Spandidos Publications Logo
  • About
    • About Spandidos
    • Aims and Scopes
    • Abstracting and Indexing
    • Editorial Policies
    • Reprints and Permissions
    • Job Opportunities
    • Terms and Conditions
    • Contact
  • Journals
    • All Journals
    • Oncology Letters
      • Oncology Letters
      • Information for Authors
      • Editorial Policies
      • Editorial Board
      • Aims and Scope
      • Abstracting and Indexing
      • Bibliographic Information
      • Archive
    • International Journal of Oncology
      • International Journal of Oncology
      • Information for Authors
      • Editorial Policies
      • Editorial Board
      • Aims and Scope
      • Abstracting and Indexing
      • Bibliographic Information
      • Archive
    • Molecular and Clinical Oncology
      • Molecular and Clinical Oncology
      • Information for Authors
      • Editorial Policies
      • Editorial Board
      • Aims and Scope
      • Abstracting and Indexing
      • Bibliographic Information
      • Archive
    • Experimental and Therapeutic Medicine
      • Experimental and Therapeutic Medicine
      • Information for Authors
      • Editorial Policies
      • Editorial Board
      • Aims and Scope
      • Abstracting and Indexing
      • Bibliographic Information
      • Archive
    • International Journal of Molecular Medicine
      • International Journal of Molecular Medicine
      • Information for Authors
      • Editorial Policies
      • Editorial Board
      • Aims and Scope
      • Abstracting and Indexing
      • Bibliographic Information
      • Archive
    • Biomedical Reports
      • Biomedical Reports
      • Information for Authors
      • Editorial Policies
      • Editorial Board
      • Aims and Scope
      • Abstracting and Indexing
      • Bibliographic Information
      • Archive
    • Oncology Reports
      • Oncology Reports
      • Information for Authors
      • Editorial Policies
      • Editorial Board
      • Aims and Scope
      • Abstracting and Indexing
      • Bibliographic Information
      • Archive
    • Molecular Medicine Reports
      • Molecular Medicine Reports
      • Information for Authors
      • Editorial Policies
      • Editorial Board
      • Aims and Scope
      • Abstracting and Indexing
      • Bibliographic Information
      • Archive
    • World Academy of Sciences Journal
      • World Academy of Sciences Journal
      • Information for Authors
      • Editorial Policies
      • Editorial Board
      • Aims and Scope
      • Abstracting and Indexing
      • Bibliographic Information
      • Archive
    • International Journal of Functional Nutrition
      • International Journal of Functional Nutrition
      • Information for Authors
      • Editorial Policies
      • Editorial Board
      • Aims and Scope
      • Abstracting and Indexing
      • Bibliographic Information
      • Archive
    • International Journal of Epigenetics
      • International Journal of Epigenetics
      • Information for Authors
      • Editorial Policies
      • Editorial Board
      • Aims and Scope
      • Abstracting and Indexing
      • Bibliographic Information
      • Archive
    • Medicine International
      • Medicine International
      • Information for Authors
      • Editorial Policies
      • Editorial Board
      • Aims and Scope
      • Abstracting and Indexing
      • Bibliographic Information
      • Archive
  • Articles
  • Information
    • Information for Authors
    • Information for Reviewers
    • Information for Librarians
    • Information for Advertisers
    • Conferences
  • Language Editing
Spandidos Publications Logo
  • About
    • About Spandidos
    • Aims and Scopes
    • Abstracting and Indexing
    • Editorial Policies
    • Reprints and Permissions
    • Job Opportunities
    • Terms and Conditions
    • Contact
  • Journals
    • All Journals
    • Biomedical Reports
      • Information for Authors
      • Editorial Policies
      • Editorial Board
      • Aims and Scope
      • Abstracting and Indexing
      • Bibliographic Information
      • Archive
    • Experimental and Therapeutic Medicine
      • Information for Authors
      • Editorial Policies
      • Editorial Board
      • Aims and Scope
      • Abstracting and Indexing
      • Bibliographic Information
      • Archive
    • International Journal of Epigenetics
      • Information for Authors
      • Editorial Policies
      • Editorial Board
      • Aims and Scope
      • Abstracting and Indexing
      • Bibliographic Information
      • Archive
    • International Journal of Functional Nutrition
      • Information for Authors
      • Editorial Policies
      • Editorial Board
      • Aims and Scope
      • Abstracting and Indexing
      • Bibliographic Information
      • Archive
    • International Journal of Molecular Medicine
      • Information for Authors
      • Editorial Policies
      • Editorial Board
      • Aims and Scope
      • Abstracting and Indexing
      • Bibliographic Information
      • Archive
    • International Journal of Oncology
      • Information for Authors
      • Editorial Policies
      • Editorial Board
      • Aims and Scope
      • Abstracting and Indexing
      • Bibliographic Information
      • Archive
    • Medicine International
      • Information for Authors
      • Editorial Policies
      • Editorial Board
      • Aims and Scope
      • Abstracting and Indexing
      • Bibliographic Information
      • Archive
    • Molecular and Clinical Oncology
      • Information for Authors
      • Editorial Policies
      • Editorial Board
      • Aims and Scope
      • Abstracting and Indexing
      • Bibliographic Information
      • Archive
    • Molecular Medicine Reports
      • Information for Authors
      • Editorial Policies
      • Editorial Board
      • Aims and Scope
      • Abstracting and Indexing
      • Bibliographic Information
      • Archive
    • Oncology Letters
      • Information for Authors
      • Editorial Policies
      • Editorial Board
      • Aims and Scope
      • Abstracting and Indexing
      • Bibliographic Information
      • Archive
    • Oncology Reports
      • Information for Authors
      • Editorial Policies
      • Editorial Board
      • Aims and Scope
      • Abstracting and Indexing
      • Bibliographic Information
      • Archive
    • World Academy of Sciences Journal
      • Information for Authors
      • Editorial Policies
      • Editorial Board
      • Aims and Scope
      • Abstracting and Indexing
      • Bibliographic Information
      • Archive
  • Articles
  • Information
    • For Authors
    • For Reviewers
    • For Librarians
    • For Advertisers
    • Conferences
  • Language Editing
Login Register Submit
  • This site uses cookies
  • You can change your cookie settings at any time by following the instructions in our Cookie Policy. To find out more, you may read our Privacy Policy.

    I agree
Search articles by DOI, keyword, author or affiliation
Search
Advanced Search
presentation
Molecular and Clinical Oncology
Join Editorial Board Propose a Special Issue
Print ISSN: 2049-9450 Online ISSN: 2049-9469
Journal Cover
January-2022 Volume 16 Issue 1

Full Size Image

Sign up for eToc alerts
Recommend to Library

Journals

International Journal of Molecular Medicine

International Journal of Molecular Medicine

International Journal of Molecular Medicine is an international journal devoted to molecular mechanisms of human disease.

International Journal of Oncology

International Journal of Oncology

International Journal of Oncology is an international journal devoted to oncology research and cancer treatment.

Molecular Medicine Reports

Molecular Medicine Reports

Covers molecular medicine topics such as pharmacology, pathology, genetics, neuroscience, infectious diseases, molecular cardiology, and molecular surgery.

Oncology Reports

Oncology Reports

Oncology Reports is an international journal devoted to fundamental and applied research in Oncology.

Experimental and Therapeutic Medicine

Experimental and Therapeutic Medicine

Experimental and Therapeutic Medicine is an international journal devoted to laboratory and clinical medicine.

Oncology Letters

Oncology Letters

Oncology Letters is an international journal devoted to Experimental and Clinical Oncology.

Biomedical Reports

Biomedical Reports

Explores a wide range of biological and medical fields, including pharmacology, genetics, microbiology, neuroscience, and molecular cardiology.

Molecular and Clinical Oncology

Molecular and Clinical Oncology

International journal addressing all aspects of oncology research, from tumorigenesis and oncogenes to chemotherapy and metastasis.

World Academy of Sciences Journal

World Academy of Sciences Journal

Multidisciplinary open-access journal spanning biochemistry, genetics, neuroscience, environmental health, and synthetic biology.

International Journal of Functional Nutrition

International Journal of Functional Nutrition

Open-access journal combining biochemistry, pharmacology, immunology, and genetics to advance health through functional nutrition.

International Journal of Epigenetics

International Journal of Epigenetics

Publishes open-access research on using epigenetics to advance understanding and treatment of human disease.

Medicine International

Medicine International

An International Open Access Journal Devoted to General Medicine.

Journal Cover
January-2022 Volume 16 Issue 1

Full Size Image

Sign up for eToc alerts
Recommend to Library

  • Article
  • Citations
    • Cite This Article
    • Download Citation
    • Create Citation Alert
    • Remove Citation Alert
    • Cited By
  • Similar Articles
    • Related Articles (in Spandidos Publications)
    • Similar Articles (Google Scholar)
    • Similar Articles (PubMed)
  • Download PDF
  • Download XML
  • View XML
Article

Role of debulking surgery in combination with immune therapy: A successfully treated case of locally advanced mucosal melanoma

  • Authors:
    • Takahiro Kimura
    • Takayuki Takahama
    • Tomoko Wakasa
    • Shiori Adachi
    • Yusaku Akashi
    • Takao Tamura
    • Katsunari Yane
  • View Affiliations / Copyright

    Affiliations: Department of Otorhinolaryngology, Kindai University Nara Hospital, Ikoma, Nara 630‑0293, Japan, Department of Medical Oncology, Kindai University Nara Hospital, Ikoma, Nara 630‑0293, Japan, Department of Diagnostic Pathology, Kindai University Nara Hospital, Ikoma, Nara 630‑0293, Japan
  • Article Number: 2
    |
    Published online on: November 4, 2021
       https://doi.org/10.3892/mco.2021.2435
  • Expand metrics +
Metrics: Total Views: 0 (Spandidos Publications: | PMC Statistics: )
Metrics: Total PDF Downloads: 0 (Spandidos Publications: | PMC Statistics: )
Cited By (CrossRef): 0 citations Loading Articles...

This article is mentioned in:



Abstract

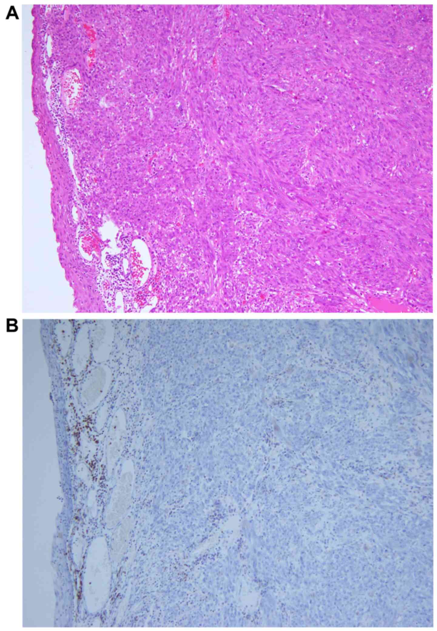
Immune checkpoint inhibitors (ICIs) have markedly changed the treatment landscape for melanoma; however, their efficacy and applications are currently limited and medical requirements remain unmet. The present case study reports on a 85‑year‑old female patient who visited our outpatient clinic with a 1‑month history of a buccal mucosa mass and was diagnosed with locally advanced mucosal melanoma of the head and neck. The patient's tumor progressed right after the administration of nivolumab, compromising oral intake. Palliative debulking surgery was performed. Subsequently, the other part of the melanoma on the hard palate slightly decreased in size without forming new lesions for more than one year after surgery. The present case exemplifies that tumor volume reduction surgery may increase the response to ICI and may prolong the duration of response. This combination therapy may be more effective in patients whose tumors increase in size after administration of ICIs or whose tumor is already large at the beginning of treatment. The combination of ICIs and debulking surgery may become an important treatment option in the future for locally advanced mucosal melanoma.
View Figures

Figure 1

Figure 2

Figure 3

Figure 4

View References

1 

Gray-Schopfer V, Wellbrock C and Marais R: Melanoma biology and new targeted therapy. Nature. 445:851–857. 2007.PubMed/NCBI View Article : Google Scholar

2 

Robert C, Karaszewska B, Schachter J, Rutkowski P, Mackiewicz A, Stroiakovski D, Lichinitser M, Dummer R, Grange F, Mortier L, et al: Improved overall survival in melanoma with combined dabrafenib and trametinib. N Engl J Med. 372:30–39. 2015.PubMed/NCBI View Article : Google Scholar

3 

Tucker MA: Melanoma epidemiology. Hematol Oncol Clin North Am. 23:383–395. 2009.PubMed/NCBI View Article : Google Scholar

4 

Robert C, Thomas L, Bondarenko I, O'Day S, Weber J, Garbe C, Lebbe C, Baurain JF, Testori A, Grob JJ, et al: Ipilimumab plus dacarbazine for previously untreated metastatic melanoma. N Engl J Med. 364:2517–2526. 2011.PubMed/NCBI View Article : Google Scholar

5 

Larkin J, Chiarion-Sileni V, Gonzalez R, Grob JJ, Cowey CL, Lao CD, Schadendorf D, Dummer R, Smylie M, Rutkowski P, et al: Combined nivolumab and ipilimumab or monotherapy in untreated Melanoma. N Engl J Med. 373:23–34. 2015.PubMed/NCBI View Article : Google Scholar

6 

Robert C, Long GV, Brady B, Dutriaux C, Maio M, Mortier L, Hassel JC, Rutkowski P, McNeil C, Kalinka-Warzocha E, et al: Nivolumab in previously untreated melanoma without BRAF mutation. N Engl J Med. 372:320–330. 2015.PubMed/NCBI View Article : Google Scholar

7 

D'Angelo SP, Larkin J, Sosman JA, Lebbé C, Brady B, Neyns B, Schmidt H, Hassel JC, Hodi FS, Lorigan P, et al: Efficacy and safety of nivolumab alone or in combination with ipilimumab in patients with mucosal melanoma: A pooled analysis. J Clin Oncol. 35:226–235. 2017.PubMed/NCBI View Article : Google Scholar

8 

Ozaki Y, Shindoh J, Miura Y, Nakajima H, Oki R, Uchiyama M, Masuda J, Kinowaki K, Kondoh C, Tanabe Y, et al: Serial pseudoprogression of metastatic malignant melanoma in a patient treated with nivolumab: A case report. BMC Cancer. 17(778)2017.PubMed/NCBI View Article : Google Scholar

9 

López F, Rodrigo JP, Cardesa A, Triantafyllou A, Devaney KO, Mendenhall WM, Haigentz M Jr, Strojan P, Pellitteri PK, Bradford CR, et al: Update on primary head and neck mucosal melanoma. Head Neck. 38:147–155. 2016.PubMed/NCBI View Article : Google Scholar

10 

Wolchok JD, Chiarion-Sileni V, Gonzalez R, Rutkowski P, Grob JJ, Cowey CL, Lao CD, Wagstaff J, Schadendorf D, Ferrucci PF, et al: Overall Survival with Combined Nivolumab and Ipilimumab in Advanced Melanoma. N Engl J Med. 377:1345–1356. 2017.PubMed/NCBI View Article : Google Scholar

11 

Huang AC, Postow MA, Orlowski RJ, Mick R, Bengsch B, Manne S, Xu W, Harmon S, Giles JR, Wenz B, et al: T-cell invigoration to tumour burden ratio associated with anti-PD-1 response. Nature. 545:60–65. 2017.PubMed/NCBI View Article : Google Scholar

12 

Guisier F, Cousse S, Jeanvoine M, Thiberville L and Salaun M: A rationale for surgical debulking to improve anti-PD1 therapy outcome in non small cell lung cancer. Sci Rep. 9(16902)2019.PubMed/NCBI View Article : Google Scholar

13 

Joseph RW, Elassaiss-Schaap J, Kefford R, Hwu WJ, Wolchok JD, Joshua AM, Ribas A, Hodi FS, Hamid O, Robert C, et al: Baseline tumor size is an independent prognostic factor for overall survival in patients with melanoma treated with pembrolizumab. Clin Cancer Res. 24:4960–4967. 2018.PubMed/NCBI View Article : Google Scholar

14 

Liu Y, Dong Y, Kong L, Shi F, Zhu H and Yu J: Abscopal effect of radiotherapy combined with immune checkpoint inhibitors. J Hematol Oncol. 11(104)2018.PubMed/NCBI View Article : Google Scholar

15 

Oronsky B, Larson C, Reid TR and Carter CA: Case series: Abscopal benefit of surgery in 3 immunotherapy-treated patients with unresectable cancer. J Investig Med High Impact Case Rep: Jul 6, 2018 (Epub ahead of print). doi: 10.1177/2324709618786319.

16 

Eggermont AMM, Chiarion-Sileni V, Grob JJ, Dummer R, Wolchok JD, Schmidt H, Hamid O, Robert C, Ascierto PA, Richards JM, et al: Prolonged survival in stage III melanoma with ipilimumab adjuvant therapy. N Engl J Med. 375:1845–1855. 2016.PubMed/NCBI View Article : Google Scholar

17 

Weber J, Mandala M, Del Vecchio M, Gogas HJ, Arance AM, Cowey CL, Dalle S, Schenker M, Chiarion-Sileni V, Marquez-Rodas I, et al: CheckMate 238 collaborators. Adjuvant nivolumab versus ipilimumab in resected stage III or IV melanoma. N Engl J Med. 377:1824–1835. 2017.PubMed/NCBI View Article : Google Scholar

18 

Eggermont AMM, Blank CU, Mandala M, Long GV, Atkinson V, Dalle S, Haydon A, Lichinitser M, Khattak A, Carlino MS, et al: adjuvant pembrolizumab versus placebo in resected stage III melanoma. N Engl J Med. 378:1789–1801. 2018.PubMed/NCBI View Article : Google Scholar

Related Articles

  • Abstract
  • View
  • Download
  • Twitter
Copy and paste a formatted citation
Spandidos Publications style
Kimura T, Takahama T, Wakasa T, Adachi S, Akashi Y, Tamura T and Yane K: Role of debulking surgery in combination with immune therapy: A successfully treated case of locally advanced mucosal melanoma. Mol Clin Oncol 16: 2, 2022.
APA
Kimura, T., Takahama, T., Wakasa, T., Adachi, S., Akashi, Y., Tamura, T., & Yane, K. (2022). Role of debulking surgery in combination with immune therapy: A successfully treated case of locally advanced mucosal melanoma. Molecular and Clinical Oncology, 16, 2. https://doi.org/10.3892/mco.2021.2435
MLA
Kimura, T., Takahama, T., Wakasa, T., Adachi, S., Akashi, Y., Tamura, T., Yane, K."Role of debulking surgery in combination with immune therapy: A successfully treated case of locally advanced mucosal melanoma". Molecular and Clinical Oncology 16.1 (2022): 2.
Chicago
Kimura, T., Takahama, T., Wakasa, T., Adachi, S., Akashi, Y., Tamura, T., Yane, K."Role of debulking surgery in combination with immune therapy: A successfully treated case of locally advanced mucosal melanoma". Molecular and Clinical Oncology 16, no. 1 (2022): 2. https://doi.org/10.3892/mco.2021.2435
Copy and paste a formatted citation
x
Spandidos Publications style
Kimura T, Takahama T, Wakasa T, Adachi S, Akashi Y, Tamura T and Yane K: Role of debulking surgery in combination with immune therapy: A successfully treated case of locally advanced mucosal melanoma. Mol Clin Oncol 16: 2, 2022.
APA
Kimura, T., Takahama, T., Wakasa, T., Adachi, S., Akashi, Y., Tamura, T., & Yane, K. (2022). Role of debulking surgery in combination with immune therapy: A successfully treated case of locally advanced mucosal melanoma. Molecular and Clinical Oncology, 16, 2. https://doi.org/10.3892/mco.2021.2435
MLA
Kimura, T., Takahama, T., Wakasa, T., Adachi, S., Akashi, Y., Tamura, T., Yane, K."Role of debulking surgery in combination with immune therapy: A successfully treated case of locally advanced mucosal melanoma". Molecular and Clinical Oncology 16.1 (2022): 2.
Chicago
Kimura, T., Takahama, T., Wakasa, T., Adachi, S., Akashi, Y., Tamura, T., Yane, K."Role of debulking surgery in combination with immune therapy: A successfully treated case of locally advanced mucosal melanoma". Molecular and Clinical Oncology 16, no. 1 (2022): 2. https://doi.org/10.3892/mco.2021.2435
Follow us
  • Twitter
  • LinkedIn
  • Facebook
About
  • Spandidos Publications
  • Careers
  • Cookie Policy
  • Privacy Policy
How can we help?
  • Help
  • Live Chat
  • Contact
  • Email to our Support Team