Spandidos Publications Logo
  • About
    • About Spandidos
    • Aims and Scopes
    • Abstracting and Indexing
    • Editorial Policies
    • Reprints and Permissions
    • Job Opportunities
    • Terms and Conditions
    • Contact
  • Journals
    • All Journals
    • Oncology Letters
      • Oncology Letters
      • Information for Authors
      • Editorial Policies
      • Editorial Board
      • Aims and Scope
      • Abstracting and Indexing
      • Bibliographic Information
      • Archive
    • International Journal of Oncology
      • International Journal of Oncology
      • Information for Authors
      • Editorial Policies
      • Editorial Board
      • Aims and Scope
      • Abstracting and Indexing
      • Bibliographic Information
      • Archive
    • Molecular and Clinical Oncology
      • Molecular and Clinical Oncology
      • Information for Authors
      • Editorial Policies
      • Editorial Board
      • Aims and Scope
      • Abstracting and Indexing
      • Bibliographic Information
      • Archive
    • Experimental and Therapeutic Medicine
      • Experimental and Therapeutic Medicine
      • Information for Authors
      • Editorial Policies
      • Editorial Board
      • Aims and Scope
      • Abstracting and Indexing
      • Bibliographic Information
      • Archive
    • International Journal of Molecular Medicine
      • International Journal of Molecular Medicine
      • Information for Authors
      • Editorial Policies
      • Editorial Board
      • Aims and Scope
      • Abstracting and Indexing
      • Bibliographic Information
      • Archive
    • Biomedical Reports
      • Biomedical Reports
      • Information for Authors
      • Editorial Policies
      • Editorial Board
      • Aims and Scope
      • Abstracting and Indexing
      • Bibliographic Information
      • Archive
    • Oncology Reports
      • Oncology Reports
      • Information for Authors
      • Editorial Policies
      • Editorial Board
      • Aims and Scope
      • Abstracting and Indexing
      • Bibliographic Information
      • Archive
    • Molecular Medicine Reports
      • Molecular Medicine Reports
      • Information for Authors
      • Editorial Policies
      • Editorial Board
      • Aims and Scope
      • Abstracting and Indexing
      • Bibliographic Information
      • Archive
    • World Academy of Sciences Journal
      • World Academy of Sciences Journal
      • Information for Authors
      • Editorial Policies
      • Editorial Board
      • Aims and Scope
      • Abstracting and Indexing
      • Bibliographic Information
      • Archive
    • International Journal of Functional Nutrition
      • International Journal of Functional Nutrition
      • Information for Authors
      • Editorial Policies
      • Editorial Board
      • Aims and Scope
      • Abstracting and Indexing
      • Bibliographic Information
      • Archive
    • International Journal of Epigenetics
      • International Journal of Epigenetics
      • Information for Authors
      • Editorial Policies
      • Editorial Board
      • Aims and Scope
      • Abstracting and Indexing
      • Bibliographic Information
      • Archive
    • Medicine International
      • Medicine International
      • Information for Authors
      • Editorial Policies
      • Editorial Board
      • Aims and Scope
      • Abstracting and Indexing
      • Bibliographic Information
      • Archive
  • Articles
  • Information
    • Information for Authors
    • Information for Reviewers
    • Information for Librarians
    • Information for Advertisers
    • Conferences
  • Language Editing
Spandidos Publications Logo
  • About
    • About Spandidos
    • Aims and Scopes
    • Abstracting and Indexing
    • Editorial Policies
    • Reprints and Permissions
    • Job Opportunities
    • Terms and Conditions
    • Contact
  • Journals
    • All Journals
    • Biomedical Reports
      • Information for Authors
      • Editorial Policies
      • Editorial Board
      • Aims and Scope
      • Abstracting and Indexing
      • Bibliographic Information
      • Archive
    • Experimental and Therapeutic Medicine
      • Information for Authors
      • Editorial Policies
      • Editorial Board
      • Aims and Scope
      • Abstracting and Indexing
      • Bibliographic Information
      • Archive
    • International Journal of Epigenetics
      • Information for Authors
      • Editorial Policies
      • Editorial Board
      • Aims and Scope
      • Abstracting and Indexing
      • Bibliographic Information
      • Archive
    • International Journal of Functional Nutrition
      • Information for Authors
      • Editorial Policies
      • Editorial Board
      • Aims and Scope
      • Abstracting and Indexing
      • Bibliographic Information
      • Archive
    • International Journal of Molecular Medicine
      • Information for Authors
      • Editorial Policies
      • Editorial Board
      • Aims and Scope
      • Abstracting and Indexing
      • Bibliographic Information
      • Archive
    • International Journal of Oncology
      • Information for Authors
      • Editorial Policies
      • Editorial Board
      • Aims and Scope
      • Abstracting and Indexing
      • Bibliographic Information
      • Archive
    • Medicine International
      • Information for Authors
      • Editorial Policies
      • Editorial Board
      • Aims and Scope
      • Abstracting and Indexing
      • Bibliographic Information
      • Archive
    • Molecular and Clinical Oncology
      • Information for Authors
      • Editorial Policies
      • Editorial Board
      • Aims and Scope
      • Abstracting and Indexing
      • Bibliographic Information
      • Archive
    • Molecular Medicine Reports
      • Information for Authors
      • Editorial Policies
      • Editorial Board
      • Aims and Scope
      • Abstracting and Indexing
      • Bibliographic Information
      • Archive
    • Oncology Letters
      • Information for Authors
      • Editorial Policies
      • Editorial Board
      • Aims and Scope
      • Abstracting and Indexing
      • Bibliographic Information
      • Archive
    • Oncology Reports
      • Information for Authors
      • Editorial Policies
      • Editorial Board
      • Aims and Scope
      • Abstracting and Indexing
      • Bibliographic Information
      • Archive
    • World Academy of Sciences Journal
      • Information for Authors
      • Editorial Policies
      • Editorial Board
      • Aims and Scope
      • Abstracting and Indexing
      • Bibliographic Information
      • Archive
  • Articles
  • Information
    • For Authors
    • For Reviewers
    • For Librarians
    • For Advertisers
    • Conferences
  • Language Editing
Login Register Submit
  • This site uses cookies
  • You can change your cookie settings at any time by following the instructions in our Cookie Policy. To find out more, you may read our Privacy Policy.

    I agree
Search articles by DOI, keyword, author or affiliation
Search
Advanced Search
presentation
Molecular and Clinical Oncology
Join Editorial Board Propose a Special Issue
Print ISSN: 2049-9450 Online ISSN: 2049-9469
Journal Cover
October-2017 Volume 7 Issue 4

Full Size Image

Sign up for eToc alerts
Recommend to Library

Journals

International Journal of Molecular Medicine

International Journal of Molecular Medicine

International Journal of Molecular Medicine is an international journal devoted to molecular mechanisms of human disease.

International Journal of Oncology

International Journal of Oncology

International Journal of Oncology is an international journal devoted to oncology research and cancer treatment.

Molecular Medicine Reports

Molecular Medicine Reports

Covers molecular medicine topics such as pharmacology, pathology, genetics, neuroscience, infectious diseases, molecular cardiology, and molecular surgery.

Oncology Reports

Oncology Reports

Oncology Reports is an international journal devoted to fundamental and applied research in Oncology.

Experimental and Therapeutic Medicine

Experimental and Therapeutic Medicine

Experimental and Therapeutic Medicine is an international journal devoted to laboratory and clinical medicine.

Oncology Letters

Oncology Letters

Oncology Letters is an international journal devoted to Experimental and Clinical Oncology.

Biomedical Reports

Biomedical Reports

Explores a wide range of biological and medical fields, including pharmacology, genetics, microbiology, neuroscience, and molecular cardiology.

Molecular and Clinical Oncology

Molecular and Clinical Oncology

International journal addressing all aspects of oncology research, from tumorigenesis and oncogenes to chemotherapy and metastasis.

World Academy of Sciences Journal

World Academy of Sciences Journal

Multidisciplinary open-access journal spanning biochemistry, genetics, neuroscience, environmental health, and synthetic biology.

International Journal of Functional Nutrition

International Journal of Functional Nutrition

Open-access journal combining biochemistry, pharmacology, immunology, and genetics to advance health through functional nutrition.

International Journal of Epigenetics

International Journal of Epigenetics

Publishes open-access research on using epigenetics to advance understanding and treatment of human disease.

Medicine International

Medicine International

An International Open Access Journal Devoted to General Medicine.

Journal Cover
October-2017 Volume 7 Issue 4

Full Size Image

Sign up for eToc alerts
Recommend to Library

  • Article
  • Citations
    • Cite This Article
    • Download Citation
    • Create Citation Alert
    • Remove Citation Alert
    • Cited By
  • Similar Articles
    • Related Articles (in Spandidos Publications)
    • Similar Articles (Google Scholar)
    • Similar Articles (PubMed)
  • Download PDF
  • Download XML
  • View XML
Article

Tuberous sclerosis-associated renal angiomyolipoma: A report of two cases and review of the literature

  • Authors:
    • Canbin Lin
    • Lu Jin
    • Yu Yang
    • Yu Ding
    • Xionghui Wu
    • Liangchao Ni
    • Shangqi Yang
    • Yongqing Lai
  • View Affiliations / Copyright

    Affiliations: Department of Urology, Shantou University Medical College, Shantou, Guangdong 515041, P.R. China, Department of Urology, Peking University Shenzhen Hospital, Shenzhen, Guangdong 518036, P.R. China
  • Pages: 706-708
    |
    Published online on: August 14, 2017
       https://doi.org/10.3892/mco.2017.1377
  • Expand metrics +
Metrics: Total Views: 0 (Spandidos Publications: | PMC Statistics: )
Metrics: Total PDF Downloads: 0 (Spandidos Publications: | PMC Statistics: )
Cited By (CrossRef): 0 citations Loading Articles...

This article is mentioned in:



Abstract

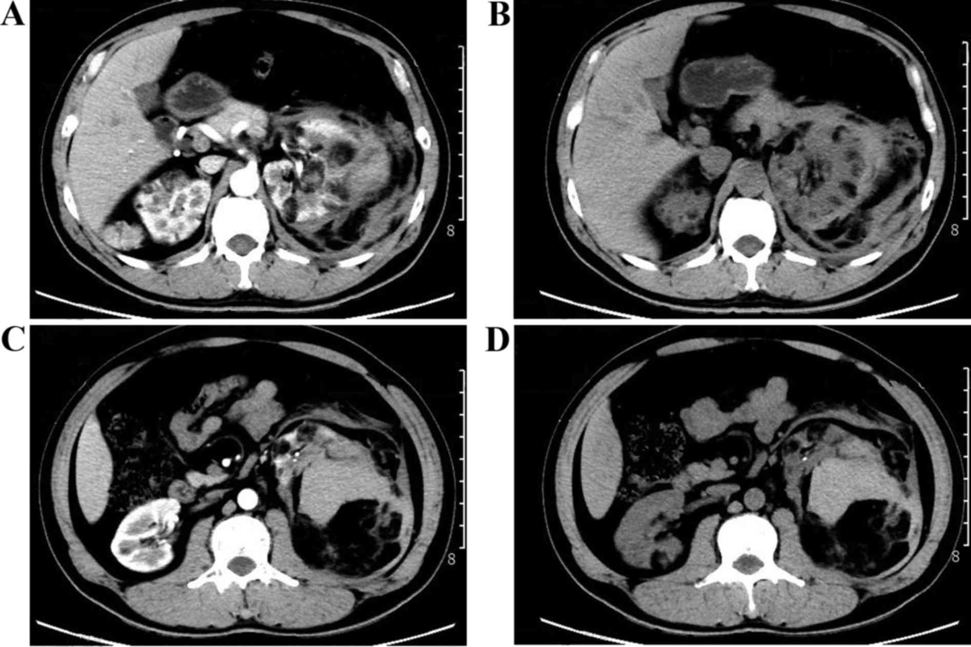
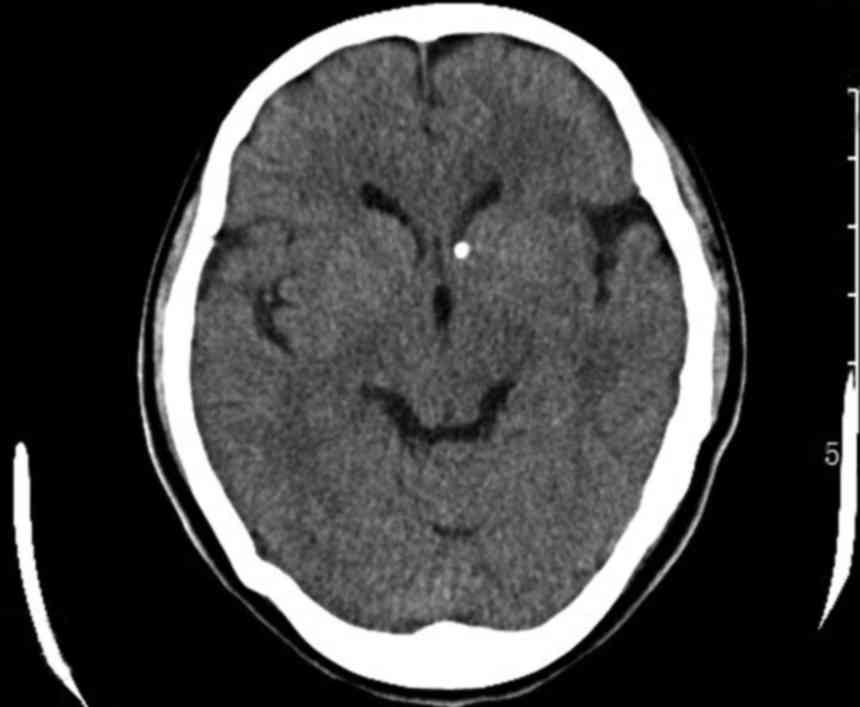
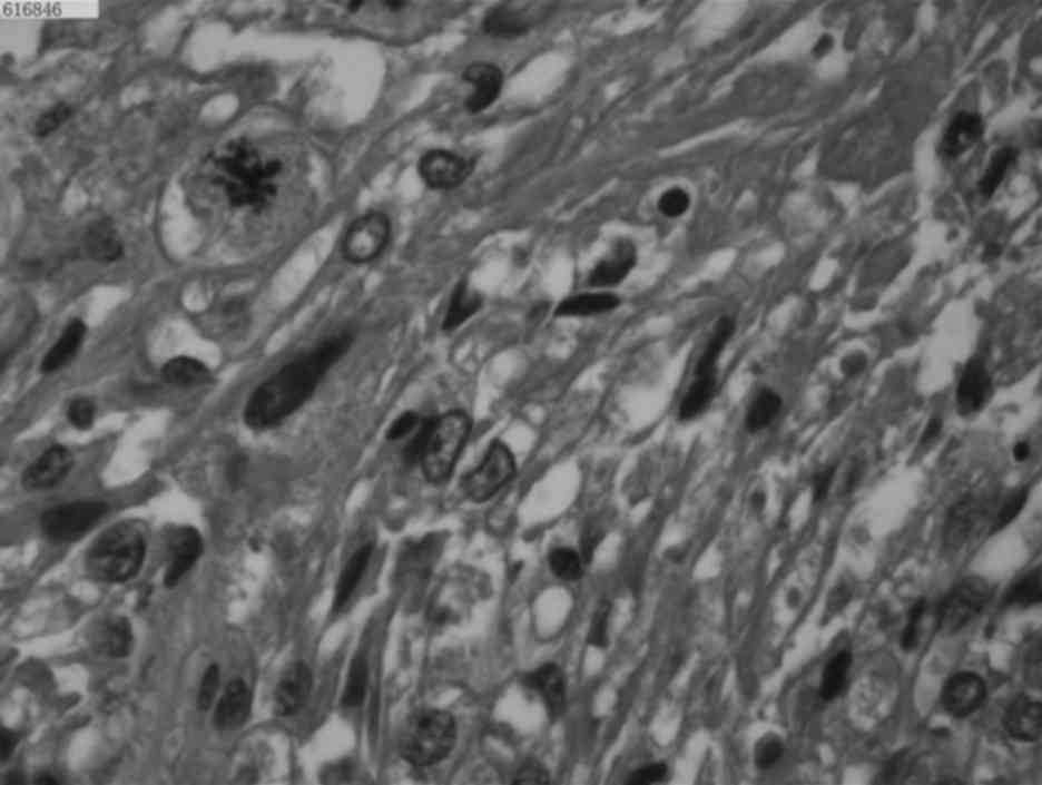
In the general population, tuberous sclerosis‑associated renal angiomyolipoma (RAML) is a rare benign hamartoma with potentially life‑threatening complications and a poor prognosis. The two patients reported in the present study, who were diagnosed with bilateral RAML and spontaneous rupture of the RAML with tuberous sclerosis, presented with flank pain, abdominal pain, hemorrhage, hematuria and multiple lesions. The two cases are representative examples of the disease, and highlight the importance of determining the risk of acute hemorrhage in the early stages, and the significance of timely and proper treatment.
View Figures

Figure 1

Figure 2

Figure 3

Figure 4

Figure 5

View References

1 

Parekh S, Jolapara M, Shah T and Rajpura H: Emergency embolization of actively bleeding renal angiomyolipoma in a patient of tuberous sclerosis. Ren Fail. 36:1114–1118. 2014. View Article : Google Scholar

2 

Azim A and Rajkumar G: Renal angiomyolipomas in tuberous sclerosis-rare but potentially life-threatening lesions. BMJ Case Rep. 2012:pii: bcr2012007720. 2012. View Article : Google Scholar

3 

Redkar N, Patil MA, Dhakate T and Kolhe P: Tuberous sclerosis complex presenting as bilateral large renal angiomyolipomas. BMJ Case Rep. 2012:pii: bcr2012006412. 2012. View Article : Google Scholar

4 

Kushwaha R, Dhawan I, Arora R, Gupta K and Dhupia JS: Multifocal renal angiomyolipoma presenting as massive intraabdominal hemorrhage. Indian J Pathol Microbiol. 53:340–341. 2010. View Article : Google Scholar

5 

Moratalla MB: Wunderlich's syndrome due to spontaneous rupture of large bilateral angiomyolipomas. Emerg Med J. 26:722009. View Article : Google Scholar

6 

Sukumar S, Nair Balagopal T, Saheed Mohammed CS and Bhat Sanjay H: Bilateral nephron sparing surgeries for multiple renal angiomyolipomas in Bourneville's disease. Int Urol Nephrol. 39:389–391. 2007. View Article : Google Scholar

7 

Sarraf M, Masoumi A, Castro-Silva FJ, Myers JB, Wilson SS and Schrier RW: A case of tuberous sclerosis complex that progressed to end-stage renal disease. Nat Clin Pract Nephrol. 5:172–176. 2009. View Article : Google Scholar

8 

Wong IY and Shortliffe LD: The management of renal angiomyolipomas in a patient with tuberous sclerosis. Nat Clin Pract Urol. 6:168–172. 2009. View Article : Google Scholar

9 

Siroky BJ, Yin H and Bissler JJ: Clinical and molecular insights into tuberous sclerosis complex renal disease. Pediatr Nephrol. 26:839–852. 2011. View Article : Google Scholar

10 

Dixon BP, Hulbert JC and Bissler JJ: Tuberous sclerosis complex renal disease. Nephron Exp Nephrol. 118:e15–e20. 2011. View Article : Google Scholar

11 

Shen WH, Pan JH, Yan JN, Chen ZW, Zhou ZS, Lu GS and Li WB: Resection of a giant renal angiomyolipoma in a solitary kidney with preoperative arterial embolization. Chin Med J (Engl). 124:1435–1437. 2011.

12 

Granata A, Basile A, Figuera M, Mignani R and Fiore CE: Spontaneous retroperitoneal hemorrhage due to massive rupture of renal angiomyolipoma treated with nephrectomy: An unusual onset of tuberous sclerosis complex. Clin Nephrol. 71:441–444. 2009. View Article : Google Scholar

13 

Sparks D, Chase D, Thomas D and Arnott J: The Wunderlich's syndrome secondary to massive bilateral angiomyolipomas associated with advanced tuberous sclerosis. Saudi J Kidney Dis Transpl. 22:534–537. 2011.

14 

Taviloglu K, Yanar H, Dilege E, Poyanli A, Zorba O, Ertekin C, Guloglu R and Dursun M: Non-traumatic kidney rupture in a tuberosclerosis patient with renal angiomyolipomas. Intern Med J. 37:504–505. 2007. View Article : Google Scholar

Related Articles

  • Abstract
  • View
  • Download
  • Twitter
Copy and paste a formatted citation
Spandidos Publications style
Lin C, Jin L, Yang Y, Ding Y, Wu X, Ni L, Yang S and Lai Y: Tuberous sclerosis-associated renal angiomyolipoma: A report of two cases and review of the literature. Mol Clin Oncol 7: 706-708, 2017.
APA
Lin, C., Jin, L., Yang, Y., Ding, Y., Wu, X., Ni, L. ... Lai, Y. (2017). Tuberous sclerosis-associated renal angiomyolipoma: A report of two cases and review of the literature. Molecular and Clinical Oncology, 7, 706-708. https://doi.org/10.3892/mco.2017.1377
MLA
Lin, C., Jin, L., Yang, Y., Ding, Y., Wu, X., Ni, L., Yang, S., Lai, Y."Tuberous sclerosis-associated renal angiomyolipoma: A report of two cases and review of the literature". Molecular and Clinical Oncology 7.4 (2017): 706-708.
Chicago
Lin, C., Jin, L., Yang, Y., Ding, Y., Wu, X., Ni, L., Yang, S., Lai, Y."Tuberous sclerosis-associated renal angiomyolipoma: A report of two cases and review of the literature". Molecular and Clinical Oncology 7, no. 4 (2017): 706-708. https://doi.org/10.3892/mco.2017.1377
Copy and paste a formatted citation
x
Spandidos Publications style
Lin C, Jin L, Yang Y, Ding Y, Wu X, Ni L, Yang S and Lai Y: Tuberous sclerosis-associated renal angiomyolipoma: A report of two cases and review of the literature. Mol Clin Oncol 7: 706-708, 2017.
APA
Lin, C., Jin, L., Yang, Y., Ding, Y., Wu, X., Ni, L. ... Lai, Y. (2017). Tuberous sclerosis-associated renal angiomyolipoma: A report of two cases and review of the literature. Molecular and Clinical Oncology, 7, 706-708. https://doi.org/10.3892/mco.2017.1377
MLA
Lin, C., Jin, L., Yang, Y., Ding, Y., Wu, X., Ni, L., Yang, S., Lai, Y."Tuberous sclerosis-associated renal angiomyolipoma: A report of two cases and review of the literature". Molecular and Clinical Oncology 7.4 (2017): 706-708.
Chicago
Lin, C., Jin, L., Yang, Y., Ding, Y., Wu, X., Ni, L., Yang, S., Lai, Y."Tuberous sclerosis-associated renal angiomyolipoma: A report of two cases and review of the literature". Molecular and Clinical Oncology 7, no. 4 (2017): 706-708. https://doi.org/10.3892/mco.2017.1377
Follow us
  • Twitter
  • LinkedIn
  • Facebook
About
  • Spandidos Publications
  • Careers
  • Cookie Policy
  • Privacy Policy
How can we help?
  • Help
  • Live Chat
  • Contact
  • Email to our Support Team