Spandidos Publications Logo
  • About
    • About Spandidos
    • Aims and Scopes
    • Abstracting and Indexing
    • Editorial Policies
    • Reprints and Permissions
    • Job Opportunities
    • Terms and Conditions
    • Contact
  • Journals
    • All Journals
    • Oncology Letters
      • Oncology Letters
      • Information for Authors
      • Editorial Policies
      • Editorial Board
      • Aims and Scope
      • Abstracting and Indexing
      • Bibliographic Information
      • Archive
    • International Journal of Oncology
      • International Journal of Oncology
      • Information for Authors
      • Editorial Policies
      • Editorial Board
      • Aims and Scope
      • Abstracting and Indexing
      • Bibliographic Information
      • Archive
    • Molecular and Clinical Oncology
      • Molecular and Clinical Oncology
      • Information for Authors
      • Editorial Policies
      • Editorial Board
      • Aims and Scope
      • Abstracting and Indexing
      • Bibliographic Information
      • Archive
    • Experimental and Therapeutic Medicine
      • Experimental and Therapeutic Medicine
      • Information for Authors
      • Editorial Policies
      • Editorial Board
      • Aims and Scope
      • Abstracting and Indexing
      • Bibliographic Information
      • Archive
    • International Journal of Molecular Medicine
      • International Journal of Molecular Medicine
      • Information for Authors
      • Editorial Policies
      • Editorial Board
      • Aims and Scope
      • Abstracting and Indexing
      • Bibliographic Information
      • Archive
    • Biomedical Reports
      • Biomedical Reports
      • Information for Authors
      • Editorial Policies
      • Editorial Board
      • Aims and Scope
      • Abstracting and Indexing
      • Bibliographic Information
      • Archive
    • Oncology Reports
      • Oncology Reports
      • Information for Authors
      • Editorial Policies
      • Editorial Board
      • Aims and Scope
      • Abstracting and Indexing
      • Bibliographic Information
      • Archive
    • Molecular Medicine Reports
      • Molecular Medicine Reports
      • Information for Authors
      • Editorial Policies
      • Editorial Board
      • Aims and Scope
      • Abstracting and Indexing
      • Bibliographic Information
      • Archive
    • World Academy of Sciences Journal
      • World Academy of Sciences Journal
      • Information for Authors
      • Editorial Policies
      • Editorial Board
      • Aims and Scope
      • Abstracting and Indexing
      • Bibliographic Information
      • Archive
    • International Journal of Functional Nutrition
      • International Journal of Functional Nutrition
      • Information for Authors
      • Editorial Policies
      • Editorial Board
      • Aims and Scope
      • Abstracting and Indexing
      • Bibliographic Information
      • Archive
    • International Journal of Epigenetics
      • International Journal of Epigenetics
      • Information for Authors
      • Editorial Policies
      • Editorial Board
      • Aims and Scope
      • Abstracting and Indexing
      • Bibliographic Information
      • Archive
    • Medicine International
      • Medicine International
      • Information for Authors
      • Editorial Policies
      • Editorial Board
      • Aims and Scope
      • Abstracting and Indexing
      • Bibliographic Information
      • Archive
  • Articles
  • Information
    • Information for Authors
    • Information for Reviewers
    • Information for Librarians
    • Information for Advertisers
    • Conferences
  • Language Editing
Spandidos Publications Logo
  • About
    • About Spandidos
    • Aims and Scopes
    • Abstracting and Indexing
    • Editorial Policies
    • Reprints and Permissions
    • Job Opportunities
    • Terms and Conditions
    • Contact
  • Journals
    • All Journals
    • Biomedical Reports
      • Information for Authors
      • Editorial Policies
      • Editorial Board
      • Aims and Scope
      • Abstracting and Indexing
      • Bibliographic Information
      • Archive
    • Experimental and Therapeutic Medicine
      • Information for Authors
      • Editorial Policies
      • Editorial Board
      • Aims and Scope
      • Abstracting and Indexing
      • Bibliographic Information
      • Archive
    • International Journal of Epigenetics
      • Information for Authors
      • Editorial Policies
      • Editorial Board
      • Aims and Scope
      • Abstracting and Indexing
      • Bibliographic Information
      • Archive
    • International Journal of Functional Nutrition
      • Information for Authors
      • Editorial Policies
      • Editorial Board
      • Aims and Scope
      • Abstracting and Indexing
      • Bibliographic Information
      • Archive
    • International Journal of Molecular Medicine
      • Information for Authors
      • Editorial Policies
      • Editorial Board
      • Aims and Scope
      • Abstracting and Indexing
      • Bibliographic Information
      • Archive
    • International Journal of Oncology
      • Information for Authors
      • Editorial Policies
      • Editorial Board
      • Aims and Scope
      • Abstracting and Indexing
      • Bibliographic Information
      • Archive
    • Medicine International
      • Information for Authors
      • Editorial Policies
      • Editorial Board
      • Aims and Scope
      • Abstracting and Indexing
      • Bibliographic Information
      • Archive
    • Molecular and Clinical Oncology
      • Information for Authors
      • Editorial Policies
      • Editorial Board
      • Aims and Scope
      • Abstracting and Indexing
      • Bibliographic Information
      • Archive
    • Molecular Medicine Reports
      • Information for Authors
      • Editorial Policies
      • Editorial Board
      • Aims and Scope
      • Abstracting and Indexing
      • Bibliographic Information
      • Archive
    • Oncology Letters
      • Information for Authors
      • Editorial Policies
      • Editorial Board
      • Aims and Scope
      • Abstracting and Indexing
      • Bibliographic Information
      • Archive
    • Oncology Reports
      • Information for Authors
      • Editorial Policies
      • Editorial Board
      • Aims and Scope
      • Abstracting and Indexing
      • Bibliographic Information
      • Archive
    • World Academy of Sciences Journal
      • Information for Authors
      • Editorial Policies
      • Editorial Board
      • Aims and Scope
      • Abstracting and Indexing
      • Bibliographic Information
      • Archive
  • Articles
  • Information
    • For Authors
    • For Reviewers
    • For Librarians
    • For Advertisers
    • Conferences
  • Language Editing
Login Register Submit
  • This site uses cookies
  • You can change your cookie settings at any time by following the instructions in our Cookie Policy. To find out more, you may read our Privacy Policy.

    I agree
Search articles by DOI, keyword, author or affiliation
Search
Advanced Search
presentation
Molecular and Clinical Oncology
Join Editorial Board Propose a Special Issue
Print ISSN: 2049-9450 Online ISSN: 2049-9469
Journal Cover
July-2023 Volume 19 Issue 1

Full Size Image

Sign up for eToc alerts
Recommend to Library

Journals

International Journal of Molecular Medicine

International Journal of Molecular Medicine

International Journal of Molecular Medicine is an international journal devoted to molecular mechanisms of human disease.

International Journal of Oncology

International Journal of Oncology

International Journal of Oncology is an international journal devoted to oncology research and cancer treatment.

Molecular Medicine Reports

Molecular Medicine Reports

Covers molecular medicine topics such as pharmacology, pathology, genetics, neuroscience, infectious diseases, molecular cardiology, and molecular surgery.

Oncology Reports

Oncology Reports

Oncology Reports is an international journal devoted to fundamental and applied research in Oncology.

Experimental and Therapeutic Medicine

Experimental and Therapeutic Medicine

Experimental and Therapeutic Medicine is an international journal devoted to laboratory and clinical medicine.

Oncology Letters

Oncology Letters

Oncology Letters is an international journal devoted to Experimental and Clinical Oncology.

Biomedical Reports

Biomedical Reports

Explores a wide range of biological and medical fields, including pharmacology, genetics, microbiology, neuroscience, and molecular cardiology.

Molecular and Clinical Oncology

Molecular and Clinical Oncology

International journal addressing all aspects of oncology research, from tumorigenesis and oncogenes to chemotherapy and metastasis.

World Academy of Sciences Journal

World Academy of Sciences Journal

Multidisciplinary open-access journal spanning biochemistry, genetics, neuroscience, environmental health, and synthetic biology.

International Journal of Functional Nutrition

International Journal of Functional Nutrition

Open-access journal combining biochemistry, pharmacology, immunology, and genetics to advance health through functional nutrition.

International Journal of Epigenetics

International Journal of Epigenetics

Publishes open-access research on using epigenetics to advance understanding and treatment of human disease.

Medicine International

Medicine International

An International Open Access Journal Devoted to General Medicine.

Journal Cover
July-2023 Volume 19 Issue 1

Full Size Image

Sign up for eToc alerts
Recommend to Library

  • Article
  • Citations
    • Cite This Article
    • Download Citation
    • Create Citation Alert
    • Remove Citation Alert
    • Cited By
  • Similar Articles
    • Related Articles (in Spandidos Publications)
    • Similar Articles (Google Scholar)
    • Similar Articles (PubMed)
  • Download PDF
  • Download XML
  • View XML
Article Open Access

p53 expression is associated with tumor stage, grade and subtype in patients with hepatocellular carcinoma

  • Authors:
    • Nur Rahadiani
    • Marini Stephanie
    • Alif Gilang Perkasa
    • Diah Rini Handjari
    • Ening Krisnuhoni
  • View Affiliations / Copyright

    Affiliations: Department of Anatomical Pathology, Faculty of Medicine, Universitas Indonesia/Dr. Cipto Mangunkusumo Hospital, Central Jakarta, Jakarta 10430, Republic of Indonesia
    Copyright: © Rahadiani et al. This is an open access article distributed under the terms of Creative Commons Attribution License.
  • Article Number: 54
    |
    Published online on: May 24, 2023
       https://doi.org/10.3892/mco.2023.2650
  • Expand metrics +
Metrics: Total Views: 0 (Spandidos Publications: | PMC Statistics: )
Metrics: Total PDF Downloads: 0 (Spandidos Publications: | PMC Statistics: )
Cited By (CrossRef): 0 citations Loading Articles...

This article is mentioned in:



Abstract

The present study aimed to determine the expression levels of p53 in patients with hepatocellular carcinoma (HCC) and to evaluate its association with several HCC‑related prognostic factors and in particular, with tumor stage, grade and subtype. Therefore, a cross‑sectional study, involving 41 patients with HCC, who underwent surgical resection between January, 2013 and December, 2020 was conducted. To assess the expression levels of p53 in all patients with HCC, immunohistochemical staining was performed. In addition, the association between p53 expression and the clinicopathological characteristics of patients with HCC, including prognostic factors, was evaluated by applying the appropriate statistical analysis methods. The results revealed that among the 41 patients enrolled, 35 patients (85.4%) were positive for p53 expression. A higher percentage of positive p53 expression was observed in male patients >60 years old, with single HCC nodules >5 cm in diameter and vascular invasion, compared with their counterparts. A positive p53 expression was associated with well‑ and poorly differentiated HCC, but not with tumor stage and subtype. No differences in p53 expression were observed across different tumor stages and subtypes. Additionally, patients with moderately and poorly differentiated HCC exhibited significantly higher p53 expression levels compared with those suffering from well‑differentiated HCC. Overall, the results demonstrated that the rate of p53 immuno‑positive cells was increased in patients with HCC. In addition, p53 expression was associated with well‑ and poorly differentiated HCC, thus suggesting its association with a poorer prognosis.

Introduction

Hepatocellular carcinoma (HCC) is the most common type of primary liver cancer (1). Liver cancer is the seventh most common type of cancer and the third leading cause of cancer-related mortality worldwide. According to GLOBOCAN 2020 (The International Agency for Research on Cancer), 905,677 new cases of liver cancer and 830,180 liver cancer-related deaths were recorded (2). Although the survival rates of patients with HCC have increased due to recent medical advances, the overall survival (OS) of patients with HCC remains low, with reported 1-, 2-, 3- and 5-year survival rates of 49.3, 35.3, 26.6 and 19.5%, respectively (3). The 5-year survival rate remains poor, even in patients who undergo curative surgical resection (56.2% for OS and 35.2% for recurrence-free survival) (4). A previous study reported that the 1-year survival rates of Indonesian patients with HCC were 24.1% in 1998-1999 and 29.4% in 2013-2014. This finding may be due to the fact that the majority of patients are diagnosed with HCC at a later stage of the disease (5).

Identifying biomarkers associated with a poor prognosis, that could improve the risk stratification of patients with HCC at the time of diagnosis, is of utmost significance. Molecular pathological diagnosis involves various techniques, such as in situ hybridization, reverse transcription polymerase chain reaction (RT-PCR) and DNA sequencing. However, immunohistochemistry is the most frequently used technique due to its broad application, ease of performance and evaluation, and reasonable costs. The results of immunohistochemistry occasionally reflect specific genetic mutations (6). Furthermore, the ability to obtain imaging studies, combined with the ability to test patients' blood for elevated levels of alpha-fetoprotein (AFP), render it possible to detect HCC at an earlier stage. However, the lack of that an elevated AFP level is not always associated with HCC. Thus, AFP is only associated with issues with sensitivity, but also with specificity (7).

p53 is a protein encoded by the TP53 gene located on human chromosome 17(8). Initially identified as an anti-oncogene, p53 functions as a tumor suppressor gene, which is activated when cells experience stress, thus promoting the uncontrolled division and proliferation of cells (9). p53 suppresses tumor progression and growth by inducing cell cycle arrest through p21 expression, and inducing apoptosis by activating pro-apoptotic proteins (10,11). When p53 is mutated, it loses its function, thus promoting uncontrolled cell growth. Mutated p53 has been detected in several types of cancer, including breast, colon, lung, liver, prostate, bladder and skin cancer, while it has been reported that mutant p53 is accumulated in the cell nuclei of transformed cells (8,12). Τhe development of anti-p53 monoclonal antibodies, has enabled researchers to examine the expression of p53 in human tissues (12).

The relevance of p53 as a prognostic factor for the survival of patients with HCC has been extensively investigated in two studies [Zhan and Ji (13) and Ji et al (14)]. Therefore, emerging evidence has suggested that patients with HCC with a positive p53 expression have a poorer prognosis (13,14). However, to date, at least to the best of our knowledge, such a study has not been performed in an Indonesian population. Therefore, the present study aimed to analyze the expression of p53 in Indonesian patients with HCC, and to evaluate its association with different prognostic factors, such as HCC stage, grade and subtype.

Patients and methods

Sample collection

In the present cross-sectional study, a total of 41 patients with HCC who underwent surgical resection between January, 2013 and December, 2020 at Dr. Cipto Mangunkusumo Hospital in Jakarta, Indonesia were enrolled. Patients whose paraffin blocks were not adequate for evaluation were excluded from the study. The inclusion criteria consisted of cases with histopathologically diagnosed hepatocellular carcinoma at the Department of Anatomical Pathology FKUI-RSCM (Jakarta, Indonesia) from 2013-2020. Hepatocellular carcinoma cases were taken from liver resection tissue with adequate quality for immunohistochemical staining. The exclusion criteria were patients with primary double tumors. The clinical data were obtained from the medical records each patient. To verify the diagnosis and obtain histopathological data, the slides and paraffin blocks were collected and reassessed independently by two pathologists specializing in liver pathology. The present study (protocol no. 21-05-0466) was approved by the Medical Ethics Committee of the Faculty of Medicine, Universitas Indonesia Dr. Cipto Mangunkusumo Hospital (approval no. KET-427/UN2.F1/ETIK/PPM.00.02/2021). Patient consent was waived by the committee as the study included already existing data (waiver statement no. ND-784/UN2.F1/ETIK/PPM.00.02/2022).

Immunohistochemical (IHC) staining

IHC staining was performed on 3-4-µm thick paraffin-embedded tissue sections. The sections were mounted on poly-l-lysine coated slides and heated on a slide warmer for 60 min at 60˚C. Subsequently, the slides were deparaffinized thrice in a graded xylol (Smart Lab Indonesia) eries for 5 min each, rehydrated with 96 and 70% alcohol for 4 min each, followed by rinsing with running water for 3 min. For antigen retrieval, the sections were boiled for 20 min at 96˚C in tris EDTA (pH 9) in a decloaking chamber (BIOGEAR, Biozatix), followed by cooling for 25 min. Subsequently, the tissue sections were washed with PBS (pH 7.4) for 3 min and the unspecific binding sites were then blocked. A PAP pen (Scytek, Medipath Biosains) was used to label the tissue sections. To block endogenous peroxidase, the tissues were incubated with peroxidase block (Novolink Polymer®; Novocastra) for 30 min, before being washed with PBS (pH 7.4) for 3 min. The slides were then incubated [at room temperature (20-25˚C)] for 30 min in protein block (Novolink Polymer®; Novocastra), washed with PBS (BIOGEAR, Biozatix) (pH 7.4) for 3 min to remove non-specific proteins, followed by an overnight incubation with a primary (20-25˚C) antibody against p53 (dilution 1:500; clone DO-7; Cell Marque, cat. no. 453M-94). Following washing with PBS (pH 7.4) for 3 min, the tissue sections were incubated with the corresponding ready to use secondary antibody for 30 min in 20-25˚C (Novolink Polymer®; Novocastra, cat. no. RE7140-K), followed by washing with PBS for 3 min. The slides were covered with 3,3'-diaminobenzidine tetrahydrochloride solution (Novolink Polymer®; Novocastra) supplemented with 5% lithium carbonate and were then counterstained with Mayer's hematoxylin (Thermo Fisher Scientific, Inc.) at 20-25˚C for 10 sec. Finally, the sections were dehydrated with an ascending concentration of alcohol for 5 min, soaked in xylol (clearing) for 5 min and mounted under a cover slip.

Assessment of p53 expression

Using IHC staining, two independent pathologists, blinded to the patients' clinicopathological data, evaluated the expression levels of p53 in the tissue sections under a light microscope (Leica ICC 50 HD; Leica Microsystems GmbH; magnification, x40). A positive p53 expression was indicated by the presence of brown-stained nuclei. Therefore, cells with brown-stained nuclei were captured and analyzed using ImageJ software 20.0 version (National Institutes of Health). The expression levels of p53 are expressed as a percentage, based on the number of positively-stained cancer cells/500 cancer cells ratio. Nuclear staining of <10, 10-30, 30-50 and >50% was considered to indicate negative, weakly positive, moderately positive and strongly positive for p53 expression, respectively.

Statistical analysis

All statistical analyses were performed using the Statistical Package for Social Sciences software (version 25.0; IBM Corp.). Categorical variables were compared using the Chi-squared test or Fisher's exact test. In addition, continuous variables were compared using the Kruskal-Wallis test, followed by the Dunn-Bonferroni post hoc test. A value of P<0.05 was considered to indicate a statistically significant difference.

Results

Study population

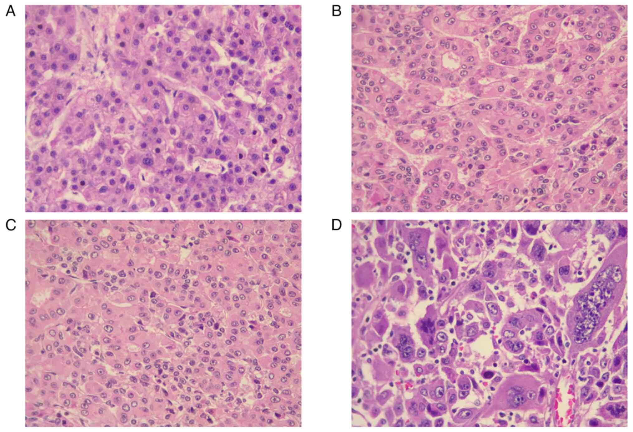
The demographic characteristics of the study population are presented in Table I. The average age of patients was 53.32±12.455 years. The majority of the patients were males (85.4%), <60 years old (63.4%) and with a history of hepatitis (68.3%). Hepatitis B was more common compared with hepatitis C (56.1 and 12.2%, respectively). The median tumor size was 7.9 cm. A tumor diameter >5 cm (75.6%) and vascular invasion (73.2%) were recorded in the majority of patients with HCC. Approximately 41.5, 36.6 and 22.0% of the patients suffered from stage IIIA, II and IB HCC, respectively. Finally, moderately differentiated classic HCC was the most common pathological finding in the aforementioned patients (Figs. 1 and 2).

Figure 1

Tumor grade of the study population. (A and B) Well-differentiated HCC (original magnification, x400. (C) Moderately differentiated HCC (original magnification, x400). (D) Poorly differentiated HCC (original magnification, x400). HCC, hepatocellular carcinoma.

Figure 2

Histological subtype of the study population. (A) Classic HCC (original magnification, x100). (B) Clear cell HCC (original magnification, x100). (C) Macrotrabecular-massive HCC (original magnification, x100). (D) Steatohepatitic HCC (original magnification, x100). HCC, hepatocellular carcinoma.

Table I

Clinicopathological characteristics of the study population.

Table I

Clinicopathological characteristics of the study population.

CharacteristicCategoryn (%)
SexMale35 (85.4)
 Female6 (14.6)
Age (mean/standard deviation SD)53.32/12.455 
Age<60 years old26 (63.4)
 ≥60 years old15 (36.6)
History of hepatitisHepatitis B23 (56.1)
 Hepatitis C5 (12.2)
 No history of hepatitis3 (7.3)
 Unknown10 (24.4)
Tumor size (median/min-max)7.9/2.5-20.0 
Tumor size≤5 cm10 (24.4)
 >5 cm31 (75.6)
Number of nodulesSolitary23 (56.1)
 Multiple18 (43.9)
Vascular invasionAbsent11 (26.8)
 Present30 (73.2)
Liver cirrhosisAbsent19 (46.3)
 Present22 (53.7)
AJCC stagingStage IB9 (22.0)
 Stage II15 (36.6)
 Stage IIIA17 (41.5)
Tumor grade Well-differentiated3 (7.3)
 Moderately differentiated23 (56.1)
 Poorly differentiated15 (36.6)
Histological subtypesClassic HCC18 (43.9)
 Clear cell HCC16 (39.0)
  Macrotrabecular-massive HCC4 (9.8)
 Steatohepatitic HCC3 (7.3)
p53 expression (mean/SD)40.40/25.697 
p53 expressionNegative6 (14.6)
 Positive(85.4)
       Weakly positive(19.5)
       Moderately positive(26.8)
       Strongly positive16 (39.0)

[i] HCC, hepatocellular carcinoma; AJCC, American Joint Committee on Cancer.

p53 expression is upregulated in HCC tissues

The IHC staining of p53 expression revealed that the mean expression levels of p53 in patients with HCC were 40.40±25.697%. The majority of patients (85.4%) were positive for p53 expression. More specifically, 8 patients exhibited a weak (19.5%), 11 patients a moderate (26.8%) and 16 patients a strong (39.0%) p53 expression (Fig. 3). The characteristics of the study population based on p53 expression are displayed in Table II. The patients with HCC with a positive p53 expression were mostly males, >60 years old, with solitary nodules >5 cm in diameter and vascular invasion. Statistical analysis revealed that a positive p53 expression was associated with well- and poorly differentiated HCC (P=0.002). With the exception of tumor grade, no statistically significant differences were obtained for the clinicopathological features between p53-negative and p53-positive patients with HCC.

Figure 3

p53 expression levels in the study population. (A) Negative p53 expression in well-differentiated steatohepatitic HCC (original magnification, x400). (B) Weakly positive p53 expression in poorly differentiated clear cell HCC (original magnification, x400). (C) Moderately positive p53 expression in poorly differentiated classic HCC (original magnification, x400). (D) Strongly positive p53 expression in poorly differentiated macrotrabecular-massive HCC (original magnification, x400). HCC, hepatocellular carcinoma.

Table II

Clinicopathological characteristics of the study population according to p53 expression.

Table II

Clinicopathological characteristics of the study population according to p53 expression.

Characteristicp53- negative (n=6)p53- positive (n=35)P-value
Sex   
     Male5 (83.3)30 (85.7)0.999a
     Female1 (16.7)5 (14.3) 
Age   
     <60 years old4 (66.7)22 (62.9)0.999a
     ≥60 years old2 (33.3)13 (37.1) 
Tumor size   
     ≤5 cm3 (50.0)7 (20.0)0.143a
     >5 cm3 (50.0)28 (80.0) 
Number of nodules   
     Solitary1 (16.7)22 (62.9)0.070a
     Multiple5 (83.3)13 (37.1) 
Vascular invasion   
     Absent3 (50.0)8 (22.9)0.361a
     Present3 (50.0)27 (77.1) 
Liver cirrhosis   
     Absent1 (16.7)18 (51.4)0.191a
     Present5 (83.3)17 (48.6) 
AJCC staging   
     Stage IB-II2 (33.3)22 (62.9)0.212a
     Stage IIIA4 (66.7)13 (37.1) 
Tumor grade   
     Well-differentiated3 (50.0)0 (0) 0.002a
     Moderately-poorly differentiated3 (50.0)35 (100.0) 
Histologic subtypes   
     Non-macrotrabecular-massive HCC6 (100.0)31 (88.6)0.999a
     Macrotrabecular-massive HCC0 (0)4 (11.4) 

[i] Data were analyzed using

[ii] aFisher's exact test. Values in bold font indicate statistically significant differences (P<0.05). HCC, hepatocellular carcinoma; AJCC, American Joint Committee on Cancer.

p53 expression is associated with the differentiation status of HCC

Further analysis was performed to evaluate the association between the expression levels of p53 and tumor stage, tumor grade and histological subtype (Table III). No statistically significant differences were observed in the expression levels of p53 between patients with stage IB, stage II and stage IIIA HCC (P=0.893). Additionally, compared with well-differentiated HCC, the expression levels of p53 were notably increased in poorly differentiated HCC (P=0.018). More specifically, the p53 expression levels were higher in poorly differentiated HCC compared with moderately differentiated HCC. However, no statistically significant difference was observed between well-moderate differentiated and moderate-poorly differentiated, respectively (P=0.056 and P=0.999. Additionally, no statistically significant differences were observed in the expression levels of p53 among the four histological subtypes of HCC (P=0.076).

Table III

p53 expression in relation to tumor stage, grade and subtype.

Table III

p53 expression in relation to tumor stage, grade and subtype.

Characteristicp53 expression (%)P-valuePost hoc analysis P-value
AJCC staging   
     Stage IB37.00 (0-74) 0.8931Not performed
     Stage II42.00 (2-88)  
     Stage IIIA33.00 (2-81)  
Tumor grade   
     Well-differentiated2.30 (0-6) 0.023aWell vs. moderate: 0.0562
     Moderately differentiated37.00 (2-88) Well vs. poor: 0.018b
     Poorly differentiated55.00 (2-84) Moderate vs. poor: 0.9992
Histologic subtypes   
     Classic HCC40.50 (0-88) 0.0761Not performed
     Clear cell HCC46.00 (2-81)  
     Macrotrabecular-massive HCC24.00 (14-68)  
     Steatohepatitic HCC5.00 (2-6)  

[i] Data were analyzed using the

[ii] aKruskal-Wallis and

[iii] bDunn's post hoc test. Values in bold font indicate statistically significant differences (P<0.05). HCC, hepatocellular carcinoma; AJCC, American Joint Committee on Cancer.

Discussion

An impaired p53 activity has been shown to be associated with liver carcinogenesis (15,16). However, HCC pathogenesis remains unclear. Previous whole-genome sequencing results have revealed that TP53 was the most commonly mutated tumor suppressor gene in HCC samples (15). Furthermore, exome sequencing results revealed that mutations in TP53 were associated with hepatitis B virus infection, a risk factor for HCC (16). Alterations in the activation of the p53/p21 and retinoblastoma protein 1 signaling pathways have also been shown to be associated with the development of HCC by regulating genomic stability and cell cycle distribution (17). In addition, HCC-inducing extrinsic factors, such as aflatoxin B1, non-alcoholic liver disease, iron overload and hepatitis virus infection, have also been found to be associated with p53(18). Gene sequencing is considered the gold standard for identifying genetic alterations in p53. However, due to its high cost and limited availability, gene sequencing was not performed in the present study. A previous meta-analysis, including 36 studies, demonstrated that an increased p53 expression, detected using IHC staining, could predict mutations in TP53 in patients with HCC (19). The p53 family plays a central role in the tumorigenesis, treatment response and prognosis of HCC. In recent years it has been revealed that all members of the p53 family are expressed as a diverse variety of isoforms. Depending on the isoform expressed, the role of a gene can change from a tumor suppressor to an oncogene. Consequently, emphasis needs to be placed on the DN isoforms of p63 and p73, which have been shown to be critical for carcinogenesis and chemoresistance. Thus, targeting specific p53 family isoforms may be the key to the development of novel therapeutic strategies for HCC and other human cancers (19). There have been several proposed purely molecular HCC classifications and HCC classification systems using combined histology and molecular findings; however, none of these have been incorporated into clinical care, as they do not provide additional relevant clinical information beyond that obtained by imaging and histology. Integrated morphological-molecular classifications of HCC are the most likely to be robust and clinically useful, although this has not yet been fully achieved (20). Therefore, in the present study, IHC staining was performed to determine the protein expression levels of mutant p53, which can accumulate in the nuclei of cancer cells.

The results of the current study revealed a p53 immuno-positive rate of 85.4% in patients with HCC. However, the positive p53 expression rate in patients with HCC was higher compared with that of previous studies from Malaysia (21), the USA (22), Egypt (23) and Brazil (24), which demonstrated positive p53 expression rates of 38, 22.8, 41 and 42%, respectively. Consistent with the results of the present study, a previous study from Romania and another one from China, also found that p53 was expressed in more than the half of the patients with HCC examined. More specifically, 91 and 72.9% of patients with HCC in the Romanian (25) and Chinese (26) study, respectively, were positive for p53 expression. Although all the aforementioned studies interpreted nuclear staining as positive, not all of them used a cut-off value of 10% to define a positive p53 expression.

In the present study, further analysis revealed no association between p53 expression and sex, age, tumor size, number of nodules, vascular invasion, liver cirrhosis, American Joint Committee on Cancer (AJCC) staging and histological subtype. However, a higher rate of p53-positive HCC cells was observed in tumors >5 cm in diameter, single nodule HCC and HCC with vascular invasion compared with their counterparts (80 vs. 20%, 62.9 vs. 37.1% and 77.1 vs. 22.9%, respectively). This finding may be due the common occurrence of p53 mutations in large HCC with microvascular invasion (27). A previous study from Indonesia also demonstrated that p53 expression was upregulated in HCC with tumor diameter of >10 cm (28). However, p53 mutations are more frequently found in multinodular HCC (27) compared with a previous study, which demonstrated that positive p53 expression in HCC was significantly associated with single tumor and single lobe involvement (22). The prognosis of patients with HCC associated with recurrence following hepatic resection remains a major obstacle. Therefore, a previous study reported that the 5-year recurrence rate in HCC was ~70%, even in patients with a single nodule of ≤2 cm in diameter (29). Nevertheless, the association between p53 expression and the number of nodules in HCC warrants further investigation.

Herein, the AJCC 8th edition staging system (30,31) was used to stratify patient prognosis. In the present study, patients of stage IB, II and IIIA HCC were enrolled, while p53 expression was highest in those with stage II HCC, followed by stage IB and stage IIIA. By contrast, a previous study demonstrated that p53 expression was positively associated with tumor staging, with stage III-IV HCC patients showing a 90.9% positive p53 expression rate (26). Several previous studies included HCC samples from patients up to stage IV (26,27). In the aforementioned studies, patients with a higher HCC stage exhibited increased p53 expression levels, whereas these levels were significantly higher in the advanced stages compared with those in the early stages of the disease (26). Herein, only patients with stage IA, II and III HCC were included. However, the expression levels of p53 did not differ significantly among the three HCC stages.

Several distinct histological subtypes of HCC have been recognized. Apart from the classic HCC, herein, patients suffering from clear cell HCC, macrotrabecular-massive HCC and steatohepatitic HCC were enrolled. Clear cell HCC, a subtype of HCC, is characterized by clear and/or acidophilic ground glass hepatocytes with cytoplasmic clearing due to glycogen accumulation and fat storage in the cytoplasm (32). A previous study demonstrated that clear cell HCC exhibits a more favorable prognosis compared with classic HCC, while it is associated with the presence of IDH1 mutations (33). Macrotrabecular-massive HCC is characterized by the presence of neoplastic cells arranged in thick trabeculae, coated by endothelial cells and surrounded by dilated vascular spaces. This HCC subtype is associated with a poor survival, vascular invasion and TP53 mutations (34). Macrovesicular steatosis, ballooning and inflammation are histological features of steatohepatitic HCC. Steatohepatitic HCC is associated with non-alcoholic fatty liver disease, the activation of IL-6/JAK/STAT signaling, and less frequently, with CTNNB1 and TP53 mutations (33,34). In the present study, the expression levels of p53 were highest in classic HCC followed by clear cell HCC, macrotrabecular-massive HCC and steatohepatitic HCC. However, no statistically significant differences were obtained in the expression levels of p53 among these four HCC subtypes.

In the present study, only four samples from patients with the massive macrotrabecular HCC subtype were collected and all of them were positive for p53 expression. This finding was consistent with the findings of previous research demonstrating that TP53 inactivation was also notably associated with the macrotrabecular massive HCC subtype (34). However, the molecular complexity of HCC and other biological conditions, such as hepatitis B virus infection, can enhance p53 expression and its effects on the development of HCC (35). Hepatitis B virus infection in patients with different HCC subtypes, others than macrotrabecular HCC, may be associated with the upregulation of p53 expression. Therefore, further studies are required to clarify the reasons for the fact that p53 expression was not increased in macrotrabecular-massive HCC, which is associated with TP53 mutations. TP53-mutated HCCs are associated with an unfavorable prognosis, viral infection, high serum AFP levels, vascular invasion and proliferation, extensive mitotic activity resulting in chromosomal instability and stem cell-like properties. Moreover, a previous study stated that the presence of telomerase reverse transcriptase promoter mutations, alone or in combination with TP53 alteration, was associated with the morphological progression of HCC, in terms of a higher tumor grade and an architecture more related to aggressive behavior (solid, macrotrabecular) (36).

In the present study, the World Health Organization (WHO) grading system (20) was used to classify patients with HCC into well differentiated, moderately differentiated and poorly differentiated. The differentiation status of HCC is considered as a prediction factor of OS and disease-free survival following resection and/or transplantation. The tumor cells of well-differentiated HCC resemble the morphology of a mature benign hepatocyte with minimal to mild nuclear atypia, whereas the tumor cells of poorly differentiated HCC are clearly malignant and lack resemblance to mature hepatocytes (35,37). Herein, a positive p53 expression was associated with well- and poorly differentiated HCC. Compared with well-differentiated HCC, higher p53 expression levels were detected in moderately and poorly differentiated HCC. The results of the present study were consistent with those of previous studies demonstrating that p53 expression was associated with poor differentiation in HCC (22,38). In addition, the results were also consistent with those of a previous study on the phenotypic and molecular associations in HCC, which demonstrated that TP53-tumors were poorly differentiated, with multinucleated and pleomorphic cells (34).

In addition, a previous study demonstrated that p53 mutations exhibited discordant effects on the survival of patients with HCC of different racial backgrounds (39). Therefore, p53 mutations were associated with a worse prognosis in Asian patients compared with Caucasian ones and this effect was associated with their immune cells. Indonesian patients were included in terms of race in the majority of studies. The research revealed similar results on the association of p53 expression with tumor grading, although p53 expression was not associated with HCC stage and subtype, since the results did not reach statistical significance (39). A rigorously defined, easy to use, reproducible and broadly adopted HCC grading system remains to be developed. However, even with the current heterogeneous approaches, tumor grade can predict patient survival and disease-free survival following the curative resection of cirrhotic and non-cirrhotic livers. The prognosis of patients with HCC is generally poor, particularly for patients with advanced-stage HCC. It has been reported that the 5-year survival rate of patients with symptomatic and unresectable HCC is <5%. Long-term survival is likely only achievable for patients with small and asymptomatic HCC, that can be treated by complete resection, liver transplantation or adequate locoregional treatment, including percutaneous radiofrequency ablation or transarterial chemoembolization (20). According to the WHO, several factors, including clinical, morphological and molecular factors, are used to predict patient outcomes (20). Clinical features that are used to predict the prognosis of patients with HCC include serum AFP levels, tumor size and number, vascular invasion on imaging, comorbidity and health condition. Additionally, in terms of morphological features, tumor grade, vascular invasion and intrahepatic metastasis, tumor stage, tumor subtype, the presence or absence of liver cirrhosis and the IHC expression of cytokeratin 19 (CK19) are included. Other molecular features, such as FGF19 amplification and gene expression profiling between proliferative vs. non-proliferative subclasses have been considered as prognostic factors of HCC. For example, patients with HCC with a higher tumor size and grade, and substantial CK19 immunostaining exhibit a worse prognosis (20).

The results of the present study suggest that p53 may play a crucial role in liver carcinogenesis in Indonesian patients. Its expression was associated with well- and poorly differentiated HCC, thus indicating a poorer prognosis. To the best of our knowledge, this was the first study to determine the expression levels of p53 in Indonesian patients with HCC and evaluate their association with HCC-related prognostic factors. However, the present study has some limitations, including its single-centered nature, the small sample size, the lack of gene sequencing results to verify the presence of p53 mutations and the lack of overall survival assessment due to limited time and access to obtain the complete clinical and therapeutic information. Further studies are warranted to examine other predictive or prognostic factors, such as assessing the association between p53 expression with treatment response or overall survival.

Acknowledgements

Not applicable.

Funding

Funding: The present study was funded by the Ministry of Research and Technology/National Agency for Research and Innovation through the Research and Community Service Information System (SIMLITABMAS/BRIN) grant and the Top Basic Research in University (PDUPT) scheme (grant no. NKB-121, year 2021).

Availability of data and materials

The datasets used and/or analyzed during the current study are available from the corresponding author on reasonable request.

Authors' contributions

The study was designed by NR and MS. The data were curated by NR, MS, DRH and EK. AGP completed the formal analysis of the data. NR secured funds and supervised the study. NR, MS and AGP designed and performed the experiments. NR, MS, DRH and EK also provided resources, supervised the study and validated the results. AGP performed the statistical analyses and the visualization of the results. AGP and MS confirm the authenticity of all the raw data. NR, MS and AGP prepared the original draft. All authors have read and approved the final manuscript.

Ethics approval and consent to participate

The present study (protocol no. 21-05-0466) was approved by the Medical Ethics Committee of the Faculty of Medicine, Universitas Indonesia/Dr. Cipto Mangunkusumo Hospital (approval no. KET-427/UN2.F1/ETIK/PPM.00.02/2021). Patient consent was waived by the committee as the study included already existing data (waiver statement no. ND-784/UN2.F1/ETIK/PPM.00.02/2022).

Patient consent for publication

Not applicable.

Competing interests

The authors declare that they have no competing interests.

References

1 

Balogh J, Victor D III, Asham EH, Burroughs SG, Boktour M, Saharia A, Li X, Ghobrial M and Monsour H: Hepatocellular carcinoma: A review. J Hepatocell Carcinoma. 3:41–53. 2016.PubMed/NCBI View Article : Google Scholar

2 

Sung H, Ferlay J, Siegel RL, Laversanne M, Soerjomataram I, Jemal A and Bray F: Global cancer statistics 2020: GLOBOCAN estimates of incidence and mortality worldwide for 36 cancers in 185 countries. CA Cancer J Clin. 71:209–249. 2021.PubMed/NCBI View Article : Google Scholar

3 

Wang CY and Li S: Clinical characteristics and prognosis of 2887 patients with hepatocellular carcinoma: A single center 14 years experience from China. Medicine (Baltimore). 98(e14070)2019.PubMed/NCBI View Article : Google Scholar

4 

Reveron-Thornton RF, Teng MLP, Lee EY, Tran A, Vajanaphanich S, Tan EX, Nerurkar SN, Ng RX, Teh R, Tripathy DP, et al: Global and regional long-term survival following resection for HCC in the recent decade: A meta-analysis of 110 studies. Hepatol Commun. 6:1813–1826. 2022.PubMed/NCBI View Article : Google Scholar

5 

Loho IM, Hasan I, Lesmana CR, Dewiasty E and Gani RA: Hepatocellular carcinoma in a tertiary referral hospital in Indonesia: Lack of improvement of one-year survival rates between 1998-1999 and 2013-2014. Asian Pac J Cancer Prev. 17:2165–2170. 2016.PubMed/NCBI View Article : Google Scholar

6 

Takahashi Y, Dungubat E, Kusano H, Ganbat D, Tomita Y, Odgerel S and Fukusato T: Application of immunohistochemistry in the pathological diagnosis of liver tumors. Int J Mol Sci. 22(5780)2021.PubMed/NCBI View Article : Google Scholar

7 

Roberts LR: Biomarkers for hepatocellular carcinoma. Gastroenterol Hepatol. 12:252–255. 2016.PubMed/NCBI

8 

Marei HE, Althani A, Afifi N, Hasan A, Caceci T, Pozzoli G, Morrione A, Giordano A and Cenciarelli C: p53 signaling in cancer progression and therapy. Cancer Cell Int. 21(703)2021.PubMed/NCBI View Article : Google Scholar

9 

Kanapathipillai M: Treating p53 mutant aggregation-associated cancer. Cancers (Basel). 10(154)2018.PubMed/NCBI View Article : Google Scholar

10 

Georgakilas AG, Martin OA and Bonner WM: p21: A two-faced genome guardian. Trends Mol Med. 23:310–319. 2017.PubMed/NCBI View Article : Google Scholar

11 

Aubrey BJ, Kelly GL, Janic A, Herold MJ and Strasser A: How does p53 induce apoptosis and how does this relate to p53-mediated tumour suppression? Cell Death Differ. 25:104–113. 2018.PubMed/NCBI View Article : Google Scholar

12 

Sabapathy K and Lane DP: Understanding p53 functions through p53 antibodies. J Mol Cell Biol. 11:317–329. 2019.PubMed/NCBI View Article : Google Scholar

13 

Zhan P and Ji YN: Prognostic significance of TP53 expression for patients with hepatocellular carcinoma: A meta-analysis. Hepatobiliary Surg Nutr. 3:11–17. 2014.PubMed/NCBI View Article : Google Scholar

14 

Ji YN, Wang Q and Xue J: TP53 immunohistochemical expression is associated with the poor outcome for hepatocellular carcinoma: Evidence from a meta-analysis. Tumour Biol. 35:1653–1659. 2014.PubMed/NCBI View Article : Google Scholar

15 

Kan Z, Zheng H, Liu X, Li S, Barber TD, Gong Z, Gao H, Hao K, Willard MD, Xu J, et al: Whole-genome sequencing identifies recurrent mutations in hepatocellular carcinoma. Genome Res. 23:1422–1433. 2013.PubMed/NCBI View Article : Google Scholar

16 

Schulze K, Imbeaud S, Letouzé E, Alexandrov LB, Calderaro J, Rebouissou S, Couchy G, Meiller C, Shinde J, Soysouvanh F, et al: Exome sequencing of hepatocellular carcinomas identifies new mutational signatures and potential therapeutic targets. Nat Genet. 47:505–511. 2015.PubMed/NCBI View Article : Google Scholar

17 

Ho DWH, Lo RCL, Chan LK and Ng IOL: Molecular pathogenesis of hepatocellular carcinoma. Liver Cancer. 5:290–302. 2016.PubMed/NCBI View Article : Google Scholar

18 

Link T and Iwakuma T: Roles of p53 in extrinsic factor-induced liver carcinogenesis. Hepatoma Res. 3:95–104. 2017.PubMed/NCBI View Article : Google Scholar

19 

Liu J, Li W, Deng M, Liu D, Ma Q and Feng X: Immunohistochemical determination of p53 protein overexpression for predicting p53 gene mutations in hepatocellular carcinoma: A meta-analysis. PLoS One. 11(e0159636)2016.PubMed/NCBI View Article : Google Scholar

20 

Torbenson M, Ng I, Park Y, Roncalli M and Sakamato M: Hepatocellular Carcinoma. In: WHO Classification of Tumours: Digestive System Tumours. Vol 1. 5th edition. International Agency for Research on Cancer, Lyon, pp229-239, 2019.

21 

Azlin AH, Looi LM and Cheah PL: Tissue microarray immunohistochemical profiles of p53 and pRB in hepatocellular carcinoma and hepatoblastoma. Asian Pac J Cancer Prev. 15:3959–3963. 2014.PubMed/NCBI View Article : Google Scholar

22 

You J, Yang H, Lai Y, Simon L, Au J and Burkart AL: AT-rich interactive domain 2, p110α, p53, and β-catenin protein expression in hepatocellular carcinoma and clinicopathologic implications. Hum Pathol. 46:583–592. 2015.PubMed/NCBI View Article : Google Scholar

23 

Abdou AG, Abd-Elwahed M, Badr M, Helmy M, Soliman EA and Maher D: The differential immunohistochemical expression of p53, c-Jun, c-Myc, and p21 between HCV-related hepatocellular carcinoma with and without cirrhosis. Appl Immunohistochem Mol Morphol. 24:75–87. 2016.PubMed/NCBI View Article : Google Scholar

24 

Felipe-Silva A, Wakamatsu A, dos Santos Cirqueira C and Alves VAF: Immunohistochemistry panel segregates molecular types of hepatocellular carcinoma in Brazilian autopsy cases. World J Gastroenterol. 22:6246–6256. 2016.PubMed/NCBI View Article : Google Scholar

25 

Graur F, Furcea L, Mois E, Biliuta A, Rozs AT, Negrean V and Al Hajjar N: Analysis of p53 protein expression in hepatocellular carcinoma. J Gastrointestin Liver Dis. 25:345–349. 2016.PubMed/NCBI View Article : Google Scholar

26 

Li Z, Han C and Feng J: Relationship of the expression levels of XIAP and p53 genes in hepatocellular carcinoma and the prognosis of patients. Oncol Lett. 14:4037–4042. 2017.PubMed/NCBI View Article : Google Scholar

27 

Park NH, Chung YH, Youn KH, Song BC, Yang SH, Kim JA, Lee HC, Yu E, Lee YS, Lee SG, et al: Close correlation of p53 mutation to microvascular invasion in hepatocellular carcinoma. J Clin Gastroenterol. 33:397–401. 2001.PubMed/NCBI View Article : Google Scholar

28 

Lalisang TJM, Moenadjat Y, Siregar NC and Stephanie M: Overexpression of p53 in extra large (more than 10 cm) hepatocellular carcinoma. Med J Indones. 27:71–75. 2018.

29 

Roayaie S, Obeidat K, Sposito C, Mariani L, Bhoori S, Pellegrinelli A, Labow D, Llovet JM, Schwartz M and Mazzaferro V: Resection of hepatocellular cancer ≤2 cm: Results from two Western centers. Hepatology. 57:1426–1435. 2013.PubMed/NCBI View Article : Google Scholar

30 

Amin MB, Greene FL, Edge SB, Compton CC, Gershenwald JE, Brookland RK, Meyer L, Gress DM, Byrd DR and Winchester DP: The eighth edition AJCC cancer staging manual: Continuing to build a bridge from a population-based to a more ‘personalized’ approach to cancer staging. CA Cancer J Clin. 67:93–99. 2017.PubMed/NCBI View Article : Google Scholar

31 

Kamarajah SK, Frankel TL, Sonnenday C, Cho CS and Nathan H: Critical evaluation of the American joint commission on cancer (AJCC) 8th edition staging system for patients with hepatocellular carcinoma (HCC): A surveillance, epidemiology, end results (SEER) analysis. J Surg Oncol. 117:644–650. 2018.PubMed/NCBI View Article : Google Scholar

32 

Bannasch P, Ribback S, Su Q and Mayer D: Clear cell hepatocellular carcinoma: Origin, metabolic traits and fate of glycogenotic clear and ground glass cells. Hepatobiliary Pancreat Dis Int. 16:570–594. 2017.PubMed/NCBI View Article : Google Scholar

33 

El Jabbour T, Lagana SM and Lee H: Update on hepatocellular carcinoma: Pathologists' review. World J Gastroenterol. 25:1653–1665. 2019.PubMed/NCBI View Article : Google Scholar

34 

Calderaro J, Couchy G, Imbeaud S, Amaddeo G, Letouzé E, Blanc JF, Laurent C, Hajji Y, Azoulay D, Bioulac-Sage P, et al: Histological subtypes of hepatocellular carcinoma are related to gene mutations and molecular tumour classification. J Hepatol. 67:727–738. 2017.PubMed/NCBI View Article : Google Scholar

35 

Qu JH, Zhu MH, Lin J, Ni CR, Li FM, Zhu Z and Yu GZ: Effects of hepatitis B virus on p53 expression in hepatoma cell line SMMU-7721. World J Gastroenterol. 11:6212–6215. 2005.PubMed/NCBI View Article : Google Scholar

36 

Maloberti T, De Leo A, Sanza V, Gruppioni E, Altimari A, Riefolo M, Visani M, Malvi D, D'Errico A, Tallini G, et al: Correlation of molecular alterations with pathological features in hepatocellular carcinoma: Literature review and experience of an Italian center. World J Gastroenterol. 28:2854–2866. 2022.PubMed/NCBI View Article : Google Scholar

37 

Marthins Filho SN, Paiva C, Azevedo RS and Alves VAF: Histological grading of hepatocellular carcinoma-A systematic review of literature. Front Med (Lausanne). 4(193)2017.PubMed/NCBI View Article : Google Scholar

38 

Wang Z, Gou W, Liu M, Sang W, Chu H and Zhang W: Expression of P53 and HSP70 in chronic hepatitis, liver cirrhosis, and early and advanced hepatocellular carcinoma tissues and their diagnostic value in hepatocellular carcinoma: An immunohistochemical study. Med Sci Monit. 21:3209–3215. 2015.PubMed/NCBI View Article : Google Scholar

39 

Duan X, Cai Y, He T, Shi X, Zhao J, Zhang H, Shen Y, Zhang H, Zhang H, Duan W, et al: The effect of the TP53 and RB1 mutations on the survival of hepatocellular carcinoma patients with different racial backgrounds. J Gastrointest Oncol. 12:1786–1796. 2021.PubMed/NCBI View Article : Google Scholar

Related Articles

  • Abstract
  • View
  • Download
  • Twitter
Copy and paste a formatted citation
Spandidos Publications style
Rahadiani N, Stephanie M, Perkasa AG, Handjari DR and Krisnuhoni E: p53 expression is associated with tumor stage, grade and subtype in patients with hepatocellular carcinoma. Mol Clin Oncol 19: 54, 2023.
APA
Rahadiani, N., Stephanie, M., Perkasa, A.G., Handjari, D.R., & Krisnuhoni, E. (2023). p53 expression is associated with tumor stage, grade and subtype in patients with hepatocellular carcinoma. Molecular and Clinical Oncology, 19, 54. https://doi.org/10.3892/mco.2023.2650
MLA
Rahadiani, N., Stephanie, M., Perkasa, A. G., Handjari, D. R., Krisnuhoni, E."p53 expression is associated with tumor stage, grade and subtype in patients with hepatocellular carcinoma". Molecular and Clinical Oncology 19.1 (2023): 54.
Chicago
Rahadiani, N., Stephanie, M., Perkasa, A. G., Handjari, D. R., Krisnuhoni, E."p53 expression is associated with tumor stage, grade and subtype in patients with hepatocellular carcinoma". Molecular and Clinical Oncology 19, no. 1 (2023): 54. https://doi.org/10.3892/mco.2023.2650
Copy and paste a formatted citation
x
Spandidos Publications style
Rahadiani N, Stephanie M, Perkasa AG, Handjari DR and Krisnuhoni E: p53 expression is associated with tumor stage, grade and subtype in patients with hepatocellular carcinoma. Mol Clin Oncol 19: 54, 2023.
APA
Rahadiani, N., Stephanie, M., Perkasa, A.G., Handjari, D.R., & Krisnuhoni, E. (2023). p53 expression is associated with tumor stage, grade and subtype in patients with hepatocellular carcinoma. Molecular and Clinical Oncology, 19, 54. https://doi.org/10.3892/mco.2023.2650
MLA
Rahadiani, N., Stephanie, M., Perkasa, A. G., Handjari, D. R., Krisnuhoni, E."p53 expression is associated with tumor stage, grade and subtype in patients with hepatocellular carcinoma". Molecular and Clinical Oncology 19.1 (2023): 54.
Chicago
Rahadiani, N., Stephanie, M., Perkasa, A. G., Handjari, D. R., Krisnuhoni, E."p53 expression is associated with tumor stage, grade and subtype in patients with hepatocellular carcinoma". Molecular and Clinical Oncology 19, no. 1 (2023): 54. https://doi.org/10.3892/mco.2023.2650
Follow us
  • Twitter
  • LinkedIn
  • Facebook
About
  • Spandidos Publications
  • Careers
  • Cookie Policy
  • Privacy Policy
How can we help?
  • Help
  • Live Chat
  • Contact
  • Email to our Support Team