Spandidos Publications Logo
  • About
    • About Spandidos
    • Aims and Scopes
    • Abstracting and Indexing
    • Editorial Policies
    • Reprints and Permissions
    • Job Opportunities
    • Terms and Conditions
    • Contact
  • Journals
    • All Journals
    • Oncology Letters
      • Oncology Letters
      • Information for Authors
      • Editorial Policies
      • Editorial Board
      • Aims and Scope
      • Abstracting and Indexing
      • Bibliographic Information
      • Archive
    • International Journal of Oncology
      • International Journal of Oncology
      • Information for Authors
      • Editorial Policies
      • Editorial Board
      • Aims and Scope
      • Abstracting and Indexing
      • Bibliographic Information
      • Archive
    • Molecular and Clinical Oncology
      • Molecular and Clinical Oncology
      • Information for Authors
      • Editorial Policies
      • Editorial Board
      • Aims and Scope
      • Abstracting and Indexing
      • Bibliographic Information
      • Archive
    • Experimental and Therapeutic Medicine
      • Experimental and Therapeutic Medicine
      • Information for Authors
      • Editorial Policies
      • Editorial Board
      • Aims and Scope
      • Abstracting and Indexing
      • Bibliographic Information
      • Archive
    • International Journal of Molecular Medicine
      • International Journal of Molecular Medicine
      • Information for Authors
      • Editorial Policies
      • Editorial Board
      • Aims and Scope
      • Abstracting and Indexing
      • Bibliographic Information
      • Archive
    • Biomedical Reports
      • Biomedical Reports
      • Information for Authors
      • Editorial Policies
      • Editorial Board
      • Aims and Scope
      • Abstracting and Indexing
      • Bibliographic Information
      • Archive
    • Oncology Reports
      • Oncology Reports
      • Information for Authors
      • Editorial Policies
      • Editorial Board
      • Aims and Scope
      • Abstracting and Indexing
      • Bibliographic Information
      • Archive
    • Molecular Medicine Reports
      • Molecular Medicine Reports
      • Information for Authors
      • Editorial Policies
      • Editorial Board
      • Aims and Scope
      • Abstracting and Indexing
      • Bibliographic Information
      • Archive
    • World Academy of Sciences Journal
      • World Academy of Sciences Journal
      • Information for Authors
      • Editorial Policies
      • Editorial Board
      • Aims and Scope
      • Abstracting and Indexing
      • Bibliographic Information
      • Archive
    • International Journal of Functional Nutrition
      • International Journal of Functional Nutrition
      • Information for Authors
      • Editorial Policies
      • Editorial Board
      • Aims and Scope
      • Abstracting and Indexing
      • Bibliographic Information
      • Archive
    • International Journal of Epigenetics
      • International Journal of Epigenetics
      • Information for Authors
      • Editorial Policies
      • Editorial Board
      • Aims and Scope
      • Abstracting and Indexing
      • Bibliographic Information
      • Archive
    • Medicine International
      • Medicine International
      • Information for Authors
      • Editorial Policies
      • Editorial Board
      • Aims and Scope
      • Abstracting and Indexing
      • Bibliographic Information
      • Archive
  • Articles
  • Information
    • Information for Authors
    • Information for Reviewers
    • Information for Librarians
    • Information for Advertisers
    • Conferences
  • Language Editing
Spandidos Publications Logo
  • About
    • About Spandidos
    • Aims and Scopes
    • Abstracting and Indexing
    • Editorial Policies
    • Reprints and Permissions
    • Job Opportunities
    • Terms and Conditions
    • Contact
  • Journals
    • All Journals
    • Biomedical Reports
      • Information for Authors
      • Editorial Policies
      • Editorial Board
      • Aims and Scope
      • Abstracting and Indexing
      • Bibliographic Information
      • Archive
    • Experimental and Therapeutic Medicine
      • Information for Authors
      • Editorial Policies
      • Editorial Board
      • Aims and Scope
      • Abstracting and Indexing
      • Bibliographic Information
      • Archive
    • International Journal of Epigenetics
      • Information for Authors
      • Editorial Policies
      • Editorial Board
      • Aims and Scope
      • Abstracting and Indexing
      • Bibliographic Information
      • Archive
    • International Journal of Functional Nutrition
      • Information for Authors
      • Editorial Policies
      • Editorial Board
      • Aims and Scope
      • Abstracting and Indexing
      • Bibliographic Information
      • Archive
    • International Journal of Molecular Medicine
      • Information for Authors
      • Editorial Policies
      • Editorial Board
      • Aims and Scope
      • Abstracting and Indexing
      • Bibliographic Information
      • Archive
    • International Journal of Oncology
      • Information for Authors
      • Editorial Policies
      • Editorial Board
      • Aims and Scope
      • Abstracting and Indexing
      • Bibliographic Information
      • Archive
    • Medicine International
      • Information for Authors
      • Editorial Policies
      • Editorial Board
      • Aims and Scope
      • Abstracting and Indexing
      • Bibliographic Information
      • Archive
    • Molecular and Clinical Oncology
      • Information for Authors
      • Editorial Policies
      • Editorial Board
      • Aims and Scope
      • Abstracting and Indexing
      • Bibliographic Information
      • Archive
    • Molecular Medicine Reports
      • Information for Authors
      • Editorial Policies
      • Editorial Board
      • Aims and Scope
      • Abstracting and Indexing
      • Bibliographic Information
      • Archive
    • Oncology Letters
      • Information for Authors
      • Editorial Policies
      • Editorial Board
      • Aims and Scope
      • Abstracting and Indexing
      • Bibliographic Information
      • Archive
    • Oncology Reports
      • Information for Authors
      • Editorial Policies
      • Editorial Board
      • Aims and Scope
      • Abstracting and Indexing
      • Bibliographic Information
      • Archive
    • World Academy of Sciences Journal
      • Information for Authors
      • Editorial Policies
      • Editorial Board
      • Aims and Scope
      • Abstracting and Indexing
      • Bibliographic Information
      • Archive
  • Articles
  • Information
    • For Authors
    • For Reviewers
    • For Librarians
    • For Advertisers
    • Conferences
  • Language Editing
Login Register Submit
  • This site uses cookies
  • You can change your cookie settings at any time by following the instructions in our Cookie Policy. To find out more, you may read our Privacy Policy.

    I agree
Search articles by DOI, keyword, author or affiliation
Search
Advanced Search
presentation
Molecular and Clinical Oncology
Join Editorial Board Propose a Special Issue
Print ISSN: 2049-9450 Online ISSN: 2049-9469
Journal Cover
April-2025 Volume 22 Issue 4

Full Size Image

Sign up for eToc alerts
Recommend to Library

Journals

International Journal of Molecular Medicine

International Journal of Molecular Medicine

International Journal of Molecular Medicine is an international journal devoted to molecular mechanisms of human disease.

International Journal of Oncology

International Journal of Oncology

International Journal of Oncology is an international journal devoted to oncology research and cancer treatment.

Molecular Medicine Reports

Molecular Medicine Reports

Covers molecular medicine topics such as pharmacology, pathology, genetics, neuroscience, infectious diseases, molecular cardiology, and molecular surgery.

Oncology Reports

Oncology Reports

Oncology Reports is an international journal devoted to fundamental and applied research in Oncology.

Experimental and Therapeutic Medicine

Experimental and Therapeutic Medicine

Experimental and Therapeutic Medicine is an international journal devoted to laboratory and clinical medicine.

Oncology Letters

Oncology Letters

Oncology Letters is an international journal devoted to Experimental and Clinical Oncology.

Biomedical Reports

Biomedical Reports

Explores a wide range of biological and medical fields, including pharmacology, genetics, microbiology, neuroscience, and molecular cardiology.

Molecular and Clinical Oncology

Molecular and Clinical Oncology

International journal addressing all aspects of oncology research, from tumorigenesis and oncogenes to chemotherapy and metastasis.

World Academy of Sciences Journal

World Academy of Sciences Journal

Multidisciplinary open-access journal spanning biochemistry, genetics, neuroscience, environmental health, and synthetic biology.

International Journal of Functional Nutrition

International Journal of Functional Nutrition

Open-access journal combining biochemistry, pharmacology, immunology, and genetics to advance health through functional nutrition.

International Journal of Epigenetics

International Journal of Epigenetics

Publishes open-access research on using epigenetics to advance understanding and treatment of human disease.

Medicine International

Medicine International

An International Open Access Journal Devoted to General Medicine.

Journal Cover
April-2025 Volume 22 Issue 4

Full Size Image

Sign up for eToc alerts
Recommend to Library

  • Article
  • Citations
    • Cite This Article
    • Download Citation
    • Create Citation Alert
    • Remove Citation Alert
    • Cited By
  • Similar Articles
    • Related Articles (in Spandidos Publications)
    • Similar Articles (Google Scholar)
    • Similar Articles (PubMed)
  • Download PDF
  • Download XML
  • View XML
Article Open Access

Correlation between BRCA1 expression and the advanced stage of triple‑negative breast cancer

  • Authors:
    • Irianiwati Irianiwati
    • Thela Calcarina Gurky
    • Sumadi Lukman Anwar
    • Rheza Gandi Bawono
    • Ery Kus Dwianingsih
  • View Affiliations / Copyright

    Affiliations: Department of Anatomical Pathology, Faculty of Medicine, Public Health and Nursing, University Gadjah Mada/Sardjito General Hospital, Sekip, Yogyakarta 55281, Indonesia, Surgery Department, Faculty of Medicine, Public Health and Nursing, University Gadjah Mada/Sardjito General Hospital, Sekip, Yogyakarta 55281, Indonesia
    Copyright: © Irianiwati et al. This is an open access article distributed under the terms of Creative Commons Attribution License.
  • Article Number: 32
    |
    Published online on: January 30, 2025
       https://doi.org/10.3892/mco.2025.2827
  • Expand metrics +
Metrics: Total Views: 0 (Spandidos Publications: | PMC Statistics: )
Metrics: Total PDF Downloads: 0 (Spandidos Publications: | PMC Statistics: )
Cited By (CrossRef): 0 citations Loading Articles...

This article is mentioned in:



Abstract

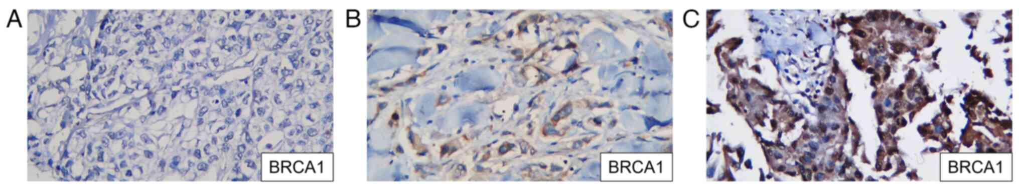
Triple‑negative breast cancer (TNBC) is highly aggressive and has a poor prognosis. TNBC is commonly reported in young women and often relapses quickly, exhibiting aggressive characteristics. It is also linked to a loss of function of BRCA1. Patients with BRCA mutations require different treatments because this tumor type is sensitive to platinum‑based chemotherapy regimens and inhibitors of the poly (ADP ribose) polymerase. The present study aimed to investigate the prognostic significance of BRCA1 expression in Indonesian patients with TNBC. The study included 57 patients with TNBC. Epidermal growth factor receptor and cytokeratin 5/6 immunostaining were used to classify TNBC into basal‑like and non‑basal‑like subtypes. The BRCA1 expression was also determined using immunohistochemistry. Pearson's Chi‑square analysis and Fisher's exact test were used to examine correlations between variables. Kaplan‑Meier method was used to analyze the survival rate. Patients with TNBC had an average age of 55.18±10.014; most of them were ≥50 years‑old, had high‑grade tumors (75.4%), and were in the advanced stages of cancer (82.5%). The majority had no specific type of cancer (78.9%), received non‑platinum‑based therapies (64.9%), had basal‑like subtypes (72.9%), and were still alive (56.1%). Negative BRCA1 expression was higher (52.6%) than positive expression (47.4%) and correlated with advanced cancer stage (P=0.035). However, the BRCA1 expression was not correlated with other clinicopathological variables and the types of therapy. Survival analysis showed that the stage and BRCA1 expression acted as insignificant prognostic factors in patients with TNBC (P=0.091 and P=0.150). In the present study, negative BRCA1 expression was correlated with advanced stage but did not act as a prognostic factor in Indonesian patients with TNBC.
View Figures

Figure 1

Figure 2

Figure 3

Figure 4

View References

1 

Boyle P: Triple-negative breast cancer: Epidemiological considerations and recommendations. Ann Oncol. 23 (Suppl 6):vi7–vi12. 2012.PubMed/NCBI View Article : Google Scholar

2 

Yeh J, Chun J, Schwartz S, Wang A, Kern E, Guth AA, Axelrod D, Shapiro R and Schnabel F: Clinical characteristics in patients with triple negative breast cancer. Int J Breast Cancer. 2017(1796145)2017.PubMed/NCBI View Article : Google Scholar

3 

Widodo I, Dwianingsih EK, Aryandono T and Soeripto S: Clinicopathological characteristic and prognostic significance of Indonesian triple-negative breast cancer. Indones Biomed J. 11:286–292. 2019.

4 

Jang MH, Kim HJ, Kim EJ, Chung YR and Park SY: Expression of epithelial-mesenchymal transition-related markers in triple-negative breast cancer: ZEB1 as a potential biomarker for poor clinical outcome. Hum Pathol. 46:1267–1274. 2015.PubMed/NCBI View Article : Google Scholar

5 

Fedele M, Cerchia L and Chiappetta G: The epithelial-to-mesenchymal transition in breast cancer: Focus on basal-like carcinomas. Cancers (Basel). 9(134)2017.PubMed/NCBI View Article : Google Scholar

6 

Han J, Lim W, You D, Jeong Y, Kim S, Lee JE, Shin TH, Lee G and Park S: Chemoresistance in the human triple-negative breast cancer cell line MDA-MB-231 induced by doxorubicin gradient is associated with epigenetic alterations in histone deacetylase. J Oncol. 2019(1345026)2019.PubMed/NCBI View Article : Google Scholar

7 

Bou Zerdan M, Ghorayeb T, Saliba F, Allam S, Bou Zerdan M, Yaghi M, Bilani N, Jaafar R and Nahleh Z: Triple negative breast cancer: Updates on classification and treatment in 2021. Cancers (Basel). 14(1253)2022.PubMed/NCBI View Article : Google Scholar

8 

Yamamoto Y, Ibusuki M, Nakano M, Kawasoe T, Hiki R and Iwase H: Clinical significance of basal-like subtype in triple-negative breast cancer. Breast Cancer. 16:260–267. 2009.PubMed/NCBI View Article : Google Scholar

9 

Toft DJ and Cryns VL: Minireview: Basal-like breast cancer: From molecular profiles to targeted therapies. Mol Endocrinol. 25:199–211. 2011.PubMed/NCBI View Article : Google Scholar

10 

Badowska-Kozakiewicz AM and Budzik MP: Immunohistochemical characteristics of basal-like breast cancer. Contemp Oncol (Pozn). 20:436–443. 2016.PubMed/NCBI View Article : Google Scholar

11 

Bao B, Mitrea C, Wijesinghe P, Marchetti L, Girsch E, Farr RL, Boerner JL, Mohammad R, Dyson G, Terlecky SR, et al: Treating triple negative breast cancer cells with erlotinib plus a select antioxidant overcomes drug resistance by targeting cancer cell heterogeneity. Sci Rep. 7(44125)2017.PubMed/NCBI View Article : Google Scholar

12 

Jung J, Kang E, Gwak JM, Seo AN, Park SY, Lee AS, Baek H, Chae S, Kim EK and Kim SW: Association between basal-like phenotype and BRCA1/2 germline mutations in Korean breast cancer patients. Curr Oncol. 23:298–303. 2016.PubMed/NCBI View Article : Google Scholar

13 

Maksimenko J, Irmejs A, Nakazawa-Miklasevica M, Melbarde-Gorkusa I, Trofimovics G, Gardovskis J and Miklasevics E: Prognostic role of BRCA1 mutation in patients with triple-negative breast cancer. Oncol Lett. 7:278–284. 2014.PubMed/NCBI View Article : Google Scholar

14 

Botti G, Cantile M, Collina F, Cerrone M, Sarno S, Anniciello A and Di Bonito M: Morphological and pathological features of basal-like breast cancer. Transl Cancer Res. 8 (Suppl 5):S503–S509. 2019.PubMed/NCBI View Article : Google Scholar

15 

Hussein IA, Ahmed ST, Hameedi AD, Naji RZ, Alharbawi L, Alkhaytt M and Pity IS: Immunohistochemical expression of BRCA1 protein, ER, PR and Her2/neu in breast cancer: A clinicopathological study. Asian Pac J Cancer Prev. 21:1025–1029. 2020.PubMed/NCBI View Article : Google Scholar

16 

Abulkhair O, Moghraby JS, Badri M and Alkushi A: Clinicopathologic features and prognosis of triple-negative breast cancer in patients 40 years of age and younger in Saudi Arabia. Hematol Oncol Stem Cell Ther. 5:101–106. 2012.PubMed/NCBI View Article : Google Scholar

17 

McGuire A, Brown JA, Malone C, McLaughlin R and Kerin MJ: Effects of age on the detection and management of breast cancer. Cancers (Basel). 7:908–929. 2015.PubMed/NCBI View Article : Google Scholar

18 

Tzikas AK, Nemes S and Linderholm BK: A comparison between young and old patients with triple-negative breast cancer: Biology, survival and metastatic patterns. Breast Cancer Res Treat. 182:643–654. 2020.PubMed/NCBI View Article : Google Scholar

19 

Badve S, Dabbs DJ, Schnitt SJ, Baehner FL, Decker T, Eusebi V, Fox SB, Ichihara S, Jacquemier J, Lakhani SR, et al: Basal-like and triple-negative breast cancers: A critical review with an emphasis on the implications for pathologists and oncologists. Mod Pathol. 24:157–167. 2011.PubMed/NCBI View Article : Google Scholar

20 

Leidy J, Khan A and Kandil D: Basal-like breast cancer: Update on clinicopathologic, immunohistochemical, and molecular features. Arch Pathol Lab Med. 138:37–43. 2014.PubMed/NCBI View Article : Google Scholar

21 

Guterson B and Eaves CJ: Basal-like breast cancers: From pathology to biology and back again. Stem Cell Reports. 10:1676–1686. 2018.PubMed/NCBI View Article : Google Scholar

22 

Kim H, Cho DY, Choi DH, Choi SY, Shin I, Park W, Huh SJ, Han SH, Lee MH, Ahn SH, et al: Characteristics and spectrum of BRCA1 and BRCA2 mutations in 3,922 Korean patients with breast and ovarian cancer. Breast Cancer Res Treat. 134:1315–1326. 2012.PubMed/NCBI View Article : Google Scholar

23 

Kwong A, Wong CHN, Suen DTK, Co M, Kurian AW, West DW and Ford JM: Accuracy of BRCA1/2 mutation prediction models for different ethnicities and genders: Experience in a southern Chinese cohort. World J Surg. 36:702–713. 2012.PubMed/NCBI View Article : Google Scholar

24 

Sugano K, Nakamura S, Ando J, Takayama S, Kamata H, Sekiguchi I, Ubukata M, Kodama T, Arai M, Kasumi F, et al: Cross-sectional analysis of germline BRCA1 and BRCA2 mutations in Japanese patients suspected to have hereditary breast/ovarian cancer. Cancer Sci. 99:1967–1976. 2008.PubMed/NCBI View Article : Google Scholar

25 

Hedau S, Batra M, Singh UR, Bharti AC, Ray A and Das BC: Expression of BRCA1 and BRCA2 proteins and their correlation with clinical staging in breast cancer. J Cancer Res Ther. 11:158–163. 2015.PubMed/NCBI View Article : Google Scholar

26 

Shin S, Kim Y, Chul Oh S, Yu N, Lee ST, Rak Choi J and Lee KA: Validation and optimization of the Ion Torrent S5 XL sequencer and Oncomine workflow for BRCA1 and BRCA2 genetic testing. Oncotarget. 8:34858–34866. 2017.PubMed/NCBI View Article : Google Scholar

27 

Mahmoud AM, Macias V, Al-Alem U, Deaton RJ, Kadjaksy-Balla A, Gann PH and Rauscher GH: BRCA1 protein expression and subcellular localization in primary breast cancer: Automated digital microscopy analysis of tissue microarrays. PLoS One. 12(e0184385)2017.PubMed/NCBI View Article : Google Scholar

28 

Guney Eskiler G, Cecener G, Egeli U and Tunca B: Triple negative breast cancer: New therapeutic approaches and BRCA status. APMIS. 126:371–379. 2018.PubMed/NCBI View Article : Google Scholar

29 

Costa REARD, Oliveira FTR, Araújo ALN and Vieira SC: Prognostic factors in triple-negative breast cancer: A retrospective cohort. Rev Assoc Med Bras (1992). 67:950–957. 2021.PubMed/NCBI View Article : Google Scholar

30 

Chen B, Zhang X, Liu Y and Wang C: Prognostic disparities in young patients based on breast cancer subtype: A population-based study from the SEER database. Medicine (Baltimore). 102(e33416)2023.PubMed/NCBI View Article : Google Scholar

Related Articles

  • Abstract
  • View
  • Download
  • Twitter
Copy and paste a formatted citation
Spandidos Publications style
Irianiwati I, Gurky TC, Anwar SL, Bawono RG and Dwianingsih EK: Correlation between BRCA1 expression and the advanced stage of triple‑negative breast cancer. Mol Clin Oncol 22: 32, 2025.
APA
Irianiwati, I., Gurky, T.C., Anwar, S.L., Bawono, R.G., & Dwianingsih, E.K. (2025). Correlation between BRCA1 expression and the advanced stage of triple‑negative breast cancer. Molecular and Clinical Oncology, 22, 32. https://doi.org/10.3892/mco.2025.2827
MLA
Irianiwati, I., Gurky, T. C., Anwar, S. L., Bawono, R. G., Dwianingsih, E. K."Correlation between BRCA1 expression and the advanced stage of triple‑negative breast cancer". Molecular and Clinical Oncology 22.4 (2025): 32.
Chicago
Irianiwati, I., Gurky, T. C., Anwar, S. L., Bawono, R. G., Dwianingsih, E. K."Correlation between BRCA1 expression and the advanced stage of triple‑negative breast cancer". Molecular and Clinical Oncology 22, no. 4 (2025): 32. https://doi.org/10.3892/mco.2025.2827
Copy and paste a formatted citation
x
Spandidos Publications style
Irianiwati I, Gurky TC, Anwar SL, Bawono RG and Dwianingsih EK: Correlation between BRCA1 expression and the advanced stage of triple‑negative breast cancer. Mol Clin Oncol 22: 32, 2025.
APA
Irianiwati, I., Gurky, T.C., Anwar, S.L., Bawono, R.G., & Dwianingsih, E.K. (2025). Correlation between BRCA1 expression and the advanced stage of triple‑negative breast cancer. Molecular and Clinical Oncology, 22, 32. https://doi.org/10.3892/mco.2025.2827
MLA
Irianiwati, I., Gurky, T. C., Anwar, S. L., Bawono, R. G., Dwianingsih, E. K."Correlation between BRCA1 expression and the advanced stage of triple‑negative breast cancer". Molecular and Clinical Oncology 22.4 (2025): 32.
Chicago
Irianiwati, I., Gurky, T. C., Anwar, S. L., Bawono, R. G., Dwianingsih, E. K."Correlation between BRCA1 expression and the advanced stage of triple‑negative breast cancer". Molecular and Clinical Oncology 22, no. 4 (2025): 32. https://doi.org/10.3892/mco.2025.2827
Follow us
  • Twitter
  • LinkedIn
  • Facebook
About
  • Spandidos Publications
  • Careers
  • Cookie Policy
  • Privacy Policy
How can we help?
  • Help
  • Live Chat
  • Contact
  • Email to our Support Team