Spandidos Publications Logo
  • About
    • About Spandidos
    • Aims and Scopes
    • Abstracting and Indexing
    • Editorial Policies
    • Reprints and Permissions
    • Job Opportunities
    • Terms and Conditions
    • Contact
  • Journals
    • All Journals
    • Oncology Letters
      • Oncology Letters
      • Information for Authors
      • Editorial Policies
      • Editorial Board
      • Aims and Scope
      • Abstracting and Indexing
      • Bibliographic Information
      • Archive
    • International Journal of Oncology
      • International Journal of Oncology
      • Information for Authors
      • Editorial Policies
      • Editorial Board
      • Aims and Scope
      • Abstracting and Indexing
      • Bibliographic Information
      • Archive
    • Molecular and Clinical Oncology
      • Molecular and Clinical Oncology
      • Information for Authors
      • Editorial Policies
      • Editorial Board
      • Aims and Scope
      • Abstracting and Indexing
      • Bibliographic Information
      • Archive
    • Experimental and Therapeutic Medicine
      • Experimental and Therapeutic Medicine
      • Information for Authors
      • Editorial Policies
      • Editorial Board
      • Aims and Scope
      • Abstracting and Indexing
      • Bibliographic Information
      • Archive
    • International Journal of Molecular Medicine
      • International Journal of Molecular Medicine
      • Information for Authors
      • Editorial Policies
      • Editorial Board
      • Aims and Scope
      • Abstracting and Indexing
      • Bibliographic Information
      • Archive
    • Biomedical Reports
      • Biomedical Reports
      • Information for Authors
      • Editorial Policies
      • Editorial Board
      • Aims and Scope
      • Abstracting and Indexing
      • Bibliographic Information
      • Archive
    • Oncology Reports
      • Oncology Reports
      • Information for Authors
      • Editorial Policies
      • Editorial Board
      • Aims and Scope
      • Abstracting and Indexing
      • Bibliographic Information
      • Archive
    • Molecular Medicine Reports
      • Molecular Medicine Reports
      • Information for Authors
      • Editorial Policies
      • Editorial Board
      • Aims and Scope
      • Abstracting and Indexing
      • Bibliographic Information
      • Archive
    • World Academy of Sciences Journal
      • World Academy of Sciences Journal
      • Information for Authors
      • Editorial Policies
      • Editorial Board
      • Aims and Scope
      • Abstracting and Indexing
      • Bibliographic Information
      • Archive
    • International Journal of Functional Nutrition
      • International Journal of Functional Nutrition
      • Information for Authors
      • Editorial Policies
      • Editorial Board
      • Aims and Scope
      • Abstracting and Indexing
      • Bibliographic Information
      • Archive
    • International Journal of Epigenetics
      • International Journal of Epigenetics
      • Information for Authors
      • Editorial Policies
      • Editorial Board
      • Aims and Scope
      • Abstracting and Indexing
      • Bibliographic Information
      • Archive
    • Medicine International
      • Medicine International
      • Information for Authors
      • Editorial Policies
      • Editorial Board
      • Aims and Scope
      • Abstracting and Indexing
      • Bibliographic Information
      • Archive
  • Articles
  • Information
    • Information for Authors
    • Information for Reviewers
    • Information for Librarians
    • Information for Advertisers
    • Conferences
  • Language Editing
Spandidos Publications Logo
  • About
    • About Spandidos
    • Aims and Scopes
    • Abstracting and Indexing
    • Editorial Policies
    • Reprints and Permissions
    • Job Opportunities
    • Terms and Conditions
    • Contact
  • Journals
    • All Journals
    • Biomedical Reports
      • Information for Authors
      • Editorial Policies
      • Editorial Board
      • Aims and Scope
      • Abstracting and Indexing
      • Bibliographic Information
      • Archive
    • Experimental and Therapeutic Medicine
      • Information for Authors
      • Editorial Policies
      • Editorial Board
      • Aims and Scope
      • Abstracting and Indexing
      • Bibliographic Information
      • Archive
    • International Journal of Epigenetics
      • Information for Authors
      • Editorial Policies
      • Editorial Board
      • Aims and Scope
      • Abstracting and Indexing
      • Bibliographic Information
      • Archive
    • International Journal of Functional Nutrition
      • Information for Authors
      • Editorial Policies
      • Editorial Board
      • Aims and Scope
      • Abstracting and Indexing
      • Bibliographic Information
      • Archive
    • International Journal of Molecular Medicine
      • Information for Authors
      • Editorial Policies
      • Editorial Board
      • Aims and Scope
      • Abstracting and Indexing
      • Bibliographic Information
      • Archive
    • International Journal of Oncology
      • Information for Authors
      • Editorial Policies
      • Editorial Board
      • Aims and Scope
      • Abstracting and Indexing
      • Bibliographic Information
      • Archive
    • Medicine International
      • Information for Authors
      • Editorial Policies
      • Editorial Board
      • Aims and Scope
      • Abstracting and Indexing
      • Bibliographic Information
      • Archive
    • Molecular and Clinical Oncology
      • Information for Authors
      • Editorial Policies
      • Editorial Board
      • Aims and Scope
      • Abstracting and Indexing
      • Bibliographic Information
      • Archive
    • Molecular Medicine Reports
      • Information for Authors
      • Editorial Policies
      • Editorial Board
      • Aims and Scope
      • Abstracting and Indexing
      • Bibliographic Information
      • Archive
    • Oncology Letters
      • Information for Authors
      • Editorial Policies
      • Editorial Board
      • Aims and Scope
      • Abstracting and Indexing
      • Bibliographic Information
      • Archive
    • Oncology Reports
      • Information for Authors
      • Editorial Policies
      • Editorial Board
      • Aims and Scope
      • Abstracting and Indexing
      • Bibliographic Information
      • Archive
    • World Academy of Sciences Journal
      • Information for Authors
      • Editorial Policies
      • Editorial Board
      • Aims and Scope
      • Abstracting and Indexing
      • Bibliographic Information
      • Archive
  • Articles
  • Information
    • For Authors
    • For Reviewers
    • For Librarians
    • For Advertisers
    • Conferences
  • Language Editing
Login Register Submit
  • This site uses cookies
  • You can change your cookie settings at any time by following the instructions in our Cookie Policy. To find out more, you may read our Privacy Policy.

    I agree
Search articles by DOI, keyword, author or affiliation
Search
Advanced Search
presentation
Molecular and Clinical Oncology
Join Editorial Board Propose a Special Issue
Print ISSN: 2049-9450 Online ISSN: 2049-9469
Journal Cover
September-2022 Volume 17 Issue 3

Full Size Image

Sign up for eToc alerts
Recommend to Library

Journals

International Journal of Molecular Medicine

International Journal of Molecular Medicine

International Journal of Molecular Medicine is an international journal devoted to molecular mechanisms of human disease.

International Journal of Oncology

International Journal of Oncology

International Journal of Oncology is an international journal devoted to oncology research and cancer treatment.

Molecular Medicine Reports

Molecular Medicine Reports

Covers molecular medicine topics such as pharmacology, pathology, genetics, neuroscience, infectious diseases, molecular cardiology, and molecular surgery.

Oncology Reports

Oncology Reports

Oncology Reports is an international journal devoted to fundamental and applied research in Oncology.

Experimental and Therapeutic Medicine

Experimental and Therapeutic Medicine

Experimental and Therapeutic Medicine is an international journal devoted to laboratory and clinical medicine.

Oncology Letters

Oncology Letters

Oncology Letters is an international journal devoted to Experimental and Clinical Oncology.

Biomedical Reports

Biomedical Reports

Explores a wide range of biological and medical fields, including pharmacology, genetics, microbiology, neuroscience, and molecular cardiology.

Molecular and Clinical Oncology

Molecular and Clinical Oncology

International journal addressing all aspects of oncology research, from tumorigenesis and oncogenes to chemotherapy and metastasis.

World Academy of Sciences Journal

World Academy of Sciences Journal

Multidisciplinary open-access journal spanning biochemistry, genetics, neuroscience, environmental health, and synthetic biology.

International Journal of Functional Nutrition

International Journal of Functional Nutrition

Open-access journal combining biochemistry, pharmacology, immunology, and genetics to advance health through functional nutrition.

International Journal of Epigenetics

International Journal of Epigenetics

Publishes open-access research on using epigenetics to advance understanding and treatment of human disease.

Medicine International

Medicine International

An International Open Access Journal Devoted to General Medicine.

Journal Cover
September-2022 Volume 17 Issue 3

Full Size Image

Sign up for eToc alerts
Recommend to Library

  • Article
  • Citations
    • Cite This Article
    • Download Citation
    • Create Citation Alert
    • Remove Citation Alert
    • Cited By
  • Similar Articles
    • Related Articles (in Spandidos Publications)
    • Similar Articles (Google Scholar)
    • Similar Articles (PubMed)
  • Download PDF
  • Download XML
  • View XML
Case Report Open Access

Long‑term survival of a BRCA2 mutation carrier following second ovarian cancer relapse using PARPi therapy: A case report

  • Authors:
    • Kathrin Bredow
    • Britta Blümcke
    • Stephanie Schneider
    • Michael Püsken
    • Rita Schmutzler
    • Kerstin Rhiem
  • View Affiliations / Copyright

    Affiliations: Center for Familial Breast and Ovarian Cancer, Center for Integrated Oncology (CIO), Medical Faculty, University of Cologne and University Hospital Cologne, D‑50931 Cologne, Germany, Department of Gynecology and Gynecologic Oncology, Evang. Kliniken Essen Mitte, D-45136 Essen, Germany, Department of Clinical Radiology, University of Cologne, D‑50931 Cologne, Germany
    Copyright: © Bredow et al. This is an open access article distributed under the terms of Creative Commons Attribution License.
  • Article Number: 137
    |
    Published online on: July 21, 2022
       https://doi.org/10.3892/mco.2022.2570
  • Expand metrics +
Metrics: Total Views: 0 (Spandidos Publications: | PMC Statistics: )
Metrics: Total PDF Downloads: 0 (Spandidos Publications: | PMC Statistics: )
Cited By (CrossRef): 0 citations Loading Articles...

This article is mentioned in:



Abstract

BRCA1/2 mutation carriers have lifelong increased risks of developing breast and ovarian cancer. Due to the lack of efficient ovarian cancer screening, patients mainly present when the tumors are at an advanced stage, and the long‑term survival is poor. The application of poly(ADP‑ribose) polymerase (PARP) inhibitors (PARPi) has been used in personalized cancer treatment. Specific strategies to improve the outcome of patients are available and mainly include targeting of BRCA1 or BRCA2 mutations. The aim of the present study was to report the case of a 67‑year old BRCA2 mutation carrier, who was enrolled in 2010 in one of the first PARPi studies (ICEBERG2). The patient exhibited second ovarian cancer (OC) relapse following a platinum‑free interval of 5 months. The third‑line treatment with olaparib monotherapy was initiated in January 2011, without prior surgery or chemotherapy, and achieved a persistent response. The patient demonstrated an unprecedented long‑term survival of >9 years under PARPi monotherapy after the second relapse of OC. The data of the present case report support the use of PARPi as a well‑tolerated and effective long‑term treatment, even for patients with unfavourable prognostic characteristics, such as platinum resistance, without immediately preceding optimal cytoreduction. However, further studies are required to provide more insight into the selection of patients for favourable maintenance treatment.

Introduction

Ovarian cancer (OC) is the third most common gynecological cancer and the second leading cause of gynecological cancer deaths globally (1). The most prominent risk factor for OC is the familial accumulation of breast and/or ovarian cancer cases. On average, germline mutations in the high-risk genes BRCA1 and BRCA2 are detected in 42% of affected families with OC (2). The cumulative OC risk in patients who are 80 years old or older is 44% (95% CI, 36-53%) for BRCA1 and 17% (95% CI, 11-25%) for BRCA2 carriers (3). Patients with germline BRCA mutations demonstrate different clinical characteristics from those with non-BRCA-associated OCs, including younger age at diagnosis, advanced stage at presentation, high-grade histology and optimal response to platinum-based chemotherapy (4). Although BRCA1/2 mutation carriers show improved prognosis compared with non-carriers (5), approximately 70-85% of patients relapse. The median survival for patients with recurrent disease ranges from 12 to 24 months (6). The overall survival (OS) rates have not significantly increased for these patients over the past 30 years. The use of carboplatin and paclitaxel as standard chemotherapy was implemented in 2003. Moreover, surgical complete resection is recognized as the most important prognostic factor that can influence the outcome of the disease. Since 2003, no significant improvements have been achieved (7,8), and the initial attempts at targeted therapy did not achieve a breakthrough. This was dramatically altered with the introduction of poly(ADP-ribose) polymerase (PARP) inhibitors (PARPi), which are a new class of antineoplastic targeted agents (9). Their function is based on the concept of synthetic lethality with a defect of the homologous recombination repair (HRR) (10). Patients with germline mutations in BRCA1 or BRCA2 have profound deficits in homologous recombination (HRD) and, therefore, benefit the most in clinical trials with PARPi (11-13,15). It was recently demonstrated that patients benefit from PARPi regardless of their BRCA status or HRD (16).

In the present study, the exceptional case of a BRCA2 mutation carrier who was diagnosed in 2008 with advanced OC (FIGO IIIC; Fédération Internationale de Gynécologie et d'Obstétrique, version before 01.01.2014) is reported. Following the second relapse in 10/2010, the patient was enrolled in one of the first PARPi studies (ICEBERG 2, AZ D810C00042, AZD2281; KU-0059436; https://clinicaltrials.gov/ct2/show/results/NCT00494442?term=olaparib&recrs=e&cond=ovarian+cancer&draw=1&rank=2) and has remained recurrence-free for >10 years.

Case report

A 67-year-old Caucasian woman presented with an extensive relapse of a high-grade serous ovarian carcinoma (HGSOC) in December 2010 at the Centre of Familial Breast and Ovarian Cancer Cologne. The patient had a serum cancer antigen 125 (CA-125) level of 42 kU/l. In 07/2008, she was first diagnosed with HGSOC (stage FIGOIIIc, M0) and she underwent primary debulking surgery (median laparotomy with total abdominal hysterectomy, bilateral salpingo-oopohorectomy, omentectomy, appendectomy, dissection of pelvic lymph nodes, resection of the peritoneum) with complete tumor resection followed by standard adjuvant chemotherapy with six cycles of carboplatin (AUC5) and paclitaxel (175 mg/m²).

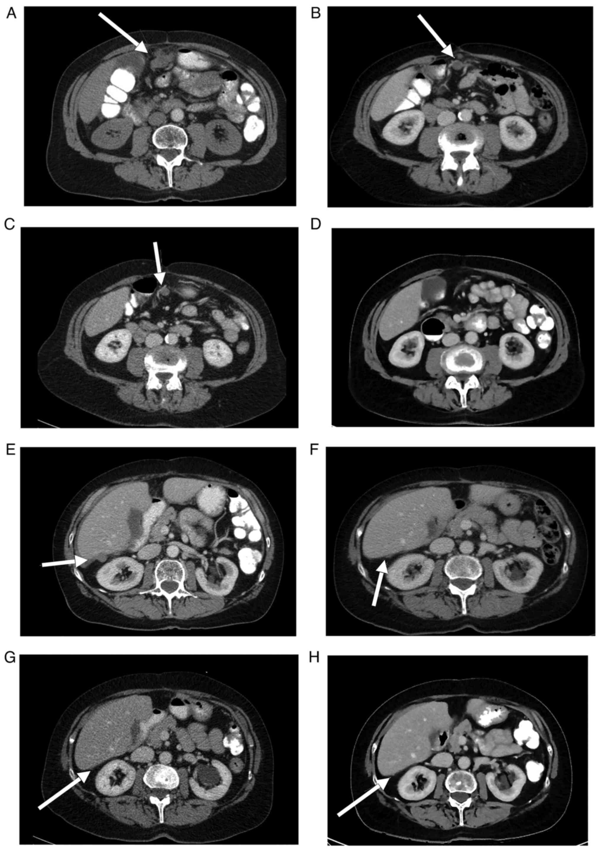
Following a platinum-free interval (PFI) of 12 months, the patient was diagnosed in 01/2010 with the first relapse and was administered re-induction chemotherapy containing six cycles of carboplatin (AUC5) and paclitaxel (175 mg/m²). After three cycles of chemotherapy, she developed a tumor-associated ischaemic covered colon perforation. She underwent a partial colon resection with end-to-end anastomosis and local tumour debulking, which showed histologically vital tumour tissue. She then completed chemotherapy with three further cycles until 05/2010. Her second relapse was diagnosed in 10/2010 following a 5-month PFI. Specifically, the patient developed progressive subdiaphragmal peritoneal metastases compared to 03/2010, newly diagnosed peritoneal metastases on the liver, ascites and right-sided pelvic nodular lesions, as well as metastastic spread below the abdominal wall 1.7 cm above the umbilicus (Fig. 1A-H). Since clinically there was no doubt about the presence of a second recurrence due to the tumour spread pattern, furthermore there was still no possibility of operating on the patient macroscopically completely tumour-free and as the patient was to be saved expected complications, histological confirmation of the second recurrence was not performed.

Figure 1

(A-D) Computed tomography imaging demonstrating the regression of a lesion of peritoneal carcinomatosis on the anterior abdominal wall (arrows) prior to the initiation of PARPi therapy on January 13, 2011 and the patient follow-up on March 2, 2011, November 7, 2012 and November 30, 2015. (E-H) Computed tomography imaging indicating the regression of a perihepatic lesion of peritoneal carcinomatosis (arrows) prior to initiation of PARPi therapy on January 13, 2011 and the follow-up on March 2, 2011, November 7, 2012 and November 30, 2015.

Due to her cancer history, which was associated with a significant familial cancer burden, a BRCA1/2 germline analysis was recommended. The patient suffered from bilateral breast cancer of the left side in 1987 and of the right side in 1999. She was treated with bilateral mastectomy and double CMF chemotherapy followed by endocrine therapy from 1987 to 1992 (20 mg tamoxifen/d) and from 1999 to 2002 (2.5 mg letrozol/d). Her family history indicated that one of her two dizygotic twin daughters, born in 1970, was diagnosed with a triple-negative breast cancer at the age of 38 years, and her maternal aunt was diagnosed with breast cancer at the age of 75 years (Fig. 2). The patient demonstrated a heterozygous pathogenic nonsense mutation (c.5857G>T (p.Glu1953X) in exon 11 of the BRCA2 gene (Fig. 3). Due to the mutation status and after obtaining her written informed consent, the patient was included in the ICEBERG 2 study (phase 2 study to assess the efficacy and safety of the PARPi olaparib for the treatment of BRCA-positive advanced OC) in January 2011, with 400 mg olaparib/2x per day prior to cytoreductive surgery or chemotherapy. The ethical approval regarding the inclusion of patients in the study was received from the Ethics Committee of the University Hospital of Cologne (EudraCT-Nr. 2010-022278-15, Protokoll-Nr. D0810C00042). During the first staging period, which occurred 8 weeks after enrollment, the patient exhibited a partial response as evidenced by CT imaging (small residual findings) and decreased levels of the tumor marker CA-125 (from 142 kU/l in January 2010 to 7 kU/l). Re-staging was performed every 8 weeks within the first 6-month period and subsequently every 12 weeks until the end of the study in November 2015. The assessment included CT of the abdomen/thorax and tumor marker controls (CA-125 and CA-153) without any sign of relapse (Fig. 1A-H). Since 2015, the patient has remained symptom-free and is subjected to regular tumor marker level measurements (CA-125 and CA-153, Fig. 4), which have been within the normal range (<35 kU/l). The results of additional examinations (haematology, clinical chemistry and urinanalysis) have also been within the normal range. Gynecological and physical examinations, including sonography, indicate no suspicion of relapse. The patient has remained relapse-free for 10 years (close-out visit: 12.07.2021, patient has given her written consent tot he publication of this case report). Therefore, PARPi therapy was associated with optimal efficacy and tolerability.

Figure 2

Pedigree of the family. Cancer family history of the index patient (1943, BC 43y, BC 55y, OC 64y, BRCA2+). One of the index patient's daughters (monozygotic twin) was diagnosed with heterozygous BRCA2 mutation and breast cancer at the age of 38 years. The index patient´s mother and father had no personal history of cancer at the ages of 48 and 93 years, respectively. The maternal aunt of the index patient was diagnosed with breast cancer at the age of 75 years.

Figure 3

Heterozygous pathogenic nonsense mutation (c.5857G>T (p.Glu1953X) in exon 11 of the BRCA2 gene (grey field marks the mutation).

Figure 4

Graphical course of the levels oft he tumor markers CA 125 and CA 15-3 from 2011 to 2019.

Discussion

The 10-year complete remission following a second relapse of OC on PARPi monotherapy described in the present case report is exceptional. Unlike the present case, long-term survivors of OC usually display favourable clinical characteristics, including optimal cytoreductive surgery at diagnosis and platinum-sensitive disease, indicated by a recurrence-free interval of >12 months following first-line chemotherapy (17). The patient reported in the present study was diagnosed with second relapse 5 months after completion of a re-induction of platinum-containing chemotherapy and received neither surgery nor chemotherapy prior to the initiation of PARPi therapy.

The favourable effect of a BRCA mutation on the prognosis of patients with OC has been well documented. Several studies have shown that OC patients with germline and somatic BRCA mutations have short-term survival benefits compared to OC patients without these mutations (18,19). By including PARPi in the treatment regimens, the outcome can be considerably improved.

PARPi provide maximum benefit in all clinical trials to patients with relapsed and platinum-sensitive OC with BRCA1 and BRCA2 germline mutations (gBRCAm) (12-14,20). Currently, PARPi therapy is indicated following complete or partial response to platinum-based chemotherapy (PBC), whereas it has been noted that, with each relapse, the response rates to PBC decrease. Second-line PBC achieves a response of 50-65% (21,22) compared with 11.9% of third-line chemotherapy (23).

In patients with advanced OC and germline BRCA mutations who have received at least two lines of previous chemotherapy, olaparib maintenance has been shown to prolong PFS compared to the placebo (median, 19.1 vs. 5.5 months; hazard ratio [HR], 0.30; 95% CI, 0.22-0.41) (14). An additional study on maintenance therapy with olaparib was conducted in a similar population and demonstrated a trend toward improved OS in patients receiving olaparib compared with placebo (HR, 0.73; 95% CI, 0.45-1.17). Moreover, the median OS was 34.9 months in patients with germline BRCA mutations. In the present study, 15 patients (11%) remained progression-free following 6 years on olaparib, although the mechanism of such a durable response remain unclear (24). The patient in the present study exceeded the median PFS reported in these trials, although she did not fulfil the optimal conditions (platinum-resistant OC, no prior surgery or platinum before PARPi). The BRCA2 mutation is a predictive factor for the response to PARPi therapy (12-14,20) and is most likely the explanation for the excellent therapeutic response. BRCA2-deficient cells are acutely sensitive to PARPi, as a result of their deficiency in homologous recombination. This is likely attributed to the lack of collapsed replication fork repair. Therefore, PARPi activity is essential in homologous recombination-deficient BRCA2 mutant cells (10), and mutation analysis is a central component in the treatment of OC patients and should be carried out for each patient.

The patient discussed herein had a striking personal and family history. However, approximately 50% of patients with OC, who are carriers of gBRCAm, do not have family history of ovarian or breast cancer, and may not be considered as candidates for germline genetic testing (25). The prevalence of deleterious germline variants in consecutive OC patients was 15.5 and 5.5% in the BRCA1 and BRCA2 genes, respectively (26). Moreover, the mutation prevalence in BRCA1 and BRCA2 depended on the age at onset (<60 y, 30.2% vs. >60y, 10.6%), positive family history (31.6% vs. 11.4%) and the histological subtype (HGSOC, 23.2% vs. other cancer types, 10.2%). However, a relevant proportion of patients carry mutations without fulfilling these factors, which renders genetic testing significant for all OC patients. The prevalence of deleterious somatic BRCA1/2 variants is 2-5%, while the vast majority of the deleterious variants found in the tumor was of germline origin (76.6%) (27).

Previous clinical studies have demonstrated that sensitivity to PARPi also occurs in tumor cells without gBRCA1/2m, indicating that the HRR pathway may be compromised by other mechanisms (e.g., mutation in other HRR genes and promoter methylation in BRCA1, PALB2 or RAD51C) (27). An estimated 50% of high-grade serous OC cases, which is considered the most common subtype of OC, has a deficiency in the HRR pathway (The Cancer Genome Atlas). Therefore, PARPi are beneficial in a much wider proportion of OC patients rather than only BRCA1/2 mutation carriers (28). The present case stresses the importance of genetic testing for patients with OC. Several trials are in progress in order to assess PARPi in patients with a wide variety of BRCA-associated tumors (e.g., prostate and pancreatic cancer), patients with tumors caused by mutations in other genes involved in HRR, and those patients without favourable clinical characteristics (e.g., platinum-resistance). The results of these studies may shed more light on the selection of specific patient groups than may benefit from targeted PARPi treatment.

References

1 

World Health Organization: https://www.who.int/ionizing_radiation/research/iarc/en/. March, 2020.

2 

Kast K, Rhiem K, Wappenschmidt B, Hahnen E, Hauke J, Bluemcke B, Zarghooni V, Herold N, Ditsch N, Kiechle M, et al: Prevalence of BRCA1/2 germline mutations in 21 401 families with breast and ovarian cancer. J Med Genet. 53:465–471. 2016.PubMed/NCBI View Article : Google Scholar

3 

Kuchenbaecker KB, Neuhausen SL, Robson M, Barrowdale D, McGuffog L, Mulligan AM, Andrulis IL, Spurdle AB, Schmidt MK, Schmutzler RK, et al: Associations of common breast cancer susceptibility alleles with risk of breast cancer subtypes in BRCA1 and BRCA2 mutation carriers. Breast Cancer Res. 16(3416)2014.PubMed/NCBI View Article : Google Scholar

4 

Gadducci A and Guerrieri ME: PARP inhibitors alone and in combination with other biological agents in homologous recombination deficient epithelial ovarian cancer: From the basic research to the clinic. Crit Rev Oncol Hematol. 114:153–165. 2017.PubMed/NCBI View Article : Google Scholar

5 

Bolton KL, Chenevix-Trench G, Goh C, Sadetzki S, Ramus SJ, Karlan BY, Lambrechts D, Despierre E, Barrowdale D, McGuffog L, et al: Association between BRCA1 and BRCA2 mutations and survival in women with invasive epithelial ovarian cancer. JAMA. 307:382–390. 2012.PubMed/NCBI View Article : Google Scholar

6 

Chuang YT and Chang CL: Extending platinum-free interval in partially platinum-sensitive recurrent ovarian cancer by a non-platinum regimen: Its possible clinical significance. Taiwan J Obstet Gynecol. 51:336–341. 2012.PubMed/NCBI View Article : Google Scholar

7 

Du Bois A, Lück HJ, Meier W, Adams HP, Möbus V, Costa S, Bauknecht T, Richter B, Warm M, Schröder W, et al: A randomized clinical trial of cisplatin/paclitaxel versus carboplatin/paclitaxel as first-line treatment of ovarian cancer. J Natl Cancer Inst. 95:1320–1329. 2003.PubMed/NCBI View Article : Google Scholar

8 

Du Bois A, Reuss A, Pujade-Lauraine E, Harter P, Ray-Coquard I and Pfisterer J: Role of surgical outcome as prognostic factor in advanced epithelial ovarian cancer: A combined exploratory analysis of 3 prospectively randomized phase 3 multicenter trials: By the Arbeitsgemeinschaft Gynaekologische Onkologie Studiengruppe Ovarialkarzinom (AGO-OVAR) and the Groupe d'Investigateurs Nationaux Pour les Etudes des Cancers de l'Ovaire (GINECO). Cancer. 115:1234–1244. 2009.PubMed/NCBI View Article : Google Scholar

9 

Farmer H, McCabe N, Lord CJ, Tutt AN, Johnson DA, Richardson TB, Santarosa M, Dillon KJ, Hickson I, Knights C, et al: Targeting the DNA repair defect in BRCA mutant cells as a therapeutic strategy. Nature. 434:917–921. 2005.PubMed/NCBI View Article : Google Scholar

10 

Bryant HE, Schultz N, Thomas HD, Parker KM, Flower D, Lopez E, Kyle S, Meuth M, Curtin NJ and Helleday T: Specific killing of BRCA2-deficient tumours with inhibitors of poly(ADP-ribose) polymerase. Nature. 434:913–917. 2005.PubMed/NCBI View Article : Google Scholar

11 

Audeh MW, Carmichael J, Penson RT, Friedlander M, Powell B, Bell-McGuinn KM, Scott C, Weitzel JN, Oaknin A, Loman N, et al: Oral poly(ADP-ribose) polymerase inhibitor olaparib in patients with BRCA1 or BRCA2 mutations and recurrent ovarian cancer: A proof-of-concept trial. Lancet. 376:245–251. 2010.PubMed/NCBI View Article : Google Scholar

12 

Ledermann J, Harter P, Gourley C, Friedlander M, Vergote I, Rustin G, Scott C, Meier W, Shapira-Frommer R, Safra T, et al: Olaparib maintenance therapy in platinumsensitive relapsed ovarian cancer. N Engl J Med. 366:1382–1392. 2012.

13 

Ledermann JA, Harter P, Gourley C, Friedlander M, Vergote I, Rustin G, Scott C, Meier W, Shapira-Frommer R, Safra T, et al: Overall survival in patients with platinum-sensitive recurrent serous ovarian cancer receiving olaparib maintenance monotherapy: An updated analysis from a randomised, placebo-controlled, double-blind, phase 2 trial. Lancet Oncol. 17:1579–1589. 2016.PubMed/NCBI View Article : Google Scholar

14 

Pujade-Lauraine E, Ledermann JA, Selle F, Gebski V, Penson RT, Oza AM, Korach J, Huzarski T, Poveda A, Pignata S, et al: Olaparib tablets as maintenance therapy in patients with platinum-sensitive, relapsed ovarian cancer and a BRCA1/2 mutation (SOLO2/ENGOT-Ov21): A double-blind, randomised, placebocontrolled, phase 3 trial. Lancet Oncol. 18:1274–1284. 2017.PubMed/NCBI View Article : Google Scholar

15 

Moore K, Colombo N, Scambia G, Kim BG, Oaknin A, Friedlander M, Lisyanskaya A, Floquet A, Leary A, Sonke GS, et al: Maintenance olaparib in patients with newly diagnosed advanced ovarian cancer. N Engl J Med. 379:2495–2505. 2018.PubMed/NCBI View Article : Google Scholar

16 

Mirza MR, Åvall Lundqvist E, Birrer MJ, dePont Christensen R, Nyvang GB, Malander S, Anttila M, Werner TL, Lund B, Lindahl G, et al: Niraparib maintenance therapy in platinumsensitive, recurrent ovarian Cancer. N Engl J Med. 375:2154–2164. 2016.PubMed/NCBI View Article : Google Scholar

17 

Dao F, Schlappe BA, Tseng J, Lester J, Nick AM, Lutgendorf SK, McMeekin S, Coleman RL, Moore KN, Karlan BY, et al: Characteristics of 10-year survivors of high-grade serous ovarian carcinoma. Gynecol Oncol. 141:260–263. 2016.PubMed/NCBI View Article : Google Scholar

18 

McLaughlin JR, Rosen B and Moody J: Long-term ovarian cancer survival associated with mutation in BRCA1 or BRCA2. J Natl Cancer Inst. 105:141–148. 2013.PubMed/NCBI View Article : Google Scholar

19 

Xu K, Yang S and Zhao Y: Prognostic significance of BRCA mutations in ovarian cancer: An updated systematic review with meta-analysis. Oncotarget. 8:285–302. 2017.PubMed/NCBI View Article : Google Scholar

20 

Drew Y, Ledermann J, Hall G, Rea D, Glasspool R, Highley M, Jayson G, Sludden J, Murray J, Jamieson D, et al: Phase 2 multicentre trial investigating intermittent and continuous dosing schedules of the poly(ADP-ribose) polymerase inhibitor rucaparib in germline BRCA mutation carriers with advanced ovarian and breast cancer. Br J Cancer. 114:723–730. 2016.PubMed/NCBI View Article : Google Scholar

21 

Markman M, Rothman R, Hakes T, Reichman B, Hoskins W, Rubin S, Jones W, Almadrones L and Lewis JL Jr: Second-line platinum therapy in patients with ovarian cancer previously treated with cisplatin. J Clin Oncol. 9:389–393. 1991.PubMed/NCBI View Article : Google Scholar

22 

Parmar MK, Ledermann JA, Colombo N, du Bois A, Delaloye JF, Kristensen GB, Wheeler S, Swart AM, Qian W, Torri V, et al: Paclitaxel plus platinum-based chemotherapy versus conventional platinum-based chemotherapy in women with relapsed ovarian cancer: The ICON4/AGO-OVAR-2.2 trial. Lancet. 361:2099–2106. 2003.PubMed/NCBI View Article : Google Scholar

23 

Bruchim I, Jarchowsky-Dolberg O and Fishman A: Advanced (>second) line chemotherapy in the treatment of patients with recurrent epithelial ovarian cancer. Eur J Obstet Gynecol Reprod Biol. 166:94–98. 2013.PubMed/NCBI View Article : Google Scholar

24 

Friedlander M, Matulonis U, Gourley C, du Bois A, Vergote I, Rustin G, Scott C, Meier W, Shapira-Frommer R, Safra T, et al: Long-term efficacy, tolerability and overall survival in patients with platinum-sensitive, recurrent high-grade serous ovarian cancer treated with maintenance olaparib capsules following response to chemotherapy. Br J Cancer. 119:1075–1085. 2018.PubMed/NCBI View Article : Google Scholar

25 

Alsop K, Fereday S, Meldrum C, deFazio A, Emmanuel C, George J, Dobrovic A, Birrer MJ, Webb PM, Stewart C, et al: BRCA mutation frequency and patterns of treatment response in BRCA mutation-positive women with ovarian cancer: A report from the Australian Ovarian Cancer Study Group. J Clin Oncol. 30:2654–2663. 2012.PubMed/NCBI View Article : Google Scholar

26 

Harter P, Hauke J, Heitz F, Reuss A, Kommoss S, Marmé F, Heimbach A, Prieske K, Richters L, Burges A, et al: Prevalence of deleterious germline variants in risk genes including BRCA1/2 in consecutive ovarian cancer patients (AGO-TR-1). PLoS One. 12(e0186043)2017.PubMed/NCBI View Article : Google Scholar

27 

Hauke J, Hahnen E, Schneider S, Reuss A, Richters L, Kommoss S, Heimbach A, Marmé F, Schmidt S, Prieske K, et al: Deleterious somatic variants in 473 consecutive individuals with ovarian cancer: Results of the observational AGO-TR1 study (NCT02222883). J Med Genet. 56:574–580. 2019.PubMed/NCBI View Article : Google Scholar

28 

González-Martín A, Pothuri B, Vergote I, DePont Christensen R, Graybill W, Mirza MR, McCormick C, Lorusso D, Hoskins P, Freyer G, et al: PRIMA/ENGOT-OV26/GOG-3012 investigators. niraparib in patients with newly diagnosed advanced ovarian cancer. N Engl J Med. 381:2391–2402. 2019.PubMed/NCBI View Article : Google Scholar

Related Articles

  • Abstract
  • View
  • Download
  • Twitter
Copy and paste a formatted citation
Spandidos Publications style
Bredow K, Blümcke B, Schneider S, Püsken M, Schmutzler R and Rhiem K: Long‑term survival of a <em>BRCA2</em> mutation carrier following second ovarian cancer relapse using PARPi therapy: A case report. Mol Clin Oncol 17: 137, 2022.
APA
Bredow, K., Blümcke, B., Schneider, S., Püsken, M., Schmutzler, R., & Rhiem, K. (2022). Long‑term survival of a <em>BRCA2</em> mutation carrier following second ovarian cancer relapse using PARPi therapy: A case report. Molecular and Clinical Oncology, 17, 137. https://doi.org/10.3892/mco.2022.2570
MLA
Bredow, K., Blümcke, B., Schneider, S., Püsken, M., Schmutzler, R., Rhiem, K."Long‑term survival of a <em>BRCA2</em> mutation carrier following second ovarian cancer relapse using PARPi therapy: A case report". Molecular and Clinical Oncology 17.3 (2022): 137.
Chicago
Bredow, K., Blümcke, B., Schneider, S., Püsken, M., Schmutzler, R., Rhiem, K."Long‑term survival of a <em>BRCA2</em> mutation carrier following second ovarian cancer relapse using PARPi therapy: A case report". Molecular and Clinical Oncology 17, no. 3 (2022): 137. https://doi.org/10.3892/mco.2022.2570
Copy and paste a formatted citation
x
Spandidos Publications style
Bredow K, Blümcke B, Schneider S, Püsken M, Schmutzler R and Rhiem K: Long‑term survival of a <em>BRCA2</em> mutation carrier following second ovarian cancer relapse using PARPi therapy: A case report. Mol Clin Oncol 17: 137, 2022.
APA
Bredow, K., Blümcke, B., Schneider, S., Püsken, M., Schmutzler, R., & Rhiem, K. (2022). Long‑term survival of a <em>BRCA2</em> mutation carrier following second ovarian cancer relapse using PARPi therapy: A case report. Molecular and Clinical Oncology, 17, 137. https://doi.org/10.3892/mco.2022.2570
MLA
Bredow, K., Blümcke, B., Schneider, S., Püsken, M., Schmutzler, R., Rhiem, K."Long‑term survival of a <em>BRCA2</em> mutation carrier following second ovarian cancer relapse using PARPi therapy: A case report". Molecular and Clinical Oncology 17.3 (2022): 137.
Chicago
Bredow, K., Blümcke, B., Schneider, S., Püsken, M., Schmutzler, R., Rhiem, K."Long‑term survival of a <em>BRCA2</em> mutation carrier following second ovarian cancer relapse using PARPi therapy: A case report". Molecular and Clinical Oncology 17, no. 3 (2022): 137. https://doi.org/10.3892/mco.2022.2570
Follow us
  • Twitter
  • LinkedIn
  • Facebook
About
  • Spandidos Publications
  • Careers
  • Cookie Policy
  • Privacy Policy
How can we help?
  • Help
  • Live Chat
  • Contact
  • Email to our Support Team