Spandidos Publications Logo
  • About
    • About Spandidos
    • Aims and Scopes
    • Abstracting and Indexing
    • Editorial Policies
    • Reprints and Permissions
    • Job Opportunities
    • Terms and Conditions
    • Contact
  • Journals
    • All Journals
    • Oncology Letters
      • Oncology Letters
      • Information for Authors
      • Editorial Policies
      • Editorial Board
      • Aims and Scope
      • Abstracting and Indexing
      • Bibliographic Information
      • Archive
    • International Journal of Oncology
      • International Journal of Oncology
      • Information for Authors
      • Editorial Policies
      • Editorial Board
      • Aims and Scope
      • Abstracting and Indexing
      • Bibliographic Information
      • Archive
    • Molecular and Clinical Oncology
      • Molecular and Clinical Oncology
      • Information for Authors
      • Editorial Policies
      • Editorial Board
      • Aims and Scope
      • Abstracting and Indexing
      • Bibliographic Information
      • Archive
    • Experimental and Therapeutic Medicine
      • Experimental and Therapeutic Medicine
      • Information for Authors
      • Editorial Policies
      • Editorial Board
      • Aims and Scope
      • Abstracting and Indexing
      • Bibliographic Information
      • Archive
    • International Journal of Molecular Medicine
      • International Journal of Molecular Medicine
      • Information for Authors
      • Editorial Policies
      • Editorial Board
      • Aims and Scope
      • Abstracting and Indexing
      • Bibliographic Information
      • Archive
    • Biomedical Reports
      • Biomedical Reports
      • Information for Authors
      • Editorial Policies
      • Editorial Board
      • Aims and Scope
      • Abstracting and Indexing
      • Bibliographic Information
      • Archive
    • Oncology Reports
      • Oncology Reports
      • Information for Authors
      • Editorial Policies
      • Editorial Board
      • Aims and Scope
      • Abstracting and Indexing
      • Bibliographic Information
      • Archive
    • Molecular Medicine Reports
      • Molecular Medicine Reports
      • Information for Authors
      • Editorial Policies
      • Editorial Board
      • Aims and Scope
      • Abstracting and Indexing
      • Bibliographic Information
      • Archive
    • World Academy of Sciences Journal
      • World Academy of Sciences Journal
      • Information for Authors
      • Editorial Policies
      • Editorial Board
      • Aims and Scope
      • Abstracting and Indexing
      • Bibliographic Information
      • Archive
    • International Journal of Functional Nutrition
      • International Journal of Functional Nutrition
      • Information for Authors
      • Editorial Policies
      • Editorial Board
      • Aims and Scope
      • Abstracting and Indexing
      • Bibliographic Information
      • Archive
    • International Journal of Epigenetics
      • International Journal of Epigenetics
      • Information for Authors
      • Editorial Policies
      • Editorial Board
      • Aims and Scope
      • Abstracting and Indexing
      • Bibliographic Information
      • Archive
    • Medicine International
      • Medicine International
      • Information for Authors
      • Editorial Policies
      • Editorial Board
      • Aims and Scope
      • Abstracting and Indexing
      • Bibliographic Information
      • Archive
  • Articles
  • Information
    • Information for Authors
    • Information for Reviewers
    • Information for Librarians
    • Information for Advertisers
    • Conferences
  • Language Editing
Spandidos Publications Logo
  • About
    • About Spandidos
    • Aims and Scopes
    • Abstracting and Indexing
    • Editorial Policies
    • Reprints and Permissions
    • Job Opportunities
    • Terms and Conditions
    • Contact
  • Journals
    • All Journals
    • Biomedical Reports
      • Information for Authors
      • Editorial Policies
      • Editorial Board
      • Aims and Scope
      • Abstracting and Indexing
      • Bibliographic Information
      • Archive
    • Experimental and Therapeutic Medicine
      • Information for Authors
      • Editorial Policies
      • Editorial Board
      • Aims and Scope
      • Abstracting and Indexing
      • Bibliographic Information
      • Archive
    • International Journal of Epigenetics
      • Information for Authors
      • Editorial Policies
      • Editorial Board
      • Aims and Scope
      • Abstracting and Indexing
      • Bibliographic Information
      • Archive
    • International Journal of Functional Nutrition
      • Information for Authors
      • Editorial Policies
      • Editorial Board
      • Aims and Scope
      • Abstracting and Indexing
      • Bibliographic Information
      • Archive
    • International Journal of Molecular Medicine
      • Information for Authors
      • Editorial Policies
      • Editorial Board
      • Aims and Scope
      • Abstracting and Indexing
      • Bibliographic Information
      • Archive
    • International Journal of Oncology
      • Information for Authors
      • Editorial Policies
      • Editorial Board
      • Aims and Scope
      • Abstracting and Indexing
      • Bibliographic Information
      • Archive
    • Medicine International
      • Information for Authors
      • Editorial Policies
      • Editorial Board
      • Aims and Scope
      • Abstracting and Indexing
      • Bibliographic Information
      • Archive
    • Molecular and Clinical Oncology
      • Information for Authors
      • Editorial Policies
      • Editorial Board
      • Aims and Scope
      • Abstracting and Indexing
      • Bibliographic Information
      • Archive
    • Molecular Medicine Reports
      • Information for Authors
      • Editorial Policies
      • Editorial Board
      • Aims and Scope
      • Abstracting and Indexing
      • Bibliographic Information
      • Archive
    • Oncology Letters
      • Information for Authors
      • Editorial Policies
      • Editorial Board
      • Aims and Scope
      • Abstracting and Indexing
      • Bibliographic Information
      • Archive
    • Oncology Reports
      • Information for Authors
      • Editorial Policies
      • Editorial Board
      • Aims and Scope
      • Abstracting and Indexing
      • Bibliographic Information
      • Archive
    • World Academy of Sciences Journal
      • Information for Authors
      • Editorial Policies
      • Editorial Board
      • Aims and Scope
      • Abstracting and Indexing
      • Bibliographic Information
      • Archive
  • Articles
  • Information
    • For Authors
    • For Reviewers
    • For Librarians
    • For Advertisers
    • Conferences
  • Language Editing
Login Register Submit
  • This site uses cookies
  • You can change your cookie settings at any time by following the instructions in our Cookie Policy. To find out more, you may read our Privacy Policy.

    I agree
Search articles by DOI, keyword, author or affiliation
Search
Advanced Search
presentation
Molecular and Clinical Oncology
Join Editorial Board Propose a Special Issue
Print ISSN: 2049-9450 Online ISSN: 2049-9469
Journal Cover
September-2025 Volume 23 Issue 3

Full Size Image

Sign up for eToc alerts
Recommend to Library

Journals

International Journal of Molecular Medicine

International Journal of Molecular Medicine

International Journal of Molecular Medicine is an international journal devoted to molecular mechanisms of human disease.

International Journal of Oncology

International Journal of Oncology

International Journal of Oncology is an international journal devoted to oncology research and cancer treatment.

Molecular Medicine Reports

Molecular Medicine Reports

Covers molecular medicine topics such as pharmacology, pathology, genetics, neuroscience, infectious diseases, molecular cardiology, and molecular surgery.

Oncology Reports

Oncology Reports

Oncology Reports is an international journal devoted to fundamental and applied research in Oncology.

Experimental and Therapeutic Medicine

Experimental and Therapeutic Medicine

Experimental and Therapeutic Medicine is an international journal devoted to laboratory and clinical medicine.

Oncology Letters

Oncology Letters

Oncology Letters is an international journal devoted to Experimental and Clinical Oncology.

Biomedical Reports

Biomedical Reports

Explores a wide range of biological and medical fields, including pharmacology, genetics, microbiology, neuroscience, and molecular cardiology.

Molecular and Clinical Oncology

Molecular and Clinical Oncology

International journal addressing all aspects of oncology research, from tumorigenesis and oncogenes to chemotherapy and metastasis.

World Academy of Sciences Journal

World Academy of Sciences Journal

Multidisciplinary open-access journal spanning biochemistry, genetics, neuroscience, environmental health, and synthetic biology.

International Journal of Functional Nutrition

International Journal of Functional Nutrition

Open-access journal combining biochemistry, pharmacology, immunology, and genetics to advance health through functional nutrition.

International Journal of Epigenetics

International Journal of Epigenetics

Publishes open-access research on using epigenetics to advance understanding and treatment of human disease.

Medicine International

Medicine International

An International Open Access Journal Devoted to General Medicine.

Journal Cover
September-2025 Volume 23 Issue 3

Full Size Image

Sign up for eToc alerts
Recommend to Library

  • Article
  • Citations
    • Cite This Article
    • Download Citation
    • Create Citation Alert
    • Remove Citation Alert
    • Cited By
  • Similar Articles
    • Related Articles (in Spandidos Publications)
    • Similar Articles (Google Scholar)
    • Similar Articles (PubMed)
  • Download PDF
  • Download XML
  • View XML

  • Supplementary Files
    • Supplementary_Data.pdf
Article Open Access

Treatment patterns and clinical outcomes in Chinese patients with NSCLC with MET alterations resistant to EGFR‑TKI therapy

  • Authors:
    • Cailu Shen
    • Siying Zhang
    • Xiaoli Wang
    • Di Shen
    • Xiaosong Ge
    • Yong Mao
  • View Affiliations / Copyright

    Affiliations: Department of Cancer Diagnosis and Treatment Center, Affiliated Hospital of Jiangnan University, Wuxi, Jiangsu 214000, P.R. China, Wuxi Medical College of Jiangnan University, Wuxi, Jiangsu 214000, P.R. China, Department of Pathology, Affiliated Hospital of Jiangnan University, Wuxi, Jiangsu 214000, P.R. China
    Copyright: © Shen et al. This is an open access article distributed under the terms of Creative Commons Attribution License.
  • Article Number: 81
    |
    Published online on: July 4, 2025
       https://doi.org/10.3892/mco.2025.2876
  • Expand metrics +
Metrics: Total Views: 0 (Spandidos Publications: | PMC Statistics: )
Metrics: Total PDF Downloads: 0 (Spandidos Publications: | PMC Statistics: )
Cited By (CrossRef): 0 citations Loading Articles...

This article is mentioned in:



Abstract

The present study evaluated therapeutic strategies and clinical outcomes in Chinese patients with mesenchymal‑epithelial transition (MET) alterations in non‑small cell lung cancer (NSCLC) who were progressing on epidermal growth factor receptor‑tyrosine kinase inhibitor (EGFR‑TKI), aiming to address the unmet need of overcoming MET‑driven resistance. A real‑world study was conducted, involving eligible patients with NSCLC treated at Jiangnan University Affiliated Hospital between February 2022 and April 2024. Based on the treatment regimen, patients were categorized into three groups: MET‑TKI combined with EGFR‑TKI, chemotherapy‑based regimen, and other regimens. The primary outcomes were the objective response rate (ORR), time to treatment failure (TTF), post‑progression survival (PPS) and adverse events (AEs). A total of 32 patients were included in the analysis. The MET‑TKI plus EGFR‑TKI group (n=10) achieved the highest ORR at 55.6%, followed by the chemotherapy‑based regimen group (n=15) at 42.9% and the other regimens group (n=7) at 14.3%. The median TTF was 9.5 months for the MET‑TKI plus EGFR‑TKI group, compared with 4.4 and 3.6 months for the chemotherapy‑based and other regimens groups, respectively (P=0.748). Similarly, the median PPS was 14.4 months in the MET‑TKI plus EGFR‑TKI group, compared with 9.4 and 7.0 months in the chemotherapy‑based and other regimens groups, respectively (P=0.733). Treatment‑related AEs varied among the groups, with nausea, peripheral edema and rash being the most common in the MET‑TKI plus EGFR‑TKI group. In conclusion, the combination of MET‑TKI and EGFR‑TKI demonstrates promising benefits in terms of TTF, PPS and ORR, underscoring its potential as a viable treatment option. The modest improvements observed, coupled with the inherent limitations of the present study, emphasize the necessity for further research to optimize treatment strategies and gain a deeper understanding of the long‑term efficacy of combination therapy in addressing MET‑driven resistance to EGFR‑TKI.
View Figures

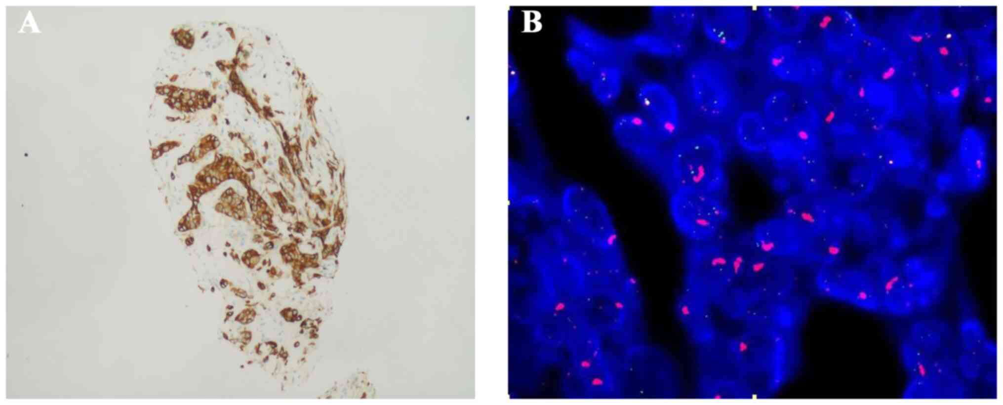
Figure 1

Representative IHC and FISH images of
MET. (A) Strong membranous expression by IHC (3+ score),
magnification 20x and (B) gene amplification by FISH (MET/CEP7 ≥2).
CEP7, centromere of chromosome 7; FISH, fluorescence in situ
hybridization; IHC, immunohistochemistry; MET,
mesenchymal-epithelial transition.

Figure 2

Flow chart of patient enrollment in
the present study. NSCLC, non-small cell lung cancer; EGFR,
epidermal growth factor receptor; MET, mesenchymal-epithelial
transition; TKI, tyrosine kinase inhibitor.

Figure 3

Treatment effectiveness in individual
patients. (A) A waterfall plot showing the best responses for each
of the 30 evaluable patients. (B) A swimmer plot of 10 patients
receiving MET-TKI plus EGFR-TKI and (C) a plot for one of seven
patients treated with other regimens followed by EGFR-TKI
resistance, with a time to failure survival of 3.6 months. EGFR,
epidermal growth factor receptor; MET, mesenchymal-epithelial
transition; TKI, tyrosine kinase inhibitor.

Figure 4

Survival analysis for the study
population. Kaplan-Meier curves for (A) time to treatment failure
survival in all patients, (B) time to treatment failure survival
stratified by treatment regimens, (C) post-progression survival in
all patients and (D) post-progression survival stratified by
treatment regimens. EGFR, epidermal growth factor receptor; MET,
mesenchymal-epithelial transition; TKI, tyrosine kinase
inhibitor.

Figure 5

Representative radiographic images of
two patients who were treated with MET-TKI in combination with
EGFR-TKI after developing resistance to EGFR-TKI. EGFR, epidermal
growth factor receptor; MET, mesenchymal-epithelial transition;
TKI, tyrosine kinase inhibitor.
View References

1 

Beaudet M, Lacasse Y and Labbé C: Palliative systemic therapy given near the end of life for metastatic non-small cell lung cancer. Curr Oncol. 29:1316–1325. 2022.PubMed/NCBI View Article : Google Scholar

2 

Ichikawa M, Muramatsu N, Matsunaga W, Ishikawa T, Okuda T, Okamoto H and Gotoh A: Effects of inhalable gene transfection as a novel gene therapy for non-small cell lung cancer and malignant pleural mesothelioma. Sci Rep. 12(8634)2022.PubMed/NCBI View Article : Google Scholar

3 

Yang W, Gao Y, Li X, Zhang J, Liu T, Feng X, Pan H, Yang X, Xie S, Feng X, et al: Postoperative survival of EGFR-TKI-targeted therapy in non-small cell lung cancer patients with EGFR 19 or 21 mutations: a retrospective study. World J Surg Oncol. 15(197)2017.PubMed/NCBI View Article : Google Scholar

4 

Dong Y, Li Q, Miao Q and Li D: Erlotinib as a salvage treatment after gefitinib failure for advanced non-small-cell lung cancer patients with brain metastasis: A successful case report and review. Medicine (Baltimore). 100(e26450)2021.PubMed/NCBI View Article : Google Scholar

5 

Zhu Y, Guo YB, Xu D, Zhang J, Liu ZG, Wu X, Yang XY, Chang DD, Xu M, Yan J, et al: A computed tomography (CT)-derived radiomics approach for predicting primary co-mutations involving TP53 and epidermal growth factor receptor (EGFR) in patients with advanced lung adenocarcinomas (LUAD). Ann Transl Med. 9(545)2021.PubMed/NCBI View Article : Google Scholar

6 

Liu HE, Vuppalapaty M, Wilkerson C, Renier C, Chiu M, Lemaire C, Che J, Matsumoto M, Carroll J, Crouse S, et al: Detection of EGFR mutations in cfDNA and CTCs, and comparison to tumor tissue in non-small-cell-lung-cancer (NSCLC) patients. Front Oncol. 10(572895)2020.PubMed/NCBI View Article : Google Scholar

7 

Chen H, Yang D, Wang Y, Tao H, Luo Y, Wu A, Li S, Yang Z and Chen M: Activation of the Hedgehog pathway mediates resistance to epidermal growth factor receptor inhibitors in non-small cell lung cancer. J Cancer. 13:987–997. 2022.PubMed/NCBI View Article : Google Scholar

8 

Xu M, Xie Y, Ni S and Liu H: The latest therapeutic strategies after resistance to first generation epidermal growth factor receptor tyrosine kinase inhibitors (EGFR TKIs) in patients with non-small cell lung cancer (NSCLC). Ann Transl Med. 3(96)2015.PubMed/NCBI View Article : Google Scholar

9 

Peng KC, Su JW, Xie Z, Wang HM, Fang MM, Li WF, Chen YQ, Guan XH, Su J, Yan HH, et al: Clinical outcomes of EGFR+/METamp+ vs. EGFR+/METamp-untreated patients with advanced non-small cell lung cancer. Thorac Cancer. 13:1619–1630. 2022.PubMed/NCBI View Article : Google Scholar

10 

Calabrese F, Pezzuto F, Lunardi F, Fortarezza F, Tzorakoleftheraki SE, Resi MV, Tiné M, Pasello G and Hofman P: Morphologic-molecular transformation of oncogene addicted non-small cell lung cancer. Int J Mol Sci. 23(4164)2022.PubMed/NCBI View Article : Google Scholar

11 

Qin K, Hong L, Zhang J and Le X: MET amplification as a resistance driver to TKI therapies in lung cancer: Clinical challenges and opportunities. Cancers (Basel). 15(612)2023.PubMed/NCBI View Article : Google Scholar

12 

Feng W, Xie Q, Liu S, Ji Y, Li C, Wang C and Jin L: Krüppel-like factor 4 promotes c-Met amplification-mediated gefitinib resistance in non-small-cell lung cancer. Cancer Sci. 109:1775–1786. 2018.PubMed/NCBI View Article : Google Scholar

13 

Hu X, Zheng X, Yang S, Wang L, Hao X, Cui X, Ding L, Mao L, Hu P and Shi Y: First-in-human phase I study of BPI-9016M, a dual MET/Axl inhibitor, in patients with non-small cell lung cancer. J Hematol Oncol. 13(6)2020.PubMed/NCBI View Article : Google Scholar

14 

Wu YL, Zhang L, Kim DW, Liu X, Lee DH, Yang JCH, Ahn MJ, Vansteenkiste JF, Su WC, Felip E, et al: Phase Ib/II study of capmatinib (INC280) plus gefitinib after failure of epidermal growth factor receptor (EGFR) inhibitor therapy in patients with EGFR-mutated, MET factor-dysregulated non-small-cell lung cancer. J Clin Oncol. 36:3101–3109. 2018.PubMed/NCBI View Article : Google Scholar

15 

Wu YL, Cheng Y, Zhou J, Lu S, Zhang Y, Zhao J, Kim DW, Soo RA, Kim SW, Pan H, et al: Tepotinib plus gefitinib in patients with EGFR-mutant non-small-cell lung cancer with MET overexpression or MET amplification and acquired resistance to previous EGFR inhibitor (INSIGHT study): An open-label, phase 1b/2, multicentre, randomised trial. Lancet Respir Med. 8:1132–1143. 2020.PubMed/NCBI View Article : Google Scholar

16 

Overbeck TR, Cron DA, Schmitz K, Rittmeyer A, Körber W, Hugo S, Schnalke J, Lukat L, Hugo T, Hinterthaner M, et al: Top-level MET gene copy number gain defines a subtype of poorly differentiated pulmonary adenocarcinomas with poor prognosis. Transl Lung Cancer Res. 9:603–616. 2020.PubMed/NCBI View Article : Google Scholar

17 

Wu YL, Guarneri V, Voon PJ, Lim BK, Yang JJ, Wislez M, Huang C, Liam CK, Mazieres J, Tho LM, et al: Tepotinib plus osimertinib in patients with EGFR-mutated non-small-cell lung cancer with MET amplification following progression on first-line osimertinib (INSIGHT 2): A multicentre, open-label, phase 2 trial. Lancet Oncol. 25:989–1002. 2024.PubMed/NCBI View Article : Google Scholar

18 

Maemondo M, Inoue A, Kobayashi K, Sugawara S, Oizumi S, Isobe H, Gemma A, Harada M, Yoshizawa H, Kinoshita I, et al: Gefitinib or chemotherapy for non-small-cell lung cancer with mutated EGFR. N Engl J Med. 362:2380–2388. 2010.PubMed/NCBI View Article : Google Scholar

19 

Rosell R, Carcereny E, Gervais R, Vergnenegre A, Massuti B, Felip E, Palmero R, Garcia-Gomez R, Pallares C, Sanchez JM, et al: Erlotinib versus standard chemotherapy as first-line treatment for European patients with advanced EGFR mutation-positive non-small-cell lung cancer (EURTAC): A multicentre, open-label, randomised phase 3 trial. Lancet Oncol. 13:239–246. 2012.PubMed/NCBI View Article : Google Scholar

20 

Soria JC, Ohe Y, Vansteenkiste J, Reungwetwattana T, Chewaskulyong B, Lee KH, Dechaphunkul A, Imamura F, Nogami N, Kurata T, et al: Osimertinib in untreated EGFR-mutated advanced non-small-cell lung cancer. N Engl J Med. 378:113–125. 2018.PubMed/NCBI View Article : Google Scholar

21 

Sequist LV, Yang JC, Yamamoto N, O'Byrne K, Hirsh V, Mok T, Geater SL, Orlov S, Tsai CM, Boyer M, et al: Phase III study of afatinib or cisplatin plus pemetrexed in patients with metastatic lung adenocarcinoma with EGFR mutations. J Clin Oncol. 41:2869–2876. 2023.PubMed/NCBI View Article : Google Scholar

22 

Zhou S, Ren F and Meng X: Efficacy of immune checkpoint inhibitor therapy in EGFR mutation-positive patients with NSCLC and brain metastases who have failed EGFR-TKI therapy. Front Immunol. 13(955944)2022.PubMed/NCBI View Article : Google Scholar

23 

Jiang K, Wu L, Zheng X, Xu Y, Miao Q, Zheng X, Zhang L, Huang C and Lin G: Chemotherapy versus personalized therapy for EGFR mutant lung adenocarcinoma resistance to EGFR-tyrosine kinase inhibitors: A retrospective dual-center study. BMC Pulm Med. 24(96)2024.PubMed/NCBI View Article : Google Scholar

24 

Gridelli C, Ciardiello F, Gallo C, Feld R, Butts C, Gebbia V, Maione P, Morgillo F, Genestreti G, Favaretto A, et al: First-line erlotinib followed by second-line cisplatin-gemcitabine chemotherapy in advanced non-small-cell lung cancer: The TORCH randomized trial. J Clin Oncol. 30:3002–3011. 2012.PubMed/NCBI View Article : Google Scholar

25 

Auliac JB, Chouaid C, Greillier L, Monnet I, Le Caer H, Falchero L, Corre R, Descourt R, Bota S, Berard H, et al: Randomized open-label non-comparative multicenter phase II trial of sequential erlotinib and docetaxel versus docetaxel alone in patients with non-small-cell lung cancer after failure of first-line chemotherapy: GFPC 10.02 study. Lung Cancer. 85:415–419. 2014.PubMed/NCBI View Article : Google Scholar

26 

Lu S, Wang J, Yu Y, Yu X, Hu Y, Ai X, Ma Z, Li X, Zhuang W, Liu Y, et al: Tislelizumab plus chemotherapy as first-line treatment for locally advanced or metastatic nonsquamous NSCLC (RATIONALE 304): A randomized phase 3 trial. J Thorac Oncol. 16:1512–1522. 2021.PubMed/NCBI View Article : Google Scholar

27 

Zhou C, Wu YL, Chen G, Liu X, Zhu Y, Lu S, Feng J, He J, Han B, Wang J, et al: BEYOND: A randomized, double-blind, placebo-controlled, multicenter, phase III study of first-line carboplatin/paclitaxel plus bevacizumab or placebo in chinese patients with advanced or recurrent nonsquamous non-small-cell lung cancer. J Clin Oncol. 33:2197–2204. 2015.PubMed/NCBI View Article : Google Scholar

28 

Ma L, Diao B, Huang Z, Wang B, Yu J and Meng X: The efficacy and possible mechanisms of immune checkpoint inhibitors in treating non-small cell lung cancer patients with epidermal growth factor receptor mutation. Cancer Commun (Lond). 41:1314–1330. 2021.PubMed/NCBI View Article : Google Scholar

29 

Lu S, Dong X, Jian H, Chen J, Chen G, Sun Y, Ji Y, Wang Z, Shi J, Lu J, et al: AENEAS: A randomized phase III trial of aumolertinib versus gefitinib as first-line therapy for locally advanced or metastaticnon-small-cell lung cancer with EGFR exon 19 deletion or L858R mutations. J Clin Oncol. 40:3162–3171. 2022.PubMed/NCBI View Article : Google Scholar

30 

Shi Y, Chen G, Wang X, Liu Y, Wu L, Hao Y, Liu C, Zhu S, Zhang X, Li Y, et al: Furmonertinib (AST2818) versus gefitinib as first-line therapy for Chinese patients with locally advanced or metastatic EGFR mutation-positive non-small-cell lung cancer (FURLONG): A multicentre, double-blind, randomised phase 3 study. Lancet Respir Med. 10:1019–1028. 2022.PubMed/NCBI View Article : Google Scholar

31 

Asami K, Ando M, Nishimura T, Yokoi T, Tamura A, Minato K, Mori M, Ogushi F, Yamamoto A, Yoshioka H, et al: A randomized phase II study of docetaxel or pemetrexed with or without the continuation of gefitinib after disease progression in elderly patients with non-small cell lung cancer harboring EGFR mutations (JMTO LC12-01). Thorac Cancer. 13:1827–1836. 2022.PubMed/NCBI View Article : Google Scholar

32 

Chen Y, Liu Z, An N, Zhang J, Meng W, Wang W, Wu X, Hu X, Chen Y and Yin W: Platelet-derived mitochondria attenuate 5-FU-induced injury to bone-associated mesenchymal stem cells. Stem Cells Int. 2023(7482546)2023.PubMed/NCBI View Article : Google Scholar

Related Articles

  • Abstract
  • View
  • Download
  • Twitter
Copy and paste a formatted citation
Spandidos Publications style
Shen C, Zhang S, Wang X, Shen D, Ge X and Mao Y: Treatment patterns and clinical outcomes in Chinese patients with NSCLC with <em>MET</em> alterations resistant to EGFR‑TKI therapy. Mol Clin Oncol 23: 81, 2025.
APA
Shen, C., Zhang, S., Wang, X., Shen, D., Ge, X., & Mao, Y. (2025). Treatment patterns and clinical outcomes in Chinese patients with NSCLC with <em>MET</em> alterations resistant to EGFR‑TKI therapy. Molecular and Clinical Oncology, 23, 81. https://doi.org/10.3892/mco.2025.2876
MLA
Shen, C., Zhang, S., Wang, X., Shen, D., Ge, X., Mao, Y."Treatment patterns and clinical outcomes in Chinese patients with NSCLC with <em>MET</em> alterations resistant to EGFR‑TKI therapy". Molecular and Clinical Oncology 23.3 (2025): 81.
Chicago
Shen, C., Zhang, S., Wang, X., Shen, D., Ge, X., Mao, Y."Treatment patterns and clinical outcomes in Chinese patients with NSCLC with <em>MET</em> alterations resistant to EGFR‑TKI therapy". Molecular and Clinical Oncology 23, no. 3 (2025): 81. https://doi.org/10.3892/mco.2025.2876
Copy and paste a formatted citation
x
Spandidos Publications style
Shen C, Zhang S, Wang X, Shen D, Ge X and Mao Y: Treatment patterns and clinical outcomes in Chinese patients with NSCLC with <em>MET</em> alterations resistant to EGFR‑TKI therapy. Mol Clin Oncol 23: 81, 2025.
APA
Shen, C., Zhang, S., Wang, X., Shen, D., Ge, X., & Mao, Y. (2025). Treatment patterns and clinical outcomes in Chinese patients with NSCLC with <em>MET</em> alterations resistant to EGFR‑TKI therapy. Molecular and Clinical Oncology, 23, 81. https://doi.org/10.3892/mco.2025.2876
MLA
Shen, C., Zhang, S., Wang, X., Shen, D., Ge, X., Mao, Y."Treatment patterns and clinical outcomes in Chinese patients with NSCLC with <em>MET</em> alterations resistant to EGFR‑TKI therapy". Molecular and Clinical Oncology 23.3 (2025): 81.
Chicago
Shen, C., Zhang, S., Wang, X., Shen, D., Ge, X., Mao, Y."Treatment patterns and clinical outcomes in Chinese patients with NSCLC with <em>MET</em> alterations resistant to EGFR‑TKI therapy". Molecular and Clinical Oncology 23, no. 3 (2025): 81. https://doi.org/10.3892/mco.2025.2876
Follow us
  • Twitter
  • LinkedIn
  • Facebook
About
  • Spandidos Publications
  • Careers
  • Cookie Policy
  • Privacy Policy
How can we help?
  • Help
  • Live Chat
  • Contact
  • Email to our Support Team