Spandidos Publications Logo
  • About
    • About Spandidos
    • Aims and Scopes
    • Abstracting and Indexing
    • Editorial Policies
    • Reprints and Permissions
    • Job Opportunities
    • Terms and Conditions
    • Contact
  • Journals
    • All Journals
    • Oncology Letters
      • Oncology Letters
      • Information for Authors
      • Editorial Policies
      • Editorial Board
      • Aims and Scope
      • Abstracting and Indexing
      • Bibliographic Information
      • Archive
    • International Journal of Oncology
      • International Journal of Oncology
      • Information for Authors
      • Editorial Policies
      • Editorial Board
      • Aims and Scope
      • Abstracting and Indexing
      • Bibliographic Information
      • Archive
    • Molecular and Clinical Oncology
      • Molecular and Clinical Oncology
      • Information for Authors
      • Editorial Policies
      • Editorial Board
      • Aims and Scope
      • Abstracting and Indexing
      • Bibliographic Information
      • Archive
    • Experimental and Therapeutic Medicine
      • Experimental and Therapeutic Medicine
      • Information for Authors
      • Editorial Policies
      • Editorial Board
      • Aims and Scope
      • Abstracting and Indexing
      • Bibliographic Information
      • Archive
    • International Journal of Molecular Medicine
      • International Journal of Molecular Medicine
      • Information for Authors
      • Editorial Policies
      • Editorial Board
      • Aims and Scope
      • Abstracting and Indexing
      • Bibliographic Information
      • Archive
    • Biomedical Reports
      • Biomedical Reports
      • Information for Authors
      • Editorial Policies
      • Editorial Board
      • Aims and Scope
      • Abstracting and Indexing
      • Bibliographic Information
      • Archive
    • Oncology Reports
      • Oncology Reports
      • Information for Authors
      • Editorial Policies
      • Editorial Board
      • Aims and Scope
      • Abstracting and Indexing
      • Bibliographic Information
      • Archive
    • Molecular Medicine Reports
      • Molecular Medicine Reports
      • Information for Authors
      • Editorial Policies
      • Editorial Board
      • Aims and Scope
      • Abstracting and Indexing
      • Bibliographic Information
      • Archive
    • World Academy of Sciences Journal
      • World Academy of Sciences Journal
      • Information for Authors
      • Editorial Policies
      • Editorial Board
      • Aims and Scope
      • Abstracting and Indexing
      • Bibliographic Information
      • Archive
    • International Journal of Functional Nutrition
      • International Journal of Functional Nutrition
      • Information for Authors
      • Editorial Policies
      • Editorial Board
      • Aims and Scope
      • Abstracting and Indexing
      • Bibliographic Information
      • Archive
    • International Journal of Epigenetics
      • International Journal of Epigenetics
      • Information for Authors
      • Editorial Policies
      • Editorial Board
      • Aims and Scope
      • Abstracting and Indexing
      • Bibliographic Information
      • Archive
    • Medicine International
      • Medicine International
      • Information for Authors
      • Editorial Policies
      • Editorial Board
      • Aims and Scope
      • Abstracting and Indexing
      • Bibliographic Information
      • Archive
  • Articles
  • Information
    • Information for Authors
    • Information for Reviewers
    • Information for Librarians
    • Information for Advertisers
    • Conferences
  • Language Editing
Spandidos Publications Logo
  • About
    • About Spandidos
    • Aims and Scopes
    • Abstracting and Indexing
    • Editorial Policies
    • Reprints and Permissions
    • Job Opportunities
    • Terms and Conditions
    • Contact
  • Journals
    • All Journals
    • Biomedical Reports
      • Information for Authors
      • Editorial Policies
      • Editorial Board
      • Aims and Scope
      • Abstracting and Indexing
      • Bibliographic Information
      • Archive
    • Experimental and Therapeutic Medicine
      • Information for Authors
      • Editorial Policies
      • Editorial Board
      • Aims and Scope
      • Abstracting and Indexing
      • Bibliographic Information
      • Archive
    • International Journal of Epigenetics
      • Information for Authors
      • Editorial Policies
      • Editorial Board
      • Aims and Scope
      • Abstracting and Indexing
      • Bibliographic Information
      • Archive
    • International Journal of Functional Nutrition
      • Information for Authors
      • Editorial Policies
      • Editorial Board
      • Aims and Scope
      • Abstracting and Indexing
      • Bibliographic Information
      • Archive
    • International Journal of Molecular Medicine
      • Information for Authors
      • Editorial Policies
      • Editorial Board
      • Aims and Scope
      • Abstracting and Indexing
      • Bibliographic Information
      • Archive
    • International Journal of Oncology
      • Information for Authors
      • Editorial Policies
      • Editorial Board
      • Aims and Scope
      • Abstracting and Indexing
      • Bibliographic Information
      • Archive
    • Medicine International
      • Information for Authors
      • Editorial Policies
      • Editorial Board
      • Aims and Scope
      • Abstracting and Indexing
      • Bibliographic Information
      • Archive
    • Molecular and Clinical Oncology
      • Information for Authors
      • Editorial Policies
      • Editorial Board
      • Aims and Scope
      • Abstracting and Indexing
      • Bibliographic Information
      • Archive
    • Molecular Medicine Reports
      • Information for Authors
      • Editorial Policies
      • Editorial Board
      • Aims and Scope
      • Abstracting and Indexing
      • Bibliographic Information
      • Archive
    • Oncology Letters
      • Information for Authors
      • Editorial Policies
      • Editorial Board
      • Aims and Scope
      • Abstracting and Indexing
      • Bibliographic Information
      • Archive
    • Oncology Reports
      • Information for Authors
      • Editorial Policies
      • Editorial Board
      • Aims and Scope
      • Abstracting and Indexing
      • Bibliographic Information
      • Archive
    • World Academy of Sciences Journal
      • Information for Authors
      • Editorial Policies
      • Editorial Board
      • Aims and Scope
      • Abstracting and Indexing
      • Bibliographic Information
      • Archive
  • Articles
  • Information
    • For Authors
    • For Reviewers
    • For Librarians
    • For Advertisers
    • Conferences
  • Language Editing
Login Register Submit
  • This site uses cookies
  • You can change your cookie settings at any time by following the instructions in our Cookie Policy. To find out more, you may read our Privacy Policy.

    I agree
Search articles by DOI, keyword, author or affiliation
Search
Advanced Search
presentation
Molecular and Clinical Oncology
Join Editorial Board Propose a Special Issue
Print ISSN: 2049-9450 Online ISSN: 2049-9469
Journal Cover
May-2019 Volume 10 Issue 5

Full Size Image

Sign up for eToc alerts
Recommend to Library

Journals

International Journal of Molecular Medicine

International Journal of Molecular Medicine

International Journal of Molecular Medicine is an international journal devoted to molecular mechanisms of human disease.

International Journal of Oncology

International Journal of Oncology

International Journal of Oncology is an international journal devoted to oncology research and cancer treatment.

Molecular Medicine Reports

Molecular Medicine Reports

Covers molecular medicine topics such as pharmacology, pathology, genetics, neuroscience, infectious diseases, molecular cardiology, and molecular surgery.

Oncology Reports

Oncology Reports

Oncology Reports is an international journal devoted to fundamental and applied research in Oncology.

Experimental and Therapeutic Medicine

Experimental and Therapeutic Medicine

Experimental and Therapeutic Medicine is an international journal devoted to laboratory and clinical medicine.

Oncology Letters

Oncology Letters

Oncology Letters is an international journal devoted to Experimental and Clinical Oncology.

Biomedical Reports

Biomedical Reports

Explores a wide range of biological and medical fields, including pharmacology, genetics, microbiology, neuroscience, and molecular cardiology.

Molecular and Clinical Oncology

Molecular and Clinical Oncology

International journal addressing all aspects of oncology research, from tumorigenesis and oncogenes to chemotherapy and metastasis.

World Academy of Sciences Journal

World Academy of Sciences Journal

Multidisciplinary open-access journal spanning biochemistry, genetics, neuroscience, environmental health, and synthetic biology.

International Journal of Functional Nutrition

International Journal of Functional Nutrition

Open-access journal combining biochemistry, pharmacology, immunology, and genetics to advance health through functional nutrition.

International Journal of Epigenetics

International Journal of Epigenetics

Publishes open-access research on using epigenetics to advance understanding and treatment of human disease.

Medicine International

Medicine International

An International Open Access Journal Devoted to General Medicine.

Journal Cover
May-2019 Volume 10 Issue 5

Full Size Image

Sign up for eToc alerts
Recommend to Library

  • Article
  • Citations
    • Cite This Article
    • Download Citation
    • Create Citation Alert
    • Remove Citation Alert
    • Cited By
  • Similar Articles
    • Related Articles (in Spandidos Publications)
    • Similar Articles (Google Scholar)
    • Similar Articles (PubMed)
  • Download PDF
  • Download XML
  • View XML
Case Report Open Access

Robotic treatment of giant adrenal myelolipoma: A case report and review of the literature

  • Authors:
    • Giovanni Cochetti
    • Alessio Paladini
    • Andrea Boni
    • Elisa Silvi
    • Alberto Tiezzi
    • Jacopo Adolfo Rossi de Vermandois
    • Ettore Mearini
  • View Affiliations / Copyright

    Affiliations: Department of Surgical and Biomedical Sciences, Inter-Divisional Urology Clinic (Perugia-Terni), Santa Maria della Misericordia University Hospital, I-06156 Perugia, Italy
    Copyright: © Cochetti et al. This is an open access article distributed under the terms of Creative Commons Attribution License.
  • Pages: 492-496
    |
    Published online on: March 12, 2019
       https://doi.org/10.3892/mco.2019.1823
  • Expand metrics +
Metrics: Total Views: 0 (Spandidos Publications: | PMC Statistics: )
Metrics: Total PDF Downloads: 0 (Spandidos Publications: | PMC Statistics: )
Cited By (CrossRef): 0 citations Loading Articles...

This article is mentioned in:



Abstract

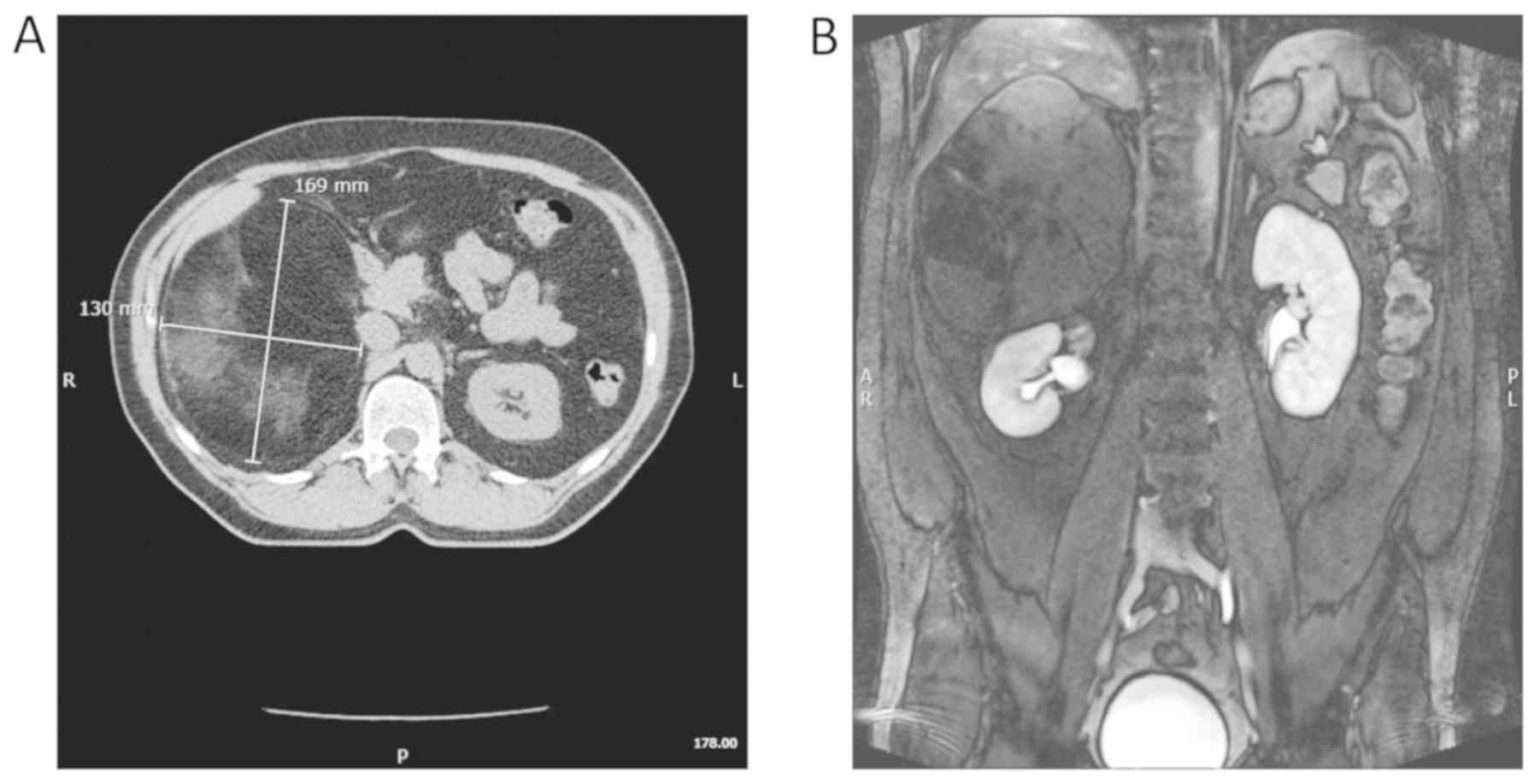
Adrenal myelolipoma is a rare mesenchymal tumour with benign biological behaviour that is mainly composed of mature adipose and myeloid tissue. Both sexes are equally affected, most commonly between the fifth and seventh decades of life. The diagnosis of adrenal myelolipoma is mostly incidental. Although it may occasionally be associated with necrosis, rupture and haemorrhage, causing abdominal pain, this tumour is usually asymptomatic. Consequently, management is conservative, while surgical treatment is reserved for symptomatic cases, or for masses growing quickly or to a size >6 cm. Giant myelolipomas (sized >10 cm) are rare. Open radical adrenalectomy is the standard treatment for giant myelolipomas, while the minimally invasive approach has been used in only few cases. We herein report the case of a patient with a giant adrenal myelolipoma who underwent robotic partial adrenalectomy. To the best of our knowledge, this is the largest giant adrenal myelolipoma treated with robotic surgery reported in the literature to date. A 55‑year‑old male patient underwent an abdominal computed tomography scan during follow‑up after radical prostatectomy for prostate cancer Gleason Score 6 (ISUP 1) due to biochemical recurrence. The examination revealed a right hypodense adrenal mass, sized 16x13 cm. Abdominal magnetic resonance imaging confirmed the presence of characteristics suggestive of a myelolipoma. The patient did not report any symptoms. Due to the benign characteristics of the mass, robotic partial adrenalectomy and enucleation of the mass were performed. The operative time and estimated blood loss were 205 min and 100 ml, respectively. No intra‑ or postoperative complications occurred. The patient was mobilized on the first postoperative day and the time to flatus was 36 h; the length of hospitalization was 4 days. Histological examination confirmed the diagnosis of adrenal myelolipoma, sized 18x11.5x6 cm. No tumour recurrence occurred over a follow‑up period of 12 months. In conclusion, robotic surgery allows performing partial adrenalectomy with a lower risk of bleeding and with preservation of healthy adrenal tissue, which is of paramount importance for the patient as it reduces recovery time and the need for medical substitution therapy.
View Figures

Figure 1

Figure 2

Figure 3

View References

1 

Lam AK: Update on adrenal tumours in 2017 World Health Organization (WHO) of endocrine tumours. Endocr Pathol. 28:213–227. 2017. View Article : Google Scholar : PubMed/NCBI

2 

Bokhari MR and Bhimji S: Adrenal, myelolipoma. StatPearls NCBI Bookshelf. 2017.

3 

Al-Bahri S, Tariq A, Lowentritt B and Nasrallah DV; Hindawi Publishing Corporation, : Giant bilateral adrenal myelolipoma with congenital adrenal hyperplasia. Case Rep Surg. 2014:7281982014.PubMed/NCBI

4 

Zhao J, Sun F, Jing X, Zhou W, Huang X, Wang H, Zhu Y, Yuan F and Shen Z: The diagnosis and treatment of primary adrenal lipomatous tumours in Chinese patients: A 31-year follow-up study. Can Urol Assoc J. 8:E132–E136. 2014. View Article : Google Scholar : PubMed/NCBI

5 

Molnar C, Lata L, Pisica R, Russu C, Gherghinescu M, Molnar C, Borda A, Butiurca VO, Suciu BA and Copotoiu C: Anterior transabdominal laparoscopic adrenalectomy, without ligatures, for a symptomatic right adrenal myelolipoma with intratumorally haemorrhage. Chirurgia (Bucur). 112:58–62. 2017. View Article : Google Scholar : PubMed/NCBI

6 

Ramirez M and Misra S: Adrenal myelolipoma: To operate or not? A case report and review of the literature. Int J Surg Case Rep. 5:494–496. 2014. View Article : Google Scholar : PubMed/NCBI

7 

Teo XL and Lim SK: Robotic assisted adrenalectomy: is it ready for prime time? Investig Clin Urol. 57 (Suppl 2):S130–S146. 2016. View Article : Google Scholar : PubMed/NCBI

8 

Federle M and Anne V: Adrenal myelolipoma. Diagnostic Imaging: Abdomen. 1st. Amirsys Inc.; Salt lake: pp. III2-24-252004

9 

Oberling C: Les formations myelolipomateuses. Bull Assoc Fr Etud Cancer. 18:234–246. 1929.

10 

Zeiger MA, Thompson GB, Duh QY, Hamrahian AH, Angelos P, Elaraj D, Fishman E and Kharlip J: MDAACE/AAES Adrenal Incidentaloma Guidelines. Endocr Pract. 15 (Suppl 1):2009.

11 

Nomine-Criqui C, Germain A, Ayav A, Bresler L and Brunaud L: Robot-assisted adrenalectomy: Indications and drawbacks. Updates Surg. 69:127–133. 2017. View Article : Google Scholar : PubMed/NCBI

12 

Cochetti G, Puxeddu E, Zingaro MD, D'Amico F, Cottini E, Barillaro F and Mearini E: Laparoscopic partial nephrectomy of thyroid cancer metastasis: Case report and review of the literature. OncoTargets Ther. 6:355–360. 2013. View Article : Google Scholar

13 

Arezzo A, Bullano A, Cochetti G, Cirocchi R, Randolph J, Mearini E, Evangelista A, Ciccone G, Bonjer HJ and Morino M: Transperitoneal versus retroperitoneal laparoscopic adrenalectomy for adrenal tumours in adults. Cochrane Database Syst Rev. Dec 30–2018.(Epub ahead of print). View Article : Google Scholar

14 

Boni A, Cochetti G, Ascani S, Del Zingaro M, Quadrini F, Paladini A, Cocca D and Mearini E: Robotic treatment of oligometastatic kidney tumor with synchronous pancreatic metastasis: Case report and review of the literature. BMC Surg. 18:402018. View Article : Google Scholar : PubMed/NCBI

15 

Gumbs AA and Gagner M: Laparoscopic adrenalectomy. Best Pract Res Clin Endocrinol Metab. 20:483–499. 2006. View Article : Google Scholar : PubMed/NCBI

16 

Morelli L, Tartaglia D, Bronzoni J, Palmeri M, Guadagni S, Di Franco G, Gennai A, Bianchini M, Bastiani L, Moglia A, et al: Robotic assisted versus pure laparoscopic surgery of the adrenal glands: A case-control study comparing surgical techniques. Langenbecks Arch Surg. 401:999–1006. 2016. View Article : Google Scholar : PubMed/NCBI

17 

Campos Arbulú AL, Sadava EE, Kerman J, Fernández Vila JM and Mezzadri NA: Medicina (Buenos Aires). 76:249–250. 2016.

18 

Undre S, Munz Y, Moorthy K, Martin S, Rockall T, Vale J and Darzi A: Robot-assisted laparoscopic adrenalectomy: Preliminary UK results. BJU Int. 93:357–359. 2004. View Article : Google Scholar : PubMed/NCBI

19 

Brunaud L, Ayav A, Zarnegar R, Rouers A, Klein M, Boissel P and Bresler L: Prospective evaluation of 100 robotic-assisted unilateral adrenalectomies. Surgery. 144:995–1001. 2008. View Article : Google Scholar : PubMed/NCBI

20 

Agcaoglu O, Aliyev S, Karabulut K, Mitchell J, Siperstein A and Berber E: Robotic versus laparoscopic resection of large adrenal tumors. Ann Surg Oncol. 19:2288–2294. 2012. View Article : Google Scholar : PubMed/NCBI

21 

Economopoulos KP, Mylonas KS, Stamou AA, Theocharidis V, Sergentanis TN, Psaltopoulou T and Richards ML: Laparoscopic versus robotic adrenalectomy: A comprehensive meta-analysis. Int J Surg. 38:95–104. 2017. View Article : Google Scholar : PubMed/NCBI

22 

Burttet LM, Abreu FJDS, Varaschin GA, Silva B and Berger M: Robotic assisted laparoscopic excision of a retroperitoneal Ganglioneuroma. Int Braz J Urol. 43:997. 2017. View Article : Google Scholar : PubMed/NCBI

23 

Deniwar A, Mohamed HE, Noureldine SI and Kandil E: Robotic-assisted laparoscopic adrenalectomy for an adrenal adenoma. Gland Surg. 4:447–448. 2015.PubMed/NCBI

24 

Akarsu C, Dural AC, Kankaya B, Çelik MF, Köneş O, Mert M, Kalaycı MU and Alış H: The early results of our initial experience with robotic adrenalectomy. Ulus Cerrahi Derg. 30:28–33. 2014.PubMed/NCBI

25 

Brandao LF, Autorino R, Laydner H, Haber GP, Ouzaid I, De Sio M, Perdonà S, Stein RJ, Porpiglia F and Kaouk JH: Robotic versus laparoscopic adrenalectomy: A systematic review and meta-analysis. Eur Urol. 65:1154–1161. 2014. View Article : Google Scholar : PubMed/NCBI

26 

Yates J, Uberoi J and Munver R: Robot-assisted laparoscopic partial adrenalectomy: A case report and review of the literature. J Robot Surg. 4:149–154. 2010. View Article : Google Scholar : PubMed/NCBI

Related Articles

  • Abstract
  • View
  • Download
  • Twitter
Copy and paste a formatted citation
Spandidos Publications style
Cochetti G, Paladini A, Boni A, Silvi E, Tiezzi A, Rossi de Vermandois JA and Mearini E: Robotic treatment of giant adrenal myelolipoma: A case report and review of the literature. Mol Clin Oncol 10: 492-496, 2019.
APA
Cochetti, G., Paladini, A., Boni, A., Silvi, E., Tiezzi, A., Rossi de Vermandois, J.A., & Mearini, E. (2019). Robotic treatment of giant adrenal myelolipoma: A case report and review of the literature. Molecular and Clinical Oncology, 10, 492-496. https://doi.org/10.3892/mco.2019.1823
MLA
Cochetti, G., Paladini, A., Boni, A., Silvi, E., Tiezzi, A., Rossi de Vermandois, J. A., Mearini, E."Robotic treatment of giant adrenal myelolipoma: A case report and review of the literature". Molecular and Clinical Oncology 10.5 (2019): 492-496.
Chicago
Cochetti, G., Paladini, A., Boni, A., Silvi, E., Tiezzi, A., Rossi de Vermandois, J. A., Mearini, E."Robotic treatment of giant adrenal myelolipoma: A case report and review of the literature". Molecular and Clinical Oncology 10, no. 5 (2019): 492-496. https://doi.org/10.3892/mco.2019.1823
Copy and paste a formatted citation
x
Spandidos Publications style
Cochetti G, Paladini A, Boni A, Silvi E, Tiezzi A, Rossi de Vermandois JA and Mearini E: Robotic treatment of giant adrenal myelolipoma: A case report and review of the literature. Mol Clin Oncol 10: 492-496, 2019.
APA
Cochetti, G., Paladini, A., Boni, A., Silvi, E., Tiezzi, A., Rossi de Vermandois, J.A., & Mearini, E. (2019). Robotic treatment of giant adrenal myelolipoma: A case report and review of the literature. Molecular and Clinical Oncology, 10, 492-496. https://doi.org/10.3892/mco.2019.1823
MLA
Cochetti, G., Paladini, A., Boni, A., Silvi, E., Tiezzi, A., Rossi de Vermandois, J. A., Mearini, E."Robotic treatment of giant adrenal myelolipoma: A case report and review of the literature". Molecular and Clinical Oncology 10.5 (2019): 492-496.
Chicago
Cochetti, G., Paladini, A., Boni, A., Silvi, E., Tiezzi, A., Rossi de Vermandois, J. A., Mearini, E."Robotic treatment of giant adrenal myelolipoma: A case report and review of the literature". Molecular and Clinical Oncology 10, no. 5 (2019): 492-496. https://doi.org/10.3892/mco.2019.1823
Follow us
  • Twitter
  • LinkedIn
  • Facebook
About
  • Spandidos Publications
  • Careers
  • Cookie Policy
  • Privacy Policy
How can we help?
  • Help
  • Live Chat
  • Contact
  • Email to our Support Team