Spandidos Publications Logo
  • About
    • About Spandidos
    • Aims and Scopes
    • Abstracting and Indexing
    • Editorial Policies
    • Reprints and Permissions
    • Job Opportunities
    • Terms and Conditions
    • Contact
  • Journals
    • All Journals
    • Oncology Letters
      • Oncology Letters
      • Information for Authors
      • Editorial Policies
      • Editorial Board
      • Aims and Scope
      • Abstracting and Indexing
      • Bibliographic Information
      • Archive
    • International Journal of Oncology
      • International Journal of Oncology
      • Information for Authors
      • Editorial Policies
      • Editorial Board
      • Aims and Scope
      • Abstracting and Indexing
      • Bibliographic Information
      • Archive
    • Molecular and Clinical Oncology
      • Molecular and Clinical Oncology
      • Information for Authors
      • Editorial Policies
      • Editorial Board
      • Aims and Scope
      • Abstracting and Indexing
      • Bibliographic Information
      • Archive
    • Experimental and Therapeutic Medicine
      • Experimental and Therapeutic Medicine
      • Information for Authors
      • Editorial Policies
      • Editorial Board
      • Aims and Scope
      • Abstracting and Indexing
      • Bibliographic Information
      • Archive
    • International Journal of Molecular Medicine
      • International Journal of Molecular Medicine
      • Information for Authors
      • Editorial Policies
      • Editorial Board
      • Aims and Scope
      • Abstracting and Indexing
      • Bibliographic Information
      • Archive
    • Biomedical Reports
      • Biomedical Reports
      • Information for Authors
      • Editorial Policies
      • Editorial Board
      • Aims and Scope
      • Abstracting and Indexing
      • Bibliographic Information
      • Archive
    • Oncology Reports
      • Oncology Reports
      • Information for Authors
      • Editorial Policies
      • Editorial Board
      • Aims and Scope
      • Abstracting and Indexing
      • Bibliographic Information
      • Archive
    • Molecular Medicine Reports
      • Molecular Medicine Reports
      • Information for Authors
      • Editorial Policies
      • Editorial Board
      • Aims and Scope
      • Abstracting and Indexing
      • Bibliographic Information
      • Archive
    • World Academy of Sciences Journal
      • World Academy of Sciences Journal
      • Information for Authors
      • Editorial Policies
      • Editorial Board
      • Aims and Scope
      • Abstracting and Indexing
      • Bibliographic Information
      • Archive
    • International Journal of Functional Nutrition
      • International Journal of Functional Nutrition
      • Information for Authors
      • Editorial Policies
      • Editorial Board
      • Aims and Scope
      • Abstracting and Indexing
      • Bibliographic Information
      • Archive
    • International Journal of Epigenetics
      • International Journal of Epigenetics
      • Information for Authors
      • Editorial Policies
      • Editorial Board
      • Aims and Scope
      • Abstracting and Indexing
      • Bibliographic Information
      • Archive
    • Medicine International
      • Medicine International
      • Information for Authors
      • Editorial Policies
      • Editorial Board
      • Aims and Scope
      • Abstracting and Indexing
      • Bibliographic Information
      • Archive
  • Articles
  • Information
    • Information for Authors
    • Information for Reviewers
    • Information for Librarians
    • Information for Advertisers
    • Conferences
  • Language Editing
Spandidos Publications Logo
  • About
    • About Spandidos
    • Aims and Scopes
    • Abstracting and Indexing
    • Editorial Policies
    • Reprints and Permissions
    • Job Opportunities
    • Terms and Conditions
    • Contact
  • Journals
    • All Journals
    • Biomedical Reports
      • Information for Authors
      • Editorial Policies
      • Editorial Board
      • Aims and Scope
      • Abstracting and Indexing
      • Bibliographic Information
      • Archive
    • Experimental and Therapeutic Medicine
      • Information for Authors
      • Editorial Policies
      • Editorial Board
      • Aims and Scope
      • Abstracting and Indexing
      • Bibliographic Information
      • Archive
    • International Journal of Epigenetics
      • Information for Authors
      • Editorial Policies
      • Editorial Board
      • Aims and Scope
      • Abstracting and Indexing
      • Bibliographic Information
      • Archive
    • International Journal of Functional Nutrition
      • Information for Authors
      • Editorial Policies
      • Editorial Board
      • Aims and Scope
      • Abstracting and Indexing
      • Bibliographic Information
      • Archive
    • International Journal of Molecular Medicine
      • Information for Authors
      • Editorial Policies
      • Editorial Board
      • Aims and Scope
      • Abstracting and Indexing
      • Bibliographic Information
      • Archive
    • International Journal of Oncology
      • Information for Authors
      • Editorial Policies
      • Editorial Board
      • Aims and Scope
      • Abstracting and Indexing
      • Bibliographic Information
      • Archive
    • Medicine International
      • Information for Authors
      • Editorial Policies
      • Editorial Board
      • Aims and Scope
      • Abstracting and Indexing
      • Bibliographic Information
      • Archive
    • Molecular and Clinical Oncology
      • Information for Authors
      • Editorial Policies
      • Editorial Board
      • Aims and Scope
      • Abstracting and Indexing
      • Bibliographic Information
      • Archive
    • Molecular Medicine Reports
      • Information for Authors
      • Editorial Policies
      • Editorial Board
      • Aims and Scope
      • Abstracting and Indexing
      • Bibliographic Information
      • Archive
    • Oncology Letters
      • Information for Authors
      • Editorial Policies
      • Editorial Board
      • Aims and Scope
      • Abstracting and Indexing
      • Bibliographic Information
      • Archive
    • Oncology Reports
      • Information for Authors
      • Editorial Policies
      • Editorial Board
      • Aims and Scope
      • Abstracting and Indexing
      • Bibliographic Information
      • Archive
    • World Academy of Sciences Journal
      • Information for Authors
      • Editorial Policies
      • Editorial Board
      • Aims and Scope
      • Abstracting and Indexing
      • Bibliographic Information
      • Archive
  • Articles
  • Information
    • For Authors
    • For Reviewers
    • For Librarians
    • For Advertisers
    • Conferences
  • Language Editing
Login Register Submit
  • This site uses cookies
  • You can change your cookie settings at any time by following the instructions in our Cookie Policy. To find out more, you may read our Privacy Policy.

    I agree
Search articles by DOI, keyword, author or affiliation
Search
Advanced Search
presentation
Molecular and Clinical Oncology
Join Editorial Board Propose a Special Issue
Print ISSN: 2049-9450 Online ISSN: 2049-9469
Journal Cover
January-2018 Volume 8 Issue 1

Full Size Image

Sign up for eToc alerts
Recommend to Library

Journals

International Journal of Molecular Medicine

International Journal of Molecular Medicine

International Journal of Molecular Medicine is an international journal devoted to molecular mechanisms of human disease.

International Journal of Oncology

International Journal of Oncology

International Journal of Oncology is an international journal devoted to oncology research and cancer treatment.

Molecular Medicine Reports

Molecular Medicine Reports

Covers molecular medicine topics such as pharmacology, pathology, genetics, neuroscience, infectious diseases, molecular cardiology, and molecular surgery.

Oncology Reports

Oncology Reports

Oncology Reports is an international journal devoted to fundamental and applied research in Oncology.

Experimental and Therapeutic Medicine

Experimental and Therapeutic Medicine

Experimental and Therapeutic Medicine is an international journal devoted to laboratory and clinical medicine.

Oncology Letters

Oncology Letters

Oncology Letters is an international journal devoted to Experimental and Clinical Oncology.

Biomedical Reports

Biomedical Reports

Explores a wide range of biological and medical fields, including pharmacology, genetics, microbiology, neuroscience, and molecular cardiology.

Molecular and Clinical Oncology

Molecular and Clinical Oncology

International journal addressing all aspects of oncology research, from tumorigenesis and oncogenes to chemotherapy and metastasis.

World Academy of Sciences Journal

World Academy of Sciences Journal

Multidisciplinary open-access journal spanning biochemistry, genetics, neuroscience, environmental health, and synthetic biology.

International Journal of Functional Nutrition

International Journal of Functional Nutrition

Open-access journal combining biochemistry, pharmacology, immunology, and genetics to advance health through functional nutrition.

International Journal of Epigenetics

International Journal of Epigenetics

Publishes open-access research on using epigenetics to advance understanding and treatment of human disease.

Medicine International

Medicine International

An International Open Access Journal Devoted to General Medicine.

Journal Cover
January-2018 Volume 8 Issue 1

Full Size Image

Sign up for eToc alerts
Recommend to Library

  • Article
  • Citations
    • Cite This Article
    • Download Citation
    • Create Citation Alert
    • Remove Citation Alert
    • Cited By
  • Similar Articles
    • Related Articles (in Spandidos Publications)
    • Similar Articles (Google Scholar)
    • Similar Articles (PubMed)
  • Download PDF
  • Download XML
  • View XML
Case Report

Neurological variability in chemotherapy‑induced posterior reversible encephalopathy syndrome associated with thrombotic microangiopathy: Case reports and literature review

  • Authors:
    • Chen Makranz
    • Salome Khutsurauli
    • Yosef Kalish
    • Ruth Eliahou
    • Luna Kadouri
    • John Moshe Gomori
    • Alexander Lossos
  • View Affiliations / Copyright

    Affiliations: Department of Oncology and Neurology, Leslie and Michael Gaffin Center for Neuro‑Oncology, Hadassah‑Hebrew University Medical Center, Jerusalem 91120, Israel, Department of Oncology, Sharet Institute for Oncology, Hadassah‑Hebrew University Medical Center, Jerusalem 91120, Israel, Department of Hematology, Sharet Institute for Oncology, Hadassah‑Hebrew University Medical Center, Jerusalem 91120, Israel, Department of Radiology, Sharet Institute for Oncology, Hadassah‑Hebrew University Medical Center, Jerusalem 91120, Israel
  • Pages: 178-182
    |
    Published online on: November 2, 2017
       https://doi.org/10.3892/mco.2017.1476
  • Expand metrics +
Metrics: Total Views: 0 (Spandidos Publications: | PMC Statistics: )
Metrics: Total PDF Downloads: 0 (Spandidos Publications: | PMC Statistics: )
Cited By (CrossRef): 0 citations Loading Articles...

This article is mentioned in:



Abstract

Posterior reversible encephalopathy syndrome (PRES) is a clinical syndrome characterized by headaches, seizures, a confusional state and visual disturbances associated with transient predominantly bilateral posterior white mater magnetic resonance imaging lesions. It is primarily reported in the setting of hypertension, acute renal failure, peripartum eclampsia, autoimmune disease, immunosuppression and chemotherapy. Thrombotic microangiopathy (TMA), including hemolytic uremic syndrome (HUS) and thrombotic thrombocytopenic purpura (TTP) has also been reported as potential PRES inducer. The present study reviews two cases of patients with PRES, associated with TMA caused by chemotherapy. Their clinical and imaging data, and the relevant literature were reviewed. Patient 1 presented with TMA‑induced PRES following mitomycin‑C for metastatic colon adenocarcinoma. Treatment with steroids, plasma exchange, intravenous immuno­globulins, aspirin, antihypertensive drugs, and diuretics resulted in resolution of the neurological and imaging deficits. Patient 2 presented with TMA‑induced PRES following gemcitabine for metastatic breast carcinoma. Treatment was ineffective and the patient deteriorated despite verapamil, dexamethasone, and plasma exchange. In this report, the relevant literature regarding pathogenesis, treatment and prognosis of chemotherapy‑induced PRES associated with TMA was reviewed. We conclude that several chemotherapy agents may cause PRES through various pathogenic mechanisms, leading to clinical variability and divergent response to therapy.

Introduction

Posterior reversible encephalopathy syndrome (PRES) is a clinical condition characterized by headaches, seizures, confused state and visual disturbances associated with bilateral, predominantly posterior cerebral white matter lesions on magnetic resonance imaging (MRI). PRES is reported in the setting of hypertension, acute renal failure, peripartum, eclampsia, various autoimmune diseases and multiple therapeutic agents (1–10). Thrombotic microangiopathy (TMA), including hemolytic uremic syndrome (HUS) and thrombotic thrombocytopenic purpura (TTP) (11), is also reported as potential PRES inducer (12,13).

As its name suggests, PRES is usually a reversible condition. Nonetheless, it can cause irreversible injury, even after discontinuation of the offending agent. While chemotherapy-induced PRES is also generally reversible, PRES induced by anti-rejection therapy (tacrolimus, cyclosporine) can lead to permanent neurological sequelae (10,14).

To present the extreme diversity of clinical and imaging findings of chemotherapy-induced PRES related to TMA, we report our experience with two patients who developed this condition, and review the literature.

Case report 1

A 36-year-old woman presented with subacute headaches, dyspnea, and pedal edema 11 weeks following treatment with mitomycin-C for metastatic adenocarcinoma of the colon. Her primary tumor had been diagnosed 2 years previously, and she was treated with 5-fluorouacil and irinotecan. After treatment failure, a partial colectomy was performed, followed by 5-fluorouracil, leucovorin, and cisplatin, and later by a combination of 5-fluorouracil (continuous infusion and bolus), leucovorin, and mitomycin-C. An objective partial response was recorded, and mitomycin-C was stopped at a cumulative dose of 57 mg/m2 11 weeks prior to admission of the patient. Chemotherapy without mitomycin-C was continued for 6 subsequent weeks.

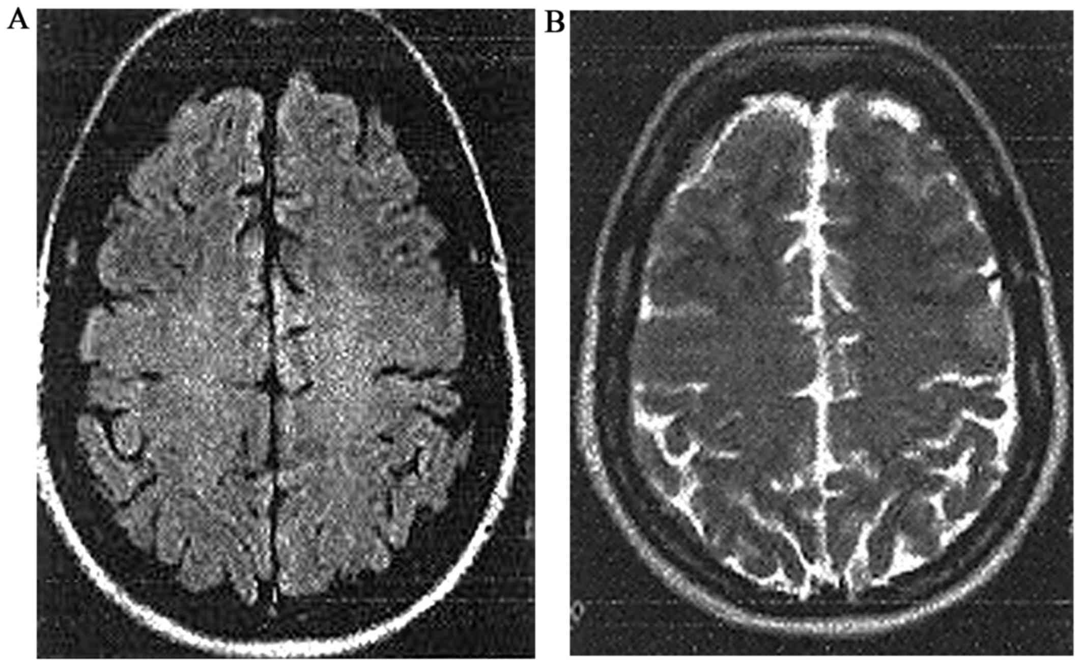
On examination, 11 weeks from the last dose of mitomycin C, the patient was pale, afebrile, tachypneic, and tachycardic, with signs of bilateral pleural effusion, hepatomegaly, pitting edema, hypertension of 240/120 mmHg, and a grade II hypertensive retinopathy. Blood tests showed hemolytic anemia with 9 g/dl Hg (12–16 g/dl), accompanied by lactic acid dehydrogenase (LDH) of 6,400 u/l (240–480 U/l), total bilirubin of 28 µmol/l (0–17 µmol/l), and thrombocytopenia of 45 10e9/l (140-40010e9/l), with numerous schistocytes on peripheral blood smear. She also had acute renal failure with creatinine of 309 µmol/l (46–92 µmol/l) and blood urea nitrogen (BUN) 17 mmol/l (0–8.3 mmol/l). Activity levels of ADAMTS13 (a disintegrin and metalloproteinase with thrombospondin type 1 motives) activity levels were normal. This combination and the previous maximal mitomycin-C dose was consistent with the diagnosis of TMA induced by mitomycin-C (11,15). Despite maximal antihypertensive treatment, the patient's blood pressure remained uncontrolled and she became acutely confused with cortical visual deficit and generalized tonic-clonic seizures that responded to intravenous phenytoin. Brain MRI demonstrated extensive hyperintense posterior white matter lesions on T2 and T2/fluid-attenuated inversion recovery (FLAIR) weighted images typical of PRES (Fig. 1).

Figure 1.

Admission brain MRI of patient 1: Admission brain MRI in a 36-year-old woman with posterior reversible encephalopathy syndrome (PRES) following mitomycin-C (cumulative dose 57 mg/m2. The MRI is 11 weeks after the last dose) for the management of her metastatic colon cancer. The findings are suggestive of posterior reversible encephalopathy syndrome (PRES). (A) Axial T2-weighted fluid-attenuated inversion recovery (FLAIR) and (B) T2-weighted images revealed multiple hypertintense posterior white matter lesions. A scanned version of the images that were prepared many years ago.

Intensive treatment with plasma exchange, steroids, IV immunoglobulin, aspirin, and a combination of antihypertensive agents and diuretics was initiated. Significant clinical and laboratory improvement was observed after 6 weeks. The patient became neurologically intact and repeat brain MRI disclosed resolution of the white matter lesions, with the exception of a small residual left parietal insult (Fig. 2). The patient succumbed 1 year later to her malignant disease. Widespread systemic metastases, with no brain involvement, was the cause of her death.

Figure 2.

Follow-up brain MRI of patient 1: Brain MRI in the same patient 3 months after diagnosis. (A) Axial FLAIR and (B) T2-weighted images show resolution of the posterior white matter lesions. A scanned version of the images that were prepared many years ago.

Case report 2

A 47-year-old woman with metastatic breast cancer to the bones and lymph nodes of 7 years duration presented with subacute dysphasia and right hemiparesis, which progressed to full aphasia and hemiplegia over the next 2 weeks. Her neurological deterioration began 1 month after retreatment with gemcitabine (cumulative dose of 15,000 mg/m2), which was initially instituted with carboplatin 8 months earlier. Cerebral MRI demonstrated T2/FLAIR hyperintense lesions in the left frontal lobe, the right insular region, and the parieto-occipital region bilaterally. This was accompanied by restricted diffusion and hemorrhagic components, and was compatible with PRES (Fig. 3). Blood pressure was normal. Tests revealed anemia with Hg of 7.4 g/dl, a normal platelet count, normal white blood cell (WBC) count, mild bilirubin elevation of 24 µmol/l (0–17 µmol/l), and significant elevation of LDH to 1,608 U/l. Creatinine, BUN, and lactate were normal. Prothrombin time (PT) and partial thromboplastin time (PTT) were normal. Circulating anticoagulants and anticardiolipids were negative and haptoglobin was normal at 137 mg% (30–200 mg%).

Figure 3.

Admission brain MRI of patient 2: Admission brain MRI of a 47-year-old woman with PRES who had undergone treatment with gemcitabine (cumulative dose of 15,000 mg/m2) for metastatic breast cancer. (A) FLAIR image depicting multiple foci and diffuse areas of abnormal signal in the subcortical white matter and left median thalamus, as well as swelling of the right occipito-temporal gyri. (B) Diffusion-weighted (DWI) MRI showing multiple posterior white matter lesions with restricted diffusion corresponding to the white matter abnormalities, indicating ischemic change. (C) Susceptibility-weighted images (SWI) show multiple hemorrhagic foci in the brain parenchyma.

Treatment with a low dose of verapamil and dexamethasone was initiated. However, despite a transient neurological improvement, the patient deteriorated clinically. Repeat MRI showed worsening of ischemic and hemorrhagic changes. This was accompanied by hemolytic anemia with Hg of 8 g/dl, thrombocytopenia of 127×10e9/l, and progressive elevations in values of bilirubin to 50 µmol/l and LDH to 2,057 U/l. Blood smear revealed a large number of schistocytes, indicating hemolysis secondary to TMA. Plasma activity levels of ADAMTS13 activity levels were normal, compatible with gemcitabine-induced TMA (11,15). Spine MRI ruled out leptomeningeal infiltration. The patient was subsequently treated with 3 courses of plasma exchange and blood products, but her condition worsened and she became unconscious. She died 3 weeks after admission.

Discussion

We describe 2 patients with chemotherapy-induced TMA who developed PRES that was documented by imaging, and who had very different clinical characteristics. One patient developed reversible PRES associated with TMA 11 weeks after her last mitomycin-C treatment. The other patient was diagnosed with TMA-induced irreversible and fatal PRES following re-administration of gemcitabine.

Mitomycin-C-induced PRES

Mitomycin-C is an antineoplastic antibiotic that has been reported to cause TMA (HUS/TTP-like) in 4–15% of patients. Most cases occur within 4 months after the last dose. Toxicity is cumulative and dose-dependent, and increases at a dose of >50 mg/m2 (15–17), as shown in patient 1. Mitomycin-C-induced TMA results from endothelial damage (18), which is at least partly due to formation of platelet-aggregating immune complexes and complement-fixing circulating immune complexes (19). To the best of our knowledge, PRES was not previously reported following treatment with mitomycin-C and may possibly be related to the mitomycin-C-induced TMA. Since the pathogenesis involves both platelet-aggregating and complement-fixing circulating immune complexes, treatment should include plasma exchange, steroids and anti-platelets agents, as in patient 1.

Gemcitabine-induced PRES

PRES associated with gemcitabine was first documented in 2001 (20) and was reported also after its re-administration (20–22), as in patient 2. Although most instances of PRES due to immunosuppressive agents occur within 2 weeks of treatment initiation or dose increase, it may also occur a few months later (1), as in patient 2.

According to the literature, PRES associated with gemcitabine is reversible, although in some instances it can result in neurological sequela. Of 12 cases reported in the literature, 7 had complete recovery (21,23–26), 4 had partial recovery (20,27), and only one case was fatal due to a hospitalization complication after significant neurological improvement was achieved (7). Gemcitabine-induced PRES may be related to microvascular injury (7,20,28–30) or may develop secondary to TMA. The median cumulative gemcitabine dose associated with TMA is >20,000 mg/m2 (31). However, prior treatment with chemotherapeutic agents known to cause TMA, such as mitomycin-C and cisplatin, has been suggested to increase the likelihood of developing TMA after gemcitabine, and to reduce the indicated cumulative dose of the agent (32–35). Indeed, patient 2 had been treated with carboplatin and gemcitabine a few months before her presentation. Gemcitabine induced TMA is believed to result from dysregulation of the complement system, and respond to complement inhibition by eculizumab (36–38). Since no antibody-mediated mechanism has been established, it is unlikely that plasma exchange would be beneficial (36,39), as shown in patient 2.

Clinical course and prognosis of chemotherapy-induced PRES

Our report documents wide variability in the clinical course of chemotherapy-induced PRES by different agents. Although as its name suggests, PRES is mostly reversible, in some patients the sequelae may be irreversible and even fatal. Patient 1 had full recovery after discontinuation of the offending agent and following plasma exchange with administration of steroids and aspirin. By contrast, patient 2 deteriorated despite discontinuation of the offending agent and treatment with verapamil, steroids, and plasma exchange. This variability is possibly related to the different pathogenic mechanisms attributed to the causative agents, which may also explain differences in the response to therapy. Clinical deterioration with fatal outcome may result from cerebral edema, intracerebral hemorrhage, or as a complication of the underlying condition (10,14,40), such as progressive hemolysis, as in patient 2.

Prognostic biochemical and imaging markers

Although PRES is usually reversible, up to 15% of cases are fatal (27). Therefore, it is important to classify patients according to their risk factors. However, only a few prognostic markers have been identified so far, including creatinine and LDH, with their elevation indicating a worse prognosis (14,41). Furthermore, LDH is regarded as an early biochemical marker of PRES, predicting the degree of brain edema in eclampsia and in cancer patients receiving chemotherapy (41). LDH was elevated in both of our patients, and was not prognostic. This is explained by the fact that both had hemolysis, indicating that LDH is not prognostic in PRES caused by TMA.

In addition to biochemical markers, MRI findings of hemorrhages and restricted diffusion on ADC mapping, suggesting cytotoxic as opposed to vasogenic edema, is also correlated with a worse prognosis (14), as in our patient 2.

In conclusion, the pathogenic mechanisms in chemotherapy-induced PRES vary, depending on the agent, leading to marked differences in clinical course, prognosis, and outcome.

References

1 

Roth C and Ferbert A: The posterior reversible encephalopathy syndrome: what's certain, what's new? Pract Neurol. 11:136–144. 2011. View Article : Google Scholar : PubMed/NCBI

2 

Hinchey J, Chaves C, Appignani B, Breen J, Pao L, Wang A, Pessin MS, Lamy C, Mas JL and Caplan LR: A reversible posterior leukoencephalopathy syndrome. N Engl J Med. 334:494–500. 1996. View Article : Google Scholar : PubMed/NCBI

3 

Strandgaard S and Paulson OB: Cerebral autoregulation. Stroke. 15:413–416. 1984. View Article : Google Scholar : PubMed/NCBI

4 

Ozcan C, Wong SJ and Hari P: Reversible posterior leukoencephalopathy syndrome and bevacizumab. N Engl J Med. 354:980–982; discussion 980–982. 2006. View Article : Google Scholar : PubMed/NCBI

5 

Allen JA, Adlakha A and Bergethon PR: Reversible posterior leukoencephalopathy syndrome after bevacizumab/FOLFIRI regimen for metastatic colon cancer. Arch Neurol. 63:1475–1478. 2006. View Article : Google Scholar : PubMed/NCBI

6 

Bodkin CL and Eidelman BH: Sirolimus-induced posterior reversible encephalopathy. Neurology. 68:2039–2040. 2007. View Article : Google Scholar : PubMed/NCBI

7 

Rajasekhar A and George TJ: Gemcitabine-induced reversible posterior leukoencephalopathy syndrome: a case report and review of the literature. Oncologist. 12:1332–1335. 2007. View Article : Google Scholar : PubMed/NCBI

8 

Junna MR and Rabinstein AA: Tacrolimus induced leukoencephalopathy presenting with status epilepticus and prolonged coma. J Neurol Neurosurg Psychiatry. 78:1410–1411. 2007. View Article : Google Scholar : PubMed/NCBI

9 

Kozak OS, Wijdicks EF, Manno EM, Miley JT and Rabinstein AA: Status epilepticus as initial manifestation of posterior reversible encephalopathy syndrome. Neurology. 69:894–897. 2007. View Article : Google Scholar : PubMed/NCBI

10 

Stott VL, Hurrell MA and Anderson TJ: Reversible posterior leukoencephalopathy syndrome: a misnomer reviewed. Intern Med J. 35:83–90. 2005. View Article : Google Scholar : PubMed/NCBI

11 

George JN and Nester CM: Syndromes of thrombotic microangiopathy. New England Journal of Medicine. 371:654–666. 2014. View Article : Google Scholar : PubMed/NCBI

12 

Kwon S, Koo J and Lee S: Clinical spectrum of reversible posterior leukoencephalopathy syndrome. Pediatric Neurology. 24:361–364. 2001. View Article : Google Scholar : PubMed/NCBI

13 

Bhat RA, Wani Z, Baasit S and Khan I: Clinical course, laboratory parameters and outcome of TTP pediatric patients presenting with posterior reversible encephalopathy syndrome. Renal failure. 37:1–979. 2015. View Article : Google Scholar : PubMed/NCBI

14 

Covarrubias DJ, Luetmer PH and Campeau NG: Posterior reversible encephalopathy syndrome: prognostic utility of quantitative diffusion-weighted MR images. Am J Neuroradiol. 23:1–1048. 2002.PubMed/NCBI

15 

Al-Nouri ZL, Reese JA, Terrell DR, Vesely SK and George JN: Drug-induced thrombotic microangiopathy: a systematic review of published reports. Blood. 125:1–618. 2015. View Article : Google Scholar : PubMed/NCBI

16 

Valavaara R and Nordman E: Renal complications of mitomycin-C therapy with special reference to the total dose. Cancer. 55:1–50. 1985. View Article : Google Scholar : PubMed/NCBI

17 

Reese JA, Bougie DW, Curtis BR, Terrell DR, Vesely SK, Aster RH and George JN: Drug-induced thrombotic microangiopathy: Experience of the Oklahoma registry and the BloodCenter of Wisconsin. American Journal of Hematology. 90:406–410. 2015. View Article : Google Scholar : PubMed/NCBI

18 

Groff JA, Kozak M, Boehmer JP, Demko TM and Diamond JR: Endotheliopathy: a continuum of hemolytic uremic syndrome due to mitomycin therapy. Am J Kidney Dis. 29:280–284. 1997. View Article : Google Scholar : PubMed/NCBI

19 

Mistry B, Kimmel PL, Hetzel PC, Phillips TM and Braden GL: The role of circulating immune complexes and biocompatibility of staphylococcal protein A immunoadsorption in mitomycin-C-induced hemolytic uremic syndrome. Am J Kidney Dis. 44:e50–58. 2004. View Article : Google Scholar : PubMed/NCBI

20 

Russell MT, Nassif AS, Cacayorin ED, Awwad E, Perman W and Dunphy F: Gemcitabine-associated posterior reversible encephalopathy syndrome: MR imaging and MR spectroscopy findings. Magn Reson Imaging. 19:129–132. 2001. View Article : Google Scholar : PubMed/NCBI

21 

Larsen FO and Hansen SW: Severe neurotoxicity caused by gemcitabine treatment. Acta Oncol. 43:590–591. 2004. View Article : Google Scholar : PubMed/NCBI

22 

Govindarajan R, Adusumilli J, Baxter DL, El-Khoueiry A and Harik SI: Reversible posterior leukoencephalopathy syndrome induced by RAF kinase inhibitor BAY 43–9006. J Clin Oncol. 24:e48. 2006. View Article : Google Scholar : PubMed/NCBI

23 

How J, Blattner M, Fowler S, Wang-Gillam A and Schindler SE: Chemotherapy-associated posterior reversible encephalopathy syndrome: a case report and review of the literature. The neurologist. 21:112–117. 2016. View Article : Google Scholar : PubMed/NCBI

24 

Cherniawsky H, Merchant N, Sawyer M and Ho M: A case report of posterior reversible encephalopathy syndrome in a patient receiving gemcitabine and cisplatin. Medicine. 96:e58502017. View Article : Google Scholar : PubMed/NCBI

25 

Bhatt A, Farooq MU, Majid A and Kassab M: Chemotherapy-related posterior reversible leukoencephalopathy syndrome. Nat Rev Neurol. 5:1632009. View Article : Google Scholar

26 

Truong QV, Abraham J, Nagaiah G, Newton M and Veltri L: Gemcitabine associated with posterior reversible encephalopathy syndrome (PRES): a case report and review of the literature. Clin Adv Hematol Oncol. 10:611–613. 2012.PubMed/NCBI

27 

Kabre RS and Kamble KM: Gemcitabine and Cisplatin induced posterior reversible encephalopathy syndrome: A case report with review of literature. J Res Pharm Pract. 5:297–300. 2016. View Article : Google Scholar : PubMed/NCBI

28 

Baker WJ, Royer GL Jr and Weiss RB: Cytarabine and neurologic toxicity. J Clin Oncol. 9:679–693. 1991. View Article : Google Scholar : PubMed/NCBI

29 

Ito Y, Arahata Y, Goto Y, Hirayama M, Nagamutsu M, Yasuda T, Yanagi T and Sobue G: Cisplatin neurotoxicity presenting as reversible posterior leukoencephalopathy syndrome. Am J Neuroradiol. 19:415–417. 1998.PubMed/NCBI

30 

Beck WT and Kuttesch JF: Neurological symptoms associated with cyclosporin plus doxorubicin. Lancet. 340:4961992. View Article : Google Scholar : PubMed/NCBI

31 

Walter RB, Joerger M and Pestalozzi BC: Gemcitabine-associated hemolytic-uremic syndrome. Am J Kidney Dis. 40:e16.1–e16.6. 2002. View Article : Google Scholar

32 

Bharthuar A, Egloff L, Becker J, George M, Lohr JW, Deeb G and Iyer RV: Rituximab-based therapy for gemcitabine-induced hemolytic uremic syndrome in a patient with metastatic pancreatic adenocarcinoma: a case report. Cancer Chemother Pharmacol. 64:177–181. 2009. View Article : Google Scholar : PubMed/NCBI

33 

Muller S, Schutt P, Bojko P, Nowrousian MR, Hense J, Seeber S and Moritz T: Hemolytic uremic syndrome following prolonged gemcitabine therapy: report of four cases from a single institution. Ann Hematol. 84:110–114. 2005. View Article : Google Scholar : PubMed/NCBI

34 

Walter RB, Joerger M and Pestalozzi BC: Gemcitabine-associated hemolytic-uremic syndrome. Am J Kidney Dis. 40:e162002. View Article : Google Scholar : PubMed/NCBI

35 

Fung MC, Storniolo AM, Nguyen B, Arning M, Brookfield W and Vigil J: A review of hemolytic uremic syndrome in patients treated with gemcitabine therapy. Cancer. 85:2023–2032. 1999. View Article : Google Scholar : PubMed/NCBI

36 

Starck M and Wendtner CM: Use of eculizumab in refractory gemcitabine-induced thrombotic microangiopathy. Br J Haematol. 164:894–896. 2013. View Article : Google Scholar

37 

Turner JL, Reardon J, Bekaii-Saab T, Cataland SR and Arango MJ: Gemcitabine-associated thrombotic microangiopathy: response to complement inhibition and reinitiation of gemcitabine. Clin Colorectal Cancer. 16:e119–e122. 2016. View Article : Google Scholar

38 

Rogier T, Gerfaud-Valentin M, Pouteil-Noble C, Taleb A, Guillet M, Noel A, Broussolle C and Seve P: Clinical efficacy of eculizumab as treatment of gemcitabine-induced thrombotic microangiopathy: A case report. Rev Med Interne. 37:701–704. 2016. View Article : Google Scholar : PubMed/NCBI

39 

Gore EM, Jones BS and Marques MB: Is therapeutic plasma exchange indicated for patients with gemcitabine-induced hemolytic uremic syndrome? J Clin Apher. 24:209–214. 2009. View Article : Google Scholar : PubMed/NCBI

40 

Ay H, Buonanno FS, Schaefer PW, Le DA, Wang B, Gonzalez G and Koroshetz WJ: Posterior leukoencephalopathy without severe hypertension: utility of diffusion-weighted MRI. Neurology. 51:1369–1376. 1998. View Article : Google Scholar : PubMed/NCBI

41 

Lv C and Gao B: Serum lactate dehydrogenase as a predictor of outcome in posterior reversible encephalopathy syndrome: imperative to unify. Am J Neuroradiol. 36:e29–e30. 2015. View Article : Google Scholar : PubMed/NCBI

Related Articles

  • Abstract
  • View
  • Download
  • Twitter
Copy and paste a formatted citation
Spandidos Publications style
Makranz C, Khutsurauli S, Kalish Y, Eliahou R, Kadouri L, Gomori JM and Lossos A: Neurological variability in chemotherapy‑induced posterior reversible encephalopathy syndrome associated with thrombotic microangiopathy: Case reports and literature review. Mol Clin Oncol 8: 178-182, 2018.
APA
Makranz, C., Khutsurauli, S., Kalish, Y., Eliahou, R., Kadouri, L., Gomori, J.M., & Lossos, A. (2018). Neurological variability in chemotherapy‑induced posterior reversible encephalopathy syndrome associated with thrombotic microangiopathy: Case reports and literature review. Molecular and Clinical Oncology, 8, 178-182. https://doi.org/10.3892/mco.2017.1476
MLA
Makranz, C., Khutsurauli, S., Kalish, Y., Eliahou, R., Kadouri, L., Gomori, J. M., Lossos, A."Neurological variability in chemotherapy‑induced posterior reversible encephalopathy syndrome associated with thrombotic microangiopathy: Case reports and literature review". Molecular and Clinical Oncology 8.1 (2018): 178-182.
Chicago
Makranz, C., Khutsurauli, S., Kalish, Y., Eliahou, R., Kadouri, L., Gomori, J. M., Lossos, A."Neurological variability in chemotherapy‑induced posterior reversible encephalopathy syndrome associated with thrombotic microangiopathy: Case reports and literature review". Molecular and Clinical Oncology 8, no. 1 (2018): 178-182. https://doi.org/10.3892/mco.2017.1476
Copy and paste a formatted citation
x
Spandidos Publications style
Makranz C, Khutsurauli S, Kalish Y, Eliahou R, Kadouri L, Gomori JM and Lossos A: Neurological variability in chemotherapy‑induced posterior reversible encephalopathy syndrome associated with thrombotic microangiopathy: Case reports and literature review. Mol Clin Oncol 8: 178-182, 2018.
APA
Makranz, C., Khutsurauli, S., Kalish, Y., Eliahou, R., Kadouri, L., Gomori, J.M., & Lossos, A. (2018). Neurological variability in chemotherapy‑induced posterior reversible encephalopathy syndrome associated with thrombotic microangiopathy: Case reports and literature review. Molecular and Clinical Oncology, 8, 178-182. https://doi.org/10.3892/mco.2017.1476
MLA
Makranz, C., Khutsurauli, S., Kalish, Y., Eliahou, R., Kadouri, L., Gomori, J. M., Lossos, A."Neurological variability in chemotherapy‑induced posterior reversible encephalopathy syndrome associated with thrombotic microangiopathy: Case reports and literature review". Molecular and Clinical Oncology 8.1 (2018): 178-182.
Chicago
Makranz, C., Khutsurauli, S., Kalish, Y., Eliahou, R., Kadouri, L., Gomori, J. M., Lossos, A."Neurological variability in chemotherapy‑induced posterior reversible encephalopathy syndrome associated with thrombotic microangiopathy: Case reports and literature review". Molecular and Clinical Oncology 8, no. 1 (2018): 178-182. https://doi.org/10.3892/mco.2017.1476
Follow us
  • Twitter
  • LinkedIn
  • Facebook
About
  • Spandidos Publications
  • Careers
  • Cookie Policy
  • Privacy Policy
How can we help?
  • Help
  • Live Chat
  • Contact
  • Email to our Support Team