Spandidos Publications Logo
  • About
    • About Spandidos
    • Aims and Scopes
    • Abstracting and Indexing
    • Editorial Policies
    • Reprints and Permissions
    • Job Opportunities
    • Terms and Conditions
    • Contact
  • Journals
    • All Journals
    • Oncology Letters
      • Oncology Letters
      • Information for Authors
      • Editorial Policies
      • Editorial Board
      • Aims and Scope
      • Abstracting and Indexing
      • Bibliographic Information
      • Archive
    • International Journal of Oncology
      • International Journal of Oncology
      • Information for Authors
      • Editorial Policies
      • Editorial Board
      • Aims and Scope
      • Abstracting and Indexing
      • Bibliographic Information
      • Archive
    • Molecular and Clinical Oncology
      • Molecular and Clinical Oncology
      • Information for Authors
      • Editorial Policies
      • Editorial Board
      • Aims and Scope
      • Abstracting and Indexing
      • Bibliographic Information
      • Archive
    • Experimental and Therapeutic Medicine
      • Experimental and Therapeutic Medicine
      • Information for Authors
      • Editorial Policies
      • Editorial Board
      • Aims and Scope
      • Abstracting and Indexing
      • Bibliographic Information
      • Archive
    • International Journal of Molecular Medicine
      • International Journal of Molecular Medicine
      • Information for Authors
      • Editorial Policies
      • Editorial Board
      • Aims and Scope
      • Abstracting and Indexing
      • Bibliographic Information
      • Archive
    • Biomedical Reports
      • Biomedical Reports
      • Information for Authors
      • Editorial Policies
      • Editorial Board
      • Aims and Scope
      • Abstracting and Indexing
      • Bibliographic Information
      • Archive
    • Oncology Reports
      • Oncology Reports
      • Information for Authors
      • Editorial Policies
      • Editorial Board
      • Aims and Scope
      • Abstracting and Indexing
      • Bibliographic Information
      • Archive
    • Molecular Medicine Reports
      • Molecular Medicine Reports
      • Information for Authors
      • Editorial Policies
      • Editorial Board
      • Aims and Scope
      • Abstracting and Indexing
      • Bibliographic Information
      • Archive
    • World Academy of Sciences Journal
      • World Academy of Sciences Journal
      • Information for Authors
      • Editorial Policies
      • Editorial Board
      • Aims and Scope
      • Abstracting and Indexing
      • Bibliographic Information
      • Archive
    • International Journal of Functional Nutrition
      • International Journal of Functional Nutrition
      • Information for Authors
      • Editorial Policies
      • Editorial Board
      • Aims and Scope
      • Abstracting and Indexing
      • Bibliographic Information
      • Archive
    • International Journal of Epigenetics
      • International Journal of Epigenetics
      • Information for Authors
      • Editorial Policies
      • Editorial Board
      • Aims and Scope
      • Abstracting and Indexing
      • Bibliographic Information
      • Archive
    • Medicine International
      • Medicine International
      • Information for Authors
      • Editorial Policies
      • Editorial Board
      • Aims and Scope
      • Abstracting and Indexing
      • Bibliographic Information
      • Archive
  • Articles
  • Information
    • Information for Authors
    • Information for Reviewers
    • Information for Librarians
    • Information for Advertisers
    • Conferences
  • Language Editing
Spandidos Publications Logo
  • About
    • About Spandidos
    • Aims and Scopes
    • Abstracting and Indexing
    • Editorial Policies
    • Reprints and Permissions
    • Job Opportunities
    • Terms and Conditions
    • Contact
  • Journals
    • All Journals
    • Biomedical Reports
      • Information for Authors
      • Editorial Policies
      • Editorial Board
      • Aims and Scope
      • Abstracting and Indexing
      • Bibliographic Information
      • Archive
    • Experimental and Therapeutic Medicine
      • Information for Authors
      • Editorial Policies
      • Editorial Board
      • Aims and Scope
      • Abstracting and Indexing
      • Bibliographic Information
      • Archive
    • International Journal of Epigenetics
      • Information for Authors
      • Editorial Policies
      • Editorial Board
      • Aims and Scope
      • Abstracting and Indexing
      • Bibliographic Information
      • Archive
    • International Journal of Functional Nutrition
      • Information for Authors
      • Editorial Policies
      • Editorial Board
      • Aims and Scope
      • Abstracting and Indexing
      • Bibliographic Information
      • Archive
    • International Journal of Molecular Medicine
      • Information for Authors
      • Editorial Policies
      • Editorial Board
      • Aims and Scope
      • Abstracting and Indexing
      • Bibliographic Information
      • Archive
    • International Journal of Oncology
      • Information for Authors
      • Editorial Policies
      • Editorial Board
      • Aims and Scope
      • Abstracting and Indexing
      • Bibliographic Information
      • Archive
    • Medicine International
      • Information for Authors
      • Editorial Policies
      • Editorial Board
      • Aims and Scope
      • Abstracting and Indexing
      • Bibliographic Information
      • Archive
    • Molecular and Clinical Oncology
      • Information for Authors
      • Editorial Policies
      • Editorial Board
      • Aims and Scope
      • Abstracting and Indexing
      • Bibliographic Information
      • Archive
    • Molecular Medicine Reports
      • Information for Authors
      • Editorial Policies
      • Editorial Board
      • Aims and Scope
      • Abstracting and Indexing
      • Bibliographic Information
      • Archive
    • Oncology Letters
      • Information for Authors
      • Editorial Policies
      • Editorial Board
      • Aims and Scope
      • Abstracting and Indexing
      • Bibliographic Information
      • Archive
    • Oncology Reports
      • Information for Authors
      • Editorial Policies
      • Editorial Board
      • Aims and Scope
      • Abstracting and Indexing
      • Bibliographic Information
      • Archive
    • World Academy of Sciences Journal
      • Information for Authors
      • Editorial Policies
      • Editorial Board
      • Aims and Scope
      • Abstracting and Indexing
      • Bibliographic Information
      • Archive
  • Articles
  • Information
    • For Authors
    • For Reviewers
    • For Librarians
    • For Advertisers
    • Conferences
  • Language Editing
Login Register Submit
  • This site uses cookies
  • You can change your cookie settings at any time by following the instructions in our Cookie Policy. To find out more, you may read our Privacy Policy.

    I agree
Search articles by DOI, keyword, author or affiliation
Search
Advanced Search
presentation
Molecular and Clinical Oncology
Join Editorial Board Propose a Special Issue
Print ISSN: 2049-9450 Online ISSN: 2049-9469
Journal Cover
June-2023 Volume 18 Issue 6

Full Size Image

Sign up for eToc alerts
Recommend to Library

Journals

International Journal of Molecular Medicine

International Journal of Molecular Medicine

International Journal of Molecular Medicine is an international journal devoted to molecular mechanisms of human disease.

International Journal of Oncology

International Journal of Oncology

International Journal of Oncology is an international journal devoted to oncology research and cancer treatment.

Molecular Medicine Reports

Molecular Medicine Reports

Covers molecular medicine topics such as pharmacology, pathology, genetics, neuroscience, infectious diseases, molecular cardiology, and molecular surgery.

Oncology Reports

Oncology Reports

Oncology Reports is an international journal devoted to fundamental and applied research in Oncology.

Experimental and Therapeutic Medicine

Experimental and Therapeutic Medicine

Experimental and Therapeutic Medicine is an international journal devoted to laboratory and clinical medicine.

Oncology Letters

Oncology Letters

Oncology Letters is an international journal devoted to Experimental and Clinical Oncology.

Biomedical Reports

Biomedical Reports

Explores a wide range of biological and medical fields, including pharmacology, genetics, microbiology, neuroscience, and molecular cardiology.

Molecular and Clinical Oncology

Molecular and Clinical Oncology

International journal addressing all aspects of oncology research, from tumorigenesis and oncogenes to chemotherapy and metastasis.

World Academy of Sciences Journal

World Academy of Sciences Journal

Multidisciplinary open-access journal spanning biochemistry, genetics, neuroscience, environmental health, and synthetic biology.

International Journal of Functional Nutrition

International Journal of Functional Nutrition

Open-access journal combining biochemistry, pharmacology, immunology, and genetics to advance health through functional nutrition.

International Journal of Epigenetics

International Journal of Epigenetics

Publishes open-access research on using epigenetics to advance understanding and treatment of human disease.

Medicine International

Medicine International

An International Open Access Journal Devoted to General Medicine.

Journal Cover
June-2023 Volume 18 Issue 6

Full Size Image

Sign up for eToc alerts
Recommend to Library

  • Article
  • Citations
    • Cite This Article
    • Download Citation
    • Create Citation Alert
    • Remove Citation Alert
    • Cited By
  • Similar Articles
    • Related Articles (in Spandidos Publications)
    • Similar Articles (Google Scholar)
    • Similar Articles (PubMed)
  • Download PDF
  • Download XML
  • View XML
Case Report

Successful tepotinib treatment of adenocarcinoma with MET exon 14 skipping and discordant results between Oncomine Dx target test and ArcherMET: A case report

  • Authors:
    • Yoko Onodera
    • Akimasa Sekine
    • Eri Hagiwara
    • Sho Yamada
    • Satoshi Ikeda
    • Erina Tabata
    • Hideya Kitamura
    • Tomohisa Baba
    • Shigeru Komatsu
    • Koji Okudela
    • Takashi Ogura
  • View Affiliations / Copyright

    Affiliations: Department of Respiratory Medicine, Kanagawa Cardiovascular and Respiratory Center, Yokohama, Kanagawa 236‑0051, Japan
  • Article Number: 49
    |
    Published online on: May 9, 2023
       https://doi.org/10.3892/mco.2023.2645
  • Expand metrics +
Metrics: Total Views: 0 (Spandidos Publications: | PMC Statistics: )
Metrics: Total PDF Downloads: 0 (Spandidos Publications: | PMC Statistics: )
Cited By (CrossRef): 0 citations Loading Articles...

This article is mentioned in:



Abstract

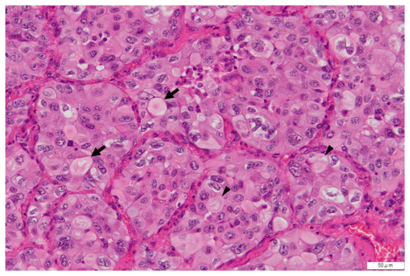
Patients with non‑small cell lung cancer (NSCLC) are often positive for oncogenic driver mutations, such as EGFR, ALK, BRAF, RET and MET exon 14 skipping mutations (METex14 skipping). Recently, METex14 skipping has become a functional biomarker for NSCLC with the approval of MET kinase inhibitors. Tepotinib is an oral MET kinase inhibitor. Its overall response rate is 46%, and the median duration of the response is 11.1 months. In Japan, companion diagnostics for tepotinib are limited with the ArcherMET and AmoyDx test, but not with Oncomine Dx target test. The present study reports the case of a 60‑year‑old male patient with lung adenocarcinoma harboring METex14 skipping, which was positive on Oncomine DxTT, but not on ArcherMET. In his sample used for Oncomine DxTT, the read count of MET(13)‑MET(15) products was only 46. He was treated with various chemotherapeutic agents, but developed cardiac tamponade due to the progression of the disease of mediastinal lymph node metastases. Tepotinib was administered following pericardial drainage, resulting in an immediate response in all lesions. The majority of the discordant samples between Oncomine DxTT and ArcherMET had read counts <800, and the patient described herein had only 46. Therefore, the results of the present study indicate that the use of tepotinib should be considered even in patients whose METex14 skipping results were negative with ArcherMET, yet positive on Oncomine DxTT, particularly relatively with low lead counts.
View Figures

Figure 1

Figure 2

View References

1 

Paik PK, Felip E, Veillon R, Sakai H, Cortot AB, Garassino MC, Mazieres J, Viteri S, Senellart H, Van Meerbeeck J, et al: Tepotinib in non-small-cell lung cancer with MET Exon 14 skipping mutations. N Engl J Med. 383:931–943. 2020.PubMed/NCBI View Article : Google Scholar

2 

Heist RS, Shim HS, Gingipally S, Mino-Kenudson M, Le L, Gainor JF, Zheng Z, Aryee M, Xia J, Jia P, et al: MET Exon 14 skipping in non-small cell lung cancer. Oncologist. 21:481–486. 2016.PubMed/NCBI View Article : Google Scholar

3 

Socinski MA, Pennell NA and Davies KD: MET Exon 14 skipping mutations in non-small-cell lung cancer: An overview of biology, clinical outcomes, and testing considerations. JCO Precis Oncol. 5(PO.20.00516)2021.PubMed/NCBI View Article : Google Scholar

4 

Drilon A, Clark JW, Weiss J, Ou SI, Camidge DR, Solomon BJ, Otterson GA, Villaruz LC, Riely GJ, Heist RS, et al: Antitumor activity of crizotinib in lung cancers harboring a MET exon 14 alteration. Nat Med. 26:47–51. 2020.PubMed/NCBI View Article : Google Scholar

5 

Wolf J, Seto T, Han JY, Reguart N, Garon EB, Groen HJM, Tan DSW, Hida T, de Jonge M, Orlov SV, et al: Capmatinib in MET exon 14-mutated or MET-amplified non-small-cell lung cancer. N Engl J Med. 383:944–957. 2020.PubMed/NCBI View Article : Google Scholar

6 

Pharmaceuticals and Medical Devices Agency: Information on in vitro diagnostic products or medical devices approved for the purpose of determining the indication of a drug. Accesed Dec 23, 2022. https://www.pmda.go.jp/files/000239775.pdf.

7 

Eisenhauer EA, Therasse P, Bogaerts J, Schwartz LH, Sargent D, Ford R, Dancey J, Arbuck S, Gwyther S, Mooney M, et al: New response evaluation criteria in solid tumours: Revised RECIST guideline (version 1.1). Eur J Cancer. 45:228–247. 2009.PubMed/NCBI View Article : Google Scholar

8 

Schrock AB, Frampton GM, Suh J, Chalmers ZR, Rosenzweig M, Erlich RL, Halmos B, Goldman J, Forde P, Leuenberger K, et al: Characterization of 298 Patients with Lung Cancer Harboring MET Exon 14 Skipping Alterations. J Thorac Oncol. 11:1493–1502. 2016.PubMed/NCBI View Article : Google Scholar

9 

Poirot B, Doucet L, Benhenda S, Champ J, Meignin V and Lehmann-Che J: MET Exon 14 Alterations and new resistance mutations to tyrosine kinase inhibitors: Risk of inadequate detection with current amplicon-based NGS panels. J Thorac Oncol. 12:1582–1587. 2017.PubMed/NCBI View Article : Google Scholar

10 

Davies KD, Lomboy A, Lawrence CA, Yourshaw M, Bocsi GT, Camidge DR and Aisner DL: DNA-Based versus RNA-Based Detection of MET Exon 14 skipping events in lung cancer. J Thorac Oncol. 14:737–741. 2019.PubMed/NCBI View Article : Google Scholar

11 

Champagnac A, Bringuier PP, Barritault M, Isaac S, Watkin E, Forest F, Maury JM, Girard N and Brevet M: Frequency of MET exon 14 skipping mutations in non-small cell lung cancer according to technical approach in routine diagnosis: Results from a real-life cohort of 2,369 patients. J Thorac Dis. 12:2172–2178. 2020.PubMed/NCBI View Article : Google Scholar

12 

Teishikata T, Shiraishi K, Shinno Y, Kobayashi Y, Kashima J, Ishiyama T, Yoshida T, Mori T and Yatabe Y: An alert to possible false positives with a commercial assay for MET Exon 14 skipping. J Thorac Oncol. 16:2133–2138. 2021.PubMed/NCBI View Article : Google Scholar

13 

Takamori S, Seto T, Yamaguchi M, Kinoshita F, Fujishita T, Ito K, Toyozawa R, Shoji F and Okamoto T: Case report: Success of tepotinib therapy in overcoming resistance to osimertinib in a patient with EGFR-mutant lung adenocarcinoma with a potential acquired MET exon 14 skipping mutation. Front Oncol. 12(965741)2022.PubMed/NCBI View Article : Google Scholar

Related Articles

  • Abstract
  • View
  • Download
  • Twitter
Copy and paste a formatted citation
Spandidos Publications style
Onodera Y, Sekine A, Hagiwara E, Yamada S, Ikeda S, Tabata E, Kitamura H, Baba T, Komatsu S, Okudela K, Okudela K, et al: Successful tepotinib treatment of adenocarcinoma with MET exon 14 skipping and discordant results between Oncomine Dx target test and ArcherMET: A case report. Mol Clin Oncol 18: 49, 2023.
APA
Onodera, Y., Sekine, A., Hagiwara, E., Yamada, S., Ikeda, S., Tabata, E. ... Ogura, T. (2023). Successful tepotinib treatment of adenocarcinoma with MET exon 14 skipping and discordant results between Oncomine Dx target test and ArcherMET: A case report. Molecular and Clinical Oncology, 18, 49. https://doi.org/10.3892/mco.2023.2645
MLA
Onodera, Y., Sekine, A., Hagiwara, E., Yamada, S., Ikeda, S., Tabata, E., Kitamura, H., Baba, T., Komatsu, S., Okudela, K., Ogura, T."Successful tepotinib treatment of adenocarcinoma with MET exon 14 skipping and discordant results between Oncomine Dx target test and ArcherMET: A case report". Molecular and Clinical Oncology 18.6 (2023): 49.
Chicago
Onodera, Y., Sekine, A., Hagiwara, E., Yamada, S., Ikeda, S., Tabata, E., Kitamura, H., Baba, T., Komatsu, S., Okudela, K., Ogura, T."Successful tepotinib treatment of adenocarcinoma with MET exon 14 skipping and discordant results between Oncomine Dx target test and ArcherMET: A case report". Molecular and Clinical Oncology 18, no. 6 (2023): 49. https://doi.org/10.3892/mco.2023.2645
Copy and paste a formatted citation
x
Spandidos Publications style
Onodera Y, Sekine A, Hagiwara E, Yamada S, Ikeda S, Tabata E, Kitamura H, Baba T, Komatsu S, Okudela K, Okudela K, et al: Successful tepotinib treatment of adenocarcinoma with MET exon 14 skipping and discordant results between Oncomine Dx target test and ArcherMET: A case report. Mol Clin Oncol 18: 49, 2023.
APA
Onodera, Y., Sekine, A., Hagiwara, E., Yamada, S., Ikeda, S., Tabata, E. ... Ogura, T. (2023). Successful tepotinib treatment of adenocarcinoma with MET exon 14 skipping and discordant results between Oncomine Dx target test and ArcherMET: A case report. Molecular and Clinical Oncology, 18, 49. https://doi.org/10.3892/mco.2023.2645
MLA
Onodera, Y., Sekine, A., Hagiwara, E., Yamada, S., Ikeda, S., Tabata, E., Kitamura, H., Baba, T., Komatsu, S., Okudela, K., Ogura, T."Successful tepotinib treatment of adenocarcinoma with MET exon 14 skipping and discordant results between Oncomine Dx target test and ArcherMET: A case report". Molecular and Clinical Oncology 18.6 (2023): 49.
Chicago
Onodera, Y., Sekine, A., Hagiwara, E., Yamada, S., Ikeda, S., Tabata, E., Kitamura, H., Baba, T., Komatsu, S., Okudela, K., Ogura, T."Successful tepotinib treatment of adenocarcinoma with MET exon 14 skipping and discordant results between Oncomine Dx target test and ArcherMET: A case report". Molecular and Clinical Oncology 18, no. 6 (2023): 49. https://doi.org/10.3892/mco.2023.2645
Follow us
  • Twitter
  • LinkedIn
  • Facebook
About
  • Spandidos Publications
  • Careers
  • Cookie Policy
  • Privacy Policy
How can we help?
  • Help
  • Live Chat
  • Contact
  • Email to our Support Team