Spandidos Publications Logo
  • About
    • About Spandidos
    • Aims and Scopes
    • Abstracting and Indexing
    • Editorial Policies
    • Reprints and Permissions
    • Job Opportunities
    • Terms and Conditions
    • Contact
  • Journals
    • All Journals
    • Oncology Letters
      • Oncology Letters
      • Information for Authors
      • Editorial Policies
      • Editorial Board
      • Aims and Scope
      • Abstracting and Indexing
      • Bibliographic Information
      • Archive
    • International Journal of Oncology
      • International Journal of Oncology
      • Information for Authors
      • Editorial Policies
      • Editorial Board
      • Aims and Scope
      • Abstracting and Indexing
      • Bibliographic Information
      • Archive
    • Molecular and Clinical Oncology
      • Molecular and Clinical Oncology
      • Information for Authors
      • Editorial Policies
      • Editorial Board
      • Aims and Scope
      • Abstracting and Indexing
      • Bibliographic Information
      • Archive
    • Experimental and Therapeutic Medicine
      • Experimental and Therapeutic Medicine
      • Information for Authors
      • Editorial Policies
      • Editorial Board
      • Aims and Scope
      • Abstracting and Indexing
      • Bibliographic Information
      • Archive
    • International Journal of Molecular Medicine
      • International Journal of Molecular Medicine
      • Information for Authors
      • Editorial Policies
      • Editorial Board
      • Aims and Scope
      • Abstracting and Indexing
      • Bibliographic Information
      • Archive
    • Biomedical Reports
      • Biomedical Reports
      • Information for Authors
      • Editorial Policies
      • Editorial Board
      • Aims and Scope
      • Abstracting and Indexing
      • Bibliographic Information
      • Archive
    • Oncology Reports
      • Oncology Reports
      • Information for Authors
      • Editorial Policies
      • Editorial Board
      • Aims and Scope
      • Abstracting and Indexing
      • Bibliographic Information
      • Archive
    • Molecular Medicine Reports
      • Molecular Medicine Reports
      • Information for Authors
      • Editorial Policies
      • Editorial Board
      • Aims and Scope
      • Abstracting and Indexing
      • Bibliographic Information
      • Archive
    • World Academy of Sciences Journal
      • World Academy of Sciences Journal
      • Information for Authors
      • Editorial Policies
      • Editorial Board
      • Aims and Scope
      • Abstracting and Indexing
      • Bibliographic Information
      • Archive
    • International Journal of Functional Nutrition
      • International Journal of Functional Nutrition
      • Information for Authors
      • Editorial Policies
      • Editorial Board
      • Aims and Scope
      • Abstracting and Indexing
      • Bibliographic Information
      • Archive
    • International Journal of Epigenetics
      • International Journal of Epigenetics
      • Information for Authors
      • Editorial Policies
      • Editorial Board
      • Aims and Scope
      • Abstracting and Indexing
      • Bibliographic Information
      • Archive
    • Medicine International
      • Medicine International
      • Information for Authors
      • Editorial Policies
      • Editorial Board
      • Aims and Scope
      • Abstracting and Indexing
      • Bibliographic Information
      • Archive
  • Articles
  • Information
    • Information for Authors
    • Information for Reviewers
    • Information for Librarians
    • Information for Advertisers
    • Conferences
  • Language Editing
Spandidos Publications Logo
  • About
    • About Spandidos
    • Aims and Scopes
    • Abstracting and Indexing
    • Editorial Policies
    • Reprints and Permissions
    • Job Opportunities
    • Terms and Conditions
    • Contact
  • Journals
    • All Journals
    • Biomedical Reports
      • Information for Authors
      • Editorial Policies
      • Editorial Board
      • Aims and Scope
      • Abstracting and Indexing
      • Bibliographic Information
      • Archive
    • Experimental and Therapeutic Medicine
      • Information for Authors
      • Editorial Policies
      • Editorial Board
      • Aims and Scope
      • Abstracting and Indexing
      • Bibliographic Information
      • Archive
    • International Journal of Epigenetics
      • Information for Authors
      • Editorial Policies
      • Editorial Board
      • Aims and Scope
      • Abstracting and Indexing
      • Bibliographic Information
      • Archive
    • International Journal of Functional Nutrition
      • Information for Authors
      • Editorial Policies
      • Editorial Board
      • Aims and Scope
      • Abstracting and Indexing
      • Bibliographic Information
      • Archive
    • International Journal of Molecular Medicine
      • Information for Authors
      • Editorial Policies
      • Editorial Board
      • Aims and Scope
      • Abstracting and Indexing
      • Bibliographic Information
      • Archive
    • International Journal of Oncology
      • Information for Authors
      • Editorial Policies
      • Editorial Board
      • Aims and Scope
      • Abstracting and Indexing
      • Bibliographic Information
      • Archive
    • Medicine International
      • Information for Authors
      • Editorial Policies
      • Editorial Board
      • Aims and Scope
      • Abstracting and Indexing
      • Bibliographic Information
      • Archive
    • Molecular and Clinical Oncology
      • Information for Authors
      • Editorial Policies
      • Editorial Board
      • Aims and Scope
      • Abstracting and Indexing
      • Bibliographic Information
      • Archive
    • Molecular Medicine Reports
      • Information for Authors
      • Editorial Policies
      • Editorial Board
      • Aims and Scope
      • Abstracting and Indexing
      • Bibliographic Information
      • Archive
    • Oncology Letters
      • Information for Authors
      • Editorial Policies
      • Editorial Board
      • Aims and Scope
      • Abstracting and Indexing
      • Bibliographic Information
      • Archive
    • Oncology Reports
      • Information for Authors
      • Editorial Policies
      • Editorial Board
      • Aims and Scope
      • Abstracting and Indexing
      • Bibliographic Information
      • Archive
    • World Academy of Sciences Journal
      • Information for Authors
      • Editorial Policies
      • Editorial Board
      • Aims and Scope
      • Abstracting and Indexing
      • Bibliographic Information
      • Archive
  • Articles
  • Information
    • For Authors
    • For Reviewers
    • For Librarians
    • For Advertisers
    • Conferences
  • Language Editing
Login Register Submit
  • This site uses cookies
  • You can change your cookie settings at any time by following the instructions in our Cookie Policy. To find out more, you may read our Privacy Policy.

    I agree
Search articles by DOI, keyword, author or affiliation
Search
Advanced Search
presentation
Molecular and Clinical Oncology
Join Editorial Board Propose a Special Issue
Print ISSN: 2049-9450 Online ISSN: 2049-9469
Journal Cover
July-2021 Volume 15 Issue 1

Full Size Image

Sign up for eToc alerts
Recommend to Library

Journals

International Journal of Molecular Medicine

International Journal of Molecular Medicine

International Journal of Molecular Medicine is an international journal devoted to molecular mechanisms of human disease.

International Journal of Oncology

International Journal of Oncology

International Journal of Oncology is an international journal devoted to oncology research and cancer treatment.

Molecular Medicine Reports

Molecular Medicine Reports

Covers molecular medicine topics such as pharmacology, pathology, genetics, neuroscience, infectious diseases, molecular cardiology, and molecular surgery.

Oncology Reports

Oncology Reports

Oncology Reports is an international journal devoted to fundamental and applied research in Oncology.

Experimental and Therapeutic Medicine

Experimental and Therapeutic Medicine

Experimental and Therapeutic Medicine is an international journal devoted to laboratory and clinical medicine.

Oncology Letters

Oncology Letters

Oncology Letters is an international journal devoted to Experimental and Clinical Oncology.

Biomedical Reports

Biomedical Reports

Explores a wide range of biological and medical fields, including pharmacology, genetics, microbiology, neuroscience, and molecular cardiology.

Molecular and Clinical Oncology

Molecular and Clinical Oncology

International journal addressing all aspects of oncology research, from tumorigenesis and oncogenes to chemotherapy and metastasis.

World Academy of Sciences Journal

World Academy of Sciences Journal

Multidisciplinary open-access journal spanning biochemistry, genetics, neuroscience, environmental health, and synthetic biology.

International Journal of Functional Nutrition

International Journal of Functional Nutrition

Open-access journal combining biochemistry, pharmacology, immunology, and genetics to advance health through functional nutrition.

International Journal of Epigenetics

International Journal of Epigenetics

Publishes open-access research on using epigenetics to advance understanding and treatment of human disease.

Medicine International

Medicine International

An International Open Access Journal Devoted to General Medicine.

Journal Cover
July-2021 Volume 15 Issue 1

Full Size Image

Sign up for eToc alerts
Recommend to Library

  • Article
  • Citations
    • Cite This Article
    • Download Citation
    • Create Citation Alert
    • Remove Citation Alert
    • Cited By
  • Similar Articles
    • Related Articles (in Spandidos Publications)
    • Similar Articles (Google Scholar)
    • Similar Articles (PubMed)
  • Download PDF
  • Download XML
  • View XML
Article Open Access

Cytological and molecular diagnosis of Hürthle cell thyroid tumors: Analysis of three cases

  • Authors:
    • Sergei E. Titov
    • Tatiana L. Poloz
    • Yulia A. Veryaskina
    • Vladimir V. Anishchenko
  • View Affiliations / Copyright

    Affiliations: Department of The Structure and Function of Chromosomes, Institute of Molecular and Cellular Biology SB RAS, Novosibirsk 630090, Russia, Department of Cytopathology, Clinical Hospital RZD‑Medicine, Novosibirsk 630003, Russia, Department of Surgery, Novosibirsk State Medical University, Novosibirsk 630091, Russia
    Copyright: © Titov et al. This is an open access article distributed under the terms of Creative Commons Attribution License.
  • Article Number: 149
    |
    Published online on: May 28, 2021
       https://doi.org/10.3892/mco.2021.2311
  • Expand metrics +
Metrics: Total Views: 0 (Spandidos Publications: | PMC Statistics: )
Metrics: Total PDF Downloads: 0 (Spandidos Publications: | PMC Statistics: )
Cited By (CrossRef): 0 citations Loading Articles...

This article is mentioned in:



Abstract

The cytological diagnosis of Hürthle cell (oncocytic) thyroid tumors by means of fine‑needle aspiration biopsy represents a challenge, as Hürthle cell polymorphism and atypia alone are not indications of malignancy. In our recent work, an original diagnostic algorithm was proposed, which identified and typed malignant thyroid tumors by analyzing the molecular markers of cytological preparations. The aim of the present study was to assess the effectiveness of this algorithm at detecting Hürthle cell thyroid tumors in clinical samples used for cytological examination. Cytological and histological examinations of the biopsy material were performed for three patients with nodular neoplasms. Biopsy material of these patients was analyzed by quantitative PCR using preselected molecular markers [normalized concentrations of High‑mobility group AT‑hook 2 mRNA, three microRNAs (miRNAs or miRs; miR‑146b, miR‑221 and miR‑375) and the mitochondrial (mtDNA)/nuclear DNA ratio]. The results revealed that the molecular test determined the malignancy of three cases of Hürthle cell tumor. This method may therefore be used to complement the cytological diagnosis of fine‑needle aspiration biopsy. In all three cases, there was an increased content of mtDNA, indicating Hürthle cell malignancies. Furthermore, in the first case [Hürthle cell carcinoma (HCC)], increased miRNA‑221 content was detected, which also indicated malignancy. In the second case (Hürthle cell papillary thyroid carcinoma), an increased level of miRNA‑146b was present, which indicated papillary carcinoma. In the third case (Hürthle cell adenoma), no markers of malignancy were identified. The present study demonstrated that molecular testing together with cytological analysis can reduce the isk of error in the preoperative cytological diagnosis of unclear or ambivalent cases.

Introduction

Cytological examination of the thyroid gland by fine-needle aspiration biopsy (FNAB) of thyroid nodules is important for the verification of a pathology and for differential diagnosis between benign nodular neoplasms and malignant tumors (1-3).

Differential diagnosis of Hürthle cell (oncocytic) tumors of the thyroid gland represents a special problem. Hürthle cells are normally associated with lymphocytic thyroiditis (Hashimoto's disease) and multinodular goiters; however, these cells can also give rise to such tumors as Hürthle cell adenoma (HCA) and Hürthle cell carcinoma (HCC). The WHO Classification of Tumors has singled out HCA and HCC as nosological entities other than follicular tumors, because of morphological and genetic differences between these tumors (4). According to the Bethesda System for Reporting Thyroid Cytopathology 2018, HCA and HCC are in diagnostic category IV (suspicious for a follicular neoplasm), with molecular testing or surgical lobectomy recommended (1).

A typical feature of tumors that grow from Hürthle cells is that cellular atypia does not necessarily mean malignancy (1,5,6). FNAB material appears to consist exclusively of Hürthle cells with abundant finely granular cytoplasm, an enlarged central or eccentric round nucleus, and prominent nucleolus. Some cells are stand-alone entities, and others are in syncytial-like sheets. The oncocytes vary in size from giant cells to small monomorphic cells with a high nuclear-to-cytoplasmic ratio. Some cells feature marked anisonucleosis: A large hyperchromic nucleus with irregular contours of the nuclear membrane, sometimes with nuclear grooves and pseudo-inclusions.

As mentioned above, nuclear atypia, which is indicative of Hürthle cells, is by itself not a criterion for malignancy of a tumor. Hürthle cell patterns should be distinguished between nontumors (Hashimoto's disease and multinodular goiters) and tumors, including papillary thyroid carcinoma, follicular thyroid carcinoma, and medullary thyroid carcinoma. Cytologically, HCA and HCC are identical; accordingly, the diagnosis can be made only after histological examination following nodule resection. Consequently, due to additional molecular oncomarkers in FNAB, clinical decision making is expected to become easier, and prognoses may become more accurate.

Over the past decade, it has been demonstrated that microRNAs (miRNAs, miRs)-short (18- to 24-nucleotide-long) RNA molecules with an important role in post-transcriptional regulation of a large number of genes-can be used as biological oncomarkers (7-9). Levels of many miRNAs are substantially altered in diverse tumors, including thyroid neoplasms (10-12). Isolation and profiling of miRNA in the material used for cytological examination of thyroid nodules can improve diagnostic accuracy when combined with the cytological method of diagnosis.

In a recent study we described our original diagnostic algorithm to identify and type malignant thyroid tumors (including HCC) via analysis of a small number of molecular markers in FNAC preparations (levels of HMGA2 mRNA and miR-375, -221, and -146b in combination with the mitochondrial-to-nuclear DNA ratio) (13). It has already been validated on 122 samples (14), but at this validation, we did not focus on Hürthle cell tumors.

The aim of the present study was to assess the effectiveness of the same algorithm at detecting Hürthle cell thyroid tumors in three well-characterized samples obtained by FNAB and used for cytological examination.

Materials and methods

Clinical material

A cytological examination of the FNAB material and intraoperative imprint cytological analysis of the thyroid lesions were performed for three patients with nodular neoplasms. The cytological smears and intraoperative imprints was air-dried and stained by a standard procedure [May-Grünwald-Giemsa (MGG) staining]. Histological analysis of surgically removed thyroid tissue was conducted by staining tissue sections (5-µm thick) with hematoxylin and eosin. Briefly, after resection of the thyroid lobe, the tissue is fixed in formalin for 24 h at room temperature then histological processing of the tissue was carried out using vacuum infiltration processor Tissue-Tek® VIP™ 6 (Sakura Finetek Europe B.V., The Netherlands) with the routine overnight run program (processing time: 12.7 h, temp=40-58˚C). After sectioning of the paraffin-embedded tissue, the sections were manually stained with hematoxylin (NPF ABRIS+) and eosin (ErgoProduction), following a basic protocol: Dewaxing (with xylene), dehydration (ethanol then water), hematoxylin (10 min), differentiation (acid alcohol), bluing (aqueous ammonium hydroxide), eosin (5 min), dehydration (ethanol then water), clearing (xylene), cover-slipping. The preparations were examined under a light microscope with a magnification of 100 and 400. The preparations were examined under a light microscope with a magnification of 100 and 400. The histological and cytological material was obtained in accordance with Russian laws and regulations; all data were depersonalized.

Total-nucleic-acid isolation

Nucleic acid was isolated from the cytological preparations (reviewed in ref. 13). The dried cytological preparation was washed into a microcentrifuge tube with three 200 µl portions of guanidine lysis buffer, then the sample was vigorously mixed and incubated in a thermal shaker for 15 min at 65˚C. Next, an equal volume of isopropanol was added. The reaction solution was thoroughly mixed and kept at room temperature for 5 min. After centrifugation for 10 min at 14,00 x g, the supernatant was discarded, and the pellet was washed with 500 µl of 70% ethanol and 300 µl of acetone. Finally, the RNA was dissolved in 200 µl of deionized water. If not analyzed immediately, RNA samples were stored at -20˚C until further use.

Molecular analysis

Assessment of relative expression levels of the HMGA2 gene (normalized to housekeeping gene PGK1), miR-146b, -221, and -375 (normalized to the geometric mean of miR-29b, -23a, and -197 levels) and calculation of the ratio of mitochondrial DNA (mtDNA) to nuclear DNA (nDNA) were done as described previously (13). The details are presented below.

MiRNA detection and quantitation

The detection of the 6 miRNAs was performed on three samples of oncocytic tumors. To quantify miRNA, we followed the protocol published by Chen et al in 2005, which includes reverse transcription of mature miRNA using a long stem-loop primer followed by the detection of cDNA via real-time PCR (15). Reverse-transcription reactions were set up individually for each miRNA to be quantified. The obtained cDNA was subjected to further PCR analysis immediately. The reverse-transcription reaction and real-time PCR were carried out (reviewed in ref. 16). The miRNA content was normalized to the geometric mean of the amounts of the three reference miRNAs by the 2-ΔCq method (17).

Quantification of HMGA2 mRNA

The relative concentration of HMGA2 mRNA was estimated by real-time RT-PCR, where PGK1 (phosphoglycerate kinase 1) mRNA served for normalization. The following RT-PCR program was employed: Incubation for 30 min at 45˚C, preheating for 2 min at 95˚C, and then 50 cycles of denaturation for 10 sec at 94˚C with annealing and elongation for 20 sec at 60˚C (13). The relative expression level was calculated by the 2-ΔCq method.

Determination of the mtDNA/nDNA ratio

Detection of specific sites in mtDNA and nDNA was performed independently by real-time PCR. The thermal cycling conditions were as follows: Preheating for 2 min at 95˚C, then 50 cycles of denaturation for 10 sec at 94˚C with annealing and elongation for 20 sec at 60˚C (13). The ratio was determined with the 2-ΔCq method.

The classifier

The classification method (reviewed in ref. 13) was used (Fig. 1). Thus, the specimens are classified as either benign (goiters and follicular neoplasms without markers of malignancy) or malignant (papillary thyroid carcinoma, medullary thyroid carcinoma, HCC, and a follicular neoplasm with markers of malignancy). Additionally, the ratio of mtDNA to nDNA allows to determine whether a given case of papillary thyroid carcinoma can be categorized as the Hürthle cell type.

Figure 1

Decision tree for classifying samples into benign and malignant, and subsequent cancer typing. +/-, exceeding or not exceeding the established cutoff. BN, benign nodule; MTC, medullary thyroid carcinoma; PTC, papillary thyroid carcinoma; HTC, Hürthle cell thyroid carcinoma; FN-MM, follicular neoplasms with markers of malignancy.

Results

Case 1

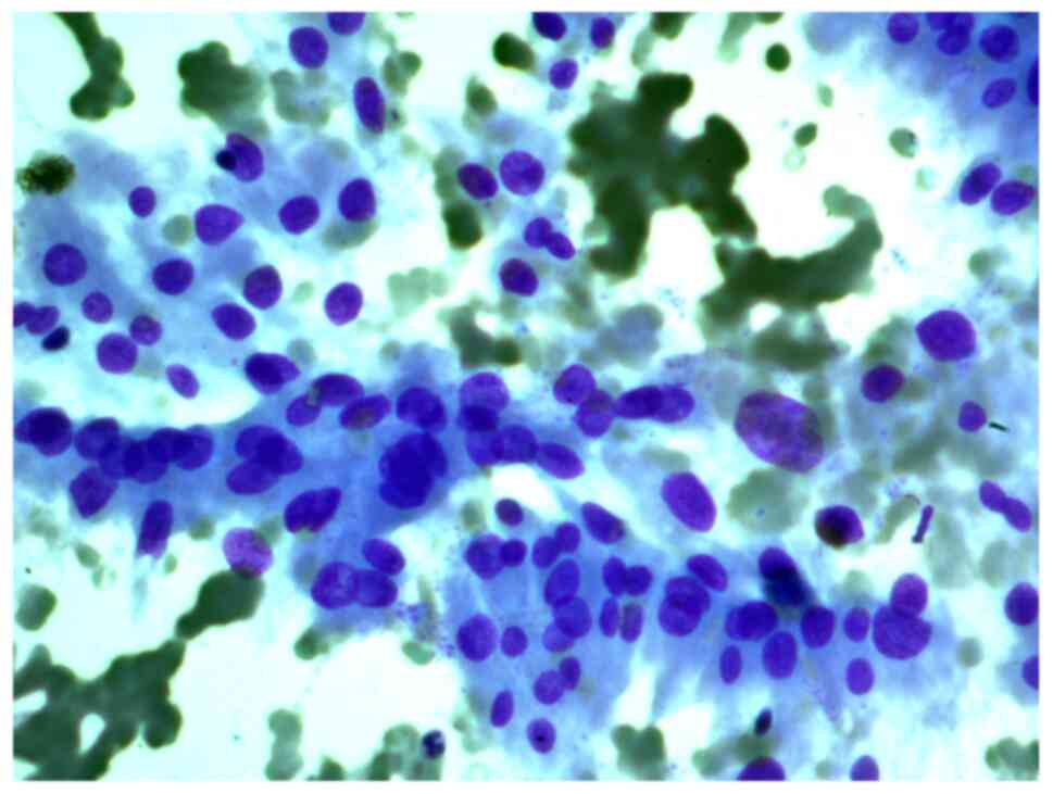
Aspirates of FNAB from a 34-year-old female patient with a 2 cm nodule in the left thyroid lobe were investigated. The cytological report stated that this was a Hürthle cell (oncocytic) neoplasm, and that in the studied samples, there were groups of Hürthle cells of various sizes, with subpopulations showing pronounced polymorphism, abundant fine-grained cytoplasm, an eccentrically or centrally located nucleus, and enlarged nucleolus (Figs. 2 and 3).

Figure 2

Follicular neoplasm of the Hürthle cell type (magnification, x400). Hürthle cells are arranged in syncytial-like sheets. The cells and nuclei are highly varied in size.

Figure 3

Follicular neoplasm of the Hürthle cell type (magnification, x400). Hürthle cells and nuclei are enlarged and markedly varied in size.

Three slides were examined, and the results are given in Table I; our final opinion was HCC. The histological report on the surgical material indicated that this was Hürthle cell (oncocytic) thyroid carcinoma, and that the trabecular structure prevailed in the tumor tissue, with minimal invasive growth into the capsule. The report also stated that the Hürthle cells that formed the tumor featured pronounced cellular and nuclear polymorphism, eosinophilic granular cytoplasm, and enlarged nucleoli.

Table I

Molecular analysis of the material on slides from case 1.

Table I

Molecular analysis of the material on slides from case 1.

VariableSlide 1Slide 2Slide 3Specimen classification cut-off valuesCancer characterization cut-off values
HMGA20.01390.00330.01300.092-
miR-146b-1.48-1.69-1.031.530.17
miR-221-1.741.15a1.75a0.01-
miR-375-131.56-54.00-192.44-12.125.25
mtDNA10,391a19,756a30,055a-5,716
OpinionBenign Hürthle cell tumorHCCHCC--

[i] aValues above the cutoff.

Case 2

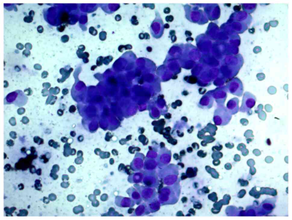
FNAB was performed on a 56-year-old female patient with a thyroid nodule. The cytological report indicated a suspected Hürthle cell (oncocytic) neoplasm and that the cellular aspirate consisted of cells with oncocytic signs, forming sporadic papillary structures; some cells had features characteristic of papillary carcinoma: Uneven nuclear contours and nuclear grooves. According to the cytological report, papillary thyroid carcinoma could not be ruled out (Figs. 4 and 5).

Figure 4

Follicular neoplasm of the Hürthle cell type (magnification, x400). Papillary-like structures, groups and isolated cells with abundant cytoplasm and marked anisonucleosis are presented. Various cells exhibit nuclear features of papillary thyroid carcinoma.

Figure 5

Follicular neoplasm of the Hürthle cell type (magnification, x400). Papillary-like structures and groups of Hürthle cells with nuclear features of papillary thyroid carcinoma are presented in single cells.

One slide was examined; the results are listed in Table II; our conclusion is Hürthle cell papillary thyroid carcinoma.

Table II

Molecular analysis of the material on a slide from case 2.

Table II

Molecular analysis of the material on a slide from case 2.

VariableSlide 1Specimen classification cut-off valuesCancer characterization cut-off values
HMGA20.00180.0920-
miR-146b1.61a1.530.17
miR-221-7.250.01-
miR-375-153.75-12.125.25
mtDNA8,257a-5,716
OpinionHürthle cell papillary thyroid carcinoma--

[i] aValues above the cutoff.

Total thyroidectomy was performed. The histological report stated that this was papillary thyroid carcinoma, and that the tumor tissue was predominantly papillar. Tumor cells belonged to the oncocytic type, with abundant eosinophilic granular cytoplasm and a moderately polymorphic nucleus with typical signs of papillary cancer. According to the report, the tumor showed invasive capsular growth, and there were regional lymph node metastases.

Case 3

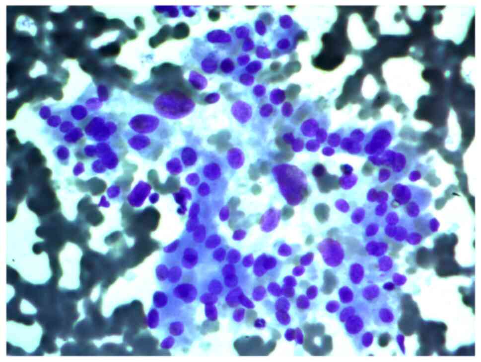
A 29-year-old woman with a solitary thyroid nodule in the right lobe. The cytological report on the FNAB samples indicated that this was a suspected Hürthle cell (oncocytic) neoplasm, and that in cytological samples, there were syncytial-like sheets and clusters of Hürthle cells with moderate cellular and nuclear polymorphism (Figs. 6 and 7).

Figure 6

Follicular neoplasm of the Hürthle cell type (magnification, x400). Monolayer sheets of cells demonstrating abundant cytoplasm, an enlarged nucleus and prominent nucleolus are demonstrated.

Figure 7

Follicular neoplasm of the Hürthle cell type (magnification, x400). Monolayer sheets and stand-alone cells with abundant cytoplasm, an enlarged nuclei and prominent nucleolus in some nuclei are presented.

One slide was examined; the results are presented in Table III; we concluded that this is a benign Hürthle cell tumor.

Table III

Molecular analysis of the material on a slide from case 3.

Table III

Molecular analysis of the material on a slide from case 3.

VariableSlide 1Specimen classification cut-off valuesCancer characterization cut-off values
HMGA20.00250.0920-
miR-146b-10.891.530.17
miR-221-10.530.01-
miR-375-157.04-12.125.25
mtDNA12,868a-5,716
OpinionBenign Hürthle cell tumor--

[i] aValues above the cutoff.

Surgical lobectomy was performed. The histological report stated that this was oncocytic adenoma, i.e., an encapsulated tumor with a solid and trabecular structure, consisting of cells of the oncocytic type, with abundant eosinophilic granular cytoplasm, a large nucleus, and enlarged nucleolus. According to this report, no capsular or vascular invasion was found.

We verified the validity of all the above reports. In the cases presented, the ratio of mtDNA to nDNA, which is a marker of Hürthle cells, was within previously described ranges (13) and helped to make the diagnoses (Fig. 8).

Figure 8

Mitochondrial DNA/nuclear DNA ratio in different tumor types and in cases 1-3. The figure presents the median (cross-section of a bar), upper and lower quartiles (upper and lower sides of a bar), the nonoutlier range (error bars) and outliers appearing as circles. MTC, medullar thyroid carcinoma; PTC, papillary thyroid carcinoma; HCC, Hürthle cell carcinoma; FN-MM, follicular neoplasm with markers of malignancy.

Discussion

In our recent study, we proposed an original version of the diagnostic algorithm that identifies and types malignant thyroid tumors via analysis of molecular markers in cytological preparations. This algorithm involves the ratio of mtDNA to nDNA as a criterion for the presence of Hürthle cells because these cells, according to the literature (18) and our original data, contain many more mitochondria than follicular cells do. This is apparently because at least in the thyroid gland, Hürthle cells exhibit decreased cellular performance (19). These data suggest a defect in the energy production machinery of the cells and indicate that the increased mitochondrial content may be compensatory.

It is now generally accepted that almost all histological types of benign and malignant thyroid tumors have a Hürthle cell counterpart (20). In these tumors, the Hürthle cell appearance is thought to represent a phenotype that is superimposed on the genotypic and conventional histopathologic features of the tumors. After the recognition of the clinicopathologic and genetic differences between PTC and FTC composed of Hürthle cells, it has been generally accepted that the Hürthle cell variant of PTC should be referred to as such, whereas the Hürthle cell variant of FTC may be designated simply as HCC (21) (the same implicitly follows from Fig. 7, if we compare the mtDNA content between FN-MM and HCC). It should be emphasized that the preoperative detection of FTC is a complex diagnostic problem, but our proposed algorithm allows this to be done reasonably accurately at least for the Hürthle cell variant of FTC (i.e., HCC).

Therefore, elevated mtDNA content of a tissue sample is indicative of Hürthle cells but not of malignancy. The hallmark of HCC is overexpression of miR-221. Although this upregulation alone is not unique to HCC, its combination with elevated mtDNA content is. This diagnostic algorithm can be applied to any cytological slides but primarily to Bethesda categories III and IV. The limitations of this method are the same as those for cytological analysis: An insufficient cell number in a sample and contamination with blood. These limitations may distort the result or prevent it from being obtained, however, this method is supposed to be used for samples that have already been analyzed by a cytologist, so that unsuitable samples will not be tested by our diagnostic algorithm.

At the moment, there is another diagnostic test that enables clinicians to identify benign and malignant Hürthle cell tumors: The Afirma Genomic Sequencing Classifier (GSC), which involves next-generation RNA sequencing. To identify Hürthle cell tumors, the GSC system includes two components: Hürthle cell index-mRNA expression plus mitochondrial transcripts as well as Hürthle neoplasm index-mRNA expression plus chromosomal level of loss of heterozygosity (22). Thus, just as in our algorithm, in the GSC, an estimate of the number of mitochondria is used to identify Hürthle cells (via determination of expression levels of mitochondrial genes). In contrast, malignancy is determined differently, through the assessment of genetic instability, whereas in our version, this is done via evaluation of the expression of miR-221, which is a simpler approach.

The main limitation of this study is the small number of samples involved (three). This is due to the relative rarity of Hürthle cell tumors, but this number is planned to increase over time. As far as the analyzed cases are concerned, the use of molecular markers in the analysis of cytological material helped to make a correct diagnosis preoperatively, demonstrating potential usefulness of this approach for addressing and solving cytologically unclear or ambivalent cases.

Acknowledgements

Not applicable.

Funding

The present study was supported by the Russian Science Foundation (grant no. 20-14-00074).

Availability of data and materials

The datasets used and/or analyzed during the current study are available from the corresponding author on request.

Authors' contributions

ST and TLP conceived the current study. TLP and VVA collected patient samples. ST, YAV, and TLP conducted the experiments. ST and TLP wrote the manuscript. VVA and YAV revised the manuscript. VVA interpreted the data and gave final approval for the manuscript to be published. All the authors read and approved the final manuscript.

Ethics approval and consent to participate

The Ethical Committee of the Clinical Hospital RZD-Medicine approved the study protocol. The procedures in the present study adhere to the tenets of the Declaration of Helsinki. Written informed consent was obtained from all the participating patients.

Patient consent for publication

Not applicable.

Competing interests

The authors declare that they have no competing interests.

References

1 

Ali SZ and Cibas ES (eds.): The Bethesda System for Reporting Thyroid Cytopathology. Springer, New York, NY, 2018.

2 

Baloch ZW, LiVolshi VA, Asa SL, Rosai J, Merino MJ, Randolph G, Vielh P, DeMay RM, Sidawy MK and Frable WJ: Diagnostic terminology and morphologic criteria for cytologic diagnosis of thyroid lesions: A synopsis of the national cancer institute thyroid fine-needle aspiration state of the science conference. Diagn Cytopathol. 36:425–437. 2008.PubMed/NCBI View Article : Google Scholar

3 

Nguyen GK, Lee MW, Ginsberg J, Wragg T and Bilodeau D: Fine-needle aspiration of the thyroid: An overview. Cytojournal. 2(12)2005.PubMed/NCBI View Article : Google Scholar

4 

Lloyd RV, Osamura RY, Klöppel G and Rosai J (eds): WHO Classification of Tumours of Endocrine Organs. IARC, Lyon, 2017.

5 

Montone KT, Baloch ZW and LiVolsi VA: The thyroid Hürthle (oncocytic) cell and its associated pathologic conditions: A surgical pathology and cytopathology review. Arch Pathol Lab Med. 132:1241–1250. 2008.PubMed/NCBI View Article : Google Scholar

6 

Nikiforov YE, Biddinger PW, Thompson LDR and Nikiforova MN (eds): Diagnostic Pathology and Molecular Genetics of the Thyroid. Lippincott Williams & Wilkins, Piladelphia, PA, 2009.

7 

Lagos-Quintana M, Rauhut R, Lendeckel W and Tuschl T: Identification of novel genes coding for small expressed RNAs. Science. 294:853–858. 2001.PubMed/NCBI View Article : Google Scholar

8 

Wang J, Chen J and Sen S: MicroRNA as biomarkers and diagnostics. J Cell Physiol. 231:25–30. 2016.PubMed/NCBI View Article : Google Scholar

9 

Nikiforova MN, Tseng GC, Steward D, Diorio D and Nikiforov YE: MicroRNA expression profiling of thyroid tumors: Biological significance and diagnostic utility. J Clin Endocrinol Metab. 93:1600–1608. 2008.PubMed/NCBI View Article : Google Scholar

10 

Cancer Genome Atlas Research Network. Integrated genomic characterization of papillary thyroid carcinoma. Cell. 159:676–690. 2014.PubMed/NCBI View Article : Google Scholar

11 

Pallante P, Battista S, Pierantoni GM and Fusco A: Deregulation of microRNA expression in thyroid neoplasias. Nat Rev Endocrinol. 10:88–101. 2014.PubMed/NCBI View Article : Google Scholar

12 

Swierniak M, Wojcicka A, Czetwertynska M, Stachlewska E, Maciag M, Wiechno W, Gornicka B, Bogdanska M, Koperski L, de la Chapelle A and Jazdzewski K: In-depth characterization of the microRNA transcriptome in normal thyroid and papillary thyroid carcinoma. J Clin Endocrinol Metab. 98:E1401–E1409. 2013.PubMed/NCBI View Article : Google Scholar

13 

Titov SE, Ivanov MK, Demenkov PS, Katanyan GA, Kozorezova ES, Malek AV, Veryaskina YA and Zhimulev IF: Combined quantitation of HMGA2 mRNA, microRNAs, and mitochondrial-DNA content enables the identification and typing of thyroid tumors in fine-needle aspiration smears. BMC Cancer. 19(1010)2019.PubMed/NCBI View Article : Google Scholar

14 

Titov S, Demenkov PS, Lukyanov SA, Sergiyko SV, Katanyan GA, Veryaskina YA and Ivanov MK: Preoperative detection of malignancy in fine-needle aspiration cytology (FNAC) smears with indeterminate cytology (Bethesda III, IV) by a combined molecular classifier. J Clin Pathol. 73:722–727. 2020.PubMed/NCBI View Article : Google Scholar

15 

Chen C, Ridzon DA, Broomer AJ, Zhou Z, Lee DH, Nguyen JT, Barbisin M, Xu NL, Mahuvakar VR, Andersen MR, et al: Real-time quantification of microRNAs by stem-loop RT-PCR. Nucleic Acids Res. 33(e179)2005.PubMed/NCBI View Article : Google Scholar

16 

Titov SE, Ivanov MK, Karpinskaya EV, Tsivlikova EV, Shevchenko SP, Veryaskina YA, Akhmerova LG, Poloz TL, Klimova OA, Gulyaeva LF, et al: miRNA profiling, detection of BRAF V600E mutation and RET-PTC1 translocation in patients from Novosibirsk oblast (Russia) with different types of thyroid tumors. BMC Cancer. 16(201)2016.PubMed/NCBI View Article : Google Scholar

17 

Livak KJ and Schmittgen TD: Analysis of relative gene expression data using real-time quantitative PCR and the 2(-Delta Delta C(T)) method. Methods. 25:402–408. 2001.PubMed/NCBI View Article : Google Scholar

18 

Cannon J: The Significance of Hürthle Cells in Thyroid Disease. Oncologist. 16:1380–1387. 2011.PubMed/NCBI View Article : Google Scholar

19 

Valenta LJ, Michel-Bechet M, Warshaw JB and Maloof F: Human thyroid tumors composed of mitochondrion-rich cells: Electron microscopic and biochemical findings. J Clin Endocrinol Metab. 39:719–733. 1974.PubMed/NCBI View Article : Google Scholar

20 

Sobrinho-Simoes M, Asa SL, Kroll TG, Nikiforov YE, DeLellis RA, Farid P, Kitamura Y, Noguchi S, Eng C, Harach HR, et al: Follicular carcinoma. In: World Health Organization Classification of Tumours. Pathology and Genetics of Tumours of Endocrine Organs. deLellis RA, Lloyd RV, Heitz PU and Eng C (eds). IARC Press, Lyon, pp 67-72, 2004.

21 

Máximo V, Lima J, Prazeres H, Soares P and Sobrinho-Simões M: The biology and the genetics of Hurthle cell tumors of the thyroid. Endocr Relat Cancer. 19:R131–R147. 2012.PubMed/NCBI View Article : Google Scholar

22 

Patel KN, Angell TE, Babiarz J, Barth NM, Blevins T, Duh QY, Ghossein RA, Harrell RM, Huang J, Kennedy GC, et al: Performance of a genomic sequencing classifier for the preoperative diagnosis of cytologically indeterminate thyroid nodules. JAMA Surg. 153:817–824. 2018.PubMed/NCBI View Article : Google Scholar

Related Articles

  • Abstract
  • View
  • Download
  • Twitter
Copy and paste a formatted citation
Spandidos Publications style
Titov SE, Poloz TL, Veryaskina YA and Anishchenko VV: Cytological and molecular diagnosis of Hürthle cell thyroid tumors: Analysis of three cases. Mol Clin Oncol 15: 149, 2021.
APA
Titov, S.E., Poloz, T.L., Veryaskina, Y.A., & Anishchenko, V.V. (2021). Cytological and molecular diagnosis of Hürthle cell thyroid tumors: Analysis of three cases. Molecular and Clinical Oncology, 15, 149. https://doi.org/10.3892/mco.2021.2311
MLA
Titov, S. E., Poloz, T. L., Veryaskina, Y. A., Anishchenko, V. V."Cytological and molecular diagnosis of Hürthle cell thyroid tumors: Analysis of three cases". Molecular and Clinical Oncology 15.1 (2021): 149.
Chicago
Titov, S. E., Poloz, T. L., Veryaskina, Y. A., Anishchenko, V. V."Cytological and molecular diagnosis of Hürthle cell thyroid tumors: Analysis of three cases". Molecular and Clinical Oncology 15, no. 1 (2021): 149. https://doi.org/10.3892/mco.2021.2311
Copy and paste a formatted citation
x
Spandidos Publications style
Titov SE, Poloz TL, Veryaskina YA and Anishchenko VV: Cytological and molecular diagnosis of Hürthle cell thyroid tumors: Analysis of three cases. Mol Clin Oncol 15: 149, 2021.
APA
Titov, S.E., Poloz, T.L., Veryaskina, Y.A., & Anishchenko, V.V. (2021). Cytological and molecular diagnosis of Hürthle cell thyroid tumors: Analysis of three cases. Molecular and Clinical Oncology, 15, 149. https://doi.org/10.3892/mco.2021.2311
MLA
Titov, S. E., Poloz, T. L., Veryaskina, Y. A., Anishchenko, V. V."Cytological and molecular diagnosis of Hürthle cell thyroid tumors: Analysis of three cases". Molecular and Clinical Oncology 15.1 (2021): 149.
Chicago
Titov, S. E., Poloz, T. L., Veryaskina, Y. A., Anishchenko, V. V."Cytological and molecular diagnosis of Hürthle cell thyroid tumors: Analysis of three cases". Molecular and Clinical Oncology 15, no. 1 (2021): 149. https://doi.org/10.3892/mco.2021.2311
Follow us
  • Twitter
  • LinkedIn
  • Facebook
About
  • Spandidos Publications
  • Careers
  • Cookie Policy
  • Privacy Policy
How can we help?
  • Help
  • Live Chat
  • Contact
  • Email to our Support Team