Spandidos Publications Logo
  • About
    • About Spandidos
    • Aims and Scopes
    • Abstracting and Indexing
    • Editorial Policies
    • Reprints and Permissions
    • Job Opportunities
    • Terms and Conditions
    • Contact
  • Journals
    • All Journals
    • Oncology Letters
      • Oncology Letters
      • Information for Authors
      • Editorial Policies
      • Editorial Board
      • Aims and Scope
      • Abstracting and Indexing
      • Bibliographic Information
      • Archive
    • International Journal of Oncology
      • International Journal of Oncology
      • Information for Authors
      • Editorial Policies
      • Editorial Board
      • Aims and Scope
      • Abstracting and Indexing
      • Bibliographic Information
      • Archive
    • Molecular and Clinical Oncology
      • Molecular and Clinical Oncology
      • Information for Authors
      • Editorial Policies
      • Editorial Board
      • Aims and Scope
      • Abstracting and Indexing
      • Bibliographic Information
      • Archive
    • Experimental and Therapeutic Medicine
      • Experimental and Therapeutic Medicine
      • Information for Authors
      • Editorial Policies
      • Editorial Board
      • Aims and Scope
      • Abstracting and Indexing
      • Bibliographic Information
      • Archive
    • International Journal of Molecular Medicine
      • International Journal of Molecular Medicine
      • Information for Authors
      • Editorial Policies
      • Editorial Board
      • Aims and Scope
      • Abstracting and Indexing
      • Bibliographic Information
      • Archive
    • Biomedical Reports
      • Biomedical Reports
      • Information for Authors
      • Editorial Policies
      • Editorial Board
      • Aims and Scope
      • Abstracting and Indexing
      • Bibliographic Information
      • Archive
    • Oncology Reports
      • Oncology Reports
      • Information for Authors
      • Editorial Policies
      • Editorial Board
      • Aims and Scope
      • Abstracting and Indexing
      • Bibliographic Information
      • Archive
    • Molecular Medicine Reports
      • Molecular Medicine Reports
      • Information for Authors
      • Editorial Policies
      • Editorial Board
      • Aims and Scope
      • Abstracting and Indexing
      • Bibliographic Information
      • Archive
    • World Academy of Sciences Journal
      • World Academy of Sciences Journal
      • Information for Authors
      • Editorial Policies
      • Editorial Board
      • Aims and Scope
      • Abstracting and Indexing
      • Bibliographic Information
      • Archive
    • International Journal of Functional Nutrition
      • International Journal of Functional Nutrition
      • Information for Authors
      • Editorial Policies
      • Editorial Board
      • Aims and Scope
      • Abstracting and Indexing
      • Bibliographic Information
      • Archive
    • International Journal of Epigenetics
      • International Journal of Epigenetics
      • Information for Authors
      • Editorial Policies
      • Editorial Board
      • Aims and Scope
      • Abstracting and Indexing
      • Bibliographic Information
      • Archive
    • Medicine International
      • Medicine International
      • Information for Authors
      • Editorial Policies
      • Editorial Board
      • Aims and Scope
      • Abstracting and Indexing
      • Bibliographic Information
      • Archive
  • Articles
  • Information
    • Information for Authors
    • Information for Reviewers
    • Information for Librarians
    • Information for Advertisers
    • Conferences
  • Language Editing
Spandidos Publications Logo
  • About
    • About Spandidos
    • Aims and Scopes
    • Abstracting and Indexing
    • Editorial Policies
    • Reprints and Permissions
    • Job Opportunities
    • Terms and Conditions
    • Contact
  • Journals
    • All Journals
    • Biomedical Reports
      • Information for Authors
      • Editorial Policies
      • Editorial Board
      • Aims and Scope
      • Abstracting and Indexing
      • Bibliographic Information
      • Archive
    • Experimental and Therapeutic Medicine
      • Information for Authors
      • Editorial Policies
      • Editorial Board
      • Aims and Scope
      • Abstracting and Indexing
      • Bibliographic Information
      • Archive
    • International Journal of Epigenetics
      • Information for Authors
      • Editorial Policies
      • Editorial Board
      • Aims and Scope
      • Abstracting and Indexing
      • Bibliographic Information
      • Archive
    • International Journal of Functional Nutrition
      • Information for Authors
      • Editorial Policies
      • Editorial Board
      • Aims and Scope
      • Abstracting and Indexing
      • Bibliographic Information
      • Archive
    • International Journal of Molecular Medicine
      • Information for Authors
      • Editorial Policies
      • Editorial Board
      • Aims and Scope
      • Abstracting and Indexing
      • Bibliographic Information
      • Archive
    • International Journal of Oncology
      • Information for Authors
      • Editorial Policies
      • Editorial Board
      • Aims and Scope
      • Abstracting and Indexing
      • Bibliographic Information
      • Archive
    • Medicine International
      • Information for Authors
      • Editorial Policies
      • Editorial Board
      • Aims and Scope
      • Abstracting and Indexing
      • Bibliographic Information
      • Archive
    • Molecular and Clinical Oncology
      • Information for Authors
      • Editorial Policies
      • Editorial Board
      • Aims and Scope
      • Abstracting and Indexing
      • Bibliographic Information
      • Archive
    • Molecular Medicine Reports
      • Information for Authors
      • Editorial Policies
      • Editorial Board
      • Aims and Scope
      • Abstracting and Indexing
      • Bibliographic Information
      • Archive
    • Oncology Letters
      • Information for Authors
      • Editorial Policies
      • Editorial Board
      • Aims and Scope
      • Abstracting and Indexing
      • Bibliographic Information
      • Archive
    • Oncology Reports
      • Information for Authors
      • Editorial Policies
      • Editorial Board
      • Aims and Scope
      • Abstracting and Indexing
      • Bibliographic Information
      • Archive
    • World Academy of Sciences Journal
      • Information for Authors
      • Editorial Policies
      • Editorial Board
      • Aims and Scope
      • Abstracting and Indexing
      • Bibliographic Information
      • Archive
  • Articles
  • Information
    • For Authors
    • For Reviewers
    • For Librarians
    • For Advertisers
    • Conferences
  • Language Editing
Login Register Submit
  • This site uses cookies
  • You can change your cookie settings at any time by following the instructions in our Cookie Policy. To find out more, you may read our Privacy Policy.

    I agree
Search articles by DOI, keyword, author or affiliation
Search
Advanced Search
presentation
Molecular and Clinical Oncology
Join Editorial Board Propose a Special Issue
Print ISSN: 2049-9450 Online ISSN: 2049-9469
Journal Cover
February-2023 Volume 18 Issue 2

Full Size Image

Sign up for eToc alerts
Recommend to Library

Journals

International Journal of Molecular Medicine

International Journal of Molecular Medicine

International Journal of Molecular Medicine is an international journal devoted to molecular mechanisms of human disease.

International Journal of Oncology

International Journal of Oncology

International Journal of Oncology is an international journal devoted to oncology research and cancer treatment.

Molecular Medicine Reports

Molecular Medicine Reports

Covers molecular medicine topics such as pharmacology, pathology, genetics, neuroscience, infectious diseases, molecular cardiology, and molecular surgery.

Oncology Reports

Oncology Reports

Oncology Reports is an international journal devoted to fundamental and applied research in Oncology.

Experimental and Therapeutic Medicine

Experimental and Therapeutic Medicine

Experimental and Therapeutic Medicine is an international journal devoted to laboratory and clinical medicine.

Oncology Letters

Oncology Letters

Oncology Letters is an international journal devoted to Experimental and Clinical Oncology.

Biomedical Reports

Biomedical Reports

Explores a wide range of biological and medical fields, including pharmacology, genetics, microbiology, neuroscience, and molecular cardiology.

Molecular and Clinical Oncology

Molecular and Clinical Oncology

International journal addressing all aspects of oncology research, from tumorigenesis and oncogenes to chemotherapy and metastasis.

World Academy of Sciences Journal

World Academy of Sciences Journal

Multidisciplinary open-access journal spanning biochemistry, genetics, neuroscience, environmental health, and synthetic biology.

International Journal of Functional Nutrition

International Journal of Functional Nutrition

Open-access journal combining biochemistry, pharmacology, immunology, and genetics to advance health through functional nutrition.

International Journal of Epigenetics

International Journal of Epigenetics

Publishes open-access research on using epigenetics to advance understanding and treatment of human disease.

Medicine International

Medicine International

An International Open Access Journal Devoted to General Medicine.

Journal Cover
February-2023 Volume 18 Issue 2

Full Size Image

Sign up for eToc alerts
Recommend to Library

  • Article
  • Citations
    • Cite This Article
    • Download Citation
    • Create Citation Alert
    • Remove Citation Alert
    • Cited By
  • Similar Articles
    • Related Articles (in Spandidos Publications)
    • Similar Articles (Google Scholar)
    • Similar Articles (PubMed)
  • Download PDF
  • Download XML
  • View XML
Article Open Access

Renal cell carcinoma T staging: Diagnostic accuracy of preoperative contrast‑enhanced computed tomography

  • Authors:
    • Salah M. Fateh
    • Lusan A. Arkawazi
    • Soran H. Tahir
    • Rezheen J. Rashid
    • Dalshad H. Rahman
    • Ismaeel Aghaways
    • Fahmi H. Kakamad
    • Abdulwahid M. Salih
    • Rawa Bapir
    • Saman S. Fakhralddin
    • Fattah H. Fattah
    • Berun A. Abdalla
    • Shvan H. Mohammed
  • View Affiliations / Copyright

    Affiliations: College of Medicine, University of Sulaimani, Sulaimani, Kurdistan 46000, Republic of Iraq, Department of Scientific Affairs, Smart Health Tower, Sulaimani, Kurdistan 46000, Republic of Iraq, Department of Surgery, Shar Hospital, Sulaimani, Kurdistan 46000, Republic of Iraq, Kscien Organization, Sulaimani, Kurdistan 46000, Republic of Iraq
    Copyright: © Fateh et al. This is an open access article distributed under the terms of Creative Commons Attribution License.
  • Article Number: 11
    |
    Published online on: January 11, 2023
       https://doi.org/10.3892/mco.2023.2607
  • Expand metrics +
Metrics: Total Views: 0 (Spandidos Publications: | PMC Statistics: )
Metrics: Total PDF Downloads: 0 (Spandidos Publications: | PMC Statistics: )
Cited By (CrossRef): 0 citations Loading Articles...

This article is mentioned in:



Abstract

Renal cell carcinoma (RCC) accounts for 1‑2% of all malignancies and is the most common renal tumor in adults. Imaging studies are used for diagnosis and staging. Tumor‑Node‑Metastasis staging strongly affects prognosis and management, while contrast‑enhanced computed tomography (CECT) is regarded as a standard imaging technique for local and distant staging. The present study aimed to evaluate the accuracy of CECT for the preoperative staging of RCC by using surgical and pathological staging as the reference methods. This single‑center prospective study was conducted between October 2019 and November 2021. The preoperative abdominal CT scans of patients suspected of having RCC were reviewed. Imaging data were collected, including tumor side and size, and perinephric fat invasion. Intraoperative notes were recorded, including the operation type, perinephric fat invasion, renal vein (RV) or inferior vena cava (IVC) tumor extension, and surrounding organ invasion. pathological data were collected on tumor size, RCC type, presence of clear margins, presence of renal capsule or perinephric fat invasion, renal sinus or pelvicalyceal system (PCS) invasion, segmental or main RV extension, and the involvement of Gerota's fascia and nearby organs. Preoperative CECT revealed that 42 out of 59 tumors had a greater maximum diameter than the pathological specimen, with an overall disparity of 0.25 cm. The specificity of CT for the detection of tumor invasion of the perinephric and renal sinus fat and PCS was 95%, and the sensitivity ranged from 80 to 88%. CT had an 83% sensitivity and a 95 specificity in detecting T4 stage cancer, with a 100% specificity for adrenal invasion. The concordance between radiographic and histological results for RV and IVC involvement was high, with specificities of 94 and 98%, and sensitivities of 80 and 100%, respectively. Overall accuracy for correct T staging was 80%. In conclusion, CECT is accurate in the local T staging of RCC, with high sensitivity and specificity for estimating tumor size and detecting extension to nearby structures and venous invasion.

Introduction

Renal cell carcinoma (RCC) consists of a heterogeneous group of tumors originating from renal tubular epithelial cells and is one of the 10 most frequently occurring cancer types in the world; it accounts for 2% of all cancer diagnoses and cancer-associated deaths worldwide (1). RCC is the most common malignant tumor of the kidney, accounting for 85-90% of all renal cancer cases and 1-2% of all malignancies (2). According to pathological features, mutational analysis and syndromic correlations, RCC has been classified into several subtypes: Clear cell carcinoma (70-90%), papillary RCC (10-15%) and chromophobe RCC (3-5%). Classifying the subtype of RCC has clinical significance in prognosis and therapeutic interventions (3). Despite improvements in diagnosis, mainly improved imaging modalities and the incidental detection of a number of tumors by imaging tests for unrelated complaints, nearly 30% of all patients with RCC are diagnosed with a metastatic illness (4). Contrast-enhanced computed tomography (CECT) is the modality of choice for the preoperative characterization and staging of renal tumors, and for follow-up of an RCC that has been kept under active surveillance or treated non-operatively. Native scan, arterial ‘corticomedullary’ phase, parenchymal ‘nephrographic’ phase and pelvicalyceal ‘excretory’ phase are all essential techniques, and three-plane reconstruction is suggested in all patients (5). Tumor size and local T staging have been shown to be independent predictors of outcome, with higher T stages portending a poorer survival rate; for example, the 5- and 10-year disease-free survival rates after surgery for T1, T2, T3a, T3b and T3c tumors are ~95 and 91%, 80 and 70%, 66 and 53%, 52 and 43%, and 43 and 42%, respectively (5,6). In local T staging of RCC (Table I), T1 and T2 are solely determined by tumor size in the absence of invasion of surrounding structures (7). The importance of local T staging also matters for the operational approach; for T1a tumors, partial nephrectomy (PN) or tumor enucleation has become standard, while for larger tumors, PN is considered (if suitable), but is not yet conventional (8). Staging a tumor as T3a reduces overall tumor-related survival rates by 4-6 times, requires radical nephrectomy and doubles the chance of distant metastases (~16% for T2 and 34% for T3) (9,10). Preoperative detection of the invasion of the renal vein (RV) or its segments (T3a), the infradiaphragmatic inferior vena cava (IVC) (T3b), the supradiphragmatic IVC or the IVC wall (T3c) is crucial, as this will impact the operation plan and require a multidisciplinary approach that includes cardiothoracic and hepatobiliary teams. In some cases when distant metastasis is present, only cytoreductive surgery is performed (11).

Table I

Primary renal cell carcinoma staging (T staging).

Table I

Primary renal cell carcinoma staging (T staging).

T categoryT criteria
TxPrimary tumor cannot be assessed
T0No evidence of primary tumor
T1Tumor <7 cm in greatest dimension, limited to the kidney
     T1aTumor <4 cm in greatest dimension, limited to the kidney
     T1bTumor >4 cm but <7 cm in greatest dimension, limited to the kidney
T2Tumor >7 cm in greatest dimension, limited to the kidney
     T2aTumor >7 cm but <10 cm in greatest dimension, limited to the kidney
     T2bTumor >10 cm, limited to the kidney
T3Tumor extends into major veins or perinephric tissues. But not into the ipsilateral adrenal gland and not beyond Gerota's fascia
     T3aTumor extends into the renal vein or its segmental branches, the pelvicalyceal system, or the perirenal and/or renal sinus fat but not beyond Gerota's fascia
     T3bTumor extends into the vena cava below the diaphragm
     T3cTumor extends into the vena cava above the diaphragm or invades the wall of the vena cava
T4Tumor invades beyond Gerota's fascia (including contiguous extension into the ipsilateral adrenal gland)

The current study aimed to evaluate the accuracy of CECT for the preoperative staging of RCC by using surgical and pathological staging as reference methods.

Patients and methods

Study population

This is a single-center prospective study conducted between October 2019 and November 2021 at the Radiology Center of Sulaimani Teaching Hospital in Sulaimani, Iraq. It was performed for individuals who had a renal mass and were diagnosed with RCC based on clinical and imaging studies. The age of the patients ranged from 31 to 80 years, with a median age of 52 years and a mean age of 56.1 years. Among the patients, 35 (59.32%) were male and 24 (40.68%) were female.

Ethical approval

The study was approved by the Arab Board Scientific Committee of the Iraqi Ministry of Health (approval no. 22-2018). All participants gave verbal and written informed consent for the participation in the CECT, as well the publication of CECT data and that of surgical and pathological data.

Inclusion and exclusion criteria

Adult patients with renal masses who had optimal CECT, a pathology report confirming RCC and adequate local T staging (within 3 weeks of surgery, containing native, nephrographic and delayed phase images, and thin slices reformatted in coronal and sagittal sections) were included in this study. The exclusion criteria included the following: i) Patients in the pediatric age group, as most of the renal tumors in this age group are Wilm's tumors, and RCC is rarely encountered; ii) tumors radiologically suspected to be RCC, but subsequently proved to be a non-RCC tumor; iii) tumors radiologically consistent with AML, transitional cell carcinoma or lymphoma; and iv) tumors radiologically suspected to be RCC, but without pathological confirmation.

Radiological evaluation

Patients with suspected RCC had their preoperative abdominal CT scans reviewed. The study included native, nephrographic and excretory phases with non-ionic intravenous (IV) contrast. The contrast material routinely used for these scans was Low Osmolar Contrast Media administered at a rate of 2-4 ml/sec through an automated IV injector at a dose of 1-1.5 ml/kg.

The scan region extended from the diaphragm to the symphysis pubis. CECT was performed with a thickness of 5 mm in the axial plane, then reconstructed to a 1-2 mm thickness, and reformatted to the coronal and sagittal planes.

Imaging data were collected, including tumor side and size (largest tumor diameter in any plane), and perinephric fat invasion. The latter was diagnosed when there was fat stranding in addition to an irregular tumor edge, angular lobulation, and nodular extension or obvious tumor invasion towards Gerota's fascia, but without reaching it.

In the early stages, the excretory phase was reviewed for perinephric fat stranding and the invasion of the pelvicalyceal system (PCS) and renal sinus fat. Other parameters that were assessed included tumor extension into the major RV or its segmental branches, IVC extension or wall invasion in the nephrographic and excretory phases, and the invasion of Gerota's fascia (clear invasion by thickening and breaching, or contact >1 cm).

Invasion of the adrenal gland and other surrounding organs was determined by loss of the fat plane and contact (>1 cm) in all planes, loss of the fat plane between the tumor and the organ with local change in enhancement or texture, or obvious tumor extension into the organ. Lastly, the radiologic T stage was recorded according to the Tumor-Node-Metastasis (TNM) staging system (Table I) (5,6).

Operative and pathological evaluation

Intraoperative notes were recorded, including the operation type, perinephric fat invasion, RV or IVC tumor extension, and surrounding organ invasion. Pathological data were collected on tumor size, RCC type, presence of clear margins, preservation of renal capsule or perinephric fat invasion, renal sinus or PCS invasion, segmental or main RV extension, and involvement of Gerota's fascia or nearby organs.

Data entry and statistical analysis

The collected data were organized in Microsoft Excel 2016 (Microsoft Corporation) for better classification, and statistical analysis was performed using STATA version 15 (StataCorp LP) and Microsoft Excel. Descriptive statistics (mean, frequency, percentage) and analytical statistics (P-value) were calculated for related data. Fisher's exact test was used for the comparison of categorical data (as >20% of the cells contained count numbers of <5), and unpaired the t-test was calculated for comparison of the numerical data. The association between two variables was measured by Pearson's correlation. P≤0.05 was considered to indicate a statistically significant difference.

Results

In the current study, 59 patients with RCC were included. The average age ± standard deviation of the patients was 56.24±12.70. Table II shows the distribution of the tumors by sex, side and pole of the kidney, and type of operation.

Table II

Baseline characteristics in patients with renal cell carcinoma.

Table II

Baseline characteristics in patients with renal cell carcinoma.

Base-line characteristicsn (%)
Sex 
     Male35 (59.32)
     Female24 (40.68)
Side 
     Right32 (54.24)
     Left27 (45.76)
Pole of kidney 
     Upper11 (18.64)
     Middle12 (20.34)
     Lower17 (28.81)
     Upper and middle10 (16.95)
     Lower and middle6 (10.17)
     Diffuse involvement3 (5.08)
Type of operation 
     Radical nephrectomy37 (62.71)
     Partial nephrectomy19 (32.20)
     Enucleation of mass2 (3.39)
     No operation1 (1.69)

The average tumor size in the radiological and pathological staging was 6.72 and 6.47 cm, respectively; however, the mean difference in tumor size between the radiological and pathological findings was not statistically significant (mean difference, 0.25 cm; 95% CI, -1.22 to 1.72; t=0.34; P=0.734).

Overall, the pathological measurements revealed that 71.19% (n=42) of the tumors were smaller, 11.89% (n=7) were of the same size and 16.94% (n=10) were larger than the radiological measurements. The scatter plot shows a positive linear correlation between the pathological and radiological tumor sizes (r=0.989; P<0.001; Fig. 1).

Figure 1

Plot showing Pearson's correlation coefficient between radiological tumor size and pathological tumor size (n=59; P<0.001).

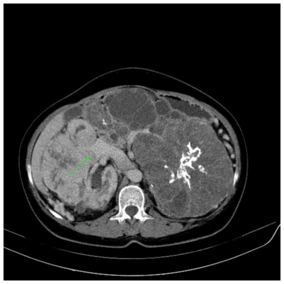
Fig. 2 demonstrates one of the criteria for perinephric fat invasion, namely, a nodular extension from the tumor to the perinephric fat (T3a). Fig. 3 shows an enhanced filling defect in the right main renal vein in the arterial and nephrographic phases without extension to the IVC.

Figure 2

Perinephric fat invasion. Right-sided renal cell carcinoma with an enhancing nodule from the anterior part of the tumor invading the perinephric fat (stage T3a), as indicated by the arrow.

Figure 3

Computed tomography scan of a right-sided RCC showing expansion and an enhancing filling defect in the right renal vein (stage T3a), as indicated by the arrow. The patient had von-Hippel-Lindau disease; there were two pancreatic lesions (serous cystadenomas) and a contralateral nephrectomy had been performed previously due to RCC. RCC, renal cell carcinoma.

CECT accurately detected perinephric fat invasion in 12 out of 15 cases and excluded invasion in 42 out of 44 pathologically negative cases. CECT was able to detect PCS and sinus fat invasion in 15 out of 17 pathologically proven patients, while excluding invasion in 40 out of 42 negative cases (Table III).

Table III

Sensitivity, specificity and predictive values of detecting invasion of perinephric fat, PCS and sinus fat using contrast-enhanced computed tomography.

Table III

Sensitivity, specificity and predictive values of detecting invasion of perinephric fat, PCS and sinus fat using contrast-enhanced computed tomography.

ParameterPerinephric fat invasionPCS or sinus fat extension
Sensitivity, %80.0088.23
Specificity, %95.4595.23
PPV, %85.7188.23
NPV, %93.3395.23

[i] PCS, pelvicalyceal system; PPV, positive predictive value; NPV, negative predictive value.

Regarding renal vein invasion, CECT detected 8 out of 10 pathologically proven patients and excluded 46 out of 49 negative cases. CECT detected both cases of IVC invasion and excluded 56 out of 57 pathologically negative cases. Furthermore, four out of five cases of Gerota's fascia invasion were diagnosed radiologically, and 52 out of 54 patients were accurately excluded. Adrenal invasion was diagnosed in 1 out of 2 cases, while all 57 pathologically negative cases were excluded using CECT (Table IV).

Table IV

Sensitivity, specificity and predictive values of detecting invasion of the renal vein, IVC, Gerota's fascia and adrenal gland using contrast-enhanced computed tomography.

Table IV

Sensitivity, specificity and predictive values of detecting invasion of the renal vein, IVC, Gerota's fascia and adrenal gland using contrast-enhanced computed tomography.

ParameterRenal vein invasionIVC extensionGerota's fascia invasionAdrenal gland direct invasion
Sensitivity, %80.00100.0080.0050.00
Specificity, %93.8798.2596.30100.00
PPV, %72.7266.7066.67100.00
NPV, %95.83100.0098.1198.30

[i] IVC, inferior vena cava; PPV, positive predictive value; NPV, negative predictive value.

Table V clarifies the important parameters by which radiologists decide RCC local staging. In this table, a comparison between the radiological suspicion of invasion and pathological true invasion has been performed. These points are important to radiologists to calculate the sensitivity and specificity of CT scans for detecting invasion of these structures.

Table V

Association of radiological detection of types of invasion with pathological assessment.

Table V

Association of radiological detection of types of invasion with pathological assessment.

Type of invasionRadiological, n (%)Pathological, n (%)P-value
Renal vein invasion  0.002
     Segmental branch8 (13.56)7 (11.86) 
     Main renal vein3 (5.08)3 (5.08) 
     No invasion48 (81.36)49 (83.05) 
IVC extension  0.002
     Infradiaphragmatic invasion2 (3.39)1 (1.69) 
     IVC wall invasion1 (1.69)1 (1.69) 
     No extension56 (94.92)57 (96.61) 
Surrounding organ invasion other than adrenal gland  <0.0001
     Liver2 (3.39)1 (1.69) 
     Colon1 (1.69)1 (1.69) 
     Abdominal muscle1 (1.69)1 (1.69) 
     Diaphragm1 (1.69)1 (1.69) 
     Psoas1 (1.69)0 (0.00) 
     Tail of pancreas1 (1.69)0 (0.00) 
     No52 (88.14)55 (93.22) 

[i] IVC, inferior vena cava.

Table VI provides an overall view of the present study results, summarizing the sensitivity, specificity, predictive values and accuracy of contrast-enhanced computed tomography for local T staging. This data enables other specialists who work on RCC (e.g., urologists, oncologists and nephrologists) to understand the accuracy of CT scans in the local staging of RCC.

Table VI

Sensitivity, specificity, predictive values and accuracy of contrast-enhanced computed tomography for local T staging.

Table VI

Sensitivity, specificity, predictive values and accuracy of contrast-enhanced computed tomography for local T staging.

StagesSensitivity, %Specificity, %PPV, %NPV, %Accuracy, %P-value
T1a90.0097.4494.7495.0094.92<0.001
T1b75.0091.4969.2393.4888.14<0.001
T2a60.0098.1575.0096.3694.920.002
T2b100.00100.00100.00100.00100.000.017
T3a69.2395.6581.8291.6789.83<0.001
T3b100.0098.2850.00100.0098.310.034
T3c100.00100.00100.00100.00100.000.017
T483.3396.2371.4398.0894.92<0.001

[i] PPV, positive predictive value; NPV, negative predictive value.

Discussion

When used properly, a CT scan is considered a highly accurate measure (100% sensitivity and 95% specificity) for detecting renal masses. According to previous studies, CT scans can detect and stage renal masses with up to 91% accuracy, making them the imaging modality of choice (12,13). The current study found that the mean pathological diameter of the tumors was less than the radiological mean diameter (6.47 vs. 6.72 cm), with a mean difference of 0.25 cm. This size discrepancy, in which radiological size is larger, is well known from previous studies. Choi et al (14) reported a 0.17-cm discrepancy. Chen et al (15) observed a 0.22-cm discrepancy. Meanwhile, Nazim et al (12) found a 0.38-cm discrepancy. The reduction in tumor size observed on pathological examination has been attributed to a decrease in the blood volume in a highly vascular renal tumor following ligation or blockage of the renal artery (16). The reduction in tumor size may also be due to the use of 10% buffered formalin for pathological specimen fixation. Pathological size is an important indicator of the prognosis of patients. However, radiological size estimation is an essential component for selecting the appropriate treatment in RCC (12).

The involvement of perinephric fat tissue is a critical element in therapeutic planning. In fact, perirenal fat tissue infiltration alters the surgical technique from conservative to radical nephrectomy (13). One of the most challenging aspects of staging renal tumors is detecting perinephric fat invasion, which causes tumors of any size to be classified as T3a. Catalano et al (13) demonstrated perinephric fat invasion with a sensitivity and specificity of ~96 and 93%, respectively. El-Hefnawy et al (17) observed a specificity of 80%, while Sokhi et al (10) reported a sensitivity and specificity of 83 and 76%, respectively. Liu et al (18) showed a sensitivity and specificity of 32 and 86%, respectively. The current study found a sensitivity and specificity of 80 and 95%, respectively, which was somewhat higher than previous studies. These values depend on the criteria for perinephric fat invasion, which varied among the studies. In the present study, perinephric fat stranding was considered as perinephric fat invasion in addition to other features, such as perinephric nodules, an irregular tumor edge and angular lobulation.

Using two phases (non-contrast and nephrographic), Sokhi et al (10) found renal sinus fat invasion sensitivity and specificity to be 71-88 and 71-79%, respectively. In the current study, PCS and renal sinus fat invasion were detected by CECT with higher sensitivity and specificity (88 and 95%, respectively) when compared with prior studies. The higher sensitivity and specificity of the present study can be attributed to the use of additional excretory phases, which are effective in differentiating PCS compression or invasion. Perinephric and renal sinus fat invasion are the most difficult to diagnose with CT imaging, as perinephric fat stranding unrelated to tumor invasion, a large tumor size, a previously unhealthy kidney, and the presence of microscopic and radiologically undetectable invasion all complicate interpretation. Sinus fat invasion is also difficult to differentiate from compression (10,19).

Accurate preoperative assessment of invasion and the extent of tumor thrombi in the RV and IVC is essential for a surgeon to determine the right surgical strategy for thrombectomy and to reduce the risk of perioperative tumoral embolism (20). RV can be radiologically assessed for invasion when there is a hypodense filling defect that is continuous with the tumor or an extended RV with an intraluminal lesion, and the result becomes more specific when it is enhanced (10,21). Tumors can be classified as stage pT3a due to renal vein infiltration, renal sinus invasion or extracapsular extension, which can be small and thus difficult to detect on CT (2). In the study by Sokhi et al (10), a renal vein invasion with a specificity of 91-93%, but a sensitivity of 59-69%, was reported. Bradley et al (22) discovered renal vein involvement with a sensitivity and specificity of 84 and 98%, respectively. The sensitivity and specificity of the current study were 80 and 94%, respectively. Karlo et al (23) noted that the tumor edge touching the sinus fat was an accurate CT sign of branch RV invasion. Sokhi et al (10) also demonstrated that the presence of suspected sinus fat invasion, numerous perinephric septa, stranding or vascularity, and thickened perirenal fascia, especially in the case of a necrotic and irregular tumor edge, should alert the radiologist to perform a more proper examination of the renal veins.

IVC extension, like RV tumor extension, is described when there is an enhancing filling defect within the IVC or a non-enhancing lesion continuous with the renal tumor. Whether the extension is infra- or supra-diaphragmatic does not appear to affect the prognosis, but the invasion of the IVC wall greatly reduces survival rate (20,24). For IVC extension and invasion, magnetic resonance imaging (MRI) demonstrated great accuracy, up to 100% (25). However, MRI is only used as a problem-solving tool in indeterminate cases. Türkvatan et al (20) reported IVC invasion with 100% accuracy. Nazim et al (12) showed a sensitivity and specificity of 100 and 97%, respectively. The sensitivity and specificity for detecting IVC invasion in the current study were 100 and 98%, respectively.

The T3a stage is the most difficult to define precisely. Reznek (25) calculated the sensitivity and specificity for T3a stage diagnosis to be 46 and 98%, respectively. In an investigation by El-Hefnawy et al (17), T3a sensitivity and specificity were found to be 51 and 80%, respectively. The overall sensitivity and specificity for T3 in the current study were 80 and 97%, respectively, while the sensitivity and specificity for T3a were 69.2 and 95.6%, respectively.

Gerota's fascia invasion and expansion are difficult to distinguish. The studies by Reznek (25) and Tsili and Argyropoulou (26) discussed the difficulty of Gerota's fascia infiltration without mentioning the accuracy of CT or MRI (25,26). Bradley et al (22) showed that thickening of Gerota's fascia had a sensitivity and specificity of 52 and 90%, respectively. The sensitivity and specificity of the present study were 80 and 96%, respectively.

The absence of barrier planes between renal cancer and the surrounding structures raises the possibility of neighboring organ invasion (stage T4) (17). Direct expansion of RCC beyond Gerota's fascia and into adjacent organs is difficult to identify without a proven localized change in attenuation within the diseased organ (20). Larger tumors touching adjacent organs make it challenging to determine whether invasion is evident radiologically (22). The study by Reznek (25) claimed that organ invasion should be suggested only when there is enlargement or alteration in density, but did not discuss CECT accuracy; however, the study did report an MRI accuracy for organ invasion of ~97% (25). In the current study, radiological invasion of surrounding organs employing the selected criteria provided a sensitivity of 100%, a positive predictive value of 57% and a specificity of 95%.

According to the study by Liu et al (18), the overall accuracy of T staging is 75%. El-Hefnawy et al (17) reported an overall T staging accuracy of 65%. Türkvatan et al (20) demonstrated an accuracy of 89% in a study of 57 cases. In an investigation by Kim et al (27), an accuracy of about 87% in 144 cases was reported. The overall local T staging accuracy of the current study was estimated to be at least 80%. These differences might be attributed to the number of patients included in the study, as well as the imaging characteristics employed for local staging.

Despite the advantages of the current study, it also has crucial limitations, as it was a single-center study and it had a small sample size.

In conclusion, CECT is accurate in the local T staging of RCC, with a high sensitivity and specificity regarding the assessment of tumor size, extension to nearby structures and venous invasion.

Acknowledgements

Not applicable.

Funding

Funding: No funding was received.

Availability of data and materials

The datasets used and/or analyzed during the current study are available from the corresponding author on reasonable request. The research was registered in the Research Registry (registration number: researchregistry7516) and is available at the following link: https://www.researchregistry.com/browse-the-registry#home/?view_2_search=7516&view_2_page=1.

Authors' contributions

SHT, FHK, and RJR performed the radiological assessments and confirm the authenticity of all the raw data. FHK contributed to manuscript drafting. LAA pathologically examined the specimens, was a major contributor to the study conception and revised the manuscript. SMF and AMS were major contributors to the study conception, and the revision and final revision of the manuscript. FHF and DHR contributed to the conception and the design of the study. IA and RB analyzed and interpreted the data. SSF, BAA and SHM collected patient data and thoroughly revised the content of the manuscript. All authors have read and approved the final version of the manuscript.

Ethics approval and consent to participate

The study was approved by the Arab Board Scientific Committee of the Iraqi Ministry of Health (approval no. 22-2018). Written informed consent was obtained from all the patients.

Patient consent for publication

The representative patient in Figs. 2 and 3 provided consent for the publication of diagnostic images and data.

Competing interests

The authors declare that they have no competing interests.

References

1 

Hsieh JJ, Purdue MP, Signoretti S, Swanton C, Albiges L, Schmidinger M, Heng DY, Larkin J and Ficarra V: Renal cell carcinoma. Nat Rev Dis Primers. 3(17009)2017.PubMed/NCBI View Article : Google Scholar

2 

Jemal A, Murray T, Ward E, Samuels A, Tiwari RC, Ghafoor A, Feuer EJ and Thun MJ: Cancer statistics, 2005. CA Cancer J Clin. 55:10–30. 2005.PubMed/NCBI View Article : Google Scholar

3 

Warren AY and Harrison D: WHO/ISUP classification, grading and pathological staging of renal cell carcinoma: Standards and controversies. World J Urol. 36:1913–1926. 2018.PubMed/NCBI View Article : Google Scholar

4 

Ljungberg B, Campbell SC, Cho HY, Jacqmin D, Lee JE, Weikert S and Kiemeney LA: The epidemiology of renal cell carcinoma. Eur Urol. 60:615–621. 2011.PubMed/NCBI View Article : Google Scholar

5 

Ng CS, Wood CG, Silverman PM, Tannir NM, Tamboli P and Sandler CM: Renal cell carcinoma: Diagnosis, staging, and surveillance. AJR Am J Roentgenol. 191:1220–1232. 2008.PubMed/NCBI View Article : Google Scholar

6 

Frederick LG, Page DL, Fleming ID, Fritz AG, Balch CM, Haller DG and Morrow M: AJCC Ccancer Staging Manual. 6th Edition. Springer, New York, NY, 2002.

7 

Tsui KH, Shvarts O, Smith RB, Figlin RA, deKernion JB and Belldegrun A: Prognostic indicators for renal cell carcinoma: A multivariate analysis of 643 patients using the revised 1997 TNM staging criteria. J Urol. 163:1090–1095, 1295. 2000.PubMed/NCBI View Article : Google Scholar

8 

Zhang N, Wu Y, Wang J, Xu J, Na R and Wang X: The effect of discrepancy between radiologic size and pathologic tumor size in renal cell cancer. Springerplus. 5(899)2016.PubMed/NCBI View Article : Google Scholar

9 

Chandrasekar T, Klaassen Z, Goldberg H, Kulkarni GS, Hamilton RJ and Fleshner NE: Metastatic renal cell carcinoma: Patterns and predictors of metastases-a contemporary population-based series. Urol Oncol Semin Orig Investig. 35:661.e7–661.e14. 2017.PubMed/NCBI View Article : Google Scholar

10 

Sokhi HK, Mok WY and Patel U: Stage T3a renal cell carcinoma: Staging accuracy of CT for sinus fat, perinephric fat or renal vein invasion. Br J Radiol. 88(20140504)2015.PubMed/NCBI View Article : Google Scholar

11 

Rendon RA, Kapoor A, Breau R, Leveridge M, Feifer A, Black PC and So A: Surgical management of renal cell carcinoma: Canadian kidney cancer forum consensus. Can Urol Assoc J. 8:E398–E412. 2014.PubMed/NCBI View Article : Google Scholar

12 

Nazim SM, Ather MH, Hafeez K and Salam B: Accuracy of multidetector CT scans in staging of renal carcinoma. Int J Surg. 9:86–90. 2011.PubMed/NCBI View Article : Google Scholar

13 

Catalano C, Fraioli F, Laghi A, Napoli A, Pediconi F, Danti M, Nardis P and Passariello R: High-resolution multidetector CT in the preoperative evaluation of patients with renal cell carcinoma. AJR Am J Roentgenol. 180:1271–1277. 2003.PubMed/NCBI View Article : Google Scholar

14 

Choi SM, Choi DK, Kim TH, Jeong BC, Seo SI, Jeon SS, Lee HM, Choi HY and Jeon HG: A comparison of radiologic tumor volume and pathologic tumor volume in renal cell carcinoma (RCC). PLoS One. 10(e0122019)2015.PubMed/NCBI View Article : Google Scholar

15 

Chen W, Wang L, Yang Q, Liu B and Sun Y: Comparison of radiographic and pathologic sizes of renal tumors. Int Braz J Urol. 39:189–194. 2013.PubMed/NCBI View Article : Google Scholar

16 

Herr HW: Radiographic vs surgical size of renal tumours after partial nephrectomy. BJU Int. 85:19–21. 2000.PubMed/NCBI View Article : Google Scholar

17 

El-Hefnawy AS, Mosbah A, El-Diasty T, Hassan M and Shaaban AA: Accuracy of multi-detector computed tomography (MDCT) in staging of renal cell carcinoma (RCC): Analysis of risk factors for mis-staging and its impact on surgical intervention. World J Urol. 31:887–891. 2013.PubMed/NCBI View Article : Google Scholar

18 

Liu Y, Song T, Huang Z, Zhang S and Li Y: The accuracy of multidetector computed tomography for preoperative staging of renal cell carcinoma. Int Braz J Urol. 38:627–636. 2012.PubMed/NCBI View Article : Google Scholar

19 

Zagoria RJ, Bechtold RE and Dyer RB: Staging of renal adenocarcinoma: Role of various imaging procedures. AJR Am J Roentgenol. 164:363–370. 1995.PubMed/NCBI View Article : Google Scholar

20 

Türkvatan A, Akdur PO, Altinel M, Olçer T, Turhan N, Cumhur T, Akinci S and Ozkul F: Preoperative staging of renal cell carcinoma with multidetector CT. Diagn Interv Radiol. 15:22–30. 2009.PubMed/NCBI

21 

Bonsib SM: Renal veins and venous extension in clear cell renal cell carcinoma. Mod Pathol. 20:44–53. 2007.PubMed/NCBI View Article : Google Scholar

22 

Bradley AJ, MacDonald L, Whiteside S, Johnson RJ and Ramani VA: Accuracy of preoperative CT T staging of renal cell carcinoma: Which features predict advanced stage? Clin Radiol. 70:822–829. 2015.PubMed/NCBI View Article : Google Scholar

23 

Karlo CA, Donati OF, Marigliano C, Tickoo SK, Hricak H, Russo P and Akin O: Role of CT in the assessment of muscular venous branch invasion in patients with renal cell carcinoma. AJR Am J Roentgenol. 201:847–852. 2013.PubMed/NCBI View Article : Google Scholar

24 

Hatcher PA, Anderson EE, Paulson DF, Carson CC and Robertson JE: Surgical management and prognosis of renal cell carcinoma invading the vena cava. J Urol. 145:20–24. 1991.PubMed/NCBI View Article : Google Scholar

25 

Reznek RH: CT/MRI in staging renal cell carcinoma. Cancer Imaging. 4 (Spec No A):S25–S32. 2004.PubMed/NCBI View Article : Google Scholar

26 

Tsili AC and Argyropoulou MI: Advances of multidetector computed tomography in the characterization and staging of renal cell carcinoma. World J Radiol. 7:110–127. 2015.PubMed/NCBI View Article : Google Scholar

27 

Kim CK, Choi D, Park BK, Kang TW and Kim JH: Diagnostic performance of multidetector-row CT for predicting the preoperative staging of renal cell carcinoma. J Korean Soc Radiol. 60:109–116. 2009.

Related Articles

  • Abstract
  • View
  • Download
  • Twitter
Copy and paste a formatted citation
Spandidos Publications style
Fateh SM, Arkawazi LA, Tahir SH, Rashid RJ, Rahman DH, Aghaways I, Kakamad FH, Salih AM, Bapir R, Fakhralddin SS, Fakhralddin SS, et al: Renal cell carcinoma T staging: Diagnostic accuracy of preoperative contrast‑enhanced computed tomography. Mol Clin Oncol 18: 11, 2023.
APA
Fateh, S.M., Arkawazi, L.A., Tahir, S.H., Rashid, R.J., Rahman, D.H., Aghaways, I. ... Mohammed, S.H. (2023). Renal cell carcinoma T staging: Diagnostic accuracy of preoperative contrast‑enhanced computed tomography. Molecular and Clinical Oncology, 18, 11. https://doi.org/10.3892/mco.2023.2607
MLA
Fateh, S. M., Arkawazi, L. A., Tahir, S. H., Rashid, R. J., Rahman, D. H., Aghaways, I., Kakamad, F. H., Salih, A. M., Bapir, R., Fakhralddin, S. S., Fattah, F. H., Abdalla, B. A., Mohammed, S. H."Renal cell carcinoma T staging: Diagnostic accuracy of preoperative contrast‑enhanced computed tomography". Molecular and Clinical Oncology 18.2 (2023): 11.
Chicago
Fateh, S. M., Arkawazi, L. A., Tahir, S. H., Rashid, R. J., Rahman, D. H., Aghaways, I., Kakamad, F. H., Salih, A. M., Bapir, R., Fakhralddin, S. S., Fattah, F. H., Abdalla, B. A., Mohammed, S. H."Renal cell carcinoma T staging: Diagnostic accuracy of preoperative contrast‑enhanced computed tomography". Molecular and Clinical Oncology 18, no. 2 (2023): 11. https://doi.org/10.3892/mco.2023.2607
Copy and paste a formatted citation
x
Spandidos Publications style
Fateh SM, Arkawazi LA, Tahir SH, Rashid RJ, Rahman DH, Aghaways I, Kakamad FH, Salih AM, Bapir R, Fakhralddin SS, Fakhralddin SS, et al: Renal cell carcinoma T staging: Diagnostic accuracy of preoperative contrast‑enhanced computed tomography. Mol Clin Oncol 18: 11, 2023.
APA
Fateh, S.M., Arkawazi, L.A., Tahir, S.H., Rashid, R.J., Rahman, D.H., Aghaways, I. ... Mohammed, S.H. (2023). Renal cell carcinoma T staging: Diagnostic accuracy of preoperative contrast‑enhanced computed tomography. Molecular and Clinical Oncology, 18, 11. https://doi.org/10.3892/mco.2023.2607
MLA
Fateh, S. M., Arkawazi, L. A., Tahir, S. H., Rashid, R. J., Rahman, D. H., Aghaways, I., Kakamad, F. H., Salih, A. M., Bapir, R., Fakhralddin, S. S., Fattah, F. H., Abdalla, B. A., Mohammed, S. H."Renal cell carcinoma T staging: Diagnostic accuracy of preoperative contrast‑enhanced computed tomography". Molecular and Clinical Oncology 18.2 (2023): 11.
Chicago
Fateh, S. M., Arkawazi, L. A., Tahir, S. H., Rashid, R. J., Rahman, D. H., Aghaways, I., Kakamad, F. H., Salih, A. M., Bapir, R., Fakhralddin, S. S., Fattah, F. H., Abdalla, B. A., Mohammed, S. H."Renal cell carcinoma T staging: Diagnostic accuracy of preoperative contrast‑enhanced computed tomography". Molecular and Clinical Oncology 18, no. 2 (2023): 11. https://doi.org/10.3892/mco.2023.2607
Follow us
  • Twitter
  • LinkedIn
  • Facebook
About
  • Spandidos Publications
  • Careers
  • Cookie Policy
  • Privacy Policy
How can we help?
  • Help
  • Live Chat
  • Contact
  • Email to our Support Team