Spandidos Publications Logo
  • About
    • About Spandidos
    • Aims and Scopes
    • Abstracting and Indexing
    • Editorial Policies
    • Reprints and Permissions
    • Job Opportunities
    • Terms and Conditions
    • Contact
  • Journals
    • All Journals
    • Oncology Letters
      • Oncology Letters
      • Information for Authors
      • Editorial Policies
      • Editorial Board
      • Aims and Scope
      • Abstracting and Indexing
      • Bibliographic Information
      • Archive
    • International Journal of Oncology
      • International Journal of Oncology
      • Information for Authors
      • Editorial Policies
      • Editorial Board
      • Aims and Scope
      • Abstracting and Indexing
      • Bibliographic Information
      • Archive
    • Molecular and Clinical Oncology
      • Molecular and Clinical Oncology
      • Information for Authors
      • Editorial Policies
      • Editorial Board
      • Aims and Scope
      • Abstracting and Indexing
      • Bibliographic Information
      • Archive
    • Experimental and Therapeutic Medicine
      • Experimental and Therapeutic Medicine
      • Information for Authors
      • Editorial Policies
      • Editorial Board
      • Aims and Scope
      • Abstracting and Indexing
      • Bibliographic Information
      • Archive
    • International Journal of Molecular Medicine
      • International Journal of Molecular Medicine
      • Information for Authors
      • Editorial Policies
      • Editorial Board
      • Aims and Scope
      • Abstracting and Indexing
      • Bibliographic Information
      • Archive
    • Biomedical Reports
      • Biomedical Reports
      • Information for Authors
      • Editorial Policies
      • Editorial Board
      • Aims and Scope
      • Abstracting and Indexing
      • Bibliographic Information
      • Archive
    • Oncology Reports
      • Oncology Reports
      • Information for Authors
      • Editorial Policies
      • Editorial Board
      • Aims and Scope
      • Abstracting and Indexing
      • Bibliographic Information
      • Archive
    • Molecular Medicine Reports
      • Molecular Medicine Reports
      • Information for Authors
      • Editorial Policies
      • Editorial Board
      • Aims and Scope
      • Abstracting and Indexing
      • Bibliographic Information
      • Archive
    • World Academy of Sciences Journal
      • World Academy of Sciences Journal
      • Information for Authors
      • Editorial Policies
      • Editorial Board
      • Aims and Scope
      • Abstracting and Indexing
      • Bibliographic Information
      • Archive
    • International Journal of Functional Nutrition
      • International Journal of Functional Nutrition
      • Information for Authors
      • Editorial Policies
      • Editorial Board
      • Aims and Scope
      • Abstracting and Indexing
      • Bibliographic Information
      • Archive
    • International Journal of Epigenetics
      • International Journal of Epigenetics
      • Information for Authors
      • Editorial Policies
      • Editorial Board
      • Aims and Scope
      • Abstracting and Indexing
      • Bibliographic Information
      • Archive
    • Medicine International
      • Medicine International
      • Information for Authors
      • Editorial Policies
      • Editorial Board
      • Aims and Scope
      • Abstracting and Indexing
      • Bibliographic Information
      • Archive
  • Articles
  • Information
    • Information for Authors
    • Information for Reviewers
    • Information for Librarians
    • Information for Advertisers
    • Conferences
  • Language Editing
Spandidos Publications Logo
  • About
    • About Spandidos
    • Aims and Scopes
    • Abstracting and Indexing
    • Editorial Policies
    • Reprints and Permissions
    • Job Opportunities
    • Terms and Conditions
    • Contact
  • Journals
    • All Journals
    • Biomedical Reports
      • Information for Authors
      • Editorial Policies
      • Editorial Board
      • Aims and Scope
      • Abstracting and Indexing
      • Bibliographic Information
      • Archive
    • Experimental and Therapeutic Medicine
      • Information for Authors
      • Editorial Policies
      • Editorial Board
      • Aims and Scope
      • Abstracting and Indexing
      • Bibliographic Information
      • Archive
    • International Journal of Epigenetics
      • Information for Authors
      • Editorial Policies
      • Editorial Board
      • Aims and Scope
      • Abstracting and Indexing
      • Bibliographic Information
      • Archive
    • International Journal of Functional Nutrition
      • Information for Authors
      • Editorial Policies
      • Editorial Board
      • Aims and Scope
      • Abstracting and Indexing
      • Bibliographic Information
      • Archive
    • International Journal of Molecular Medicine
      • Information for Authors
      • Editorial Policies
      • Editorial Board
      • Aims and Scope
      • Abstracting and Indexing
      • Bibliographic Information
      • Archive
    • International Journal of Oncology
      • Information for Authors
      • Editorial Policies
      • Editorial Board
      • Aims and Scope
      • Abstracting and Indexing
      • Bibliographic Information
      • Archive
    • Medicine International
      • Information for Authors
      • Editorial Policies
      • Editorial Board
      • Aims and Scope
      • Abstracting and Indexing
      • Bibliographic Information
      • Archive
    • Molecular and Clinical Oncology
      • Information for Authors
      • Editorial Policies
      • Editorial Board
      • Aims and Scope
      • Abstracting and Indexing
      • Bibliographic Information
      • Archive
    • Molecular Medicine Reports
      • Information for Authors
      • Editorial Policies
      • Editorial Board
      • Aims and Scope
      • Abstracting and Indexing
      • Bibliographic Information
      • Archive
    • Oncology Letters
      • Information for Authors
      • Editorial Policies
      • Editorial Board
      • Aims and Scope
      • Abstracting and Indexing
      • Bibliographic Information
      • Archive
    • Oncology Reports
      • Information for Authors
      • Editorial Policies
      • Editorial Board
      • Aims and Scope
      • Abstracting and Indexing
      • Bibliographic Information
      • Archive
    • World Academy of Sciences Journal
      • Information for Authors
      • Editorial Policies
      • Editorial Board
      • Aims and Scope
      • Abstracting and Indexing
      • Bibliographic Information
      • Archive
  • Articles
  • Information
    • For Authors
    • For Reviewers
    • For Librarians
    • For Advertisers
    • Conferences
  • Language Editing
Login Register Submit
  • This site uses cookies
  • You can change your cookie settings at any time by following the instructions in our Cookie Policy. To find out more, you may read our Privacy Policy.

    I agree
Search articles by DOI, keyword, author or affiliation
Search
Advanced Search
presentation
Molecular and Clinical Oncology
Join Editorial Board Propose a Special Issue
Print ISSN: 2049-9450 Online ISSN: 2049-9469
Journal Cover
April-2022 Volume 16 Issue 4

Full Size Image

Sign up for eToc alerts
Recommend to Library

Journals

International Journal of Molecular Medicine

International Journal of Molecular Medicine

International Journal of Molecular Medicine is an international journal devoted to molecular mechanisms of human disease.

International Journal of Oncology

International Journal of Oncology

International Journal of Oncology is an international journal devoted to oncology research and cancer treatment.

Molecular Medicine Reports

Molecular Medicine Reports

Covers molecular medicine topics such as pharmacology, pathology, genetics, neuroscience, infectious diseases, molecular cardiology, and molecular surgery.

Oncology Reports

Oncology Reports

Oncology Reports is an international journal devoted to fundamental and applied research in Oncology.

Experimental and Therapeutic Medicine

Experimental and Therapeutic Medicine

Experimental and Therapeutic Medicine is an international journal devoted to laboratory and clinical medicine.

Oncology Letters

Oncology Letters

Oncology Letters is an international journal devoted to Experimental and Clinical Oncology.

Biomedical Reports

Biomedical Reports

Explores a wide range of biological and medical fields, including pharmacology, genetics, microbiology, neuroscience, and molecular cardiology.

Molecular and Clinical Oncology

Molecular and Clinical Oncology

International journal addressing all aspects of oncology research, from tumorigenesis and oncogenes to chemotherapy and metastasis.

World Academy of Sciences Journal

World Academy of Sciences Journal

Multidisciplinary open-access journal spanning biochemistry, genetics, neuroscience, environmental health, and synthetic biology.

International Journal of Functional Nutrition

International Journal of Functional Nutrition

Open-access journal combining biochemistry, pharmacology, immunology, and genetics to advance health through functional nutrition.

International Journal of Epigenetics

International Journal of Epigenetics

Publishes open-access research on using epigenetics to advance understanding and treatment of human disease.

Medicine International

Medicine International

An International Open Access Journal Devoted to General Medicine.

Journal Cover
April-2022 Volume 16 Issue 4

Full Size Image

Sign up for eToc alerts
Recommend to Library

  • Article
  • Citations
    • Cite This Article
    • Download Citation
    • Create Citation Alert
    • Remove Citation Alert
    • Cited By
  • Similar Articles
    • Related Articles (in Spandidos Publications)
    • Similar Articles (Google Scholar)
    • Similar Articles (PubMed)
  • Download PDF
  • Download XML
  • View XML
Review Open Access

Breast microcalcifications: Past, present and future (Review)

  • Authors:
    • Angela F. Logullo
    • Karla C.K. Prigenzi
    • Cristiane C.B.A. Nimir
    • Andreia F.V. Franco
    • Mario S.D.A. Campos
  • View Affiliations / Copyright

    Affiliations: Department of Pathology, Paulista School of Medicine, Federal University of São Paulo (UNIFESP), São Paulo 04023‑062, Brazil, Department of Pathology, Femme Laboratories, São Paulo 04004‑030, Brazil, Breast Imaging Service, Femme Laboratories, São Paulo 04004‑030, Brazil
    Copyright: © Logullo et al. This is an open access article distributed under the terms of Creative Commons Attribution License.
  • Article Number: 81
    |
    Published online on: February 10, 2022
       https://doi.org/10.3892/mco.2022.2514
  • Expand metrics +
Metrics: Total Views: 0 (Spandidos Publications: | PMC Statistics: )
Metrics: Total PDF Downloads: 0 (Spandidos Publications: | PMC Statistics: )
Cited By (CrossRef): 0 citations Loading Articles...

This article is mentioned in:



Abstract

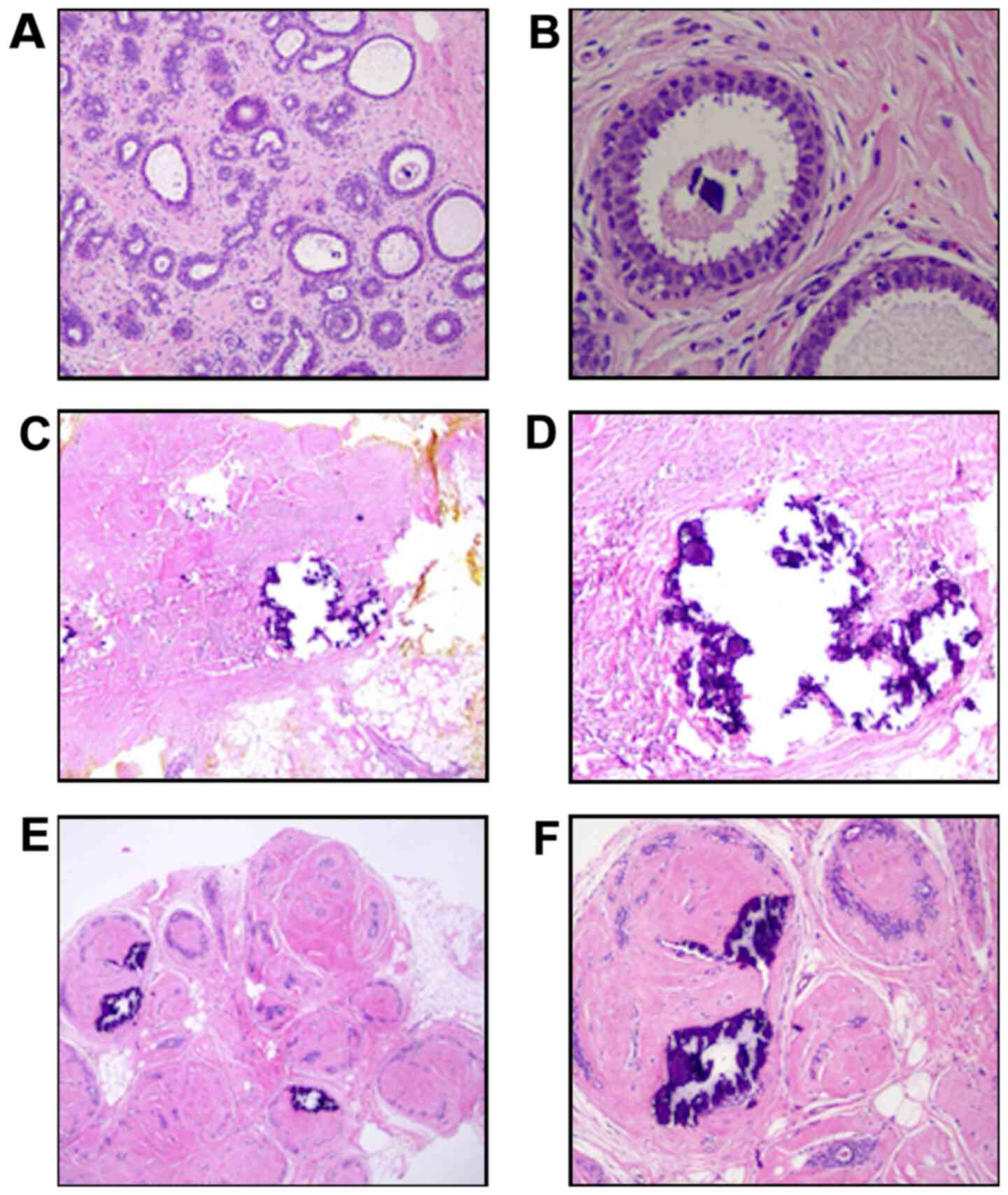
Mammary microcalcifications (MCs) are calcium deposits that are considered as robust markers of breast cancer when identified on mammography. MCs are frequently associated with premalignant and malignant lesions. The aim of the present review was to describe the MC types and associated radiological and pathological aspects in detail, provide insights and approaches to the topic, and describe specific clinical scenarios. The primary MC types are composed of calcium oxalate, hydroxyapatite and hydroxyapatite associated with magnesium. The first type is usually associated with benign conditions, while the others remain primarily associated with malignancy. Radiologically, MCs are classified as benign or suspicious. MCs may represent an active pathological mineralization process rather than a passive process, such as degeneration or necrosis. Practical management of breast specimens requires finely calibrated radiological pathological procedures. Understanding the molecular and structural development of MCs may contribute to breast lesion detection and treatment.
View Figures

Figure 1

Figure 2

Figure 3

Figure 4

View References

1 

Salomon A: Beiträge zur Pathologie und Klinik der Mammo-karzinome (In German). Arch Klin Chir. 101:573–668. 1913.

2 

Leborgne R: Diagnosis of tumors of the breast by simple roentgenography; calcifications in carcinomas. Am J Roentgenol Radium Ther. 65:1–11. 1951.PubMed/NCBI

3 

Gülsün M, Demirkazik FB and Ariyürek M: Evaluation of breast microcalcifications according to Breast Imaging Reporting and Data System criteria and Le Gal's classification. Eur J Radiol. 47:227–231. 2003.PubMed/NCBI View Article : Google Scholar

4 

Venkatesan A, Chu P, Kerlikowske K, Sickles EA and Smith-bindman R: Positive predictive value of specific mammographic findings according to reader and patient va riables. Radiology. 250:648–657. 2009.PubMed/NCBI View Article : Google Scholar

5 

Rominger M, Wisgickl C and Timmesfeld N: Breast microcalcifications as type descriptors to stratify risk of malignancy: A systematic review and meta-analysis of 10665 cases with special focus on round/punctate microcalcifications. Rofo. 184:1144–1152. 2012.PubMed/NCBI View Article : Google Scholar

6 

Sharma T, Radosevich JA, Pachori G and Mandal CC: A Molecular View of Pathological Microcalcification in Breast Cancer. J Mammary Gland Biol Neoplasia. 21:25–40. 2016.PubMed/NCBI View Article : Google Scholar

7 

Henrot P, Leroux A, Barlier C and Génin P: Breast microcalcifications: The lesions in anatomical pathology. Diagn Interv Imaging. 95:141–152. 2014.PubMed/NCBI View Article : Google Scholar

8 

Frappart L, Boudeulle M, Boumendil J, Lin HC, Martinon I, Palayer C, Mallet-Guy Y, Raudrant D, Bremond A, Rochet Y, et al: Structure and composition of microcalcifications in benign and malignant lesions of the breast: Study by light microscopy, transmission and scanning electron microscopy, microprobe analysis, and X-ray diffraction. Hum Pathol. 15:880–889. 1984.PubMed/NCBI View Article : Google Scholar

9 

Haka AS, Shafer-Peltier KE, Fitzmaurice M, Crowe J, Dasari RR and Feld MS: Identifying microcalcifications in benign and malignant breast lesions by probing differences in their chemical composition using Raman spectroscopy. Cancer Res. 62:5375–5380. 2002.PubMed/NCBI

10 

Trop I, David J, El Khoury M, Gautier N, Gaboury L and Lalonde L: Microcalcifications around a collagen-based breast biopsy marker: Complication of biopsy with a percutaneous marking system. AJR Am J Roentgenol. 197:W353–357. 2011.PubMed/NCBI View Article : Google Scholar

11 

Liberman L, Smolkin JH, Dershaw DD, Morris EA, Abramson AF and Rosen PP: Calcification retrieval at stereotactic, 11-gauge, directional, vacuum-assisted breast biopsy. Radiology. 208:251–260. 1998.PubMed/NCBI View Article : Google Scholar

12 

Castellaro AM, Tonda A, Cejas HH, Ferreyra H, Caputto BL, Pucci OA and Gil GA: Oxalate induces breast cancer. BMC Cancer. 15(761)2015.PubMed/NCBI View Article : Google Scholar

13 

Radi MJ: Calcium oxalate crystals in breast biopsies. An overlooked form of microcalcification associated with benign breast disease. Arch Pathol Lab Med. 113:1367–1369. 1989.PubMed/NCBI

14 

Shih C, Padhy LC, Murray M and Weinberg RA: Transforming genes of carcinomas and neuroblastomas introduced into mouse fibroblasts. Nature. 290:261–264. 1981.PubMed/NCBI View Article : Google Scholar

15 

Scimeca M, Giannini E, Antonacci C, Pistolese CA, Spagnoli LG and Bonanno E: Microcalcifications in breast cancer: An active phenomenon mediated by epithelial cells with mesenchymal characteristics. BMC Cancer. 14(286)2014.PubMed/NCBI View Article : Google Scholar

16 

Morgan MP, Cooke MM and McCarthy GM: Microcalcifications associated with breast cancer: An epiphenomenon or biologically significant feature of selected tumors? J Mammary Gland Biol Neoplasia. 10:181–187. 2005.PubMed/NCBI View Article : Google Scholar

17 

Owen TA, Aronow M, Shalhoub V, Barone LM, Wilming L, Tassinari MS, Kennedy MB, Pockwinse S, Lian JB and Stein GS: Progressive development of the rat osteoblast phenotype in vitro: Reciprocal relationships in expression of genes associated with osteoblast proliferation and differentiation during formation of the bone extracellular matrix. J Cell Physiol. 143:420–430. 1990.PubMed/NCBI View Article : Google Scholar

18 

Huang W, Yang S, Shao J and Li YP: Signaling and transcriptional regulation in osteoblast commitment and differentiation. Front Biosci. 12:3068–3092. 2007.PubMed/NCBI View Article : Google Scholar

19 

Hassan MQ, Maeda Y, Taipaleenmaki H, Zhang W, Jafferji M, Gordon JA, Li Z, Croce CM, van Wijnen AJ, Stein JL, et al: miR-218 directs a Wnt signaling circuit to promote differentiation of osteoblasts and osteomimicry of metastatic cancer cells. J Biol Chem. 287:42084–42092. 2012.PubMed/NCBI View Article : Google Scholar

20 

O'Grady S and Morgan MP: Microcalcifications in breast cancer: From pathophysiology to diagnosis and prognosis. Biochim Biophys Acta Rev Cancer. 1869:310–320. 2018.PubMed/NCBI View Article : Google Scholar

21 

Menck K, Scharf C, Bleckmann A, Dyck L, Rost U, Wenzel D, Dhople VM, Siam L, Pukrop T, Binder C, et al: Tumor-derived microvesicles mediate human breast cancer invasion through differentially glycosylated EMMPRIN. J Mol Cell Biol. 7:143–153. 2015.PubMed/NCBI View Article : Google Scholar

22 

Abate-Shen C: Deregulated homeobox gene expression in cancer: Cause or consequence? Nat Rev Cancer. 2:777–785. 2002.PubMed/NCBI View Article : Google Scholar

23 

Davies SR, Watkins G, Douglas-Jones A, Mansel RE and Jiang WG: Bone morphogenetic proteins 1 to 7 in human breast cancer, expression pattern and clinical/prognostic relevance. J Exp Ther Oncol. 7:327–338. 2008.PubMed/NCBI

24 

Jin H, Pi J, Huang X, Huang F, Shao W, Li S, Chen Y and Cai J: BMP2 promotes migration and invasion of breast cancer cells via cytoskeletal reorganization and adhesion decrease: An AFM investigation. Appl Microbiol Biotechnol. 93:1715–1723. 2012.PubMed/NCBI View Article : Google Scholar

25 

Liu F, Bloch N, Bhushan KR, De Grand AM, Tanaka E, Solazzo S, Mertyna PM, Goldberg N, Frangioni JV and Lenkinski RE: Humoral bone morphogenetic protein 2 is sufficient for inducing breast cancer microcalcification. Mol Imaging. 7:175–186. 2008.PubMed/NCBI

26 

Bellahcène A, Merville MP and Castronovo V: Expression of bone sialoprotein, a bone matrix protein, in human breast cancer. Cancer Res. 54:2823–2826. 1994.PubMed/NCBI

27 

Bellahcène A and Castronovo V: Increased expression of osteonectin and osteopontin, two bone matrix proteins, in human breast cancer. Am J Pathol. 146:95–100. 1995.PubMed/NCBI

28 

Barman I, Dingari NC, Saha A, McGee S, Galindo LH, Liu W, Plecha D, Klein N, Dasari RR and Fitzmaurice M: Application of Raman spectroscopy to identify microcalcifications and underlying breast lesions at stereotactic core needle biopsy. Cancer Res. 73:3206–3215. 2013.PubMed/NCBI View Article : Google Scholar

29 

Saha A, Barman I, Dingari NC, McGee S, Volynskaya Z, Galindo LH, Liu W, Plecha D, Klein N, Dasari RR, et al: Raman spectroscopy: A real-time tool for identifying microcalcifications during stereotactic breast core needle biopsies. Biomed Opt Express. 2:2792–2803. 2011.PubMed/NCBI View Article : Google Scholar

30 

Cox R: Cellular and molecular basis of mammary microcalcifications. PhD dissertation, Royal College of Surgeons in Ireland. https://doi.org/10.25419/rcsi.10804970.v1, 2011.

31 

Cox RF and Morgan MP: Microcalcifications in breast cancer: Lessons from physiological mineralization. Bone. 53:437–450. 2013.PubMed/NCBI View Article : Google Scholar

32 

Wilkinson L, Thomas V and Sharma N: Microcalcification on mammography: Approaches to interpretation and biopsy. Br J Radiol. 90(20160594)2017.PubMed/NCBI View Article : Google Scholar

33 

Sickles EA, D'Orsi CJ and Bassett LW: ACR BI-RADS Mammography. In: ACR BI-RADS Atlas, Breast Imaging Reporting and Data System. 5th Edition. American College of Radiology, Reston, VA, pp134-136, 2013.

34 

Uematsu T, Yuen S, Kasami M and Uchida Y: Dynamic contrast-enhanced MR imaging in screening detected microcalcification lesions of the breast: Is there any value? Breast Cancer Res Treat. 103:269–281. 2007.PubMed/NCBI View Article : Google Scholar

35 

Bazzocchi M, Zuiani C, Panizza P, Del Frate C, Soldano F, Isola M, Sardanelli F, Giuseppetti GM, Simonetti G, Lattanzio V, et al: Contrast-enhanced breast MRI in patients with suspicious microcalcifications on mammography: Results of a multicenter trial. AJR Am J Roentgenol. 186:1723–1732. 2006.PubMed/NCBI View Article : Google Scholar

36 

Cilotti A, Iacconi C, Marini C, Moretti M, Mazzotta D, Traino C, Naccarato AG, Piagneri V, Giaconi C, Bevilacqua G and Bartolozzi C: Contrast-enhanced MR imaging in patients with BI-RADS 3-5 microcalcifications. Radiol Med. 112:272–286. 2007.PubMed/NCBI View Article : Google Scholar

37 

Pfarl G, Helbich TH, Riedl CC, Wagner T, Gnant M, Rudas M and Liberman L: Stereotactic 11-gauge vacuum-assisted breast biopsy: A validation study. AJR Am J Roentgenol. 179:1503–1507. 2002.PubMed/NCBI View Article : Google Scholar

38 

Esen G, Tutar B, Uras C, Calay Z, İnce Ü and Tutar O: Vacuum-assisted stereotactic breast biopsy in the diagnosis and management of suspicious microcalcifications. Diagn Interv Radiol. 22:326–333. 2016.PubMed/NCBI View Article : Google Scholar

39 

Meyer JE, Smith DN, DiPiro PJ, Denison CM, Frenna TH, Harvey SC and Ko WD: Stereotactic breast biopsy of clustered microcalcifications with a directional, vacuum-assisted device. Radiology. 204:575–576. 1997.PubMed/NCBI View Article : Google Scholar

40 

Badan GM, Roveda Júnior D, Piato S, Fleury EF, Campos MS, Pecci CA, Ferreira FA and D'Ávila C: Diagnostic underestimation of atypical ductal hyperplasia and ductal carcinoma in situ at percutaneous core needle and vacuum-assisted biopsies of the breast in a Brazilian reference institution. Radiol Bras. 49:6–11. 2016.PubMed/NCBI View Article : Google Scholar

41 

Houssami N, Ciatto S, Ellis I and Ambrogetti D: Underestimation of malignancy of breast core-needle biopsy: Concepts and precise overall and category-specific estimates. Cancer. 109:487–495. 2007.PubMed/NCBI View Article : Google Scholar

42 

Tornos C, Silva E, el-Naggar A and Pritzker KP: Calcium oxalate crystals in breast biopsies. The missing microcalcifications. Am J Surg Pathol. 14:961–968. 1990.PubMed/NCBI View Article : Google Scholar

43 

D'Orsi CJ, Reale FR, Davis MA and Brown VJ: Is calcium oxalate an adequate explanation for nonvisualization of breast specimen calcifications? Radiology. 182:801–803. 1992.PubMed/NCBI View Article : Google Scholar

44 

Ling H, Liu ZB, Xu LH, Xu XL, Liu GY and Shao ZM: Malignant calcification is an important unfavorable prognostic factor in primary invasive breast cancer. Asia Pac J Clin Oncol. 9:139–145. 2013.PubMed/NCBI View Article : Google Scholar

45 

Bonfiglio R, Scimeca M, Urbano N, Bonanno E and Schillaci O: Breast microcalcifications: Biological and diagnostic perspectives. Future Oncol. 14:3097–3099. 2018.PubMed/NCBI View Article : Google Scholar

46 

Tabár L, Chen HH, Duffy SW, Yen MF, Chiang CF, Dean PB and Smith RA: A novel method for prediction of long-term outcome of women with T1a, T1b, and 10-14 mm invasive breast cancers: A prospective study. Lancet. 355:429–433. 2000.PubMed/NCBI View Article : Google Scholar

47 

Elias SG, Adams A, Wisner DJ, Esserman LJ, van't Veer LJ, Mali WP, Gilhuijs KG and Hylton NM: Imaging features of HER2 overexpression in breast cancer: A systematic review and meta-analysis. Cancer Epidemiol Biomarkers Prev. 23:1464–1483. 2014.PubMed/NCBI View Article : Google Scholar

48 

Nyante SJ, Lee SS, Benefield TS, Hoots TN and Henderson LM: The association between mammographic calcifications and breast cancer prognostic factors in a population-based registry cohort. Cancer. 123:219–227. 2017.PubMed/NCBI View Article : Google Scholar

49 

Zheng K, Tan JX, Li F, Wei YX, Yin XD, Su XL, Li HY, Liu QL, Ma BL, Ou JH, et al: Relationship between mammographic calcifications and the clinicopathologic characteristics of breast cancer in Western China: A retrospective multi-center study of 7317 female patients. Breast Cancer Res Treat. 166:569–582. 2017.PubMed/NCBI View Article : Google Scholar

50 

Ouyang YL, Zhou ZH, Wu WW, Tian J, Xu F, Wu SC and Tsui PH: A review of ultrasound detection methods for breast microcalcification. Math Biosci Eng. 16:1761–1785. 2019.PubMed/NCBI View Article : Google Scholar

51 

Fushimi A, Fukushima N, Suzuki T, Kudo R and Takeyama H: Features of microcalcifications on screening mammography in young women. Asian Pac J Cancer Prev. 19:3591–3596. 2018.PubMed/NCBI View Article : Google Scholar

52 

Mathew J, Perkins GH, Stephens T, Middleton LP and Yang WT: Primary breast cancer in men: Clinical, imaging, and pathologic findings in 57 patients. AJR Am J Roentgenol. 191:1631–1639. 2008.PubMed/NCBI View Article : Google Scholar

53 

Weiss A, Lee KC, Romero Y, Ward E, Kim Y, Ojeda-Fournier H, Einck J and Blair SL: Calcifications on mammogram do not correlate with tumor size after neoadjuvant chemotherapy. Ann Surg Oncol. 21:3310–3316. 2014.PubMed/NCBI View Article : Google Scholar

54 

Adrada BE, Huo L, Lane DL, Arribas EM, Resetkova E and Yang W: Histopathologic correlation of residual mammographic microcalcifications after neoadjuvant chemotherapy for locally advanced breast cancer. Ann Surg Oncol. 22:1111–1117. 2015.PubMed/NCBI View Article : Google Scholar

55 

Feliciano Y, Mamtani A, Morrow M, Stempel MM, Patil S and Jochelson MS: Do Calcifications Seen on Mammography After Neoadjuvant Chemotherapy for Breast Cancer Always Need to Be Excised? Ann Surg Oncol. 24:1492–1498. 2017.PubMed/NCBI View Article : Google Scholar

Related Articles

  • Abstract
  • View
  • Download
  • Twitter
Copy and paste a formatted citation
Spandidos Publications style
Logullo AF, Prigenzi KC, Nimir CC, Franco AF and Campos MS: Breast microcalcifications: Past, present and future (Review). Mol Clin Oncol 16: 81, 2022.
APA
Logullo, A.F., Prigenzi, K.C., Nimir, C.C., Franco, A.F., & Campos, M.S. (2022). Breast microcalcifications: Past, present and future (Review). Molecular and Clinical Oncology, 16, 81. https://doi.org/10.3892/mco.2022.2514
MLA
Logullo, A. F., Prigenzi, K. C., Nimir, C. C., Franco, A. F., Campos, M. S."Breast microcalcifications: Past, present and future (Review)". Molecular and Clinical Oncology 16.4 (2022): 81.
Chicago
Logullo, A. F., Prigenzi, K. C., Nimir, C. C., Franco, A. F., Campos, M. S."Breast microcalcifications: Past, present and future (Review)". Molecular and Clinical Oncology 16, no. 4 (2022): 81. https://doi.org/10.3892/mco.2022.2514
Copy and paste a formatted citation
x
Spandidos Publications style
Logullo AF, Prigenzi KC, Nimir CC, Franco AF and Campos MS: Breast microcalcifications: Past, present and future (Review). Mol Clin Oncol 16: 81, 2022.
APA
Logullo, A.F., Prigenzi, K.C., Nimir, C.C., Franco, A.F., & Campos, M.S. (2022). Breast microcalcifications: Past, present and future (Review). Molecular and Clinical Oncology, 16, 81. https://doi.org/10.3892/mco.2022.2514
MLA
Logullo, A. F., Prigenzi, K. C., Nimir, C. C., Franco, A. F., Campos, M. S."Breast microcalcifications: Past, present and future (Review)". Molecular and Clinical Oncology 16.4 (2022): 81.
Chicago
Logullo, A. F., Prigenzi, K. C., Nimir, C. C., Franco, A. F., Campos, M. S."Breast microcalcifications: Past, present and future (Review)". Molecular and Clinical Oncology 16, no. 4 (2022): 81. https://doi.org/10.3892/mco.2022.2514
Follow us
  • Twitter
  • LinkedIn
  • Facebook
About
  • Spandidos Publications
  • Careers
  • Cookie Policy
  • Privacy Policy
How can we help?
  • Help
  • Live Chat
  • Contact
  • Email to our Support Team