Spandidos Publications Logo
  • About
    • About Spandidos
    • Aims and Scopes
    • Abstracting and Indexing
    • Editorial Policies
    • Reprints and Permissions
    • Job Opportunities
    • Terms and Conditions
    • Contact
  • Journals
    • All Journals
    • Oncology Letters
      • Oncology Letters
      • Information for Authors
      • Editorial Policies
      • Editorial Board
      • Aims and Scope
      • Abstracting and Indexing
      • Bibliographic Information
      • Archive
    • International Journal of Oncology
      • International Journal of Oncology
      • Information for Authors
      • Editorial Policies
      • Editorial Board
      • Aims and Scope
      • Abstracting and Indexing
      • Bibliographic Information
      • Archive
    • Molecular and Clinical Oncology
      • Molecular and Clinical Oncology
      • Information for Authors
      • Editorial Policies
      • Editorial Board
      • Aims and Scope
      • Abstracting and Indexing
      • Bibliographic Information
      • Archive
    • Experimental and Therapeutic Medicine
      • Experimental and Therapeutic Medicine
      • Information for Authors
      • Editorial Policies
      • Editorial Board
      • Aims and Scope
      • Abstracting and Indexing
      • Bibliographic Information
      • Archive
    • International Journal of Molecular Medicine
      • International Journal of Molecular Medicine
      • Information for Authors
      • Editorial Policies
      • Editorial Board
      • Aims and Scope
      • Abstracting and Indexing
      • Bibliographic Information
      • Archive
    • Biomedical Reports
      • Biomedical Reports
      • Information for Authors
      • Editorial Policies
      • Editorial Board
      • Aims and Scope
      • Abstracting and Indexing
      • Bibliographic Information
      • Archive
    • Oncology Reports
      • Oncology Reports
      • Information for Authors
      • Editorial Policies
      • Editorial Board
      • Aims and Scope
      • Abstracting and Indexing
      • Bibliographic Information
      • Archive
    • Molecular Medicine Reports
      • Molecular Medicine Reports
      • Information for Authors
      • Editorial Policies
      • Editorial Board
      • Aims and Scope
      • Abstracting and Indexing
      • Bibliographic Information
      • Archive
    • World Academy of Sciences Journal
      • World Academy of Sciences Journal
      • Information for Authors
      • Editorial Policies
      • Editorial Board
      • Aims and Scope
      • Abstracting and Indexing
      • Bibliographic Information
      • Archive
    • International Journal of Functional Nutrition
      • International Journal of Functional Nutrition
      • Information for Authors
      • Editorial Policies
      • Editorial Board
      • Aims and Scope
      • Abstracting and Indexing
      • Bibliographic Information
      • Archive
    • International Journal of Epigenetics
      • International Journal of Epigenetics
      • Information for Authors
      • Editorial Policies
      • Editorial Board
      • Aims and Scope
      • Abstracting and Indexing
      • Bibliographic Information
      • Archive
    • Medicine International
      • Medicine International
      • Information for Authors
      • Editorial Policies
      • Editorial Board
      • Aims and Scope
      • Abstracting and Indexing
      • Bibliographic Information
      • Archive
  • Articles
  • Information
    • Information for Authors
    • Information for Reviewers
    • Information for Librarians
    • Information for Advertisers
    • Conferences
  • Language Editing
Spandidos Publications Logo
  • About
    • About Spandidos
    • Aims and Scopes
    • Abstracting and Indexing
    • Editorial Policies
    • Reprints and Permissions
    • Job Opportunities
    • Terms and Conditions
    • Contact
  • Journals
    • All Journals
    • Biomedical Reports
      • Information for Authors
      • Editorial Policies
      • Editorial Board
      • Aims and Scope
      • Abstracting and Indexing
      • Bibliographic Information
      • Archive
    • Experimental and Therapeutic Medicine
      • Information for Authors
      • Editorial Policies
      • Editorial Board
      • Aims and Scope
      • Abstracting and Indexing
      • Bibliographic Information
      • Archive
    • International Journal of Epigenetics
      • Information for Authors
      • Editorial Policies
      • Editorial Board
      • Aims and Scope
      • Abstracting and Indexing
      • Bibliographic Information
      • Archive
    • International Journal of Functional Nutrition
      • Information for Authors
      • Editorial Policies
      • Editorial Board
      • Aims and Scope
      • Abstracting and Indexing
      • Bibliographic Information
      • Archive
    • International Journal of Molecular Medicine
      • Information for Authors
      • Editorial Policies
      • Editorial Board
      • Aims and Scope
      • Abstracting and Indexing
      • Bibliographic Information
      • Archive
    • International Journal of Oncology
      • Information for Authors
      • Editorial Policies
      • Editorial Board
      • Aims and Scope
      • Abstracting and Indexing
      • Bibliographic Information
      • Archive
    • Medicine International
      • Information for Authors
      • Editorial Policies
      • Editorial Board
      • Aims and Scope
      • Abstracting and Indexing
      • Bibliographic Information
      • Archive
    • Molecular and Clinical Oncology
      • Information for Authors
      • Editorial Policies
      • Editorial Board
      • Aims and Scope
      • Abstracting and Indexing
      • Bibliographic Information
      • Archive
    • Molecular Medicine Reports
      • Information for Authors
      • Editorial Policies
      • Editorial Board
      • Aims and Scope
      • Abstracting and Indexing
      • Bibliographic Information
      • Archive
    • Oncology Letters
      • Information for Authors
      • Editorial Policies
      • Editorial Board
      • Aims and Scope
      • Abstracting and Indexing
      • Bibliographic Information
      • Archive
    • Oncology Reports
      • Information for Authors
      • Editorial Policies
      • Editorial Board
      • Aims and Scope
      • Abstracting and Indexing
      • Bibliographic Information
      • Archive
    • World Academy of Sciences Journal
      • Information for Authors
      • Editorial Policies
      • Editorial Board
      • Aims and Scope
      • Abstracting and Indexing
      • Bibliographic Information
      • Archive
  • Articles
  • Information
    • For Authors
    • For Reviewers
    • For Librarians
    • For Advertisers
    • Conferences
  • Language Editing
Login Register Submit
  • This site uses cookies
  • You can change your cookie settings at any time by following the instructions in our Cookie Policy. To find out more, you may read our Privacy Policy.

    I agree
Search articles by DOI, keyword, author or affiliation
Search
Advanced Search
presentation
Molecular and Clinical Oncology
Join Editorial Board Propose a Special Issue
Print ISSN: 2049-9450 Online ISSN: 2049-9469
Journal Cover
November-2019 Volume 11 Issue 5

Full Size Image

Sign up for eToc alerts
Recommend to Library

Journals

International Journal of Molecular Medicine

International Journal of Molecular Medicine

International Journal of Molecular Medicine is an international journal devoted to molecular mechanisms of human disease.

International Journal of Oncology

International Journal of Oncology

International Journal of Oncology is an international journal devoted to oncology research and cancer treatment.

Molecular Medicine Reports

Molecular Medicine Reports

Covers molecular medicine topics such as pharmacology, pathology, genetics, neuroscience, infectious diseases, molecular cardiology, and molecular surgery.

Oncology Reports

Oncology Reports

Oncology Reports is an international journal devoted to fundamental and applied research in Oncology.

Experimental and Therapeutic Medicine

Experimental and Therapeutic Medicine

Experimental and Therapeutic Medicine is an international journal devoted to laboratory and clinical medicine.

Oncology Letters

Oncology Letters

Oncology Letters is an international journal devoted to Experimental and Clinical Oncology.

Biomedical Reports

Biomedical Reports

Explores a wide range of biological and medical fields, including pharmacology, genetics, microbiology, neuroscience, and molecular cardiology.

Molecular and Clinical Oncology

Molecular and Clinical Oncology

International journal addressing all aspects of oncology research, from tumorigenesis and oncogenes to chemotherapy and metastasis.

World Academy of Sciences Journal

World Academy of Sciences Journal

Multidisciplinary open-access journal spanning biochemistry, genetics, neuroscience, environmental health, and synthetic biology.

International Journal of Functional Nutrition

International Journal of Functional Nutrition

Open-access journal combining biochemistry, pharmacology, immunology, and genetics to advance health through functional nutrition.

International Journal of Epigenetics

International Journal of Epigenetics

Publishes open-access research on using epigenetics to advance understanding and treatment of human disease.

Medicine International

Medicine International

An International Open Access Journal Devoted to General Medicine.

Journal Cover
November-2019 Volume 11 Issue 5

Full Size Image

Sign up for eToc alerts
Recommend to Library

  • Article
  • Citations
    • Cite This Article
    • Download Citation
    • Create Citation Alert
    • Remove Citation Alert
    • Cited By
  • Similar Articles
    • Related Articles (in Spandidos Publications)
    • Similar Articles (Google Scholar)
    • Similar Articles (PubMed)
  • Download PDF
  • Download XML
  • View XML
Article Open Access

Nivolumab‑induced cholangitis in patients with non‑small cell lung cancer: Case series and a review of literature

  • Authors:
    • Hiroki Izumi
    • Masahiro Kodani
    • Jun Kurai
    • Kenichi Takeda
    • Ryota Okazaki
    • Kohei Yamane
    • Yasuhiko Teruya
    • Akihiro Yamamoto
    • Yuriko Sueda
    • Masaaki Yanai
    • Natsumi Tanaka
    • Tomohiro Sakamoto
    • Kosuke Yamaguchi
    • Haruhiko Makino
    • Tadashi Igishi
    • Akira Yamasaki
  • View Affiliations / Copyright

    Affiliations: Division of Medical Oncology and Molecular Respirology, Faculty of Medicine, Tottori University, Yonago, Tottori 683‑8504, Japan
    Copyright: © Izumi et al. This is an open access article distributed under the terms of Creative Commons Attribution License.
  • Pages: 439-446
    |
    Published online on: September 18, 2019
       https://doi.org/10.3892/mco.2019.1923
  • Expand metrics +
Metrics: Total Views: 0 (Spandidos Publications: | PMC Statistics: )
Metrics: Total PDF Downloads: 0 (Spandidos Publications: | PMC Statistics: )
Cited By (CrossRef): 0 citations Loading Articles...

This article is mentioned in:



Abstract

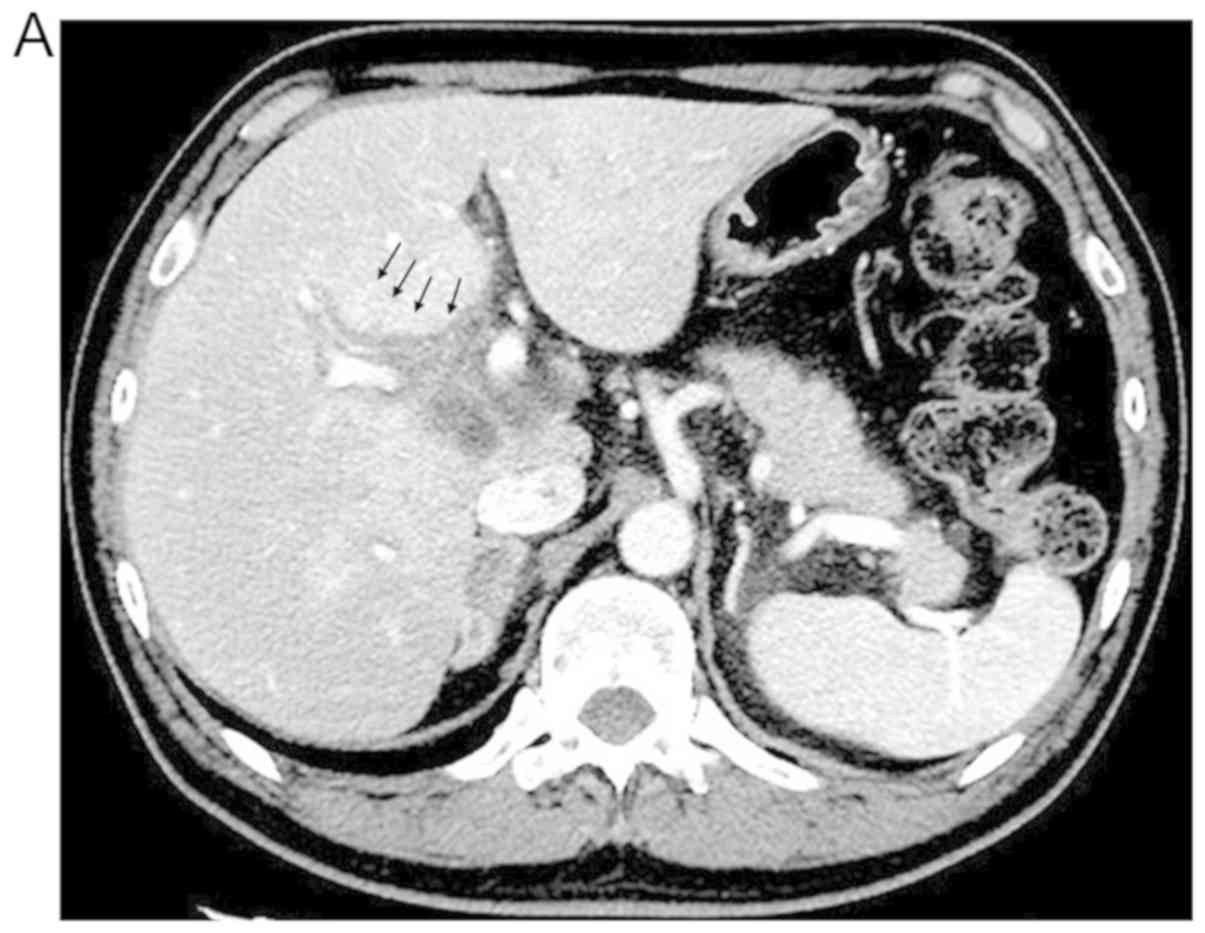
Immune checkpoint inhibitors (ICIs), including nivolumab, have exhibited substantial benefits in the treatment of several types of cancers. However, treatment with ICIs is often accompanied by immune‑related adverse events (irAEs), and a clear understanding of the precise indications and management of irAEs is important for harnessing the full potential of these agents. While skin‑ or gastrointestinal‑associated irAEs have been relatively well studied, there are few reports regarding nivolumab‑induced cholangitis. We retrospectively reviewed data from patients with advanced or recurrent non‑small cell lung cancer who were treated with nivolumab between December 2015 and December 2018 at Tottori University in Japan. Among the 59 patients, we identified four patients who experienced nivolumab‑induced cholangitis. Of these four patients, stable disease (SD) was observed in two patients (50%), while partial response (PR) was achieved in two patients (50%) under nivolumab treatment. Patients were treated with corticosteroid alone (n=2) or in combination with mycophenolate mofetil (MMF) (n=2); these treatments resulted in improvements in nivolumab‑induced cholangitis in three patients. In conclusion, the present retrospective study identified four cases of nivolumab‑induced cholangitis. The combination of corticosteroid and MMF was effective in two cases with grade 4 nivolumab‑induced cholangitis. Further reports are needed to establish the optimal management of patients with this irAE.
View Figures

Figure 1

Figure 2

View References

1 

Siegel RL, Miller KD and Jemal A: Cancer statistics, 2019. CA Cancer J Clin. 69:7–34. 2019. View Article : Google Scholar : PubMed/NCBI

2 

Pardoll DM: The blockade of immune checkpoints in cancer immunotherapy. Nat Rev Cancer. 12:252–264. 2012. View Article : Google Scholar : PubMed/NCBI

3 

Chen Y, Mu CY and Huang JA: Clinical significance of programmed death-1 ligand-1 expression in patients with non-small cell lung cancer: A 5-year-follow-up study. Tumori. 98:751–755. 2012. View Article : Google Scholar : PubMed/NCBI

4 

Velcheti V, Schalper KA, Carvajal DE, Anagnostou VK, Syrigos KN, Sznol M, Herbst RS, Gettinger SN, Chen L and Rimm DL: Programmed death ligand-1 expression in non-small cell lung cancer. Lab Invest. 94:107–116. 2014. View Article : Google Scholar : PubMed/NCBI

5 

Topalian SL, Hodi FS, Brahmer JR, Gettinger SN, Smith DC, McDermott DF, Powderly JD, Carvajal RD, Sosman JA, Atkins MB, et al: Safety, activity, and immune correlates of anti-PD-1 antibody in cancer. N Engl J Med. 366:2443–2454. 2012. View Article : Google Scholar : PubMed/NCBI

6 

Brahmer J, Reckamp KL, Baas P, Crinò L, Eberhardt WEE, Poddubskaya E, Antonia S, Pluzanski A, Vokes EE, Holgado E, et al: Nivolumab versus docetaxel in advanced squamous-cell non-small-cell lung cancer. N Engl J Med. 373:123–135. 2015. View Article : Google Scholar : PubMed/NCBI

7 

Borghaei H, Paz-Ares L, Horn L, Spigel DR, Steins M, Ready NE, Chow LQ, Vokes EE, Felip E, Holgado E, et al: Nivolumab versus docetaxel in advanced nonsquamous non-small-cell lung cancer. N Engl J Med. 373:1627–1639. 2015. View Article : Google Scholar : PubMed/NCBI

8 

Michot JM, Bigenwald C, Champiat S, Collins M, Carbonnel F, Postel-Vinay S, Berdelou A, Varga A, Bahleda R, Hollebecque A, et al: Immune-related adverse events with immune checkpoint blockade: A comprehensive review. Eur J Cancer. 54:139–148. 2016. View Article : Google Scholar : PubMed/NCBI

9 

Haanen JBAG, Carbonnel F, Robert C, Kerr KM, Peters S, Larkin J and Jordan K; ESMO Guidelines Committee, : Management of toxicities from immunotherapy: ESMO Clinical Practice Guidelines for diagnosis, treatment and follow-up. Ann Oncol. 28 (Suppl 4):iv119–iv142. 2017. View Article : Google Scholar : PubMed/NCBI

10 

Kawakami H, Tanizaki J, Tanaka K, Haratani K, Hayashi H, Takeda M, Kamata K, Takenaka M, Kimura M, Chikugo T, et al: Imaging and clinicopathological features of nivolumab-related cholangitis in patients with non-small cell lung cancer. Invest New Drugs. 35:529–536. 2017. View Article : Google Scholar : PubMed/NCBI

11 

Gelsomino F, Vitale G and Ardizzoni A: A case of nivolumab-related cholangitis and literature review: How to look for the right tools for a correct diagnosis of this rare immune-related adverse event. Invest New Drugs. 36:144–146. 2017. View Article : Google Scholar : PubMed/NCBI

12 

Kashima J, Okuma Y, Shimizuguchi R and Chiba K: Bile duct obstruction in a patient treated with nivolumab as second-line chemotherapy for advanced non-small-cell lung cancer: A case report. Cancer Immunol Immunother. 67:61–65. 2018. View Article : Google Scholar : PubMed/NCBI

13 

Kuraoka N, Hara K, Terai S, Yatabe Y and Horio Y: Peroral cholangioscopy of nivolumab-related (induced) ulcerative cholangitis in a patient with non-small cell lung cancer. Endoscopy. 50:E259–E261. 2018. View Article : Google Scholar : PubMed/NCBI

14 

Rittmeyer A, Barlesi F, Waterkamp D, Park K, Ciardiello F, von Pawel J, Gadgeel SM, Hida T, Kowalski DM, Dols MC, et al: Atezolizumab versus docetaxel in patients with previously treated non-small-cell lung cancer (OAK): A phase 3, open-label, multicentre randomised controlled trial. Lancet. 389:255–265. 2017. View Article : Google Scholar : PubMed/NCBI

15 

Hellmann MD, Ciuleanu T-E, Pluzanski A, Lee JS, Otterson GA, Audigier-Valette C, Minenza E, Linardou H, Burgers S, Salman P, et al: Nivolumab plus ipilimumab in lung cancer with a high tumor mutational burden. N Engl J Med. 378:2093–2104. 2018. View Article : Google Scholar : PubMed/NCBI

16 

Reck M, Rodríguez-Abreu D, Robinson AG, Hui R, Csőszi T, Fülöp A, Gottfried M, Peled N, Tafreshi A, Cuffe S, et al: Pembrolizumab versus chemotherapy for PD-L1-positive non-small-cell lung cancer. N Engl J Med. 375:1823–1833. 2016. View Article : Google Scholar : PubMed/NCBI

17 

Abernethy AP, Arunachalam A, Burke T, McKay C, Cao X, Sorg R and Carbone DP: Real-world first-line treatment and overall survival in non-small cell lung cancer without known EGFR mutations or ALK rearrangements in US community oncology setting. PLoS One. 12:e01784202017. View Article : Google Scholar : PubMed/NCBI

18 

Haratani K, Hayashi H, Chiba Y, Kudo K, Yonesaka K, Kato R, Kaneda H, Hasegawa Y, Tanaka K, Takeda M and Nakagawa K: Association of immune-related adverse events with nivolumab efficacy in non-small-cell lung cancer. JAMA Oncol. 4:374–378. 2017. View Article : Google Scholar

19 

Weber JS, Kähler KC and Hauschild A: Management of immune-related adverse events and kinetics of response with ipilimumab. J Clin Oncol. 30:2691–2697. 2012. View Article : Google Scholar : PubMed/NCBI

20 

Kim KW, Ramaiya NH, Krajewski KM, Jagannathan JP, Tirumani SH, Srivastava A and Ibrahim N: Ipilimumab- associated hepatitis: Imaging and clinicopathologic findings. Invest New Drugs. 31:1071–1077. 2013. View Article : Google Scholar : PubMed/NCBI

Related Articles

  • Abstract
  • View
  • Download
  • Twitter
Copy and paste a formatted citation
Spandidos Publications style
Izumi H, Kodani M, Kurai J, Takeda K, Okazaki R, Yamane K, Teruya Y, Yamamoto A, Sueda Y, Yanai M, Yanai M, et al: Nivolumab‑induced cholangitis in patients with non‑small cell lung cancer: Case series and a review of literature. Mol Clin Oncol 11: 439-446, 2019.
APA
Izumi, H., Kodani, M., Kurai, J., Takeda, K., Okazaki, R., Yamane, K. ... Yamasaki, A. (2019). Nivolumab‑induced cholangitis in patients with non‑small cell lung cancer: Case series and a review of literature. Molecular and Clinical Oncology, 11, 439-446. https://doi.org/10.3892/mco.2019.1923
MLA
Izumi, H., Kodani, M., Kurai, J., Takeda, K., Okazaki, R., Yamane, K., Teruya, Y., Yamamoto, A., Sueda, Y., Yanai, M., Tanaka, N., Sakamoto, T., Yamaguchi, K., Makino, H., Igishi, T., Yamasaki, A."Nivolumab‑induced cholangitis in patients with non‑small cell lung cancer: Case series and a review of literature". Molecular and Clinical Oncology 11.5 (2019): 439-446.
Chicago
Izumi, H., Kodani, M., Kurai, J., Takeda, K., Okazaki, R., Yamane, K., Teruya, Y., Yamamoto, A., Sueda, Y., Yanai, M., Tanaka, N., Sakamoto, T., Yamaguchi, K., Makino, H., Igishi, T., Yamasaki, A."Nivolumab‑induced cholangitis in patients with non‑small cell lung cancer: Case series and a review of literature". Molecular and Clinical Oncology 11, no. 5 (2019): 439-446. https://doi.org/10.3892/mco.2019.1923
Copy and paste a formatted citation
x
Spandidos Publications style
Izumi H, Kodani M, Kurai J, Takeda K, Okazaki R, Yamane K, Teruya Y, Yamamoto A, Sueda Y, Yanai M, Yanai M, et al: Nivolumab‑induced cholangitis in patients with non‑small cell lung cancer: Case series and a review of literature. Mol Clin Oncol 11: 439-446, 2019.
APA
Izumi, H., Kodani, M., Kurai, J., Takeda, K., Okazaki, R., Yamane, K. ... Yamasaki, A. (2019). Nivolumab‑induced cholangitis in patients with non‑small cell lung cancer: Case series and a review of literature. Molecular and Clinical Oncology, 11, 439-446. https://doi.org/10.3892/mco.2019.1923
MLA
Izumi, H., Kodani, M., Kurai, J., Takeda, K., Okazaki, R., Yamane, K., Teruya, Y., Yamamoto, A., Sueda, Y., Yanai, M., Tanaka, N., Sakamoto, T., Yamaguchi, K., Makino, H., Igishi, T., Yamasaki, A."Nivolumab‑induced cholangitis in patients with non‑small cell lung cancer: Case series and a review of literature". Molecular and Clinical Oncology 11.5 (2019): 439-446.
Chicago
Izumi, H., Kodani, M., Kurai, J., Takeda, K., Okazaki, R., Yamane, K., Teruya, Y., Yamamoto, A., Sueda, Y., Yanai, M., Tanaka, N., Sakamoto, T., Yamaguchi, K., Makino, H., Igishi, T., Yamasaki, A."Nivolumab‑induced cholangitis in patients with non‑small cell lung cancer: Case series and a review of literature". Molecular and Clinical Oncology 11, no. 5 (2019): 439-446. https://doi.org/10.3892/mco.2019.1923
Follow us
  • Twitter
  • LinkedIn
  • Facebook
About
  • Spandidos Publications
  • Careers
  • Cookie Policy
  • Privacy Policy
How can we help?
  • Help
  • Live Chat
  • Contact
  • Email to our Support Team