Spandidos Publications Logo
  • About
    • About Spandidos
    • Aims and Scopes
    • Abstracting and Indexing
    • Editorial Policies
    • Reprints and Permissions
    • Job Opportunities
    • Terms and Conditions
    • Contact
  • Journals
    • All Journals
    • Oncology Letters
      • Oncology Letters
      • Information for Authors
      • Editorial Policies
      • Editorial Board
      • Aims and Scope
      • Abstracting and Indexing
      • Bibliographic Information
      • Archive
    • International Journal of Oncology
      • International Journal of Oncology
      • Information for Authors
      • Editorial Policies
      • Editorial Board
      • Aims and Scope
      • Abstracting and Indexing
      • Bibliographic Information
      • Archive
    • Molecular and Clinical Oncology
      • Molecular and Clinical Oncology
      • Information for Authors
      • Editorial Policies
      • Editorial Board
      • Aims and Scope
      • Abstracting and Indexing
      • Bibliographic Information
      • Archive
    • Experimental and Therapeutic Medicine
      • Experimental and Therapeutic Medicine
      • Information for Authors
      • Editorial Policies
      • Editorial Board
      • Aims and Scope
      • Abstracting and Indexing
      • Bibliographic Information
      • Archive
    • International Journal of Molecular Medicine
      • International Journal of Molecular Medicine
      • Information for Authors
      • Editorial Policies
      • Editorial Board
      • Aims and Scope
      • Abstracting and Indexing
      • Bibliographic Information
      • Archive
    • Biomedical Reports
      • Biomedical Reports
      • Information for Authors
      • Editorial Policies
      • Editorial Board
      • Aims and Scope
      • Abstracting and Indexing
      • Bibliographic Information
      • Archive
    • Oncology Reports
      • Oncology Reports
      • Information for Authors
      • Editorial Policies
      • Editorial Board
      • Aims and Scope
      • Abstracting and Indexing
      • Bibliographic Information
      • Archive
    • Molecular Medicine Reports
      • Molecular Medicine Reports
      • Information for Authors
      • Editorial Policies
      • Editorial Board
      • Aims and Scope
      • Abstracting and Indexing
      • Bibliographic Information
      • Archive
    • World Academy of Sciences Journal
      • World Academy of Sciences Journal
      • Information for Authors
      • Editorial Policies
      • Editorial Board
      • Aims and Scope
      • Abstracting and Indexing
      • Bibliographic Information
      • Archive
    • International Journal of Functional Nutrition
      • International Journal of Functional Nutrition
      • Information for Authors
      • Editorial Policies
      • Editorial Board
      • Aims and Scope
      • Abstracting and Indexing
      • Bibliographic Information
      • Archive
    • International Journal of Epigenetics
      • International Journal of Epigenetics
      • Information for Authors
      • Editorial Policies
      • Editorial Board
      • Aims and Scope
      • Abstracting and Indexing
      • Bibliographic Information
      • Archive
    • Medicine International
      • Medicine International
      • Information for Authors
      • Editorial Policies
      • Editorial Board
      • Aims and Scope
      • Abstracting and Indexing
      • Bibliographic Information
      • Archive
  • Articles
  • Information
    • Information for Authors
    • Information for Reviewers
    • Information for Librarians
    • Information for Advertisers
    • Conferences
  • Language Editing
Spandidos Publications Logo
  • About
    • About Spandidos
    • Aims and Scopes
    • Abstracting and Indexing
    • Editorial Policies
    • Reprints and Permissions
    • Job Opportunities
    • Terms and Conditions
    • Contact
  • Journals
    • All Journals
    • Biomedical Reports
      • Information for Authors
      • Editorial Policies
      • Editorial Board
      • Aims and Scope
      • Abstracting and Indexing
      • Bibliographic Information
      • Archive
    • Experimental and Therapeutic Medicine
      • Information for Authors
      • Editorial Policies
      • Editorial Board
      • Aims and Scope
      • Abstracting and Indexing
      • Bibliographic Information
      • Archive
    • International Journal of Epigenetics
      • Information for Authors
      • Editorial Policies
      • Editorial Board
      • Aims and Scope
      • Abstracting and Indexing
      • Bibliographic Information
      • Archive
    • International Journal of Functional Nutrition
      • Information for Authors
      • Editorial Policies
      • Editorial Board
      • Aims and Scope
      • Abstracting and Indexing
      • Bibliographic Information
      • Archive
    • International Journal of Molecular Medicine
      • Information for Authors
      • Editorial Policies
      • Editorial Board
      • Aims and Scope
      • Abstracting and Indexing
      • Bibliographic Information
      • Archive
    • International Journal of Oncology
      • Information for Authors
      • Editorial Policies
      • Editorial Board
      • Aims and Scope
      • Abstracting and Indexing
      • Bibliographic Information
      • Archive
    • Medicine International
      • Information for Authors
      • Editorial Policies
      • Editorial Board
      • Aims and Scope
      • Abstracting and Indexing
      • Bibliographic Information
      • Archive
    • Molecular and Clinical Oncology
      • Information for Authors
      • Editorial Policies
      • Editorial Board
      • Aims and Scope
      • Abstracting and Indexing
      • Bibliographic Information
      • Archive
    • Molecular Medicine Reports
      • Information for Authors
      • Editorial Policies
      • Editorial Board
      • Aims and Scope
      • Abstracting and Indexing
      • Bibliographic Information
      • Archive
    • Oncology Letters
      • Information for Authors
      • Editorial Policies
      • Editorial Board
      • Aims and Scope
      • Abstracting and Indexing
      • Bibliographic Information
      • Archive
    • Oncology Reports
      • Information for Authors
      • Editorial Policies
      • Editorial Board
      • Aims and Scope
      • Abstracting and Indexing
      • Bibliographic Information
      • Archive
    • World Academy of Sciences Journal
      • Information for Authors
      • Editorial Policies
      • Editorial Board
      • Aims and Scope
      • Abstracting and Indexing
      • Bibliographic Information
      • Archive
  • Articles
  • Information
    • For Authors
    • For Reviewers
    • For Librarians
    • For Advertisers
    • Conferences
  • Language Editing
Login Register Submit
  • This site uses cookies
  • You can change your cookie settings at any time by following the instructions in our Cookie Policy. To find out more, you may read our Privacy Policy.

    I agree
Search articles by DOI, keyword, author or affiliation
Search
Advanced Search
presentation
Molecular and Clinical Oncology
Join Editorial Board Propose a Special Issue
Print ISSN: 2049-9450 Online ISSN: 2049-9469
Journal Cover
September-2025 Volume 23 Issue 3

Full Size Image

Sign up for eToc alerts
Recommend to Library

Journals

International Journal of Molecular Medicine

International Journal of Molecular Medicine

International Journal of Molecular Medicine is an international journal devoted to molecular mechanisms of human disease.

International Journal of Oncology

International Journal of Oncology

International Journal of Oncology is an international journal devoted to oncology research and cancer treatment.

Molecular Medicine Reports

Molecular Medicine Reports

Covers molecular medicine topics such as pharmacology, pathology, genetics, neuroscience, infectious diseases, molecular cardiology, and molecular surgery.

Oncology Reports

Oncology Reports

Oncology Reports is an international journal devoted to fundamental and applied research in Oncology.

Experimental and Therapeutic Medicine

Experimental and Therapeutic Medicine

Experimental and Therapeutic Medicine is an international journal devoted to laboratory and clinical medicine.

Oncology Letters

Oncology Letters

Oncology Letters is an international journal devoted to Experimental and Clinical Oncology.

Biomedical Reports

Biomedical Reports

Explores a wide range of biological and medical fields, including pharmacology, genetics, microbiology, neuroscience, and molecular cardiology.

Molecular and Clinical Oncology

Molecular and Clinical Oncology

International journal addressing all aspects of oncology research, from tumorigenesis and oncogenes to chemotherapy and metastasis.

World Academy of Sciences Journal

World Academy of Sciences Journal

Multidisciplinary open-access journal spanning biochemistry, genetics, neuroscience, environmental health, and synthetic biology.

International Journal of Functional Nutrition

International Journal of Functional Nutrition

Open-access journal combining biochemistry, pharmacology, immunology, and genetics to advance health through functional nutrition.

International Journal of Epigenetics

International Journal of Epigenetics

Publishes open-access research on using epigenetics to advance understanding and treatment of human disease.

Medicine International

Medicine International

An International Open Access Journal Devoted to General Medicine.

Journal Cover
September-2025 Volume 23 Issue 3

Full Size Image

Sign up for eToc alerts
Recommend to Library

  • Article
  • Citations
    • Cite This Article
    • Download Citation
    • Create Citation Alert
    • Remove Citation Alert
    • Cited By
  • Similar Articles
    • Related Articles (in Spandidos Publications)
    • Similar Articles (Google Scholar)
    • Similar Articles (PubMed)
  • Download PDF
  • Download XML
  • View XML
Article Open Access

Link between multiple human papillomavirus 16 and 18 infection and prostate cancer, and relevance of tumor characteristics

  • Authors:
    • Brenda Ivonn Rodríguez‑Romero
    • Nadia Mabel Pérez‑Vielma
    • Alejandro Corzo‑Cruz
    • Modesto Gómez‑López
    • María Olivia Medel‑Flores
    • Virginia Sánchez‑Monroy
  • View Affiliations / Copyright

    Affiliations: National Polytechnic Institute (Instituto Politécnico Nacional), ESM, Mexico City CP11340, Mexico, National Polytechnic Institute (Instituto Politécnico Nacional), CICS, UST, Mexico City CP11340, Mexico, National Polytechnic Institute (Instituto Politécnico Nacional), ENMH, Mexico City CP07320, Mexico
    Copyright: © Rodríguez‑Romero et al. This is an open access article distributed under the terms of Creative Commons Attribution License.
  • Article Number: 85
    |
    Published online on: July 11, 2025
       https://doi.org/10.3892/mco.2025.2880
  • Expand metrics +
Metrics: Total Views: 0 (Spandidos Publications: | PMC Statistics: )
Metrics: Total PDF Downloads: 0 (Spandidos Publications: | PMC Statistics: )
Cited By (CrossRef): 0 citations Loading Articles...

This article is mentioned in:



Abstract

It has been demonstrated that there is an association between human papillomavirus (HPV) infection and prostate cancer (PCa). However, HPV infection in PCa and the causal role remains unclear, therefore the objective of the present study was to confirm this association and evaluate the clinical tumor characteristics to understand the underlying molecular mechanisms. HPV detection and genotyping were analyzed in 117 paraffin‑embedded prostate tissue from men diagnosed by histological analysis with adenocarcinoma, and a group including 60 men with benign prostatic hyperplasia (BPH). The clinical and histological characteristics in tissues with PCa were evaluated, comparing HPV‑infected vs. not infected, single vs. multiple HPV infection, and low‑risk (LR) HPV vs. high‑risk‑HPV (HR‑HPV). In 84.1% of all samples, HPV was detected, exhibiting a higher prevalence in tissues with PCa (109/117 or 93%) compared with tissues with BPH (40/60 or 67%), as evidenced by the association between the infection and PCa [odds ratio (OR); 6.8; 95% confidence interval (CI), 2.77‑16.69; P<0.0001]. The main viral genotypes detected in order of decreasing prevalence were 16, 11, 18 and 6. Detection of multiple HPV infection was significantly higher in PCa (78/117 or 66.7%) than in HPB (21/60 or 35%) (OR, 3.7; 95% CI, 1.929‑7.151; P=0.0001). Of note, co‑infections containing interactions of HPV 16‑18 types were associated with PCa (OR, 3.9079; CI, 1.2867‑11.8685; P=0.0162) which indicates new epidemiological data in PCa. Cribriform cells, prostatic atrophy and prostatitis were statistically less frequent in tissues with PCa HPV‑infected vs. not infected (P<0.05). Cribriform cells were also more frequent in single vs. multiple HPV infection (P<0.05), and in tissues with LR‑HPV vs. HR‑HPV (P<0.05). A worse prognosis was observed for HPV‑not infected, with a single HPV infection and LR‑HPV infection, suggesting that tumor progression could be attributed to the resistance of human PCa cells to tumor apoptosis in the presence of multiple HPV types to ensure cell survival. Studies evaluating differences in the tumor microenvironment are needed to clarify the association between viral infections and histopathological tumor characteristics.
View Figures

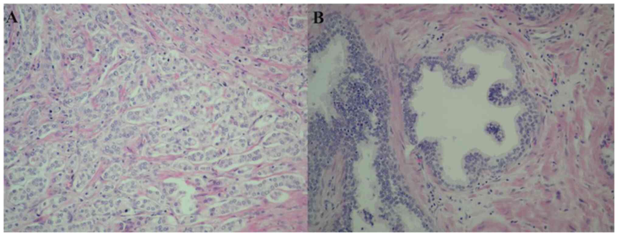
Figure 1

Representative histopathological
image derived of samples used in the present study. (A) Prostate
cancer and (B) Benign prostatic hyperplasia. Hematoxylin and eosin
staining at x200 magnification.

Figure 2

Frequency of multiple HPV patterns
detected in study groups. The figure describes 73 patterns of
multiple HPV infection detected (Y-axis), and the number of samples
(frequency for pattern (X-axis). *Coinfections
containing interactions of HPV16/18 genotypes were associated with
the PCa group (OR, 3.9079; CI, 1,2867-11,8685; P=0,0162).

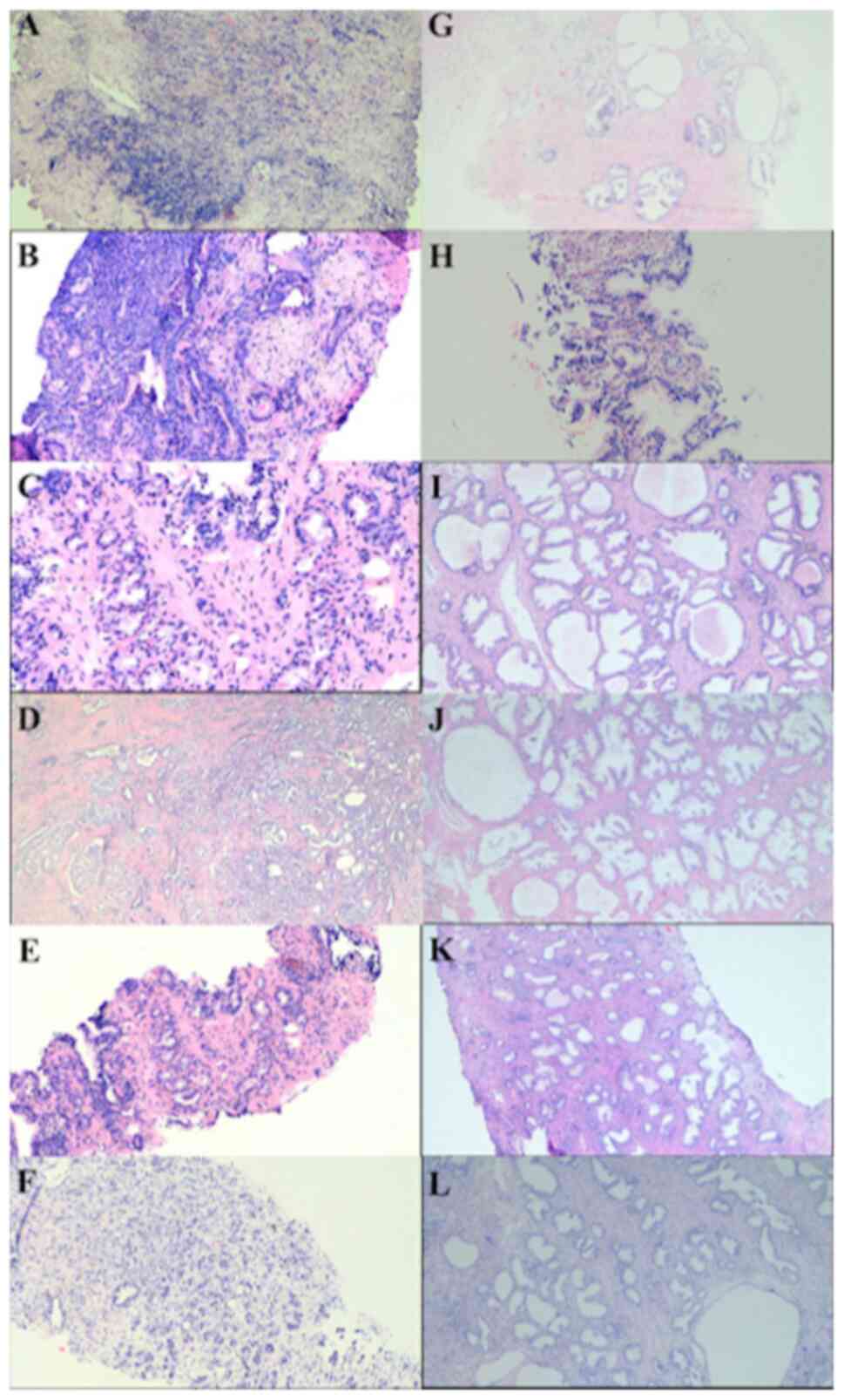
Figure 3

Representative histological section
of (A-F) prostatic adenocarcinomas and (G-L) benign prostatic
hyperplasia used in the present study. (A and G) Samples without
HPV infection; (B and H) samples with single HPV infection; (C and
I) samples with multiple HPV infection; (D and J) samples with
single low-risk HPV infection; (E and K) samples with single
high-risk-HPV infectionl and (F and L) samples with multiple low
and risk HPV infection. Hematoxylin and eosin staining at x10
magnification.
View References

1 

Bergengren O, Pekala KR, Matsoukas K, Fainberg J, Mungovan SF, Bratt O, Bray F, Brawley O, Luckenbaugh AN, Mucci L, et al: Update on prostate cancer epidemiology and risk Factors-A systematic review. Eur Urol. 84:191–206. 2023.PubMed/NCBI View Article : Google Scholar

2 

Gandaglia G, Leni R, Bray F, Fleshner N, Freedland SJ, Kibel A, Stattin P, Van Poppel H and La Vecchia C: Epidemiology and prevention of prostate cancer. Eur Urol Oncol. 4:877–892. 2021.PubMed/NCBI View Article : Google Scholar

3 

Gamboa-Hoil SI: Human papillomavirus in men. Rev Int Androl. 21(100325)2023.PubMed/NCBI View Article : Google Scholar

4 

IARC Working Group on the Evaluation of Carcinogenic Risks to Humans: Human Immunodeficiency Viruses and Human T-Cell Lymphotropic Viruses. In: IARC Monographs on the Evaluation of Carcinogenic Risks to Humans. IARC, Lyon, France, pp250-270, 1996. https://www.ncbi.nlm.nih.gov/books/NBK321760/.

5 

Jensen JE, Becker GL, Jackson JB and Rysavy MB: Human papillomavirus and associated cancers: A Review. Viruses. 16(680)2024.PubMed/NCBI View Article : Google Scholar

6 

Yin SH, Chung SD, Hung SH, Liu TC and Lin HC: Association of prostate cancer with human papillomavirus infections: A Case-control study. Prostate Cancer Prostatic Dis. 27:743–748. 2024.PubMed/NCBI View Article : Google Scholar

7 

Arriaga D, Morales F and Canizalez A: Human papillomavirus and prostate cancer in Mexican men: A systematic review and meta-analysis. Cancer Causes Control: March 15, 2025 (Epub ahead of print).

8 

Sosse SA, Laraqui A, Mrabti M, Alami M, Mzibri ME and Ennaji M: Molecular evaluation of human papillomavirus as an oncogenic biomarker in prostate cancer. Mol Biol Rep. 50:5719–5724. 2023.PubMed/NCBI View Article : Google Scholar

9 

Russo GI, Calogero AE, Condorelli RA, Scalia G, Morgia G and La Vignera S: Human papillomavirus and risk of prostate cancer: A systematic review and meta-analysis. Aging Male. 23:132–138. 2020.PubMed/NCBI View Article : Google Scholar

10 

Lawson JS and Glenn WK: Evidence for a causal role by human papillomaviruses in prostate cancer-a systematic review. Infect Agent Cancer. 15(41)2020.PubMed/NCBI View Article : Google Scholar

11 

Moghoofei M, Keshavarz M, Ghorbani S, Babaei F, Nahand JS, Tavakoli A, Mortazavi HS, Marjani A, Mostafaei S and Monavari SH: Association between human papillomavirus infection and prostate cancer: A global systematic review and meta-analysis. Asia Pac J Clin Oncol. 15:e59–e67. 2019.PubMed/NCBI View Article : Google Scholar

12 

Tsydenova IA, Ibragimova MK, Tsyganov MM and Litviakov NV: Human papillomavirus and prostate cancer: Systematic review and meta-analysis. Sci Rep. 3(16597)2023.PubMed/NCBI View Article : Google Scholar

13 

Opeyemi Bello R, Willis-Powell L, James O, Sharma A, Marsh E, Ellis L, Gaston K and Siddiqui Y: Does human papillomavirus play a causative role in prostate cancer? A systematic review using bradford Hill's Criteria. Cancers (Basel). 15(3897)2023.PubMed/NCBI View Article : Google Scholar

14 

Mahmoudi S, Jafari-Sales A, Nasiri R and Baghi H: Prostate cancer and human papillomavirus infection: A recent literature review. Rev Res Med Microbiol. 33:100–108. 2022.

15 

Ahmed MY, Cakir MO, Salman NA, Sandhu S and Ashrafi GH: Concurrent high risk HPV35, HPV45, and HPV59 infections in prostate and bladder cancer tissues of a single patient: A case report. Heliyon. 10(e35074)2024.PubMed/NCBI View Article : Google Scholar

16 

Whitaker NJ, Glenn WK, Sahrudin A, Orde MM, Delprado W and Lawson JS: Human papillomavirus and Epstein Barr virus in prostate cancer: Koilocytes indicate potential oncogenic influences of human papillomavirus in prostate cancer. Prostate. 73:236–241. 2013.PubMed/NCBI View Article : Google Scholar

17 

Medel-Flores O, Valenzuela-Rodríguez VA, Ocadiz-Delgado R, Castro-Muñoz LJ, Hernández-Leyva S, Lara-Hernández G, Silva-Escobedo JG, Vidal PG and Sánchez-Monroy V: Association between HPV infection and prostate cancer in a Mexican population. Genet Mol Biol. 41:781–789. 2018.PubMed/NCBI View Article : Google Scholar

18 

Giuliano AR, Nyitray AG, Kreimer AR, Pierce Campbell CM, Goodman MT, Sudenga SL, Monsonego J and Franceschi S: EUROGIN 2014 roadmap: Differences in human papillomavirus infection natural history, transmission and human papillomavirus-related cancer incidence by gender and anatomic site of infection. Int J Cancer. 136:2752–2760. 2015.PubMed/NCBI View Article : Google Scholar

19 

Taylor ML, Mainous AG and Wells BJ: Prostate cancer and sexually transmitted diseases: A meta-analysis. Fam Med. 37:506–512. 2005.PubMed/NCBI

20 

Huang WY, Hayes R, Pfeiffer R, Viscidi RP, Lee FK, Wang YF, Reding D, Whitby D, Papp JR and Rabkin CS: Sexually transmissible infections and prostate cancer risk. Cancer Epidemiol Biomarkers Prev. 17:2374–2381. 2008.PubMed/NCBI View Article : Google Scholar

21 

Liu Z, Nyitray AG, Hwang LY, Swartz MD, Abrahamsen M, Lazcano-Ponce E, Salmerón J, Quiterio M, Villa LL, Baggio ML, et al: Human papillomavirus prevalence among 88 male virgins residing in brazil, mexico, and the united states. J Infect Dis. 214:1188–1191. 2016.PubMed/NCBI View Article : Google Scholar

22 

Gameiro SF and Flondra KM: Human Papillomavirus-associated tumor extracellular vesicles in HPV+ tumor microenvironments. J Clin Med. 12(5668)2023.PubMed/NCBI View Article : Google Scholar

23 

Luna-Aguirre CM, Reyes-Cortés LM, Torres-Grimaldo AA, Karr-de-León SF, Cerda-Flores RM, Melo-Nava B, Aizpuru-Akel VE and Barrera-Saldaña HA: Prevalence of human papillomavirus types in north and central regions of Mexico. Epidemiol Infect. 146:1724–1730. 2018.PubMed/NCBI View Article : Google Scholar

24 

Ferreira MT, Mendoza López RV, Gonçalves MG, Ferreira S, Sirak B, Baggio ML, Lazcano-Ponce E, Nyitray AG, Giuliano AR, Villa LL, et al: Human papillomavirus 16 lineage a variants associated with persistent genital infections in men: The HPV infection in men (HIM) study. J Infect Dis. 228:1748–1757. 2023.PubMed/NCBI View Article : Google Scholar

25 

Abidi SH, Bilwani F, Ghias K and Abbas F: Viral etiology of prostate cancer: Genetic alterations and immune response. A literature review. Int J Surg. 52:136–140. 2018.PubMed/NCBI View Article : Google Scholar

26 

Sfanos KS, Yegnasubramanian S, Nelson WG and De Marzo AM: The inflammatory microenvironment and microbiome in prostate cancer development. Nat Rev Urol. 15:11–24. 2018.PubMed/NCBI View Article : Google Scholar

27 

Silva LLD, Teles AM, Santos JMO, Souza de Andrade M, Medeiros R, Faustino-Rocha AI, Oliveira PA, Dos Santos APA, Ferreira Lopes F, Braz G, et al: Malignancy associated with Low-Risk HPV6 and HPV11: A systematic review and implications for cancer prevention. Cancers (Basel). 15(4068)2023.PubMed/NCBI View Article : Google Scholar

28 

Kusters JMA, Brouwer JGM, van Benthem BHB, Heijne JCM and Schim van der Loeff MF: Global Type-specific genital human papillomavirus prevalence in men, by sexual orientation: A systematic review and Meta-analysis. J Infect Dis. 228:1023–1032. 2023.PubMed/NCBI View Article : Google Scholar

29 

Gallegos-Bolaños J, Rivera-Domínguez JA, Presno-Bernal JM and Cervantes-Villagrana RD: High prevalence of co-infection between human papillomavirus (HPV) 51 and 52 in Mexican population. BMC Cancer. 17(531)2017.PubMed/NCBI View Article : Google Scholar

30 

Zhang X, Lu D, Szporn AH, Zakowski MF and Si Q: A comparative study of the genotype profiles of high-risk human papillomavirus infection in male and female HIV-positive patients and their correlation with anal cytology and biopsy. J Am Soc Cytopathol. 11:21–30. 2022.PubMed/NCBI View Article : Google Scholar

31 

Gaisa MM, Liu Y, Deshmukh AA, Stone KL and Sigel KM: Electrocautery ablation of anal high-grade squamous intraepithelial lesions: Effectiveness and key factors associated with outcomes. Cancer. 126:1470–1479. 2020.PubMed/NCBI View Article : Google Scholar

32 

Torres-Ibarra L, Conde-Glez CJ, Salmerón J, Palefsky J, Hernández-Nevares P, Sánchez-Alemán MA, Magis-Rodríguez C and Lazcano-Ponce E: Risk factors for anal HPV-16/18 infection in Mexican HIV-infected men who have sex with men. Prev Med. 69:157–64. 2014.PubMed/NCBI View Article : Google Scholar

33 

Zhang Z, Yang Y, Zhang L, Wu Y, Jia P, Ma Q and Wang D: Relationship between cervicovaginal microecological changes and HPV16/18 infection and cervical cancer in women of childbearing age. Ann Clin Lab Sci. 53:825–834. 2023.PubMed/NCBI

34 

Ao M, Yao X, Zheng D, Gu X and Xi M: Risk of cervical intraepithelial neoplasia grade 3 or more diagnoses for human papillomavirus16/18-positive women by cytology and co-infection status. Infect Agent Cancer. 18(57)2023.PubMed/NCBI View Article : Google Scholar

35 

Nelson C and Mirabello L: Human papillomavirus genomics: Understanding carcinogenicity. Tumour Virus Res. 15(20025)2023.PubMed/NCBI View Article : Google Scholar

36 

The Cancer Genome Atlas Research Network. Integrated genomic and molecular characterization of cervical cancer. Nature. 543:378–384. 2017.PubMed/NCBI View Article : Google Scholar

37 

Mirabello L, Yeager M, Cullen M, Cullen M, Boland JF, Chen Z, Wentzensen N, Zhang X, Yu K, Yang Q, et al: HPV16 sublineage associations with Histology-specific cancer risk using HPV Whole-genome sequences in 3200 women. J Natl Cancer Inst. 108(djw100)2016.PubMed/NCBI View Article : Google Scholar

38 

Xi LF, Kiviat NB, Hildesheim A, Galloway DA, Wheeler CM, Ho J and Koutsky LA: Human papillomavirus type 16 and 18 variants: Race-related distribution and persistence. J Natl Cancer Inst. 98:1045–1052. 2006.PubMed/NCBI View Article : Google Scholar

39 

Iwasaka T, Hayashi Y, Yokoyama M, Hara K, Matsuo N and Sugimori H: ‘Hit and run’ oncogenesis by human papillomavirus type 18 DNA. Acta Obstet Gynecol Scand. 7:219–223. 1992.PubMed/NCBI View Article : Google Scholar

40 

Glenn WK, Ngan CC, Amos TG, Edwards RJ, Swift J, Lutze-Mann L, Shang F, Whitaker NJ and Lawson JS: High risk human papilloma viruses (HPVs) are present in benign prostate tissues before development of HPV associated prostate cancer. Infect Agent Cancer. 12(46)2017.PubMed/NCBI View Article : Google Scholar

41 

Sun J, Xiang J, An Y, Xu J, Xiong Y, Wang S and Xia Q: Unveiling the Association between HPV and Pan-Cancers: A Bidirectional Two-sample mendelian randomization study. Cancers (Basel). 15(5147)2023.PubMed/NCBI View Article : Google Scholar

42 

Sarkar P, Malik S, Banerjee A, Datta C, Pal DK, Ghosh A and Saha A: Differential microbial signature associated with benign prostatic hyperplasia and prostate cancer. Front Cell Infect Microbiol. 12(894777)2022.PubMed/NCBI View Article : Google Scholar

43 

Sehn JK: Prostate cancer pathology: Recent updates and controversies. Mo Med. 115:151–155. 2018.PubMed/NCBI

44 

Humphrey PA: Histopathology of prostate cancer. Cold Spring Harb Perspect Med. 7(a030411)2017.PubMed/NCBI View Article : Google Scholar

45 

Hesterberg AB, Gordetsky JB and Hurley PJ: Cribriform prostate cancer: Clinical pathologic and molecular considerations. Urology. 155:47–54. 2021.PubMed/NCBI View Article : Google Scholar

46 

Sayan M, Tuac Y, Akgul M, Pratt GK, Rowan MD, Akbulut D, Kucukcolak S, Tjio E, Moningi S, Leeman JE, et al: Prognostic significance of the cribriform pattern in prostate cancer: Clinical outcomes and genomic alterations. Cancers (Basel). 16(1248)2024.PubMed/NCBI View Article : Google Scholar

47 

Russo GI, Soeterik T, Puche-Sanz I, Broggi G, Lo Giudice A, De Nunzio C, Lombardo R, Marra G and Gandaglia G: European Association of Urology Young Academic Urologists. Oncological outcomes of cribriform histology pattern in prostate cancer patients: A systematic review and meta-analysis. Prostate Cancer Prostatic Dis. 26:646–654. 2023.PubMed/NCBI View Article : Google Scholar

48 

Woenckhaus J and Fenic I: Proliferative inflammatory atrophy: A background lesion of prostate cancer? Andrologia. 40:134–137. 2008.PubMed/NCBI View Article : Google Scholar

49 

De Marzo AM, Marchi VL, Epstein JI and Nelson WG: Proliferative inflammatory atrophy of the prostate: Implications for prostatic carcinogenesis. Am J Pathol. 155:1985–1992. 1999.PubMed/NCBI View Article : Google Scholar

50 

Sfanos KS and De Marzo AM: Prostate cancer and inflammation: The evidence. Histopathology. 60:199–215. 2012.PubMed/NCBI View Article : Google Scholar

51 

Mani RS, Amin MA, Li X, Kalyana-Sundaram S, Veeneman BA, Wang L, Ghosh A, Aslam A, Ramanand SG, Rabquer BJ, et al: Inflammation-induced oxidative stress mediates gene fusion formation in prostate cancer. Cell Rep. 17:2620–2631. 2016.PubMed/NCBI View Article : Google Scholar

52 

Kwon OJ, Zhang L, Ittmann MM and Xin L: Prostatic inflammation enhances basal-to-luminal differentiation and accelerates initiation of prostate cancer with a basal cell origin. Proc Natl Acad Sci USA. 111:E592–E600. 2014.PubMed/NCBI View Article : Google Scholar

53 

de Bono JS, Guo C, Gurel B, De Marzo AM, Sfanos KS, Mani RS, Gil J, Drake CG and Alimonti A: Prostate carcinogenesis: Inflammatory storms. Nat Rev Cancer. 20:455–469. 2020.PubMed/NCBI View Article : Google Scholar

54 

Sadri Nahand J, Esghaei M, Hamidreza Monavari S, Moghoofei M, Jalal Kiani S, Mostafaei S, Mirzaei H and Bokharaei-Salim F: The assessment of a possible link between HPV-mediated inflammation, apoptosis, and angiogenesis in Prostate cancer. Int Immunopharmacol. 88(106913)2020.PubMed/NCBI View Article : Google Scholar

55 

Fatemipour M, Nahand JS, Fard Azar ME, Baghi HB, Taghizadieh M, Sorayyayi S, Hussen BM, Mirzaei H, Moghoofei M and Bokharaei-Salim F: Human papillomavirus and prostate cancer: The role of viral expressed proteins in the inhibition of anoikis and induction of metastasis. Microb Pathog. 152(104576)2021.PubMed/NCBI View Article : Google Scholar

56 

Li S, Hong X, Wei Z, Xie M, Li W, Liu G, Guo H, Yang J, Wei W and Zhang S: Ubiquitination of the HPV Oncoprotein E6 Is Critical for E6/E6AP-Mediated p53 degradation. Front Microbiol. 10(2483)2019.PubMed/NCBI View Article : Google Scholar

57 

El-Deiry WS: p21(WAF1) mediates Cell-cycle inhibition, relevant to cancer suppression and therapy. Cancer Res. 76:5189–5191. 2016.PubMed/NCBI View Article : Google Scholar

58 

Barr AR, Cooper S, Heldt FS, Butera F, Stoy H, Mansfeld J, Novák B and Bakal C: DNA damage during S-phase mediates the proliferation-quiescence decision in the subsequent G1 via p21 expression. Nat Commun. 8(14728)2017.PubMed/NCBI View Article : Google Scholar

59 

Szymonowicz KA and Chen J: Biological and clinical aspects of HPV-related cancers. Cancer Biol Med. 17:864–878. 2020.PubMed/NCBI View Article : Google Scholar

60 

Wang G, Zhao D, Spring DJ and DePinho RA: Genetics and biology of prostate cancer. Genes Dev. 32:1105–1140. 2018.PubMed/NCBI View Article : Google Scholar

61 

Sullivan GF, Yang JM, Vassil A, Yang J, Bash-Babula J and Hait WN: Regulation of expression of the multidrug resistance protein MRP1 by p53 in human prostate cancer cells. J Clin Invest. 105:1261–1267. 2000.PubMed/NCBI View Article : Google Scholar

62 

Rigalli JP, Reichel M and Tocchetti GN: Human papilloma virus (HPV) 18 proteins E6 and E7 up-regulate ABC transporters in oropharyngeal carcinoma. Involvement of the nonsense-mediated decay (NMD) pathway. Cancer Lett. 428:69–76. 2018.PubMed/NCBI View Article : Google Scholar

63 

Khooshemehri P, Jamaldini S, Ziaee S, Afshari M, Sattari M, Narouie B, Sotoudeh M, Montazeri V, Sarhangi N and Hasanzad M: Genetic polymorphism of mismatch repair genes and susceptibility to prostate cancer. Urol J. 17:271–275. 2020.PubMed/NCBI View Article : Google Scholar

64 

Poku VO and Iram SH: A critical review on modulators of Multidrug Resistance Protein 1 in cancer cells. PeerJ. 10(e12594)2022.PubMed/NCBI View Article : Google Scholar

65 

Boccardo E, Lepique AP and Villa LL: The role of inflammation in HPV carcinogenesis. Carcinogenesis. 31:1905–1912. 2010.PubMed/NCBI View Article : Google Scholar

66 

Sundström K, Ploner A, Arnheim-Dahlström L, Eloranta S, Palmgren J, Adami HO, Ylitalo Helm N, Sparén P and Dillner J: Interactions between high- and low-risk HPV types reduce the risk of squamous cervical cancer. J Natl Cancer Inst. 107(djv185)2015.PubMed/NCBI View Article : Google Scholar

67 

Wu Z, Li TY, Jiang M, Yu L, Zhao J, Wang H, Zhang X, Chen W and Qiao Y: Human papillomavirus (HPV) 16/18 E6 oncoprotein expression in infections with single and multiple genotypes. Cancer Prev Res (Phila). 12:95–102. 2019.PubMed/NCBI View Article : Google Scholar

Related Articles

  • Abstract
  • View
  • Download
  • Twitter
Copy and paste a formatted citation
Spandidos Publications style
Rodríguez‑Romero BI, Pérez‑Vielma NM, Corzo‑Cruz A, Gómez‑López M, Medel‑Flores MO and Sánchez‑Monroy V: Link between multiple human papillomavirus 16 and 18 infection and prostate cancer, and relevance of tumor characteristics. Mol Clin Oncol 23: 85, 2025.
APA
Rodríguez‑Romero, B.I., Pérez‑Vielma, N.M., Corzo‑Cruz, A., Gómez‑López, M., Medel‑Flores, M.O., & Sánchez‑Monroy, V. (2025). Link between multiple human papillomavirus 16 and 18 infection and prostate cancer, and relevance of tumor characteristics. Molecular and Clinical Oncology, 23, 85. https://doi.org/10.3892/mco.2025.2880
MLA
Rodríguez‑Romero, B. I., Pérez‑Vielma, N. M., Corzo‑Cruz, A., Gómez‑López, M., Medel‑Flores, M. O., Sánchez‑Monroy, V."Link between multiple human papillomavirus 16 and 18 infection and prostate cancer, and relevance of tumor characteristics". Molecular and Clinical Oncology 23.3 (2025): 85.
Chicago
Rodríguez‑Romero, B. I., Pérez‑Vielma, N. M., Corzo‑Cruz, A., Gómez‑López, M., Medel‑Flores, M. O., Sánchez‑Monroy, V."Link between multiple human papillomavirus 16 and 18 infection and prostate cancer, and relevance of tumor characteristics". Molecular and Clinical Oncology 23, no. 3 (2025): 85. https://doi.org/10.3892/mco.2025.2880
Copy and paste a formatted citation
x
Spandidos Publications style
Rodríguez‑Romero BI, Pérez‑Vielma NM, Corzo‑Cruz A, Gómez‑López M, Medel‑Flores MO and Sánchez‑Monroy V: Link between multiple human papillomavirus 16 and 18 infection and prostate cancer, and relevance of tumor characteristics. Mol Clin Oncol 23: 85, 2025.
APA
Rodríguez‑Romero, B.I., Pérez‑Vielma, N.M., Corzo‑Cruz, A., Gómez‑López, M., Medel‑Flores, M.O., & Sánchez‑Monroy, V. (2025). Link between multiple human papillomavirus 16 and 18 infection and prostate cancer, and relevance of tumor characteristics. Molecular and Clinical Oncology, 23, 85. https://doi.org/10.3892/mco.2025.2880
MLA
Rodríguez‑Romero, B. I., Pérez‑Vielma, N. M., Corzo‑Cruz, A., Gómez‑López, M., Medel‑Flores, M. O., Sánchez‑Monroy, V."Link between multiple human papillomavirus 16 and 18 infection and prostate cancer, and relevance of tumor characteristics". Molecular and Clinical Oncology 23.3 (2025): 85.
Chicago
Rodríguez‑Romero, B. I., Pérez‑Vielma, N. M., Corzo‑Cruz, A., Gómez‑López, M., Medel‑Flores, M. O., Sánchez‑Monroy, V."Link between multiple human papillomavirus 16 and 18 infection and prostate cancer, and relevance of tumor characteristics". Molecular and Clinical Oncology 23, no. 3 (2025): 85. https://doi.org/10.3892/mco.2025.2880
Follow us
  • Twitter
  • LinkedIn
  • Facebook
About
  • Spandidos Publications
  • Careers
  • Cookie Policy
  • Privacy Policy
How can we help?
  • Help
  • Live Chat
  • Contact
  • Email to our Support Team