Spandidos Publications Logo
  • About
    • About Spandidos
    • Aims and Scopes
    • Abstracting and Indexing
    • Editorial Policies
    • Reprints and Permissions
    • Job Opportunities
    • Terms and Conditions
    • Contact
  • Journals
    • All Journals
    • Oncology Letters
      • Oncology Letters
      • Information for Authors
      • Editorial Policies
      • Editorial Board
      • Aims and Scope
      • Abstracting and Indexing
      • Bibliographic Information
      • Archive
    • International Journal of Oncology
      • International Journal of Oncology
      • Information for Authors
      • Editorial Policies
      • Editorial Board
      • Aims and Scope
      • Abstracting and Indexing
      • Bibliographic Information
      • Archive
    • Molecular and Clinical Oncology
      • Molecular and Clinical Oncology
      • Information for Authors
      • Editorial Policies
      • Editorial Board
      • Aims and Scope
      • Abstracting and Indexing
      • Bibliographic Information
      • Archive
    • Experimental and Therapeutic Medicine
      • Experimental and Therapeutic Medicine
      • Information for Authors
      • Editorial Policies
      • Editorial Board
      • Aims and Scope
      • Abstracting and Indexing
      • Bibliographic Information
      • Archive
    • International Journal of Molecular Medicine
      • International Journal of Molecular Medicine
      • Information for Authors
      • Editorial Policies
      • Editorial Board
      • Aims and Scope
      • Abstracting and Indexing
      • Bibliographic Information
      • Archive
    • Biomedical Reports
      • Biomedical Reports
      • Information for Authors
      • Editorial Policies
      • Editorial Board
      • Aims and Scope
      • Abstracting and Indexing
      • Bibliographic Information
      • Archive
    • Oncology Reports
      • Oncology Reports
      • Information for Authors
      • Editorial Policies
      • Editorial Board
      • Aims and Scope
      • Abstracting and Indexing
      • Bibliographic Information
      • Archive
    • Molecular Medicine Reports
      • Molecular Medicine Reports
      • Information for Authors
      • Editorial Policies
      • Editorial Board
      • Aims and Scope
      • Abstracting and Indexing
      • Bibliographic Information
      • Archive
    • World Academy of Sciences Journal
      • World Academy of Sciences Journal
      • Information for Authors
      • Editorial Policies
      • Editorial Board
      • Aims and Scope
      • Abstracting and Indexing
      • Bibliographic Information
      • Archive
    • International Journal of Functional Nutrition
      • International Journal of Functional Nutrition
      • Information for Authors
      • Editorial Policies
      • Editorial Board
      • Aims and Scope
      • Abstracting and Indexing
      • Bibliographic Information
      • Archive
    • International Journal of Epigenetics
      • International Journal of Epigenetics
      • Information for Authors
      • Editorial Policies
      • Editorial Board
      • Aims and Scope
      • Abstracting and Indexing
      • Bibliographic Information
      • Archive
    • Medicine International
      • Medicine International
      • Information for Authors
      • Editorial Policies
      • Editorial Board
      • Aims and Scope
      • Abstracting and Indexing
      • Bibliographic Information
      • Archive
  • Articles
  • Information
    • Information for Authors
    • Information for Reviewers
    • Information for Librarians
    • Information for Advertisers
    • Conferences
  • Language Editing
Spandidos Publications Logo
  • About
    • About Spandidos
    • Aims and Scopes
    • Abstracting and Indexing
    • Editorial Policies
    • Reprints and Permissions
    • Job Opportunities
    • Terms and Conditions
    • Contact
  • Journals
    • All Journals
    • Biomedical Reports
      • Information for Authors
      • Editorial Policies
      • Editorial Board
      • Aims and Scope
      • Abstracting and Indexing
      • Bibliographic Information
      • Archive
    • Experimental and Therapeutic Medicine
      • Information for Authors
      • Editorial Policies
      • Editorial Board
      • Aims and Scope
      • Abstracting and Indexing
      • Bibliographic Information
      • Archive
    • International Journal of Epigenetics
      • Information for Authors
      • Editorial Policies
      • Editorial Board
      • Aims and Scope
      • Abstracting and Indexing
      • Bibliographic Information
      • Archive
    • International Journal of Functional Nutrition
      • Information for Authors
      • Editorial Policies
      • Editorial Board
      • Aims and Scope
      • Abstracting and Indexing
      • Bibliographic Information
      • Archive
    • International Journal of Molecular Medicine
      • Information for Authors
      • Editorial Policies
      • Editorial Board
      • Aims and Scope
      • Abstracting and Indexing
      • Bibliographic Information
      • Archive
    • International Journal of Oncology
      • Information for Authors
      • Editorial Policies
      • Editorial Board
      • Aims and Scope
      • Abstracting and Indexing
      • Bibliographic Information
      • Archive
    • Medicine International
      • Information for Authors
      • Editorial Policies
      • Editorial Board
      • Aims and Scope
      • Abstracting and Indexing
      • Bibliographic Information
      • Archive
    • Molecular and Clinical Oncology
      • Information for Authors
      • Editorial Policies
      • Editorial Board
      • Aims and Scope
      • Abstracting and Indexing
      • Bibliographic Information
      • Archive
    • Molecular Medicine Reports
      • Information for Authors
      • Editorial Policies
      • Editorial Board
      • Aims and Scope
      • Abstracting and Indexing
      • Bibliographic Information
      • Archive
    • Oncology Letters
      • Information for Authors
      • Editorial Policies
      • Editorial Board
      • Aims and Scope
      • Abstracting and Indexing
      • Bibliographic Information
      • Archive
    • Oncology Reports
      • Information for Authors
      • Editorial Policies
      • Editorial Board
      • Aims and Scope
      • Abstracting and Indexing
      • Bibliographic Information
      • Archive
    • World Academy of Sciences Journal
      • Information for Authors
      • Editorial Policies
      • Editorial Board
      • Aims and Scope
      • Abstracting and Indexing
      • Bibliographic Information
      • Archive
  • Articles
  • Information
    • For Authors
    • For Reviewers
    • For Librarians
    • For Advertisers
    • Conferences
  • Language Editing
Login Register Submit
  • This site uses cookies
  • You can change your cookie settings at any time by following the instructions in our Cookie Policy. To find out more, you may read our Privacy Policy.

    I agree
Search articles by DOI, keyword, author or affiliation
Search
Advanced Search
presentation
Molecular and Clinical Oncology
Join Editorial Board Propose a Special Issue
Print ISSN: 2049-9450 Online ISSN: 2049-9469
Journal Cover
June-2017 Volume 6 Issue 6

Full Size Image

Sign up for eToc alerts
Recommend to Library

Journals

International Journal of Molecular Medicine

International Journal of Molecular Medicine

International Journal of Molecular Medicine is an international journal devoted to molecular mechanisms of human disease.

International Journal of Oncology

International Journal of Oncology

International Journal of Oncology is an international journal devoted to oncology research and cancer treatment.

Molecular Medicine Reports

Molecular Medicine Reports

Covers molecular medicine topics such as pharmacology, pathology, genetics, neuroscience, infectious diseases, molecular cardiology, and molecular surgery.

Oncology Reports

Oncology Reports

Oncology Reports is an international journal devoted to fundamental and applied research in Oncology.

Experimental and Therapeutic Medicine

Experimental and Therapeutic Medicine

Experimental and Therapeutic Medicine is an international journal devoted to laboratory and clinical medicine.

Oncology Letters

Oncology Letters

Oncology Letters is an international journal devoted to Experimental and Clinical Oncology.

Biomedical Reports

Biomedical Reports

Explores a wide range of biological and medical fields, including pharmacology, genetics, microbiology, neuroscience, and molecular cardiology.

Molecular and Clinical Oncology

Molecular and Clinical Oncology

International journal addressing all aspects of oncology research, from tumorigenesis and oncogenes to chemotherapy and metastasis.

World Academy of Sciences Journal

World Academy of Sciences Journal

Multidisciplinary open-access journal spanning biochemistry, genetics, neuroscience, environmental health, and synthetic biology.

International Journal of Functional Nutrition

International Journal of Functional Nutrition

Open-access journal combining biochemistry, pharmacology, immunology, and genetics to advance health through functional nutrition.

International Journal of Epigenetics

International Journal of Epigenetics

Publishes open-access research on using epigenetics to advance understanding and treatment of human disease.

Medicine International

Medicine International

An International Open Access Journal Devoted to General Medicine.

Journal Cover
June-2017 Volume 6 Issue 6

Full Size Image

Sign up for eToc alerts
Recommend to Library

  • Article
  • Citations
    • Cite This Article
    • Download Citation
    • Create Citation Alert
    • Remove Citation Alert
    • Cited By
  • Similar Articles
    • Related Articles (in Spandidos Publications)
    • Similar Articles (Google Scholar)
    • Similar Articles (PubMed)
  • Download PDF
  • Download XML
  • View XML
Case Report

Sporadic giant intra-abdominal desmoid tumor: A radiological case report

  • Authors:
    • Karla Kovačević
    • Dragica Obad‑Kovačević
    • Jelena Popić‑Ramač
  • View Affiliations / Copyright

    Affiliations: School of Medicine, University of Zagreb, 10000 Zagreb, Croatia, Department of Diagnostic and Intervention Radiology, University Hospital Merkur, 10000 Zagreb, Croatia
  • Pages: 896-898
    |
    Published online on: May 8, 2017
       https://doi.org/10.3892/mco.2017.1250
  • Expand metrics +
Metrics: Total Views: 0 (Spandidos Publications: | PMC Statistics: )
Metrics: Total PDF Downloads: 0 (Spandidos Publications: | PMC Statistics: )
Cited By (CrossRef): 0 citations Loading Articles...

This article is mentioned in:



Abstract

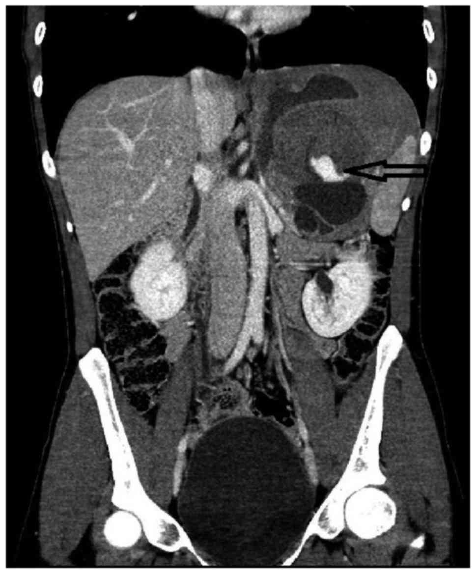
Desmoid tumor (DT) is a locally invasive form of fibromatosis, comprising only 0.03% of all tumors. DTs occur more frequently in patients with familial adenomatous polyposis and Gardner's syndrome, as intra‑abdominal or anterior abdominal wall tumors, whereas sporadic DTs are more likely to be extra‑abdominal (only 5% of sporadic DTs are intra‑abdominal). There is also an association of DTs with prior trauma, surgery, estrogen exposure and childbirth. Imaging studies, such as computed tomography (CT) and magnetic resonance imaging (MRI) are used for preoperative diagnosis and for the planning of the surgery. Following surgery, CT and MRI are used to detect recurrence and to monitor the tumor's response to radiotherapy or medical therapy for unresectable or recurrent tumors. We herein report a rare case of a sporadic giant intra‑abdominal DT in a 28‑year‑old female patient without any predisposing factors, and highlight the importance of including DT in the differential diagnosis of huge intra‑abdominal masses.
View Figures

Figure 1

Figure 2

View References

1 

Palladino E, Nsenda J, Siboni R and Lechner C: A giant mesenteric desmoid tumor revealed by acute pulmonary embolism due to compression of the inferior vena cava. Am J Case Rep. 15:374–377. 2014. View Article : Google Scholar : PubMed/NCBI

2 

Kasper B, Ströbel P and Hohenberger P: Desmoid tumors: Clinical features and treatment options for advanced disease. Oncologist. 16:682–693. 2011. View Article : Google Scholar : PubMed/NCBI

3 

Kreuzberg B, Koudelova J, Ferda J, Treska V, Spidlen V and Mukensnabl P: Diagnostic problems of abdominal desmoid tumors in various locations. Eur J Radiol. 62:180–185. 2007. View Article : Google Scholar : PubMed/NCBI

4 

Sakorafas GH, Nissotakis C and Peros G: Abdominal desmoid tumors. Surg Oncol. 16:131–142. 2007. View Article : Google Scholar : PubMed/NCBI

5 

Efthimiopoulos GA, Chatzifotiou D, Drogouti M and Zafiriou G: Primary asymptomatic desmoid tumor of the mesentery. Am J Case Rep. 16:160–163. 2015. View Article : Google Scholar : PubMed/NCBI

6 

Mangat C, Inoue S, Kader M, Debelenko L and Onwuzurike N: Sudden progressive abdominal pain due to large peritoneal desmoid tumor: A case report with review of literature. J Ped Surg Case Reports. 1:241–243. 2013. View Article : Google Scholar

7 

Koshariya M, Shukla S, Khan Z, Vikas V, Singh A Pratap, Baghel P, Pendro V, Jain V Kirti, Jai S Jagdish, Kumar S and Songra MC: Giant desmoid tumor of the anterior abdominal wall in a young female: A case report. Case Rep Surg. 2013:7808622013.PubMed/NCBI

8 

Mirza RA, Ghesani MV and Enker WE: Radiological case: Intra-abdominal desmoid tumor. Appl Radiol. 43:20–21. 2014.

9 

Chen CB, Chiou YY, Chen CH, Chou YH, Chiang JH and Chang CY: Sonographic and computed tomography findings of intra-abdominal desmoid tumor. J Chin Med Assoc. 73:393–395. 2010. View Article : Google Scholar : PubMed/NCBI

10 

Gari MK, Guraya SY, Hussein AM and Hego MM: Giant mesenteric fibromatosis: Report of a case and review of the literature. World J Gastrointest Surg. 4:79–82. 2012. View Article : Google Scholar : PubMed/NCBI

11 

Shah M and Azam B: Case report of an intra-abdominal desmoid tumour presenting with bowel perforation. Mcgill J Med. 10:90–92. 2007.PubMed/NCBI

Related Articles

  • Abstract
  • View
  • Download
  • Twitter
Copy and paste a formatted citation
Spandidos Publications style
Kovačević K, Obad‑Kovačević D and Popić‑Ramač J: Sporadic giant intra-abdominal desmoid tumor: A radiological case report. Mol Clin Oncol 6: 896-898, 2017.
APA
Kovačević, K., Obad‑Kovačević, D., & Popić‑Ramač, J. (2017). Sporadic giant intra-abdominal desmoid tumor: A radiological case report. Molecular and Clinical Oncology, 6, 896-898. https://doi.org/10.3892/mco.2017.1250
MLA
Kovačević, K., Obad‑Kovačević, D., Popić‑Ramač, J."Sporadic giant intra-abdominal desmoid tumor: A radiological case report". Molecular and Clinical Oncology 6.6 (2017): 896-898.
Chicago
Kovačević, K., Obad‑Kovačević, D., Popić‑Ramač, J."Sporadic giant intra-abdominal desmoid tumor: A radiological case report". Molecular and Clinical Oncology 6, no. 6 (2017): 896-898. https://doi.org/10.3892/mco.2017.1250
Copy and paste a formatted citation
x
Spandidos Publications style
Kovačević K, Obad‑Kovačević D and Popić‑Ramač J: Sporadic giant intra-abdominal desmoid tumor: A radiological case report. Mol Clin Oncol 6: 896-898, 2017.
APA
Kovačević, K., Obad‑Kovačević, D., & Popić‑Ramač, J. (2017). Sporadic giant intra-abdominal desmoid tumor: A radiological case report. Molecular and Clinical Oncology, 6, 896-898. https://doi.org/10.3892/mco.2017.1250
MLA
Kovačević, K., Obad‑Kovačević, D., Popić‑Ramač, J."Sporadic giant intra-abdominal desmoid tumor: A radiological case report". Molecular and Clinical Oncology 6.6 (2017): 896-898.
Chicago
Kovačević, K., Obad‑Kovačević, D., Popić‑Ramač, J."Sporadic giant intra-abdominal desmoid tumor: A radiological case report". Molecular and Clinical Oncology 6, no. 6 (2017): 896-898. https://doi.org/10.3892/mco.2017.1250
Follow us
  • Twitter
  • LinkedIn
  • Facebook
About
  • Spandidos Publications
  • Careers
  • Cookie Policy
  • Privacy Policy
How can we help?
  • Help
  • Live Chat
  • Contact
  • Email to our Support Team