Spandidos Publications Logo
  • About
    • About Spandidos
    • Aims and Scopes
    • Abstracting and Indexing
    • Editorial Policies
    • Reprints and Permissions
    • Job Opportunities
    • Terms and Conditions
    • Contact
  • Journals
    • All Journals
    • Oncology Letters
      • Oncology Letters
      • Information for Authors
      • Editorial Policies
      • Editorial Board
      • Aims and Scope
      • Abstracting and Indexing
      • Bibliographic Information
      • Archive
    • International Journal of Oncology
      • International Journal of Oncology
      • Information for Authors
      • Editorial Policies
      • Editorial Board
      • Aims and Scope
      • Abstracting and Indexing
      • Bibliographic Information
      • Archive
    • Molecular and Clinical Oncology
      • Molecular and Clinical Oncology
      • Information for Authors
      • Editorial Policies
      • Editorial Board
      • Aims and Scope
      • Abstracting and Indexing
      • Bibliographic Information
      • Archive
    • Experimental and Therapeutic Medicine
      • Experimental and Therapeutic Medicine
      • Information for Authors
      • Editorial Policies
      • Editorial Board
      • Aims and Scope
      • Abstracting and Indexing
      • Bibliographic Information
      • Archive
    • International Journal of Molecular Medicine
      • International Journal of Molecular Medicine
      • Information for Authors
      • Editorial Policies
      • Editorial Board
      • Aims and Scope
      • Abstracting and Indexing
      • Bibliographic Information
      • Archive
    • Biomedical Reports
      • Biomedical Reports
      • Information for Authors
      • Editorial Policies
      • Editorial Board
      • Aims and Scope
      • Abstracting and Indexing
      • Bibliographic Information
      • Archive
    • Oncology Reports
      • Oncology Reports
      • Information for Authors
      • Editorial Policies
      • Editorial Board
      • Aims and Scope
      • Abstracting and Indexing
      • Bibliographic Information
      • Archive
    • Molecular Medicine Reports
      • Molecular Medicine Reports
      • Information for Authors
      • Editorial Policies
      • Editorial Board
      • Aims and Scope
      • Abstracting and Indexing
      • Bibliographic Information
      • Archive
    • World Academy of Sciences Journal
      • World Academy of Sciences Journal
      • Information for Authors
      • Editorial Policies
      • Editorial Board
      • Aims and Scope
      • Abstracting and Indexing
      • Bibliographic Information
      • Archive
    • International Journal of Functional Nutrition
      • International Journal of Functional Nutrition
      • Information for Authors
      • Editorial Policies
      • Editorial Board
      • Aims and Scope
      • Abstracting and Indexing
      • Bibliographic Information
      • Archive
    • International Journal of Epigenetics
      • International Journal of Epigenetics
      • Information for Authors
      • Editorial Policies
      • Editorial Board
      • Aims and Scope
      • Abstracting and Indexing
      • Bibliographic Information
      • Archive
    • Medicine International
      • Medicine International
      • Information for Authors
      • Editorial Policies
      • Editorial Board
      • Aims and Scope
      • Abstracting and Indexing
      • Bibliographic Information
      • Archive
  • Articles
  • Information
    • Information for Authors
    • Information for Reviewers
    • Information for Librarians
    • Information for Advertisers
    • Conferences
  • Language Editing
Spandidos Publications Logo
  • About
    • About Spandidos
    • Aims and Scopes
    • Abstracting and Indexing
    • Editorial Policies
    • Reprints and Permissions
    • Job Opportunities
    • Terms and Conditions
    • Contact
  • Journals
    • All Journals
    • Biomedical Reports
      • Information for Authors
      • Editorial Policies
      • Editorial Board
      • Aims and Scope
      • Abstracting and Indexing
      • Bibliographic Information
      • Archive
    • Experimental and Therapeutic Medicine
      • Information for Authors
      • Editorial Policies
      • Editorial Board
      • Aims and Scope
      • Abstracting and Indexing
      • Bibliographic Information
      • Archive
    • International Journal of Epigenetics
      • Information for Authors
      • Editorial Policies
      • Editorial Board
      • Aims and Scope
      • Abstracting and Indexing
      • Bibliographic Information
      • Archive
    • International Journal of Functional Nutrition
      • Information for Authors
      • Editorial Policies
      • Editorial Board
      • Aims and Scope
      • Abstracting and Indexing
      • Bibliographic Information
      • Archive
    • International Journal of Molecular Medicine
      • Information for Authors
      • Editorial Policies
      • Editorial Board
      • Aims and Scope
      • Abstracting and Indexing
      • Bibliographic Information
      • Archive
    • International Journal of Oncology
      • Information for Authors
      • Editorial Policies
      • Editorial Board
      • Aims and Scope
      • Abstracting and Indexing
      • Bibliographic Information
      • Archive
    • Medicine International
      • Information for Authors
      • Editorial Policies
      • Editorial Board
      • Aims and Scope
      • Abstracting and Indexing
      • Bibliographic Information
      • Archive
    • Molecular and Clinical Oncology
      • Information for Authors
      • Editorial Policies
      • Editorial Board
      • Aims and Scope
      • Abstracting and Indexing
      • Bibliographic Information
      • Archive
    • Molecular Medicine Reports
      • Information for Authors
      • Editorial Policies
      • Editorial Board
      • Aims and Scope
      • Abstracting and Indexing
      • Bibliographic Information
      • Archive
    • Oncology Letters
      • Information for Authors
      • Editorial Policies
      • Editorial Board
      • Aims and Scope
      • Abstracting and Indexing
      • Bibliographic Information
      • Archive
    • Oncology Reports
      • Information for Authors
      • Editorial Policies
      • Editorial Board
      • Aims and Scope
      • Abstracting and Indexing
      • Bibliographic Information
      • Archive
    • World Academy of Sciences Journal
      • Information for Authors
      • Editorial Policies
      • Editorial Board
      • Aims and Scope
      • Abstracting and Indexing
      • Bibliographic Information
      • Archive
  • Articles
  • Information
    • For Authors
    • For Reviewers
    • For Librarians
    • For Advertisers
    • Conferences
  • Language Editing
Login Register Submit
  • This site uses cookies
  • You can change your cookie settings at any time by following the instructions in our Cookie Policy. To find out more, you may read our Privacy Policy.

    I agree
Search articles by DOI, keyword, author or affiliation
Search
Advanced Search
presentation
Molecular and Clinical Oncology
Join Editorial Board Propose a Special Issue
Print ISSN: 2049-9450 Online ISSN: 2049-9469
Journal Cover
June-2017 Volume 6 Issue 6

Full Size Image

Sign up for eToc alerts
Recommend to Library

Journals

International Journal of Molecular Medicine

International Journal of Molecular Medicine

International Journal of Molecular Medicine is an international journal devoted to molecular mechanisms of human disease.

International Journal of Oncology

International Journal of Oncology

International Journal of Oncology is an international journal devoted to oncology research and cancer treatment.

Molecular Medicine Reports

Molecular Medicine Reports

Covers molecular medicine topics such as pharmacology, pathology, genetics, neuroscience, infectious diseases, molecular cardiology, and molecular surgery.

Oncology Reports

Oncology Reports

Oncology Reports is an international journal devoted to fundamental and applied research in Oncology.

Experimental and Therapeutic Medicine

Experimental and Therapeutic Medicine

Experimental and Therapeutic Medicine is an international journal devoted to laboratory and clinical medicine.

Oncology Letters

Oncology Letters

Oncology Letters is an international journal devoted to Experimental and Clinical Oncology.

Biomedical Reports

Biomedical Reports

Explores a wide range of biological and medical fields, including pharmacology, genetics, microbiology, neuroscience, and molecular cardiology.

Molecular and Clinical Oncology

Molecular and Clinical Oncology

International journal addressing all aspects of oncology research, from tumorigenesis and oncogenes to chemotherapy and metastasis.

World Academy of Sciences Journal

World Academy of Sciences Journal

Multidisciplinary open-access journal spanning biochemistry, genetics, neuroscience, environmental health, and synthetic biology.

International Journal of Functional Nutrition

International Journal of Functional Nutrition

Open-access journal combining biochemistry, pharmacology, immunology, and genetics to advance health through functional nutrition.

International Journal of Epigenetics

International Journal of Epigenetics

Publishes open-access research on using epigenetics to advance understanding and treatment of human disease.

Medicine International

Medicine International

An International Open Access Journal Devoted to General Medicine.

Journal Cover
June-2017 Volume 6 Issue 6

Full Size Image

Sign up for eToc alerts
Recommend to Library

  • Article
  • Citations
    • Cite This Article
    • Download Citation
    • Create Citation Alert
    • Remove Citation Alert
    • Cited By
  • Similar Articles
    • Related Articles (in Spandidos Publications)
    • Similar Articles (Google Scholar)
    • Similar Articles (PubMed)
  • Download PDF
  • Download XML
  • View XML
Case Report Open Access

Pancreatic acinar cell carcinoma presenting with panniculitis, successfully treated with FOLFIRINOX: A case report

  • Authors:
    • Tomoyasu Yoshihiro
    • Kenta Nio
    • Kenji Tsuchihashi
    • Hiroshi Ariyama
    • Kenichi Kohashi
    • Nobuhiro Tsuruta
    • Fumiyasu Hanamura
    • Kyoko Inadomi
    • Mamoru Ito
    • Kosuke Sagara
    • Yuta Okumura
    • Michitaka Nakano
    • Shuji Arita
    • Hitoshi Kusaba
    • Yoshinao Oda
    • Koichi Akashi
    • Eishi Baba
  • View Affiliations / Copyright

    Affiliations: Department of Hematology and Oncology, Kyushu University Hospital, Fukuoka 812‑8582, Japan, Department of Anatomical Pathology, Pathological Sciences, Graduate School of Medical Sciences, Kyushu University, Fukuoka 812‑8582, Japan, Department of Comprehensive Clinical Oncology, Faculty of Medical Sciences, Kyushu University, Fukuoka 812‑8582, Japan
    Copyright: © Yoshihiro et al. This is an open access article distributed under the terms of Creative Commons Attribution License.
  • Pages: 866-870
    |
    Published online on: May 5, 2017
       https://doi.org/10.3892/mco.2017.1240
  • Expand metrics +
Metrics: Total Views: 0 (Spandidos Publications: | PMC Statistics: )
Metrics: Total PDF Downloads: 0 (Spandidos Publications: | PMC Statistics: )
Cited By (CrossRef): 0 citations Loading Articles...

This article is mentioned in:



Abstract

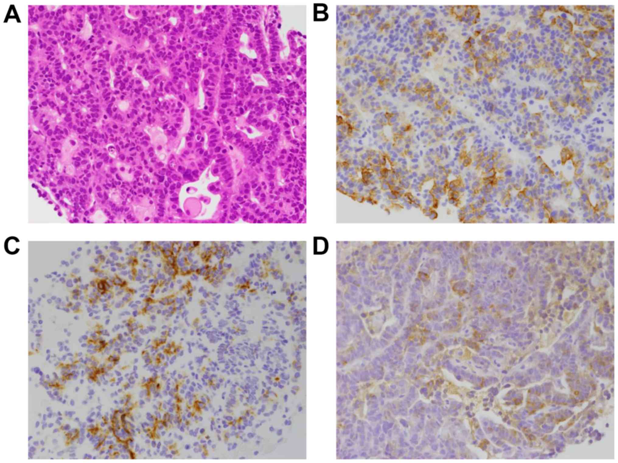
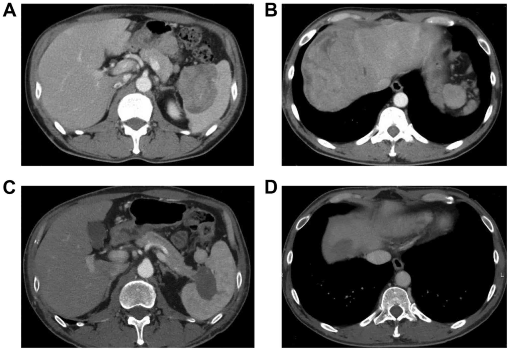
Pancreatic acinar cell carcinoma (PACC) is a rare tumor of the exocrine pancreas, representing only 1% of all pancreatic malignancies. A 50‑year‑old man presented with edema of the thumb joints bilaterally, followed by an appearance of masses in the bilateral lower extremities and fever (38˚C). The masses were diagnosed as panniculitis by skin biopsy, and multiple intraperitoneal masses were incidentally detected on pelvic magnetic resonance imaging performed to investigate the leg abnormalities. The patient was referred to the Kyushu University Hospital for further investigation, and fluorodeoxyglucose‑positron emission tomography/computed tomography (CT) revealed high‑uptake tumors in the pancreatic tail, in the periphery of the liver, and in the pelvis. Laboratory examinations revealed high serum concentrations of pancreatic exocrine enzymes, such as lipase, trypsin, elastase 1 and pancreatic phospholipase A2. Histological examination of a bioptic specimen obtained from a hepatic lesion revealed proliferation of atypical cells arranged in a tubular or glandular pattern. Immunohistochemical staining revealed that the atypical cells were positive for cytokeratin (CK)7, CK19 and lipase, but negative for CK20 and thyroid transcription factor‑1, leading to a final diagnosis of acinar cell carcinoma of the pancreatic tail (T4bN0M1, stage IV according to the 7th edition of the TNM Classification of Malignant Tumors). Combined chemotherapy with oxaliplatin, irinotecan and fluorouracil (FOLFIRINOX) was administered and fever was soon alleviated. The serum levels of lipase also declined and panniculitis completely resolved. As of the start of the 8th course of chemotherapy, the levels of the pancreatic exocrine enzymes were within normal ranges and CT revealed partial response. Therefore, the severe lipase hypersecretion syndrome was well controlled by the FOLFIRINOX regimen and shrinkage of the mass was also achieved. Thus, the FOLFIRINOX regimen may represent an effective treatment option for advanced PACC.
View Figures

Figure 1

Figure 2

Figure 3

Figure 4

View References

1 

Holen KD, Klimstra DS, Hummer A, Gonen M, Conlon K, Brennan M and Saltz LB: Clinical characteristics and outcomes from an institutional series of acinar cell carcinoma of the pancreas and related tumors. J Clin Oncol. 20:4673–4678. 2002. View Article : Google Scholar : PubMed/NCBI

2 

Butturini G, Pisano M, Scarpa A, D'Onofrio M, Auriemma A and Bassi C: Aggressive approach to acinar cell carcinoma of the pancreas: A single-institution experience and a literature review. Langenbecks Arch Surg. 396:363–369. 2011. View Article : Google Scholar : PubMed/NCBI

3 

Klimstra DS, Heffess CS, Oertel JE and Rosai J: Acinar cell carcinoma of the pancreas. A clinicopathologic study of 28 cases. Am J Surg Pathol. 16:815–837. 1992. View Article : Google Scholar : PubMed/NCBI

4 

Berner O: Subkutane fettgewebsnekrose. Virchow Arch Path Anat. 193:510–518. 1908. View Article : Google Scholar

5 

Wang Y, Wang S, Zhou X, Zhou H, Cui Y, Li Q and Zhang L: Acinar cell carcinoma: A report of 19 cases with a brief review of the literature. World J Surg Oncol. 14:1722016. View Article : Google Scholar : PubMed/NCBI

6 

Schmidt CM, Matos JM, Bentrem DJ, Talamonti MS, Lillemoe KD and Bilimoria KY: Acinar cell carcinoma of the pancreas in the United States: Prognostic factors and comparison to ductal adenocarcinoma. J Gastrointest Surg. 12:2078–2086. 2008. View Article : Google Scholar : PubMed/NCBI

7 

Riediger C, Mayr M, Berger H, Becker K, Dobritz M, Kleeff J and Friess H: Transarterial chemoembolization of liver metastases as symptomatic therapy of lipase hypersecretion syndrome. J Clin Oncol. 30:e209–e212. 2012. View Article : Google Scholar : PubMed/NCBI

8 

Simon M, Bioulac-Sage P, Trillaud H and Blanc JF: FOLFOX regimen in pancreatic acinar cell carcinoma: Case report and review of the literature. Acta Oncol. 51:403–405. 2012. View Article : Google Scholar : PubMed/NCBI

9 

Williams JA: Regulation of acinar cell function in the pancreas. Curr Opin Gastroenterol. 26:478–483. 2010. View Article : Google Scholar : PubMed/NCBI

10 

Abraham SC, Wu TT, Hruban RH, Lee JH, Yeo CJ, Conlon K, Brennan M, Cameron JL and Klimstra DS: Genetic and immunohistochemical analysis of pancreatic acinar cell carcinoma: Frequent allelic loss on chromosome 11p and alterations in the APC/beta-catenin pathway. Am J Pathol. 160:953–962. 2002. View Article : Google Scholar : PubMed/NCBI

11 

Schmid RM: Acinar-to-ductal metaplasia in pancreatic cancer development. J Clin Invest. 109:1403–1404. 2002. View Article : Google Scholar : PubMed/NCBI

12 

Wagner M, Greten FR, Weber CK, Koschnick S, Mattfeldt T, Deppert W, Kern H, Adler G and Schmid RM: A murine tumor progression model for pancreatic cancer recapitulating the genetic alterations of the human disease. Genes Dev. 15:286–293. 2001. View Article : Google Scholar : PubMed/NCBI

13 

Kopp JL, von Figura G, Mayes E, Liu FF, Dubois CL, JP IV Morris, Pan FC, Akiyama H, Wright CV, Jensen K, et al: Identification of Sox9-dependent acinar-to-ductal reprogramming as the principal mechanism for initiation of pancreatic ductal adenocarcinoma. Cancer Cell. 22:737–750. 2012. View Article : Google Scholar : PubMed/NCBI

14 

Vakiani E, Young RH, Carcangiu ML and Klimstra DS: Acinar cell carcinoma of the pancreas metastatic to the ovary: A report of 4 cases. Am J Surg Pathol. 32:1540–1545. 2008. View Article : Google Scholar : PubMed/NCBI

15 

Bogart MM, Milliken MC, Patterson JW and Padgett JK: Pancreatic panniculitis associated with acinic cell adenocarcinoma: A case report and review of the literature. Cutis. 80:289–294. 2007.PubMed/NCBI

16 

Zundler S, Erber R, Agaimy A, Hartmann A, Kiesewetter F, Strobel D, Neurath MF and Wildner D: Pancreatic panniculitis in a patient with pancreatic-type acinar cell carcinoma of the liver-case report and review of literature. BMC Cancer. 16:1302016. View Article : Google Scholar : PubMed/NCBI

17 

Poruk KE, Gay DZ, Brown K, Mulvihill JD, Boucher KM, Scaife CL, Firpo MA and Mulvihill SJ: The clinical utility of CA 19–9 in pancreatic adenocarcinoma: Diagnostic and prognostic updates. Curr Mol Med. 13:340–351. 2013. View Article : Google Scholar : PubMed/NCBI

18 

Callata-Carhuapoma HR, Cour E Pato, Garcia-Paredes B, Fernandez RM, Fernandez ML Mendoza, Fernandez AM, De La Rosa CA, Lezama MJ Sotelo, Cabezas-Camarero S and Varela J Sastre: Pancreatic acinar cell carcinoma with bilateral ovarian metastases, panniculitis and polyarthritis treated with FOLFIRINOX chemotherapy regimen. A case report and review of the literature. Pancreatology. 15:440–444. 2015. View Article : Google Scholar : PubMed/NCBI

19 

Chaudhary P, Ranjan G, Chaudhary A, Tiwari AK and Arora MP: Acinar cell carcinoma: A rare pancreatic malignancy. Clin Pract. 3:e182013. View Article : Google Scholar : PubMed/NCBI

20 

Hall JC, Marlow LA, Mathias AC, Dawson LK, Durham WF, Meshaw KA, Mullin RJ, Synnott AJ, Small DL, Krishna M, et al: Novel patient-derived xenograft mouse model for pancreatic acinar cell carcinoma demonstrates single agent activity of oxaliplatin. J Transl Med. 14:1292016. View Article : Google Scholar : PubMed/NCBI

21 

Conroy T, Desseigne F, Ychou M, Bouché O, Guimbaud R, Bécouarn Y, Adenis A, Raoul JL, Gourgou-Bourgade S, de la Fouchardière C, et al: FOLFIRINOX versus gemcitabine for metastatic pancreatic cancer. N Engl J Med. 364:1817–1825. 2011. View Article : Google Scholar : PubMed/NCBI

Related Articles

  • Abstract
  • View
  • Download
  • Twitter
Copy and paste a formatted citation
Spandidos Publications style
Yoshihiro T, Nio K, Tsuchihashi K, Ariyama H, Kohashi K, Tsuruta N, Hanamura F, Inadomi K, Ito M, Sagara K, Sagara K, et al: Pancreatic acinar cell carcinoma presenting with panniculitis, successfully treated with FOLFIRINOX: A case report. Mol Clin Oncol 6: 866-870, 2017.
APA
Yoshihiro, T., Nio, K., Tsuchihashi, K., Ariyama, H., Kohashi, K., Tsuruta, N. ... Baba, E. (2017). Pancreatic acinar cell carcinoma presenting with panniculitis, successfully treated with FOLFIRINOX: A case report. Molecular and Clinical Oncology, 6, 866-870. https://doi.org/10.3892/mco.2017.1240
MLA
Yoshihiro, T., Nio, K., Tsuchihashi, K., Ariyama, H., Kohashi, K., Tsuruta, N., Hanamura, F., Inadomi, K., Ito, M., Sagara, K., Okumura, Y., Nakano, M., Arita, S., Kusaba, H., Oda, Y., Akashi, K., Baba, E."Pancreatic acinar cell carcinoma presenting with panniculitis, successfully treated with FOLFIRINOX: A case report". Molecular and Clinical Oncology 6.6 (2017): 866-870.
Chicago
Yoshihiro, T., Nio, K., Tsuchihashi, K., Ariyama, H., Kohashi, K., Tsuruta, N., Hanamura, F., Inadomi, K., Ito, M., Sagara, K., Okumura, Y., Nakano, M., Arita, S., Kusaba, H., Oda, Y., Akashi, K., Baba, E."Pancreatic acinar cell carcinoma presenting with panniculitis, successfully treated with FOLFIRINOX: A case report". Molecular and Clinical Oncology 6, no. 6 (2017): 866-870. https://doi.org/10.3892/mco.2017.1240
Copy and paste a formatted citation
x
Spandidos Publications style
Yoshihiro T, Nio K, Tsuchihashi K, Ariyama H, Kohashi K, Tsuruta N, Hanamura F, Inadomi K, Ito M, Sagara K, Sagara K, et al: Pancreatic acinar cell carcinoma presenting with panniculitis, successfully treated with FOLFIRINOX: A case report. Mol Clin Oncol 6: 866-870, 2017.
APA
Yoshihiro, T., Nio, K., Tsuchihashi, K., Ariyama, H., Kohashi, K., Tsuruta, N. ... Baba, E. (2017). Pancreatic acinar cell carcinoma presenting with panniculitis, successfully treated with FOLFIRINOX: A case report. Molecular and Clinical Oncology, 6, 866-870. https://doi.org/10.3892/mco.2017.1240
MLA
Yoshihiro, T., Nio, K., Tsuchihashi, K., Ariyama, H., Kohashi, K., Tsuruta, N., Hanamura, F., Inadomi, K., Ito, M., Sagara, K., Okumura, Y., Nakano, M., Arita, S., Kusaba, H., Oda, Y., Akashi, K., Baba, E."Pancreatic acinar cell carcinoma presenting with panniculitis, successfully treated with FOLFIRINOX: A case report". Molecular and Clinical Oncology 6.6 (2017): 866-870.
Chicago
Yoshihiro, T., Nio, K., Tsuchihashi, K., Ariyama, H., Kohashi, K., Tsuruta, N., Hanamura, F., Inadomi, K., Ito, M., Sagara, K., Okumura, Y., Nakano, M., Arita, S., Kusaba, H., Oda, Y., Akashi, K., Baba, E."Pancreatic acinar cell carcinoma presenting with panniculitis, successfully treated with FOLFIRINOX: A case report". Molecular and Clinical Oncology 6, no. 6 (2017): 866-870. https://doi.org/10.3892/mco.2017.1240
Follow us
  • Twitter
  • LinkedIn
  • Facebook
About
  • Spandidos Publications
  • Careers
  • Cookie Policy
  • Privacy Policy
How can we help?
  • Help
  • Live Chat
  • Contact
  • Email to our Support Team