Spandidos Publications Logo
  • About
    • About Spandidos
    • Aims and Scopes
    • Abstracting and Indexing
    • Editorial Policies
    • Reprints and Permissions
    • Job Opportunities
    • Terms and Conditions
    • Contact
  • Journals
    • All Journals
    • Oncology Letters
      • Oncology Letters
      • Information for Authors
      • Editorial Policies
      • Editorial Board
      • Aims and Scope
      • Abstracting and Indexing
      • Bibliographic Information
      • Archive
    • International Journal of Oncology
      • International Journal of Oncology
      • Information for Authors
      • Editorial Policies
      • Editorial Board
      • Aims and Scope
      • Abstracting and Indexing
      • Bibliographic Information
      • Archive
    • Molecular and Clinical Oncology
      • Molecular and Clinical Oncology
      • Information for Authors
      • Editorial Policies
      • Editorial Board
      • Aims and Scope
      • Abstracting and Indexing
      • Bibliographic Information
      • Archive
    • Experimental and Therapeutic Medicine
      • Experimental and Therapeutic Medicine
      • Information for Authors
      • Editorial Policies
      • Editorial Board
      • Aims and Scope
      • Abstracting and Indexing
      • Bibliographic Information
      • Archive
    • International Journal of Molecular Medicine
      • International Journal of Molecular Medicine
      • Information for Authors
      • Editorial Policies
      • Editorial Board
      • Aims and Scope
      • Abstracting and Indexing
      • Bibliographic Information
      • Archive
    • Biomedical Reports
      • Biomedical Reports
      • Information for Authors
      • Editorial Policies
      • Editorial Board
      • Aims and Scope
      • Abstracting and Indexing
      • Bibliographic Information
      • Archive
    • Oncology Reports
      • Oncology Reports
      • Information for Authors
      • Editorial Policies
      • Editorial Board
      • Aims and Scope
      • Abstracting and Indexing
      • Bibliographic Information
      • Archive
    • Molecular Medicine Reports
      • Molecular Medicine Reports
      • Information for Authors
      • Editorial Policies
      • Editorial Board
      • Aims and Scope
      • Abstracting and Indexing
      • Bibliographic Information
      • Archive
    • World Academy of Sciences Journal
      • World Academy of Sciences Journal
      • Information for Authors
      • Editorial Policies
      • Editorial Board
      • Aims and Scope
      • Abstracting and Indexing
      • Bibliographic Information
      • Archive
    • International Journal of Functional Nutrition
      • International Journal of Functional Nutrition
      • Information for Authors
      • Editorial Policies
      • Editorial Board
      • Aims and Scope
      • Abstracting and Indexing
      • Bibliographic Information
      • Archive
    • International Journal of Epigenetics
      • International Journal of Epigenetics
      • Information for Authors
      • Editorial Policies
      • Editorial Board
      • Aims and Scope
      • Abstracting and Indexing
      • Bibliographic Information
      • Archive
    • Medicine International
      • Medicine International
      • Information for Authors
      • Editorial Policies
      • Editorial Board
      • Aims and Scope
      • Abstracting and Indexing
      • Bibliographic Information
      • Archive
  • Articles
  • Information
    • Information for Authors
    • Information for Reviewers
    • Information for Librarians
    • Information for Advertisers
    • Conferences
  • Language Editing
Spandidos Publications Logo
  • About
    • About Spandidos
    • Aims and Scopes
    • Abstracting and Indexing
    • Editorial Policies
    • Reprints and Permissions
    • Job Opportunities
    • Terms and Conditions
    • Contact
  • Journals
    • All Journals
    • Biomedical Reports
      • Information for Authors
      • Editorial Policies
      • Editorial Board
      • Aims and Scope
      • Abstracting and Indexing
      • Bibliographic Information
      • Archive
    • Experimental and Therapeutic Medicine
      • Information for Authors
      • Editorial Policies
      • Editorial Board
      • Aims and Scope
      • Abstracting and Indexing
      • Bibliographic Information
      • Archive
    • International Journal of Epigenetics
      • Information for Authors
      • Editorial Policies
      • Editorial Board
      • Aims and Scope
      • Abstracting and Indexing
      • Bibliographic Information
      • Archive
    • International Journal of Functional Nutrition
      • Information for Authors
      • Editorial Policies
      • Editorial Board
      • Aims and Scope
      • Abstracting and Indexing
      • Bibliographic Information
      • Archive
    • International Journal of Molecular Medicine
      • Information for Authors
      • Editorial Policies
      • Editorial Board
      • Aims and Scope
      • Abstracting and Indexing
      • Bibliographic Information
      • Archive
    • International Journal of Oncology
      • Information for Authors
      • Editorial Policies
      • Editorial Board
      • Aims and Scope
      • Abstracting and Indexing
      • Bibliographic Information
      • Archive
    • Medicine International
      • Information for Authors
      • Editorial Policies
      • Editorial Board
      • Aims and Scope
      • Abstracting and Indexing
      • Bibliographic Information
      • Archive
    • Molecular and Clinical Oncology
      • Information for Authors
      • Editorial Policies
      • Editorial Board
      • Aims and Scope
      • Abstracting and Indexing
      • Bibliographic Information
      • Archive
    • Molecular Medicine Reports
      • Information for Authors
      • Editorial Policies
      • Editorial Board
      • Aims and Scope
      • Abstracting and Indexing
      • Bibliographic Information
      • Archive
    • Oncology Letters
      • Information for Authors
      • Editorial Policies
      • Editorial Board
      • Aims and Scope
      • Abstracting and Indexing
      • Bibliographic Information
      • Archive
    • Oncology Reports
      • Information for Authors
      • Editorial Policies
      • Editorial Board
      • Aims and Scope
      • Abstracting and Indexing
      • Bibliographic Information
      • Archive
    • World Academy of Sciences Journal
      • Information for Authors
      • Editorial Policies
      • Editorial Board
      • Aims and Scope
      • Abstracting and Indexing
      • Bibliographic Information
      • Archive
  • Articles
  • Information
    • For Authors
    • For Reviewers
    • For Librarians
    • For Advertisers
    • Conferences
  • Language Editing
Login Register Submit
  • This site uses cookies
  • You can change your cookie settings at any time by following the instructions in our Cookie Policy. To find out more, you may read our Privacy Policy.

    I agree
Search articles by DOI, keyword, author or affiliation
Search
Advanced Search
presentation
Molecular and Clinical Oncology
Join Editorial Board Propose a Special Issue
Print ISSN: 2049-9450 Online ISSN: 2049-9469
Journal Cover
July-2021 Volume 15 Issue 1

Full Size Image

Sign up for eToc alerts
Recommend to Library

Journals

International Journal of Molecular Medicine

International Journal of Molecular Medicine

International Journal of Molecular Medicine is an international journal devoted to molecular mechanisms of human disease.

International Journal of Oncology

International Journal of Oncology

International Journal of Oncology is an international journal devoted to oncology research and cancer treatment.

Molecular Medicine Reports

Molecular Medicine Reports

Covers molecular medicine topics such as pharmacology, pathology, genetics, neuroscience, infectious diseases, molecular cardiology, and molecular surgery.

Oncology Reports

Oncology Reports

Oncology Reports is an international journal devoted to fundamental and applied research in Oncology.

Experimental and Therapeutic Medicine

Experimental and Therapeutic Medicine

Experimental and Therapeutic Medicine is an international journal devoted to laboratory and clinical medicine.

Oncology Letters

Oncology Letters

Oncology Letters is an international journal devoted to Experimental and Clinical Oncology.

Biomedical Reports

Biomedical Reports

Explores a wide range of biological and medical fields, including pharmacology, genetics, microbiology, neuroscience, and molecular cardiology.

Molecular and Clinical Oncology

Molecular and Clinical Oncology

International journal addressing all aspects of oncology research, from tumorigenesis and oncogenes to chemotherapy and metastasis.

World Academy of Sciences Journal

World Academy of Sciences Journal

Multidisciplinary open-access journal spanning biochemistry, genetics, neuroscience, environmental health, and synthetic biology.

International Journal of Functional Nutrition

International Journal of Functional Nutrition

Open-access journal combining biochemistry, pharmacology, immunology, and genetics to advance health through functional nutrition.

International Journal of Epigenetics

International Journal of Epigenetics

Publishes open-access research on using epigenetics to advance understanding and treatment of human disease.

Medicine International

Medicine International

An International Open Access Journal Devoted to General Medicine.

Journal Cover
July-2021 Volume 15 Issue 1

Full Size Image

Sign up for eToc alerts
Recommend to Library

  • Article
  • Citations
    • Cite This Article
    • Download Citation
    • Create Citation Alert
    • Remove Citation Alert
    • Cited By
  • Similar Articles
    • Related Articles (in Spandidos Publications)
    • Similar Articles (Google Scholar)
    • Similar Articles (PubMed)
  • Download PDF
  • Download XML
  • View XML
Case Report Open Access

Ovarian metastasis from breast cancer mimicking a primary ovarian neoplasm: A case report

  • Authors:
    • Yoshika Akizawa
    • Toshiyuki Kanno
    • Yu Horibe
    • Yumi Shimizu
    • Eiichiro Noguchi
    • Tomoko Yamamoto
    • Takahiro Okamoto
    • Yoji Nagashima
    • Tsutomu Tabata
  • View Affiliations / Copyright

    Affiliations: Department of Obstetrics and Gynecology, Tokyo Women's Medical University, Shinjuku, Tokyo 162‑8666, Japan, Department of Breast and Endocrine Surgery, Tokyo Women's Medical University, Shinjuku, Tokyo 162‑8666, Japan, Department of Surgical Pathology, Tokyo Women's Medical University, Shinjuku, Tokyo 162‑8666, Japan
    Copyright: © Akizawa et al. This is an open access article distributed under the terms of Creative Commons Attribution License.
  • Article Number: 135
    |
    Published online on: May 17, 2021
       https://doi.org/10.3892/mco.2021.2297
  • Expand metrics +
Metrics: Total Views: 0 (Spandidos Publications: | PMC Statistics: )
Metrics: Total PDF Downloads: 0 (Spandidos Publications: | PMC Statistics: )
Cited By (CrossRef): 0 citations Loading Articles...

This article is mentioned in:



Abstract

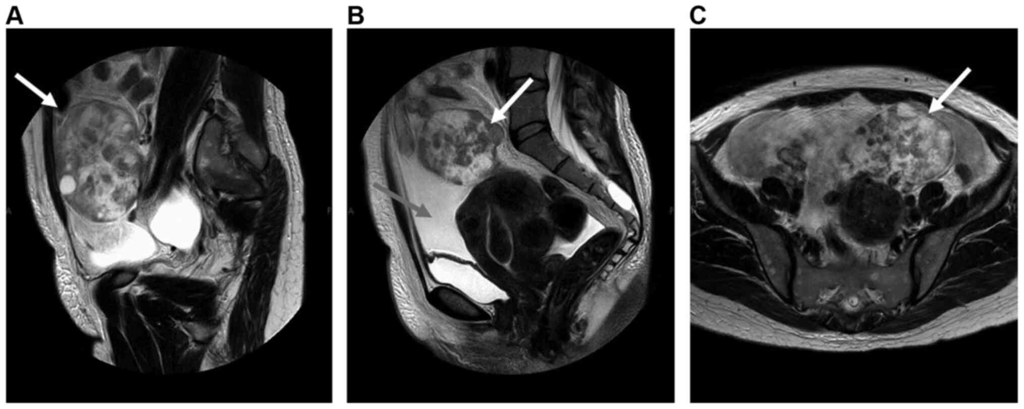
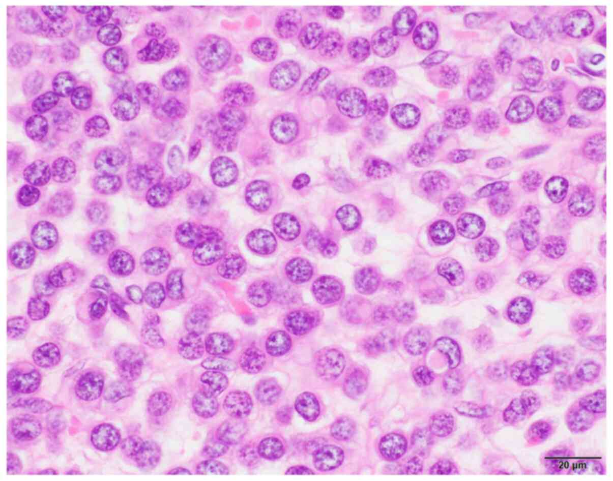
Ovarian metastasis (OM) from breast cancer accounts for 3‑38% of all ovarian neoplasms and is associated with various characteristic clinical presentations, such as pseudo‑Meigs syndrome and Krukenberg tumor. Accurate diagnosis of OM may be challenging, as such lesions are frequently asymptomatic until they reach a large size. Occasionally, metastatic ovarian cancer is detected prior to the diagnosis of the primary tumor. Immunohistochemistry plays an important role in distinguishing primary ovarian tumors from extraovarian tumor metastases and may be helpful for identifying the primary tumor site. We herein report a case of OM from breast cancer masquerading as primary ovarian cancer. However, the correct diagnosis was made based on histopathological and immunohistochemical examinations. The patient had bilateral breast cancer, namely invasive lobular carcinoma of the left breast and ductal carcinoma of the right breast. Due to the presence of bilateral synchronous breast tumors, the possibility that the patient had hereditary breast and ovarian cancer syndrome or other relevant genetic factors was considered. Immunohistochemistry plays a key role in distinguishing between primary ovarian tumors and OM, and it was also important for confirming the metastatic nature of the ovarian lesion and diagnosing the primary tumor in the present study.
View Figures

Figure 1

Figure 2

Figure 3

Figure 4

Figure 5

View References

1 

Kubeček O, Laco J, Špaček J, Petera J, Kopecký J, Kubečková A and Filip S: The pathogenesis, diagnosis, and management of metastatic tumors to the ovary: A comprehensive review. Clin Exp Metastasis. 34:295–307. 2017.PubMed/NCBI View Article : Google Scholar

2 

Omranipour R and Abasahl A: Ovarian metastases in colorectal cancer. Int J Gynecol Cancer. 19:1524–1528. 2009.PubMed/NCBI View Article : Google Scholar

3 

Alvarado-Cabrero I, Rodríguez-Gómez A, Castelan-Pedraza J and Valencia-Cedillo R: Metastatic ovarian tumors: A clinicopathologic study of 150 cases. Anal Quant Cytopathol Histpathol. 35:241–248. 2013.PubMed/NCBI

4 

Yadav BS, Sharma SC, Robin TP, Sams S, Elias AD, Kaklamani V, Kelly Marcom P, Schaefer S and Morris GJ: Synchronous primary carcinoma of breast and ovary versus ovarian metastases. Semin Oncol. 42:e13–e24. 2015.PubMed/NCBI View Article : Google Scholar

5 

Guerriero S, Alcazar JL, Pascual MA, Ajossa S, Olartecoechea B and Hereter L: Preoperative diagnosis of metastatic ovarian cancer is related to origin of primary tumor. Ultrasound Obstet Gynecol. 39:581–586. 2012.PubMed/NCBI View Article : Google Scholar

6 

Gagnon Y and Têtu B: Ovarian metastases of breast carcinoma. A clinicopathologic study of 59 cases. Cancer. 64:892–898. 1989.PubMed/NCBI View Article : Google Scholar

7 

Bigorie V, Morice P, Duvillard P, Antoine M, Cortez A, Flejou JF, Uzan S, Darai E and Barranger E: Ovarian metastases from breast cancer: Report of 29 cases. Cancer. 116:799–804. 2010.PubMed/NCBI View Article : Google Scholar

8 

Tserkezoglou A, Kontou S, Hadjieleftheriou G, Apostolikas N, Vassilomanolakis M, Sikiotis K, Salamalekis E, Tseke P and Magiakos G: Primary and metastatic ovarian cancer in patients with prior breast carcinoma. Pre-operative markers and treatment results. Anticancer Res. 26:2339–2344. 2006.PubMed/NCBI

9 

Yamanishi Y, Koshiyama M, Ohnaka M, Ueda M, Ukita S, Hishikawa K, Nagura M, Kim T, Hirose M, Ozasa H and Shirase T: Pathways of metastases from primary organs to the ovaries. Obstet Gynecol Int. 2011(612817)2011.PubMed/NCBI View Article : Google Scholar

10 

Ghoncheh M, Pournamdar Z and Salehiniya H: Incidence and mortality and epidemiology of breast cancer in the world. Asian Pac J Cancer Prev. 17:43–46. 2016.PubMed/NCBI View Article : Google Scholar

11 

Ernst MF, van de Poll-Franse LV, Roukema JA, Coebergh JW, van Gestel CM, Vreugdenhil G, Louwman MJ and Voogd AC: Trends in the prognosis of patients with primary metastatic breast cancer diagnosed between 1975 and 2002. Breast. 16:344–351. 2007.PubMed/NCBI View Article : Google Scholar

12 

Stelow EB and Yaziji H: Immunohistochemistry, carcinomas of unknown primary, and incidence rates. Semin Diagn Pathol. 35:143–152. 2018.PubMed/NCBI View Article : Google Scholar

13 

Studzinski Z and Zajewski W: Bilateral metastatic ovarian tumors (Krukenberg's tumors) in the course of stomach cancer. Arch Gynecol Obstet. 267:95–97. 2002.PubMed/NCBI View Article : Google Scholar

14 

Kawakubo N, Okido M, Tanaka R, Mitsugi K, Fukuhara M, Aishima S, Kato M and Ichimiya H: Pseudo-Meigs' syndrome associated with breast cancer metastasis to both ovaries: Report of a case. Surg Today. 40:1148–1151. 2010.PubMed/NCBI View Article : Google Scholar

15 

Naito K, Oura S, Yasuoka H and Okamura Y: A case of pseudo-meigs' syndrome associated with ovarian metastases from breast cancer. J Breast Cancer. 15:474–477. 2012.PubMed/NCBI View Article : Google Scholar

16 

Fujii M, Okino M, Fujioka K, Yamashita K and Hamano K: Pseudo-Meigs' syndrome caused by breast cancer metastasis to both ovaries. Breast Cancer. 13:344–348. 2006.PubMed/NCBI View Article : Google Scholar

17 

Jung YE, Lee JW, Kim BG and Bae DS: Ovarian metastasis from pulmonary adenocarcinoma. Obstet Gynecol Sci. 56:341–344. 2013.PubMed/NCBI View Article : Google Scholar

18 

Rosendahl M, Timmermans Wielenga V, Nedergaard L, Kristensen SG, Ernst E, Rasmussen PE, Anderson M, Schmidt KT and Andersen CY: Cryopreservation of ovarian tissue for fertility preservation: No evidence of malignant cell contamination in ovarian tissue from patients with breast cancer. Fertil Steril. 95:2158–2161. 2011.PubMed/NCBI View Article : Google Scholar

19 

Peters IT, van Zwet EW, Smit VT, Liefers GJ, Kuppen PJ, Hilders CG and Trimbos JB: Prevalence and risk factors of ovarian metastases in breast cancer patients <41 years of age in the Netherlands: A nationwide retrospective cohort study. PLoS One. 12(e0168277)2017.PubMed/NCBI View Article : Google Scholar

20 

Bastings L, Beerendonk CC, Westphal JR, Massuger LF, Kaal SE, van Leeuwen FE, Braat DD and Peek R: Autotransplantation of cryopreserved ovarian tissue in cancer survivors and the risk of reintroducing malignancy: A systematic review. Hum Reprod Update. 19:483–506. 2013.PubMed/NCBI View Article : Google Scholar

21 

Laifer S, Buscema J, Parmley TH and Rosenshein NB: Ovarian cancer metastatic to the breast. Gynecol Oncol. 24:97–102. 1986.PubMed/NCBI View Article : Google Scholar

22 

Ayhan A, Guvenal T, Salman MC, Ozyuncu O, Sakinci M and Basaran M: The role of cytoreductive surgery in nongenital cancers metastatic to the ovaries. Gynecol Oncol. 98:235–241. 2005.PubMed/NCBI View Article : Google Scholar

23 

Eitan R, Gemignani ML, Venkatraman ES, Barakat RR and Abu-Rustum NR: Breast cancer metastatic to abdomen and pelvis: Role of surgical resection. Gynecol Oncol. 90:397–401. 2003.PubMed/NCBI View Article : Google Scholar

24 

Moore RG, Chung M, Granai CO, Gajewski W and Steinhoff MM: Incidence of metastasis to the ovaries from nongenital tract primary tumors. Gynecol Oncol. 93:87–91. 2004.PubMed/NCBI View Article : Google Scholar

25 

Li CI, Anderson BO, Daling JR and Moe RE: Trends in incidence rates of invasive lobular and ductal breast carcinoma. JAMA. 289:1421–1424. 2003.PubMed/NCBI View Article : Google Scholar

26 

Borst MJ and Ingold JA: Metastatic patterns of invasive lobular versus invasive ductal carcinoma of the breast. Surgery. 114:637–641; discussion 641-632. 1993.PubMed/NCBI

27 

Lamovec J and Bracko M: Metastatic pattern of infiltrating lobular carcinoma of the breast: An autopsy study. J Surg Oncol. 48:28–33. 1991.PubMed/NCBI View Article : Google Scholar

28 

Curtin JP, Barakat RR and Hoskins WJ: Ovarian disease in women with breast cancer. Obstet Gynecol. 84:449–452. 1994.PubMed/NCBI

29 

Simpkins F, Zahurak M, Armstrong D, Grumbine F and Bristow R: Ovarian malignancy in breast cancer patients with an adnexal mass. Obstet Gynecol. 105:507–513. 2005.PubMed/NCBI View Article : Google Scholar

30 

Moore K, Colombo N, Scambia G, Kim BG, Oaknin A, Friedlander M, Lisyanskaya A, Floquet A, Leary A, Sonke GS, et al: Maintenance olaparib in patients with newly diagnosed advanced ovarian cancer. N Engl J Med. 379:2495–2505. 2018.PubMed/NCBI View Article : Google Scholar

31 

Robson M, Im SA, Senkus E, Xu B, Domchek SM, Masuda N, Delaloge S, Li W, Tung N, Armstrong A, et al: Olaparib for metastatic breast cancer in patients with a germline BRCA mutation. N Engl J Med. 377:523–533. 2017.PubMed/NCBI View Article : Google Scholar

32 

Economopoulou P, Dimitriadis G and Psyrri A: Beyond BRCA: New hereditary breast cancer susceptibility genes. Cancer Treat Rev. 41:1–8. 2015.PubMed/NCBI View Article : Google Scholar

33 

NCCN Clinical Practice Guidelines in Oncology Genetic/Familial High-Risk Assessment; Breast, Ovarian and Pancreatic. Version 2.2021-November 20,2020.

Related Articles

  • Abstract
  • View
  • Download
  • Twitter
Copy and paste a formatted citation
Spandidos Publications style
Akizawa Y, Kanno T, Horibe Y, Shimizu Y, Noguchi E, Yamamoto T, Okamoto T, Nagashima Y and Tabata T: Ovarian metastasis from breast cancer mimicking a primary ovarian neoplasm: A case report. Mol Clin Oncol 15: 135, 2021.
APA
Akizawa, Y., Kanno, T., Horibe, Y., Shimizu, Y., Noguchi, E., Yamamoto, T. ... Tabata, T. (2021). Ovarian metastasis from breast cancer mimicking a primary ovarian neoplasm: A case report. Molecular and Clinical Oncology, 15, 135. https://doi.org/10.3892/mco.2021.2297
MLA
Akizawa, Y., Kanno, T., Horibe, Y., Shimizu, Y., Noguchi, E., Yamamoto, T., Okamoto, T., Nagashima, Y., Tabata, T."Ovarian metastasis from breast cancer mimicking a primary ovarian neoplasm: A case report". Molecular and Clinical Oncology 15.1 (2021): 135.
Chicago
Akizawa, Y., Kanno, T., Horibe, Y., Shimizu, Y., Noguchi, E., Yamamoto, T., Okamoto, T., Nagashima, Y., Tabata, T."Ovarian metastasis from breast cancer mimicking a primary ovarian neoplasm: A case report". Molecular and Clinical Oncology 15, no. 1 (2021): 135. https://doi.org/10.3892/mco.2021.2297
Copy and paste a formatted citation
x
Spandidos Publications style
Akizawa Y, Kanno T, Horibe Y, Shimizu Y, Noguchi E, Yamamoto T, Okamoto T, Nagashima Y and Tabata T: Ovarian metastasis from breast cancer mimicking a primary ovarian neoplasm: A case report. Mol Clin Oncol 15: 135, 2021.
APA
Akizawa, Y., Kanno, T., Horibe, Y., Shimizu, Y., Noguchi, E., Yamamoto, T. ... Tabata, T. (2021). Ovarian metastasis from breast cancer mimicking a primary ovarian neoplasm: A case report. Molecular and Clinical Oncology, 15, 135. https://doi.org/10.3892/mco.2021.2297
MLA
Akizawa, Y., Kanno, T., Horibe, Y., Shimizu, Y., Noguchi, E., Yamamoto, T., Okamoto, T., Nagashima, Y., Tabata, T."Ovarian metastasis from breast cancer mimicking a primary ovarian neoplasm: A case report". Molecular and Clinical Oncology 15.1 (2021): 135.
Chicago
Akizawa, Y., Kanno, T., Horibe, Y., Shimizu, Y., Noguchi, E., Yamamoto, T., Okamoto, T., Nagashima, Y., Tabata, T."Ovarian metastasis from breast cancer mimicking a primary ovarian neoplasm: A case report". Molecular and Clinical Oncology 15, no. 1 (2021): 135. https://doi.org/10.3892/mco.2021.2297
Follow us
  • Twitter
  • LinkedIn
  • Facebook
About
  • Spandidos Publications
  • Careers
  • Cookie Policy
  • Privacy Policy
How can we help?
  • Help
  • Live Chat
  • Contact
  • Email to our Support Team