International Journal of Molecular Medicine is an international journal devoted to molecular mechanisms of human disease.
International Journal of Oncology is an international journal devoted to oncology research and cancer treatment.
Covers molecular medicine topics such as pharmacology, pathology, genetics, neuroscience, infectious diseases, molecular cardiology, and molecular surgery.
Oncology Reports is an international journal devoted to fundamental and applied research in Oncology.
Experimental and Therapeutic Medicine is an international journal devoted to laboratory and clinical medicine.
Oncology Letters is an international journal devoted to Experimental and Clinical Oncology.
Explores a wide range of biological and medical fields, including pharmacology, genetics, microbiology, neuroscience, and molecular cardiology.
International journal addressing all aspects of oncology research, from tumorigenesis and oncogenes to chemotherapy and metastasis.
Multidisciplinary open-access journal spanning biochemistry, genetics, neuroscience, environmental health, and synthetic biology.
Open-access journal combining biochemistry, pharmacology, immunology, and genetics to advance health through functional nutrition.
Publishes open-access research on using epigenetics to advance understanding and treatment of human disease.
An International Open Access Journal Devoted to General Medicine.
Acute megakaryoblastic leukemia (AMKL; French-American-British M7) is a rare disease, occurring in 4 to 15% of children with acute myeloid leukemia (AML) worldwide (1-4). AMKL appears to be de novo in infants and in young children without Down's syndrome (DS), and patients frequently present with bone marrow fibrosis, hepatosplenomegaly and pancytopenia (5,6). The diagnosis of AMKL is based on blast cell morphology, which is suggestive of megakaryoblasts and the protein expression of platelet-associated markers (CD41, CD42b or CD61) using immunophenotyping (1,7).
The chromosomal translocation, t(1;22)(p13;q13) occurs in 10-15% of pediatric non-DS-AMKL and is a specific translocation in infants with AMKL. This translocation results in the fusion of the RNA-binding motif protein-15 (RBM15) and megakaryoblastic leukemia-1 (MKL1) genes (5,7-10). The present case report describes a case of neonatal AMKL, with a hitherto unreported 3-way translocation t(1;7;22)(p13;q21;q13).
A 31-year-old woman presented at the University Hospitals Leuven (Belgium) at 36 weeks in her second pregnancy, with a decrease in child movement for 5 days and the loss of brown fluid per vaginam for 3 days. Until then, the pregnancy was uncomplicated and no fetal abnormalities were observed.
An ultrasound examination of the fetus showed hepatosplenomegaly and a cardiotocography revealed tachycardia and small variations on the trace. An urgent cesarean section was performed, and a baby girl was born at 36 weeks and 2 days of pregnancy, with Apgar scores of 2, 6 and 7 after 1, 5 and 10 min, respectively. The patient weighed 2,700 g, measured 48 cm in length and had a head circumference of 33.5 cm. The abdomen was extremely distended due to an enlarged liver and spleen, and was hard on palpation.
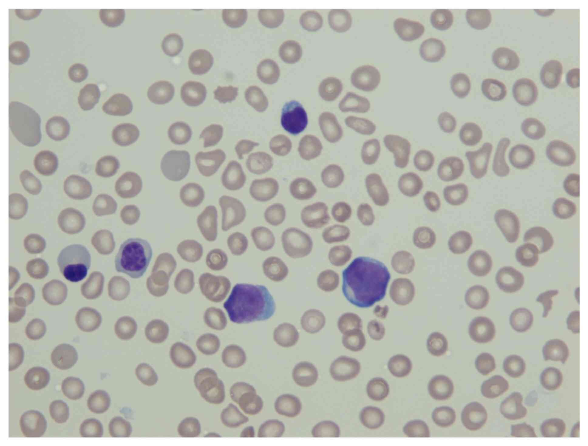
Initial blood testing showed normochromic, normocytic anemia (hemoglobin, 7.3 g/dl; reference range, 14.5-22.5 g/dl), with signs of active erythropoiesis, deep thrombopenia (39x109/l; reference range, 150-450x109/l) and leukocytosis of 23.4x109/l (reference range, 9.4-34x109/l) with 20% blasts, and absolute neutropenia (2.3x109/l; reference range, 5-21x109/l). The lactate dehydrogenase level was elevated to 1,403 U/l (reference range, 135-250 U/l). The cells were then analyzed using histopathology. The cells were fixed with absolute methanol for 10 min, stained with May Grünwald solution for 5 min, stained with Giemsa solution for 5 min and then in buffer (pH 6.8) for 2 min, all at room temperature. Images were captured using a Leica DM LED light microscope at x500 magnification. Fig. 1 illustrates the megakaryoblasts, found in the peripheral blood smear, from May Grünwald staining, together with two normoblasts with anisopoikilocytosis of the red blood cells, a lymphocyte and irregular formed agranular platelets. The megakaryoblasts were medium sized with a high nucleus/cytoplasm ratio, a basophilic agranular cytoplasm and a round regular nucleus with fine reticular chromatin.
Immunophenotyping of the peripheral blood was performed using flow cytometry. For surface staining a 6-color protocol was used: 100 µl peripheral blood was incubated for 10 min with the following monoclonal antibodies: CD45-PerCP-Cy5.5 (20 µl; 1/2 diluted in Cell Wash; cat. no. 332784; BD Biosciences), CD61-FITC (15 µl; undiluted; cat. no. 347407; BD Biosciences), CD11b-PE (15 µl; undiluted; cat no. 333142; BD Biosciences), CD13-PE (15 µl; undiluted; cat. no. 347406; BD Biosciences), CD33-APC, (5 µl; undiluted; cat. no. 345800; BD Biosciences), CD34-FITC (15 µl; undiluted; cat. no. 345801; BD Biosciences), CD117-PE-Cy7 (5 µl; undiluted; cat. no. 339217; BD Biosciences), anti-HLA-DR-APC-H7 (5 µl; undiluted; cat. no. 641411; BD Biosciences), CD42b-PE (15 µl; undiluted; cat. no. IM1417U; Beckman Coulter, Inc.) and CD36-FITC (15 µl; undiluted; cat. no. B49201; Beckman Coulter, Inc.) at room temperature, then subsequently lysed for 10 min using 2 ml FACS-Lysing solution (BD Biosciences). For intracellular staining, a Fix and Perm reagent (ImTec Diagnostics NV) was used and monoclonal antibodies against MPO-FITC (15 µl; undiluted; cat. no. F0714; Dako; Agilent Technologies, Inc.) and CD79a-PE (15 µl; undiluted; cat. no. 333152; BD Biosciences). After staining, the samples were washed with 2 m Cell Wash (BD Biosciences) and analyzed using a FacsCanto flow cytometer (BD Biosciences) by collecting 100,000 events. For analysis, the FacsDIVA software (version 6.1.2; BD Bioscience) was used. Blast cells were gated based on their side-scatter and dim CD45 characteristics. Immunophenotyping of the peripheral blood showed a population of 28% blasts, and were positive for CD34, CD61 and CD42b and negative for cyMPO, CD13, CD117, CD33, CD36 and human leukocyte antigen-DR (Fig. 2). As the megakaryocytic markers, CD61 and CD42b were found to be positive from the peripheral blood, this suggested the patient had AMKL. Short-term culture of the peripheral blood, without mitogen, revealed a balanced translocation t(1;7;22)(p13;q21;q13), as the sole aberration in all 13 analyzed metaphases (Fig. 3A). Fluorescent in situ hybridization (FISH) was performed according to standard protocols and manufacturer's procedures. The commercially available probe RBM15-MKL Dual Fusion/Translocation FISH Probe (CytoTest) was used on peripheral blood metaphases from the same culture as that analyzed by conventional karyotyping. Images were captured using a fluorescence microscope (magnification, x400) equipped with an Axiophot 2 camera (Carl Zeiss AG) and a MetaSystems Isis imaging system (MetaSystems). This showed one expected fusion signal on the derivate 1 chromosome, while the second fusion was not located on the derivative 22, but on the derivative 7. This demonstrated that the observed three-way translocation was a variant of the recurrent t(1;22)(p13;q13) (Fig. 3B).
Reverse transcription-quantitative PCR analysis of the peripheral blood showed an overexpression of ecotropic viral integration site 1 (EVI1) (data not shown). RT-PCR analysis was performed as previously described by Gröschel et al (11). RNA was extracted from the leukemic blast cells using a Maxwell® RSC simplyRNA Blood kit (Promega Corporation), according to the manufacturer's protocol. cDNA was subsequently synthesized using a Superscript II reverse transcriptase kit (Invitrogen; Thermo Fisher Scientific, Inc.), according to the manufacturer's protocol. EVI1 expression was quantified against the housekeeping gene, ABL1 (ΔCp=Cp (MECOM)-Cp (ABL1); ratio, 2-ΔCp) (11). EVI1 qPCR was performed using the QuantStudio DX Real-Time PCR instrument (Applied Biosystems; Thermo Fisher Scientific, Inc.) using 12.5 µl TaqMan Fast Advanced Master Mix (Applied Biosystems; Thermo Fisher Scientific, Inc.), 2.5 µl MECOM primer probe mix, 2.5 µl ABL1 primer probe mix, 7.5 µl water and 2.5 µl cDNA (maximum, 125 ng RNA). The following primers (Integrated DNA Technologies, Inc.) were used: MECOM EVI1 forward, 5'-AGTGCCCTGGAGATGAGTTG-3', and reverse, 5'-TTTGAGGCTATCTGTGAAGTGC-3'; ABL-F-EAC forward, 5'-TGGAGATACACTCTAAGCATAACTAAAGGT-3', and reverse, 5'-GATGTAGTTGCTTGGGACCCA-3'. The following probes (IDT) were used: ABL-P_EAC-HEX, HEX-CCATTTTTGGTTTGGGCTTCACACCATT-BHQ1, and EVI1_P2 FAM-CCCCAGTGAGGTATAAAGAGGAAGAATATA-BHQ1. The following thermocycling conditions were used: 95˚C for 20 sec, 50˚C for 2 sec, at 95˚C for 1 sec and 60˚C for 20 sec (50 cycles). The SKOV3 cell line (3q26 amplified) was used as a calibrator for quantification and as a positive control, while the HL60 cell line and H2O were used as negative controls. Positivity was defined as a sample with sigmoid amplification and a ratio (normalized to SKOV3 ratio) >0.11.
On the first day, the patient developed an intracranial hemorrhage, hypotension and renal failure. In consultation with the parents, it was decided not to start chemotherapy, as their child was critically ill. She died after 3 days.
AMKL is a rare subtype of AML and is predominantly found in infants (1,12). The chromosomal translocation t(1;22)(p13;q13), which results in the RMB15/MKL1 fusion gene, is specific to this subtype (5,8). Until recently, the RMB15/MKL1 fusion gene was the only recurrent genetic aberration detected in non-DS-AMKL; however, novel fusion genes have been identified over the few years, such as CBFA2R3-GLIS2 and NUP95-KDM5A (13).
The patient in the present case report presented with hepatosplenomegaly, anemia and thrombopenia, which is frequently observed in AMKL (5,6). Blood analysis revealed the diagnosis of AMKL, with the typical findings of megakaryocytes from a peripheral blood smear and was positive for CD42b and CD61 from immunophenotyping. However, several cases have been described where the diagnosis of AMKL was complicated due to bone marrow fibrosis or extramedullary disease (14-17).
Karyotyping of the blast cells showed a three-way variant of the known translocation t(1;22)(p13;q13) and FISH analysis confirmed the RBM15-MKL1 fusion gene. To the best of our knowledge, this is the first description of this translocation. A search of the Mitelman database and the literature only revealed a few variants of the translocation (1;22)(p13;q13), in addition to the novel 3-way variant t(1;7;22)(p13;q21;q13), as aforementioned. There were 2 3-way translocations described, t(1;22;14)(p13;q13;q31) and t(1;22;4)(p13;q13;q35) (3,18), as well as 3 additional 4-way translocations, t(1;22;17;18)(p13;q13;q22;q12), t(1;6;6;22)(p13;p25;q13;q13) and (t1;2;22;2)(p13;q21;q13;p23) (10,12). Whether this rare variant carries the same prognosis, is currently unclear and requires further research.
AMKL has a poor outcome, but with intensive chemotherapy regimens, an improvement in survival time has been achieved, with a reported 5-year overall survival rate of 70±6% in the AML-BMF 04 trial vs. 45±8% in the AML-BMF 98 trial (9). The decision to renounce therapy in the present case, was thoroughly discussed and was based on the comorbidities the patient had.
The authors would like to thank Ms Monique Rubens and Msc Geneviève Ameye (Department of Human Genetics, University Hospitals Leuven, Belgium) for their assistance in the preparation of the karyotyping images and FISH-analysis.
Funding: No funding was received.
The datasets used and/or analyzed during the current study are available from the corresponding author on reasonable request.
JM acquired the data from the experiments and the patient, and wrote the original draft of the manuscript. LM, NB and PV investigated the chromosomal aberrations. AU and SAJ contributed to the interpretation of the results, and made substantial contributions to conception and design. AU, LM, PV, NB and SAJ critically reviewed and edited the draft version of the manuscript. SAJ supervised the research. LM, NB and PV confirmed the authenticity of all the raw data. All authors reviewed the results and approved the final version of the manuscript.
Not applicable.
Written informed consent was obtained from the parents of the patient for publication of the case report and any accompanying images.
The authors declare that they have no competing interests.
|
Lion T, Haas OA, Harbott J, Bannier E, Ritterbach J, Jankovic M, Fink FM, Stojimirovic A, Herrmann J, Riehm HJ, et al: The translocation t(1;22)(p13;q13) is a nonrandom marker specifically associated with acute megakaryocytic leukemia in young children. Blood. 79:3325–3330. 1992.PubMed/NCBI | |
|
Athale UH, Razzouk BI, Raimondi SC, Long X, Behm FG, Head DR, Srivastava DK, Rubnitz JE, Bowman L, Pui CH and Ribeiro RC: Biology and outcome of childhood acute megakaryoblastic leukemia: A single institution's experience. Blood. 97:3727–3732. 2001.PubMed/NCBI View Article : Google Scholar | |
|
Dastugue N, Lafage-Pochitaloff M, Pagès MP, Radford I, Bastard C, Talmant P, Mozziconacci MJ, Léonard C, Bilhou-Nabéra C, Cabrol C, et al: Cytogenetic profile of childhood and adult megakaryoblastic leukemia (M7): A study of the Groupe Français de Cytogénétique Hématologique (GFCH). Blood. 100:618–626. 2002.PubMed/NCBI View Article : Google Scholar | |
|
Reinhardt D, Diekamp S, Langebrake C, Ritter J, Stary J, Dworzak M, Schrauder A, Zimmermann M, Fleischhack G, Ludwig WD, et al: Acute megakaryoblastic leukemia in children and adolescents, excluding Down's syndrome: Improved outcome with intensified induction treatment. Leukemia. 19:1495–1496. 2005.PubMed/NCBI View Article : Google Scholar | |
|
Carroll A, Civin C, Schneider N, Dahl G, Pappo A, Bowman P, Emami A, Gross S, Alvarado C, Phillips C, et al: The t(1;22) (p13;q13) is nonrandom and restricted to infants with acute megakaryoblastic leukemia: A pediatric oncology group study. Blood. 78:748–752. 1991.PubMed/NCBI | |
|
Bernstein J, Dastugue N, Haas OA, Harbott J, Heere NA, Huret JL, Landman-Parker J, Lebeau MM, Leonard C, Mann G, et al: Nineteen cases of the t(1;22)(p13;q13) acute megakaryblastic leukaemia of infants/children and a review of 39 cases: Report from a t(1;22) study group. Leukemia. 14:216–218. 2000.PubMed/NCBI View Article : Google Scholar | |
|
Inaba H, Zhou Y, Abla O, Adachi S, Auvrignon A, Beverloo HB, De Bont E, Chang TT, Creutzig U, Dworzak M, et al: Heterogeneous cytogenetic subgroups and outcomes in childhood acute megakaryoblastic leukemia: A retrospective international study. Blood. 126:1575–1584. 2015.PubMed/NCBI View Article : Google Scholar | |
|
Ma Z, Morris SW, Valentine V, Li M, Herbrick JA, Cui X, Bouman D, Li Y, Mehta PK, Nizetic D, et al: Fusion of two novel genes, RBM15 and MKL1, in the t(1;22)(p13;q13) of acute megakaryoblastic leukemia. Nat Genet. 28:220–221. 2001.PubMed/NCBI View Article : Google Scholar | |
|
Schweitzer J, Zimmermann M, Rasche M, Von Neuhoff C, Creutzig U, Dworzak M, Reinhardt D and Klusmann JH: Improved outcome of pediatric patients with acute megakaryoblastic leukemia in the AML-BFM 04 trial. Ann Hematol. 94:1327–1336. 2015.PubMed/NCBI View Article : Google Scholar | |
|
de Rooij JD, Branstetter C, Ma J, Li Y, Walsh MP, Cheng J, Obulkasim A, Dang J, Easton J, Verboon LJ, et al: Pediatric non-down syndrome acute megakaryoblastic leukemia is characterized by distinct genomic subsets with varying outcomes. Nat Genet. 49:451–456. 2017.PubMed/NCBI View Article : Google Scholar | |
|
Gröschel S, Lugthart S, Schlenk RF, Valk PJ, Eiwen K, Goudswaard C, van Putten WJ, Kayser S, Verdonck LF, Lübbert M, et al: High EVI1 expression predicts outcome in younger adult patients with acute myeloid leukemia and is associated with distinct cytogenetic abnormalities. J Clin Oncol. 28:2101–2107. 2010.PubMed/NCBI View Article : Google Scholar | |
|
Torres L, Lisboa S, Vieira J, Cerveira N, Santos J, Pinheiro M, Correia C, Bizarro S, Almeida M and Teixeira MR: Acute megakaryoblastic leukemia with a four-way variant translocation originating the RBM15-MKL1 fusion gene. Pediatr Blood Cancer. 56:846–849. 2011.PubMed/NCBI View Article : Google Scholar | |
|
Masetti R, Guidi V, Ronchini L, Bertuccio NS, Locatelli F and Pession A: The changing scenario of non-down syndrome acute megakaryoblastic leukemia in children. Crit Rev Oncol Hematol. 138:132–138. 2019.PubMed/NCBI View Article : Google Scholar | |
|
Margolskee E, Saab J, Geyer JT, Aledo A and Mathew S: A novel variant t(1;22) translocation-ins(22;1)(q13;p13p31)-in a child with acute megakaryoblastic leukemia. Am J Case Rep. 18:422–426. 2017.PubMed/NCBI View Article : Google Scholar | |
|
Gökçe M, Aytaç S, Ünal Ş, Altan İ, Gümrük F and Çetin M: Acute megakaryoblastic leukemia with t(1;22) mimicking neuroblastoma in an infant. Turk J Haematol. 32:64–67. 2015.PubMed/NCBI View Article : Google Scholar | |
|
Kawasaki Y, Makimoto M, Nomura K, Hoshino A, Hamashima T, Hiwatari M, Nakazawa A, Takita J, Yoshida T and Kanegane H: Neonatal acute megakaryoblastic leukemia mimicking congenital neuroblastoma. Clin Case Rep. 3:145–149. 2015.PubMed/NCBI View Article : Google Scholar | |
|
Marques-Piubelli ML, Cordeiro MG, Cristofani L, Barroso RS, Paes VR, Castelli JB and Rodrigues Pereira Velloso ED: Acute megakaryoblastic leukemia with t(1;22)(p13.3;q13.1); RBM15-MKL1 mimicking hepatoblastoma in an infant: The role of karyotype in differential diagnosis. Pediatr Blood Cancer. 67(e28111)2020.PubMed/NCBI View Article : Google Scholar | |
|
Mercher T, Coniat MB, Monni R, Mauchauffe M, Nguyen Khac F, Gressin L, Mugneret F, Leblanc T, Dastugue N, Berger R and Bernard OA: Involvement of a human gene related to the Drosophila spen gene in the recurrent t(1;22) translocation of acute megakaryocytic leukemia. Proc Natl Acad Sci USA. 98:5776–5779. 2001.PubMed/NCBI View Article : Google Scholar |