Spandidos Publications Logo
  • About
    • About Spandidos
    • Aims and Scopes
    • Abstracting and Indexing
    • Editorial Policies
    • Reprints and Permissions
    • Job Opportunities
    • Terms and Conditions
    • Contact
  • Journals
    • All Journals
    • Oncology Letters
      • Oncology Letters
      • Information for Authors
      • Editorial Policies
      • Editorial Board
      • Aims and Scope
      • Abstracting and Indexing
      • Bibliographic Information
      • Archive
    • International Journal of Oncology
      • International Journal of Oncology
      • Information for Authors
      • Editorial Policies
      • Editorial Board
      • Aims and Scope
      • Abstracting and Indexing
      • Bibliographic Information
      • Archive
    • Molecular and Clinical Oncology
      • Molecular and Clinical Oncology
      • Information for Authors
      • Editorial Policies
      • Editorial Board
      • Aims and Scope
      • Abstracting and Indexing
      • Bibliographic Information
      • Archive
    • Experimental and Therapeutic Medicine
      • Experimental and Therapeutic Medicine
      • Information for Authors
      • Editorial Policies
      • Editorial Board
      • Aims and Scope
      • Abstracting and Indexing
      • Bibliographic Information
      • Archive
    • International Journal of Molecular Medicine
      • International Journal of Molecular Medicine
      • Information for Authors
      • Editorial Policies
      • Editorial Board
      • Aims and Scope
      • Abstracting and Indexing
      • Bibliographic Information
      • Archive
    • Biomedical Reports
      • Biomedical Reports
      • Information for Authors
      • Editorial Policies
      • Editorial Board
      • Aims and Scope
      • Abstracting and Indexing
      • Bibliographic Information
      • Archive
    • Oncology Reports
      • Oncology Reports
      • Information for Authors
      • Editorial Policies
      • Editorial Board
      • Aims and Scope
      • Abstracting and Indexing
      • Bibliographic Information
      • Archive
    • Molecular Medicine Reports
      • Molecular Medicine Reports
      • Information for Authors
      • Editorial Policies
      • Editorial Board
      • Aims and Scope
      • Abstracting and Indexing
      • Bibliographic Information
      • Archive
    • World Academy of Sciences Journal
      • World Academy of Sciences Journal
      • Information for Authors
      • Editorial Policies
      • Editorial Board
      • Aims and Scope
      • Abstracting and Indexing
      • Bibliographic Information
      • Archive
    • International Journal of Functional Nutrition
      • International Journal of Functional Nutrition
      • Information for Authors
      • Editorial Policies
      • Editorial Board
      • Aims and Scope
      • Abstracting and Indexing
      • Bibliographic Information
      • Archive
    • International Journal of Epigenetics
      • International Journal of Epigenetics
      • Information for Authors
      • Editorial Policies
      • Editorial Board
      • Aims and Scope
      • Abstracting and Indexing
      • Bibliographic Information
      • Archive
    • Medicine International
      • Medicine International
      • Information for Authors
      • Editorial Policies
      • Editorial Board
      • Aims and Scope
      • Abstracting and Indexing
      • Bibliographic Information
      • Archive
  • Articles
  • Information
    • Information for Authors
    • Information for Reviewers
    • Information for Librarians
    • Information for Advertisers
    • Conferences
  • Language Editing
Spandidos Publications Logo
  • About
    • About Spandidos
    • Aims and Scopes
    • Abstracting and Indexing
    • Editorial Policies
    • Reprints and Permissions
    • Job Opportunities
    • Terms and Conditions
    • Contact
  • Journals
    • All Journals
    • Biomedical Reports
      • Information for Authors
      • Editorial Policies
      • Editorial Board
      • Aims and Scope
      • Abstracting and Indexing
      • Bibliographic Information
      • Archive
    • Experimental and Therapeutic Medicine
      • Information for Authors
      • Editorial Policies
      • Editorial Board
      • Aims and Scope
      • Abstracting and Indexing
      • Bibliographic Information
      • Archive
    • International Journal of Epigenetics
      • Information for Authors
      • Editorial Policies
      • Editorial Board
      • Aims and Scope
      • Abstracting and Indexing
      • Bibliographic Information
      • Archive
    • International Journal of Functional Nutrition
      • Information for Authors
      • Editorial Policies
      • Editorial Board
      • Aims and Scope
      • Abstracting and Indexing
      • Bibliographic Information
      • Archive
    • International Journal of Molecular Medicine
      • Information for Authors
      • Editorial Policies
      • Editorial Board
      • Aims and Scope
      • Abstracting and Indexing
      • Bibliographic Information
      • Archive
    • International Journal of Oncology
      • Information for Authors
      • Editorial Policies
      • Editorial Board
      • Aims and Scope
      • Abstracting and Indexing
      • Bibliographic Information
      • Archive
    • Medicine International
      • Information for Authors
      • Editorial Policies
      • Editorial Board
      • Aims and Scope
      • Abstracting and Indexing
      • Bibliographic Information
      • Archive
    • Molecular and Clinical Oncology
      • Information for Authors
      • Editorial Policies
      • Editorial Board
      • Aims and Scope
      • Abstracting and Indexing
      • Bibliographic Information
      • Archive
    • Molecular Medicine Reports
      • Information for Authors
      • Editorial Policies
      • Editorial Board
      • Aims and Scope
      • Abstracting and Indexing
      • Bibliographic Information
      • Archive
    • Oncology Letters
      • Information for Authors
      • Editorial Policies
      • Editorial Board
      • Aims and Scope
      • Abstracting and Indexing
      • Bibliographic Information
      • Archive
    • Oncology Reports
      • Information for Authors
      • Editorial Policies
      • Editorial Board
      • Aims and Scope
      • Abstracting and Indexing
      • Bibliographic Information
      • Archive
    • World Academy of Sciences Journal
      • Information for Authors
      • Editorial Policies
      • Editorial Board
      • Aims and Scope
      • Abstracting and Indexing
      • Bibliographic Information
      • Archive
  • Articles
  • Information
    • For Authors
    • For Reviewers
    • For Librarians
    • For Advertisers
    • Conferences
  • Language Editing
Login Register Submit
  • This site uses cookies
  • You can change your cookie settings at any time by following the instructions in our Cookie Policy. To find out more, you may read our Privacy Policy.

    I agree
Search articles by DOI, keyword, author or affiliation
Search
Advanced Search
presentation
Molecular and Clinical Oncology
Join Editorial Board Propose a Special Issue
Print ISSN: 2049-9450 Online ISSN: 2049-9469
Journal Cover
September-2021 Volume 15 Issue 3

Full Size Image

Sign up for eToc alerts
Recommend to Library

Journals

International Journal of Molecular Medicine

International Journal of Molecular Medicine

International Journal of Molecular Medicine is an international journal devoted to molecular mechanisms of human disease.

International Journal of Oncology

International Journal of Oncology

International Journal of Oncology is an international journal devoted to oncology research and cancer treatment.

Molecular Medicine Reports

Molecular Medicine Reports

Covers molecular medicine topics such as pharmacology, pathology, genetics, neuroscience, infectious diseases, molecular cardiology, and molecular surgery.

Oncology Reports

Oncology Reports

Oncology Reports is an international journal devoted to fundamental and applied research in Oncology.

Experimental and Therapeutic Medicine

Experimental and Therapeutic Medicine

Experimental and Therapeutic Medicine is an international journal devoted to laboratory and clinical medicine.

Oncology Letters

Oncology Letters

Oncology Letters is an international journal devoted to Experimental and Clinical Oncology.

Biomedical Reports

Biomedical Reports

Explores a wide range of biological and medical fields, including pharmacology, genetics, microbiology, neuroscience, and molecular cardiology.

Molecular and Clinical Oncology

Molecular and Clinical Oncology

International journal addressing all aspects of oncology research, from tumorigenesis and oncogenes to chemotherapy and metastasis.

World Academy of Sciences Journal

World Academy of Sciences Journal

Multidisciplinary open-access journal spanning biochemistry, genetics, neuroscience, environmental health, and synthetic biology.

International Journal of Functional Nutrition

International Journal of Functional Nutrition

Open-access journal combining biochemistry, pharmacology, immunology, and genetics to advance health through functional nutrition.

International Journal of Epigenetics

International Journal of Epigenetics

Publishes open-access research on using epigenetics to advance understanding and treatment of human disease.

Medicine International

Medicine International

An International Open Access Journal Devoted to General Medicine.

Journal Cover
September-2021 Volume 15 Issue 3

Full Size Image

Sign up for eToc alerts
Recommend to Library

  • Article
  • Citations
    • Cite This Article
    • Download Citation
    • Create Citation Alert
    • Remove Citation Alert
    • Cited By
  • Similar Articles
    • Related Articles (in Spandidos Publications)
    • Similar Articles (Google Scholar)
    • Similar Articles (PubMed)
  • Download PDF
  • Download XML
  • View XML
Case Report Open Access

Pituitary apoplexy without chiasm compression: A case report

  • Authors:
    • Martin Kynčl
    • Zdeněk Kasl
    • Štěpán Rusňák
    • Marketa Sobotová
    • Michal Krčma
    • Jaroslav Tintěra
    • Martin Fůs
    • Jan Lešták
  • View Affiliations / Copyright

    Affiliations: Faculty of Biomedical Engineering, Czech Technical University in Prague, 272 01 Kladno, Czech Republic, Department of Ophthalmology, University Hospital in Pilsen, 301 00 Pilsen, Czech Republic, First Clinic of Internal Medicine, Department of Endocrinology, University Hospital in Pilsen, 301 00 Pilsen, Czech Republic
    Copyright: © Kynčl et al. This is an open access article distributed under the terms of Creative Commons Attribution License.
  • Article Number: 176
    |
    Published online on: June 30, 2021
       https://doi.org/10.3892/mco.2021.2338
  • Expand metrics +
Metrics: Total Views: 0 (Spandidos Publications: | PMC Statistics: )
Metrics: Total PDF Downloads: 0 (Spandidos Publications: | PMC Statistics: )
Cited By (CrossRef): 0 citations Loading Articles...

This article is mentioned in:



Abstract

The present report presents a rare case in which a patient with pituitary apoplexy (PA) without compression of the optic chiasm experienced diagnosable visual impairment in the ensuing months. Endocrinologically, the condition was a prolactinoma followed by bleeding into the pituitary gland. Due to the unexplained functional changes in the patient, an electrophysiological examination (pattern electroretinogram and pattern visual evoked potentials) was performed, which verified a bilateral non‑inflammatory neurogenic lesion. This finding was confirmed by functional magnetic resonance imaging (fMRI) examination. Structural MRI did not reveal chiasm compression in the time sequence or alteration of the optic nerves (the diameter of the optic nerve at different distances from the eye and the diameter of the optic nerve sheath at different distances from the eye). Similarly, neither the retinal nerve fiber layer (RNFL) nor the vessel density was altered. The present report suggests that changes in visual fields may be due to ischemia in the area of the chiasm and optic nerves, similar to PA.

Introduction

Pituitary apoplexy (PA) is a relatively rare syndrome with characteristic features; early diagnosis and treatment can be crucial in saving a patient's vision and life. This condition is caused by sudden and extensive bleeding into a tumor of the anterior lobe of the pituitary gland, which is the cause or consequence of acute necrosis (1). PA is rare, with an estimated prevalence of ~ 6.2 cases per 100,000 inhabitants (2).

The clinical syndrome of PA is well known. The pathological-anatomical finding of pituitary adenoma infarction was described in sudden and unexpected deaths by Brougham et al in 1950 and designated PA. It was believed that the cause of necrosis and bleeding is the rapid growth of the tumor, which exceeds the capacity of the blood supply. Swollen tumor masses further compress blood vessels and worsen ischemia (3).

The complete clinical findings are characterized by the following: i) Sudden-onset severe headache, mostly at the front of the head and behind the eyes, progressing to coma and often meningeal symptoms. ii) Rapid development of visual impairment, often bilateral amaurosis. iii) Extraocular muscle palsies-often bilateral total ophthalmoplegia and innervation disorders in the trigeminal area. iv) Cerebrospinal fluid findings such as xanthochromia, pleocytosis, erythrocytes, and increased protein levels.

However, the above list may be incomplete, and symptoms may be laterally asymmetric. Acute expansion of the necrotic and hemorrhagic adenoma is directed to the sides and compresses the structures of the cavernous sinus, as well as upwards through the diaphragm sellae, and affects the optic chiasm and hypothalamic centers on the floor of the third ventricle (1).

The cause of PA is not always adenoma. Cases of nonadenomatous lesions, including hypophysitis (4,5), metastasis to the pituitary gland [especially renal cell carcinoma (6)], craniopharyngioma, Rathke's cleft cyst (7,8) and sellar hemangioblastoma, have been described (9).

The precise pathophysiology is not completely understood. A proposed hypothesis involves tumor vascular occlusion due to tumor growth, tumor blood flux reduction, and abnormal tumor (immature) vascularization. VEGF mRNA levels may be increased in pituitary tumors, especially in nonfunctioning pituitary adenomas, which could be related to abnormal vascularization (10).

As the usual trigger for angiogenesis is not present, vasculopathy may occur in apoplectic tumors. Four categories of triggering factors have been suggested: i) Vascular flux reduction: From surgery, especially cardiac surgery, radiotherapy, and postspinal anesthesia. ii) Acute increases in blood flow: From physical activity and systemic hypertension. iii) Pituitary stimulation: Provocative pituitary tests, especially from TRH and GnRH analog use. iv) Coagulation disturbances: From thrombocytopenia and anticoagulation.

A more detailed analysis of 42 studies on possible inducing factors in PA is given in the summary study of Capatina et al (11).

The same authors report ophthalmologic abnormalities in 85% of cases (rapid decrease in visual acuity in 39-56% of cases, unilateral or bilateral blindness exceeding 39% of cases, visual field changes in 36-71% of cases, and oculomotor disorders in 40-78% of cases).

Similar results were reported by other authors who analyzed eight studies in patients with PA. They reported changes in visual fields in 33.3-82% of cases and ophthalmoplegia in 36.8-83% of cases (12).

In all of the abovementioned studies, the chiasm was compressed with a hemorrhagic tumor. Although our patient did not show a similar compression of the visual pathway, there were still visual impairments, which we would like to present in this case report.

Case report

In March 2019, a patient (born in 1975) with a history of renal colic experienced headache and pain in the right half of the face, including teeth predominantly on the right side. He went to sleep and, after waking up, was disoriented. He experienced blurred vision of the right eye and restriction of the visual field in the upper periphery. He sought out an ophthalmologist who removed a foreign body from his cornea. Any other ocular abnormalities were not detected. In July 2019, he was examined at an eye clinic for continued decreased vision in his right eye. The visual acuity of the right eye was 0.3 naturally, 0.7 with astigmatism correction -1.5 D cyl. ax. 80˚, and the visual acuity of the left eye was 0.7 naturally, 1.0 with astigmatism correction +0.75 D cyl. ax. 90˚. Ocular findings, including perimetric examination, were normal. There was a small nubecula in the paracentral area of the right cornea.

In August 2019, the visual acuity with the same correction was 0.9 in the right eye and 1.0 in the left eye during follow-up examination. Ocular findings, including visual field tests, were normal. Optical coherence tomography (OCT) also showed normal RNFL thickness.

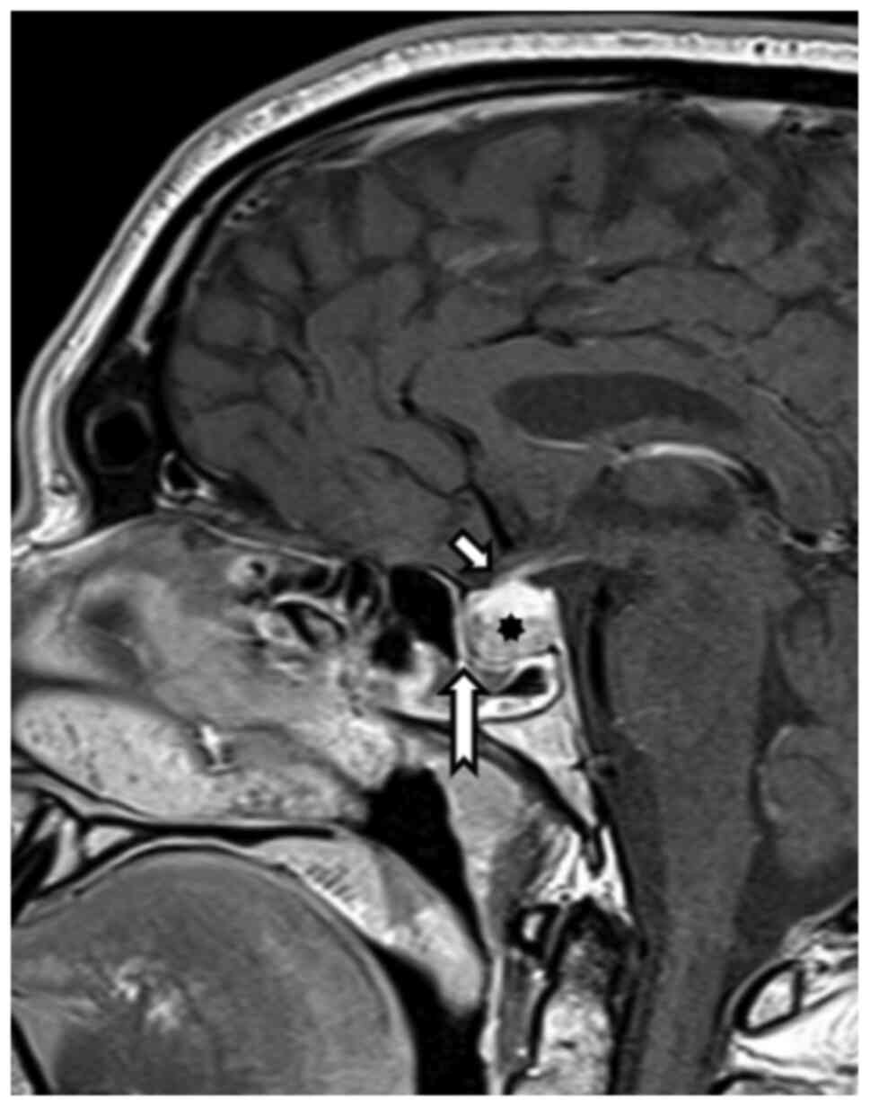
Because of the reduced visual acuity, MRI examination was recommended, which revealed (August 2019) expansion of the Turkish saddle with hemorrhage, with probable benign etiology. The pituitary gland itself was pushed away ventrally (Fig. 1).

Figure 1

Magnetic resonance imaging, T1 postcontrast sequence, sagittal plane. Examination 5/8/2019. Non-homogeneous hypophysis expansion matched the most suspicious bleeding. There was no contact with the optic chiasm. Ventral and cranial infundibulum dislocation was evident. Short arrow indicates chiasm, long arrow indicates tuberculum sellae and asterisk indicates hypophysis.

Endocrinological examination was recommended for abnormalities in Turkish saddles. In September 2019, the patient was examined endocrinologically for the first time. A pituitary adenoma measuring 12x14x16 mm was found during MRI examination. From the patient's own account, he had experienced occasional headaches and erectile dysfunction that had slowly worsened over the prior 12 years, without further symptomatology. Physical findings were normal, and gynecomastia was not present. The laboratory results showed a moderate elevation of prolactin (4983 mIU/l) and low testosterone (5.6 nmol/l) with low LH (0.9 mIU/l), indicative of central hypogonadism; the other pituitary axes were normal in function. A secondary laboratory finding in the patient was prolonged aPTT, and further investigation showed mild coagulation factor XII deficiency (35%). This deficiency does not cause bleeding; in contrast, more severe deficits may increase the risk of thrombosis. Only preventive anticoagulant treatment at the time of reduced mobility after possible surgery was recommended by the hematologist.

Treatment with cabergoline was initiated at a dose of 0.25 mg once a week with slow, gradual titration (to a maximum dose of 0.5 mg per day). During the next follow-up visit in November 2019, the prolactin level had decreased to 416 mg/l, and adenoma size was reduced according to MRI examination. The patient was also free of headaches. At another follow-up in January 2020, the patient reported a complete remission of erectile dysfunction; the patient's prolactin level was normal (158 mIU/l), correction of central hypogonadism was evident in the laboratory results (testosterone 10.8 nmol/l), and the other pituitary axes remained normal.

During follow-up visits in March 2020 and May 2020, normal laboratory and clinical findings were present, except for the reported visual impairment. Cabergoline treatment was reduced to 0.5 mg 5 times a week, and in the follow-up visit in September 2020, the dosage was further reduced to 0.5 mg 3 times a week. The physiological hormonal profile demonstrated suppression of prolactin levels.

Thus, from an endocrinological point of view, the finding can be concluded as a macroprolactinoma without compression symptoms of other pituitary axes, with a good clinical, laboratory and graphical response to the usual cabergoline treatment, which does not correspond to the progression of visual field defects.

The control MRI examination in 11/2019 showed a reduction in cystic expansion in the Turkish saddle; the other findings did not show significant changes.

Another ophthalmologic examination occurred in 12/2019. Subjectively, the patient complained of decreased visual acuity of the right eye, occasional periocular pain, and headaches but denied other problems.

Right eye VA: 0.4 s=1.5 cyl. ax. 82 st. Left eye VA: 1.0 s -0.75 cyl. ax. 90. Intraocular pressure (IOP): 13/15 mmHg.

The ocular findings were normal except inactive nubecula on the cornea of the right eye after foreign body removal. Perimetric examination showed complete temporal hemianopsia on the right, while examination of the left eye was normal. RNFL remained, without signs of progression.

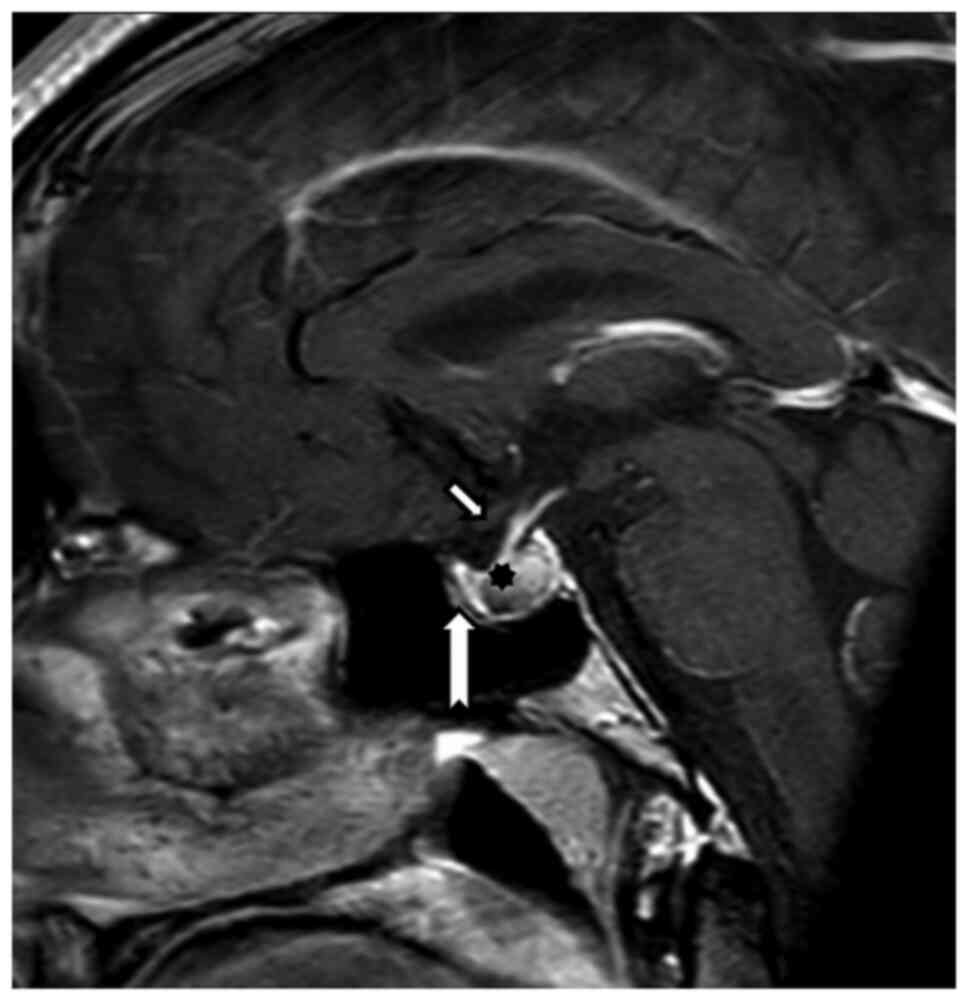
Magnetic resonance imaging from 12/2020 showed a regression of pituitary expansion. There was a clearly defined distance of the chiasm and cranial contour of the pituitary gland and a common location of the infundibulum (Fig. 2).

Figure 2

Control magnetic resonance imaging at a time when the first perimetric changes had appeared. T1 postcontrast sequence, sagittal plane. Regression of the hypophyseal expansion. A clearly defined distance between the chiasm and the cranial hypophyseal contour, with a regular infundibulum position. Short arrow indicates chiasm, long arrow indicates tuberculum sellae and asterisk indicates hypophysis.

The eye examination in 1/2020 showed no changes compared with the examination in 12/2019. When examined in 2/2020, the VA of the right eye had decreased to 0.3 with correction. Other findings showed no evidence of progression. One month after this examination, there was a further decrease in VA of the right eye to 0.15, and correction did not improve the patient's visual acuity. Perimetric examination showed changes in the left visual field, while there were no signs of progression on the right. For unexplained changes in the visual fields, the examination was supplemented by brain computed tomography angiography. Even this examination did not show vascular abnormalities. The ocular examination in 6/2020 remained unchanged from the previous examination.

In 9/2020, the VA of the right eye was partially 0.12, with no improvement in visual acuity with correction, and the VA of the left eye was naturally 1.0. The ocular findings, including of the ocular fundus, were normal. The IOP was 10/11 mmHg. The patient's color vision was normal. The peripapillary vessel density (Avanti RTVue XR from Optovue), as in the entire image, was normal in both eyes, as was the RNFL. Visual field testing revealed abnormalities in both eyes (Fig. 3).

Figure 3

Visual field (fast threshold program-Medmont M700). Upper temporal quadrant in the right eye (OD) and visual field depression from above and temporally in the left eye (OS). Full field test. OD, oculus dexter, OS, oculus sinister.

The Retiscan electrophysiological examination (Roland Consult), performed according to the ISCEV methodology, revealed a bilateral normal response on the bottom regulation border in the pattern electroretinogram (P50-N95: 10.4 µV, resp. 12 µV). The latency of N95 was not prolonged. Larger square visual evoked responses proved a distinctive amplitude decrease. Smaller square stimulation resulted in a similar decision (4.5 vs. 4.3 µV). The latency of P100 was not prolonged (Fig. 4).

Figure 4

PERG examination results (bilateral normal responses) and PVEP examination results. PVEP after square stimulation for 15 min indicated low amplitudes bilaterally and latency P100 was not significantly prolonged. PERG, pattern electroretinogram; PVEP, pattern visual evoked potential.

Structural MRI of the hypophysis and orbits was carried out on a 3T Achieva dStream TX SERIES (Philips HealthCare, Best) with a 32-channel SENSE RF head coil. The hypophysis was examined according to the protocol, with intravenous application of 10 ml of gadolinium contrast substance. MRI of the hypophysis employed a T1 TSE sagittal sequence, with 2-mm slice thickness, gap 0, TR 500, TE 10 native and after intravenous contrast substance application (Fig. 5). The targeted orbital examination employed an sT1 3D TFE sequence, with 1-mm-slice thickness, gap 0, TR 6.7, TE 3.1, primarily in the sagittal plane, T2 TSE mDIXON, 2.5-mm-slice thickness, gap 0.3, TR 3000, TE 80, in the coronal plane and targeted orbital sequences on both sides, T2 SPIR SSh, 3-mm-slice thickness, gap 0.3, TR 9520.2, TE 120.0. Optic nerve measurements were analyzed on IntelliSpace Portal working station version 10-1 (Philips Medical Systems). Coronal T2 SPIR SSh sequences were planned in the axial plane upright to the optical nerve in 4-8-16-20-mm intervals behind the dorsal eye contour for both sides. The measurement included the optic nerve's largest outer diameters in two perpendicular axes horizontally (ONDH) and vertically (ONDV), and optic nerve sheath diameters in two perpendicular axes horizontally (OSDH) and vertically (OSDV) in both previously mentioned intervals separately (Fig. 6 and Table I). The optic nerve chiasma was detected in the coronal plane in the T1 TFE 3D sequence at the point of its narrowest range, and the outer diameter in the horizontal plane was measured. The Parks et al algorithm was used to distinguish PA from craniopharyngioma (13).

Figure 5

Control magnetic resonance imaging after one year. T1 postcontrast sequence, sagittal plane. The non-homogeneous hypophyseal structure persists. The growth of cranial hypophyseal contours from the optic nerve chiasm was evident. Short arrow indicates chiasm, long arrow indicates tuberculum sellae and asterisk indicates hypophysis.

Figure 6

(A) Magnetic resonance imaging sequence for the dimensional assessment of the optic nerve and its sheath (red planning line). (B) T1 Turbo Field Echo planning axial sequence for the coronal plane projecting vertically to the optic nerve and the right eye. (C) Coronal T2 Spectral Presaturation with Inversion Recovery Single Shot sequence for measurement of the right eye. HOSD, horizontal optic nerve sheath diameter; HOND, horizontal optic nerve diameter; VOSD, vertical optic nerve sheath diameter; VOND, vertical optic nerve diameter.

Table I

OND and OSD values at distances of 4, 8, 16 and 20 mm from the eyeball in the V and H plane.

Table I

OND and OSD values at distances of 4, 8, 16 and 20 mm from the eyeball in the V and H plane.

 Right eye, mmLeft eye, mm
Distance from eyeballONDOSDONDOSD
V43.06.82.86.7
H42.87.03.17.0
V82.96.33.16.3
H83.07.43.47.1
V162.55.02.24.4
H162.95.82.45.1
V202.85.42.45.6
H202.75.42.35.3

[i] OND, optic nerve diameter; OSD, optic nerve sheath diameter; V, vertical; H, horizontal.

Functional magnetic resonance imaging (fMRI) was carried out on a Philips Achieva TX SERIES system with a magnetic field strength of 3 Tesla. A 6-channel and later 32-channel SENSE RF head coil were used for scanning. Optical stimulation during fMRI measurements was performed by inverse alternation of a black and white checkerboard with a frequency of 2 Hz. Both measurements (with separate stimulation of the left and right eyes) consisted of five periods of stimulation (duration 30 sec) that alternated with five resting periods of the same length when the crosshair was projected into the visual field. Every measurement included 100 dynamic scans of EPI gradient echo sequences with the following basic parameters: TR=3 sec, TE=30 msec, and spatial resolution 2x2x2 mm3.

Evaluation of fMRI was performed with SPM 12 software using general linear model statistics and standard data preprocessing (motion correction, spatial normalization and smoothing with a 4x4x4-mm core). The resulting statistical maps were thresholded at a significance level of P=0.05 with family-wide error (FWE) correction for multiple observations. The extent of activation was then assessed by the number of statistically significant voxels using a statistical threshold, i.e., voxels where there are a high probability of activation of brain tissue at a given stimulation (Fig. 7).

Figure 7

Functional magnetic resonance imaging results. (A) After right eye stimulation. (B) After left eye stimulation. Sagittal, coronal and transverse cuts.

After right eye stimulation, voxel activity was significantly reduced (20 voxels), and the left eye was normal (2358 voxels) (14).

Discussion

Our PA observation is noticeable, especially from an ophthalmological point of view. Chiasmatic syndrome visual field changes arise from growing hypophyseal compression in an upward direction. The lower chiasmatic face lies approximately 10-15 mm above the sellar diaphragm, and this diameter grows in the ventrodorsal direction (15).

Pituitary upward-growing tumors must distend at least 10 mm above the diaphragm in order to come into contact with the chiasm (16). That is, hypophyseal expansion should reach a volume such that it reaches the chiasma. In non-MRI scans, it was obvious that the tumor formation neither exceeded the sellar diaphragm nor contacted the chiasm. The hypophysis was not in contact with the chiasm, according to the first perimetric change recognition times. If chiasm compression was present, we would observe consecutive visual field change regression. Further explanation of the visual field changes can be explained by inadequate perfusion in the chiasmatic region. The chiasmatic area is nourished by the Willis arterial circle, which extends from the arteria carotis interna. Even though its arterial hypophyseal branches are superior, anterior and posterior, arteria chiasmatica lateralis and arteria comunicans posterior are important for nourishment (15). If there was compression of hypophyseal arteries, which could have caused PA, it might also have caused spasms in an area nourishing the touched visual pathway. There was no alteration in the visual field until nine months after the first PA attack. It is assumed that if there is compression and vascular closure caused by growing tumors, this would cause neighboring artery spasms. Both the hypophysis and chiasm share nearly the same arterial source. It is still not logical why the visual field changes appeared nine months after PA. This could be explained by long-term hypophyseal vascular compression, first by a prolactinoma and consequential hypophyseal bleeding. Visual field changes came contemporaneously with the drop in right eye corrected central visual acquisition from 0.7 (7/2017) to 0.4 (12/2019). In a case of chronic ischemia, similar to normotensive glaucoma cases, changes should not occur to either an affected optic nerve or chiasm.

Our patient had all of the listed parameters of both optic nerves symmetrically, and there was no chiasmatic extent alteration of -13.7 mm (17,18).

In a prior case in which the PA attack persisted during chiasmatic compression, we also detected optic nerve papilla changes or nerve fiber layer changes more precisely (19-21). We did not note anything similar in our case report.

There are still standing questions regarding abnormal functional MRI results by visual paradigm. We detected a distinctive voxel activity decrease after right eye stimulation, with regular activity in the right eye (22).

Similar functional MRI changes were found by Chouinard et al in a 68-year-old woman with hypophyseal macroadenoma accompanied by visual field changes (23).

It is possible that there was an afferent visual cortex impairment or that the results are from a lower action potential quantity coming to the brain. The evidence of this hypothesis is indicated by the lower right eye retinal ganglion cell reply (10.4 vs. 12 µV) and the right eye lower visual evoked potential's larger square amplitude (3.9 vs. 5.4 µV).

Bleeding of a prolactinoma with quickly escalated dopaminergic agonist therapy is more frequent, and can be the first tumor manifestation. The general macroprolactinoma bleeding prevalence is estimated to be approximately 20%, greater than that of microprolactinomas (3%). There were no signs of chiasmatic compression in our case report; even with frequent MRI studies, there was no evidence of bleeding. It is possible that bleeding occurred prior to the first MRI, which would have caused transient macroprolactinoma enhancement, visual pathway compression and consequential spontaneous bleeding resolution. However, as evidence against this hypothesis, the patient reported no blistering headaches, which commonly accompany larger bleeding events, and analysis of the endocrine studies indicated gradual progression. The presence of the first MRI adenoma bleeding sign would test this hypothesis (24).

There are some literature case reports mentioning visual disturbances with delay after prolactinoma therapy, which were caused by quick tumor reduction and chiasmatic prolapse into the sella. A previous study reported twelve months of visual improvement after dopaminergic agonist dose reduction without resolution of chiasmatic prolapse. Despite the lack of evidence for optic chiasm prolapse in our case report, we attempted to maximally reduce the cabergoline dose (25,26).

In conclusion, in this rare case report, chiasm compression was not demonstrated. The authors hypothesize that the visual field changes resulted from the chiasmatic area and optic nerve ischemia, similar to PA.

Acknowledgements

Not applicable.

Funding

No funding was received.

Availability of data and materials

The datasets used and/or analyzed during the present study are available from the corresponding author on reasonable request.

Authors' contributions

MKy contributed to study design and management. ZK, MF and JL contributed to electrophysiology (PVEP and PERG) and visual field examinations, writing of related ophthalmology parts of the manuscript and final review of the manuscript. MKy and JT contributed to the examinations and interpretation of MRI and FMRI results. MKr contributed to the endocrinology examination results and writing related parts of the manuscript with an endocrinological perspective. MS and SR contributed to the neuropathology examinations, analysis and interpretation. JL and MF confirm the authenticity of all the raw data. All authors read and approved the final manuscript.

Ethics approval and consent to participate

The present study was performed according to the Declaration of Helsinki and was approved by the internal ethics committee of the Ophthalmology Clinic Jana Leštáka (Prague, Czech Republic).

Patient consent for publication

All details, medical records, figures, medical history or test results were used with the written consent for publication from the patient. All data used were anonymized.

Competing interests

The authors declare that they have no competing interests.

References

1 

Otradovec J and Jindrová M: Pituitary apoplexy. Cesk Oftalmol. 28:329–333. 1972.PubMed/NCBI(In Czech).

2 

Fernandez A, Karavitaki N and Wass JA: Prevalence of pituitary adenomas: A community-based, cross-sectional study in Banbury (Oxfordshire, UK). Clin Endocrinol. 72:377–382. 2010.PubMed/NCBI View Article : Google Scholar

3 

Brougham M, Heusner AP and Adams RD: Acute degenerative changes in adenomas of the pituitary body with special reference to pituitary apoplexy. J Neurosurg. 7:421–439. 1950.PubMed/NCBI View Article : Google Scholar

4 

Dan NG, Feiner RI, Houang MT and Turner JJ: Pituitary apoplexy in association with lymphocytic hypophysitis. J Clin Neurosci. 9:577–580. 2002.PubMed/NCBI View Article : Google Scholar

5 

Husain Q, Zouzias A, Kanumuri VV, Eloy JA and Liu JK: Idiopathic granulomatous hypophysitis presenting as pituitary apoplexy. J Clin Neurosc. 21:510–512. 2014.PubMed/NCBI View Article : Google Scholar

6 

Chhiber SS, Bhat AR, Khan SH, Wani MA, Ramzan AU, Kirmani AR, Malik NK, Wani AA and Rather T: Apoplexy in sellar metastasis: A case report and review of literature. Turk Neurosurg. 21:230–234. 2011.PubMed/NCBI View Article : Google Scholar

7 

Chaiban JT, Abdelmannan D, Cohen M, Selman WR and Arafah BM: Rathke cleft cyst apoplexy: A newly characterized distinct clinical entity. J Neurosurgery. 114:318–324. 2011.PubMed/NCBI View Article : Google Scholar

8 

Trifanescu R, Ansorge O, Wass JA, Grossman AB and Karavitaki N: Rathke's cleft cysts. Clin Endocrinol (Oxf). 76:151–160. 2012.PubMed/NCBI View Article : Google Scholar

9 

Schar RT, Vajtai I, Sahli R and Seiler RW: Manifestation of a sellar hemangioblastoma due to pituitary apoplexy: A case report. J Med Case Rep. 5(496)2011.PubMed/NCBI View Article : Google Scholar

10 

Möller-Goede DL, Brändle M, Landau K, Bernays RL and Schmid C: Pituitary apoplexy: Re-evaluation of risk factors for bleeding into pituitary adenomas and impact on outcome. Eur J Endocrinol. 164:37–43. 2011.PubMed/NCBI View Article : Google Scholar

11 

Capatina C, Inder W, Karavitaki N and Wass JA: Management of endocrine disease: Pituitary tumour apoplexy. Eur J Endocrinol. 172:R179–R190. 2015.PubMed/NCBI View Article : Google Scholar

12 

Glezer A and Bronstein MD: Pituitary apoplexy: Pathophysiology, diagnosis and management. Arch Endocrinol Metab. 59:259–264. 2015.PubMed/NCBI View Article : Google Scholar

13 

Park M, Lee SK, Choi J, Kim SH, Kim SH, Shin NY, Kim J and Ahn SS: Differentiation between cystic pituitary adenomas and rathke cleft cysts: A diagnostic model using MRI. Am J Neuroradiol. 36:1866–1873. 2015.PubMed/NCBI View Article : Google Scholar

14 

Lešták J and Tintěra J: Functional magnetic resonance imaging in selected eye diseases. Cesk Slov Oftalmol. 71:127–133. 2015.PubMed/NCBI(In Czech).

15 

Otradovec J: Klinická Neurooftalmologie. GRADA Publishing, Prague, 2003. (In Czech).

16 

Slamovits TL and Burde R: Neuro-ophthalmology. Textbook of Ophthalmology. Vol. 6. Mosby, 1994.

17 

Kyncl M, Lestak J, Sverepa M, Ettler L and Rozsival P: The anterior visual pathway in normal-tension glaucoma. Papirex-Indian J Res. 4:10–13. 2015.

18 

Lešták J, Kyncl M, Fůs M and Marešová K: Optic chiasm width in normotensive and hypertensive glaucomas. Cesk Slov Oftalmol. 76:126–128. 2020.PubMed/NCBI View Article : Google Scholar

19 

Danesh-Meyer HV, Wong A, Papchenko T, Matheos K, Stylli S, Nichols A, Frampton C, Daniell M, Savino PJ and Kaye AH: Optical coherence tomography predicts visual outcome for pituitary tumours. J Clin Neurosci. 22:1098–1104. 2015.PubMed/NCBI View Article : Google Scholar

20 

Yoneoka Y, Hatase T, Watanabe N, Jinguji S, Okada M, Takagi M and Fujii Y: Early morphological recovery of the optic chiasm is associated with excellent visual outcome in patients with compressive chiasmal syndromecaused by pituitary tumours. Neurol Res. 37:1–8. 2015.PubMed/NCBI View Article : Google Scholar

21 

Póczoš P, Kremláček J, Česák T, Macháčková M and Jirásková N: The use of optical coherence tomography in chiasmal compression. Cesk Slov Oftalmol. 75:120–127. 2019.PubMed/NCBI View Article : Google Scholar

22 

Lestak J, Kalvodova B, Karel I and Tintera J: Functional magnetic resonance imaging following epimacular and internal limiting membrane peeling-ipsilateral and contralateral findings. Biomed Pap Med Fac Univ Palacky Olomouc Czech Repub. 164:273–276. 2020.PubMed/NCBI View Article : Google Scholar

23 

Chouinard PA, Striemer CL, Ryu WH, Sperandio I, Goodale MA, Nicolle DA, Rotenberg B and Duggal N: Retinotopic organization of the visual cortex before and after decompression of the optic chiasm in a patient with pituitary macroadenoma. J Neurosurg. 117:218–224. 2012.PubMed/NCBI View Article : Google Scholar

24 

Sarwar KN, Huda MS, Van de Velde V, Hopkins L, Luck S, Preston R, McGowan BM, Carroll PV and Powrie JK: The prevalence and natural history of pituitary haemorrhage in prolactinoma. J Clin Endocrinol Metab. 986:2362–2367. 2013.PubMed/NCBI View Article : Google Scholar

25 

Chuman H, Cornblath WT, Trobe JD and Gebarski SS: Delayed visual loss following pergolide treatment of a prolactinoma. J Neuroophthalmol. 22:102–106. 2002.PubMed/NCBI View Article : Google Scholar

26 

Raverot G, Jacob M, Jouanneau E, Delemer B, Vighetto A, Pugeat M and Borson-Chazot F: Secondary deterioration of visual field during cabergoline treatment for macroprolactinoma. Clin Endocrinol (Oxf). 70:588–592. 2009.PubMed/NCBI View Article : Google Scholar

Related Articles

  • Abstract
  • View
  • Download
  • Twitter
Copy and paste a formatted citation
Spandidos Publications style
Kynčl M, Kasl Z, Rusňák Š, Sobotová M, Krčma M, Tintěra J, Fůs M and Lešták J: Pituitary apoplexy without chiasm compression: A case report. Mol Clin Oncol 15: 176, 2021.
APA
Kynčl, M., Kasl, Z., Rusňák, Š., Sobotová, M., Krčma, M., Tintěra, J. ... Lešták, J. (2021). Pituitary apoplexy without chiasm compression: A case report. Molecular and Clinical Oncology, 15, 176. https://doi.org/10.3892/mco.2021.2338
MLA
Kynčl, M., Kasl, Z., Rusňák, Š., Sobotová, M., Krčma, M., Tintěra, J., Fůs, M., Lešták, J."Pituitary apoplexy without chiasm compression: A case report". Molecular and Clinical Oncology 15.3 (2021): 176.
Chicago
Kynčl, M., Kasl, Z., Rusňák, Š., Sobotová, M., Krčma, M., Tintěra, J., Fůs, M., Lešták, J."Pituitary apoplexy without chiasm compression: A case report". Molecular and Clinical Oncology 15, no. 3 (2021): 176. https://doi.org/10.3892/mco.2021.2338
Copy and paste a formatted citation
x
Spandidos Publications style
Kynčl M, Kasl Z, Rusňák Š, Sobotová M, Krčma M, Tintěra J, Fůs M and Lešták J: Pituitary apoplexy without chiasm compression: A case report. Mol Clin Oncol 15: 176, 2021.
APA
Kynčl, M., Kasl, Z., Rusňák, Š., Sobotová, M., Krčma, M., Tintěra, J. ... Lešták, J. (2021). Pituitary apoplexy without chiasm compression: A case report. Molecular and Clinical Oncology, 15, 176. https://doi.org/10.3892/mco.2021.2338
MLA
Kynčl, M., Kasl, Z., Rusňák, Š., Sobotová, M., Krčma, M., Tintěra, J., Fůs, M., Lešták, J."Pituitary apoplexy without chiasm compression: A case report". Molecular and Clinical Oncology 15.3 (2021): 176.
Chicago
Kynčl, M., Kasl, Z., Rusňák, Š., Sobotová, M., Krčma, M., Tintěra, J., Fůs, M., Lešták, J."Pituitary apoplexy without chiasm compression: A case report". Molecular and Clinical Oncology 15, no. 3 (2021): 176. https://doi.org/10.3892/mco.2021.2338
Follow us
  • Twitter
  • LinkedIn
  • Facebook
About
  • Spandidos Publications
  • Careers
  • Cookie Policy
  • Privacy Policy
How can we help?
  • Help
  • Live Chat
  • Contact
  • Email to our Support Team