Spandidos Publications Logo
  • About
    • About Spandidos
    • Aims and Scopes
    • Abstracting and Indexing
    • Editorial Policies
    • Reprints and Permissions
    • Job Opportunities
    • Terms and Conditions
    • Contact
  • Journals
    • All Journals
    • Oncology Letters
      • Oncology Letters
      • Information for Authors
      • Editorial Policies
      • Editorial Board
      • Aims and Scope
      • Abstracting and Indexing
      • Bibliographic Information
      • Archive
    • International Journal of Oncology
      • International Journal of Oncology
      • Information for Authors
      • Editorial Policies
      • Editorial Board
      • Aims and Scope
      • Abstracting and Indexing
      • Bibliographic Information
      • Archive
    • Molecular and Clinical Oncology
      • Molecular and Clinical Oncology
      • Information for Authors
      • Editorial Policies
      • Editorial Board
      • Aims and Scope
      • Abstracting and Indexing
      • Bibliographic Information
      • Archive
    • Experimental and Therapeutic Medicine
      • Experimental and Therapeutic Medicine
      • Information for Authors
      • Editorial Policies
      • Editorial Board
      • Aims and Scope
      • Abstracting and Indexing
      • Bibliographic Information
      • Archive
    • International Journal of Molecular Medicine
      • International Journal of Molecular Medicine
      • Information for Authors
      • Editorial Policies
      • Editorial Board
      • Aims and Scope
      • Abstracting and Indexing
      • Bibliographic Information
      • Archive
    • Biomedical Reports
      • Biomedical Reports
      • Information for Authors
      • Editorial Policies
      • Editorial Board
      • Aims and Scope
      • Abstracting and Indexing
      • Bibliographic Information
      • Archive
    • Oncology Reports
      • Oncology Reports
      • Information for Authors
      • Editorial Policies
      • Editorial Board
      • Aims and Scope
      • Abstracting and Indexing
      • Bibliographic Information
      • Archive
    • Molecular Medicine Reports
      • Molecular Medicine Reports
      • Information for Authors
      • Editorial Policies
      • Editorial Board
      • Aims and Scope
      • Abstracting and Indexing
      • Bibliographic Information
      • Archive
    • World Academy of Sciences Journal
      • World Academy of Sciences Journal
      • Information for Authors
      • Editorial Policies
      • Editorial Board
      • Aims and Scope
      • Abstracting and Indexing
      • Bibliographic Information
      • Archive
    • International Journal of Functional Nutrition
      • International Journal of Functional Nutrition
      • Information for Authors
      • Editorial Policies
      • Editorial Board
      • Aims and Scope
      • Abstracting and Indexing
      • Bibliographic Information
      • Archive
    • International Journal of Epigenetics
      • International Journal of Epigenetics
      • Information for Authors
      • Editorial Policies
      • Editorial Board
      • Aims and Scope
      • Abstracting and Indexing
      • Bibliographic Information
      • Archive
    • Medicine International
      • Medicine International
      • Information for Authors
      • Editorial Policies
      • Editorial Board
      • Aims and Scope
      • Abstracting and Indexing
      • Bibliographic Information
      • Archive
  • Articles
  • Information
    • Information for Authors
    • Information for Reviewers
    • Information for Librarians
    • Information for Advertisers
    • Conferences
  • Language Editing
Spandidos Publications Logo
  • About
    • About Spandidos
    • Aims and Scopes
    • Abstracting and Indexing
    • Editorial Policies
    • Reprints and Permissions
    • Job Opportunities
    • Terms and Conditions
    • Contact
  • Journals
    • All Journals
    • Biomedical Reports
      • Information for Authors
      • Editorial Policies
      • Editorial Board
      • Aims and Scope
      • Abstracting and Indexing
      • Bibliographic Information
      • Archive
    • Experimental and Therapeutic Medicine
      • Information for Authors
      • Editorial Policies
      • Editorial Board
      • Aims and Scope
      • Abstracting and Indexing
      • Bibliographic Information
      • Archive
    • International Journal of Epigenetics
      • Information for Authors
      • Editorial Policies
      • Editorial Board
      • Aims and Scope
      • Abstracting and Indexing
      • Bibliographic Information
      • Archive
    • International Journal of Functional Nutrition
      • Information for Authors
      • Editorial Policies
      • Editorial Board
      • Aims and Scope
      • Abstracting and Indexing
      • Bibliographic Information
      • Archive
    • International Journal of Molecular Medicine
      • Information for Authors
      • Editorial Policies
      • Editorial Board
      • Aims and Scope
      • Abstracting and Indexing
      • Bibliographic Information
      • Archive
    • International Journal of Oncology
      • Information for Authors
      • Editorial Policies
      • Editorial Board
      • Aims and Scope
      • Abstracting and Indexing
      • Bibliographic Information
      • Archive
    • Medicine International
      • Information for Authors
      • Editorial Policies
      • Editorial Board
      • Aims and Scope
      • Abstracting and Indexing
      • Bibliographic Information
      • Archive
    • Molecular and Clinical Oncology
      • Information for Authors
      • Editorial Policies
      • Editorial Board
      • Aims and Scope
      • Abstracting and Indexing
      • Bibliographic Information
      • Archive
    • Molecular Medicine Reports
      • Information for Authors
      • Editorial Policies
      • Editorial Board
      • Aims and Scope
      • Abstracting and Indexing
      • Bibliographic Information
      • Archive
    • Oncology Letters
      • Information for Authors
      • Editorial Policies
      • Editorial Board
      • Aims and Scope
      • Abstracting and Indexing
      • Bibliographic Information
      • Archive
    • Oncology Reports
      • Information for Authors
      • Editorial Policies
      • Editorial Board
      • Aims and Scope
      • Abstracting and Indexing
      • Bibliographic Information
      • Archive
    • World Academy of Sciences Journal
      • Information for Authors
      • Editorial Policies
      • Editorial Board
      • Aims and Scope
      • Abstracting and Indexing
      • Bibliographic Information
      • Archive
  • Articles
  • Information
    • For Authors
    • For Reviewers
    • For Librarians
    • For Advertisers
    • Conferences
  • Language Editing
Login Register Submit
  • This site uses cookies
  • You can change your cookie settings at any time by following the instructions in our Cookie Policy. To find out more, you may read our Privacy Policy.

    I agree
Search articles by DOI, keyword, author or affiliation
Search
Advanced Search
presentation
Molecular and Clinical Oncology
Join Editorial Board Propose a Special Issue
Print ISSN: 2049-9450 Online ISSN: 2049-9469
Journal Cover
December-2019 Volume 11 Issue 6

Full Size Image

Sign up for eToc alerts
Recommend to Library

Journals

International Journal of Molecular Medicine

International Journal of Molecular Medicine

International Journal of Molecular Medicine is an international journal devoted to molecular mechanisms of human disease.

International Journal of Oncology

International Journal of Oncology

International Journal of Oncology is an international journal devoted to oncology research and cancer treatment.

Molecular Medicine Reports

Molecular Medicine Reports

Covers molecular medicine topics such as pharmacology, pathology, genetics, neuroscience, infectious diseases, molecular cardiology, and molecular surgery.

Oncology Reports

Oncology Reports

Oncology Reports is an international journal devoted to fundamental and applied research in Oncology.

Experimental and Therapeutic Medicine

Experimental and Therapeutic Medicine

Experimental and Therapeutic Medicine is an international journal devoted to laboratory and clinical medicine.

Oncology Letters

Oncology Letters

Oncology Letters is an international journal devoted to Experimental and Clinical Oncology.

Biomedical Reports

Biomedical Reports

Explores a wide range of biological and medical fields, including pharmacology, genetics, microbiology, neuroscience, and molecular cardiology.

Molecular and Clinical Oncology

Molecular and Clinical Oncology

International journal addressing all aspects of oncology research, from tumorigenesis and oncogenes to chemotherapy and metastasis.

World Academy of Sciences Journal

World Academy of Sciences Journal

Multidisciplinary open-access journal spanning biochemistry, genetics, neuroscience, environmental health, and synthetic biology.

International Journal of Functional Nutrition

International Journal of Functional Nutrition

Open-access journal combining biochemistry, pharmacology, immunology, and genetics to advance health through functional nutrition.

International Journal of Epigenetics

International Journal of Epigenetics

Publishes open-access research on using epigenetics to advance understanding and treatment of human disease.

Medicine International

Medicine International

An International Open Access Journal Devoted to General Medicine.

Journal Cover
December-2019 Volume 11 Issue 6

Full Size Image

Sign up for eToc alerts
Recommend to Library

  • Article
  • Citations
    • Cite This Article
    • Download Citation
    • Create Citation Alert
    • Remove Citation Alert
    • Cited By
  • Similar Articles
    • Related Articles (in Spandidos Publications)
    • Similar Articles (Google Scholar)
    • Similar Articles (PubMed)
  • Download PDF
  • Download XML
  • View XML
Article Open Access

Nucleotide variations of TP53 exon 4 found in intracranial meningioma and in silico prediction of their significance

  • Authors:
    • Anja Bukovac
    • Anja Kafka
    • Reno Hrašćan
    • Tomislav Vladušić
    • Nives Pećina‑Šlaus
  • View Affiliations / Copyright

    Affiliations: Laboratory of Neurooncology, Croatian Institute for Brain Research, School of Medicine, University of Zagreb, 10000 Zagreb, Croatia, Department of Biochemical Engineering, Faculty of Food Technology and Biotechnology, University of Zagreb, 10000 Zagreb, Croatia
    Copyright: © Bukovac et al. This is an open access article distributed under the terms of Creative Commons Attribution License.
  • Pages: 563-572
    |
    Published online on: October 15, 2019
       https://doi.org/10.3892/mco.2019.1936
  • Expand metrics +
Metrics: Total Views: 0 (Spandidos Publications: | PMC Statistics: )
Metrics: Total PDF Downloads: 0 (Spandidos Publications: | PMC Statistics: )
Cited By (CrossRef): 0 citations Loading Articles...

This article is mentioned in:



Abstract

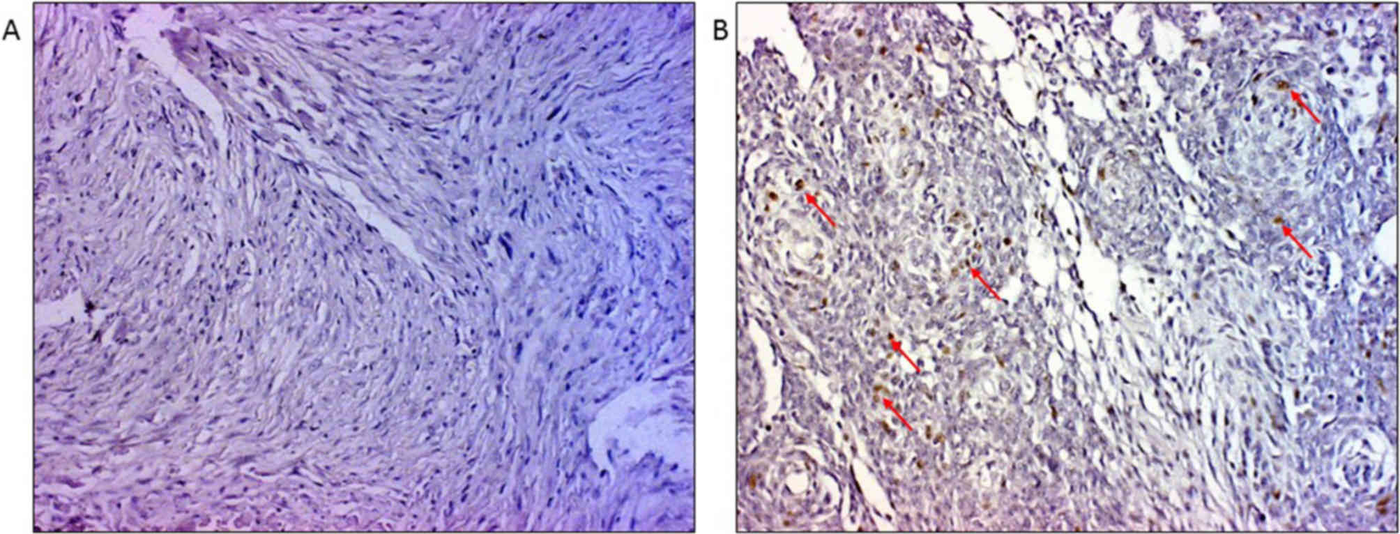
The aim of the present study was to identify TP53 exon 4 mutations in patients with meningioma and to investigate their potential association with specific tumor pathology. Nucleotide alterations were investigated in 48 meningiomas via the direct sequencing of TP53 exon 4 in patient tumor and blood samples using the DNA Sanger method with the BigDyeTerminator v3.1 Cycle Sequencing kit and Applied Biosystems 3730XL apparatus. The results revealed that TP53 exon 4 was frequently altered in meningioma, occurring in 60.4% of the patients investigated. A total of 18 different alterations were detected in the meningioma samples assessed in the current study. The majority of these appeared more than once and some were repeatedly identified in several patients. Changes at codons 72 (c.215G>C) and 62 (c.186delA) were highly prevalent, occurring in 44.8% of patients. Other changes detected via frequency analysis included: Five substitutions on codon 105 (c.315C>T); four insertions on codon 70 (c.209_210insG); three insertions on codon 64 (c.190C>G), 82 (245C>T; 245delC; 243_244insA) and 104 (c.312G>A); and two insertions on codons 108 (c.322G>C), 71 (c.213C>A), 73 (c.217G>A), 91 (c.271T>C) and 100 (c.300G>T). Codons 68 (c.202_203insT), 77 (c.229C>T), 88 (c.263C>G) and 92 (c.276C>A) were altered once. Alterations on codons 82, 91, 108, 104, 105, 70 and 92 were characterized as possibly damaging by PolyPhen‑2 and Mutation Taster2 tools. The current study also demonstrated that nucleotide alterations were significantly associated with the loss of p53 expression (P=0.04) and female patients (P=0.049), particularly codon 72. The results present novel data on the mutational spectrum of TP53 in meningeal brain tumors.
View Figures

Figure 1

Figure 2

Figure 3

View References

1 

Domingues P, González-Tablas M, Otero Á, Pascual D, Ruiz L, Miranda D, Sousa P, Gonçalves JM, Lopes MC, Orfao A and Tabernero MD: Genetic/molecular alterations of meningiomas and the signaling pathways targeted. Oncotarget. 6:10671–10688. 2015. View Article : Google Scholar : PubMed/NCBI

2 

Pećina-Šlaus N, Nikuseva Martic T, Tomas D, Beros V, Zeljko M and Cupic H: Meningiomas exhibit loss of heterozygosity of the APC gene. J Neurooncol. 87:63–70. 2008. View Article : Google Scholar : PubMed/NCBI

3 

El-Habr EA, Levidou G, Trigka EA, Sakalidou J, Piperi C, Chatziandreou I, Spyropoulou A, Soldatos R, Tomara G, Petraki K, et al: Complex interactions between the components of the PI3K/AKT/mTOR pathway, and with components of MAPK, JAK/STAT and Notch-1 pathways, indicate their involvement in meningioma development. Virchows Arch. 465:473–485. 2014. View Article : Google Scholar : PubMed/NCBI

4 

Al-Khalaf HH, Lach B, Allam A, Lakhani A, Alrokayan SA and Aboussekhra A: The p53/p21 DNA damage-signaling pathway is defective in most meningioma cells. J Neurooncol. 83:9–15. 2007. View Article : Google Scholar : PubMed/NCBI

5 

Sorrell AD, Espenschied CR, Culver JO and Weitzel JN: Tumor protein p53 (TP53) testing and Li-Fraumeni syndrome: Current status of clinical applications and future directions. Mol Diagn Ther. 17:31–47. 2013. View Article : Google Scholar : PubMed/NCBI

6 

Muller PA and Vousden KH: Mutant p53 in cancer: New functions and therapeutic opportunities. Cancer Cell. 25:304–317. 2014. View Article : Google Scholar : PubMed/NCBI

7 

Ohgaki H, Eibl RH, Schwab M, Reichel MB, Mariani L, Gehring M, Petersen I, Höll T, Wiestler OD and Kleihues P: Mutations of the p53 tumor suppressor gene in neoplasms of the human nervous system. Mol Carcinog. 8:74–80. 1993. View Article : Google Scholar : PubMed/NCBI

8 

Ellison DW, Lunec J, Gallagher PJ, Steart PV, Jaros E and Gatter KC: Accumulation of wild-type p53 in meningiomas. Neuropathol Appl Neurobiol. 21:136–142. 1995. View Article : Google Scholar : PubMed/NCBI

9 

Joachim T, Ram Z, Rappaport ZH, Simon M, Schramm J, Wiestler OD and von Deimling A: Comparative analysis of the NF2, TP53, PTEN, KRAS, NRAS and HRAS genes in sporadic and radiation-induced human meningiomas. Int J Cancer. 94:218–221. 2001. View Article : Google Scholar : PubMed/NCBI

10 

Das A, Tan WL and Smith DR: p53 point mutation is rare in meningiomas from Singaporean patients. Asian J Surg. 28:7–10. 2005. View Article : Google Scholar : PubMed/NCBI

11 

Pykett MJ, Landers J and George DL: Expression patterns of the p53 tumor suppressor gene and the mdm2 proto-oncogene in human meningiomas. J Neurooncol. 32:39–44. 1997. View Article : Google Scholar : PubMed/NCBI

12 

Cho H, Ha SY, Park SH, Park K and Chae YS: Role of p53 gene mutation in tumor aggressiveness of intracranial meningiomas. J Korean Med Sci. 14:199–205. 1999. View Article : Google Scholar : PubMed/NCBI

13 

Wang JL, Zhang ZJ, Hartman M, Smits A, Westermark B, Muhr C and Nistér M: Detection of TP53 gene mutation in human meningiomas: A study using immunohistochemistry, polymerase chain reaction/single-strand conformation polymorphism and DNA sequencing techniques on paraffin-embedded samples. Int J Cancer. 64:223–228. 1995. View Article : Google Scholar : PubMed/NCBI

14 

Ohkoudo M, Sawa H, Hara M, Saruta K, Aiso T, Ohki R, Yamamoto H, Maemura E, Shiina Y, Fujii M and Saito I: Expression of p53, MDM2 protein and Ki-67 antigen in recurrent meningiomas. J Neurooncol. 38:41–49. 1998. View Article : Google Scholar : PubMed/NCBI

15 

Amatya VJ, Takeshima Y and Inai K: Methylation of p14(ARF) gene in meningiomas and its correlation to the p53 expression and mutation. Mod Pathol. 17:705–710. 2004. View Article : Google Scholar : PubMed/NCBI

16 

Chang Z, Guo CL, Ahronowitz I, Stemmer-Rachamimov AO, MacCollin M and Nunes FP: A role for the p53 pathway in the pathology of meningiomas with NF2 loss. J Neurooncol. 91:265–270. 2009. View Article : Google Scholar : PubMed/NCBI

17 

Zhang X, Gejman R, Mahta A, Zhong Y, Rice KA, Zhou Y, Cheunsuchon P, Louis DN and Klibanski A: Maternally expressed gene 3, an imprinted noncoding RNA gene, is associated with meningioma pathogenesis and progression. Cancer Res. 70:2350–2358. 2010. View Article : Google Scholar : PubMed/NCBI

18 

Bykov VJN, Eriksson SE, Bianchi J and Wiman KG: Targeting mutant p53 for efficient cancer therapy. Nat Rev Cancer. 18:89–102. 2018. View Article : Google Scholar : PubMed/NCBI

19 

Marcel V, Nguyen Van Long F and Diaz JJ: 40 years of research put p53 in translation. Cancers (Basel). 10:E1522018. View Article : Google Scholar : PubMed/NCBI

20 

Riemenschneider MJ, Perry A and Reifenberger G: Histological classification and molecular genetics of meningiomas. Lancet Neurol. 5:1045–1054. 2006. View Article : Google Scholar : PubMed/NCBI

21 

Louis DN, Perry A, Reifenberger G, von Deimling A, Figarella-Branger D, Cavenee WK, Ohgaki H, Wiestler OD, Kleihues P and Ellison DW: The 2016 World Health Organization classification of tumors of the central nervous system: A summary. Acta Neuropathol. 131:803–820. 2016. View Article : Google Scholar : PubMed/NCBI

22 

Fathi AR and Roelcke U: Meningioma. Curr Neurol Neurosci Rep. 13:3372013. View Article : Google Scholar : PubMed/NCBI

23 

He S, Pham MH, Pease M, Zada G, Giannotta SL, Wang K and Mack WJ: A review of epigenetic and gene expression alterations associated with intracranial meningiomas. Neurosurg Focus. 35:E52013. View Article : Google Scholar : PubMed/NCBI

24 

Pavelin S, Becic K, Forempoher G, Mrklic I, Pogorelic Z, Titlic M and Andelinovic S: Expression of Ki-67 and p53 in meningiomas. Neoplasma. 60:480–485. 2013. View Article : Google Scholar : PubMed/NCBI

25 

Narla S, Uppin MS, Saradhi MV, Sahu BP, Purohit AK and Sundaram C: Assessment of expression of epidermal growth factor receptor and p53 in meningiomas. Neurol India. 62:37–41. 2014. View Article : Google Scholar : PubMed/NCBI

26 

Trott G, Pereira-Lima JF, Leães CG, Ferreira NP, Barbosa-Coutinho LM and Oliveira MC: Abundant immunohistochemical expression of dopamine D2 receptor and p53 protein in meningiomas: Follow-up, relation to gender, age, tumor grade, and recurrence. Braz J Med Biol Res. 48:415–419. 2015. View Article : Google Scholar : PubMed/NCBI

27 

Preusser M, Brastianos PK and Mawrin C: Advances in meningioma genetics: Novel therapeutic opportunities. Nat Rev Neurol. 14:106–115. 2018. View Article : Google Scholar : PubMed/NCBI

28 

Wang N and Osswald M: Meningiomas: Overview and new directions in therapy. Semin Neurol. 38:112–120. 2018. View Article : Google Scholar : PubMed/NCBI

29 

Pereira BJA, Oba-Shinjo SM, de Almeida AN and Marie SKN: Molecular alterations in meningiomas: Literature review. Clin Neurol Neurosurg. 176:89–96. 2019. View Article : Google Scholar : PubMed/NCBI

30 

Pećina-Šlaus N: Merlin the NF2 gene product. Pathol Oncol Res. 19:365–373. 2013. View Article : Google Scholar : PubMed/NCBI

31 

Pećina-Šlaus N, Kafka A and Lechpammer M: Molecular genetics of intracranial meningiomas with emphasis on canonical Wnt signalling. Cancers (Basel). 8:E672016. View Article : Google Scholar : PubMed/NCBI

32 

Adzhubei IA, Schmidt S, Peshkin L, Ramensky VE, Gerasimova A, Bork P, Kondrashov AS and Sunyaev SR: A method and server for predicting damaging missense mutations. Nat Methods. 7:248–249. 2010. View Article : Google Scholar : PubMed/NCBI

33 

Sim NL, Kumar P, Hu J, Henikoff S, Schneider G and Ng PC: SIFT web server: Predicting effects of amino acid substitutions on proteins. Nucleic Acids Res. 40((Web Server Issue)): W452–W457. 2012. View Article : Google Scholar : PubMed/NCBI

34 

Schwarz JM, Cooper DN, Schuelke M and Seelow D: MutationTaster2: Mutation prediction for the deep-sequencing age. Nat Methods. 11:361–362. 2014. View Article : Google Scholar : PubMed/NCBI

35 

Olivier M, Langerød A, Carrieri P, Bergh J, Klaar S, Eyfjord J, Theillet C, Rodriguez C, Lidereau R, Bièche I, et al: The clinical value of somatic TP53 gene mutations in 1,794 patients with breast cancer. Clin Cancer Res. 12:1157–1167. 2006. View Article : Google Scholar : PubMed/NCBI

36 

Lindenbergh-van der Plas M, Brakenhoff RH, Kuik DJ, Buijze M, Bloemena E, Snijders PJ, Leemans CR and Braakhuis BJ: Prognostic significance of truncating TP53 mutations in head and neck squamous cell carcinoma. Clin Cancer Res. 17:3733–3741. 2011. View Article : Google Scholar : PubMed/NCBI

37 

Omura G, Ando M, Ebihara Y, Saito Y, Kobayashi K, Fukuoka O, Akashi K, Yoshida M, Asakage T and Yamasoba T: The prognostic value of TP53 mutations in hypopharyngeal squamous cell carcinoma. BMC Cancer. 17:8982017. View Article : Google Scholar : PubMed/NCBI

38 

Bouaoun L, Sonkin D, Ardin M, Hollstein M, Byrnes G, Zavadil J and Olivier M: TP53 variations in human cancers: New Lessons from the IARC TP53 Database and Genomics Data. Hum Mutat. 37:865–876. 2016. View Article : Google Scholar : PubMed/NCBI

39 

Bieging KT, Mello SS and Attardi LD: Unravelling mechanisms of p53-mediated tumour suppression. Nat Rev Cancer. 14:359–730. 2014. View Article : Google Scholar : PubMed/NCBI

40 

Walerych D, Lisek K and Del Sal G: Mutant p53: One, no one, and one hundred thousand. Front Oncol. 5:2892015. View Article : Google Scholar : PubMed/NCBI

41 

Harms KL and Chen X: The functional domains in p53 family proteins exhibit both common and distinct properties. Cell Death Differ. 13:890–897. 2006. View Article : Google Scholar : PubMed/NCBI

42 

Verheijen FM, Sprong M, Kloosterman JM, Blaauw G, Thijssen JH and Blankenstein MA: TP53 mutations in human meningiomas. Int J Biol Markers. 17:42–48. 2002. View Article : Google Scholar : PubMed/NCBI

43 

Faria MH, Neves Filho EH, Alves MK, Burbano RM, de Moraes Filho MO and Rabenhorst SH: TP53 mutations in astrocytic gliomas: An association with histological grade, TP53 codon 72 polymorphism and p53 expression. APMIS. 120:882–889. 2012. View Article : Google Scholar : PubMed/NCBI

44 

Grochola LF, Zeron-Medina J, Mériaux S and Bond GL: Single-nucleotide polymorphisms in the p53 signaling pathway. Cold Spring Harb Perspect Biol. 2:a0010322010. View Article : Google Scholar : PubMed/NCBI

45 

Naccarati A, Polakova V, Pardini B, Vodickova L, Hemminki K, Kumar R and Vodicka P: Mutations and polymorphisms in TP53 gene-an overview on the role in colorectal cancer. Mutagenesis. 27:211–218. 2012. View Article : Google Scholar : PubMed/NCBI

46 

Choy W, Kim W, Nagasawa D, Stramotas S, Yew A, Gopen Q, Parsa AT and Yang I: The molecular genetics and tumor pathogenesis of meningiomas and the future directions of meningioma treatments. Neurosurg Focus. 30:E62011. View Article : Google Scholar : PubMed/NCBI

47 

Terzi A, Saglam EA, Barak A and Soylemezoglu F: The significance of immunohistochemical expression of Ki-67, p53, p21, and p16 in meningiomas tissue arrays. Pathol Res Pract. 204:305–314. 2008. View Article : Google Scholar : PubMed/NCBI

48 

Boström J, Meyer-Puttlitz B, Wolter M, Blaschke B, Weber RG, Lichter P, Ichimura K, Collins VP and Reifenberger G: Alterations of the tumor suppressor genes CDKN2A (p16(INK4a)), p14(ARF), CDKN2B (p15(INK4b)), and CDKN2C (p18(INK4c)) in atypical and anaplastic meningiomas. Am J Pathol. 159:661–669. 2001. View Article : Google Scholar : PubMed/NCBI

49 

Mashiyama S, Murakami Y, Yoshimoto T, Sekiya T and Hayashi K: Detection of p53 gene mutations in human brain tumors by single-strand conformation polymorphism analysis of polymerase chain reaction products. Oncogene. 6:1313–1318. 1991.PubMed/NCBI

50 

Matsuno A, Nagashima T, Matsuura R, Tanaka H, Hirakawa M, Murakami M, Tamura A and Kirino T: Correlation between MIB-1 staining index and the immunoreactivity of p53 protein in recurrent and non-recurrent meningiomas. Am J Clin Pathol. 106:776–781. 1996. View Article : Google Scholar : PubMed/NCBI

51 

Nagashima G, Aoyagi M, Yamamoto M, Yamamoto S, Wakimoto H, Ohno K, Yamamoto K and Hirakawa K: P53 overexpression and proliferative potential in malignant meningiomas. Acta Neurochir (Wien). 141:53–61. 1999. View Article : Google Scholar : PubMed/NCBI

52 

Ozen O, Demirhan B and Altinörs N: Correlation between histological grade and MIB-1 and p53 immunoreactivity in meningiomas. Clin Neuropathol. 24:219–224. 2005.PubMed/NCBI

53 

Karamitopoulou E, Perentes E, Tolnay M and Probst A: Prognostic significance of MIB-1, p53, and bcl-2 immunoreactivity in meningiomas. Hum Pathol. 29:140–145. 1998. View Article : Google Scholar : PubMed/NCBI

54 

Csonka T, Murnyák B, Szepesi R, Kurucz A, Klekner Á and Hortobágyi T: Poly(ADP-ribose) polymerase-1 (PARP1) and p53 labelling index correlates with tumour grade in meningiomas. Folia Neuropathol. 52:111–120. 2014. View Article : Google Scholar : PubMed/NCBI

55 

Pećina-Šlaus N, Kafka A, Vladušić T, Tomas D, Logara M, Skoko J and Hrašćan R: Loss of p53 expression is accompanied with upregulation of beta-catenin in meningiomas: A concomitant reciprocal expression. Int J Exp Pathol. 97:159–169. 2016. View Article : Google Scholar : PubMed/NCBI

56 

Leroy B, Fournier JL, Ishioka C, Monti P, Inga A, Fronza G and Soussi T: The TP53 website: An integrative resource centre for the TP53 mutation database and TP53 mutant analysis. Nucleic Acids Res. 41((Database Issue)): D962–D969. 2013. View Article : Google Scholar : PubMed/NCBI

57 

Marcel V and Hainaut P: p53 isoforms-a conspiracy to kidnap p53 tumor suppressor activity? Cell Mol Life Sci. 66:391–406. 2009. View Article : Google Scholar : PubMed/NCBI

58 

Feng Z, Hu W, Teresky AK, Hernando E, Cordon-Cardo C and Levine AJ: Declining p53 function in the aging process: A possible mechanism for the increased tumor incidence in older populations. Proc Natl Acad Sci USA. 104:16633–16638. 2007. View Article : Google Scholar : PubMed/NCBI

Related Articles

  • Abstract
  • View
  • Download
  • Twitter
Copy and paste a formatted citation
Spandidos Publications style
Bukovac A, Kafka A, Hrašćan R, Vladušić T and Pećina‑Šlaus N: Nucleotide variations of TP53 exon 4 found in intracranial meningioma and in silico prediction of their significance. Mol Clin Oncol 11: 563-572, 2019.
APA
Bukovac, A., Kafka, A., Hrašćan, R., Vladušić, T., & Pećina‑Šlaus, N. (2019). Nucleotide variations of TP53 exon 4 found in intracranial meningioma and in silico prediction of their significance. Molecular and Clinical Oncology, 11, 563-572. https://doi.org/10.3892/mco.2019.1936
MLA
Bukovac, A., Kafka, A., Hrašćan, R., Vladušić, T., Pećina‑Šlaus, N."Nucleotide variations of TP53 exon 4 found in intracranial meningioma and in silico prediction of their significance". Molecular and Clinical Oncology 11.6 (2019): 563-572.
Chicago
Bukovac, A., Kafka, A., Hrašćan, R., Vladušić, T., Pećina‑Šlaus, N."Nucleotide variations of TP53 exon 4 found in intracranial meningioma and in silico prediction of their significance". Molecular and Clinical Oncology 11, no. 6 (2019): 563-572. https://doi.org/10.3892/mco.2019.1936
Copy and paste a formatted citation
x
Spandidos Publications style
Bukovac A, Kafka A, Hrašćan R, Vladušić T and Pećina‑Šlaus N: Nucleotide variations of TP53 exon 4 found in intracranial meningioma and in silico prediction of their significance. Mol Clin Oncol 11: 563-572, 2019.
APA
Bukovac, A., Kafka, A., Hrašćan, R., Vladušić, T., & Pećina‑Šlaus, N. (2019). Nucleotide variations of TP53 exon 4 found in intracranial meningioma and in silico prediction of their significance. Molecular and Clinical Oncology, 11, 563-572. https://doi.org/10.3892/mco.2019.1936
MLA
Bukovac, A., Kafka, A., Hrašćan, R., Vladušić, T., Pećina‑Šlaus, N."Nucleotide variations of TP53 exon 4 found in intracranial meningioma and in silico prediction of their significance". Molecular and Clinical Oncology 11.6 (2019): 563-572.
Chicago
Bukovac, A., Kafka, A., Hrašćan, R., Vladušić, T., Pećina‑Šlaus, N."Nucleotide variations of TP53 exon 4 found in intracranial meningioma and in silico prediction of their significance". Molecular and Clinical Oncology 11, no. 6 (2019): 563-572. https://doi.org/10.3892/mco.2019.1936
Follow us
  • Twitter
  • LinkedIn
  • Facebook
About
  • Spandidos Publications
  • Careers
  • Cookie Policy
  • Privacy Policy
How can we help?
  • Help
  • Live Chat
  • Contact
  • Email to our Support Team