Spandidos Publications Logo
  • About
    • About Spandidos
    • Aims and Scopes
    • Abstracting and Indexing
    • Editorial Policies
    • Reprints and Permissions
    • Job Opportunities
    • Terms and Conditions
    • Contact
  • Journals
    • All Journals
    • Oncology Letters
      • Oncology Letters
      • Information for Authors
      • Editorial Policies
      • Editorial Board
      • Aims and Scope
      • Abstracting and Indexing
      • Bibliographic Information
      • Archive
    • International Journal of Oncology
      • International Journal of Oncology
      • Information for Authors
      • Editorial Policies
      • Editorial Board
      • Aims and Scope
      • Abstracting and Indexing
      • Bibliographic Information
      • Archive
    • Molecular and Clinical Oncology
      • Molecular and Clinical Oncology
      • Information for Authors
      • Editorial Policies
      • Editorial Board
      • Aims and Scope
      • Abstracting and Indexing
      • Bibliographic Information
      • Archive
    • Experimental and Therapeutic Medicine
      • Experimental and Therapeutic Medicine
      • Information for Authors
      • Editorial Policies
      • Editorial Board
      • Aims and Scope
      • Abstracting and Indexing
      • Bibliographic Information
      • Archive
    • International Journal of Molecular Medicine
      • International Journal of Molecular Medicine
      • Information for Authors
      • Editorial Policies
      • Editorial Board
      • Aims and Scope
      • Abstracting and Indexing
      • Bibliographic Information
      • Archive
    • Biomedical Reports
      • Biomedical Reports
      • Information for Authors
      • Editorial Policies
      • Editorial Board
      • Aims and Scope
      • Abstracting and Indexing
      • Bibliographic Information
      • Archive
    • Oncology Reports
      • Oncology Reports
      • Information for Authors
      • Editorial Policies
      • Editorial Board
      • Aims and Scope
      • Abstracting and Indexing
      • Bibliographic Information
      • Archive
    • Molecular Medicine Reports
      • Molecular Medicine Reports
      • Information for Authors
      • Editorial Policies
      • Editorial Board
      • Aims and Scope
      • Abstracting and Indexing
      • Bibliographic Information
      • Archive
    • World Academy of Sciences Journal
      • World Academy of Sciences Journal
      • Information for Authors
      • Editorial Policies
      • Editorial Board
      • Aims and Scope
      • Abstracting and Indexing
      • Bibliographic Information
      • Archive
    • International Journal of Functional Nutrition
      • International Journal of Functional Nutrition
      • Information for Authors
      • Editorial Policies
      • Editorial Board
      • Aims and Scope
      • Abstracting and Indexing
      • Bibliographic Information
      • Archive
    • International Journal of Epigenetics
      • International Journal of Epigenetics
      • Information for Authors
      • Editorial Policies
      • Editorial Board
      • Aims and Scope
      • Abstracting and Indexing
      • Bibliographic Information
      • Archive
    • Medicine International
      • Medicine International
      • Information for Authors
      • Editorial Policies
      • Editorial Board
      • Aims and Scope
      • Abstracting and Indexing
      • Bibliographic Information
      • Archive
  • Articles
  • Information
    • Information for Authors
    • Information for Reviewers
    • Information for Librarians
    • Information for Advertisers
    • Conferences
  • Language Editing
Spandidos Publications Logo
  • About
    • About Spandidos
    • Aims and Scopes
    • Abstracting and Indexing
    • Editorial Policies
    • Reprints and Permissions
    • Job Opportunities
    • Terms and Conditions
    • Contact
  • Journals
    • All Journals
    • Biomedical Reports
      • Information for Authors
      • Editorial Policies
      • Editorial Board
      • Aims and Scope
      • Abstracting and Indexing
      • Bibliographic Information
      • Archive
    • Experimental and Therapeutic Medicine
      • Information for Authors
      • Editorial Policies
      • Editorial Board
      • Aims and Scope
      • Abstracting and Indexing
      • Bibliographic Information
      • Archive
    • International Journal of Epigenetics
      • Information for Authors
      • Editorial Policies
      • Editorial Board
      • Aims and Scope
      • Abstracting and Indexing
      • Bibliographic Information
      • Archive
    • International Journal of Functional Nutrition
      • Information for Authors
      • Editorial Policies
      • Editorial Board
      • Aims and Scope
      • Abstracting and Indexing
      • Bibliographic Information
      • Archive
    • International Journal of Molecular Medicine
      • Information for Authors
      • Editorial Policies
      • Editorial Board
      • Aims and Scope
      • Abstracting and Indexing
      • Bibliographic Information
      • Archive
    • International Journal of Oncology
      • Information for Authors
      • Editorial Policies
      • Editorial Board
      • Aims and Scope
      • Abstracting and Indexing
      • Bibliographic Information
      • Archive
    • Medicine International
      • Information for Authors
      • Editorial Policies
      • Editorial Board
      • Aims and Scope
      • Abstracting and Indexing
      • Bibliographic Information
      • Archive
    • Molecular and Clinical Oncology
      • Information for Authors
      • Editorial Policies
      • Editorial Board
      • Aims and Scope
      • Abstracting and Indexing
      • Bibliographic Information
      • Archive
    • Molecular Medicine Reports
      • Information for Authors
      • Editorial Policies
      • Editorial Board
      • Aims and Scope
      • Abstracting and Indexing
      • Bibliographic Information
      • Archive
    • Oncology Letters
      • Information for Authors
      • Editorial Policies
      • Editorial Board
      • Aims and Scope
      • Abstracting and Indexing
      • Bibliographic Information
      • Archive
    • Oncology Reports
      • Information for Authors
      • Editorial Policies
      • Editorial Board
      • Aims and Scope
      • Abstracting and Indexing
      • Bibliographic Information
      • Archive
    • World Academy of Sciences Journal
      • Information for Authors
      • Editorial Policies
      • Editorial Board
      • Aims and Scope
      • Abstracting and Indexing
      • Bibliographic Information
      • Archive
  • Articles
  • Information
    • For Authors
    • For Reviewers
    • For Librarians
    • For Advertisers
    • Conferences
  • Language Editing
Login Register Submit
  • This site uses cookies
  • You can change your cookie settings at any time by following the instructions in our Cookie Policy. To find out more, you may read our Privacy Policy.

    I agree
Search articles by DOI, keyword, author or affiliation
Search
Advanced Search
presentation
Molecular and Clinical Oncology
Join Editorial Board Propose a Special Issue
Print ISSN: 2049-9450 Online ISSN: 2049-9469
Journal Cover
March-2023 Volume 18 Issue 3

Full Size Image

Sign up for eToc alerts
Recommend to Library

Journals

International Journal of Molecular Medicine

International Journal of Molecular Medicine

International Journal of Molecular Medicine is an international journal devoted to molecular mechanisms of human disease.

International Journal of Oncology

International Journal of Oncology

International Journal of Oncology is an international journal devoted to oncology research and cancer treatment.

Molecular Medicine Reports

Molecular Medicine Reports

Covers molecular medicine topics such as pharmacology, pathology, genetics, neuroscience, infectious diseases, molecular cardiology, and molecular surgery.

Oncology Reports

Oncology Reports

Oncology Reports is an international journal devoted to fundamental and applied research in Oncology.

Experimental and Therapeutic Medicine

Experimental and Therapeutic Medicine

Experimental and Therapeutic Medicine is an international journal devoted to laboratory and clinical medicine.

Oncology Letters

Oncology Letters

Oncology Letters is an international journal devoted to Experimental and Clinical Oncology.

Biomedical Reports

Biomedical Reports

Explores a wide range of biological and medical fields, including pharmacology, genetics, microbiology, neuroscience, and molecular cardiology.

Molecular and Clinical Oncology

Molecular and Clinical Oncology

International journal addressing all aspects of oncology research, from tumorigenesis and oncogenes to chemotherapy and metastasis.

World Academy of Sciences Journal

World Academy of Sciences Journal

Multidisciplinary open-access journal spanning biochemistry, genetics, neuroscience, environmental health, and synthetic biology.

International Journal of Functional Nutrition

International Journal of Functional Nutrition

Open-access journal combining biochemistry, pharmacology, immunology, and genetics to advance health through functional nutrition.

International Journal of Epigenetics

International Journal of Epigenetics

Publishes open-access research on using epigenetics to advance understanding and treatment of human disease.

Medicine International

Medicine International

An International Open Access Journal Devoted to General Medicine.

Journal Cover
March-2023 Volume 18 Issue 3

Full Size Image

Sign up for eToc alerts
Recommend to Library

  • Article
  • Citations
    • Cite This Article
    • Download Citation
    • Create Citation Alert
    • Remove Citation Alert
    • Cited By
  • Similar Articles
    • Related Articles (in Spandidos Publications)
    • Similar Articles (Google Scholar)
    • Similar Articles (PubMed)
  • Download PDF
  • Download XML
  • View XML
Article Open Access

Imaging findings of NTRK‑rearranged spindle cell neoplasms: A case series

  • Authors:
    • Hiroshi Kobayashi
    • Yasuyo Teramura
    • Kyoko Yamashita
    • Naohiro Makise
    • Keisuke Ae
    • Sakae Tanaka
  • View Affiliations / Copyright

    Affiliations: Department of Orthopaedic Surgery, Faculty of Medicine, The University of Tokyo, Tokyo 113‑8655, Japan, Division of Carcinogenesis, The Cancer Institute, Japanese Foundation for Cancer Research, Tokyo 135‑8550, Japan, Department of Pathology, The Cancer Institute Hospital of The Japanese Foundation for Cancer Research, Tokyo 135‑8550, Japan, Department of Pathology, The University of Tokyo, Tokyo 113‑8655, Japan, Department of Orthopedic Oncology, The Cancer Institute Hospital of The Japanese Foundation for Cancer Research, Tokyo 135‑8550, Japan
    Copyright: © Kobayashi et al. This is an open access article distributed under the terms of Creative Commons Attribution License.
  • Article Number: 14
    |
    Published online on: January 23, 2023
       https://doi.org/10.3892/mco.2023.2610
  • Expand metrics +
Metrics: Total Views: 0 (Spandidos Publications: | PMC Statistics: )
Metrics: Total PDF Downloads: 0 (Spandidos Publications: | PMC Statistics: )
Cited By (CrossRef): 0 citations Loading Articles...

This article is mentioned in:



Abstract

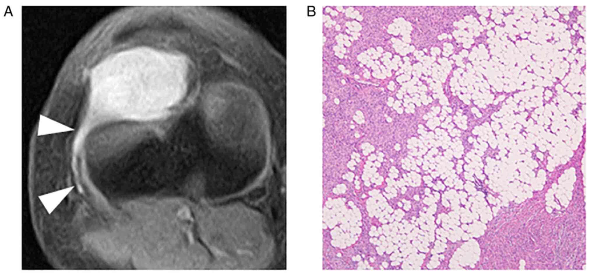
NTRK‑rearranged spindle cell neoplasms (NTRK‑RSCNs) are a new category of soft tissue tumors with NTRK gene fusions. The present study aimed to investigate the radiological features of NTRK‑RSCNs and their association with histopathological findings. The present study included six patients with NTRK‑RSCNs, whose fusion genes were confirmed using next‑generation sequencing. All patients underwent surgery, and their diagnosis and clinical outcomes were investigated. In addition, the magnetic resonance imaging (MRI) features of all tumors and histopathological findings of the resected specimens were assessed. The present study included three women and three men, with a mean age of 22 years (range, 2‑43 years). The NTRK gene fusions included four NTRK1 and two NTRK3 fusions. Three patients were preoperatively diagnosed with solitary fibrous tumors. One patient with NTRK3 fusion experienced local recurrence and distant metastases, whereas the other five patients had no local recurrence or metastasis. MRI revealed that all tumors were highly vascular with intra‑ and peritumoral flow voids of differing degrees. Furthermore, a partially ill‑defined border, suggesting infiltration of tumors into the surrounding tissues, particularly fat tissue, was observed in five patients, which was confirmed by histopathological findings. In conclusion, NTRK‑RSCNs are highly vascular tumors that can infiltrate the surrounding tissues. These findings suggested that NTRK‑RSCNs should be considered in the differential diagnosis of highly vascular‑rich mesenchymal tumors, including solitary fibrous tumors and alveolar soft part sarcomas. Furthermore, wide resection may be preferred to completely resect this type of tumor, considering its invasive nature.
View Figures

Figure 1

Figure 2

Figure 3

Figure 4

Figure 5

View References

1 

WHO Classification of Tumours Editorial Board: Soft Tissue and Bone Tumours: WHO Classification of Tumors. 5th edition. IARC Press, Lyon, pp403-409, 2020.

2 

Suurmeijer AJ, Dickson BC, Swanson D, Zhang L, Sung YS, Huang HY, Fletcher CD and Antonescu CR: The histologic spectrum of soft tissue spindle cell tumors with NTRK3 gene rearrangements. Genes Chromosomes Cancer. 58:739–746. 2019.PubMed/NCBI View Article : Google Scholar

3 

Baranov E and Hornick JL: Soft tissue special issue: Fibroblastic and myofibroblastic neoplasms of the head and neck. Head Neck Pathol. 14:43–58. 2020.PubMed/NCBI View Article : Google Scholar

4 

Agaram NP, Zhang L, Sung YS, Chen CL, Chung CT, Antonescu CR and Fletcher CD: Recurrent NTRK1 gene fusions define a novel subset of locally aggressive lipofibromatosis-like neural tumors. Am J Surg Pathol. 40:1407–1416. 2016.PubMed/NCBI View Article : Google Scholar

5 

Solomon JP, Linkov I, Rosado A, Mullaney K, Rosen EY, Frosina D, Jungbluth AA, Zehir A, Benayed R, Drilon A, et al: NTRK fusion detection across multiple assays and 33,997 cases: Diagnostic implications and pitfalls. Mod Pathol. 33:38–46. 2020.PubMed/NCBI View Article : Google Scholar

6 

Cocco E, Scaltriti M and Drilon A: NTRK fusion-positive cancers and TRK inhibitor therapy. Nat Rev Clin Oncol. 15:731–747. 2018.PubMed/NCBI View Article : Google Scholar

7 

Nakamura T, Matsumine A, Matsubara T, Asanuma K, Yada Y, Hagi T and Sudo A: Infiltrative tumor growth patterns on magnetic resonance imaging associated with systemic inflammation and oncological outcome in patients with high-grade soft-tissue sarcoma. PLoS One. 12(e0181787)2017.PubMed/NCBI View Article : Google Scholar

8 

Takamiya A, Ishibashi Y, Makise N, Hirata M, Ushiku T, Tanaka S and Kobayashi H: Imaging characteristics of NTRK-rearranged spindle cell neoplasm of the soft tissue: A case report. J Orthop Sci. S0949-2658(00367-5)2022.PubMed/NCBI View Article : Google Scholar : (Epub ahead of print).

9 

Overfield CJ, Edgar MA, Wessell DE, Wilke BK and Garner HW: NTRK-rearranged spindle cell neoplasm of the lower extremity: Radiologic-pathologic correlation. Skeletal Radiol. 51:1707–1713. 2022.PubMed/NCBI View Article : Google Scholar

10 

McCarville MB, Muzzafar S, Kao SC, Coffin CM, Parham DM, Anderson JR and Spunt SL: Imaging features of alveolar soft-part sarcoma: A report from children's oncology group study ARST0332. AJR Am J Roentgenol. 203:1345–1352. 2014.PubMed/NCBI View Article : Google Scholar

11 

Crombé A, Brisse HJ, Ledoux P, Haddag-Miliani L, Bouhamama A, Taieb S, Le Loarer F and Kind M: Alveolar soft-part sarcoma: Can MRI help discriminating from other soft-tissue tumors? A study of the French Sarcoma Group. Eur Radiol. 29:3170–3182. 2019.PubMed/NCBI View Article : Google Scholar

12 

Haller F, Knopf J, Ackermann A, Bieg M, Kleinheinz K, Schlesner M, Moskalev EA, Will R, Satir AA, Abdelmagid IE, et al: Paediatric and adult soft tissue sarcomas with NTRK1 gene fusions: A subset of spindle cell sarcomas unified by a prominent myopericytic/haemangiopericytic pattern. J Pathol. 238:700–710. 2016.PubMed/NCBI View Article : Google Scholar

13 

Garcia-Bennett J, Olivé CS, Rivas A, Domínguez-Oronoz R and Huguet P: Soft tissue solitary fibrous tumor. Imaging findings in a series of nine cases. Skelet Radiol. 41:1427–1433. 2012.PubMed/NCBI View Article : Google Scholar

14 

Wignall OJ, Moskovic EC, Thway K and Thomas JM: Solitary fibrous tumors of the soft tissues: Review of the imaging and clinical features with histopathologic correlation. AJR Am J Roentgenol. 195:W55–W62. 2010.PubMed/NCBI View Article : Google Scholar

15 

Kao YC, Suurmeijer AJH, Argani P, Dickson BC, Zhang L, Sung YS, Agaram NP, Fletcher CDM and Antonescu CR: Soft tissue tumors characterized by a wide spectrum of kinase fusions share a lipofibromatosis-like neural tumor pattern. Genes Chromosomes Cancer. 59:575–583. 2020.PubMed/NCBI View Article : Google Scholar

16 

Doyle LA, Vivero M, Fletcher CD, Mertens F and Hornick JL: Nuclear expression of STAT6 distinguishes solitary fibrous tumor from histologic mimics. Mod Pathol. 27:390–395. 2014.PubMed/NCBI View Article : Google Scholar

17 

Suurmeijer AJH, Dickson BC, Swanson D, Zhang L, Sung YS, Cotzia P, Fletcher CDM and Antonescu CR: A novel group of spindle cell tumors defined by S100 and CD34 co-expression shows recurrent fusions involving RAF1, BRAF, and NTRK1/2 genes. Genes Chromosomes Cancer. 57:611–621. 2018.PubMed/NCBI View Article : Google Scholar

18 

Gustafson P, Akerman M, Alvegård TA, Coindre JM, Fletcher CD, Rydholm A and Willén H: Prognostic information in soft tissue sarcoma using tumour size, vascular invasion and microscopic tumour necrosis-the SIN-system. Eur J Cancer. 39:1568–1576. 2003.PubMed/NCBI View Article : Google Scholar

19 

DuBois SG, Laetsch TW, Federman N, Turpin BK, Albert CM, Nagasubramanian R, Anderson ME, Davis JL, Qamoos HE, Reynolds ME, et al: The use of neoadjuvant larotrectinib in the management of children with locally advanced TRK fusion sarcomas. Cancer. 124:4241–4247. 2018.PubMed/NCBI View Article : Google Scholar

Related Articles

  • Abstract
  • View
  • Download
  • Twitter
Copy and paste a formatted citation
Spandidos Publications style
Kobayashi H, Teramura Y, Yamashita K, Makise N, Ae K and Tanaka S: Imaging findings of NTRK‑rearranged spindle cell neoplasms: A case series. Mol Clin Oncol 18: 14, 2023.
APA
Kobayashi, H., Teramura, Y., Yamashita, K., Makise, N., Ae, K., & Tanaka, S. (2023). Imaging findings of NTRK‑rearranged spindle cell neoplasms: A case series. Molecular and Clinical Oncology, 18, 14. https://doi.org/10.3892/mco.2023.2610
MLA
Kobayashi, H., Teramura, Y., Yamashita, K., Makise, N., Ae, K., Tanaka, S."Imaging findings of NTRK‑rearranged spindle cell neoplasms: A case series". Molecular and Clinical Oncology 18.3 (2023): 14.
Chicago
Kobayashi, H., Teramura, Y., Yamashita, K., Makise, N., Ae, K., Tanaka, S."Imaging findings of NTRK‑rearranged spindle cell neoplasms: A case series". Molecular and Clinical Oncology 18, no. 3 (2023): 14. https://doi.org/10.3892/mco.2023.2610
Copy and paste a formatted citation
x
Spandidos Publications style
Kobayashi H, Teramura Y, Yamashita K, Makise N, Ae K and Tanaka S: Imaging findings of NTRK‑rearranged spindle cell neoplasms: A case series. Mol Clin Oncol 18: 14, 2023.
APA
Kobayashi, H., Teramura, Y., Yamashita, K., Makise, N., Ae, K., & Tanaka, S. (2023). Imaging findings of NTRK‑rearranged spindle cell neoplasms: A case series. Molecular and Clinical Oncology, 18, 14. https://doi.org/10.3892/mco.2023.2610
MLA
Kobayashi, H., Teramura, Y., Yamashita, K., Makise, N., Ae, K., Tanaka, S."Imaging findings of NTRK‑rearranged spindle cell neoplasms: A case series". Molecular and Clinical Oncology 18.3 (2023): 14.
Chicago
Kobayashi, H., Teramura, Y., Yamashita, K., Makise, N., Ae, K., Tanaka, S."Imaging findings of NTRK‑rearranged spindle cell neoplasms: A case series". Molecular and Clinical Oncology 18, no. 3 (2023): 14. https://doi.org/10.3892/mco.2023.2610
Follow us
  • Twitter
  • LinkedIn
  • Facebook
About
  • Spandidos Publications
  • Careers
  • Cookie Policy
  • Privacy Policy
How can we help?
  • Help
  • Live Chat
  • Contact
  • Email to our Support Team