Spandidos Publications Logo
  • About
    • About Spandidos
    • Aims and Scopes
    • Abstracting and Indexing
    • Editorial Policies
    • Reprints and Permissions
    • Job Opportunities
    • Terms and Conditions
    • Contact
  • Journals
    • All Journals
    • Oncology Letters
      • Oncology Letters
      • Information for Authors
      • Editorial Policies
      • Editorial Board
      • Aims and Scope
      • Abstracting and Indexing
      • Bibliographic Information
      • Archive
    • International Journal of Oncology
      • International Journal of Oncology
      • Information for Authors
      • Editorial Policies
      • Editorial Board
      • Aims and Scope
      • Abstracting and Indexing
      • Bibliographic Information
      • Archive
    • Molecular and Clinical Oncology
      • Molecular and Clinical Oncology
      • Information for Authors
      • Editorial Policies
      • Editorial Board
      • Aims and Scope
      • Abstracting and Indexing
      • Bibliographic Information
      • Archive
    • Experimental and Therapeutic Medicine
      • Experimental and Therapeutic Medicine
      • Information for Authors
      • Editorial Policies
      • Editorial Board
      • Aims and Scope
      • Abstracting and Indexing
      • Bibliographic Information
      • Archive
    • International Journal of Molecular Medicine
      • International Journal of Molecular Medicine
      • Information for Authors
      • Editorial Policies
      • Editorial Board
      • Aims and Scope
      • Abstracting and Indexing
      • Bibliographic Information
      • Archive
    • Biomedical Reports
      • Biomedical Reports
      • Information for Authors
      • Editorial Policies
      • Editorial Board
      • Aims and Scope
      • Abstracting and Indexing
      • Bibliographic Information
      • Archive
    • Oncology Reports
      • Oncology Reports
      • Information for Authors
      • Editorial Policies
      • Editorial Board
      • Aims and Scope
      • Abstracting and Indexing
      • Bibliographic Information
      • Archive
    • Molecular Medicine Reports
      • Molecular Medicine Reports
      • Information for Authors
      • Editorial Policies
      • Editorial Board
      • Aims and Scope
      • Abstracting and Indexing
      • Bibliographic Information
      • Archive
    • World Academy of Sciences Journal
      • World Academy of Sciences Journal
      • Information for Authors
      • Editorial Policies
      • Editorial Board
      • Aims and Scope
      • Abstracting and Indexing
      • Bibliographic Information
      • Archive
    • International Journal of Functional Nutrition
      • International Journal of Functional Nutrition
      • Information for Authors
      • Editorial Policies
      • Editorial Board
      • Aims and Scope
      • Abstracting and Indexing
      • Bibliographic Information
      • Archive
    • International Journal of Epigenetics
      • International Journal of Epigenetics
      • Information for Authors
      • Editorial Policies
      • Editorial Board
      • Aims and Scope
      • Abstracting and Indexing
      • Bibliographic Information
      • Archive
    • Medicine International
      • Medicine International
      • Information for Authors
      • Editorial Policies
      • Editorial Board
      • Aims and Scope
      • Abstracting and Indexing
      • Bibliographic Information
      • Archive
  • Articles
  • Information
    • Information for Authors
    • Information for Reviewers
    • Information for Librarians
    • Information for Advertisers
    • Conferences
  • Language Editing
Spandidos Publications Logo
  • About
    • About Spandidos
    • Aims and Scopes
    • Abstracting and Indexing
    • Editorial Policies
    • Reprints and Permissions
    • Job Opportunities
    • Terms and Conditions
    • Contact
  • Journals
    • All Journals
    • Biomedical Reports
      • Information for Authors
      • Editorial Policies
      • Editorial Board
      • Aims and Scope
      • Abstracting and Indexing
      • Bibliographic Information
      • Archive
    • Experimental and Therapeutic Medicine
      • Information for Authors
      • Editorial Policies
      • Editorial Board
      • Aims and Scope
      • Abstracting and Indexing
      • Bibliographic Information
      • Archive
    • International Journal of Epigenetics
      • Information for Authors
      • Editorial Policies
      • Editorial Board
      • Aims and Scope
      • Abstracting and Indexing
      • Bibliographic Information
      • Archive
    • International Journal of Functional Nutrition
      • Information for Authors
      • Editorial Policies
      • Editorial Board
      • Aims and Scope
      • Abstracting and Indexing
      • Bibliographic Information
      • Archive
    • International Journal of Molecular Medicine
      • Information for Authors
      • Editorial Policies
      • Editorial Board
      • Aims and Scope
      • Abstracting and Indexing
      • Bibliographic Information
      • Archive
    • International Journal of Oncology
      • Information for Authors
      • Editorial Policies
      • Editorial Board
      • Aims and Scope
      • Abstracting and Indexing
      • Bibliographic Information
      • Archive
    • Medicine International
      • Information for Authors
      • Editorial Policies
      • Editorial Board
      • Aims and Scope
      • Abstracting and Indexing
      • Bibliographic Information
      • Archive
    • Molecular and Clinical Oncology
      • Information for Authors
      • Editorial Policies
      • Editorial Board
      • Aims and Scope
      • Abstracting and Indexing
      • Bibliographic Information
      • Archive
    • Molecular Medicine Reports
      • Information for Authors
      • Editorial Policies
      • Editorial Board
      • Aims and Scope
      • Abstracting and Indexing
      • Bibliographic Information
      • Archive
    • Oncology Letters
      • Information for Authors
      • Editorial Policies
      • Editorial Board
      • Aims and Scope
      • Abstracting and Indexing
      • Bibliographic Information
      • Archive
    • Oncology Reports
      • Information for Authors
      • Editorial Policies
      • Editorial Board
      • Aims and Scope
      • Abstracting and Indexing
      • Bibliographic Information
      • Archive
    • World Academy of Sciences Journal
      • Information for Authors
      • Editorial Policies
      • Editorial Board
      • Aims and Scope
      • Abstracting and Indexing
      • Bibliographic Information
      • Archive
  • Articles
  • Information
    • For Authors
    • For Reviewers
    • For Librarians
    • For Advertisers
    • Conferences
  • Language Editing
Login Register Submit
  • This site uses cookies
  • You can change your cookie settings at any time by following the instructions in our Cookie Policy. To find out more, you may read our Privacy Policy.

    I agree
Search articles by DOI, keyword, author or affiliation
Search
Advanced Search
presentation
Molecular and Clinical Oncology
Join Editorial Board Propose a Special Issue
Print ISSN: 2049-9450 Online ISSN: 2049-9469
Journal Cover
May-2025 Volume 22 Issue 5

Full Size Image

Sign up for eToc alerts
Recommend to Library

Journals

International Journal of Molecular Medicine

International Journal of Molecular Medicine

International Journal of Molecular Medicine is an international journal devoted to molecular mechanisms of human disease.

International Journal of Oncology

International Journal of Oncology

International Journal of Oncology is an international journal devoted to oncology research and cancer treatment.

Molecular Medicine Reports

Molecular Medicine Reports

Covers molecular medicine topics such as pharmacology, pathology, genetics, neuroscience, infectious diseases, molecular cardiology, and molecular surgery.

Oncology Reports

Oncology Reports

Oncology Reports is an international journal devoted to fundamental and applied research in Oncology.

Experimental and Therapeutic Medicine

Experimental and Therapeutic Medicine

Experimental and Therapeutic Medicine is an international journal devoted to laboratory and clinical medicine.

Oncology Letters

Oncology Letters

Oncology Letters is an international journal devoted to Experimental and Clinical Oncology.

Biomedical Reports

Biomedical Reports

Explores a wide range of biological and medical fields, including pharmacology, genetics, microbiology, neuroscience, and molecular cardiology.

Molecular and Clinical Oncology

Molecular and Clinical Oncology

International journal addressing all aspects of oncology research, from tumorigenesis and oncogenes to chemotherapy and metastasis.

World Academy of Sciences Journal

World Academy of Sciences Journal

Multidisciplinary open-access journal spanning biochemistry, genetics, neuroscience, environmental health, and synthetic biology.

International Journal of Functional Nutrition

International Journal of Functional Nutrition

Open-access journal combining biochemistry, pharmacology, immunology, and genetics to advance health through functional nutrition.

International Journal of Epigenetics

International Journal of Epigenetics

Publishes open-access research on using epigenetics to advance understanding and treatment of human disease.

Medicine International

Medicine International

An International Open Access Journal Devoted to General Medicine.

Journal Cover
May-2025 Volume 22 Issue 5

Full Size Image

Sign up for eToc alerts
Recommend to Library

  • Article
  • Citations
    • Cite This Article
    • Download Citation
    • Create Citation Alert
    • Remove Citation Alert
    • Cited By
  • Similar Articles
    • Related Articles (in Spandidos Publications)
    • Similar Articles (Google Scholar)
    • Similar Articles (PubMed)
  • Download PDF
  • Download XML
  • View XML
Case Report Open Access

Treatment strategy for maxillary gingival metastasis arising from gastric adenocarcinoma: A case report and literature review

  • Authors:
    • Hitoshi Miyashita
    • Masaki Sugazaki
    • Haruka Saito
    • Chieko Kudo
    • Munenori Nagao
    • Yojiro Ishikawa
    • Satoshi Teramura
    • Fumiaki Shinohara
    • Kazuhiro Murakami
  • View Affiliations / Copyright

    Affiliations: Department of Dentistry and Oral Surgery, Tohoku Medical and Pharmaceutical University Hospital, Sendai 983‑8512, Japan, Department of Pathology, Tohoku Medical and Pharmaceutical University Hospital, Sendai 983‑8512, Japan, Department of Medical Oncology, Tohoku Medical and Pharmaceutical University Hospital, Sendai 983‑8512, Japan, Department of Supportive Medicine and Care for Cancer, Tohoku Medical and Pharmaceutical University Hospital, Sendai 983‑8512, Japan, Department of Radiology, Tohoku Medical and Pharmaceutical University Hospital, Sendai 983‑8512, Japan
    Copyright: © Miyashita et al. This is an open access article distributed under the terms of Creative Commons Attribution License.
  • Article Number: 41
    |
    Published online on: March 11, 2025
       https://doi.org/10.3892/mco.2025.2836
  • Expand metrics +
Metrics: Total Views: 0 (Spandidos Publications: | PMC Statistics: )
Metrics: Total PDF Downloads: 0 (Spandidos Publications: | PMC Statistics: )
Cited By (CrossRef): 0 citations Loading Articles...

This article is mentioned in:



Abstract

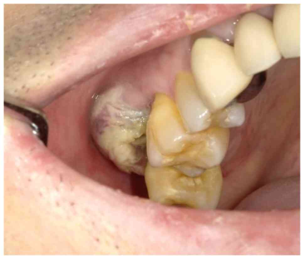
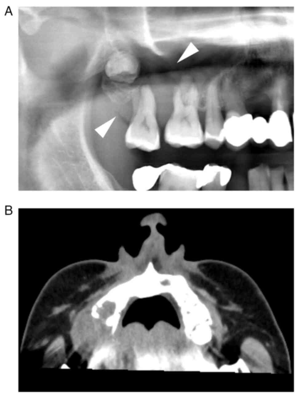
Gastric cancer metastasizing to the gingiva is rare. The present study reports a case of maxillary gingival metastasis arising from gastric cancer treated with chemotherapy, surgical excision and radiotherapy. A 55‑year‑old male, who received chemotherapy with trifluridine/tipiracil for treatment of refractory gastric cancer with multiple metastasis, was admitted to the Department of Dentistry and Oral Surgery, Tohoku Medical and Pharmaceutical University Hospital (Sendai, Japan) in December 2023 because of the right side of the maxillary gingival mass presenting with protruding growth. The size of the tumor was ~20 mm. Tumor excision was performed followed by histopathological diagnosis which revealed a metastatic gingival tumor originating from gastric adenocarcinoma. Consequently, the patient underwent a palliative Radiation Therapy Oncology Group 8502 ‘QUAD shot’ regimen. Although there was no progression of oral lesion, the patient died 3 months after diagnosis of gingival metastasis. The present study reviewed previous case records of gingival metastasis originating from gastric cancer and summarized treatment modalities along with clinicopathological association. In conclusion, the prognosis of patients with metastases to the oral region (MOR) is usually unfavorable. For the management of MOR, a multidisciplinary team approach is necessary to develop appropriate treatment strategies. If there are possibilities to improve prognosis or quality of life, the consideration of combination therapy with radical or palliative intent is warranted.
View Figures

Figure 1

Figure 2

Figure 3

Figure 4

View References

1 

Hirshberg A and Buchner A: Metastatic tumours to the oral region. An overview. Eur J Cancer Part B Oral Oncol. 31B:355–360. 1995.PubMed/NCBI View Article : Google Scholar

2 

Hirshberg A, Shnaiderman-Shapiro A, Kaplan I and Berger R: Metastatic tumours to the oral cavity-pathogenesis and analysis of 673 cases. Oral Oncol. 44:743–752. 2008.PubMed/NCBI View Article : Google Scholar

3 

Hirshberg A, Berger R, Allon I and Kaplan I: Metastatic tumors to the jaws and mouth. Head Neck Pathol. 8:463–474. 2014.PubMed/NCBI View Article : Google Scholar

4 

Kirschnick LB, Schuch LF, Cademartori MG and Vasconcelos ACU: Metastasis to the oral and maxillofacial region: A systematic review. Oral Dis. 28:23–32. 2022.PubMed/NCBI View Article : Google Scholar

5 

Shimono H, Hirai H, Oikawa Y, Mochizuki Y, Kuroshima T, Tomioka H, Kayamori K, Ikeda T and Harada H: Metastatic tumors in the oral region: A retrospective chart review of clinical characteristics and prognosis. Oral Surg Oral Med Oral Pathol Oral Radiol. 132:648–652. 2021.PubMed/NCBI View Article : Google Scholar

6 

Kirschnick LB, Schuch LF, Gondak R, Rivero ERC, Gomes APN, Etges A, Tarquinio SBC, Mesquita RA, Caldeira PC, da Costa AAS, et al: Clinicopathological features of metastasis to the oral and maxillofacial region-multicenter study. Head Neck Pathol. 17:910–920. 2023.PubMed/NCBI View Article : Google Scholar

7 

Kajita T, Miyashita H, Kitamura J, Kouketsu A, Kumamoto H and Takahashi T: Pulmonary pleomorphic carcinoma metastasizing to the anterior mandibular gingiva: A case report and literature review. Int J Surg Case Rep. 98(107499)2022.PubMed/NCBI View Article : Google Scholar

8 

Zachariades N: Neoplasms metastatic to the mouth, jaws and surrounding tissues. J Craniomaxillofac Surg. 17:283–290. 1989.PubMed/NCBI View Article : Google Scholar

9 

Maschino F, Guillet J, Curien R, Dolivet G and Bravetti P: Oral metastasis: A report of 23 cases. Int J Oral Maxillofac Surg. 42:164–168. 2013.PubMed/NCBI View Article : Google Scholar

10 

Jham BC, Salama AR, McClure SA and Ord RA: Metastatic tumors to the oral cavity: A clinical study of 18 cases. Head Neck Pathol. 5:355–358. 2011.PubMed/NCBI View Article : Google Scholar

11 

Owosho AA, Xu B, Kadempour A, Yom SK, Randazzo J, Ghossein RA, Huryn JM and Estilo CL: Metastatic solid tumors to the jaw and oral soft tissue: a retrospective clinical analysis of 44 patients from a single institution. J Craniomaxillofac Surg. 44:1047–1053. 2016.PubMed/NCBI View Article : Google Scholar

12 

Thrift AP, Wenker TN and El-Serag HB: Global burden of gastric cancer: Epidemiological trends, risk factors, screening and prevention. Nat Rev Clin Oncol. 20:338–349. 2023.PubMed/NCBI View Article : Google Scholar

13 

Lund BA, Moertel CG and Gibilisco JA: Metastasis of gastric adenocarcinoma to oral mucosa. Oral Surg Oral Med Oral Pathol. 25:805–809. 1968.PubMed/NCBI View Article : Google Scholar

14 

Astacio JN and Alfaro C: Oral mucosa metastasis from gastric adenocarcinoma. Oral Surg Oral Med Oral Pathol. 28:859–861. 1969.PubMed/NCBI View Article : Google Scholar

15 

Ohba T, Nakagawa E and Nakata H: Metastatic tumor of the gum. Jpn J Cancer Clin. 20:692–696. 1974.

16 

Lopez N and Lobos N: Metastatic adenocarcinoma of gingiva. Report of a case. J Periodontol. 47:358–360. 1976.PubMed/NCBI View Article : Google Scholar

17 

Osaki T, Ryoke K and Hamada T: Metastatic adenocarcinoma to the oral cavity: report of two cases and review of literature. Jpn J Stomatol Soc. 27:173–185. 1978.

18 

Tojyo Y, Saito K, Aihara H, Tuda Y and Nisimaru Y: The metastasis of gastric adenocarcinoma to the gingiva of the mandible-review of the Japanese literature. Gan No Rinsho. 35:1165–1170. 1989.PubMed/NCBI(In Japanese).

19 

Hamakawa H, Takarada M and Tanioka H: Two metastatic tumors of the oral cavity: A histopathologic investigation. J Oral Surg Society Jpn. 39:823–828. 1993.

20 

Florio SJ and Hurd TC: Gastric carcinoma metastatic to the mucosa of the hard palate. J Oral Maxillofac Surg. 53:1097–1098. 1995.PubMed/NCBI View Article : Google Scholar

21 

Makino S, Omura K and Kitada H: Metastatic mandibular tumor: Report of 7 cases. Jpn J Oral Maxillofac Surg. 43:465–472. 1997.

22 

Yajima M and Miyazaki T: Metastasis of gastric adenocarcinoma to the maxillary gingiva: Report of a case. Jpn J Oral Maxillofac Surg. 45:497–499. 1999.

23 

Shimoyama S, Seto Y, Aoki F, Ogawa T, Toma T, Endo H, Itouji T and Kaminishi M: Gastric cancer with metastasis to the gingiva. J Gastroenterol Hepatol. 19:831–835. 2004.PubMed/NCBI View Article : Google Scholar

24 

Colombo P, Tondulli L, Masci G, Muzza A, Rimassa L, Petrella D and Santoro A: Oral ulcer as an exclusive sign of gastric cancer: Report of a rare case. BMC Cancer. 5(117)2005.PubMed/NCBI View Article : Google Scholar

25 

Kwon MS, Ko SO, Cho NP, Kim OH, Shin HK, Baek JA and Leem DH: Gastric signet-ring cell adenocarcinoma metastatic to the gingiva: A case report. Oral Surg Oral Med Oral Pathol Oral Radiol Endod. 102:62–66. 2006.PubMed/NCBI View Article : Google Scholar

26 

Nishide N and Kanamura N: The value of carcinoembryonic antigen staining to determine the primary malignancy in metastatic carcinoma to the gingiva. Am J Clin Oncol. 29:316–317. 2006.PubMed/NCBI View Article : Google Scholar

27 

Hwang KG, Park CJ, Paik SS and Shim KS: Gingival metastasis from gastric adenocarcinoma. Otolaryngol Head Neck Surg. 137:169–170. 2007.PubMed/NCBI View Article : Google Scholar

28 

Uchiyama Y, Murakami S, Kakimoto N, Nakatani A, Kishino M, Hamab Y and Furukawa S: Diagnostic imaging findings for mandibular metastasis from gastric adenocarcinoma. Oral Surg Oral Med Oral Pathol Oral Radiol Endod. 107:e49–e53. 2009.PubMed/NCBI View Article : Google Scholar

29 

Sauerborn D, Vidakovic B, Baranovic M, Mahovne I, Danic P and Danic D: Gastric adenocarcinoma metastases to the alveolar mucosa of the mandible: A case report and review of the literature. J Craniomaxillofac Surg. 39:645–648. 2011.PubMed/NCBI View Article : Google Scholar

30 

Guo Y, Chen DF, Li P and CH L: Gingival metastasis from gastric cancer: 1 case report. Chin J Gastmenterol. 17(384)2012.

31 

Kalaitsidou IG, Astreidis IT, Kontos KI, Lazaridou MN, Bourlidou ET, Gerasimidou DK, Vladika NP and Mangoudi DL: Metastatic tumours to the oral cavity: Report of three cases. J Oral Maxillofac Res. 6(e5)2015.PubMed/NCBI View Article : Google Scholar

32 

Wu Z, Tang J, Li Y, Lu H, Xu J and Lv D: Successful management of rare gingival metastasis from gastric adenocarcinoma: A case report and literature review. World J Surg Oncol. 15(141)2017.PubMed/NCBI View Article : Google Scholar

33 

Soares CD, Rocha BA, Paranaiba LMR, de Melo-Filho MR, Jorge J, de Carvalho MGF and de Almeida OP: A challenging diagnosis: Case report of oral metastasis from gastric adenocarcinoma mimicking pyogenic granuloma. Medicine (Baltimore). 97(e9934)2018.PubMed/NCBI View Article : Google Scholar

34 

Ayşegul A, Ahmet K, Abdullah Y, Merva ST and Sidar B: Gastric carcinoma metastases to the anterior maxilla: A rare case report. Int J Oral Med Sci. 17:129–132. 2018.

35 

Sohrabi C, Mathew G, Maria N, Kerwan A, Franchi T and Agha RA: Collaborators. The SCARE 2023 guideline: Updating consensus Surgical CAse REport (SCARE) guidelines. Int J Surg. 109:1136–1140. 2023.PubMed/NCBI View Article : Google Scholar

36 

Japanese Gastric Cancer Association. Japanese Classification of Gastric Carcinoma 2017. 15th edition. Kanehara Shuppan, Tokyo, 2017.

37 

Japanese Gastric Cancer Association: Japanese gastric cancer treatment guidelines 2021. 6th edition. Gastric Cancer. 26:1–25. 2023.PubMed/NCBI View Article : Google Scholar

38 

Allon I, Pessing A, Kaplan I, Allon DM and Hirshberg A: Metastatic tumors to the gingiva and the presence of teeth as a contributing factor: A literature analysis. J Periodontol. 85:132–139. 2014.PubMed/NCBI View Article : Google Scholar

39 

Irani S: Metastasis to the oral soft tissues: A review of 412 cases. J Int Soc Prev Community Dent. 6:393–401. 2016.PubMed/NCBI View Article : Google Scholar

40 

Ellis GL, Jensen JL, Reingold IM and Barr RJ: Malignant neoplasms metastatic to gingivae. Oral Surg Oral Med Oral Pathol. 44:238–245. 1977.PubMed/NCBI View Article : Google Scholar

41 

Lok BH, Jiang G, Gutiontov S, Lanning RM, Sridhara S, Sherman EJ, Tsai CJ, McBride SM, Riaz N and Lee NY: Palliative head and neck radiotherapy with the RTOG 8502 regimen for incurable primary or metastatic cancers. Oral Oncol. 51:957–962. 2015.PubMed/NCBI View Article : Google Scholar

42 

Toya R, Saito T, Yamaguchi K, Matsuyama T, Watakabe T, Matsumoto T, Yoshida R, Hirosue A, Murakami D, Orita Y, et al: Hypofractionated palliative volumetric modulated arc radiotherapy with the radiation oncology study group 8502 ‘QUAD shot’ regimen for incurable head and neck cancer. Radiat Oncol. 15(123)2020.PubMed/NCBI View Article : Google Scholar

43 

Takahashi S, Endo M, Nagatomo T, Onaga R, Yamaguchi H, Yamamoto R, Fukuda Y, Ogawa K, Nakamura M, Okada K, et al: Successful preoperative QUAD SHOT for bulky parotid carcinoma: Potential preoperative ultra-hypofractionated radiotherapy for conversion surgery. Case Rep Oncol. 16:218–226. 2023.PubMed/NCBI View Article : Google Scholar

44 

National Comprehensive Cancer Network: NCCN Clinical Practice Guidelines in Oncology, Head and Neck Cancers (version 1). 2020.

45 

Lee YH and Lee JI: Metastatic carcinoma of the oral region: An analysis of 21 cases. Med Oral Patol Oral Cir Bucal. 22:e359–e365. 2017.PubMed/NCBI View Article : Google Scholar

Related Articles

  • Abstract
  • View
  • Download
  • Twitter
Copy and paste a formatted citation
Spandidos Publications style
Miyashita H, Sugazaki M, Saito H, Kudo C, Nagao M, Ishikawa Y, Teramura S, Shinohara F and Murakami K: Treatment strategy for maxillary gingival metastasis arising from gastric adenocarcinoma: A case report and literature review. Mol Clin Oncol 22: 41, 2025.
APA
Miyashita, H., Sugazaki, M., Saito, H., Kudo, C., Nagao, M., Ishikawa, Y. ... Murakami, K. (2025). Treatment strategy for maxillary gingival metastasis arising from gastric adenocarcinoma: A case report and literature review. Molecular and Clinical Oncology, 22, 41. https://doi.org/10.3892/mco.2025.2836
MLA
Miyashita, H., Sugazaki, M., Saito, H., Kudo, C., Nagao, M., Ishikawa, Y., Teramura, S., Shinohara, F., Murakami, K."Treatment strategy for maxillary gingival metastasis arising from gastric adenocarcinoma: A case report and literature review". Molecular and Clinical Oncology 22.5 (2025): 41.
Chicago
Miyashita, H., Sugazaki, M., Saito, H., Kudo, C., Nagao, M., Ishikawa, Y., Teramura, S., Shinohara, F., Murakami, K."Treatment strategy for maxillary gingival metastasis arising from gastric adenocarcinoma: A case report and literature review". Molecular and Clinical Oncology 22, no. 5 (2025): 41. https://doi.org/10.3892/mco.2025.2836
Copy and paste a formatted citation
x
Spandidos Publications style
Miyashita H, Sugazaki M, Saito H, Kudo C, Nagao M, Ishikawa Y, Teramura S, Shinohara F and Murakami K: Treatment strategy for maxillary gingival metastasis arising from gastric adenocarcinoma: A case report and literature review. Mol Clin Oncol 22: 41, 2025.
APA
Miyashita, H., Sugazaki, M., Saito, H., Kudo, C., Nagao, M., Ishikawa, Y. ... Murakami, K. (2025). Treatment strategy for maxillary gingival metastasis arising from gastric adenocarcinoma: A case report and literature review. Molecular and Clinical Oncology, 22, 41. https://doi.org/10.3892/mco.2025.2836
MLA
Miyashita, H., Sugazaki, M., Saito, H., Kudo, C., Nagao, M., Ishikawa, Y., Teramura, S., Shinohara, F., Murakami, K."Treatment strategy for maxillary gingival metastasis arising from gastric adenocarcinoma: A case report and literature review". Molecular and Clinical Oncology 22.5 (2025): 41.
Chicago
Miyashita, H., Sugazaki, M., Saito, H., Kudo, C., Nagao, M., Ishikawa, Y., Teramura, S., Shinohara, F., Murakami, K."Treatment strategy for maxillary gingival metastasis arising from gastric adenocarcinoma: A case report and literature review". Molecular and Clinical Oncology 22, no. 5 (2025): 41. https://doi.org/10.3892/mco.2025.2836
Follow us
  • Twitter
  • LinkedIn
  • Facebook
About
  • Spandidos Publications
  • Careers
  • Cookie Policy
  • Privacy Policy
How can we help?
  • Help
  • Live Chat
  • Contact
  • Email to our Support Team