Spandidos Publications Logo
  • About
    • About Spandidos
    • Aims and Scopes
    • Abstracting and Indexing
    • Editorial Policies
    • Reprints and Permissions
    • Job Opportunities
    • Terms and Conditions
    • Contact
  • Journals
    • All Journals
    • Oncology Letters
      • Oncology Letters
      • Information for Authors
      • Editorial Policies
      • Editorial Board
      • Aims and Scope
      • Abstracting and Indexing
      • Bibliographic Information
      • Archive
    • International Journal of Oncology
      • International Journal of Oncology
      • Information for Authors
      • Editorial Policies
      • Editorial Board
      • Aims and Scope
      • Abstracting and Indexing
      • Bibliographic Information
      • Archive
    • Molecular and Clinical Oncology
      • Molecular and Clinical Oncology
      • Information for Authors
      • Editorial Policies
      • Editorial Board
      • Aims and Scope
      • Abstracting and Indexing
      • Bibliographic Information
      • Archive
    • Experimental and Therapeutic Medicine
      • Experimental and Therapeutic Medicine
      • Information for Authors
      • Editorial Policies
      • Editorial Board
      • Aims and Scope
      • Abstracting and Indexing
      • Bibliographic Information
      • Archive
    • International Journal of Molecular Medicine
      • International Journal of Molecular Medicine
      • Information for Authors
      • Editorial Policies
      • Editorial Board
      • Aims and Scope
      • Abstracting and Indexing
      • Bibliographic Information
      • Archive
    • Biomedical Reports
      • Biomedical Reports
      • Information for Authors
      • Editorial Policies
      • Editorial Board
      • Aims and Scope
      • Abstracting and Indexing
      • Bibliographic Information
      • Archive
    • Oncology Reports
      • Oncology Reports
      • Information for Authors
      • Editorial Policies
      • Editorial Board
      • Aims and Scope
      • Abstracting and Indexing
      • Bibliographic Information
      • Archive
    • Molecular Medicine Reports
      • Molecular Medicine Reports
      • Information for Authors
      • Editorial Policies
      • Editorial Board
      • Aims and Scope
      • Abstracting and Indexing
      • Bibliographic Information
      • Archive
    • World Academy of Sciences Journal
      • World Academy of Sciences Journal
      • Information for Authors
      • Editorial Policies
      • Editorial Board
      • Aims and Scope
      • Abstracting and Indexing
      • Bibliographic Information
      • Archive
    • International Journal of Functional Nutrition
      • International Journal of Functional Nutrition
      • Information for Authors
      • Editorial Policies
      • Editorial Board
      • Aims and Scope
      • Abstracting and Indexing
      • Bibliographic Information
      • Archive
    • International Journal of Epigenetics
      • International Journal of Epigenetics
      • Information for Authors
      • Editorial Policies
      • Editorial Board
      • Aims and Scope
      • Abstracting and Indexing
      • Bibliographic Information
      • Archive
    • Medicine International
      • Medicine International
      • Information for Authors
      • Editorial Policies
      • Editorial Board
      • Aims and Scope
      • Abstracting and Indexing
      • Bibliographic Information
      • Archive
  • Articles
  • Information
    • Information for Authors
    • Information for Reviewers
    • Information for Librarians
    • Information for Advertisers
    • Conferences
  • Language Editing
Spandidos Publications Logo
  • About
    • About Spandidos
    • Aims and Scopes
    • Abstracting and Indexing
    • Editorial Policies
    • Reprints and Permissions
    • Job Opportunities
    • Terms and Conditions
    • Contact
  • Journals
    • All Journals
    • Biomedical Reports
      • Information for Authors
      • Editorial Policies
      • Editorial Board
      • Aims and Scope
      • Abstracting and Indexing
      • Bibliographic Information
      • Archive
    • Experimental and Therapeutic Medicine
      • Information for Authors
      • Editorial Policies
      • Editorial Board
      • Aims and Scope
      • Abstracting and Indexing
      • Bibliographic Information
      • Archive
    • International Journal of Epigenetics
      • Information for Authors
      • Editorial Policies
      • Editorial Board
      • Aims and Scope
      • Abstracting and Indexing
      • Bibliographic Information
      • Archive
    • International Journal of Functional Nutrition
      • Information for Authors
      • Editorial Policies
      • Editorial Board
      • Aims and Scope
      • Abstracting and Indexing
      • Bibliographic Information
      • Archive
    • International Journal of Molecular Medicine
      • Information for Authors
      • Editorial Policies
      • Editorial Board
      • Aims and Scope
      • Abstracting and Indexing
      • Bibliographic Information
      • Archive
    • International Journal of Oncology
      • Information for Authors
      • Editorial Policies
      • Editorial Board
      • Aims and Scope
      • Abstracting and Indexing
      • Bibliographic Information
      • Archive
    • Medicine International
      • Information for Authors
      • Editorial Policies
      • Editorial Board
      • Aims and Scope
      • Abstracting and Indexing
      • Bibliographic Information
      • Archive
    • Molecular and Clinical Oncology
      • Information for Authors
      • Editorial Policies
      • Editorial Board
      • Aims and Scope
      • Abstracting and Indexing
      • Bibliographic Information
      • Archive
    • Molecular Medicine Reports
      • Information for Authors
      • Editorial Policies
      • Editorial Board
      • Aims and Scope
      • Abstracting and Indexing
      • Bibliographic Information
      • Archive
    • Oncology Letters
      • Information for Authors
      • Editorial Policies
      • Editorial Board
      • Aims and Scope
      • Abstracting and Indexing
      • Bibliographic Information
      • Archive
    • Oncology Reports
      • Information for Authors
      • Editorial Policies
      • Editorial Board
      • Aims and Scope
      • Abstracting and Indexing
      • Bibliographic Information
      • Archive
    • World Academy of Sciences Journal
      • Information for Authors
      • Editorial Policies
      • Editorial Board
      • Aims and Scope
      • Abstracting and Indexing
      • Bibliographic Information
      • Archive
  • Articles
  • Information
    • For Authors
    • For Reviewers
    • For Librarians
    • For Advertisers
    • Conferences
  • Language Editing
Login Register Submit
  • This site uses cookies
  • You can change your cookie settings at any time by following the instructions in our Cookie Policy. To find out more, you may read our Privacy Policy.

    I agree
Search articles by DOI, keyword, author or affiliation
Search
Advanced Search
presentation
Molecular and Clinical Oncology
Join Editorial Board Propose a Special Issue
Print ISSN: 2049-9450 Online ISSN: 2049-9469
Journal Cover
August-2024 Volume 21 Issue 2

Full Size Image

Sign up for eToc alerts
Recommend to Library

Journals

International Journal of Molecular Medicine

International Journal of Molecular Medicine

International Journal of Molecular Medicine is an international journal devoted to molecular mechanisms of human disease.

International Journal of Oncology

International Journal of Oncology

International Journal of Oncology is an international journal devoted to oncology research and cancer treatment.

Molecular Medicine Reports

Molecular Medicine Reports

Covers molecular medicine topics such as pharmacology, pathology, genetics, neuroscience, infectious diseases, molecular cardiology, and molecular surgery.

Oncology Reports

Oncology Reports

Oncology Reports is an international journal devoted to fundamental and applied research in Oncology.

Experimental and Therapeutic Medicine

Experimental and Therapeutic Medicine

Experimental and Therapeutic Medicine is an international journal devoted to laboratory and clinical medicine.

Oncology Letters

Oncology Letters

Oncology Letters is an international journal devoted to Experimental and Clinical Oncology.

Biomedical Reports

Biomedical Reports

Explores a wide range of biological and medical fields, including pharmacology, genetics, microbiology, neuroscience, and molecular cardiology.

Molecular and Clinical Oncology

Molecular and Clinical Oncology

International journal addressing all aspects of oncology research, from tumorigenesis and oncogenes to chemotherapy and metastasis.

World Academy of Sciences Journal

World Academy of Sciences Journal

Multidisciplinary open-access journal spanning biochemistry, genetics, neuroscience, environmental health, and synthetic biology.

International Journal of Functional Nutrition

International Journal of Functional Nutrition

Open-access journal combining biochemistry, pharmacology, immunology, and genetics to advance health through functional nutrition.

International Journal of Epigenetics

International Journal of Epigenetics

Publishes open-access research on using epigenetics to advance understanding and treatment of human disease.

Medicine International

Medicine International

An International Open Access Journal Devoted to General Medicine.

Journal Cover
August-2024 Volume 21 Issue 2

Full Size Image

Sign up for eToc alerts
Recommend to Library

  • Article
  • Citations
    • Cite This Article
    • Download Citation
    • Create Citation Alert
    • Remove Citation Alert
    • Cited By
  • Similar Articles
    • Related Articles (in Spandidos Publications)
    • Similar Articles (Google Scholar)
    • Similar Articles (PubMed)
  • Download PDF
  • Download XML
  • View XML
Case Report Open Access

Genomic analysis of bladder urothelial carcinoma with osteoclast‑like giant cells: A case report

  • Authors:
    • Koji Kameyama
    • Kosuke Mizutani
    • Tetsuya Yamada
    • Seiji Sugiyama
    • Shingo Kamei
    • Shigeaki Yokoi
    • Kengo Matsunaga
    • Koseki Hirade
    • Yasutaka Kato
    • Hiroshi Nishihara
    • Satoshi Ishihara
    • Takashi Deguchi
  • View Affiliations / Copyright

    Affiliations: Department of Urology, Central Japan International Medical Center, Minokamo, Gifu 505‑8510, Japan, Department of Pathology, Central Japan International Medical Center, Minokamo, Gifu 505‑8510, Japan, Cancer Genomic Testing and Treatment Center, Central Japan International Medical Center, Minokamo, Gifu 505‑8510, Japan, Genomics Unit, Keio Cancer Center, Keio University School of Medicine, Tokyo 165‑8582, Japan
    Copyright: © Kameyama et al. This is an open access article distributed under the terms of Creative Commons Attribution License.
  • Article Number: 55
    |
    Published online on: June 20, 2024
       https://doi.org/10.3892/mco.2024.2753
  • Expand metrics +
Metrics: Total Views: 0 (Spandidos Publications: | PMC Statistics: )
Metrics: Total PDF Downloads: 0 (Spandidos Publications: | PMC Statistics: )
Cited By (CrossRef): 0 citations Loading Articles...

This article is mentioned in:



Abstract

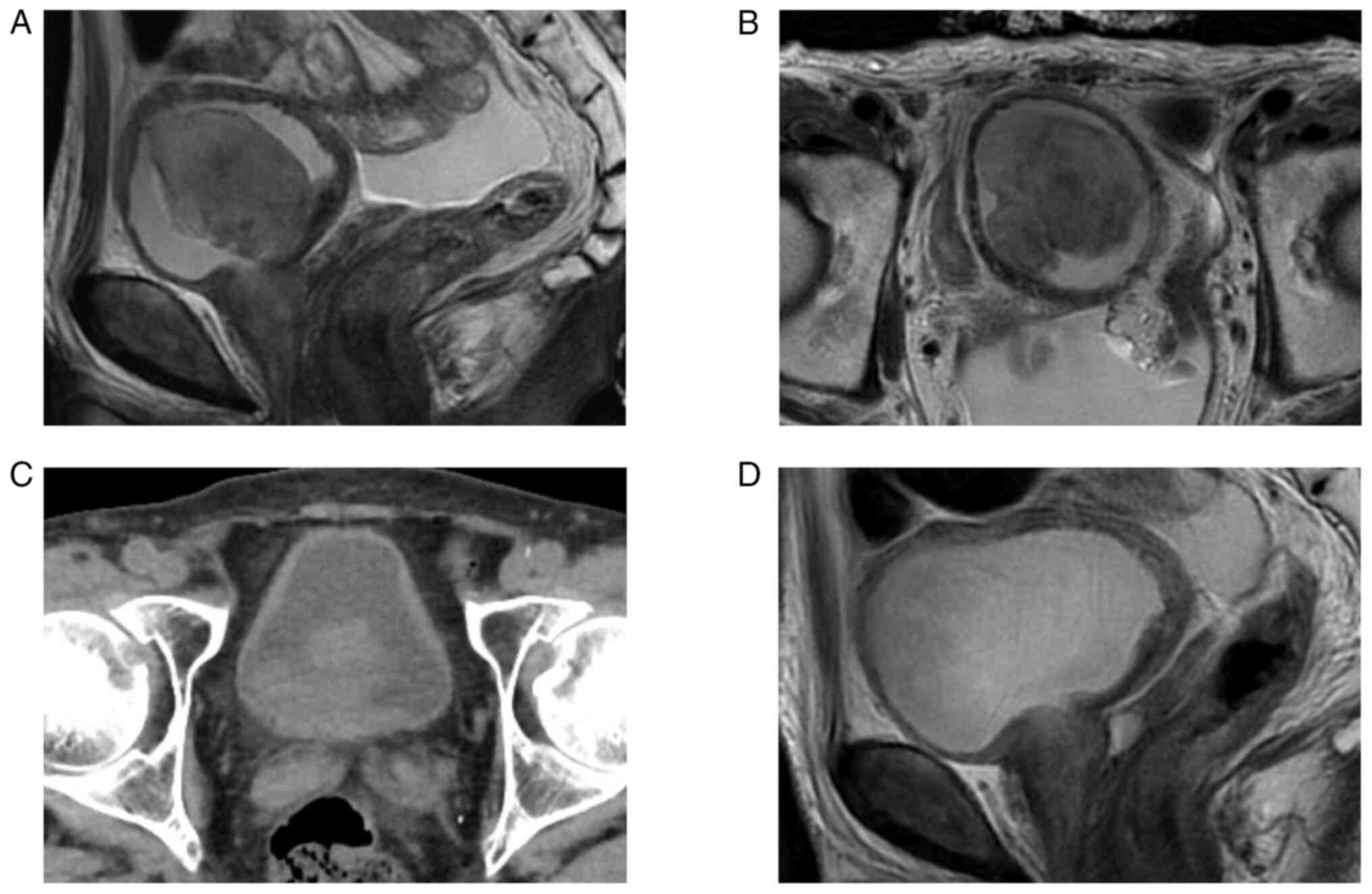
Urothelial carcinoma of the bladder with osteoclast‑like giant cells (UCOGCs) is rare among the subtypes of poorly differentiated urothelial carcinoma. Its clinical significance and optimal treatment are unknown, and few reports on genomic analysis of UCOGCs have been reported. Detailed analysis including genetic analysis for rare type variants of cancer could be a foothold for further research. The present case describes the case of a 75‑year‑old man who presented with a non‑papillary bladder tumor 56 mm in diameter showing gross hematuria and pain on voiding. Following transurethral resection of the bladder tumor, the pathological diagnosis was invasive UCOGCs. Neoadjuvant chemotherapy and radical cystectomy were performed with the resected tumor pathologically diagnosed as invasive UCOGCs, high grade, pT3b, pN1. The present study also analyzed the genomic features using a cancer panel test. The panel test noted six gene alterations (PIK3CA p.E542K, HRAS p.G13R, ARAF copy number amplification, CDKN2A copy number loss, TP53 p.E285V, ARID1A p.S90Pfs*11) and telomerase reverse transcriptase (TERT) promoter variant. Accumulation of knowledge from molecular‑based testing is anticipated to determine precise treatment for rare cancer.
View Figures

Figure 1

Figure 2

Figure 3

Figure 4

Figure 5

View References

1 

Palmerini E, Picci P, Reichardt P and Downey G: Malignancy in giant cell tumor of bone: A review of the literature. Technol Cancer Res Treat. 18(1533033819840000)2019.PubMed/NCBI View Article : Google Scholar

2 

Geramizadeh B and Kazemi K: Osteoclastoma-like giant cell tumor of the liver, an extremely rare tumor. Hepatitis Monthly. 17(e56097)2017.

3 

Angellotti G, Tomasicchio G, Montanaro AE, Telgrafo M, Mastropasqua MG and Punzo C: Osteoclast-like stromal giant cells in invasive ductal breast cancer: A case series. Int J Surg Case Rep. 97(107421)2022.PubMed/NCBI View Article : Google Scholar

4 

Wang YJ, Huang CP, Hong ZJ, Liao GS and Yu JC: Invasive breast carcinoma with osteoclast-like stromal giant cells: A case report. World J Clin Cases. 11:1521–1527. 2023.PubMed/NCBI View Article : Google Scholar

5 

Niwa A, Tomita H, Watanabe N, Kiriyama S, Hara A and Tanaka T: Case report: A case of gallbladder carcinosarcoma with osteoclast-like multinucleated giant cells that was associated with RANK-RANKL signaling. Pathol Oncol Res. 28(1610134)2022.PubMed/NCBI View Article : Google Scholar

6 

Zhao N, Mei Y, Yi H, Wang H, Wang Y, Yao Y and Li C: Case report: Pathological and genetic features of pancreatic undifferentiated carcinoma with osteoclast-like giant cells. Pathol Oncol Res. 29(1610983)2023.PubMed/NCBI View Article : Google Scholar

7 

Baydar D, Amin MB and Epstein JI: Osteoclast-rich undifferentiated carcinomas of the urinary tract. Mod Pathol. 19:161–171. 2006.PubMed/NCBI View Article : Google Scholar

8 

Wu PJ, Su CK, Li JR, Yang CR and Chen CL: Osteoclast-like giant cell carcinoma of the urinary bladder. J Chin Med Assoc. 72:495–497. 2009.PubMed/NCBI View Article : Google Scholar

9 

Osman C, Muammer B, Murat O, Tamer A and Fatih A: Osteoclast-type giant cell carcinoma of the urinary bladder: An unusual and aggressive variant of urothelial carcinoma. Urol Case Rep. 23:50–51. 2019.PubMed/NCBI View Article : Google Scholar

10 

Karasavvidou F, Mitrakas L, Strataki M, Anastasiou D, Koukoulis G and Tzortzis V: Poorly differentiated muscle-invasive giant cell tumor of the bladder leads to unfavorable clinical outcome. J Surg Case Rep. 2022(rjac046)2022.PubMed/NCBI View Article : Google Scholar

11 

Satturwar S, Parwani AV, Thomas R, Bastacky S, Dhir R and Quiroga-Garza GM: The osteoclast-type giant cell rich carcinoma of urinary bladder: A case series. Pathol Res Pract. 239(154164)2022.PubMed/NCBI View Article : Google Scholar

12 

WHO Classification of Tumours Editorial Board: Urinary and male genital tumours 5th edition. International Agency for Research on Cancer, Lyon, France, 2022.

13 

Mizutani K, Hirade K, Sugiyama S, Kato Y, Nishihara H and Ishihara S: Genomic landscape of treatment-naive urological cancers using next-generation sequencing-based panel test in the Japanese population. Int J Urol. 29:909–911. 2022.PubMed/NCBI View Article : Google Scholar

14 

Shimozaki K, Hayashi H, Tanishima S, Horie S, Chida A, Tsugaru K, Togasaki K, Kawasaki K, Aimono E, Hirata K, et al: Concordance analysis of microsatellite instability status between polymerase chain reaction based testing and next generation sequencing for solid tumors. Sci Rep. 11(20003)2021.PubMed/NCBI View Article : Google Scholar

15 

Warrick JI: Clinical significance of histologic variants of bladder cancer. J Natl Compr Canc Netw. 15:1268–1274. 2017.PubMed/NCBI View Article : Google Scholar

16 

Monn MF, Kaimakliotis HZ, Pedrosa JA, Cary KC, Bihrle R, Cheng L and Koch MO: Contemporary bladder cancer: Variant histology may be a significant driver of disease. Urol Oncol. 33:18.e15–18.e20. 2015.PubMed/NCBI View Article : Google Scholar

17 

Mori K, Abufaraj M, Mostafaei H, Quhal F, Karakiewicz PI, Briganti A, Kimura S, Egawa S and Shariat SF: A systematic review and meta-analysis of variant histology in urothelial carcinoma of the bladder treated with radical cystectomy. J Urol. 204:1129–1140. 2020.PubMed/NCBI View Article : Google Scholar

18 

Eble JN, Argani P, Grignon DJ and Cheng L: American Registry of Pathology: Tumors of the kidney, bladder, and related urinary structures. American Registry of Pathology Arlington, Virginia, Arlington, Virginia, 2022.

19 

Allin KH, Bojesen SE and Nordestgaard BG: Baseline C-reactive protein is associated with incident cancer and survival in patients with cancer. J Clin Oncol. 27:2217–2224. 2009.PubMed/NCBI View Article : Google Scholar

20 

O'Brian D, Prunty M, Hill A and Shoag J: The role of C-reactive protein in kidney, bladder, and prostate cancers. Front Immunol. 12(721989)2021.PubMed/NCBI View Article : Google Scholar

21 

Mizutani K, Sud S and Pienta KJ: Prostate cancer promotes CD11b positive cells to differentiate into osteoclasts. J Cell Biochem. 106:563–569. 2009.PubMed/NCBI View Article : Google Scholar

22 

Nassar AH, Umeton R, Kim J, Lundgren K, Harshman L, Van Allen EM, Preston M, Dong F, Bellmunt J, Mouw KW, et al: Mutational analysis of 472 urothelial carcinoma across grades and anatomic sites. Clin Cancer Res. 25:2458–2470. 2019.PubMed/NCBI View Article : Google Scholar

23 

Robertson AG, Kim J, Al-Ahmadie H, Bellmunt J, Guo G, Cherniack AD, Hinoue T, Laird PW, Hoadley KA, Akbani R, et al: Comprehensive molecular characterization of muscle-invasive bladder cancer. Cell. 171:540–556 e525. 2017.PubMed/NCBI View Article : Google Scholar

24 

Pietzak EJ, Bagrodia A, Cha EK, Drill EN, Iyer G, Isharwal S, Ostrovnaya I, Baez P, Li Q, Berger MF, et al: Next-generation sequencing of nonmuscle invasive bladder cancer reveals potential biomarkers and rational therapeutic targets. Eur Urol. 72:952–959. 2017.PubMed/NCBI View Article : Google Scholar

25 

Springer SU, Chen CH, Pena MDC, Li L, Douville C, Wang Y, Cohen JD, Taheri D, Silliman N, Schaefer J, et al: Non-invasive detection of urothelial cancer through the analysis of driver gene mutations and aneuploidy. Elife. 7(e32143)2018.PubMed/NCBI View Article : Google Scholar

26 

Shuai H, Duan X, Zhou JJ, Liu Y and Wu T: Effect of the TERT mutation on the prognosis of patients with urothelial carcinoma: A systematic review and meta-analysis. BMC Urol. 23(177)2023.PubMed/NCBI View Article : Google Scholar

27 

Yang G, Yin J, Ou K, Du Q, Ren W, Jin Y, Peng L and Yang L: Undifferentiated carcinoma with osteoclast-like giant cells of the pancreas harboring KRAS and BRCA mutations: Case report and whole exome sequencing analysis. BMC Gastroenterol. 20(202)2020.PubMed/NCBI View Article : Google Scholar

28 

Luchini C, Pea A, Lionheart G, Mafficini A, Nottegar A, Veronese N, Chianchiano P, Brosens LA, Noë M, Offerhaus GJA, et al: Pancreatic undifferentiated carcinoma with osteoclast-like giant cells is genetically similar to, but clinically distinct from, conventional ductal adenocarcinoma. J Pathol. 243:148–154. 2017.PubMed/NCBI View Article : Google Scholar

29 

Yamamoto S and Sakai Y: A case of undifferentiated carcinoma with osteoclast-like giant cells of the pancreas derived from an intraductal papillary mucinous neoplasm. Clin J Gastroenterol. 14:1263–1268. 2021.PubMed/NCBI View Article : Google Scholar

30 

Chen Z, Ji J, Yung E, Martin SE and Walia S: Uterine leiomyosarcoma with osteoclast-like giant cells: Report of 2 cases and review of literature. Int J Gynecol Pathol. 43:182–189. 2023.PubMed/NCBI View Article : Google Scholar

31 

Besaw RJ, Terra AR, Malvar GL, Chapman TR, Hertan LM and Schlechter BL: Durable response to PD-1 blockade in a patient with metastatic pancreatic undifferentiated carcinoma with osteoclast-like giant cells. J Natl Compr Canc Netw. 19:247–252. 2021.PubMed/NCBI View Article : Google Scholar

32 

Flaig TW, Spiess PE, Abern M, Agarwal N, Bangs R, Boorjian SA, Buyyounouski MK, Chan K, Chang S, Friedlander T, et al: NCCN Guidelines® insights: Bladder cancer, version 2.2022. J Natl Compr Canc Netw. 20:866–878. 2022.PubMed/NCBI View Article : Google Scholar

33 

Cathomas R, Lorch A, Bruins HM, Comperat EM, Cowan NC, Efstathiou JA, Fietkau R, Gakis G, Hernandez V, Espinos EL, et al: The 2021 updated European association of urology guidelines on metastatic urothelial carcinoma. Eur Urol. 81:95–103. 2022.PubMed/NCBI View Article : Google Scholar

34 

Grossman HB, Natale RB, Tangen CM, Speights VO, Vogelzang NJ, Trump DL, deVere White RW, Sarosdy MF, Wood DP Jr, Raghavan D, et al: Neoadjuvant chemotherapy plus cystectomy compared with cystectomy alone for locally advanced bladder cancer. N Engl J Med. 349:859–866. 2003.PubMed/NCBI View Article : Google Scholar

35 

Plimack ER, Dunbrack RL, Brennan TA, Andrake MD, Zhou Y, Serebriiskii IG, Slifker M, Alpaugh K, Dulaimi E, Palma N, et al: Defects in DNA repair genes predict response to neoadjuvant cisplatin-based chemotherapy in muscle-invasive bladder cancer. Eur Urol. 68:959–967. 2015.PubMed/NCBI View Article : Google Scholar

36 

Teo MY, Bambury RM, Zabor EC, Jordan E, Al-Ahmadie H, Boyd ME, Bouvier N, Mullane SA, Cha EK, Roper N, et al: DNA damage response and repair gene alterations are associated with improved survival in patients with platinum-treated advanced urothelial carcinoma. Clin Cancer Res. 23:3610–3618. 2017.PubMed/NCBI View Article : Google Scholar

37 

Lee SH, Cheon J, Lee S, Kang B, Kim C, Shim HS, Park YN, Jung S, Choi SH, Choi HJ, et al: ARID1A mutation from targeted next-generation sequencing predicts primary resistance to gemcitabine and cisplatin chemotherapy in advanced biliary tract cancer. Cancer Res Treat. 55:1291–1302. 2023.PubMed/NCBI View Article : Google Scholar

38 

Bagrodia A, Lee BH, Lee W, Cha EK, Sfakianos JP, Iyer G, Pietzak EJ, Gao SP, Zabor EC, Ostrovnaya I, et al: Genetic determinants of cisplatin resistance in patients with advanced germ cell tumors. J Clin Oncol. 34:4000–4007. 2016.PubMed/NCBI View Article : Google Scholar

Related Articles

  • Abstract
  • View
  • Download
  • Twitter
Copy and paste a formatted citation
Spandidos Publications style
Kameyama K, Mizutani K, Yamada T, Sugiyama S, Kamei S, Yokoi S, Matsunaga K, Hirade K, Kato Y, Nishihara H, Nishihara H, et al: Genomic analysis of bladder urothelial carcinoma with osteoclast‑like giant cells: A case report. Mol Clin Oncol 21: 55, 2024.
APA
Kameyama, K., Mizutani, K., Yamada, T., Sugiyama, S., Kamei, S., Yokoi, S. ... Deguchi, T. (2024). Genomic analysis of bladder urothelial carcinoma with osteoclast‑like giant cells: A case report. Molecular and Clinical Oncology, 21, 55. https://doi.org/10.3892/mco.2024.2753
MLA
Kameyama, K., Mizutani, K., Yamada, T., Sugiyama, S., Kamei, S., Yokoi, S., Matsunaga, K., Hirade, K., Kato, Y., Nishihara, H., Ishihara, S., Deguchi, T."Genomic analysis of bladder urothelial carcinoma with osteoclast‑like giant cells: A case report". Molecular and Clinical Oncology 21.2 (2024): 55.
Chicago
Kameyama, K., Mizutani, K., Yamada, T., Sugiyama, S., Kamei, S., Yokoi, S., Matsunaga, K., Hirade, K., Kato, Y., Nishihara, H., Ishihara, S., Deguchi, T."Genomic analysis of bladder urothelial carcinoma with osteoclast‑like giant cells: A case report". Molecular and Clinical Oncology 21, no. 2 (2024): 55. https://doi.org/10.3892/mco.2024.2753
Copy and paste a formatted citation
x
Spandidos Publications style
Kameyama K, Mizutani K, Yamada T, Sugiyama S, Kamei S, Yokoi S, Matsunaga K, Hirade K, Kato Y, Nishihara H, Nishihara H, et al: Genomic analysis of bladder urothelial carcinoma with osteoclast‑like giant cells: A case report. Mol Clin Oncol 21: 55, 2024.
APA
Kameyama, K., Mizutani, K., Yamada, T., Sugiyama, S., Kamei, S., Yokoi, S. ... Deguchi, T. (2024). Genomic analysis of bladder urothelial carcinoma with osteoclast‑like giant cells: A case report. Molecular and Clinical Oncology, 21, 55. https://doi.org/10.3892/mco.2024.2753
MLA
Kameyama, K., Mizutani, K., Yamada, T., Sugiyama, S., Kamei, S., Yokoi, S., Matsunaga, K., Hirade, K., Kato, Y., Nishihara, H., Ishihara, S., Deguchi, T."Genomic analysis of bladder urothelial carcinoma with osteoclast‑like giant cells: A case report". Molecular and Clinical Oncology 21.2 (2024): 55.
Chicago
Kameyama, K., Mizutani, K., Yamada, T., Sugiyama, S., Kamei, S., Yokoi, S., Matsunaga, K., Hirade, K., Kato, Y., Nishihara, H., Ishihara, S., Deguchi, T."Genomic analysis of bladder urothelial carcinoma with osteoclast‑like giant cells: A case report". Molecular and Clinical Oncology 21, no. 2 (2024): 55. https://doi.org/10.3892/mco.2024.2753
Follow us
  • Twitter
  • LinkedIn
  • Facebook
About
  • Spandidos Publications
  • Careers
  • Cookie Policy
  • Privacy Policy
How can we help?
  • Help
  • Live Chat
  • Contact
  • Email to our Support Team