Spandidos Publications Logo
  • About
    • About Spandidos
    • Aims and Scopes
    • Abstracting and Indexing
    • Editorial Policies
    • Reprints and Permissions
    • Job Opportunities
    • Terms and Conditions
    • Contact
  • Journals
    • All Journals
    • Oncology Letters
      • Oncology Letters
      • Information for Authors
      • Editorial Policies
      • Editorial Board
      • Aims and Scope
      • Abstracting and Indexing
      • Bibliographic Information
      • Archive
    • International Journal of Oncology
      • International Journal of Oncology
      • Information for Authors
      • Editorial Policies
      • Editorial Board
      • Aims and Scope
      • Abstracting and Indexing
      • Bibliographic Information
      • Archive
    • Molecular and Clinical Oncology
      • Molecular and Clinical Oncology
      • Information for Authors
      • Editorial Policies
      • Editorial Board
      • Aims and Scope
      • Abstracting and Indexing
      • Bibliographic Information
      • Archive
    • Experimental and Therapeutic Medicine
      • Experimental and Therapeutic Medicine
      • Information for Authors
      • Editorial Policies
      • Editorial Board
      • Aims and Scope
      • Abstracting and Indexing
      • Bibliographic Information
      • Archive
    • International Journal of Molecular Medicine
      • International Journal of Molecular Medicine
      • Information for Authors
      • Editorial Policies
      • Editorial Board
      • Aims and Scope
      • Abstracting and Indexing
      • Bibliographic Information
      • Archive
    • Biomedical Reports
      • Biomedical Reports
      • Information for Authors
      • Editorial Policies
      • Editorial Board
      • Aims and Scope
      • Abstracting and Indexing
      • Bibliographic Information
      • Archive
    • Oncology Reports
      • Oncology Reports
      • Information for Authors
      • Editorial Policies
      • Editorial Board
      • Aims and Scope
      • Abstracting and Indexing
      • Bibliographic Information
      • Archive
    • Molecular Medicine Reports
      • Molecular Medicine Reports
      • Information for Authors
      • Editorial Policies
      • Editorial Board
      • Aims and Scope
      • Abstracting and Indexing
      • Bibliographic Information
      • Archive
    • World Academy of Sciences Journal
      • World Academy of Sciences Journal
      • Information for Authors
      • Editorial Policies
      • Editorial Board
      • Aims and Scope
      • Abstracting and Indexing
      • Bibliographic Information
      • Archive
    • International Journal of Functional Nutrition
      • International Journal of Functional Nutrition
      • Information for Authors
      • Editorial Policies
      • Editorial Board
      • Aims and Scope
      • Abstracting and Indexing
      • Bibliographic Information
      • Archive
    • International Journal of Epigenetics
      • International Journal of Epigenetics
      • Information for Authors
      • Editorial Policies
      • Editorial Board
      • Aims and Scope
      • Abstracting and Indexing
      • Bibliographic Information
      • Archive
    • Medicine International
      • Medicine International
      • Information for Authors
      • Editorial Policies
      • Editorial Board
      • Aims and Scope
      • Abstracting and Indexing
      • Bibliographic Information
      • Archive
  • Articles
  • Information
    • Information for Authors
    • Information for Reviewers
    • Information for Librarians
    • Information for Advertisers
    • Conferences
  • Language Editing
Spandidos Publications Logo
  • About
    • About Spandidos
    • Aims and Scopes
    • Abstracting and Indexing
    • Editorial Policies
    • Reprints and Permissions
    • Job Opportunities
    • Terms and Conditions
    • Contact
  • Journals
    • All Journals
    • Biomedical Reports
      • Information for Authors
      • Editorial Policies
      • Editorial Board
      • Aims and Scope
      • Abstracting and Indexing
      • Bibliographic Information
      • Archive
    • Experimental and Therapeutic Medicine
      • Information for Authors
      • Editorial Policies
      • Editorial Board
      • Aims and Scope
      • Abstracting and Indexing
      • Bibliographic Information
      • Archive
    • International Journal of Epigenetics
      • Information for Authors
      • Editorial Policies
      • Editorial Board
      • Aims and Scope
      • Abstracting and Indexing
      • Bibliographic Information
      • Archive
    • International Journal of Functional Nutrition
      • Information for Authors
      • Editorial Policies
      • Editorial Board
      • Aims and Scope
      • Abstracting and Indexing
      • Bibliographic Information
      • Archive
    • International Journal of Molecular Medicine
      • Information for Authors
      • Editorial Policies
      • Editorial Board
      • Aims and Scope
      • Abstracting and Indexing
      • Bibliographic Information
      • Archive
    • International Journal of Oncology
      • Information for Authors
      • Editorial Policies
      • Editorial Board
      • Aims and Scope
      • Abstracting and Indexing
      • Bibliographic Information
      • Archive
    • Medicine International
      • Information for Authors
      • Editorial Policies
      • Editorial Board
      • Aims and Scope
      • Abstracting and Indexing
      • Bibliographic Information
      • Archive
    • Molecular and Clinical Oncology
      • Information for Authors
      • Editorial Policies
      • Editorial Board
      • Aims and Scope
      • Abstracting and Indexing
      • Bibliographic Information
      • Archive
    • Molecular Medicine Reports
      • Information for Authors
      • Editorial Policies
      • Editorial Board
      • Aims and Scope
      • Abstracting and Indexing
      • Bibliographic Information
      • Archive
    • Oncology Letters
      • Information for Authors
      • Editorial Policies
      • Editorial Board
      • Aims and Scope
      • Abstracting and Indexing
      • Bibliographic Information
      • Archive
    • Oncology Reports
      • Information for Authors
      • Editorial Policies
      • Editorial Board
      • Aims and Scope
      • Abstracting and Indexing
      • Bibliographic Information
      • Archive
    • World Academy of Sciences Journal
      • Information for Authors
      • Editorial Policies
      • Editorial Board
      • Aims and Scope
      • Abstracting and Indexing
      • Bibliographic Information
      • Archive
  • Articles
  • Information
    • For Authors
    • For Reviewers
    • For Librarians
    • For Advertisers
    • Conferences
  • Language Editing
Login Register Submit
  • This site uses cookies
  • You can change your cookie settings at any time by following the instructions in our Cookie Policy. To find out more, you may read our Privacy Policy.

    I agree
Search articles by DOI, keyword, author or affiliation
Search
Advanced Search
presentation
Molecular and Clinical Oncology
Join Editorial Board Propose a Special Issue
Print ISSN: 2049-9450 Online ISSN: 2049-9469
Journal Cover
December-2017 Volume 7 Issue 6

Full Size Image

Sign up for eToc alerts
Recommend to Library

Journals

International Journal of Molecular Medicine

International Journal of Molecular Medicine

International Journal of Molecular Medicine is an international journal devoted to molecular mechanisms of human disease.

International Journal of Oncology

International Journal of Oncology

International Journal of Oncology is an international journal devoted to oncology research and cancer treatment.

Molecular Medicine Reports

Molecular Medicine Reports

Covers molecular medicine topics such as pharmacology, pathology, genetics, neuroscience, infectious diseases, molecular cardiology, and molecular surgery.

Oncology Reports

Oncology Reports

Oncology Reports is an international journal devoted to fundamental and applied research in Oncology.

Experimental and Therapeutic Medicine

Experimental and Therapeutic Medicine

Experimental and Therapeutic Medicine is an international journal devoted to laboratory and clinical medicine.

Oncology Letters

Oncology Letters

Oncology Letters is an international journal devoted to Experimental and Clinical Oncology.

Biomedical Reports

Biomedical Reports

Explores a wide range of biological and medical fields, including pharmacology, genetics, microbiology, neuroscience, and molecular cardiology.

Molecular and Clinical Oncology

Molecular and Clinical Oncology

International journal addressing all aspects of oncology research, from tumorigenesis and oncogenes to chemotherapy and metastasis.

World Academy of Sciences Journal

World Academy of Sciences Journal

Multidisciplinary open-access journal spanning biochemistry, genetics, neuroscience, environmental health, and synthetic biology.

International Journal of Functional Nutrition

International Journal of Functional Nutrition

Open-access journal combining biochemistry, pharmacology, immunology, and genetics to advance health through functional nutrition.

International Journal of Epigenetics

International Journal of Epigenetics

Publishes open-access research on using epigenetics to advance understanding and treatment of human disease.

Medicine International

Medicine International

An International Open Access Journal Devoted to General Medicine.

Journal Cover
December-2017 Volume 7 Issue 6

Full Size Image

Sign up for eToc alerts
Recommend to Library

  • Article
  • Citations
    • Cite This Article
    • Download Citation
    • Create Citation Alert
    • Remove Citation Alert
    • Cited By
  • Similar Articles
    • Related Articles (in Spandidos Publications)
    • Similar Articles (Google Scholar)
    • Similar Articles (PubMed)
  • Download PDF
  • Download XML
  • View XML
Case Report

Malignant mesothelioma of the tunica vaginalis testis: A case report and literature review

  • Authors:
    • Neng Zhang
    • Ni Fu
    • Su Peng
    • Xu Luo
  • View Affiliations / Copyright

    Affiliations: Department of Urology, Affiliated Hospital of Zunyi Medical College, Zunyi, Guizhou 563003, P.R. China
  • Pages: 1053-1056
    |
    Published online on: October 12, 2017
       https://doi.org/10.3892/mco.2017.1450
  • Expand metrics +
Metrics: Total Views: 0 (Spandidos Publications: | PMC Statistics: )
Metrics: Total PDF Downloads: 0 (Spandidos Publications: | PMC Statistics: )
Cited By (CrossRef): 0 citations Loading Articles...

This article is mentioned in:



Abstract

Malignant mesothelioma of the tunica vaginalis testis is an extremely rare tumor without specific clinical manifestations, mainly including hydrocele formation and a painless mass. We herein present the case of a patient with hydrocele of the left testis, without any other complaints. Tunica vaginalis subinvolution was performed, and postoperative pathological examination revealed a malignant mesothelioma arising from the left tunica vaginalis testis. Whole‑body positron emission tomography‑computed tomography (PET‑CT) and subsequent abdominal and pelvic magnetic resonance imaging (MRI) revealed no evidence of local lymphadenopathy. Radical left orchiectomy was performed after the pathological diagnosis. The pathological examination after the second surgery demonstrated that the tumor had invaded the adjacent periorchium and spermatic cord, but there was no evidence of local lymph node metastasis. Pemetrexed and cisplatin were administered at a dose of 900 and 130 mg, respectively, on the first day of a 28‑day cycle. After 6 months of therapy, the disease had not progressed on abdominal and pelvic PET‑CT and MRI. The patient was still followed up in our urology outpatient clinic at the time of the present report. Although testicular hydrocele is a common and easily diagnosed condition, detailed medical history and physical examination are required. Thus, when clinicians encounter patients with testicular hydrocele, a variety of possible causes must be considered, including testicular or paratesticular tumors, even rare tumors such as mesothelioma of the tunica vaginalis testis.

Introduction

Primary testicular hydrocele is an abnormal collection of fluid in the scrotum, and its incidence rate in men aged >40 years of age is ~1% (1). However, acquired hydrocele is usually idiopathic and may be caused by epididymitis and trauma, or, in rare cases, a testicular tumor. Testicular mesothelioma is extremely rare, representing <5% of all mesotheliomas (2,3); however, it is an often fatal type of testicular malignancy that originates from mesenchymal tissue and may be incidentally found at the time of hydrocele surgery (4–6). The majority of these cases present with non-specific symptoms, such as a painless scrotal mass associated with hydrocele, even at the advanced stage. The pathogenesis of this malignant neoplasm is unclear and is mostly associated with asbestos exposure (7), as well as long-lasting hydrocele (8). Early preoperative diagnosis may be difficult, and a few cases have even been initially misdiagnosed as epididymitis (6). We herein describe the case of malignant mesothelioma of the tunica vaginalis testis, together with a review of the related literature.

Case report

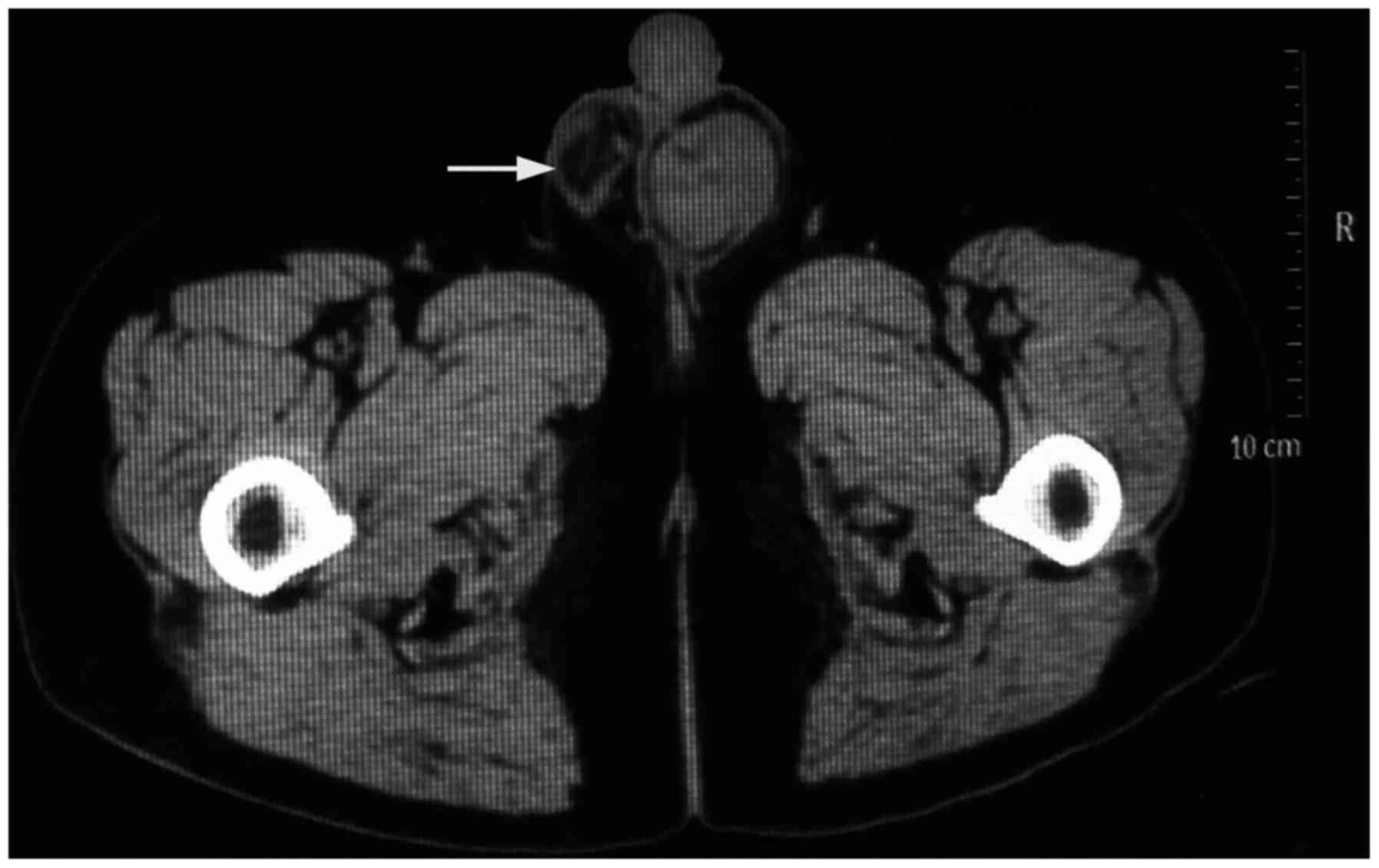
A 50-year-old man, who was previously diagnosed with left hydrocele in January 2015, visited the Department of Urology of the Affiliated Hospital of Zunyi Medical College (Zunyi, China) in July 2015, due to painless enlargement of the left scrotum for 6 months, which gradually progressed. On physical examination, the left scrotum appeared to be edematous and had a size of 8×6×5 cm, but there was no palpable mass. Ultrasonography revealed left hydrocele and multiple iso-echoic masses, sized 3–5 mm, located at the inner sheath of the left periorchium. Tunica vaginalis subinvolution was performed, and the postoperative pathological examination revealed malignant mesothelioma arising from the left tunica vaginalis testis. Whole-body positron emission tomography-computed tomography (PET-CT) revealed no evidence of local lymphadenopathy (Fig. 1), and radical left orchiectomy was performed after the pathological diagnosis. Pathological examination after the second surgery confirmed the diagnosis of malignant mesothelioma arising from the left tunica vaginalis testis, and demonstrated that the tumor had invaded the adjacent periorchium and spermatic cord; there was no evidence of local lymph node metastasis.

Figure 1.

Positron emission tomography-computed tomography of the left testis showing a tumor (arrow) involving the scrotal wall. There was no enlargement of the local lymph nodes.

Histopathological examination revealed a biphasic pattern with mixed epithelial and spindle cell proliferation (Fig. 2). Immunohistochemical examination with a primary rabbit polyclonal anti-vimentin antibody (Santa Cruz Biotechnology, CA, USA) revealed positive staining (+++) for vimentin (Fig. 3) in the epithelial nests, particularly in the spindle cells. The postoperative course was uneventful and the surgical incision healed well. Cytotoxic chemotherapy was administered 1 month after surgery: Pemetrexed and cisplatin were administered at a dose of 900 and 130 mg, respectively, on the first day of a 28-day cycle. After 6 months of therapy, the disease had not progressed on PET-CT and abdominal and pelvic MRI (Fig. 4). The progression-free survival time was 24 months at the time of the present report, and no local recurrence was detected during the regular follow-up visits (last follow-up visit, April 2017). The patient had no known exposure to asbestos.

Figure 2.

Histological characteristics of malignant mesothelioma of the tunica vaginalis testis. (A) The tumor exhibited a typical epithelioid pattern [hematoxylin and eosin staining (H&E); magnification, ×100]. (B-D) The nuclei of the tumor cells were significantly increased in size and exhibited deep staining. Pathological mitotic figures and a large amount of necrotic tissue were observed (H&E; magnification, ×100, ×200 and ×400, respectively).

Figure 3.

Immunohistochemical examination of malignant mesothelioma of the tunica vaginalis testis revealed strong expression of vimentin (+++). Magnification, ×100.

Figure 4.

Postoperative positron emission tomography-computed tomography and pelvic magnetic resonance imaging. (A) There were no inguinal (arrow) or retroperitoneal enlarged lymph nodes. (B) Absent left testicle (arrow), without signs of local recurrence.

Discussion

Approximately 68–85% of malignant mesotheliomas originate from the pleura, and 9.1–24.1% arise from the peritoneum (9). Malignant mesothelioma of the tunica vaginalis testis is an extremely rare occurrence, representing only 0.3–5% of all mesotheliomas (10). Since the first case of malignant mesothelioma of the tunica vaginalis testis was reported by Barbera and Rubino in 1957 (10), ~100 cases have been reported to date. The incidence of malignant mesothelioma is roughly 11 cases per million people annually in the United States (11).

The etiology and mechanism underlying the development of malignant mesothelioma of the tunica vaginalis testis has not been fully elucidated, but exposure to asbestos is a well-known risk factor (4,11), and direct contact with asbestos significantly increases the risk of developing a malignant mesothelioma (12–14). The clinical symptoms of malignant mesothelioma of the tunica vaginalis testis are usually atypical and non-specific, and preoperative diagnosis may be challenging for clinicians, but it should be suspected in any patient with a history of exposure to asbestos presenting with scrotal diseases (15–17). As reported this case, there were no clinical symptoms apart from left testicular hydrocele for >6 months. Left scrotal hydrocele was diagnosed and tunica vaginalis subinvolution was initially performed. The pathological diagnosis was malignant mesothelioma arising from the left tunica vaginalis testis. According to the histopathological characteristics, malignant mesothelioma has been sub-classified as epithelioid, sarcomatoid and biphasic. The epithelial type is the most common in the peritoneal cavity and the tunica vaginalis, as in the present case (Fig. 2).

In our patient, the left scrotum gradually increased in size, but the parenchyma and size of the left testis were normal. Ultrasonography revealed several nodes of different sizes. Under such circumstances, CT should be performed to stage the tumor, diagnose distant metastases and, particularly, evaluate the pathological status of the retroperitoneal lymph nodes (18). Prior to radical left inguinal orchiectomy, whole-body PET-CT was performed and revealed no evidence of local lymphadenopathy or distant metastasis. In addition to physical examination and imaging studies, it is important to confirm the diagnosis of malignant testicular mesothelioma with pathological examination. Malignant testicular mesothelioma arises from mesenchymal tissue; thus, immunohistochemical staining should be performed to ensure an accurate diagnosis.

Surgery, radiotherapy and chemotherapy are currently the main treatment options for malignant mesothelioma of the tunica vaginalis testis, and comprehensive treatment is often necessary for patients with advanced disease (19). As the disease was localized in the present case, radical inguinal orchiectomy was performed, without retroperitoneal lymphadenectomy. It has been reported that, if any sign of metastasis is evident in the inguinal lymph nodes, inguinal lymph node dissection is required (20). The usefulness of adjuvant chemotherapy and/or radiotherapy has not been clearly demonstrated due to the limited number of reported cases. At present, as cases of malignant mesothelioma of the tunica vaginalis testis are rare, radiation and chemotherapy for malignant testicular mesothelioma remain controversial. Cisplatin and pemetrexed may be used as chemotherapy for testicular mesothelioma (21). In the present case, pemetrexed and cisplatin were administered at a dose of 900 and 130 mg, respectively, on the first day of a 28-day cycle for a total of six chemotherapy cycles. After 6 months of therapy, the patient was stable and exhibited no signs of recurrence or metastasis; the patient did not receive radiotherapy, as he was surgically treated at an early stage.

The mortality rate from testicular mesothelioma has been reported to be 53% over a mean follow-up period of 2 years (8). PET-CT and MRI were performed, and revealed no evidence of local recurrence or distant metastasis of tumor. The patient has been followed up at 6-month intervals for the first 2 years in our outpatient clinic, and will continue at 1-year intervals thereafter. The last follow-up visit was in April, 2017.

In summary, diagnosing a primary malignant tumor of the tunica vaginalis testis may be difficult. Physical examination, imaging studies, pathological examination and immunohistochemical staining are required to confirm the diagnosis of malignant testicular mesothelioma. In the present case, chemotherapy (pemetrexed + cisplatin), and long-term follow-up were deemed necessary.

Acknowledgements

The authors would like to thank the patient for his participation and his consent to the publication of the case details and associated images.

References

1 

Park YJ, Kong HJ, Jang HC, Shin HS, Oh HK and Park JS: Malignant mesothelioma of the spermatic cord. Korean J Urol. 52:225–229. 2011. View Article : Google Scholar : PubMed/NCBI

2 

Shimada S, Ono K, Suzuki Y and Mori N: Malignant mesothelioma of the tunica vaginalis testis: A case with a predominant sarcomatous component. Pathol Int. 54:930–934. 2004. View Article : Google Scholar : PubMed/NCBI

3 

Chen JL and Hsu YH: Malignant mesothelioma of the tunica vaginalis testis: A case report and literature review. Kaohsiung J Med Sci. 25:77–81. 2009. View Article : Google Scholar : PubMed/NCBI

4 

Antman K, Hassan R, Eisner M, Ries LA and Edwards BK: Update on malignant mesothelioma. Oncology (Williston Park). 19(1301–1310): 1313–1316. 2005.

5 

Murai Y: Malignant mesothelioma in Japan: Analysis of registered autopsy cases. Arch Environ Health. 56:84–88. 2001. View Article : Google Scholar : PubMed/NCBI

6 

Plas E, Riedl CR and Pflüger H: Malignant mesothelioma of the tunica vaginalis testis: Review of the literature and assessment of prognostic parameters. Cancer. 83:2437–2446. 1998. View Article : Google Scholar : PubMed/NCBI

7 

Gupta NP, Agrawal AK, Sood S, Hemal AK and Nair M: Malignant mesothelioma of the tunica vaginalis testis: A report of two cases and review of literature. J Surg Oncol. 70:251–254. 1999. View Article : Google Scholar : PubMed/NCBI

8 

Gürdal M and Erol A: Malignant mesothelioma of tunica vaginalis testis associated with long-lasting hydrocele: Could hydrocele be an etiological factor? Int Urol Nephrol. 32:687–689. 2001. View Article : Google Scholar : PubMed/NCBI

9 

Yang LH, Yu JH, Xu HT, Lin XY, Liu Y, Miao Y, Wang L, Fan CF, Jiang GY, Ding SL, et al: Mesothelioma of the tunica vaginalis testis with prominent adenomatoid features: A case report. Int J Clin Exp Pathol. 7:7082–7087. 2014.PubMed/NCBI

10 

Barbera V and Rubino M: Papillary mesothelioma of the tunica vaginalis. Cancer. 10:183–189. 1957. View Article : Google Scholar : PubMed/NCBI

11 

Attanoos RL and Gibbs AR: Primary malignant gonadal mesotheliomas and asbestos. Histopathology. 37:150–159. 2000. View Article : Google Scholar : PubMed/NCBI

12 

Jones MA, Young RH and Scully RE: Malignant mesothelioma of the tunica vaginalis. A clinicopathologic analysis of 11 cases with review of the literature. Am J Surg Pathol. 19:815–825. 1995. View Article : Google Scholar : PubMed/NCBI

13 

Vianna NJ and Polan AK: Non-occupational exposure to asbestos and malignant mesothelioma in females. Lancet. 1:1061–1063. 1978. View Article : Google Scholar : PubMed/NCBI

14 

Ascoli V, Cavone D, Merler E, Barbieri PG, Romeo L, Nardi F and Musti M: Mesothelioma in blood related subjects: Report of 11 clusters among 1954 Italy cases and review of the literature. Am J Ind Med. 50:357–369. 2007. View Article : Google Scholar : PubMed/NCBI

15 

Frank AL: Medical and public health approaches to asbestos disease. Mt Sinai J Med. 62:401–405. 1995.PubMed/NCBI

16 

McDonald JC: Health implications of environmental exposure to asbestos. Environ Health Perspect. 62:319–328. 1985. View Article : Google Scholar : PubMed/NCBI

17 

Merler E: Mesothelioma incidence decreases parallel to asbestos exposure decrement or interruption: A confirmation of a dose-response relationship, with implications in public health. Epidemiol Prev. 31 4 Suppl 1:S46–S52. 2007.(In Italian).

18 

Yen CH, Lee CT, Su CJ and Lo HC: Malignant mesothelioma of the tunica vaginalis testis: A malignancy associated with recurrent epididymitis? World J Surg Oncol. 10:2382012. View Article : Google Scholar : PubMed/NCBI

19 

Yan TD, Welch L, Black D and Sugarbaker PH: A systematic review on the efficacy of cytoreductive surgery combined with perioperative intraperitoneal chemotherapy for diffuse malignancy peritoneal mesothelioma. Ann Oncol. 18:827–834. 2007. View Article : Google Scholar : PubMed/NCBI

20 

Akin Y, Bassorgun I, Basara I and Yucel S: Malignant mesothelioma of tunica vaginalis: An extremely rare case presenting without risk factors. Singapore Med J. 56:e53–e55. 2015. View Article : Google Scholar : PubMed/NCBI

21 

Ceresoli GL, Zucali PA, Favaretto AG, Grossi F, Bidoli P, Del Conte G, Ceribelli A, Bearz A, Morenghi E, Cavina R, et al: Phase II study of pemetrexed plus carboplatin in malignant pleural mesothelioma. J Clin Oncol. 24:1443–1448. 2006. View Article : Google Scholar : PubMed/NCBI

Related Articles

  • Abstract
  • View
  • Download
  • Twitter
Copy and paste a formatted citation
Spandidos Publications style
Zhang N, Fu N, Peng S and Luo X: Malignant mesothelioma of the tunica vaginalis testis: A case report and literature review. Mol Clin Oncol 7: 1053-1056, 2017.
APA
Zhang, N., Fu, N., Peng, S., & Luo, X. (2017). Malignant mesothelioma of the tunica vaginalis testis: A case report and literature review. Molecular and Clinical Oncology, 7, 1053-1056. https://doi.org/10.3892/mco.2017.1450
MLA
Zhang, N., Fu, N., Peng, S., Luo, X."Malignant mesothelioma of the tunica vaginalis testis: A case report and literature review". Molecular and Clinical Oncology 7.6 (2017): 1053-1056.
Chicago
Zhang, N., Fu, N., Peng, S., Luo, X."Malignant mesothelioma of the tunica vaginalis testis: A case report and literature review". Molecular and Clinical Oncology 7, no. 6 (2017): 1053-1056. https://doi.org/10.3892/mco.2017.1450
Copy and paste a formatted citation
x
Spandidos Publications style
Zhang N, Fu N, Peng S and Luo X: Malignant mesothelioma of the tunica vaginalis testis: A case report and literature review. Mol Clin Oncol 7: 1053-1056, 2017.
APA
Zhang, N., Fu, N., Peng, S., & Luo, X. (2017). Malignant mesothelioma of the tunica vaginalis testis: A case report and literature review. Molecular and Clinical Oncology, 7, 1053-1056. https://doi.org/10.3892/mco.2017.1450
MLA
Zhang, N., Fu, N., Peng, S., Luo, X."Malignant mesothelioma of the tunica vaginalis testis: A case report and literature review". Molecular and Clinical Oncology 7.6 (2017): 1053-1056.
Chicago
Zhang, N., Fu, N., Peng, S., Luo, X."Malignant mesothelioma of the tunica vaginalis testis: A case report and literature review". Molecular and Clinical Oncology 7, no. 6 (2017): 1053-1056. https://doi.org/10.3892/mco.2017.1450
Follow us
  • Twitter
  • LinkedIn
  • Facebook
About
  • Spandidos Publications
  • Careers
  • Cookie Policy
  • Privacy Policy
How can we help?
  • Help
  • Live Chat
  • Contact
  • Email to our Support Team