 75:57–61. 2005. View Article : Google Scholar : PubMed/NCBI

3 

Kunii N, Morita A, Yoshikawa G and Kirino T: Subdural hematoma associated with dural metastasis-case report. Neurol Med Chir (Tokyo). 45:519–522. 2005. View Article : Google Scholar : PubMed/NCBI

4 

Otsuka A, Asakura K, Takahashi K, Tasaki T, Okada K and Suzuki Y: Nontraumatic chronic subdural hematoma due to dural metastases of breast cancer. Case report. No Shinkei Geka. 13:999–1004. 1985.(In Japanese). PubMed/NCBI

5 

Tseng SH, Liao CC, Lin SM, Chen Y and Shun CT: Dural metastasis in patients with malignant neoplasm and chronic subdural hematoma. Acta Neurol Scand. 108:43–46. 2003. View Article : Google Scholar : PubMed/NCBI

6 

Nayak L, Abrey LE and Iwamoto FM: Intracranial dural metastases. Cancer. 115:1947–1953. 2009. View Article : Google Scholar : PubMed/NCBI

7 

Villano JL and Ryan CW: Patients presenting with CNS lesions. Case 2. Subdural presentation of recurrent breast cancer. J Clin Oncol. 21:4060–4062. 2003. View Article : Google Scholar : PubMed/NCBI

8 

Tsukada Y, Fouad A, Pickren JW and Lane WW: Central nervous system metastasis from breast carcinoma. Autopsy study. Cancer. 52:2349–2354. 1983. View Article : Google Scholar : PubMed/NCBI

9 

Nzokou A, Magro E, Guilbert F, Fournier JY and Bojanowski MW: Subdural metastasis of prostate cancer. J Neurol Surg Rep. 76:e123–e127. 2015. View Article : Google Scholar : PubMed/NCBI

10 

Posner JB and Chernik NL: Intracranial metastases from systemic cancer. Adv Neurol. 19:579–592. 1978.PubMed/NCBI

11 

Cheng YK, Wang TC, Yang JT, Lee MH and Su CH: Dural metastasis from prostatic adenocarcinoma mimicking chronic subdural hematoma. J Clin Neurosci. 16:1084–1086. 2009. View Article : Google Scholar : PubMed/NCBI

12 

Patil S, Veron A, Hosseini P, Bates R, Brown B, Guthikonda B and DeSouza R: Metastatic prostate cancer mimicking chronic subdural hematoma: A case report and review of the literature. J La State Med Soc. 162:203–205. 2010.PubMed/NCBI

13 

Tomlin JM and Alleyne CH: Transdural metastasis from adenocarcinoma of the prostate mimicking subdural hematoma: Case report. Surg Neurol. 58:329–331. 2002. View Article : Google Scholar : PubMed/NCBI

Related Articles

  • Abstract
  • View
  • Download
  • Twitter
Copy and paste a formatted citation
Spandidos Publications style
Okita Y, Masuda N, Mizutani M, Kodama Y, Mori K, Mano M, Nakagawa T, Nakajima S and Fujinaka T: Widespread subdural metastasis from breast cancer progressing rapidly with cerebral herniation: A case report. Mol Clin Oncol 6: 960-962, 2017.
APA
Okita, Y., Masuda, N., Mizutani, M., Kodama, Y., Mori, K., Mano, M. ... Fujinaka, T. (2017). Widespread subdural metastasis from breast cancer progressing rapidly with cerebral herniation: A case report. Molecular and Clinical Oncology, 6, 960-962. https://doi.org/10.3892/mco.2017.1233
MLA
Okita, Y., Masuda, N., Mizutani, M., Kodama, Y., Mori, K., Mano, M., Nakagawa, T., Nakajima, S., Fujinaka, T."Widespread subdural metastasis from breast cancer progressing rapidly with cerebral herniation: A case report". Molecular and Clinical Oncology 6.6 (2017): 960-962.
Chicago
Okita, Y., Masuda, N., Mizutani, M., Kodama, Y., Mori, K., Mano, M., Nakagawa, T., Nakajima, S., Fujinaka, T."Widespread subdural metastasis from breast cancer progressing rapidly with cerebral herniation: A case report". Molecular and Clinical Oncology 6, no. 6 (2017): 960-962. https://doi.org/10.3892/mco.2017.1233
Copy and paste a formatted citation
x
Spandidos Publications style
Okita Y, Masuda N, Mizutani M, Kodama Y, Mori K, Mano M, Nakagawa T, Nakajima S and Fujinaka T: Widespread subdural metastasis from breast cancer progressing rapidly with cerebral herniation: A case report. Mol Clin Oncol 6: 960-962, 2017.
APA
Okita, Y., Masuda, N., Mizutani, M., Kodama, Y., Mori, K., Mano, M. ... Fujinaka, T. (2017). Widespread subdural metastasis from breast cancer progressing rapidly with cerebral herniation: A case report. Molecular and Clinical Oncology, 6, 960-962. https://doi.org/10.3892/mco.2017.1233
MLA
Okita, Y., Masuda, N., Mizutani, M., Kodama, Y., Mori, K., Mano, M., Nakagawa, T., Nakajima, S., Fujinaka, T."Widespread subdural metastasis from breast cancer progressing rapidly with cerebral herniation: A case report". Molecular and Clinical Oncology 6.6 (2017): 960-962.
Chicago
Okita, Y., Masuda, N., Mizutani, M., Kodama, Y., Mori, K., Mano, M., Nakagawa, T., Nakajima, S., Fujinaka, T."Widespread subdural metastasis from breast cancer progressing rapidly with cerebral herniation: A case report". Molecular and Clinical Oncology 6, no. 6 (2017): 960-962. https://doi.org/10.3892/mco.2017.1233
Follow us
  • Twitter
  • LinkedIn
  • Facebook
About
  • Spandidos Publications
  • Careers
  • Cookie Policy
  • Privacy Policy
How can we help?
  • Help
  • Live Chat
  • Contact
  • Email to our Support Team