Spandidos Publications Logo
  • About
    • About Spandidos
    • Aims and Scopes
    • Abstracting and Indexing
    • Editorial Policies
    • Reprints and Permissions
    • Job Opportunities
    • Terms and Conditions
    • Contact
  • Journals
    • All Journals
    • Oncology Letters
      • Oncology Letters
      • Information for Authors
      • Editorial Policies
      • Editorial Board
      • Aims and Scope
      • Abstracting and Indexing
      • Bibliographic Information
      • Archive
    • International Journal of Oncology
      • International Journal of Oncology
      • Information for Authors
      • Editorial Policies
      • Editorial Board
      • Aims and Scope
      • Abstracting and Indexing
      • Bibliographic Information
      • Archive
    • Molecular and Clinical Oncology
      • Molecular and Clinical Oncology
      • Information for Authors
      • Editorial Policies
      • Editorial Board
      • Aims and Scope
      • Abstracting and Indexing
      • Bibliographic Information
      • Archive
    • Experimental and Therapeutic Medicine
      • Experimental and Therapeutic Medicine
      • Information for Authors
      • Editorial Policies
      • Editorial Board
      • Aims and Scope
      • Abstracting and Indexing
      • Bibliographic Information
      • Archive
    • International Journal of Molecular Medicine
      • International Journal of Molecular Medicine
      • Information for Authors
      • Editorial Policies
      • Editorial Board
      • Aims and Scope
      • Abstracting and Indexing
      • Bibliographic Information
      • Archive
    • Biomedical Reports
      • Biomedical Reports
      • Information for Authors
      • Editorial Policies
      • Editorial Board
      • Aims and Scope
      • Abstracting and Indexing
      • Bibliographic Information
      • Archive
    • Oncology Reports
      • Oncology Reports
      • Information for Authors
      • Editorial Policies
      • Editorial Board
      • Aims and Scope
      • Abstracting and Indexing
      • Bibliographic Information
      • Archive
    • Molecular Medicine Reports
      • Molecular Medicine Reports
      • Information for Authors
      • Editorial Policies
      • Editorial Board
      • Aims and Scope
      • Abstracting and Indexing
      • Bibliographic Information
      • Archive
    • World Academy of Sciences Journal
      • World Academy of Sciences Journal
      • Information for Authors
      • Editorial Policies
      • Editorial Board
      • Aims and Scope
      • Abstracting and Indexing
      • Bibliographic Information
      • Archive
    • International Journal of Functional Nutrition
      • International Journal of Functional Nutrition
      • Information for Authors
      • Editorial Policies
      • Editorial Board
      • Aims and Scope
      • Abstracting and Indexing
      • Bibliographic Information
      • Archive
    • International Journal of Epigenetics
      • International Journal of Epigenetics
      • Information for Authors
      • Editorial Policies
      • Editorial Board
      • Aims and Scope
      • Abstracting and Indexing
      • Bibliographic Information
      • Archive
    • Medicine International
      • Medicine International
      • Information for Authors
      • Editorial Policies
      • Editorial Board
      • Aims and Scope
      • Abstracting and Indexing
      • Bibliographic Information
      • Archive
  • Articles
  • Information
    • Information for Authors
    • Information for Reviewers
    • Information for Librarians
    • Information for Advertisers
    • Conferences
  • Language Editing
Spandidos Publications Logo
  • About
    • About Spandidos
    • Aims and Scopes
    • Abstracting and Indexing
    • Editorial Policies
    • Reprints and Permissions
    • Job Opportunities
    • Terms and Conditions
    • Contact
  • Journals
    • All Journals
    • Biomedical Reports
      • Information for Authors
      • Editorial Policies
      • Editorial Board
      • Aims and Scope
      • Abstracting and Indexing
      • Bibliographic Information
      • Archive
    • Experimental and Therapeutic Medicine
      • Information for Authors
      • Editorial Policies
      • Editorial Board
      • Aims and Scope
      • Abstracting and Indexing
      • Bibliographic Information
      • Archive
    • International Journal of Epigenetics
      • Information for Authors
      • Editorial Policies
      • Editorial Board
      • Aims and Scope
      • Abstracting and Indexing
      • Bibliographic Information
      • Archive
    • International Journal of Functional Nutrition
      • Information for Authors
      • Editorial Policies
      • Editorial Board
      • Aims and Scope
      • Abstracting and Indexing
      • Bibliographic Information
      • Archive
    • International Journal of Molecular Medicine
      • Information for Authors
      • Editorial Policies
      • Editorial Board
      • Aims and Scope
      • Abstracting and Indexing
      • Bibliographic Information
      • Archive
    • International Journal of Oncology
      • Information for Authors
      • Editorial Policies
      • Editorial Board
      • Aims and Scope
      • Abstracting and Indexing
      • Bibliographic Information
      • Archive
    • Medicine International
      • Information for Authors
      • Editorial Policies
      • Editorial Board
      • Aims and Scope
      • Abstracting and Indexing
      • Bibliographic Information
      • Archive
    • Molecular and Clinical Oncology
      • Information for Authors
      • Editorial Policies
      • Editorial Board
      • Aims and Scope
      • Abstracting and Indexing
      • Bibliographic Information
      • Archive
    • Molecular Medicine Reports
      • Information for Authors
      • Editorial Policies
      • Editorial Board
      • Aims and Scope
      • Abstracting and Indexing
      • Bibliographic Information
      • Archive
    • Oncology Letters
      • Information for Authors
      • Editorial Policies
      • Editorial Board
      • Aims and Scope
      • Abstracting and Indexing
      • Bibliographic Information
      • Archive
    • Oncology Reports
      • Information for Authors
      • Editorial Policies
      • Editorial Board
      • Aims and Scope
      • Abstracting and Indexing
      • Bibliographic Information
      • Archive
    • World Academy of Sciences Journal
      • Information for Authors
      • Editorial Policies
      • Editorial Board
      • Aims and Scope
      • Abstracting and Indexing
      • Bibliographic Information
      • Archive
  • Articles
  • Information
    • For Authors
    • For Reviewers
    • For Librarians
    • For Advertisers
    • Conferences
  • Language Editing
Login Register Submit
  • This site uses cookies
  • You can change your cookie settings at any time by following the instructions in our Cookie Policy. To find out more, you may read our Privacy Policy.

    I agree
Search articles by DOI, keyword, author or affiliation
Search
Advanced Search
presentation
Molecular and Clinical Oncology
Join Editorial Board Propose a Special Issue
Print ISSN: 2049-9450 Online ISSN: 2049-9469
Journal Cover
October-2023 Volume 19 Issue 4

Full Size Image

Sign up for eToc alerts
Recommend to Library

Journals

International Journal of Molecular Medicine

International Journal of Molecular Medicine

International Journal of Molecular Medicine is an international journal devoted to molecular mechanisms of human disease.

International Journal of Oncology

International Journal of Oncology

International Journal of Oncology is an international journal devoted to oncology research and cancer treatment.

Molecular Medicine Reports

Molecular Medicine Reports

Covers molecular medicine topics such as pharmacology, pathology, genetics, neuroscience, infectious diseases, molecular cardiology, and molecular surgery.

Oncology Reports

Oncology Reports

Oncology Reports is an international journal devoted to fundamental and applied research in Oncology.

Experimental and Therapeutic Medicine

Experimental and Therapeutic Medicine

Experimental and Therapeutic Medicine is an international journal devoted to laboratory and clinical medicine.

Oncology Letters

Oncology Letters

Oncology Letters is an international journal devoted to Experimental and Clinical Oncology.

Biomedical Reports

Biomedical Reports

Explores a wide range of biological and medical fields, including pharmacology, genetics, microbiology, neuroscience, and molecular cardiology.

Molecular and Clinical Oncology

Molecular and Clinical Oncology

International journal addressing all aspects of oncology research, from tumorigenesis and oncogenes to chemotherapy and metastasis.

World Academy of Sciences Journal

World Academy of Sciences Journal

Multidisciplinary open-access journal spanning biochemistry, genetics, neuroscience, environmental health, and synthetic biology.

International Journal of Functional Nutrition

International Journal of Functional Nutrition

Open-access journal combining biochemistry, pharmacology, immunology, and genetics to advance health through functional nutrition.

International Journal of Epigenetics

International Journal of Epigenetics

Publishes open-access research on using epigenetics to advance understanding and treatment of human disease.

Medicine International

Medicine International

An International Open Access Journal Devoted to General Medicine.

Journal Cover
October-2023 Volume 19 Issue 4

Full Size Image

Sign up for eToc alerts
Recommend to Library

  • Article
  • Citations
    • Cite This Article
    • Download Citation
    • Create Citation Alert
    • Remove Citation Alert
    • Cited By
  • Similar Articles
    • Related Articles (in Spandidos Publications)
    • Similar Articles (Google Scholar)
    • Similar Articles (PubMed)
  • Download PDF
  • Download XML
  • View XML
Article Open Access

Relationship between seminal vesicle displacement and distribution of hydrogel spacer within the perirectal space in prostate radiotherapy

  • Authors:
    • Kenji Makita
    • Yasushi Hamamoto
    • Hiromitsu Kanzaki
    • Kei Nagasaki
    • Katsuyoshi Hashine
  • View Affiliations / Copyright

    Affiliations: Department of Radiation Oncology, National Hospital Organization Shikoku Cancer Center, Matsuyama, Ehime 791‑0280, Japan, Department of Urology, National Hospital Organization Shikoku Cancer Center, Matsuyama, Ehime 791‑0280, Japan
    Copyright: © Makita et al. This is an open access article distributed under the terms of Creative Commons Attribution License.
  • Article Number: 78
    |
    Published online on: August 23, 2023
       https://doi.org/10.3892/mco.2023.2674
  • Expand metrics +
Metrics: Total Views: 0 (Spandidos Publications: | PMC Statistics: )
Metrics: Total PDF Downloads: 0 (Spandidos Publications: | PMC Statistics: )
Cited By (CrossRef): 0 citations Loading Articles...

This article is mentioned in:



Abstract

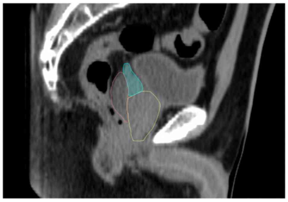
The influence of a hydrogel spacer (HS) on seminal vesicle (SV) displacement in prostate radiotherapy was examined in the present study. A total of 20 patients with prostate cancer, who received intensity‑modulated radiation therapy (IMRT), were enrolled. Computed tomography and magnetic resonance imaging were performed before and after HS insertion within the peripheral space for IMRT planning. Before and after HS insertion, The SV was delineated, and the amount of SV displacement was evaluated. Large SV cranial displacements (≥0.50 cm) were observed in 25% of patients. A HS lateral distribution of ≥1.00 cm in the upper two slices (midgland + superior) influenced the SV cranial displacements (P<0.01) and was associated with large SV cranial displacements (≥0.5 cm) (P<0.01). The HS cranial distribution in the upper slices did not influence SV cranial displacements (P=0.16). In addition, any HS lateral distribution of ≥1.00 cm in all slices did not induce the SV lateral and anterior‑posterior displacements (P=0.50 and 0.70, respectively). In conclusion, SV cranial displacement was influenced by HS lateral distribution of ≥1.00 cm in the upper two slices. Therefore, when the sigmoid colon or small bowel is depressed in rectovesical excavation and SV needs to be included in the target volume, HS insertion should be performed carefully.
View Figures

Figure 1

View References

1 

Siegel RL, Miller KD, Fuchs HE and Jemal A: Cancer statistics, 2021. CA Cancer J Clin. 71:7–33. 2021.PubMed/NCBI View Article : Google Scholar

2 

Mottet N, Bellmunt J, Bolla M, Briers E, Cumberbatch MG, De Santis M, Fossati N, Gross T, Henry AM, Joniau S, et al: EAU-ESTRO-SIOG guidelines on prostate cancer. Part 1: Screening, diagnosis, and local treatment with curative intent. Eur Urol. 71:618–629. 2017.PubMed/NCBI View Article : Google Scholar

3 

Koontz BF, Bossi A, Cozzarini C, Wiegel T and D'Amico A: A systematic review of hypofractionation for primary management of prostate cancer. Eur Urol. 68:683–691. 2015.PubMed/NCBI View Article : Google Scholar

4 

Jackson WC, Silva J, Hartman HE, Dess RT, Kishan AU, Beeler WH, Gharzai LA, Jaworski EM, Mehra R, Hearn JWD, et al: Stereotactic body radiation therapy for localized prostate cancer: A systematic review and meta-analysis of over 6,000 patients treated on prospective studies. Int J Radiat Oncol Biol Phys. 104:778–789. 2019.PubMed/NCBI View Article : Google Scholar

5 

Susil RC, McNutt TR, DeWeese TL and Song D: Effects of prostate-rectum separation on rectal dose from external beam radiotherapy. Int J Radiat Oncol Biol Phys. 76:1251–1258. 2010.PubMed/NCBI View Article : Google Scholar

6 

Hamstra DA, Mariados N, Sylvester J, Shah D, Karsh L, Hudes R, Beyer D, Kurtzman S, Bogart J, Hsi RA, et al: Continued benefit to rectal separation for prostate radiation therapy: Final results of a phase III trial. Int J Radiat Oncol Biol Phys. 97:976–985. 2017.PubMed/NCBI View Article : Google Scholar

7 

Chao M, Ho H, Chan Y, Tan A, Pham T, Bolton D, Troy A, Temelcos C, Sengupta S, McMillan K, et al: Prospective analysis of hydrogel spacer for patients with prostate cancer undergoing radiotherapy. BJU Int. 122:427–433. 2018.PubMed/NCBI View Article : Google Scholar

8 

Bolla M, Maingon P, Carrie C, Villa S, Kitsios P, Poortmans PM, Sundar S, van der Steen-Banasik EM, Armstrong J, Bosset JF, et al: Short androgen suppression and radiation dose escalation for intermediate- and high-risk localized prostate cancer: Results of EORTC trial 22991. J Clin Oncol. 34:1748–1756. 2016.PubMed/NCBI View Article : Google Scholar

9 

Ng M, Brown E, Williams A, Chao M, Lawrentschuk N and Chee R: Fiducial markers and spacers in prostate radiotherapy: Current applications. BJU Int. 113 (Suppl 2):S13–S20. 2014.PubMed/NCBI View Article : Google Scholar

10 

Salembier C, Villeirs G, De Bari B, Hoskin P, Pieters BR, Van Vulpen M, Khoo V, Henry A, Bossi A, De Meerleer G and Fonteyne V: ESTRO ACROP consensus guideline on CT- and MRI-based target volume delineation for primary radiation therapy of localized prostate cancer. Radiother Oncol. 127:49–61. 2018.PubMed/NCBI View Article : Google Scholar

11 

De Meerleer GO, Villeirs GM, Vakaet L, Delrue LJ and De Neve WJ: The incidence of inclusion of the sigmoid colon and small bowel in the planning target volume in radiotherapy for prostate cancer. Strahlenther Onkol. 180:573–581. 2004.PubMed/NCBI View Article : Google Scholar

12 

Fonteyne V, De Neve W, Villeirs G, De Wagter C and De Meerleer G: Late radiotherapy-induced lower intestinal toxicity (RILIT) of intensity-modulated radiotherapy for prostate cancer: The need for adapting toxicity scales and the appearance of the sigmoid colon as co-responsible organ for lower intestinal toxicity. Radiother Oncol. 84:156–163. 2007.PubMed/NCBI View Article : Google Scholar

13 

Fischer-Valuck BW, Chundury A, Gay H, Bosch W and Michalski J: Hydrogel spacer distribution within the perirectal space in patients undergoing radiotherapy for prostate cancer: Impact of spacer symmetry on rectal dose reduction and the clinical consequences of hydrogel infiltration into the rectal wall. Pract Radiat Oncol. 7:195–202. 2017.PubMed/NCBI View Article : Google Scholar

14 

Pinkawa M, Klotz J, Djukic V, Schubert C, Escobar-Corral N, Caffaro M, Piroth MD, Holy R and Eble MJ: Learning curve in the application of a hydrogel spacer to protect the rectal wall during radiotherapy of localized prostate cancer. Urology. 82:963–968. 2013.PubMed/NCBI View Article : Google Scholar

15 

Fukumitsu N, Mima M, Demizu Y, Suzuki T, Ishida T, Matsushita K, Yamaguchi R, Fujisawa M and Soejima T: Separation effect and development of implantation technique of hydrogel spacer for prostate cancers. Pract Radiat Oncol. 12:226–235. 2022.PubMed/NCBI View Article : Google Scholar

16 

Catton CN, Lukka H, Gu CS, Martin JM, Supiot S, Chung PWM, Bauman GS, Bahary JP, Ahmed S, Cheung P, et al: Randomized trial of a hypofractionated radiation regimen for the treatment of localized prostate cancer. J Clin Oncol. 35:1884–1890. 2017.PubMed/NCBI View Article : Google Scholar

17 

Arcangeli G, Saracino B, Arcangeli S, Gomellini S, Petrongari MG, Sanguineti G and Strigari L: Moderate hypofractionation in high-risk, organ-confined prostate cancer: Final results of a phase III randomized trial. J Clin Oncol. 35:1891–1897. 2017.PubMed/NCBI View Article : Google Scholar

18 

Datta NR, Stutz E, Rogers S and Bodis S: Conventional versus hypofractionated radiation therapy for localized or locally advanced prostate cancer: A systematic review and meta-analysis and therapeutic implications. Int J Radiat Oncol Biol Phys. 99:573–589. 2017.PubMed/NCBI View Article : Google Scholar

19 

Brand VJ, Milder MTW, Christianen MEMC, Hoogeman MS and Incrocci L: Seminal vesicle inter- and intra-fraction motion during radiotherapy for prostate cancer: A review. Radiother Oncol. 169:15–24. 2022.PubMed/NCBI View Article : Google Scholar

Related Articles

  • Abstract
  • View
  • Download
  • Twitter
Copy and paste a formatted citation
Spandidos Publications style
Makita K, Hamamoto Y, Kanzaki H, Nagasaki K and Hashine K: Relationship between seminal vesicle displacement and distribution of hydrogel spacer within the perirectal space in prostate radiotherapy. Mol Clin Oncol 19: 78, 2023.
APA
Makita, K., Hamamoto, Y., Kanzaki, H., Nagasaki, K., & Hashine, K. (2023). Relationship between seminal vesicle displacement and distribution of hydrogel spacer within the perirectal space in prostate radiotherapy. Molecular and Clinical Oncology, 19, 78. https://doi.org/10.3892/mco.2023.2674
MLA
Makita, K., Hamamoto, Y., Kanzaki, H., Nagasaki, K., Hashine, K."Relationship between seminal vesicle displacement and distribution of hydrogel spacer within the perirectal space in prostate radiotherapy". Molecular and Clinical Oncology 19.4 (2023): 78.
Chicago
Makita, K., Hamamoto, Y., Kanzaki, H., Nagasaki, K., Hashine, K."Relationship between seminal vesicle displacement and distribution of hydrogel spacer within the perirectal space in prostate radiotherapy". Molecular and Clinical Oncology 19, no. 4 (2023): 78. https://doi.org/10.3892/mco.2023.2674
Copy and paste a formatted citation
x
Spandidos Publications style
Makita K, Hamamoto Y, Kanzaki H, Nagasaki K and Hashine K: Relationship between seminal vesicle displacement and distribution of hydrogel spacer within the perirectal space in prostate radiotherapy. Mol Clin Oncol 19: 78, 2023.
APA
Makita, K., Hamamoto, Y., Kanzaki, H., Nagasaki, K., & Hashine, K. (2023). Relationship between seminal vesicle displacement and distribution of hydrogel spacer within the perirectal space in prostate radiotherapy. Molecular and Clinical Oncology, 19, 78. https://doi.org/10.3892/mco.2023.2674
MLA
Makita, K., Hamamoto, Y., Kanzaki, H., Nagasaki, K., Hashine, K."Relationship between seminal vesicle displacement and distribution of hydrogel spacer within the perirectal space in prostate radiotherapy". Molecular and Clinical Oncology 19.4 (2023): 78.
Chicago
Makita, K., Hamamoto, Y., Kanzaki, H., Nagasaki, K., Hashine, K."Relationship between seminal vesicle displacement and distribution of hydrogel spacer within the perirectal space in prostate radiotherapy". Molecular and Clinical Oncology 19, no. 4 (2023): 78. https://doi.org/10.3892/mco.2023.2674
Follow us
  • Twitter
  • LinkedIn
  • Facebook
About
  • Spandidos Publications
  • Careers
  • Cookie Policy
  • Privacy Policy
How can we help?
  • Help
  • Live Chat
  • Contact
  • Email to our Support Team