Spandidos Publications Logo
  • About
    • About Spandidos
    • Aims and Scopes
    • Abstracting and Indexing
    • Editorial Policies
    • Reprints and Permissions
    • Job Opportunities
    • Terms and Conditions
    • Contact
  • Journals
    • All Journals
    • Oncology Letters
      • Oncology Letters
      • Information for Authors
      • Editorial Policies
      • Editorial Board
      • Aims and Scope
      • Abstracting and Indexing
      • Bibliographic Information
      • Archive
    • International Journal of Oncology
      • International Journal of Oncology
      • Information for Authors
      • Editorial Policies
      • Editorial Board
      • Aims and Scope
      • Abstracting and Indexing
      • Bibliographic Information
      • Archive
    • Molecular and Clinical Oncology
      • Molecular and Clinical Oncology
      • Information for Authors
      • Editorial Policies
      • Editorial Board
      • Aims and Scope
      • Abstracting and Indexing
      • Bibliographic Information
      • Archive
    • Experimental and Therapeutic Medicine
      • Experimental and Therapeutic Medicine
      • Information for Authors
      • Editorial Policies
      • Editorial Board
      • Aims and Scope
      • Abstracting and Indexing
      • Bibliographic Information
      • Archive
    • International Journal of Molecular Medicine
      • International Journal of Molecular Medicine
      • Information for Authors
      • Editorial Policies
      • Editorial Board
      • Aims and Scope
      • Abstracting and Indexing
      • Bibliographic Information
      • Archive
    • Biomedical Reports
      • Biomedical Reports
      • Information for Authors
      • Editorial Policies
      • Editorial Board
      • Aims and Scope
      • Abstracting and Indexing
      • Bibliographic Information
      • Archive
    • Oncology Reports
      • Oncology Reports
      • Information for Authors
      • Editorial Policies
      • Editorial Board
      • Aims and Scope
      • Abstracting and Indexing
      • Bibliographic Information
      • Archive
    • Molecular Medicine Reports
      • Molecular Medicine Reports
      • Information for Authors
      • Editorial Policies
      • Editorial Board
      • Aims and Scope
      • Abstracting and Indexing
      • Bibliographic Information
      • Archive
    • World Academy of Sciences Journal
      • World Academy of Sciences Journal
      • Information for Authors
      • Editorial Policies
      • Editorial Board
      • Aims and Scope
      • Abstracting and Indexing
      • Bibliographic Information
      • Archive
    • International Journal of Functional Nutrition
      • International Journal of Functional Nutrition
      • Information for Authors
      • Editorial Policies
      • Editorial Board
      • Aims and Scope
      • Abstracting and Indexing
      • Bibliographic Information
      • Archive
    • International Journal of Epigenetics
      • International Journal of Epigenetics
      • Information for Authors
      • Editorial Policies
      • Editorial Board
      • Aims and Scope
      • Abstracting and Indexing
      • Bibliographic Information
      • Archive
    • Medicine International
      • Medicine International
      • Information for Authors
      • Editorial Policies
      • Editorial Board
      • Aims and Scope
      • Abstracting and Indexing
      • Bibliographic Information
      • Archive
  • Articles
  • Information
    • Information for Authors
    • Information for Reviewers
    • Information for Librarians
    • Information for Advertisers
    • Conferences
  • Language Editing
Spandidos Publications Logo
  • About
    • About Spandidos
    • Aims and Scopes
    • Abstracting and Indexing
    • Editorial Policies
    • Reprints and Permissions
    • Job Opportunities
    • Terms and Conditions
    • Contact
  • Journals
    • All Journals
    • Biomedical Reports
      • Information for Authors
      • Editorial Policies
      • Editorial Board
      • Aims and Scope
      • Abstracting and Indexing
      • Bibliographic Information
      • Archive
    • Experimental and Therapeutic Medicine
      • Information for Authors
      • Editorial Policies
      • Editorial Board
      • Aims and Scope
      • Abstracting and Indexing
      • Bibliographic Information
      • Archive
    • International Journal of Epigenetics
      • Information for Authors
      • Editorial Policies
      • Editorial Board
      • Aims and Scope
      • Abstracting and Indexing
      • Bibliographic Information
      • Archive
    • International Journal of Functional Nutrition
      • Information for Authors
      • Editorial Policies
      • Editorial Board
      • Aims and Scope
      • Abstracting and Indexing
      • Bibliographic Information
      • Archive
    • International Journal of Molecular Medicine
      • Information for Authors
      • Editorial Policies
      • Editorial Board
      • Aims and Scope
      • Abstracting and Indexing
      • Bibliographic Information
      • Archive
    • International Journal of Oncology
      • Information for Authors
      • Editorial Policies
      • Editorial Board
      • Aims and Scope
      • Abstracting and Indexing
      • Bibliographic Information
      • Archive
    • Medicine International
      • Information for Authors
      • Editorial Policies
      • Editorial Board
      • Aims and Scope
      • Abstracting and Indexing
      • Bibliographic Information
      • Archive
    • Molecular and Clinical Oncology
      • Information for Authors
      • Editorial Policies
      • Editorial Board
      • Aims and Scope
      • Abstracting and Indexing
      • Bibliographic Information
      • Archive
    • Molecular Medicine Reports
      • Information for Authors
      • Editorial Policies
      • Editorial Board
      • Aims and Scope
      • Abstracting and Indexing
      • Bibliographic Information
      • Archive
    • Oncology Letters
      • Information for Authors
      • Editorial Policies
      • Editorial Board
      • Aims and Scope
      • Abstracting and Indexing
      • Bibliographic Information
      • Archive
    • Oncology Reports
      • Information for Authors
      • Editorial Policies
      • Editorial Board
      • Aims and Scope
      • Abstracting and Indexing
      • Bibliographic Information
      • Archive
    • World Academy of Sciences Journal
      • Information for Authors
      • Editorial Policies
      • Editorial Board
      • Aims and Scope
      • Abstracting and Indexing
      • Bibliographic Information
      • Archive
  • Articles
  • Information
    • For Authors
    • For Reviewers
    • For Librarians
    • For Advertisers
    • Conferences
  • Language Editing
Login Register Submit
  • This site uses cookies
  • You can change your cookie settings at any time by following the instructions in our Cookie Policy. To find out more, you may read our Privacy Policy.

    I agree
Search articles by DOI, keyword, author or affiliation
Search
Advanced Search
presentation
Molecular and Clinical Oncology
Join Editorial Board Propose a Special Issue
Print ISSN: 2049-9450 Online ISSN: 2049-9469
Journal Cover
June-2017 Volume 6 Issue 6

Full Size Image

Sign up for eToc alerts
Recommend to Library

Journals

International Journal of Molecular Medicine

International Journal of Molecular Medicine

International Journal of Molecular Medicine is an international journal devoted to molecular mechanisms of human disease.

International Journal of Oncology

International Journal of Oncology

International Journal of Oncology is an international journal devoted to oncology research and cancer treatment.

Molecular Medicine Reports

Molecular Medicine Reports

Covers molecular medicine topics such as pharmacology, pathology, genetics, neuroscience, infectious diseases, molecular cardiology, and molecular surgery.

Oncology Reports

Oncology Reports

Oncology Reports is an international journal devoted to fundamental and applied research in Oncology.

Experimental and Therapeutic Medicine

Experimental and Therapeutic Medicine

Experimental and Therapeutic Medicine is an international journal devoted to laboratory and clinical medicine.

Oncology Letters

Oncology Letters

Oncology Letters is an international journal devoted to Experimental and Clinical Oncology.

Biomedical Reports

Biomedical Reports

Explores a wide range of biological and medical fields, including pharmacology, genetics, microbiology, neuroscience, and molecular cardiology.

Molecular and Clinical Oncology

Molecular and Clinical Oncology

International journal addressing all aspects of oncology research, from tumorigenesis and oncogenes to chemotherapy and metastasis.

World Academy of Sciences Journal

World Academy of Sciences Journal

Multidisciplinary open-access journal spanning biochemistry, genetics, neuroscience, environmental health, and synthetic biology.

International Journal of Functional Nutrition

International Journal of Functional Nutrition

Open-access journal combining biochemistry, pharmacology, immunology, and genetics to advance health through functional nutrition.

International Journal of Epigenetics

International Journal of Epigenetics

Publishes open-access research on using epigenetics to advance understanding and treatment of human disease.

Medicine International

Medicine International

An International Open Access Journal Devoted to General Medicine.

Journal Cover
June-2017 Volume 6 Issue 6

Full Size Image

Sign up for eToc alerts
Recommend to Library

  • Article
  • Citations
    • Cite This Article
    • Download Citation
    • Create Citation Alert
    • Remove Citation Alert
    • Cited By
  • Similar Articles
    • Related Articles (in Spandidos Publications)
    • Similar Articles (Google Scholar)
    • Similar Articles (PubMed)
  • Download PDF
  • Download XML
  • View XML
Article

Isolated brain metastases prior to locoregional recurrence in hilar cholangiocarcinoma

  • Authors:
    • Zhimin Yu
    • Junyao Xu
    • Jie Wang
  • View Affiliations / Copyright

    Affiliations: Department of Hepatobiliary Surgery, Sun Yat‑Sen Memorial Hospital, Sun Yat‑Sen University, Guangzhou 510120, P.R. China
  • Pages: 899-902
    |
    Published online on: May 8, 2017
       https://doi.org/10.3892/mco.2017.1253
  • Expand metrics +
Metrics: Total Views: 0 (Spandidos Publications: | PMC Statistics: )
Metrics: Total PDF Downloads: 0 (Spandidos Publications: | PMC Statistics: )
Cited By (CrossRef): 0 citations Loading Articles...

This article is mentioned in:


Abstract

Isolated brain metastases prior to locoregional recurrence from hilar cholangiocarcinoma (HCCA) following curative resection are an extremely rare event. Very few reports regarding brain metastasis prior to locoregional recurrence following curative resection have been published due to the fact that to differentiate brain metastases from HCCA recurrence is challenging, particular in the early stages, since the neurological findings of brain metastasis are occult and subtle. Any patient with HCCA who has undergone radical resection and subsequently presented with a further onset of neurological symptoms should be evaluated for brain involvement. The present case study describes a patient with HCCA who underwent curative resection, and experienced isolated brain metastases prior to locoregional recurrence.

Introduction

Hilar cholangiocarcinoma (HCCA), which comprises ~50% of all malignant bile duct tumors, is a type of cancer that is difficult to treat (1). Surgical resection is the only potentially curative treatment for HCCA, although it fails to reduce the recurrence rate. A previous report has revealed that the HCCA recurrence rate following primary curative resection was up to 50–75% (2). The locoregional areas that are usually regarded as the main recurrent sites have also been documented in the literature (3), and contrary to the locoregional recurrence following radical resection, very few reports regarding isolated brain metastases prior to locoregional recurrence are available. The present case study describes a patient with HCCA who underwent curative resection, and experienced isolated brain metastases prior to locoregional recurrence.

Case report

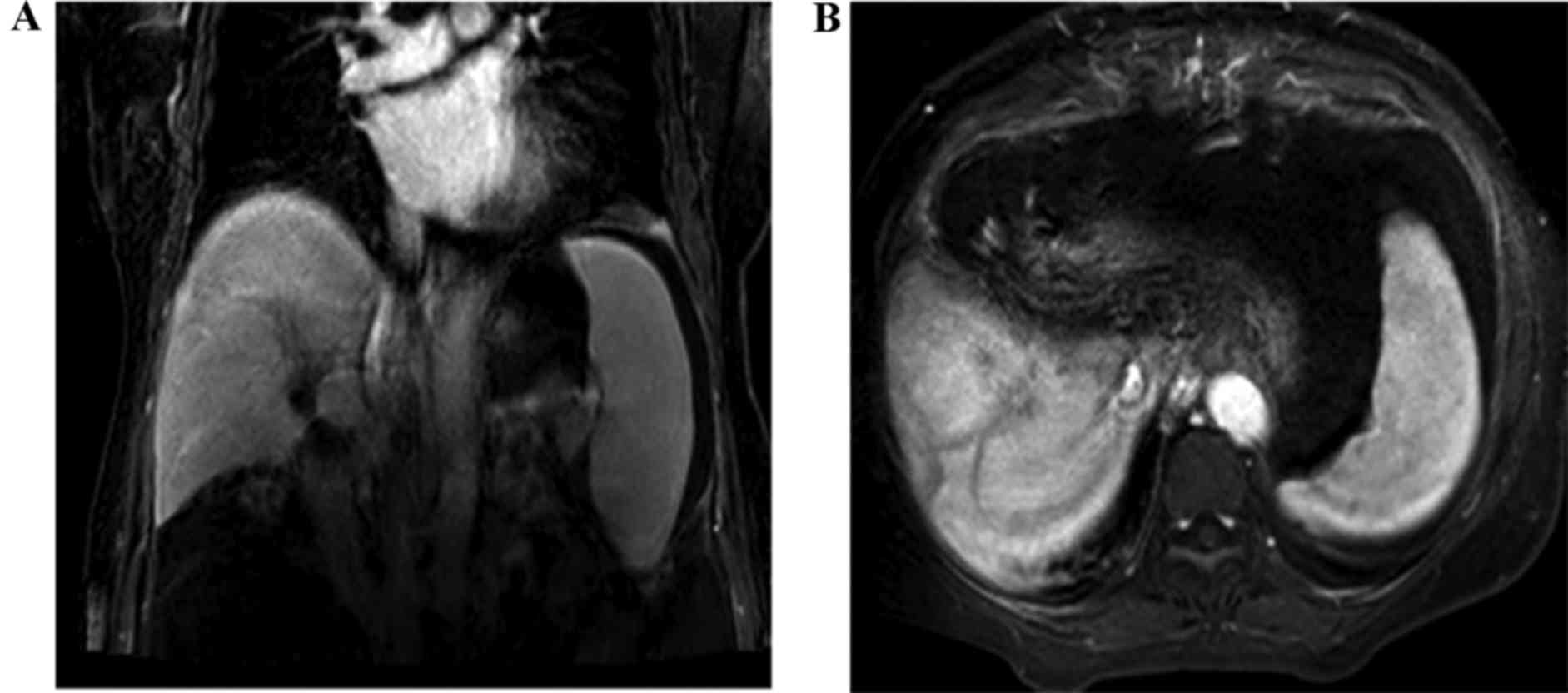
A 63-year-old female patient with a 2 weeks' history of intermittent epigastric pain was admitted to the Sun Yat-sen Memorial Hospital, Sun Yat-sen University, Guangzhou, China. A physical examination did not reveal any neurological symptoms, and the patient denied having any associated medical history. An magnetic resonance imaging (MRI) scan of the abdomen revealed that the left bile duct was replaced with a mass, and the intrahepatic biliary duct was dilated; furthermore, the left branch of the portal vein had been invaded (Fig. 1). Simultaneously, a laboratory examination revealed a level of the tumor marker, carcinoembryonic antigen (CEA), of 6.3 ng/ml (normal value, ≤5 ng/ml), and a cancer antigen 19-9 (CA19-9) concentration of 316 U/ml, as well as a moderately increased concentration of serum total bilirubin.

Figure 1.

Results of the MRI examination of the abdomen. (A and B) The left branch of portal vein was invaded. MRI, magnetic resonance scanning. CT, computed tomography.

A curative resection procedure of left hepatectomy with caudate lobectomy and Roux-en-Y bilioenteric anastomosis to re-establish biliary continuity were performed for this patient, with a clinical diagnosis of HCCA being made 7 days later. The patient was intraoperatively diagnosed with type IIIB HCCA, according to the Bismuth-Corlette classification system (4). Ultimately, R0 resection was achieved with negative hepatic margin and bile duct margin, confirmed by pathological examination postoperatively. None of 15 harvested lymph nodes were identified as positive. Finally, the pathological diagnosis of HCCA for this patient [according to the tumor-nodes-metastasis (TNM) system] was stage II, T2bN0M0, with well-differentiated adenocarcinoma. According to the National Comprehensive Cancer Network® (NCCN®) guidelines (5), patients with HCCA following curative resection may be free from adjuvant chemotherapy or radiotherapy. Therefore, the patient did not receive any postoperative adjuvant chemotherapy or radiation, although the present authors conformed with the appropriate follow-up schedules. The patient was released from hospital 2 weeks postoperatively.

During the following-up, the level of the biomarker, CEA, was determined to be 3.2 ng/ml and the CA19-9 concentration was 32.6 U/ml 3 months after the initial radical surgery, which suggested that the patient was disease-free and that no tumor recurrence activity had been identified. The patient remained alive for 14 months without any tumors, and neither abdominal computed tomography (CT) nor a laboratory examination revealed any sign of tumor recurrence. Subsequently, the patient felt weakness of the right upper extremity and presented with mildly epigastric distention, as well as nausea, 15 months after the initial surgery. Therefore, the patient was readmitted to the Sun Yat-sen Memorial Hospital, Sun Yat-sen University, Guangzhou, China. A physical examination was unremarkable. Laboratory tests revealed that the level of aminotransferase was moderately increased, the level of CEA was 9.2 ng/ml, and the concentration of CA 19-9 was 207 U/ml. Furthermore, the cerebral MRI displayed enhancing lesions of the right subcortical frontal lobe and the left subcortical parietal cortex lobe (Fig. 2). It was clearly indicated that these small tumor entities were surrounded with flaky edema (Fig. 2B-D), which is a feature of metastatic encephaloma. Our multidisciplinary team discussed the presentation of the cerebral MRI images, and the radiologist and neurosurgeon considered that they were consistent with metastatic tumors, rather than a primary tumor of brain. At the same time, neither tumor recurrence nor locoregional lymph nodes metastasis was detected in the abdomen using contrasted CT (Fig. 3). A neurosurgeon was consulted for possible biopsy prior to chemotherapy or radiotherapy, but the patient refused to accept any further medical therapy. She died suddenly from a brain hernia due to progression of brain metastasis 2 months after the isolated brain metastasis.

Figure 2.

The MRI of the brain revealed an enhancing lesion of the right subcortical frontal lobe (A) and of the left subcortical parietal cortex lobe (B), respectively, 15 months after curative resection. (C and D) Lesions in the transverse and coronary position are displayed, respectively. MRI, magnetic resonance imaging.

Figure 3.

Results of the abdominal contrast-CT examination of the abdomen. (A and B) The abdominal contrast-CT revealed that no tumor recurrence or locoregional lymph nodes metastasis was detected 15 months after the curative resection. CT, computed tomography.

Discussion

Brain metastases, with an incidence of ~5%, usually occurs in patients with primary carcinoma, including breast cancer, lung cancer, and melanoma (6,7). Regarding the brain metastases from HCCA, only a few cases with brain metastases can be located in the previous literature, which is predominantly associated with intrahepatic cholangiocarcinoma (ICC) rather than HCCA (6,8,9).

Surgical resection is the only potential curative option for HCCA. However, the recurrence rate following primary curative resection is currently at the level of 50–75% (2). At the same time, the main recurrent sites are predominantly located in locoregional areas, such as the hepatic resection margin, bilioenteric anastomosis, and porta hepatis (3). Non-hematogenous spread to distant organs is a rare phenomenon, particularly in the brain. In a recent study from Thailand, brain metastases occurred in 0.15% (8 out of 5,164) of patients with cholangiocarcinoma, but only 2 were patients with HCCA (10). Additionally, cholangiocarcinoma is known to be a poorly vascularized carcinoma that originates from the biliary tree, which may account for the rare occurrence of brain metastases in HCCA.

Although, in the present case study, the diagnosis of isolated brain metastases was a clinical diagnosis made without biopsy due to the refusal of the patient, it was observed that the CEA concentration of 9.2 ng/ml (normal concentration, ≤5 ng/ml) and the CA19-9 concentration of 207 U/ml (normal, ≤34 U/ml) were markedly abnormal. Comparing these values with the CEA level of 3.2 ng/ml and the CA19-9 level of 32.6 U/ml recorded 3 months after radical surgery, this suggested that HCCA recurrence had occurred to a large extent. Furthermore, the additional primary tumor of the alimentary tract was excluded on the basis of past history and abdominal image workup. Importantly, multiple lesions, but not only one tumor entity, were detected by the brain MRI scan. In addition, these small tumor entities were surrounded with clearly flaky edema (Fig. 2B-D), which is a feature of metastatic encephaloma.

To differentiate brain metastasis from the recurrence of HCCA is challenging, particularly in the early stages, since neurological findings of brain metastasis were occult and subtle. Indeed, in this case, no remarkable sign was observed until 15 months postoperatively, when the patient developed weakness of the upper extremity. Although MRI scans may help in detection of the cerebral lesion, it is not a routine workup for HCCA during postoperative follow-up. Furthermore, hepatopancreatobiliary practitioners tend to focus on examinations of the abdominal CT and laboratory tests to detect regular recurrence sites of HCCA postoperatively, which may miss other potential solitary recurrence sites. Furthermore, to the best of our knowledge, the median survival time of brain metastasis from ICC is dismal, even after having performed whole-brain radiotherapy or chemotherapy (6,9,10). However, a similar outcome of isolated brain metastasis in HCCA following curative resection is not available. It must be admitted that our case presented a poor prognosis. Hence, early diagnosis and an associated aggressive treatment might be necessary in order to prevent irreversible neurological deficits, and to stabilize the neurological status to a certain extent.

In conclusion, isolated brain metastases prior to locoregional recurrence in HCCA following curative surgery is a fatal complication that occurs extremely rarely. Clinicians are supposed to keep their minds open and focus on the neurological symptoms, such as motor weakness, or alteration of consciousness. It is indispensable that any patient with HCCA who has undergone radical resection surgery, and subsequently presented with a further onset of neurological symptoms, should be evaluated for brain involvement (11).

Acknowledgements

The present study was supported by the ‘Young Stuff’ foundation of Sun Yat-Sen University (grant no. 15ykpy20) the Key Laboratory of Malignant Tumor Mechanism and Translational Medicine of Guangzhou Bureau of Science and Information Technology (grant no. [2013] 163), and the Key Laboratory of Malignant Tumor Gene Regulation and Target Therapy of Guangdong Higher Education Institutes (grant no. KLB 09001).

References

1 

Khan SA, Davidson BR, Goldin RD, Heaton N, Karani J, Pereira SP, Rosenberg WM, Tait P, Taylor-Robinson SD, Thillainayagam AV, et al: Guidelines for the diagnosis and treatment of cholangiocarcinoma: An update. Gut. 61:1657–1669. 2012. View Article : Google Scholar : PubMed/NCBI

2 

Jang JY, Kim SW, Park DJ, Ahn YJ, Yoon YS, Choi MG, Suh KS, Lee KU and Park YH: Actual long-term outcome of extrahepatic bile duct cancer after surgical resection. Ann Surg. 241:77–84. 2005.PubMed/NCBI

3 

Jarnagin WR, Ruo L, Little SA, Klimstra D, D'Angelica M, DeMatteo RP, Wagman R, Blumgart LH and Fong Y: Patterns of initial disease recurrence after resection of gallbladder carcinoma and hilar cholangiocarcinoma: Implications for adjuvant therapeutic strategies. Cancer. 98:1689–1700. 2003. View Article : Google Scholar : PubMed/NCBI

4 

Bismuth H and Corlette MB: Intrahepatic cholangioenteric anastomosis in carcinoma of the hilus of the liver. Surg Gynecol Obstet. 140:170–178. 1975.PubMed/NCBI

5 

National Comprehensive Cancer Network. (NCCN), . Clinical Practice Guidelines in Oncology. Hepatobiliary Cancer. (Version 2. 2016). https://www.nccn.org/professionals/physician_gls/f_guidelines.aspJune 27–2016

6 

William BM and Grem JL: Brain metastasis and leptomeningeal carcinomatosis in a patient with cholangiocarcinoma. Gastrointest Cancer Res. 4:144–145. 2011.PubMed/NCBI

7 

Pan Z, Yang G, Yuan T, Pang X, Wang Y, Qu L and Dong L: Leptomeningeal metastasis from hepatocellular carcinoma with other unusual metastases: A case report. BMC Cancer. 14:3992014. View Article : Google Scholar : PubMed/NCBI

8 

Huffman JL, Yeatman TJ and Smith JB: Leptomeningial Carcinomatosis: A sequela of Cholangiocarcinoma. Am Surg. 63:310–313. 1997.PubMed/NCBI

9 

Jacobs RE, McNeill K, Volpicelli FM, Warltier K, Iturrate E, Okamura C, Adler N, Smith J, Sigmund A, Mednick A, et al: Treatment of leptomeningeal carcinomatosis in a patient with metastatic cholangiocarcinoma. ACG Case Rep J. 2:39–41. 2014. View Article : Google Scholar : PubMed/NCBI

10 

Chindaprasirt J, Sookprasert A, Sawanyawisuth K, Limpawattana P and Tiamkao S: Brain metastases from cholangiocarcinoma: A first case series in Thailand. Asian Pac J Cancer Prev. 13:1995–1997. 2012. View Article : Google Scholar : PubMed/NCBI

11 

Mirrakhimov AE, Nwankwo N, Zdunek T and Bucher N: Cholangiocarcinoma and brain lesions: An extremely rare finding. BMJ Case Rep: bcr2013009235. 2013. View Article : Google Scholar

Related Articles

  • Abstract
  • View
  • Download
  • Twitter
Copy and paste a formatted citation
Spandidos Publications style
Yu Z, Xu J and Wang J: Isolated brain metastases prior to locoregional recurrence in hilar cholangiocarcinoma. Mol Clin Oncol 6: 899-902, 2017.
APA
Yu, Z., Xu, J., & Wang, J. (2017). Isolated brain metastases prior to locoregional recurrence in hilar cholangiocarcinoma. Molecular and Clinical Oncology, 6, 899-902. https://doi.org/10.3892/mco.2017.1253
MLA
Yu, Z., Xu, J., Wang, J."Isolated brain metastases prior to locoregional recurrence in hilar cholangiocarcinoma". Molecular and Clinical Oncology 6.6 (2017): 899-902.
Chicago
Yu, Z., Xu, J., Wang, J."Isolated brain metastases prior to locoregional recurrence in hilar cholangiocarcinoma". Molecular and Clinical Oncology 6, no. 6 (2017): 899-902. https://doi.org/10.3892/mco.2017.1253
Copy and paste a formatted citation
x
Spandidos Publications style
Yu Z, Xu J and Wang J: Isolated brain metastases prior to locoregional recurrence in hilar cholangiocarcinoma. Mol Clin Oncol 6: 899-902, 2017.
APA
Yu, Z., Xu, J., & Wang, J. (2017). Isolated brain metastases prior to locoregional recurrence in hilar cholangiocarcinoma. Molecular and Clinical Oncology, 6, 899-902. https://doi.org/10.3892/mco.2017.1253
MLA
Yu, Z., Xu, J., Wang, J."Isolated brain metastases prior to locoregional recurrence in hilar cholangiocarcinoma". Molecular and Clinical Oncology 6.6 (2017): 899-902.
Chicago
Yu, Z., Xu, J., Wang, J."Isolated brain metastases prior to locoregional recurrence in hilar cholangiocarcinoma". Molecular and Clinical Oncology 6, no. 6 (2017): 899-902. https://doi.org/10.3892/mco.2017.1253
Follow us
  • Twitter
  • LinkedIn
  • Facebook
About
  • Spandidos Publications
  • Careers
  • Cookie Policy
  • Privacy Policy
How can we help?
  • Help
  • Live Chat
  • Contact
  • Email to our Support Team