Spandidos Publications Logo
  • About
    • About Spandidos
    • Aims and Scopes
    • Abstracting and Indexing
    • Editorial Policies
    • Reprints and Permissions
    • Job Opportunities
    • Terms and Conditions
    • Contact
  • Journals
    • All Journals
    • Oncology Letters
      • Oncology Letters
      • Information for Authors
      • Editorial Policies
      • Editorial Board
      • Aims and Scope
      • Abstracting and Indexing
      • Bibliographic Information
      • Archive
    • International Journal of Oncology
      • International Journal of Oncology
      • Information for Authors
      • Editorial Policies
      • Editorial Board
      • Aims and Scope
      • Abstracting and Indexing
      • Bibliographic Information
      • Archive
    • Molecular and Clinical Oncology
      • Molecular and Clinical Oncology
      • Information for Authors
      • Editorial Policies
      • Editorial Board
      • Aims and Scope
      • Abstracting and Indexing
      • Bibliographic Information
      • Archive
    • Experimental and Therapeutic Medicine
      • Experimental and Therapeutic Medicine
      • Information for Authors
      • Editorial Policies
      • Editorial Board
      • Aims and Scope
      • Abstracting and Indexing
      • Bibliographic Information
      • Archive
    • International Journal of Molecular Medicine
      • International Journal of Molecular Medicine
      • Information for Authors
      • Editorial Policies
      • Editorial Board
      • Aims and Scope
      • Abstracting and Indexing
      • Bibliographic Information
      • Archive
    • Biomedical Reports
      • Biomedical Reports
      • Information for Authors
      • Editorial Policies
      • Editorial Board
      • Aims and Scope
      • Abstracting and Indexing
      • Bibliographic Information
      • Archive
    • Oncology Reports
      • Oncology Reports
      • Information for Authors
      • Editorial Policies
      • Editorial Board
      • Aims and Scope
      • Abstracting and Indexing
      • Bibliographic Information
      • Archive
    • Molecular Medicine Reports
      • Molecular Medicine Reports
      • Information for Authors
      • Editorial Policies
      • Editorial Board
      • Aims and Scope
      • Abstracting and Indexing
      • Bibliographic Information
      • Archive
    • World Academy of Sciences Journal
      • World Academy of Sciences Journal
      • Information for Authors
      • Editorial Policies
      • Editorial Board
      • Aims and Scope
      • Abstracting and Indexing
      • Bibliographic Information
      • Archive
    • International Journal of Functional Nutrition
      • International Journal of Functional Nutrition
      • Information for Authors
      • Editorial Policies
      • Editorial Board
      • Aims and Scope
      • Abstracting and Indexing
      • Bibliographic Information
      • Archive
    • International Journal of Epigenetics
      • International Journal of Epigenetics
      • Information for Authors
      • Editorial Policies
      • Editorial Board
      • Aims and Scope
      • Abstracting and Indexing
      • Bibliographic Information
      • Archive
    • Medicine International
      • Medicine International
      • Information for Authors
      • Editorial Policies
      • Editorial Board
      • Aims and Scope
      • Abstracting and Indexing
      • Bibliographic Information
      • Archive
  • Articles
  • Information
    • Information for Authors
    • Information for Reviewers
    • Information for Librarians
    • Information for Advertisers
    • Conferences
  • Language Editing
Spandidos Publications Logo
  • About
    • About Spandidos
    • Aims and Scopes
    • Abstracting and Indexing
    • Editorial Policies
    • Reprints and Permissions
    • Job Opportunities
    • Terms and Conditions
    • Contact
  • Journals
    • All Journals
    • Biomedical Reports
      • Information for Authors
      • Editorial Policies
      • Editorial Board
      • Aims and Scope
      • Abstracting and Indexing
      • Bibliographic Information
      • Archive
    • Experimental and Therapeutic Medicine
      • Information for Authors
      • Editorial Policies
      • Editorial Board
      • Aims and Scope
      • Abstracting and Indexing
      • Bibliographic Information
      • Archive
    • International Journal of Epigenetics
      • Information for Authors
      • Editorial Policies
      • Editorial Board
      • Aims and Scope
      • Abstracting and Indexing
      • Bibliographic Information
      • Archive
    • International Journal of Functional Nutrition
      • Information for Authors
      • Editorial Policies
      • Editorial Board
      • Aims and Scope
      • Abstracting and Indexing
      • Bibliographic Information
      • Archive
    • International Journal of Molecular Medicine
      • Information for Authors
      • Editorial Policies
      • Editorial Board
      • Aims and Scope
      • Abstracting and Indexing
      • Bibliographic Information
      • Archive
    • International Journal of Oncology
      • Information for Authors
      • Editorial Policies
      • Editorial Board
      • Aims and Scope
      • Abstracting and Indexing
      • Bibliographic Information
      • Archive
    • Medicine International
      • Information for Authors
      • Editorial Policies
      • Editorial Board
      • Aims and Scope
      • Abstracting and Indexing
      • Bibliographic Information
      • Archive
    • Molecular and Clinical Oncology
      • Information for Authors
      • Editorial Policies
      • Editorial Board
      • Aims and Scope
      • Abstracting and Indexing
      • Bibliographic Information
      • Archive
    • Molecular Medicine Reports
      • Information for Authors
      • Editorial Policies
      • Editorial Board
      • Aims and Scope
      • Abstracting and Indexing
      • Bibliographic Information
      • Archive
    • Oncology Letters
      • Information for Authors
      • Editorial Policies
      • Editorial Board
      • Aims and Scope
      • Abstracting and Indexing
      • Bibliographic Information
      • Archive
    • Oncology Reports
      • Information for Authors
      • Editorial Policies
      • Editorial Board
      • Aims and Scope
      • Abstracting and Indexing
      • Bibliographic Information
      • Archive
    • World Academy of Sciences Journal
      • Information for Authors
      • Editorial Policies
      • Editorial Board
      • Aims and Scope
      • Abstracting and Indexing
      • Bibliographic Information
      • Archive
  • Articles
  • Information
    • For Authors
    • For Reviewers
    • For Librarians
    • For Advertisers
    • Conferences
  • Language Editing
Login Register Submit
  • This site uses cookies
  • You can change your cookie settings at any time by following the instructions in our Cookie Policy. To find out more, you may read our Privacy Policy.

    I agree
Search articles by DOI, keyword, author or affiliation
Search
Advanced Search
presentation
Molecular and Clinical Oncology
Join Editorial Board Propose a Special Issue
Print ISSN: 2049-9450 Online ISSN: 2049-9469
Journal Cover
February-2020 Volume 12 Issue 2

Full Size Image

Sign up for eToc alerts
Recommend to Library

Journals

International Journal of Molecular Medicine

International Journal of Molecular Medicine

International Journal of Molecular Medicine is an international journal devoted to molecular mechanisms of human disease.

International Journal of Oncology

International Journal of Oncology

International Journal of Oncology is an international journal devoted to oncology research and cancer treatment.

Molecular Medicine Reports

Molecular Medicine Reports

Covers molecular medicine topics such as pharmacology, pathology, genetics, neuroscience, infectious diseases, molecular cardiology, and molecular surgery.

Oncology Reports

Oncology Reports

Oncology Reports is an international journal devoted to fundamental and applied research in Oncology.

Experimental and Therapeutic Medicine

Experimental and Therapeutic Medicine

Experimental and Therapeutic Medicine is an international journal devoted to laboratory and clinical medicine.

Oncology Letters

Oncology Letters

Oncology Letters is an international journal devoted to Experimental and Clinical Oncology.

Biomedical Reports

Biomedical Reports

Explores a wide range of biological and medical fields, including pharmacology, genetics, microbiology, neuroscience, and molecular cardiology.

Molecular and Clinical Oncology

Molecular and Clinical Oncology

International journal addressing all aspects of oncology research, from tumorigenesis and oncogenes to chemotherapy and metastasis.

World Academy of Sciences Journal

World Academy of Sciences Journal

Multidisciplinary open-access journal spanning biochemistry, genetics, neuroscience, environmental health, and synthetic biology.

International Journal of Functional Nutrition

International Journal of Functional Nutrition

Open-access journal combining biochemistry, pharmacology, immunology, and genetics to advance health through functional nutrition.

International Journal of Epigenetics

International Journal of Epigenetics

Publishes open-access research on using epigenetics to advance understanding and treatment of human disease.

Medicine International

Medicine International

An International Open Access Journal Devoted to General Medicine.

Journal Cover
February-2020 Volume 12 Issue 2

Full Size Image

Sign up for eToc alerts
Recommend to Library

  • Article
  • Citations
    • Cite This Article
    • Download Citation
    • Create Citation Alert
    • Remove Citation Alert
    • Cited By
  • Similar Articles
    • Related Articles (in Spandidos Publications)
    • Similar Articles (Google Scholar)
    • Similar Articles (PubMed)
  • Download PDF
  • Download XML
  • View XML
Case Report Open Access

Laparoscopically resected Castleman's disease in the pelvic retroperitoneum: A case report

  • Authors:
    • Kumiko Nakata
    • Naoyuki Iwahashi
    • Hitomi Matsukawa
    • Tomoko Noguchi
    • Tamaki Yahata
    • Nami Ota
    • Yasushi Mabuchi
    • Kazuhiko Ino
  • View Affiliations / Copyright

    Affiliations: Department of Obstetrics and Gynecology, Wakayama Medical University, Wakayama 641‑0012, Japan
    Copyright: © Nakata et al. This is an open access article distributed under the terms of Creative Commons Attribution License.
  • Pages: 169-173
    |
    Published online on: December 12, 2019
       https://doi.org/10.3892/mco.2019.1963
  • Expand metrics +
Metrics: Total Views: 0 (Spandidos Publications: | PMC Statistics: )
Metrics: Total PDF Downloads: 0 (Spandidos Publications: | PMC Statistics: )
Cited By (CrossRef): 0 citations Loading Articles...

This article is mentioned in:



Abstract

Castleman's disease is a rare benign disorder of unknown etiology characterized by proliferation of lymphoid tissues. Castleman's disease arising from pelvic retroperitoneum is clinically rare. The present case report describes a rare case of laparoscopically resected Castleman's disease in the pelvic retroperitoneum associated with benign ovarian cyst. A 47‑year‑old woman, gravida 5, para 3, was referred to to the Department of Obstetrics and Gynecology of Wakayama Medical University with a suspected pelvic tumor. Magnetic resonance imaging revealed that the solid tumor was localized in the retroperitoneal space at the right side of the pelvis. The patient underwent laparoscopic surgery for the resection of the pelvic retroperitoneal tumor, with complete tumor resection. Postoperative pathological examination established the diagnosis of Castleman's disease. The postoperative course was uneventful, with no evidence of local recurrence or systemic disease 6 months after diagnosis.

Introduction

Castleman's disease is a rare benign disorder of unknown etiology characterized by proliferation of lymphoid tissues (1). Although Castleman's disease has been found in lymphatic tissues of the chest, neck, abdomen, and pelvis, its retroperitoneal localization is rare; further, its localization in the pelvic retroperitoneum is extremely rare (2,3). To date, only 14 cases of retroperitoneal localization of Castleman's disease occurring in female pelvis have been documented in the English literature (Table I) (4-17). The pre-operative diagnosis of pelvic retroperitoneal Castleman's disease is difficult, and most cases have been diagnosed based on post-operative pathological examination. Furthermore, due to the limited number of cases described, the appropriate clinical management strategy for this disease is not yet established. Herein, we report a rare case of Castleman's disease localized in the female pelvic retroperitoneum, which was completely resected by laparoscopic surgery.

Table I

Previously reported cases of Castleman's disease in the female pelvic retroperitoneum since 1962 in English literature.

Table I

Previously reported cases of Castleman's disease in the female pelvic retroperitoneum since 1962 in English literature.

Author, yearAge, yearsDisease siteTumor sizeTreatment(Refs.)
Latters and Pachter, 196229Pre-sacral5.0x2.5x2.0 cmAbdominal resection(4)
Giaretta et al, 197137Para-iliac vessel9.0 cmAbdominal resection(5)
Emson, 197314Para-iliac vesselnot specifiedAbdominal biopsy(6)
Bainbridge 197621Para-iliac vessel8.0x5.0x4.0 cmAbdominal resection(7)
Tanaka et al, 197636Para-iliac vessel9.0x8.0x5.0 cmAbdominal resection(8)
Kumar and Shah, 197919Adherent to ovary10.0x9.0x3.0 cmAbdominal resection(9)
Goodman et al, 198317Pre-sacral8.0x5.0x4.0 cmAbdominal resection(10)
Ylinen et al, 199526Retro pubic5.0x4.0x4.0 cmAbdominal resection(11)
MacDonald et al, 199658Sigmoid colon mesentery8.0x4.0 cmAbdominal resection(12)
Gaunt et al, 2002Not specifiedPre-sacral6.0 cmAbdominal resection(13)
Nakamura et al, 200430Para-iliac vessel6.5x5.0x4.0 cmAbdominal resection(14)
Sato, 201322Para-sacral vessel9.5x7.0x7.0 cmAbdominal resection(15)
Lee et al, 201527Para-iliac vessel7.0 cmLaparoscopic resection(16)
Schelble and Merritt, 201913Pelvic side wall5.5x3.5x2.0 cmAbdominal resection(17)
Present study47Para-iliac vessel5.2 cmLaparoscopic resection-

Case report

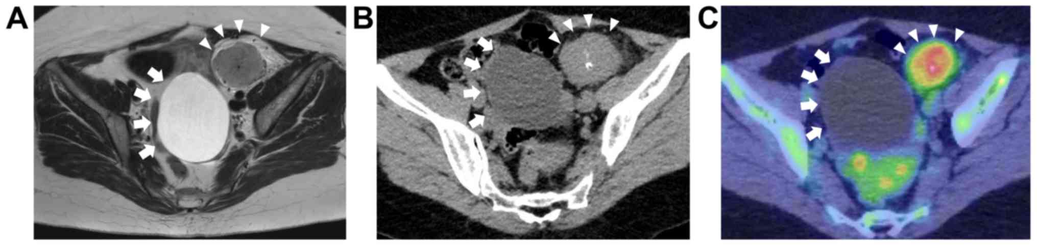
A 47-year-old gravida 5, para 3 female was referred to our hospital because of a pelvic mass accidentally found by radiological examination at a health checkup. She had no systemic symptoms such as pelvic pain, fatigue, fever, or weight loss. Transvaginal ultrasound examination revealed a 7.8 cm-sized simple cystic tumor on the left ovary. Magnetic resonance imaging (MRI) revealed an 8.2 cm-sized ovarian cyst and a 5.2 cm-sized heterogeneously hyper-enhanced solid tumor in the retroperitoneal space of the left pelvis on T2-weighted (T2W) images (Fig. 1A). On T1-weighted (T1W) images, the pelvic retroperitoneal tumor was homogeneous and nearly isointense to uterus in signal intensity. Computed tomography (CT) revealed partial calcification of both the cystic and solid pelvic retroperitoneal tumors, with no pelvic lymph node swelling (Fig. 1B). 18F-fluoro-2-deoxy-D-glucose positron emission tomography combined with computed tomography (FDG-PET/CT) detected high radiotracer uptake by the retroperitoneal tumor [maximum standardized uptake value (SUVmax): 4.14], with no distant metastases (Fig. 1C). Serum levels of carcinoembryonic antigen (CEA), cancer antigen (CA) 19-9, CA125, and interleukin 6 (IL-6) were within the normal range. Except for the above-mentioned findings, serum biochemical and clotting studies were within the normal limits.

Figure 1.

Radiological findings of pelvic retroperitoneal Castleman's disease. Arrowheads indicate retroperitoneal tumor. Arrows indicate ovarian cyst. (A) T2-weighted magnetic resonance imaging findings. (B) Computed tomography findings. (C) 18F-fluoro-2-deoxy-D-glucose positron emission tomography combined with computed tomography findings.

A laparoscopic surgery was performed for both pelvic retroperitoneal tumor and left ovarian cyst. Intraoperative examination evidenced that the pelvic retroperitoneal tumor was most likely to represent a lymph node enlargement at the left external iliac area and was associated with mobile and smooth left ovarian tumor (Fig. 2A). A laparoscopic monopolar device was applied to excise the pelvic peritoneum and expose the pelvic mass, and a bipolar device was subsequently applied to ensure coagulation around the tumor. Although it was closely located to the external iliac vessels, no direct vascular invasion was noted in the tumor and its surface was well circumscribed (Fig. 2B). This way, tissues around the tumor could be dissected and the feeding vessel desiccated from the external iliac artery with limited bleeding. No enlarged lymph nodes were found at the retroperitoneal region. These tumors were placed in a plastic bag and removed through the umbilical trocar site.

Figure 2.

Laparoscopic and macroscopic findings of pelvic retroperitoneal Castleman's disease. Arrowheads indicate retroperitoneal tumor. Arrows indicate ovarian cyst. (A) Left retroperitoneal tumor and left ovarian tumor. (B) Retroperitoneal tumor surface. (C) Cut surface of retroperitoneal tumor macroscopic findings.

Macroscopically, the pelvic retroperitoneal tumor was rubbery firm, with the cut surface appearing soft, finely granular, and pale yellow in color (Fig. 2C). Microscopic examination revealed marked follicular hyperplasia with concentric layering of mantle-zone lymphocytes (Fig. 3). Most follicles were hyalinized and atrophic, with an expanded follicular dendritic cell network. Paraffin section immunostain showed mixed populations of CD20-immunoreactive B cells and CD3-immunoreactive T cells and negative staining for immunoglobulin G4 (IgG4) (data not shown). The pathological diagnosis was unicentric and hyaline vascular type of Castleman's disease localized in the pelvic retroperitoneum. The cystic tumor in the left ovary was diagnosed as a benign simple cyst. The postoperative course was uneventful, and the patient was discharged from the hospital on postoperative day 5. Six months after diagnosis, there was no evidence of local recurrence or systemic disease.

Figure 3.

Microscopic findings of pelvic retroperitoneal Castleman's disease. Hematoxylin and eosin staining. (A) Magnification, x4; and (B) magnification, x20. Arrowheads indicate hyalinization.

Discussion

The present case refers to an incidentally found unicentric and hyaline vascular type of Castleman's disease localized in the pelvic retroperitoneum, with no symptoms. Castleman's disease is a rare, benign lymphoproliferative disorder originally described by Castleman and Towne in 1954(18). Castleman's disease includes unicentric and multicentric forms, which are thought to represent distinct clinical entities with different risk factors, presentation, treatment response, and long-term survival (19). The most common-unicentric-form, is often found in both males and females aged 20-30 years and presents asymptomatically or with compressive symptoms related to the mass (20). Unicentric Castleman's disease affects a single group of lymph nodes, often in the chest or abdomen, and is generally cured with surgical resection of the involved group of lymph nodes (19). Multicentric Castleman's disease is more often found in adults aged 50-60 years and is likely to present with systemic symptoms, including fever, malaise, night sweats, weakness, weight loss, and peripheral lymphadenopathy (20). Multicentric Castleman's disease may also be found in immunosuppressed patients infected with HIV and human herpesvirus 8(21). Multicentric Castleman's disease tends to behave aggressively, similarly to a lymphoma, and is less likely to be cured by surgical resection (19). Castleman's disease can also be grouped into hyaline vascular and plasma cell types according to histopathological subsets (22). The hyaline vascular type accounts for 90% of cases. Recently, a mixed type of hyaline vascular and plasma cell types has also been reported (23).

Preoperative diagnosis of Castleman's disease-especially when located in the pelvis-is difficult due to its very low frequency and nonspecific radiographic signs. Benign retroperitoneal tumors are relatively uncommon, comprising only approximately 20% of all primary retroperitoneal neoplasms (24). The differential diagnosis of a retroperitoneal mass includes lymphoma, sarcoma, metastasis, neural tumor, and granulomatous disease (2). Among these entities, lymphoma is the most difficult to distinguish from Castleman's disease because of its similar homogeneity on radiographic findings. CT generally demonstrates a homogeneous soft tissue mass, and both histological types of Castleman's disease show contrast enhancement (25). Variable patterns of calcification can be seen in CT in up to 31% of cases, including the present one (25). On MRI, unicentric Castleman's disease exhibits mild hyperintensity in T1W and T2W imaging compared with skeletal muscle (26). MRI is particularly suitable to evaluate the extent of the lesion and its relationship to adjacent structures, but it is less sensitive to calcifications (2). In FDG-PET/CT, Castleman's disease demonstrates only moderate radiotracer uptake with reported SUVmax between 4.7 and 5.8 (27,28). Most active lymphomas express much higher average SUVs than FDG-avid lymph nodes in Castleman's disease (29,30); however, some degree of overlap with low- and intermediate-grade lymphoma is possible. Murphy et al (30) emphasized that, in several cases of low- and intermediate-grade lymphomas, SUVs are higher than those found in Castleman's disease. Retroperitoneal sarcoma and lymphoma are more likely to demonstrate higher apparent diffusion coefficient values (ADC) on MRI (31) and higher 18F-FDG avidity (SUVmax, 4.2-23.6) on PET/CT (32). In the present case, MRI allowed us to conclude that the mass was located on the retroperitoneal space and not in the ovary, and FDG-PET/CT helped to narrow down the differential diagnosis, particularly considering lymphoma and sarcoma.

In the English literature, a small number of Castleman's disease cases have been reported in the female pelvis (4-17), with clinical characteristics resembling a tubo-ovarian abscess, endometriotic cyst, or dermoid cyst of ovarian origin. The mean age and tumor size of Castleman's disease cases were 26.5 (13-58) and 7.5 cm (5.0-10.0 cm), respectively (Table I). Due to the low incidence of Castleman's disease in the female pelvis and the clinical resemblances with other pelvic masses, it may be difficult to diagnose Castleman's disease in initial evaluation and the case may be included in the differential diagnosis of pelvic mass. In most cases, pelvic Castleman's disease presents as a pelvic mass with clinical suspicion of adnexal tumor. Fortunately, this case of pelvic retroperitoneal Castleman's disease was associated with an ipsilateral benign ovarian cyst, which also helped to diagnose the mass as retroperitoneal-and not ovarian-in origin. Castleman's disease is an important consideration in the differential diagnosis of pelvic masses in women.

The appropriate clinical management strategy for pelvic retroperitoneal Castleman's disease has not been established, as clinical experience with such cases is limited. While only limited successful management with steroids and cytotoxic agents has been reported (33), surgical excision has been considered as standard therapy. A wide, complete excisional margin is preferred due to the lesion's infiltrative pattern and potential for recurrence. Incomplete resection may be associated with poorer outcome (34). Although Castleman's disease has a benign histology, surgical excision is not always easy. As observed in the present case, hypervascularity is frequently associated with massive hemorrhage at excision. Pelvic retroperitoneal Castleman's disease is often accompanied by remarkable fibrous adhesion to the surrounding tissues (35). To avoid massive hemorrhage, it is essential to fully dissect tissues around the tumor and have enough space to desiccate the feeding vessel originated from large vessel. A thorough pre-operative discussion about radiological examination could be useful for assisting the preparation for surgical resection. Although several cases of unicentric Castleman's disease in the abdominal cavity treated laparoscopically have been reported (36,37), to the best of our knowledge, only one report on female pelvic retroperitoneal Castleman's disease treated by laparoscopy is available in literature (Table I) (16). As some masses are well vascularized and adjacent to the great vessels, laparoscopy can provide magnified images that facilitate and secure dissection.

In summary, a rare case of female pelvic retroperitoneal Castleman's disease was found, for which a laparoscopic surgery was performed. Gynecologists should be aware of the possible event of such rare cases, and available surgical interventions should be fully discussed. Laparoscopic surgery may be a possible treatment option for such a rare condition.

Acknowledgements

Not applicable.

Funding

No funding was received.

Availability of data and materials

The datasets uesd and/or analyzed during the current study are available from the corresponding author on reasonable request.

Author's contributions

KN, NI and KI conceived and designed this case report. KN, NI and KI wrote the initial draft of the report. HM, TN and TY acquired the data in the surgical field. NO and YM acquired the data in the diagnostic imaging and pathological examination. All authors have read and approved the final version of the manuscript.

Ethics approval and consent to participate

Written informed consent for surgery was obtained from the patient.

Patient consent for publication

Written informed consent for publication of the present report was obtained from the patient.

Competing interests

The authors declare that they have no competing interests.

References

1 

Castleman B, Iverson L and Menendez VP: Localized mediastinal lymph node hyperplasia resembling thymoma. Cancer. 9:822–830. 1956.PubMed/NCBI View Article : Google Scholar

2 

Bonekamp D, Horton KM, Hruban RH and Fishman EK: Castleman disease: The great mimic. Radiographics. 31:1793–1807. 2011.PubMed/NCBI View Article : Google Scholar

3 

Aygun C, Tekin MI, Demirhan B, Peskircioglu CL, Agildere M and Ozkardes H: A case of incidentally detected Castleman's disease with retroperitoneal paravertebral localization. Int J Urol. 7:22–25. 2000.PubMed/NCBI View Article : Google Scholar

4 

Latters R and Pachter MR: Benign lymphoid masses of probable hamartomatous nature. Analysis of 12 cases. Cancer. 15:197–214. 1962.PubMed/NCBI View Article : Google Scholar

5 

Giaretta MI, Hyun J and Gibbons JM Jr: Angiomatous lymphoid hamartoma as a pelvic mass. A case report. Obstet Gynecol. 38:391–394. 1971.PubMed/NCBI

6 

Emson HE: Extrathoracic angiofollicular lymphoid hyperplasia with coincidental myasthenia gravis. Cancer. 31:241–245. 1973.PubMed/NCBI View Article : Google Scholar

7 

Bainbridge ET: Angiomatous lymphoid hamartoma of the pelvis. Br J Obstet Gynaecol. 83:823–826. 1976.PubMed/NCBI View Article : Google Scholar

8 

Tanaka T, Kobayashi K, Sho T and Hamazaki M: Castleman's lymphoma among Japanese population. Acta Pathol Jpn. 26:547–559. 1976.PubMed/NCBI View Article : Google Scholar

9 

Kumar D and Shah S: Angiomatous lymphoid hamartoma or pseudolymphoma of pelvic retroperitoneum: Clinical significance and evaluation of pelvic ureter. Urology. 13:677–681. 1979.PubMed/NCBI View Article : Google Scholar

10 

Goodman K, Baim RS, Clair MR and Perkes EA: Angiomatous lymphoid hamartoma of the pelvis. Characteristic calcification and computed tomographic appearance. Radiology. 146(728)1983.PubMed/NCBI View Article : Google Scholar

11 

Ylinen K, Sarlomo-Rikala M and Laatikainen T: Pelvic Castleman disease mimicking an adnexal tumor. Obstet Gynecol. 85:894–897. 1995.PubMed/NCBI View Article : Google Scholar

12 

MacDonald SR, Lurain JR, Hoff F, Variakojis D and Fishman DA: Castleman disease presenting as a pelvic mass. Obstet Gynecol. 87:875–877. 1996.

13 

Gaunt GA, Gostout BS, Remstein E and Cliby WA: Pelvic Castleman disease presenting as vaginal occlusion. Obstet Gynecol. 100:1082–1085. 2002.

14 

Nakamura Y, Tokuyama O, Muso A, Kawamura N, Yasui T and Ishiko O: Asymptomatic pelvic Castleman disease in an infertile woman: Case report. Arch Gynecol Obstet. 269:156–158. 2004.PubMed/NCBI View Article : Google Scholar

15 

Sato A: Castleman's disease in the pelvic retroperitoneum: A case report and review of the Japanese literature. Int J Surg Case Rep. 4:19–22. 2013.PubMed/NCBI View Article : Google Scholar

16 

Lee J, Paek J, Lee YH, Kong TW, Chang SJ and Ryu HS: Pelvic Castleman's disease presenting as an adnexal tumor in a young woman. Obstet Gynecol Sci. 58:323–326. 2015.PubMed/NCBI View Article : Google Scholar

17 

Schelble AP and Merritt DF: Pelvic Castleman's disease presenting as an adnexal mass in an adolescent. J Pediatr Adolesc Gynecol. 32:86–89. 2019.PubMed/NCBI View Article : Google Scholar

18 

Castleman B and Towne VW: Case records of the Massachusetts General Hospital: Case No. 40231. N Engl J Med. 250:1001–1005. 1954.PubMed/NCBI View Article : Google Scholar

19 

Talat N, Belgaumkar AP and Schulte KM: Surgery in Castleman's disease: A systematic review of 404 published cases. Ann Surg. 255:677–684. 2012.PubMed/NCBI View Article : Google Scholar

20 

Roca B: Castleman's disease. A review. AIDS Rev. 11:3–7. 2009.PubMed/NCBI

21 

Shah D, Darji P, Lodha S and Bolla S: Unicentric Castleman's disease of abdomen. J Radiol Case Rep. 7:26–33. 2013.PubMed/NCBI View Article : Google Scholar

22 

Keller AR, Hochholzer L and Castleman B: Hyaline-vascular and plasma-cell types of giant lymph node hyperplasia of the mediastinum and other locations. Cancer. 29:670–683. 1972.PubMed/NCBI View Article : Google Scholar

23 

Seco JL, Velasco F, Manuel JS, Serrano SR, Tomas L and Velasco A: Retroperitoneal Castleman's disease. Surgery. 112:850–855. 1992.PubMed/NCBI

24 

Takihara H, Yamakawa G, Baba Y, Takahashi M and Ishihara T: Castleman disease. Unusual retroperitoneal location indistinguishable from malignant tumor in preoperative angiographic appearance. Urology. 41:162–164. 1993.PubMed/NCBI View Article : Google Scholar

25 

Chung EM, Biko DM, Arzamendi AM, Meldrum JT and Stocker JT: Solid tumors of the peritoneum, omentum, and mesentery in children: radiologic-pathologic correlation: From the radiologic pathology archives. Radiographics. 35:521–546. 2015.PubMed/NCBI View Article : Google Scholar

26 

Ko SF, Hsieh MJ, Ng SH, Lin JW, Wan YL, Lee TY, Chen WJ and Chen MC: Imaging spectrum of Castleman's disease. AJR Am J Roentgenol. 182:769–775. 2004. View Article : Google Scholar

27 

Hill AJ, Tirumani SH, Rosenthal MH, Shinagare AB, Carrasco RD, Munshi NC, Ramaiya NH and Howard SA: Multimodality imaging and clinical features in Castleman disease: Single institute experience in 30 patients. Br J Radiol. 88(20140670)2015.PubMed/NCBI View Article : Google Scholar

28 

Lee ES, Paeng JC, Park CM, Chang W, Lee WW, Kang KW, Chung JK and Lee DS: Metabolic characteristics of Castleman disease on 18F-FDG PET in relation to clinical implication. Clin Nucl Med. 38:339–342. 2013.PubMed/NCBI View Article : Google Scholar

29 

Oida Y, Shimizu K, Mukai M, Imaizumi T, Nakamura M and Makuuchi H: FDG-PET and diffusion-weighted MR imaging appearance in retroperitoneal Castleman's disease: A case report. Clin Imaging. 32:144–146. 2008.PubMed/NCBI View Article : Google Scholar

30 

Murphy SP, Nathan MA and Karwal MW: FDG-PET appearance of pelvic Castleman's disease. J Nucl Med. 38:1211–1212. 1997.PubMed/NCBI

31 

Nakayama T, Yoshimitsu K, Irie H, Aibe H, Tajima T, Shinozaki K, Nishie A, Asayama Y, Kakihara D, Matsuura S and Honda H: Usefulness of the calculated apparent diffusion coefficient value in the differential diagnosis of retroperitoneal masses. J Magn Reson Imaging. 20:735–742. 2004.PubMed/NCBI View Article : Google Scholar

32 

Platzek I, Beuthien-Baumann B, Schramm G, Maus J, Laniado M, Kotzerke J, van den Hoff J and Schuler M: FDG PET/MR in initial staging of sarcoma: Initial experience and comparison with conventional imaging. Clin Imaging. 42:126–132. 2017.PubMed/NCBI View Article : Google Scholar

33 

Summerfield GP, Taylor W, Bellingham AJ and Goldsmith HJ: Hyaline-vascular variant of angiofollicular lymph node hyperplasia with systemic manifestations and response to corticosteroids. J Clin Pathol. 36:1005–1011. 1983.PubMed/NCBI View Article : Google Scholar

34 

Bowne WB, Lewis JJ, Filippa DA, Niesvizky R, Brooks AD, Burt ME and Brennan MF: The management of unicentric and multicentric Castleman's disease: A report of 16 cases and a review of the literature. Cancer. 85:706–717. 1999.PubMed/NCBI View Article : Google Scholar

35 

Kiguchi H, Ishii T, Ishikawa Y, Masuda S, Asuwa N, Yamafuji K and Takahashi T: Castleman's disease of the abdomen and pelvis: Report of three cases and a review of the literature. J Gastroenterol. 30:661–666. 1995.PubMed/NCBI View Article : Google Scholar

36 

Corcione F, Caiazzo P, Cuccurullo D, Settembre A, Miranda L, Pirozzi F and Caracino V: Laparoscopic treatment of unicentric Castleman's disease with abdominal localization. J Laparoendosc Adv Surg Tech A. 15:400–404. 2005.PubMed/NCBI View Article : Google Scholar

37 

Brusciano L, Rossetti G, Maffettone V, Napolitano V, Izzo D, Pizza F, Russo G, Russo F, del Genio G and del Genio A: Laparoscopic treatment of an uncommon abdominal localization of Castleman disease. Surg Laparosc Endosc Percutan Tech. 15:241–243. 2005.PubMed/NCBI View Article : Google Scholar

Related Articles

  • Abstract
  • View
  • Download
  • Twitter
Copy and paste a formatted citation
Spandidos Publications style
Nakata K, Iwahashi N, Matsukawa H, Noguchi T, Yahata T, Ota N, Mabuchi Y and Ino K: Laparoscopically resected Castleman's disease in the pelvic retroperitoneum: A case report. Mol Clin Oncol 12: 169-173, 2020.
APA
Nakata, K., Iwahashi, N., Matsukawa, H., Noguchi, T., Yahata, T., Ota, N. ... Ino, K. (2020). Laparoscopically resected Castleman's disease in the pelvic retroperitoneum: A case report. Molecular and Clinical Oncology, 12, 169-173. https://doi.org/10.3892/mco.2019.1963
MLA
Nakata, K., Iwahashi, N., Matsukawa, H., Noguchi, T., Yahata, T., Ota, N., Mabuchi, Y., Ino, K."Laparoscopically resected Castleman's disease in the pelvic retroperitoneum: A case report". Molecular and Clinical Oncology 12.2 (2020): 169-173.
Chicago
Nakata, K., Iwahashi, N., Matsukawa, H., Noguchi, T., Yahata, T., Ota, N., Mabuchi, Y., Ino, K."Laparoscopically resected Castleman's disease in the pelvic retroperitoneum: A case report". Molecular and Clinical Oncology 12, no. 2 (2020): 169-173. https://doi.org/10.3892/mco.2019.1963
Copy and paste a formatted citation
x
Spandidos Publications style
Nakata K, Iwahashi N, Matsukawa H, Noguchi T, Yahata T, Ota N, Mabuchi Y and Ino K: Laparoscopically resected Castleman's disease in the pelvic retroperitoneum: A case report. Mol Clin Oncol 12: 169-173, 2020.
APA
Nakata, K., Iwahashi, N., Matsukawa, H., Noguchi, T., Yahata, T., Ota, N. ... Ino, K. (2020). Laparoscopically resected Castleman's disease in the pelvic retroperitoneum: A case report. Molecular and Clinical Oncology, 12, 169-173. https://doi.org/10.3892/mco.2019.1963
MLA
Nakata, K., Iwahashi, N., Matsukawa, H., Noguchi, T., Yahata, T., Ota, N., Mabuchi, Y., Ino, K."Laparoscopically resected Castleman's disease in the pelvic retroperitoneum: A case report". Molecular and Clinical Oncology 12.2 (2020): 169-173.
Chicago
Nakata, K., Iwahashi, N., Matsukawa, H., Noguchi, T., Yahata, T., Ota, N., Mabuchi, Y., Ino, K."Laparoscopically resected Castleman's disease in the pelvic retroperitoneum: A case report". Molecular and Clinical Oncology 12, no. 2 (2020): 169-173. https://doi.org/10.3892/mco.2019.1963
Follow us
  • Twitter
  • LinkedIn
  • Facebook
About
  • Spandidos Publications
  • Careers
  • Cookie Policy
  • Privacy Policy
How can we help?
  • Help
  • Live Chat
  • Contact
  • Email to our Support Team