Spandidos Publications Logo
  • About
    • About Spandidos
    • Aims and Scopes
    • Abstracting and Indexing
    • Editorial Policies
    • Reprints and Permissions
    • Job Opportunities
    • Terms and Conditions
    • Contact
  • Journals
    • All Journals
    • Oncology Letters
      • Oncology Letters
      • Information for Authors
      • Editorial Policies
      • Editorial Board
      • Aims and Scope
      • Abstracting and Indexing
      • Bibliographic Information
      • Archive
    • International Journal of Oncology
      • International Journal of Oncology
      • Information for Authors
      • Editorial Policies
      • Editorial Board
      • Aims and Scope
      • Abstracting and Indexing
      • Bibliographic Information
      • Archive
    • Molecular and Clinical Oncology
      • Molecular and Clinical Oncology
      • Information for Authors
      • Editorial Policies
      • Editorial Board
      • Aims and Scope
      • Abstracting and Indexing
      • Bibliographic Information
      • Archive
    • Experimental and Therapeutic Medicine
      • Experimental and Therapeutic Medicine
      • Information for Authors
      • Editorial Policies
      • Editorial Board
      • Aims and Scope
      • Abstracting and Indexing
      • Bibliographic Information
      • Archive
    • International Journal of Molecular Medicine
      • International Journal of Molecular Medicine
      • Information for Authors
      • Editorial Policies
      • Editorial Board
      • Aims and Scope
      • Abstracting and Indexing
      • Bibliographic Information
      • Archive
    • Biomedical Reports
      • Biomedical Reports
      • Information for Authors
      • Editorial Policies
      • Editorial Board
      • Aims and Scope
      • Abstracting and Indexing
      • Bibliographic Information
      • Archive
    • Oncology Reports
      • Oncology Reports
      • Information for Authors
      • Editorial Policies
      • Editorial Board
      • Aims and Scope
      • Abstracting and Indexing
      • Bibliographic Information
      • Archive
    • Molecular Medicine Reports
      • Molecular Medicine Reports
      • Information for Authors
      • Editorial Policies
      • Editorial Board
      • Aims and Scope
      • Abstracting and Indexing
      • Bibliographic Information
      • Archive
    • World Academy of Sciences Journal
      • World Academy of Sciences Journal
      • Information for Authors
      • Editorial Policies
      • Editorial Board
      • Aims and Scope
      • Abstracting and Indexing
      • Bibliographic Information
      • Archive
    • International Journal of Functional Nutrition
      • International Journal of Functional Nutrition
      • Information for Authors
      • Editorial Policies
      • Editorial Board
      • Aims and Scope
      • Abstracting and Indexing
      • Bibliographic Information
      • Archive
    • International Journal of Epigenetics
      • International Journal of Epigenetics
      • Information for Authors
      • Editorial Policies
      • Editorial Board
      • Aims and Scope
      • Abstracting and Indexing
      • Bibliographic Information
      • Archive
    • Medicine International
      • Medicine International
      • Information for Authors
      • Editorial Policies
      • Editorial Board
      • Aims and Scope
      • Abstracting and Indexing
      • Bibliographic Information
      • Archive
  • Articles
  • Information
    • Information for Authors
    • Information for Reviewers
    • Information for Librarians
    • Information for Advertisers
    • Conferences
  • Language Editing
Spandidos Publications Logo
  • About
    • About Spandidos
    • Aims and Scopes
    • Abstracting and Indexing
    • Editorial Policies
    • Reprints and Permissions
    • Job Opportunities
    • Terms and Conditions
    • Contact
  • Journals
    • All Journals
    • Biomedical Reports
      • Information for Authors
      • Editorial Policies
      • Editorial Board
      • Aims and Scope
      • Abstracting and Indexing
      • Bibliographic Information
      • Archive
    • Experimental and Therapeutic Medicine
      • Information for Authors
      • Editorial Policies
      • Editorial Board
      • Aims and Scope
      • Abstracting and Indexing
      • Bibliographic Information
      • Archive
    • International Journal of Epigenetics
      • Information for Authors
      • Editorial Policies
      • Editorial Board
      • Aims and Scope
      • Abstracting and Indexing
      • Bibliographic Information
      • Archive
    • International Journal of Functional Nutrition
      • Information for Authors
      • Editorial Policies
      • Editorial Board
      • Aims and Scope
      • Abstracting and Indexing
      • Bibliographic Information
      • Archive
    • International Journal of Molecular Medicine
      • Information for Authors
      • Editorial Policies
      • Editorial Board
      • Aims and Scope
      • Abstracting and Indexing
      • Bibliographic Information
      • Archive
    • International Journal of Oncology
      • Information for Authors
      • Editorial Policies
      • Editorial Board
      • Aims and Scope
      • Abstracting and Indexing
      • Bibliographic Information
      • Archive
    • Medicine International
      • Information for Authors
      • Editorial Policies
      • Editorial Board
      • Aims and Scope
      • Abstracting and Indexing
      • Bibliographic Information
      • Archive
    • Molecular and Clinical Oncology
      • Information for Authors
      • Editorial Policies
      • Editorial Board
      • Aims and Scope
      • Abstracting and Indexing
      • Bibliographic Information
      • Archive
    • Molecular Medicine Reports
      • Information for Authors
      • Editorial Policies
      • Editorial Board
      • Aims and Scope
      • Abstracting and Indexing
      • Bibliographic Information
      • Archive
    • Oncology Letters
      • Information for Authors
      • Editorial Policies
      • Editorial Board
      • Aims and Scope
      • Abstracting and Indexing
      • Bibliographic Information
      • Archive
    • Oncology Reports
      • Information for Authors
      • Editorial Policies
      • Editorial Board
      • Aims and Scope
      • Abstracting and Indexing
      • Bibliographic Information
      • Archive
    • World Academy of Sciences Journal
      • Information for Authors
      • Editorial Policies
      • Editorial Board
      • Aims and Scope
      • Abstracting and Indexing
      • Bibliographic Information
      • Archive
  • Articles
  • Information
    • For Authors
    • For Reviewers
    • For Librarians
    • For Advertisers
    • Conferences
  • Language Editing
Login Register Submit
  • This site uses cookies
  • You can change your cookie settings at any time by following the instructions in our Cookie Policy. To find out more, you may read our Privacy Policy.

    I agree
Search articles by DOI, keyword, author or affiliation
Search
Advanced Search
presentation
Molecular and Clinical Oncology
Join Editorial Board Propose a Special Issue
Print ISSN: 2049-9450 Online ISSN: 2049-9469
Journal Cover
October-2023 Volume 19 Issue 4

Full Size Image

Sign up for eToc alerts
Recommend to Library

Journals

International Journal of Molecular Medicine

International Journal of Molecular Medicine

International Journal of Molecular Medicine is an international journal devoted to molecular mechanisms of human disease.

International Journal of Oncology

International Journal of Oncology

International Journal of Oncology is an international journal devoted to oncology research and cancer treatment.

Molecular Medicine Reports

Molecular Medicine Reports

Covers molecular medicine topics such as pharmacology, pathology, genetics, neuroscience, infectious diseases, molecular cardiology, and molecular surgery.

Oncology Reports

Oncology Reports

Oncology Reports is an international journal devoted to fundamental and applied research in Oncology.

Experimental and Therapeutic Medicine

Experimental and Therapeutic Medicine

Experimental and Therapeutic Medicine is an international journal devoted to laboratory and clinical medicine.

Oncology Letters

Oncology Letters

Oncology Letters is an international journal devoted to Experimental and Clinical Oncology.

Biomedical Reports

Biomedical Reports

Explores a wide range of biological and medical fields, including pharmacology, genetics, microbiology, neuroscience, and molecular cardiology.

Molecular and Clinical Oncology

Molecular and Clinical Oncology

International journal addressing all aspects of oncology research, from tumorigenesis and oncogenes to chemotherapy and metastasis.

World Academy of Sciences Journal

World Academy of Sciences Journal

Multidisciplinary open-access journal spanning biochemistry, genetics, neuroscience, environmental health, and synthetic biology.

International Journal of Functional Nutrition

International Journal of Functional Nutrition

Open-access journal combining biochemistry, pharmacology, immunology, and genetics to advance health through functional nutrition.

International Journal of Epigenetics

International Journal of Epigenetics

Publishes open-access research on using epigenetics to advance understanding and treatment of human disease.

Medicine International

Medicine International

An International Open Access Journal Devoted to General Medicine.

Journal Cover
October-2023 Volume 19 Issue 4

Full Size Image

Sign up for eToc alerts
Recommend to Library

  • Article
  • Citations
    • Cite This Article
    • Download Citation
    • Create Citation Alert
    • Remove Citation Alert
    • Cited By
  • Similar Articles
    • Related Articles (in Spandidos Publications)
    • Similar Articles (Google Scholar)
    • Similar Articles (PubMed)
  • Download PDF
  • Download XML
  • View XML
Case Report Open Access

Metastatic colon carcinoma in the maxilla: Highlighting the importance of perioperative oral management: A case report

  • Authors:
    • Murahashi Makoto
    • Edward Hosea Ntege
    • Nishihara Kazuhide
    • Ide Kentaro
    • Shirakawa Jumpei
    • Maruyama Nobuyuki
    • Kawano Toshihiro
    • Shimizu Yusuke
    • Nakamura Hiroyuki
  • View Affiliations / Copyright

    Affiliations: Department of Oral and Maxillofacial Surgery, Urasoe General Hospital, Urasoe, Okinawa 901‑2132, Japan, Department of Oral and Maxillofacial Functional Rehabilitation, Graduate School of Medicine, University of the Ryukyus, Nakagami, Nishihara, Okinawa 903‑0215, Japan, Department of Oral and Maxillofacial Surgery, Okinawa Red Cross Hospital, Naha, Okinawa 902‑8588, Japan, Department of Plastic and Reconstructive Surgery, Graduate School of Medicine, University of the Ryukyus, Nakagami, Nishihara, Okinawa 903‑0215, Japan
    Copyright: © Makoto et al. This is an open access article distributed under the terms of Creative Commons Attribution License.
  • Article Number: 83
    |
    Published online on: September 1, 2023
       https://doi.org/10.3892/mco.2023.2679
  • Expand metrics +
Metrics: Total Views: 0 (Spandidos Publications: | PMC Statistics: )
Metrics: Total PDF Downloads: 0 (Spandidos Publications: | PMC Statistics: )
Cited By (CrossRef): 0 citations Loading Articles...

This article is mentioned in:


Abstract

Metastatic colorectal carcinoma involving the maxilla is a rare phenomenon, and existing literature regarding the significance of perioperative oral function management (POM) in managing such cases is limited. In the present case report the clinical details of a 58‑year‑old male referred to the oral and maxillofacial department for POM. The patient had previously undergone segmental bowel resection due to stage IIIb colon cancer. A comprehensive approach encompassing a thorough medical history, meticulous physical examination, radiographic imaging and immunohistopathology was employed, and a definitive diagnosis of metastatic adenocarcinoma in the left maxillary gingiva originating from a colorectal carcinoma was reached. Additionally, concomitant metastases were detected in the lungs and liver. Despite the daunting prognosis associated with the metastases in the oral cavity, the patient's quality of life exhibited discernible improvements owing to the implementation of palliative care interventions. Notably, this interdisciplinary approach facilitated the patient's survival for over a year. The present case report strongly advocates for the prompt integration of POM in the surgical management of cancer patients with oral manifestations, which can optimize both the quality of life and overall survival.

Introduction

Metastatic tumors in the oral region are extremely rare, constituting <1% of all malignancies (1,2). They primarily affect individuals aged 50-70 years-old, with no significant sex disparity. The mandible and gingiva are the predominant sites for jawbone and soft tissue metastases, respectively; however, the frequency varies depending on the primary lesion (3-8). In men, oral metastases commonly arise from lung, kidney, liver and prostate cancers, whereas in women, breast, genital and kidney cancers are frequently associated with oral metastases (6). The metastasis of colorectal cancer to the oral cavity is relatively uncommon (only 1-2% of all cases) (5-10).

The significance of perioperative oral function management (POM) in preventing and mitigating post-operative complications, including surgical site infections and pneumonia, and improving the overall quality of life of the cancer patient, is increasingly evident (11-16). POM interventions have demonstrated positive outcomes, including reduced hospital stays, decreased medical costs, and improved patient survival rates, consequently gaining recognition as an indispensable procedure during the perioperative period (11-18). However, limited literature exists regarding the effectiveness of POM in managing oral metastases, particularly in the context of colorectal cancers.

The present case report presents a rare case of metastases to the maxillary gingiva originating from a stage IIIB tumor-node-metastatic (TNM) colorectal carcinoma. The patient's condition improved with the POM, resulting in a significant enhancement in the quality of life. In contrast to expectations, the patient defied prognostic predictions and survived for over a year before succumbing to multiple organ failure (MOF). These findings underscore the urgent need for timely administration of POM to improve the quality of life and survival rates of surgical patients with a history of cancer and oral symptoms.

Case report

A 58-year-old man complaining of an uncomfortable swelling on the left side of the upper jaw and decreased oral intake was referred to the Department of Oral and Maxillofacial Functional Rehabilitation in March 2018 for a POM consultation. The patient had a surgical history of segmental bowel resection due to TNM stage IIIB colorectal cancer, with elevated serum carcinoembryonic antigen (CEA; recorded value, 5.9 ng/ml; reference value, 0.0-4.0 ng/ml) and serum hepatitis B surface antibody (HBsAb; recorded value, 104.04 mIU/ml; reference value, 0.00-9.99 mIU/ml) levels, and normal liver function test values. In January 2015, the patient had a history of melena and occasional hematochezia. TNM stage IIIB colorectal adenocarcinoma was diagnosed following a thorough clinical evaluation, and the patient was surgically treated using the Hartmann procedure (13) under general anesthesia in March 2015. Thereafter, the patient was followed up ~1 year without evidence of recurrence or metastatic disease. After March 2016, the patient was lost to follow-up for two years. However, the patient returned in March 2018 with complaints of abdominal pain and oral symptoms. Additionally, the patient had a history of a remnant root following extraction of the left maxillary second premolar; the family history was unremarkable.

Upon examination, the patient was cachectic and sick looking with mild pallor, a tinge of jaundice, and cervical lymphadenopathy on the left side. Extraoral examination indicated facial asymmetry and swelling of the left cheek. Intraoral investigations revealed a large, ulcerative, moderately-tender, irregular mass (size, 22x20x18 mm) with focal areas of necrosis extending distally from the left maxillary first premolar (Fig. 1).

Figure 1

Intraoral photograph showing a mass (size, 22x20x18 mm) on the gingiva corresponding to the maxillary second premolar on the left side.

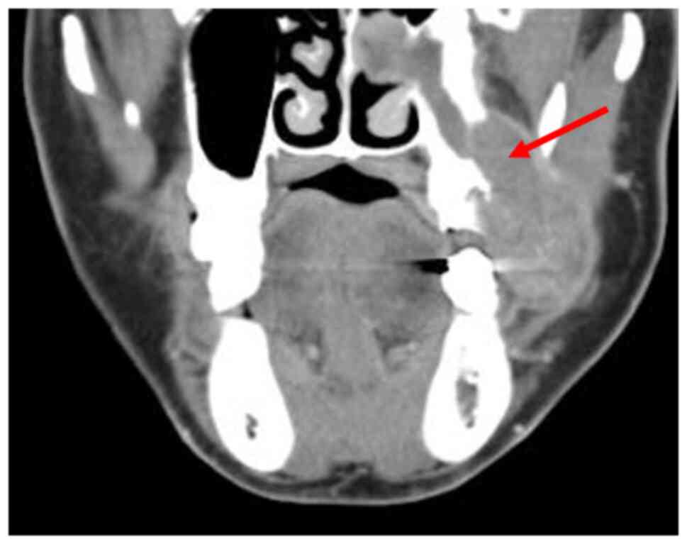
The patient underwent radiological, hematologic and histological examinations, with a differential diagnosis of a gingival tumor invading the maxillary sinus. Orthopantomography and computed tomography (CT) were performed in the radiology department. The orthopantomograms showed horizontal bone resorption in the jaw, particularly in the left maxillary molar root region and around the second premolar (Fig. 2). CT scan of the oral cavity showed a large, poorly demarcated soft tissue mass extending into the left maxillary sinus, with generalized bone resorption around the left second premolar and the base of the maxillary sinus (Fig. 3). CT scans of the chest and abdomen showed relatively distinct nodules in the lung and tumor recurrence in the residual bowel. Liver metastases were also detected. The hematology and blood biochemistry test results are shown in Table I. The levels of the tumor markers CEA and carbohydrate antigen 19-9 (CA19-9), also known as Sialyl-LewisA, were exponentially elevated; other blood parameters were essentially unremarkable.

Figure 2

Panoramic radiograph showing the residual root of the left maxillary molar along with resorption of the surrounding bone.

Figure 3

Compute tomography image showing bone resorption around the maxillary tooth 6 on the left side of the maxillary sinus.

Table I

Hematology and blood biochemistry findings.

Table I

Hematology and blood biochemistry findings.

Test parameterObtained valueReference rangeUnit
Initial hospital visit   
     WBC10,9004,000~9,000Μl
     s-Glu11770~110mg/dl
     HBsAb104.040.00~9.99mIU/ml
     CEA5.90.0~5.0Ng/ml
     CA19-9<2.00.0~37.0U/ml
Emergency visit   
     WBC10,2004,000-9,000Μl
     AST (GOT)4613~37IU/l
     ALT (GPT)308~45IU/l
     LDH1,212122~228IU/l
     ALP1,749118~335IU/l
     γ-GT8708~33IU/l
     ALB3.34.1~5.2g/dl
     BUN14.67.8~18.9mg/dl
     CREA0.770.45~0.82mg/dl
     s-Glu9270~110mg/dl
     HBsAb29.790.00~9.99mIU/ml
     CEA10,945.40.0~5.0Ng/ml
     CA19-9<2.00.0~37.0U/ml
     5-S-CD2.71.5~8.0 

[i] WBC, white blood cell count; AST (GOT), aspartate transaminase (glutamic oxaloacetic transaminase); ALT (GPT), serum glutamate-pyruvate transaminase or serum glutamic-pyruvic transaminase; LDH, lactate dehydrogenase; ALP, alkaline phosphatase; γ-GT, gamma-glutamyl transferase; ALB, albumin blood test; BUN, blood urea nitrogen; CREA, creatinine test; s-Glu, blood glucose; glycated hemoglobin; HBsAb, hepatitis B surface antibody; CEA, carcinoembryonic antigen; CA19-9, cancer antigen 19-9; 5-S-CD, serum 5-S-Cysteinyldopa.

Fresh surgical biopsy specimens from the jaw tumor underwent histopathological analysis in the university hospital pathology department, conducted by at least 2 pathologists. This involved the utilization of hematoxylin and eosin (H&E) staining and immunohistochemistry (IHC). For H&E staining, the process commenced by sectioning the specimen into 4-µm thick segments following fixation with 96% ethanol. Subsequently, these sections were immersed in a 10% formalin solution for 24 h. Hematoxylin staining was initiated for 30 sec, followed by a 5-min water rinse and a 15-sec eosin Y counterstaining. Dehydration using 96 and 99.8% ethanol, along with xylene fixation and cover slipping with a mounting medium, followed suit. Diagnostic images were captured via a Nikon Eclipse Ci microscope equipped with a Nikon DS-Fi3 camera with a 4X objective (Nikon Corporation).

For IHC, the streptavidin-peroxidase technique was employed on 4-µm thick specimen sections. Following rinsing with phosphate-buffered saline (PBS) and a 10-min pepsase activity for antigen retrieval, sections were incubated in methanol alongside 3% hydrogen peroxide to deactivate endogenous peroxidases. Subsequently, blocking with PBS 0.5% Tween-20 (PBS-T; MilliporeSigma), containing 3% bovine serum albumin (MilliporeSigma), occurred for 1 h at room temperature. Incubation at 4˚C overnight with primary antibodies including cytokeratin (CK)7 and CK20 was performed. As an example, the primary antibody for CK7, rabbit anti-CK7 (1:1,600; cat. no. ab199718; Abcam), was utilized. Following three PBS washes, a secondary antibody, goat anti-rabbit IgG H&L (HRP) (1:500; cat. no. ab97051; Abcam), was introduced, along with fresh Diaminobenzidine as the substrate. Negative controls employed PBS instead of the primary antibody. Philips IntelliSite Pathology Solution (Philips) was employed for image acquisition.

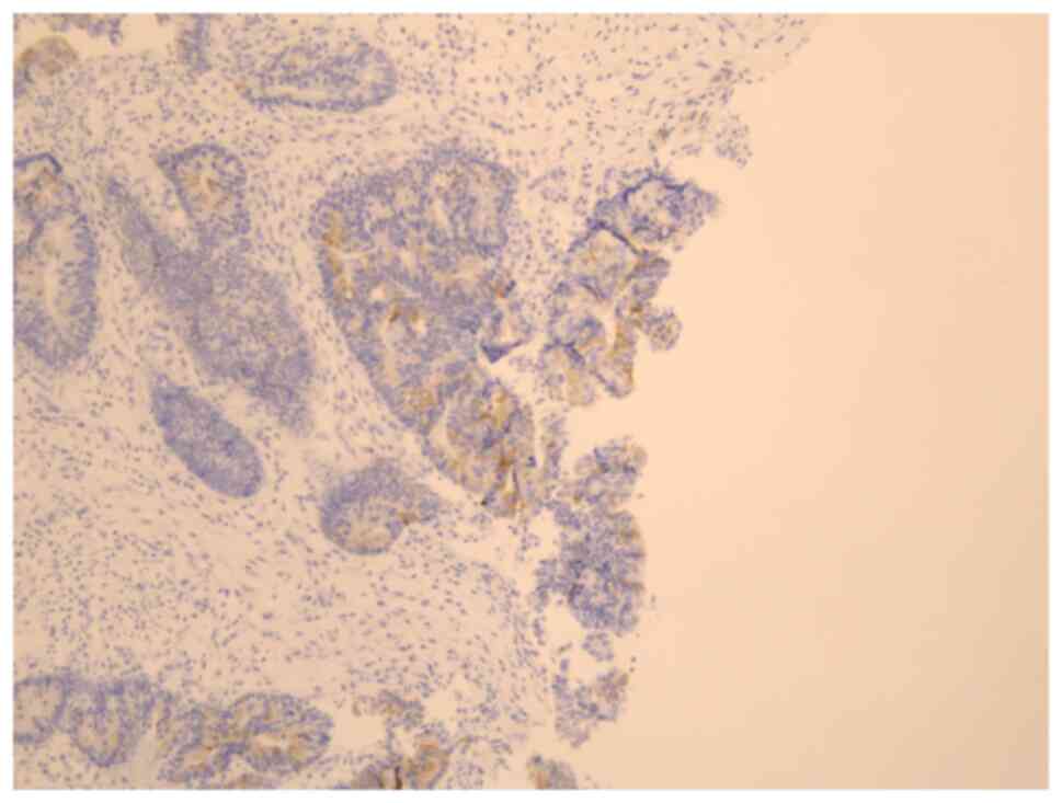
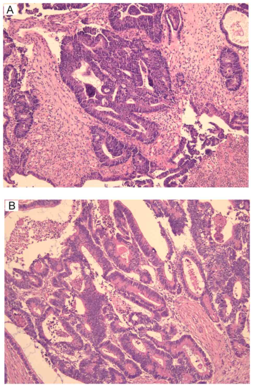
H&E staining analysis unveiled atypical cell growth within tubular structures coupled with necrotic tissue, indicating a moderately-differentiated adenocarcinoma (Fig. 4). Furthermore, IHC demonstrated CK20 positivity and CK7 negativity in the atypical glandular ducts, implying metastasis from the colorectal carcinoma (Fig. 5).

Figure 4

Histopathological images of the patient. (A) H&E staining of the maxillary gingiva (magnification, x40). (B) H&E staining of the sigmoid colon (magnification, x40). The formation of a tubular structure by the proliferating atypical cells and necrotic tissue indicated a moderately-differentiated adenocarcinoma.

Figure 5

Histopathological images of the maxillary gingiva showing positive immunostaining for CK20 (magnification, x40).

Based on the results of the POM examination, the oral lesion was diagnosed as metastatic colorectal adenocarcinoma of the maxillary gingiva. In addition, metastases were observed in the lung and liver. After thorough consultations among the surgeons and considering several factors, including the patient's general condition and the late stage of the disease, the patient was treated with adjuvant chemotherapy and radiotherapy with removal of the remaining root tooth, rather than aggressive surgical treatment of the tumor in the oral cavity. Chemotherapy was initiated using a combination of XELOX: capecitabine (Xeloda®; Chugai Pharmaceutical Co., Ltd.) plus oxaliplatin (Yakult Honsha Co., Ltd.), and bevacizumab (BV). A total of seven doses of XELOX (170 mg) plus BV (450 mg) were followed by 21 doses of cetuximab; cetuximab administration started with a single dose of 620 mg, which was reduced to 390 mg once daily. The oral cavity and primary tumor were treated by radiation therapy (8 Gy each). The patient's oral intake improved after the extraction of the residual tooth and the comprehensive implementation of POM, which included customized hygiene, chemoprophylaxis, collaborative efforts from an interdisciplinary medical team, pain management, and patient education. Subsequently, an improvement in the patient's quality of life was observed for >12 months before his clinical condition deteriorated due to multiple organ metastases. The patient succumbed to MOF in March 2019.

Discussion

Metastases in the oral cavity are rare, and studies on the efficacy of POM for managing such cases are limited. Patients with metastatic tumors in the oral cavity can present with various symptoms, such as swelling, pain, nerve paralysis and dental issues (tooth mobility or displacement). Gingival metastases may be asymptomatic or manifest as painless granulomatous masses (7,8). Therefore, it is crucial to differentiate metastatic oral tumors from other dental conditions accurately.

Colorectal carcinomas account for ~18% of all malignancies, with sigmoid carcinoma constituting ~30% of these cases (8). Orofacial metastatic tumors can potentially originate from various organs, such as the lungs and kidneys; nonetheless, the rare occurrence of oral metastases stemming from colorectal cancer can pose complex challenges in both diagnosis and treatment (7-10). A precise diagnosis of metastatic tumors in the oral cavity is vital for identifying the primary tumor and any metastases to other organs (9,11-20). Furthermore, distinguishing between primary and metastatic tumors in the oral cavity is crucial for selecting the appropriate treatment approach.

The diagnostic criteria for metastatic tumors include the presence of a primary tumor or the absence of other tumor lesions (Tables II and III) (21-32). Additionally, histopathological similarities to the primary tumor and the clinical metastatic status are considered during the diagnosis (32). In the present case report, histopathological examination revealed a moderately-differentiated adenocarcinoma. Immunostaining with CK20 and CK7 aided in establishing its correlation with the primary site (19,33-35). The positive CK20 and negative CK7 results were consistent with the findings of metastatic colorectal carcinoma (32). The elevated serum levels of CEA and CA19-9 and the CT images confirmed cancer infiltration in the liver and lungs.

Table II

Showing some reported cases of colorectal cancer metastasis in the maxillary gingiva.

Table II

Showing some reported cases of colorectal cancer metastasis in the maxillary gingiva.

CaseAuthorsPublication yearAgeSexPrognosisOther metastasis sites
1Cama et al (24)200257Female<1 yearNot indicated
2Kataoka et al (23)200337Female3.6 yearsLung, brain
3Koizumi et al (21)200469Male3.7 yearsLung, liver
4Kitamura et al (22)200764Male1 YearNone
5Baranović et al (25)201578Male<1 yearLiver
6Dalirsani et al (26)202069Female<1 yearNot indicated
7Nair et al (27)202150Male<1 yearLung, liver, adrenal and vertebral
8Prasad et al (28)202151Male<1 yearNot indicated
9Neumann et al (29)202159Male26 other cases were listed, reported over 30 years (mostly with poor prognosis)Peritoneum
10Todorova et al (30)202173MaleNot indicatedLocoregional lymphatic nodes
11Present case202358Male>1 YearLung, liver, bone

Table III

Shows suggested diagnostic criteria for oral metastatic tumors.

Table III

Shows suggested diagnostic criteria for oral metastatic tumors.

Item numberCriterion(Refs.)
1Clinical and histological evidence of a primary tumor(31)
2The histological similarity between the primary tumor and the metastases 
3No previous tumor in the metastatic area 
4No direct invasion from the primary tumor or other metastases 
1Histopathological similarity to the primary tumor(32)
2Sufficient clinical and histological suspicion of metastatic disease 
3A tumor suspected to be metastatic must not resemble a primary tumor arising in the oral cavity 

The metastasis of sigmoid carcinoma to the liver and lungs is considered to occur via the portal vein system and to other sites (such as the oropharyngeal region) via the inferior vena cava and pulmonary veins (36,37). The mandible commonly serves as the primary site for metastatic tumors due to its high vascularity, while the rich capillary network in the gingiva facilitates the infiltration of tumor cells (8,20,38). In the present case report, chronic gingival irritation resulting from a retained root fragment in the left upper second premolar may have contributed to the dissemination of cancer cells through the bloodstream.

Consistent with the findings in this case, metastatic tumors in the oral and maxillofacial regions are frequently encountered as multiple metastases and exhibit a high fatality rate (22,23). A comprehensive evaluation of the primary tumor and the presence or absence of metastases is crucial in determining an effective treatment plan. POM during the perioperative period is widely recognized as a critical procedure in the surgical management of patients with cancer, offering notable advantages (11-16). Kurasawa et al (39) investigated the impact of POM on pneumonia and the mortality of patients with cancer and reported its effectiveness in decreasing the incidence of pneumonia across various cancer types, including musculoskeletal, lung, brain, head and neck, thyroid gland, pancreatic, stomach, and esophageal cancers. In addition, POM was beneficial for patients with compromised immune systems and respiratory dysfunction. Factors such as preoperative conditions, nutritional status, oral hygiene, and the relationship between the operative field and airway were identified as crucial determinants of the effectiveness of POM. Importantly, POM was associated with decreased mortality rates, particularly in lung and pancreatic cancer, which was attributed to enhanced oral hygiene and swallowing function. Additionally, a case report by Nashi et al (40) underscored the significance of standardized techniques and guidelines for oral management to prevent complications, especially in patients with cardiac conditions, which served as a reminder for healthcare practitioners to prioritize appropriate POM protocols. In another study, Suzuki et al (41) reported that preoperative periodontal treatment improved oral health before and after cardiac valve surgery; the intervention group also experienced fewer postoperative fever days. Although the present case report had certain limitations, the results suggested that preoperative treatment may help mitigate the risk of postoperative infections, thus emphasizing the necessity for perioperative oral health interventions and education. Conversely, a retrospective review on POM conducted at a cancer treatment hospital demonstrated positive outcomes, such as reduced complications and improved patient experiences; however, the authors observed challenges associated with POM due to the absence of standardized practices and limited collaboration between medical and dental professionals (42). The present case report highlighted the importance of education and early intervention in oral management to optimize cancer treatment outcomes.

In the present case report, the proactive implementation of POM significantly enhanced the patient's quality of life via comprehensive assessment and palliative care, despite the advanced stage of the disease. This interdisciplinary approach prolonged survival by over a year before the eventual demise of the patient. Metastatic tumors in the oral cavity were promptly identified through POM, although surgery was deemed not feasible due to liver and lung involvement. Prompt consideration of clinical findings, differentiation of oral symptoms from tumor lesions, and emphasis on oral care in systemic disease through effective collaboration between medical and oral/dental professionals are crucial for the perioperative oral management of patients with malignant tumors.

In conclusion, the present case report highlighted the rarity of metastases, especially colon carcinoma metastasis, to the maxilla. An accurate diagnosis, differentiation from dental conditions, and POM are indispensable for the effective treatment of patients in this condition. POM offers significant advantages in preventing pneumonia, reducing mortality, and improving oral health. Standardized practices and interdisciplinary collaboration are imperative for optimizing the outcomes. Further research on POM can enhance the management of oral metastases and improve the well-being of the patient.

Acknowledgements

The authors would like to thank the staff of the Department of Oral and Maxillofacial Functional Rehabilitation for their clinical support.

Funding

Funding: No funding was received.

Availability of data and materials

The datasets used and/or analyzed during the current study are available from the corresponding author on reasonable request.

Authors' contributions

MM and EHN contributed to the drafting of the manuscript. MM, EHN and NK performed the literature search. MM, EHN, NK, IK, SJ, MN,KT, SY and NH collected the data and assisted in drafting the case report section. MM, EHN, SY and NH critically revised the manuscript. All authors confirm the authenticity of all the raw data. All authors have read and approved the final version of the manuscript.

Ethics approval and consent to participate

Not applicable.

Patient consent for publication

Written informed consent for the publication of the patient's clinical information and images was obtained from the patient.

Competing interests

The authors declare that they have no competing interests.

References

1 

Shimono H, Hirai H, Oikawa Y, Mochizuki Y, Kuroshima T, Tomioka H, Kayamori K, Ikeda T and Harada H: Metastatic tumors in the oral region: A retrospective chart review of clinical characteristics and prognosis. Oral Surg Oral Med Oral Pathol Oral Radiol. 132:648–652. 2021.PubMed/NCBI View Article : Google Scholar

2 

de Almeida Lança ML, Carvalho YR, Almeida JD and Kaminagakura E: Hidden colon adenocarcinoma diagnosed from mouth metastasis: Case report and literature review. World J Surg Oncol. 21(88)2023.PubMed/NCBI View Article : Google Scholar

3 

Ho DP, Wilkinson PE, Vogel RI, Gopalakrishnan R and Argyris PP: Metastatic tumors to the oral soft tissues and jawbones: A retrospective analysis of 40 cases and review of the literature. Head Neck Pathol. 16:802–813. 2022.PubMed/NCBI View Article : Google Scholar

4 

Watanabe M, Tada M, Satomi T, Chikazu D, Mizumoto M and Sakurai H: Metastatic rectal adenocarcinoma in the mandibular gingiva: A case report. World J Surg Oncol. 14(199)2016.PubMed/NCBI View Article : Google Scholar

5 

Hirshberg A and Buchner A: Metastatic tumors to the oral region. An overview. Eur J Cancer B Oral Oncol. 31B:355–360. 1995.PubMed/NCBI View Article : Google Scholar

6 

Hirshberg A, Shnaiderman-Shapiro A, Kaplan I and Berger R: Metastatic tumors to the oral cavity-pathogenesis and analysis of 673 cases. Oral Oncol. 44:743–752. 2008.PubMed/NCBI View Article : Google Scholar

7 

Meyer I and Shklar G: Malignant tumors metastatic to mouth and jaws. Oral Surg Oral Med Oral Pathol. 20:350–362. 1965.PubMed/NCBI View Article : Google Scholar

8 

Cash CD, Royer RQ and Dahlin DC: Metastatic tumors of the jaws. Oral Surg Oral Med Oral Pathol. 14:897–905. 1961.PubMed/NCBI View Article : Google Scholar

9 

Hadhri A, Abidi R, Ben Rejeb M, Yahyaoui S and Nasr C: Metastasis of colon adenocarcinoma to the mandible: A case report. Tunis Med. 98:518–521. 2020.PubMed/NCBI

10 

Hirshberg A, Berger R, Allon I and Kaplan I: Metastatic tumors to the jaws and mouth. Head Neck Pathol. 8:463–474. 2014.PubMed/NCBI View Article : Google Scholar

11 

Ishimaru M, Matsui H, Ono S, Hagiwara Y, Morita K and Yasunaga H: Preoperative oral care and effect on postoperative complications after major cancer surgery. Br J Surg. 105:1688–1696. 2018.PubMed/NCBI View Article : Google Scholar

12 

Shin JH, Kunisawa S, Fushimi K and Imanaka Y: Effects of preoperative oral management by dentists on postoperative outcomes following esophagectomy: Multilevel propensity score matching and weighting analyses using the Japanese inpatient database. Medicine (Baltimore). 98(e15376)2019.PubMed/NCBI View Article : Google Scholar

13 

Akutsu Y, Matsubara H, Shuto K, Shiratori T, Uesato M, Miyazawa Y, Hoshino I, Murakami K, Usui A, Kano M and Miyauchi H: Pre-operative dental brushing can reduce the risk of postoperative pneumonia in esophageal cancer patients. Surgery. 147:497–502. 2010.PubMed/NCBI View Article : Google Scholar

14 

Shigeishi H, Ohta K, Fujimoto S, Nakagawa T, Mizuta K, Ono S, Shimasue H, Ninomiya Y, Higashikawa K, Tada M, et al: Preoperative oral health care reduces postoperative inoammation and complications in oral cancer patients. Exp Ther Med. 12:1922–1928. 2016.PubMed/NCBI View Article : Google Scholar

15 

Nobuhara H, Yanamoto S, Funahara M, Matsugu Y, Hayashida S, Soutome S, Kawakita A, Ikeda S, Itamoto T and Umeda M: Effect of perioperative oral management on the prevention of surgical site infection after colorectal cancer surgery: A multicenter retrospective analysis of 698 patients via analysis of covariance using propensity score. Medicine (Baltimore). 97(e12545)2018.PubMed/NCBI View Article : Google Scholar

16 

Kurasawa Y, Maruoka Y, Sekiya H, Negishi A, Mukohyama H, Shigematsu S, Sugizaki J, Karakida K, Ohashi M, Ueno M and Michiwaki Y: Pneumonia prevention effects of perioperative oral management in approximately 25,000 patients following cancer surgery. Clin Exp Dent Res. 6:165–173. 2020.PubMed/NCBI View Article : Google Scholar

17 

Iwata E, Hasegawa T, Yamada SI, Kawashita Y, Yoshimatsu M, Mizutani T, Nakahara H, Mori K, Shibuya Y, Kurita H and Komori T: Effects of perioperative oral care on prevention of postoperative pneumonia after lung resection: Multicenter retrospective study with propensity score matching analysis. Surgery. 165:1003–1007. 2019.PubMed/NCBI View Article : Google Scholar

18 

Nishi H, Takahashi S, Ohta K, Takamoto M, Shigeishi H, Go S, Obayashi T, Yoshioka Y, Konishi M, Shimizu Y, et al: Effects of perioperative oral care on postoperative inflammation following heart valve surgery. Oral Dis. 27:1542–1550. 2021.PubMed/NCBI View Article : Google Scholar

19 

Khosraviani K, Campbell WJ, Parks TG and Irwin ST: Hartmann procedure revisited. Eur J Surg. 166:878–881. 2000.PubMed/NCBI View Article : Google Scholar

20 

Hirshberg A, Leibovich P and Buchner A: Metastases to the oral mucosa: Analysis of 157 cases. J Oral Pathol Med. 22:385–390. 1993.PubMed/NCBI View Article : Google Scholar

21 

Koizumi K, Hayashido Y, Yoshioka Y, Hara J and Okamoto T: A case of carcinoma of the sigmoid colon metastatizing to the maxillary gingiva. Jpn J Oral Maxillofac Surg. 50:396–399. 2004.

22 

Kitamura N, Ishida K, Deguchi H, Tsuyoshi H, Okamoto T and Hosoda M: A case of transverse colon adenocarcinoma metastatic to the maxilla and cervical lymph nodes. Jpn J Oral Maxillofac Surg. 53:504–508. 2007.

23 

Kataoka S, Shibata M, Doi R, Onda M, Sudoh M and Ryoke K: A clinical study of 17 cases of malignant tumors metastatic to the mouth and jaws. Jpn J Oral Maxillofac Surg. 49:566–569. 2003.

24 

Cama E, Agostino S, Ricci R and Scarano E: A rare case of metastases to the maxillary sinus from sigmoid colon adenocarcinoma. ORL J Otorhinolaryngol Relat Spec. 64:364–367. 2002.PubMed/NCBI View Article : Google Scholar

25 

Baranović M, Vidaković B, Sauerborn D, Perić B, Uljanić I and Mahovne I: Colorectal adenocarcinoma metastasizing to the oral mucosa of the upper jaw. Srp Arh Celok Lek. 143:314–316. 2015.PubMed/NCBI View Article : Google Scholar

26 

Dalirsani Z, Mohtasham N and Samiee N: Metastasis of colon adenocarcinoma to maxillary gingiva and palate. Iran J Otorhinolaryngol. 32:327–331. 2020.PubMed/NCBI View Article : Google Scholar

27 

Nair LM, Mathews A, Aparna MP and Sajeed A: Maxillary gingival metastasis from adenocarcinoma colon. Case Rep. 11:122–124. 2021.

28 

Prasad A, Alrifai T, Vijaya Rangan S and Garcia J: Rare case of metastatic adenocarcinoma to the maxillary sinus. BMJ Case Rep. 14(e244485)2021.PubMed/NCBI View Article : Google Scholar

29 

Neumann ED, León Vintró X, Vega García C and Quer Agustí M: Oral cavity colon adenocarcinoma metastases: A case report with surgical approach and review of more than 30 years literature. Oral Maxillofac Surg. 25:99–101. 2021.PubMed/NCBI View Article : Google Scholar

30 

Todorova RS, Tanevaa I, Toshevaa E, Jivkova E, Ionkova A, Bojinov P and Bogdanov V: Atypical pattern of rectal cancer metastasis into mouth cavity. J Clin Rev Case Rep. 6:711–713. 2021.

31 

Zegarelli DJ, Tsukada Y, Pickren JW and Greene GW: Metastatic tumor to the tongue. Report of twelve cases. Oral Surg Oral Med Oral Pathol. 35:202–211. 1973.PubMed/NCBI View Article : Google Scholar

32 

Clausen F and Poulsen H: Metastatic carcinoma of the jaws. Acta Pathol Microbiol Scand. 57:361–374. 1963.PubMed/NCBI View Article : Google Scholar

33 

Rubin BP, Skarin AT, Pisick E, Rizk M and Salgia R: Use of cytokeratins 7 and 20 in determining the origin of metastatic carcinoma of unknown primary, with special emphasis on lung cancer. Eur J Cancer Prev. 10:77–82. 2001.PubMed/NCBI View Article : Google Scholar

34 

Chu P, Wu E and Weiss LM: Cytokeratin 7 and cytokeratin 20 expression in epithelial neoplasms: A survey of 435 cases. Mod Pathol. 13:962–972. 2000.PubMed/NCBI View Article : Google Scholar

35 

Tot T: Adenocarcinomas metastatic to the liver the value of cytokeratins 20 and 7 in the search for unknown primary tumors. Cancer. 85:171–177. 1999.PubMed/NCBI View Article : Google Scholar

36 

Naylor GD, Auclair PL, Rathbun WA and Hall EH: Metastatic adenocarcinoma of the colon presenting as periradicular periodontal disease: A case report. Oral Surg Oral Med Oral Pathol. 67:162–166. 1989.PubMed/NCBI View Article : Google Scholar

37 

Banerjee SC: Metastasis to the mandible. Oral Surg Oral Med Oral Pathol. 23:71–77. 1967.PubMed/NCBI View Article : Google Scholar

38 

van der Waal RI, Buter J and van der Waal I: Oral metastases: Report of 24 cases. Br J Oral Maxillofac Surg. 41:3–6. 2003.PubMed/NCBI View Article : Google Scholar

39 

Kurasawa Y, Iida A, Narimatsu K, Sekiya H, Maruoka Y and Michiwaki Y: Effects of perioperative oral management in patients with cancer. J Clin Med. 11(6576)2022.PubMed/NCBI View Article : Google Scholar

40 

Nashi M, Yamamoto S, Maeda K, Taniike N and Takenobu T: A case of infective endocarditis due to oral streptococci after perioperative oral function management. Cureus. 13(e20446)2021.PubMed/NCBI View Article : Google Scholar

41 

Suzuki H, Matsuo K, Okamoto M, Nakata H, Sakamoto H and Fujita M: Preoperative periodontal treatment and its effects on postoperative infection in cardiac valve surgery. Clin Exp Dent Res. 5:485–490. 2019.PubMed/NCBI View Article : Google Scholar

42 

Watanabe M, Ioku Y, Motohashi T, Hamada S, Hase K, Ikebe S, Nishiguchi Y, Shoju Y and Sugitatsu M: Clinical study of perioperative oral management at Osaka Red Cross Hospital. J Osaka Dent Univ. 56:183–191. 2022.PubMed/NCBI View Article : Google Scholar

Related Articles

  • Abstract
  • View
  • Download
  • Twitter
Copy and paste a formatted citation
Spandidos Publications style
Makoto M, Ntege EH, Kazuhide N, Kentaro I, Jumpei S, Nobuyuki M, Toshihiro K, Yusuke S and Hiroyuki N: Metastatic colon carcinoma in the maxilla: Highlighting the importance of perioperative oral management: A case report. Mol Clin Oncol 19: 83, 2023.
APA
Makoto, M., Ntege, E.H., Kazuhide, N., Kentaro, I., Jumpei, S., Nobuyuki, M. ... Hiroyuki, N. (2023). Metastatic colon carcinoma in the maxilla: Highlighting the importance of perioperative oral management: A case report. Molecular and Clinical Oncology, 19, 83. https://doi.org/10.3892/mco.2023.2679
MLA
Makoto, M., Ntege, E. H., Kazuhide, N., Kentaro, I., Jumpei, S., Nobuyuki, M., Toshihiro, K., Yusuke, S., Hiroyuki, N."Metastatic colon carcinoma in the maxilla: Highlighting the importance of perioperative oral management: A case report". Molecular and Clinical Oncology 19.4 (2023): 83.
Chicago
Makoto, M., Ntege, E. H., Kazuhide, N., Kentaro, I., Jumpei, S., Nobuyuki, M., Toshihiro, K., Yusuke, S., Hiroyuki, N."Metastatic colon carcinoma in the maxilla: Highlighting the importance of perioperative oral management: A case report". Molecular and Clinical Oncology 19, no. 4 (2023): 83. https://doi.org/10.3892/mco.2023.2679
Copy and paste a formatted citation
x
Spandidos Publications style
Makoto M, Ntege EH, Kazuhide N, Kentaro I, Jumpei S, Nobuyuki M, Toshihiro K, Yusuke S and Hiroyuki N: Metastatic colon carcinoma in the maxilla: Highlighting the importance of perioperative oral management: A case report. Mol Clin Oncol 19: 83, 2023.
APA
Makoto, M., Ntege, E.H., Kazuhide, N., Kentaro, I., Jumpei, S., Nobuyuki, M. ... Hiroyuki, N. (2023). Metastatic colon carcinoma in the maxilla: Highlighting the importance of perioperative oral management: A case report. Molecular and Clinical Oncology, 19, 83. https://doi.org/10.3892/mco.2023.2679
MLA
Makoto, M., Ntege, E. H., Kazuhide, N., Kentaro, I., Jumpei, S., Nobuyuki, M., Toshihiro, K., Yusuke, S., Hiroyuki, N."Metastatic colon carcinoma in the maxilla: Highlighting the importance of perioperative oral management: A case report". Molecular and Clinical Oncology 19.4 (2023): 83.
Chicago
Makoto, M., Ntege, E. H., Kazuhide, N., Kentaro, I., Jumpei, S., Nobuyuki, M., Toshihiro, K., Yusuke, S., Hiroyuki, N."Metastatic colon carcinoma in the maxilla: Highlighting the importance of perioperative oral management: A case report". Molecular and Clinical Oncology 19, no. 4 (2023): 83. https://doi.org/10.3892/mco.2023.2679
Follow us
  • Twitter
  • LinkedIn
  • Facebook
About
  • Spandidos Publications
  • Careers
  • Cookie Policy
  • Privacy Policy
How can we help?
  • Help
  • Live Chat
  • Contact
  • Email to our Support Team