Spandidos Publications Logo
  • About
    • About Spandidos
    • Aims and Scopes
    • Abstracting and Indexing
    • Editorial Policies
    • Reprints and Permissions
    • Job Opportunities
    • Terms and Conditions
    • Contact
  • Journals
    • All Journals
    • Oncology Letters
      • Oncology Letters
      • Information for Authors
      • Editorial Policies
      • Editorial Board
      • Aims and Scope
      • Abstracting and Indexing
      • Bibliographic Information
      • Archive
    • International Journal of Oncology
      • International Journal of Oncology
      • Information for Authors
      • Editorial Policies
      • Editorial Board
      • Aims and Scope
      • Abstracting and Indexing
      • Bibliographic Information
      • Archive
    • Molecular and Clinical Oncology
      • Molecular and Clinical Oncology
      • Information for Authors
      • Editorial Policies
      • Editorial Board
      • Aims and Scope
      • Abstracting and Indexing
      • Bibliographic Information
      • Archive
    • Experimental and Therapeutic Medicine
      • Experimental and Therapeutic Medicine
      • Information for Authors
      • Editorial Policies
      • Editorial Board
      • Aims and Scope
      • Abstracting and Indexing
      • Bibliographic Information
      • Archive
    • International Journal of Molecular Medicine
      • International Journal of Molecular Medicine
      • Information for Authors
      • Editorial Policies
      • Editorial Board
      • Aims and Scope
      • Abstracting and Indexing
      • Bibliographic Information
      • Archive
    • Biomedical Reports
      • Biomedical Reports
      • Information for Authors
      • Editorial Policies
      • Editorial Board
      • Aims and Scope
      • Abstracting and Indexing
      • Bibliographic Information
      • Archive
    • Oncology Reports
      • Oncology Reports
      • Information for Authors
      • Editorial Policies
      • Editorial Board
      • Aims and Scope
      • Abstracting and Indexing
      • Bibliographic Information
      • Archive
    • Molecular Medicine Reports
      • Molecular Medicine Reports
      • Information for Authors
      • Editorial Policies
      • Editorial Board
      • Aims and Scope
      • Abstracting and Indexing
      • Bibliographic Information
      • Archive
    • World Academy of Sciences Journal
      • World Academy of Sciences Journal
      • Information for Authors
      • Editorial Policies
      • Editorial Board
      • Aims and Scope
      • Abstracting and Indexing
      • Bibliographic Information
      • Archive
    • International Journal of Functional Nutrition
      • International Journal of Functional Nutrition
      • Information for Authors
      • Editorial Policies
      • Editorial Board
      • Aims and Scope
      • Abstracting and Indexing
      • Bibliographic Information
      • Archive
    • International Journal of Epigenetics
      • International Journal of Epigenetics
      • Information for Authors
      • Editorial Policies
      • Editorial Board
      • Aims and Scope
      • Abstracting and Indexing
      • Bibliographic Information
      • Archive
    • Medicine International
      • Medicine International
      • Information for Authors
      • Editorial Policies
      • Editorial Board
      • Aims and Scope
      • Abstracting and Indexing
      • Bibliographic Information
      • Archive
  • Articles
  • Information
    • Information for Authors
    • Information for Reviewers
    • Information for Librarians
    • Information for Advertisers
    • Conferences
  • Language Editing
Spandidos Publications Logo
  • About
    • About Spandidos
    • Aims and Scopes
    • Abstracting and Indexing
    • Editorial Policies
    • Reprints and Permissions
    • Job Opportunities
    • Terms and Conditions
    • Contact
  • Journals
    • All Journals
    • Biomedical Reports
      • Information for Authors
      • Editorial Policies
      • Editorial Board
      • Aims and Scope
      • Abstracting and Indexing
      • Bibliographic Information
      • Archive
    • Experimental and Therapeutic Medicine
      • Information for Authors
      • Editorial Policies
      • Editorial Board
      • Aims and Scope
      • Abstracting and Indexing
      • Bibliographic Information
      • Archive
    • International Journal of Epigenetics
      • Information for Authors
      • Editorial Policies
      • Editorial Board
      • Aims and Scope
      • Abstracting and Indexing
      • Bibliographic Information
      • Archive
    • International Journal of Functional Nutrition
      • Information for Authors
      • Editorial Policies
      • Editorial Board
      • Aims and Scope
      • Abstracting and Indexing
      • Bibliographic Information
      • Archive
    • International Journal of Molecular Medicine
      • Information for Authors
      • Editorial Policies
      • Editorial Board
      • Aims and Scope
      • Abstracting and Indexing
      • Bibliographic Information
      • Archive
    • International Journal of Oncology
      • Information for Authors
      • Editorial Policies
      • Editorial Board
      • Aims and Scope
      • Abstracting and Indexing
      • Bibliographic Information
      • Archive
    • Medicine International
      • Information for Authors
      • Editorial Policies
      • Editorial Board
      • Aims and Scope
      • Abstracting and Indexing
      • Bibliographic Information
      • Archive
    • Molecular and Clinical Oncology
      • Information for Authors
      • Editorial Policies
      • Editorial Board
      • Aims and Scope
      • Abstracting and Indexing
      • Bibliographic Information
      • Archive
    • Molecular Medicine Reports
      • Information for Authors
      • Editorial Policies
      • Editorial Board
      • Aims and Scope
      • Abstracting and Indexing
      • Bibliographic Information
      • Archive
    • Oncology Letters
      • Information for Authors
      • Editorial Policies
      • Editorial Board
      • Aims and Scope
      • Abstracting and Indexing
      • Bibliographic Information
      • Archive
    • Oncology Reports
      • Information for Authors
      • Editorial Policies
      • Editorial Board
      • Aims and Scope
      • Abstracting and Indexing
      • Bibliographic Information
      • Archive
    • World Academy of Sciences Journal
      • Information for Authors
      • Editorial Policies
      • Editorial Board
      • Aims and Scope
      • Abstracting and Indexing
      • Bibliographic Information
      • Archive
  • Articles
  • Information
    • For Authors
    • For Reviewers
    • For Librarians
    • For Advertisers
    • Conferences
  • Language Editing
Login Register Submit
  • This site uses cookies
  • You can change your cookie settings at any time by following the instructions in our Cookie Policy. To find out more, you may read our Privacy Policy.

    I agree
Search articles by DOI, keyword, author or affiliation
Search
Advanced Search
presentation
Molecular and Clinical Oncology
Join Editorial Board Propose a Special Issue
Print ISSN: 2049-9450 Online ISSN: 2049-9469
Journal Cover
April-2026 Volume 24 Issue 4

Full Size Image

Sign up for eToc alerts
Recommend to Library

Journals

International Journal of Molecular Medicine

International Journal of Molecular Medicine

International Journal of Molecular Medicine is an international journal devoted to molecular mechanisms of human disease.

International Journal of Oncology

International Journal of Oncology

International Journal of Oncology is an international journal devoted to oncology research and cancer treatment.

Molecular Medicine Reports

Molecular Medicine Reports

Covers molecular medicine topics such as pharmacology, pathology, genetics, neuroscience, infectious diseases, molecular cardiology, and molecular surgery.

Oncology Reports

Oncology Reports

Oncology Reports is an international journal devoted to fundamental and applied research in Oncology.

Experimental and Therapeutic Medicine

Experimental and Therapeutic Medicine

Experimental and Therapeutic Medicine is an international journal devoted to laboratory and clinical medicine.

Oncology Letters

Oncology Letters

Oncology Letters is an international journal devoted to Experimental and Clinical Oncology.

Biomedical Reports

Biomedical Reports

Explores a wide range of biological and medical fields, including pharmacology, genetics, microbiology, neuroscience, and molecular cardiology.

Molecular and Clinical Oncology

Molecular and Clinical Oncology

International journal addressing all aspects of oncology research, from tumorigenesis and oncogenes to chemotherapy and metastasis.

World Academy of Sciences Journal

World Academy of Sciences Journal

Multidisciplinary open-access journal spanning biochemistry, genetics, neuroscience, environmental health, and synthetic biology.

International Journal of Functional Nutrition

International Journal of Functional Nutrition

Open-access journal combining biochemistry, pharmacology, immunology, and genetics to advance health through functional nutrition.

International Journal of Epigenetics

International Journal of Epigenetics

Publishes open-access research on using epigenetics to advance understanding and treatment of human disease.

Medicine International

Medicine International

An International Open Access Journal Devoted to General Medicine.

Journal Cover
April-2026 Volume 24 Issue 4

Full Size Image

Sign up for eToc alerts
Recommend to Library

  • Article
  • Citations
    • Cite This Article
    • Download Citation
    • Create Citation Alert
    • Remove Citation Alert
    • Cited By
  • Similar Articles
    • Related Articles (in Spandidos Publications)
    • Similar Articles (Google Scholar)
    • Similar Articles (PubMed)
  • Download PDF
  • Download XML
  • View XML
Case Report Open Access

Unmasking intratumoral heterogeneity: Postoperative revelation of subclonal divergence in de novo metastatic HR‑positive/HER2‑negative breast cancer: A case report

  • Authors:
    • Zeliha Birsin
    • Emir Çerme
    • Ceyda Sönmez Wetherilt
    • Zeynep Hande Turna
  • View Affiliations / Copyright

    Affiliations: Department of Internal Medicine, Faculty of Medicine, Division of Medical Oncology, Istanbul University‑Cerrahpaşa, 34098 Istanbul, Turkey, Department of Pathology, Faculty of Medicine, Istanbul University‑Cerrahpaşa, 34098 Istanbul, Turkey
    Copyright: © Birsin et al. This is an open access article distributed under the terms of Creative Commons Attribution License.
  • Article Number: 27
    |
    Published online on: February 24, 2026
       https://doi.org/10.3892/mco.2026.2936
  • Expand metrics +
Metrics: Total Views: 0 (Spandidos Publications: | PMC Statistics: )
Metrics: Total PDF Downloads: 0 (Spandidos Publications: | PMC Statistics: )
Cited By (CrossRef): 0 citations Loading Articles...

This article is mentioned in:


Abstract

Intratumoral heterogeneity poses a significant challenge in the management of metastatic hormone receptor‑positive (HR+), human epidermal growth factor receptor 2 (HER2)‑negative (HER2‑) breast cancer (BC), as it may contribute to treatment resistance and disease progression. Two cases of de novo metastatic HR+/HER2‑ BC with bone‑only metastases were reported. Both patients responded well to first‑line systemic therapy with CDK4/6 inhibitors and endocrine agents. Locoregional surgery was subsequently performed and revealed HER2‑positive subclones in the primary tumors that were not detected in the initial core biopsies. In one patient, HER2‑targeted therapy was initiated with sustained clinical benefit. In the second patient, CDK4/6 inhibitor therapy was initially continued, but the disease later progressed. Post‑treatment pathology can uncover distinct subclones, reflecting the dynamic nature of tumor biology. These cases highlight the potential value of surgical reassessment in selected patients with metastatic BC to guide individualized treatment strategies.

Introduction

Based on GLOBOCAN 2022 data, breast cancer accounted for 2.3 million new cases and 666,000 deaths globally, remaining the most frequently diagnosed cancer and the leading cause of cancer-related mortality among women (1). A notable proportion, ~3-10%, of cases are diagnosed with distant metastases at the time of initial diagnosi (2-4). The disease comprises a heterogeneous group of subtypes, each with distinct molecular features, clinical behavior, and prognostic implications. Among these, hormone receptor-positive (HR+) and human epidermal growth factor receptor 2 (HER2)-negative (HER2-) BC accounts for nearly 70% of all BC cases (5).

In the metastatic setting, systemic therapy remains the cornerstone of treatment, as recommended by current international guidelines. For patients with metastatic HR+/HER2- disease, the combination of endocrine therapy and cyclin-dependent kinase 4/6 (CDK4/6) inhibitors has emerged as the standard first-line approach, supported by multiple large-scale clinical trials demonstrating significant improvements in both progression-free and overall survival (6-8).

The potential role of locoregional surgery in patients with de novo stage IV BC remains a matter of ongoing investigation. Several retrospective studies and a few prospective randomized trials have assessed whether resection of the primary tumor offers a survival advantage in this setting. However, the results have been inconclusive; some studies report improved outcomes in selected patient populations, whereas others have failed to demonstrate a clear benefit (4,9-11).

BC exhibits significant biological diversity not only between individuals but also within a single tumor. Intratumoral heterogeneity (ITH), characterized by the coexistence of genetically and phenotypically distinct subclones, has emerged as a major challenge in oncology practice (12). This diversity within tumors contributes to diagnostic uncertainty, therapeutic resistance and disease recurrence (13). Subpopulations with resistant features may persist and drive tumor progression (14). A deeper understanding of ITH is therefore essential for optimizing clinical management and developing more effective, personalized therapeutic approaches in BC.

In the present case report, two cases of de novo metastatic HR+, HER2- BC in which an initial favorable response was achieved with standard first-line systemic therapy, were presented. Despite this apparent clinical benefit, subsequent resection of the primary tumor revealed the emergence of HER2-positive (HER2+) tumor clones that had not been detected in baseline diagnostic samples. These findings prompted a change in systemic treatment strategy and illustrate how limited initial sampling may fail to capture clinically actionable subclonal populations or to fully reflect tumor biology under therapeutic pressure, as it remains uncertain whether these HER2+ clones were pre-existing or arose as a result of treatment-driven clonal selection.

Although intratumoral and intertumoral heterogeneity and receptor discordance are well recognized in BC, most prior studies have focused on receptor changes occurring after disease progression or metastatic relapse. By contrast, the present cases demonstrate that biologically relevant HER2+ clones may be present or emerge even in patients with HR+, HER2- metastatic disease who show an early and favorable response to systemic therapy. These observations underscore the potential clinical consequences of ITH and highlight the need for individualized and dynamic treatment strategies, even in patients with initial treatment sensitivity.

Materials and methods

Pathology assessment

Initial diagnostic core needle biopsy specimens were considered adequate for histopathological evaluation in both cases and included multiple tumor-containing cores. Tissue samples were fixed in 10% neutral buffered formalin at room temperature for 6-24 h, routinely processed, and embedded in paraffin. Sections of 4-µm thickness were prepared for hematoxylin-eosin staining and immunohistochemical (IHC) analyses.

IHC staining was performed using validated primary antibodies and standard automated staining protocols in the institutional pathology laboratory. Visualization was achieved using a horseradish peroxidase-based detection system with diaminobenzidine (DAB) as the chromogen. Slides were evaluated under a light microscope by experienced breast pathologists. HER2 status was evaluated by IHC and, when indicated, by silver in situ hybridization (SISH), and interpreted according to the 2018 ASCO/CAP guidelines (15) and subsequent updates applicable at the time of diagnosis (16).

Surgical specimens were sampled according to routine pathological protocols, with multiple representative tumor-containing blocks obtained from different areas of the residual primary tumor. HER2 IHC was performed on selected blocks showing viable invasive carcinoma, and HER2 status was further evaluated by SISH in areas of interest. HER2 assessment was conducted in two independent pathology laboratories to confirm the findings.

Estrogen receptor (ER) and progesterone receptor (PR) status were assessed by IHC and interpreted according to ASCO/CAP guidelines, with tumors considered positive when ≥1% of tumor cell nuclei showed immunoreactivity (17). Ki-67 proliferation index was evaluated by IHC and reported as the percentage of positively stained tumor cell nuclei in areas of highest labeling (hot spots), using standard scoring practice.

IHC analysis was performed on formalin-fixed, paraffin-embedded tissue sections using validated monoclonal antibodies according to standardized protocols. HER2 IHC was conducted on automated staining platforms with appropriate controls. HER2 expression was scored as 0, 1+, 2+, or 3+ based on the intensity and completeness of circumferential membranous staining in invasive tumor cells, in accordance with ASCO/CAP guidelines. A score of 3+ (>10% of tumor cells with strong, complete membranous staining) was considered positive, whereas scores of 0 and 1+ were considered negative. Cases with equivocal HER2 expression (2+) underwent reflex evaluation by in situ hybridization.

Assessment of metastatic disease

In both cases, bone metastases were defined based on imaging findings, without histopathological confirmation. No biopsy of bone lesions was performed, and the diagnosis of metastatic disease was established through radiologic, clinical correlation.

Case report

Case 1

A 41-year-old premenopausal woman presented with a palpable left breast mass. Imaging and biopsy confirmed invasive ductal carcinoma (IDC), grade 3, ER-positive (95%), PR-positive (90%), HER2- (score 0), with a Ki-67 index of 45%. PET/CT showed metastatic bone involvement in C5 and C7 vertebrae. She received systemic therapy with ribociclib (600 mg/day, D1-21), letrozole (2.5 mg/day), goserelin (3.6 mg/month) and denosumab (120 mg/month). PET/CT showed partial regression of breast and axillary lesions and near-complete resolution of vertebral metastases. Following 18 months of disease control, the tumor board recommended surgery for the residual breast tumor.

The patient underwent left breast-conserving surgery (BCS) and sentinel lymph node biopsy (SLNB). The tumor measured 7 mm and was identified as grade 3 IDC. IHC evaluation showed ER positivity of 70%, PR negativity (0%) and strong HER2 overexpression (score 3+). Only 1 of the 3 sentinel lymph nodes was tumor positive. HER2 status was assessed in two independent pathology laboratories and consistently reported as 3+. Further confirmation with SISH demonstrated HER2 gene amplification (SISH-positive).

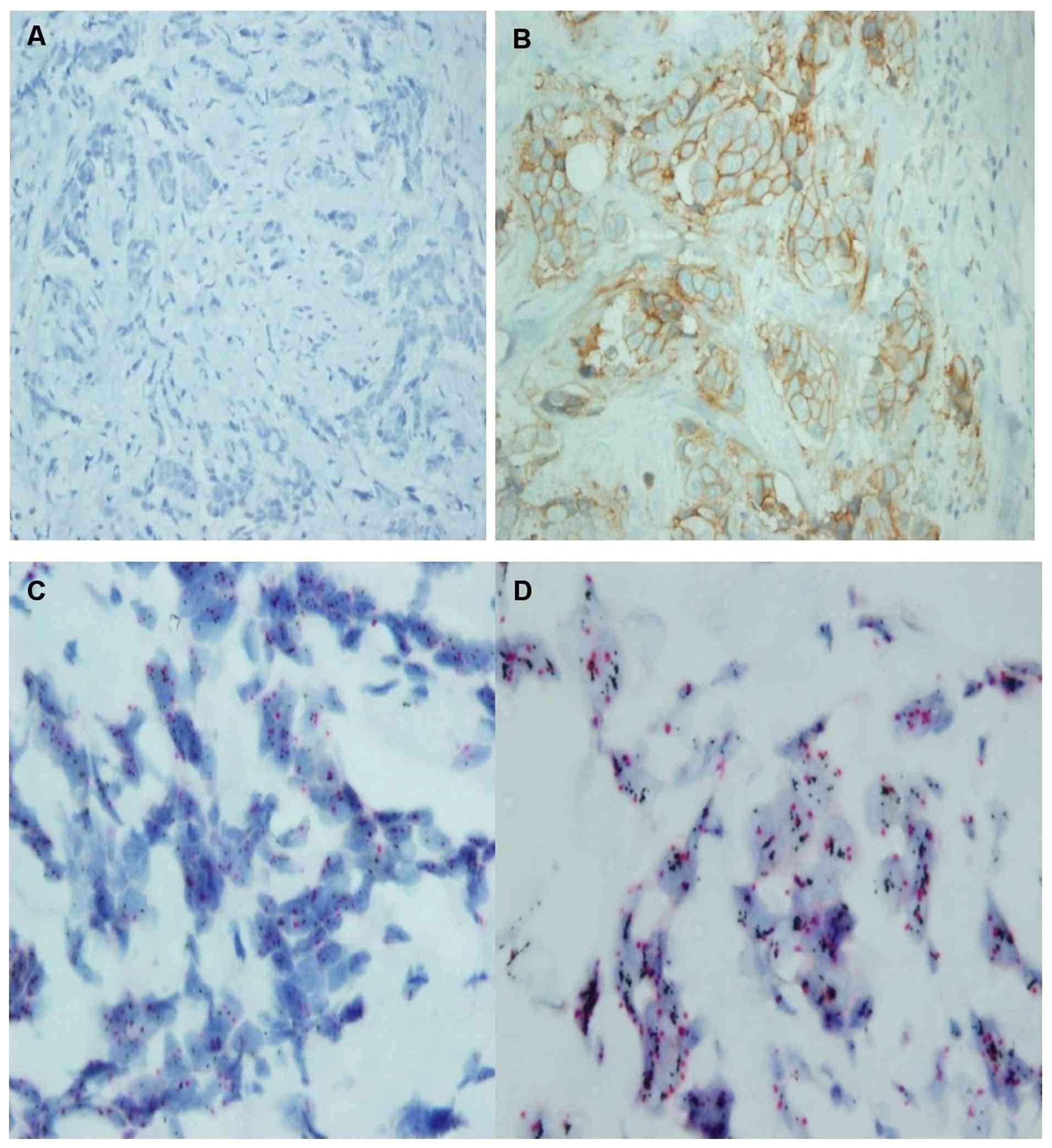
To address potential ITH, the surgical specimen was extensively sampled, with multiple representative tumor-containing blocks obtained from spatially distinct areas. HER2 IHC was performed on several blocks showing viable invasive carcinoma, with consistent HER2 positivity across sampled regions; areas of strong membranous staining were further evaluated by SISH. Re-evaluation of the initial core needle biopsy confirmed HER2 negativity (score 0), consistent with the original diagnostic report. Representative images of IHC and SISH analyses from the initial biopsy and postoperative surgical specimen are shown in Fig. 1A-D.

HER2 evaluation in the initial core
needle biopsy and postoperative surgical specimen in Case 1.
Representative HER2 IHC and SISH images from the initial core
needle biopsy and the postoperative surgical specimen. (A) HER2 IHC
showing negative staining in the initial core needle biopsy
(original magnification, x400). (B) HER2 IHC demonstrating strong
membranous positivity (score 3+) in the postoperative surgical
specimen (original magnification, x400). (C) SISH analysis showing
no HER2 amplification in the initial core needle biopsy (original
magnification, x1,000, oil immersion). (D) SISH analysis
demonstrating HER2 amplification in the postoperative surgical
specimen (original magnification, 1,000, oil immersion). HER2,
human epidermal growth factor receptor 2; IHC,
immunohistochemistry; SISH, silver in situ
hybridization.

Figure 1

HER2 evaluation in the initial core needle biopsy and postoperative surgical specimen in Case 1. Representative HER2 IHC and SISH images from the initial core needle biopsy and the postoperative surgical specimen. (A) HER2 IHC showing negative staining in the initial core needle biopsy (original magnification, x400). (B) HER2 IHC demonstrating strong membranous positivity (score 3+) in the postoperative surgical specimen (original magnification, x400). (C) SISH analysis showing no HER2 amplification in the initial core needle biopsy (original magnification, x1,000, oil immersion). (D) SISH analysis demonstrating HER2 amplification in the postoperative surgical specimen (original magnification, 1,000, oil immersion). HER2, human epidermal growth factor receptor 2; IHC, immunohistochemistry; SISH, silver in situ hybridization.

Following multidisciplinary team (MDT) discussion, it was decided to continue trastuzumab therapy until disease progression or unacceptable toxicity. Concurrently, goserelin and letrozole were maintained as part of the endocrine treatment regimen. The patient had no radiologic evidence of active disease at the last follow-up (28 months) and remains under active surveillance.

Case 2

A 51-year-old perimenopausal woman with low back pain. Lumbar MRI was performed and revealed pathological signal changes in the L2, L3, S1 and S3 vertebral bodies, consistent with bone metastases. Breast ultrasound revealed a 1.5-cm solid lesion in the right breast and a 10-mm right axillary lymph node. Biopsy confirmed IDC, grade 2, with ER 100%, PR 85%, HER2 score 0 and Ki-67 42%. Staging PET/CT revealed skeletal metastases, a right breast primary lesion, and metastatic lymph nodes in the right axilla and internal mammary chain. The patient received radiotherapy to the involved bone sites and was started on systemic therapy with ribociclib (600 mg/day), letrozole (2.5 mg/day), leuprolide (3.75 mg/month) and denosumab (120 mg/month). PET/CT demonstrated partial regression of the primary breast lesion and axillary lymph nodes, along with near-complete regression of bone metastases after 3 months. Ater 22 months of treatment, PET/CT showed a stable 6-mm lesion in the right breast and inactive skeletal metastases. Given the sustained response without progression, the case was discussed in the MDT, and surgery was recommended and the patient underwent right BCS with SLNB.

Postoperative pathology revealed multifocal grade 3 IDC with neuroendocrine differentiation, with tumor foci ranging from 0.1-0.5 cm. IHC showed ER 70%, PR 0%, HER2 score 2+, Ki-67 4%, and positivity for synaptophysin and chromogranin. HER2 status was further evaluated by SISH in two independent pathology centers, both confirming HER2 amplification. Postoperative histopathological images were not available for this case, as the surgical specimen was evaluated externally.

Due to HER2 discordance, MDT opted to continue the CDK4/6-based regimen. After 7 months, PET/CT showed new liver and vertebral metastases. Liver biopsy confirmed IDC with neuroendocrine differentiation, ER 60%, HER2 IHC 1+, and SISH-negative findings. According to current ASCO/CAP guidelines, this profile was considered HER2- (HER2-low) (16). Despite this finding, the case was included in the present series because HER2 amplification was detected in the postoperative primary tumor specimen, indicating discordant HER2 status between the initial biopsy and the resected tumor. IHC and SISH images from the liver metastasis biopsy are shown in Fig. 2A and B.

Histopathological evaluation of liver
metastasis in Case 2. Representative HER2 IHC and SISH images from
the liver metastasis biopsy. (A) HER2 IHC demonstrating a HER2-low
profile in the liver metastasis biopsy (original magnification,
x400). (B) SISH analysis showing no HER2 amplification in the liver
metastasis biopsy (original magnification, x1,000; oil immersion).
HER2, human epidermal growth factor receptor 2; IHC,
immunohistochemistry; SISH, silver in situ
hybridization.

Figure 2

Histopathological evaluation of liver metastasis in Case 2. Representative HER2 IHC and SISH images from the liver metastasis biopsy. (A) HER2 IHC demonstrating a HER2-low profile in the liver metastasis biopsy (original magnification, x400). (B) SISH analysis showing no HER2 amplification in the liver metastasis biopsy (original magnification, x1,000; oil immersion). HER2, human epidermal growth factor receptor 2; IHC, immunohistochemistry; SISH, silver in situ hybridization.

Although the liver biopsy demonstrated a HER2-low phenotype (IHC 1+, SISH-negative), docetaxel, trastuzumab and pertuzumab were initiated, along with selective internal radiation therapy, based on the presence of a HER2 3+ amplified clone identified in the postoperative primary tumor specimen, following MDT discussion. Following eight cycles, partial hepatic response was achieved. Docetaxel was discontinued due to toxicity, and treatment continued with trastuzumab, pertuzumab and fulvestrant. Despite this, central nervous system CNS and liver progression occurred.

Carboplatin/gemcitabine was initiated after cranial radiotherapy and resulted in a partial hepatic response; however, disease progression with new liver lesions occurred after six cycles. In the context of disease progression under dual HER2 blockade and limited benefit from platinum-based chemotherapy, and based on the HER2-low status (IHC 1+), trastuzumab deruxtecan (T-DXd) was initiated in line with evidence from the DESTINY-Breast04(18) and DESTINY-Breast06(19) trials. Liver function subsequently improved, and follow-up PET/CT is pending. The key clinical milestones and treatment sequences of the two reported cases are summarized in Table I.

Table I

Simplified clinical timeline of the two cases.

Table I

Simplified clinical timeline of the two cases.

Timeline stepCase 1Case 2
Diagnosis HR+/HER2- breast cancer with bone-only metastases HR+/HER2- breast cancer with bone-only metastases
First-line systemic therapyCDK4/6 inhibitor + endocrine therapyCDK4/6 inhibitor + endocrine therapy
Best responseSustained disease controlSustained disease control
SurgeryPerformed after responsePerformed after response
Postoperative pathologyHER2-positive subclone identifiedHER2-positive subclone identified
Initial post-surgical managementAnti-HER2 therapy addedCDK4/6-based therapy continued
Disease progression/reassessment-Liver metastasis → liver biopsy (HER2-low)
Subsequent systemic therapy-Dual HER2 blockade (THP)
Further treatment-Chemotherapy
Later-line therapy-Trastuzumab deruxtecan (T-DXd)
Follow-upNo radiologic evidence of active diseaseOngoing follow-up

[i] HR, hormone receptor; HER2, human epidermal growth factor receptor 2; CDK4/6, cyclin-dependent kinase 4/6; THP, trastuzumab-pertuzumab-docetaxel; T-DXd, trastuzumab deruxtecan.

Discussion

The role of locoregional surgery in de novo stage IV BC remains controversial. While retrospective studies have suggested a potential survival benefit in selected patients with low tumor burden, these findings are limited by inherent selection bias (20). By contrast, most randomized controlled trials have failed to demonstrate a significant survival advantage associated with surgery (21-23). However, a recent meta-analysis suggested that patients with hormone receptor-positive, HER2- tumors in selected clinical scenarios may derive benefit from locoregional treatment, supporting a hypothesis-generating role for surgery rather than a general treatment strategy (4). Additionally, the prospective BOMET MF 14-01 study demonstrated a significant survival benefit from locoregional surgery in patients with de novo stage IV BC presenting with bone-only metastases, a finding that further informs discussion in selected patient populations (10). In this context, locoregional surgery was performed in two patients with de novo metastatic hormone receptor-positive, HER2- BC with bone-only metastases who had achieved a favorable response to first-line systemic therapy. In these cases, surgery provided local control and enabled a more detailed pathological assessment of the primary tumor.

BC is widely recognized for its pronounced heterogeneity, which plays a pivotal role in tumor progression, therapeutic response and clinical outcomes. This heterogeneity manifests at two distinct levels: Intertumoral heterogeneity, which refers to the biological differences between tumors of different patients or between primary and metastatic lesions; and ITH, which denotes the coexistence of diverse subclonal populations within a single tumor (24). Both forms of heterogeneity contribute to the complexity of disease management and highlight the need for individualized treatment strategies.

In clinical practice, the significance of this biological complexity becomes particularly evident in metastatic BC. When disease progression occurs, repeat biopsy is typically recommended to assess intertumoral heterogeneity, such as receptor status discordance between primary and metastatic sites (25). However, identifying ITH is considerably more challenging (26). While broader tumor sampling may provide additional biological information, surgical resection is not routinely performed in metastatic disease and is not intended as a tool to reveal ITH; rather, it may be feasible only in selected cases. In the present study, HER2+ subclones were identified only after surgical resection in both cases.

Two cases of hormone receptor-positive, HER2- de novo metastatic BC with bone metastases, were presented. After a favorable response to first-line systemic treatment with endocrine therapy and CDK4/6 inhibitors, both patients had persistent residual primary breast tumors. To achieve local control and obtain a more comprehensive pathological assessment, surgical resection of the primary lesions was performed. Postoperative histopathological analysis revealed unexpected ITH, specifically the presence of HER2+ subclones that had not been detected in the initial diagnostic biopsies. These findings prompted a change in therapeutic strategy.

In the first case, although the patient had shown a favorable systemic response to CDK4/6 inhibitor therapy, it was decided to continue trastuzumab in addition to endocrine therapy to target the HER2+ component identified in the surgical specimen. The patient has no radiologic evidence of active disease and remains under follow-up.

In the second case, CDK4/6 inhibitor therapy was initially continued due to the favorable clinical response. However, the patient later developed progressive disease with new liver metastases. A biopsy of the liver lesion revealed a HER2-low phenotype (IHC score 1+). Despite this, based on the HER2+ clone found in the breast tumor, dual HER2 blockade with trastuzumab and pertuzumab was initiated. Unfortunately, the patient did not respond to this approach. Local therapy was required to control the liver lesion, and systemic chemotherapy was resumed as the main treatment strategy. Subsequently, considering the HER2-low phenotype in the liver metastasis, treatment was continued with T-DXd, a novel option for HER2-low disease. In this setting, identification of a HER2-low phenotype in the metastatic lesion provided a rationale for considering trastuzumab deruxtecan, in line with emerging evidence supporting the role of antibody-drug conjugates in HER2-low metastatic BC (17,18). Overall, this treatment sequence illustrates that, in cases with HER2 discordance, therapeutic decisions may be guided by reassessment of tumor biology.

An important consideration in interpreting these findings is whether the observed HER2+ subclones reflect true biological evolution under systemic therapy or sampling limitations of the initial core needle biopsy. In both cases, HER2 positivity was identified only in the surgical specimen and not in the initial biopsy, precluding a definitive distinction between these mechanisms.

This issue is particularly evident in Case 2, where HER2 amplification detected in the surgical specimen was followed by a HER2-low profile in a subsequent liver biopsy, together with limited clinical benefit from anti-HER2 therapy. This pattern may reflect spatial heterogeneity, temporal changes in tumor biology under treatment-related selective pressure, or technical variability in HER2 assessment across different tissue samples. Given the case-based nature of this report, it remains unclear which mechanism predominated; however, these findings underscore the dynamic and context-dependent nature of HER2 expression in metastatic BC.

These two cases highlight two important aspects: First, the decision to perform surgery in metastatic BC following a favorable response to initial systemic treatment; and second, the unexpected identification of ITH, specifically HER2+ subclones, through pathological evaluation of the surgical specimens. To the best of our knowledge, no previous studies have described the emergence of HER2+ subclones revealed solely by surgery after systemic therapy in HR+/HER2- de novo metastatic BC. Although ITH is a well-recognized biological phenomenon, the emergence of HER2+ subclones after an initial favorable response to endocrine-based therapy in metastatic HR+/HER2- BC, identified following surgery, presents a therapeutic challenge. The present cases emphasize how such findings, revealed only through more comprehensive tumor assessment, may complicate treatment decisions and underscore the dynamic nature of tumor biology in HR+/HER2- de novo metastatic BC.

In conclusion, these two cases highlight the potential clinical impact of ITH in de novo metastatic HR-positive/HER2- BC. While limited by their case-based nature, they serve as a practical reminder that tumor biology may be underestimated by initial diagnostic sampling. Reassessment of tumor characteristics, when feasible, may offer additional clinically relevant information and should be considered in selected scenarios where it may help inform treatment decisions.

Acknowledgements

Not applicable.

Funding

Funding: No funding was received.

Availability of data and materials

The data generated in the present study are included in the figures and/or tables of this article.

Authors' contributions

ZB and ZHT contributed to the conception, design and supervision of the study. ZB and EÇ collected and analyzed the clinical data. CSW performed and interpreted the pathological analysis. ZB and ZHT confirm the authenticity of all the raw data. All authors read and approved the final version of the manuscript.

Ethics approval and consent to participate

Not applicable.

Patient consent for publication

Written informed consent was obtained from the patients for publication of their clinical details and associated images.

Competing interests

The authors declare that they have no competing interests.

References

1 

Bray F, Laversanne M, Sung H, Ferlay J, Siegel RL, Soerjomataram I and Jemal A: Global cancer statistics 2022: GLOBOCAN estimates of incidence and mortality worldwide for 36 cancers in 185 countries. CA Cancer J Clin. 74:229–263. 2024.PubMed/NCBI View Article : Google Scholar

2 

Lobbezoo DJ, van Kampen RJ, Voogd AC, Dercksen MW, van den Berkmortel F, Smilde TJ, van de Wouw AJ, Peters FP, van Riel JM, Peters NA, et al: Prognosis of metastatic breast cancer subtypes: The hormone receptor/HER2-positive subtype is associated with the most favorable outcome. Breast Cancer Res Treat. 141:507–514. 2013.PubMed/NCBI View Article : Google Scholar

3 

den Brok WD, Speers CH, Gondara L, Baxter E, Tyldesley SK and Lohrisch CA: Survival with metastatic breast cancer based on initial presentation, de novo versus relapsed. Breast Cancer Res Treat. 161:549–556. 2017.PubMed/NCBI View Article : Google Scholar

4 

Zhou W, Yue Y, Xiong J, Li W and Zeng X: The role of locoregional surgery in de novo stage IV breast cancer: A meta-analysis of randomized controlled trials. Cancer Treat Rev. 129(102784)2024.PubMed/NCBI View Article : Google Scholar

5 

Giaquinto AN, Sung H, Newman LA, Freedman RA, Smith RA, Star J, Jemal A and Siegel RL: Breast cancer statistics 2024. CA Cancer J Clin. 74:477–495. 2024.PubMed/NCBI View Article : Google Scholar

6 

Lu YS, Im SA, Colleoni M, Franke F, Bardia A, Cardoso F, Harbeck N, Hurvitz S, Chow L, Sohn J, et al: Updated overall survival of ribociclib plus endocrine therapy versus endocrine therapy alone in pre- and perimenopausal patients with HR+/HER2- advanced breast cancer in MONALEESA-7: A phase III Randomized clinical trial. Clin Cancer Res. 28:851–859. 2022.PubMed/NCBI View Article : Google Scholar

7 

Sledge GW Jr, Toi M, Neven P, Sohn J, Inoue K, Pivot X, Burdaeva O, Okera M, Masuda N, Kaufman PA, et al: The effect of abemaciclib plus fulvestrant on overall survival in hormone receptor-positive, ERBB2-Negative breast cancer that progressed on endocrine therapy-MONARCH 2: A Randomized clinical trial. JAMA Oncol. 6:116–124. 2020.PubMed/NCBI View Article : Google Scholar

8 

Cristofanilli M, Rugo HS, Im SA, Slamon DJ, Harbeck N, Bondarenko I, Masuda N, Colleoni M, DeMichele A, Loi S, et al: Overall survival with palbociclib and fulvestrant in women with HR+/HER2- ABC: Updated exploratory analyses of PALOMA-3, a double-blind, phase III Randomized study. Clin Cancer Res. 28:3433–3442. 2022.PubMed/NCBI View Article : Google Scholar

9 

Huang Z, Zhou X, Tong Y, Zhu L, Zhao R and Huang X: Surgery for primary tumor benefits survival for breast cancer patients with bone metastases: A large cohort retrospective study. BMC Cancer. 21(222)2021.PubMed/NCBI View Article : Google Scholar

10 

Soran A, Dogan L, Isik A, Ozbas S, Trabulus DC, Demirci U, Karanlik H, Soyder A, Dag A, Bilici A, et al: The effect of primary surgery in patients with de novo stage IV breast cancer with bone metastasis only (Protocol BOMET MF 14-01): A multi-center, prospective registry study. Ann Surg Oncol. 28:5048–5057. 2021.PubMed/NCBI View Article : Google Scholar

11 

Tinterri C, Sagona A, Barbieri E, Di Maria Grimaldi S, Jacobs F, Zambelli A, Trimboli RM, Bernardi D, Vinci V and Gentile D: Loco-regional treatment of the primary tumor in de novo metastatic breast cancer patients undergoing front-line chemotherapy. Cancers (Basel). 14(6237)2022.PubMed/NCBI View Article : Google Scholar

12 

Zardavas D, Irrthum A, Swanton C and Piccart M: Clinical management of breast cancer heterogeneity. Nat Rev Clin Oncol. 12:381–394. 2015.PubMed/NCBI View Article : Google Scholar

13 

Vitale I, Shema E, Loi S and Galluzzi L: Intratumoral heterogeneity in cancer progression and response to immunotherapy. Nat Med. 27:212–224. 2021.PubMed/NCBI View Article : Google Scholar

14 

Gu TQ, Xiao YL and Shao ZM: Intratumor heterogeneity in breast cancer: Tracing its origins and translating findings into clinical practice. Precision Medicine and Engineering. 1(100006)2024.

15 

Wolff AC, Hammond MEH, Allison KH, Harvey BE, Mangu PB, Bartlett JMS, Bartlett JMS, Bilous M, Ellis IO, Fitzgibbons P, et al: Human epidermal growth factor receptor 2 testing in breast cancer: American society of clinical oncology/college of American pathologists clinical practice guideline focused update. J Clin Oncol. 36:2105–2122. 2018.PubMed/NCBI View Article : Google Scholar

16 

Wolff AC, Somerfield MR, Dowsett M, Hammond MEH, Hayes DF, McShane LM, Saphner TJ, Spears PA and Allison KH: Human epidermal growth factor receptor 2 testing in breast cancer: ASCO-College of American pathologists guideline update. J Clin Oncol. 41:3867–3872. 2023.PubMed/NCBI View Article : Google Scholar

17 

Allison KH, Hammond MEH, Dowsett M, McKernin SE, Carey LA, Fitzgibbons PL, Hayes DF, Lakhani SR, Chavez-MacGregor M, Perlmutter J, et al: Estrogen and progesterone receptor testing in breast cancer: ASCO/CAP guideline update. J Clin Oncol. 38:1346–1366. 2020.PubMed/NCBI View Article : Google Scholar

18 

Modi S, Jacot W, Yamashita T, Sohn J, Vidal M, Tokunaga E, Tsurutani J, Ueno NT, Prat A, Chae YS, et al: Trastuzumab deruxtecan in previously treated HER2-Low advanced breast cancer. N Engl J Med. 387:9–20. 2022.PubMed/NCBI View Article : Google Scholar

19 

Bardia A, Hu X, Dent R, Yonemori K, Barrios CH, O'Shaughnessy JA, Wildiers H, Pierga JY, Zhang Q, Saura C, et al: Trastuzumab deruxtecan after endocrine therapy in metastatic breast cancer. N Engl J Med. 391:2110–2122. 2024.PubMed/NCBI View Article : Google Scholar

20 

Lu S, Wu J, Fang Y, Wang W, Zong Y, Chen X, Huang O, He JR, Chen W, Li Y, et al: The impact of surgical excision of the primary tumor in stage IV breast cancer on survival: a meta-analysis. Oncotarget. 9:11816–11823. 2017.PubMed/NCBI View Article : Google Scholar

21 

Badwe R, Hawaldar R, Nair N, Kaushik R, Parmar V, Siddique S, Budrukkar A, Mittra I and Gupta S: Locoregional treatment versus no treatment of the primary tumour in metastatic breast cancer: An open-label randomised controlled trial. Lancet Oncol. 16:1380–1288. 2015.PubMed/NCBI View Article : Google Scholar

22 

Khan SA, Zhao F, Goldstein LJ, Cella D, Basik M, Golshan M, Julian TB, Pockaj BA, Lee CA, Razaq W, et al: Early local therapy for the primary site in de novo stage IV breast cancer: Results of a Randomized clinical trial (EA2108). J Clin Oncol. 40:978–987. 2022.PubMed/NCBI View Article : Google Scholar

23 

Fitzal F, Bjelic-Radisic V, Knauer M, Steger G, Hubalek M, Balic M, Singer C, Bartsch R, Schrenk P, Soelkner L, et al: Impact of breast surgery in primary metastasized breast cancer: outcomes of the prospective Randomized phase III ABCSG-28 POSYTIVE trial. Ann Surg. 269:1163–1169. 2019.PubMed/NCBI View Article : Google Scholar

24 

Visvader JE: Cells of origin in cancer. Nature. 469:314–322. 2011.PubMed/NCBI View Article : Google Scholar

25 

Holdaway IM and Bowditch JV: Variation in receptor status between primary and metastatic breast cancer. Cancer. 52:479–485. 1983.PubMed/NCBI View Article : Google Scholar

26 

Ramón Y, Cajal S, Sesé M, Capdevila C, Aasen T, De Mattos-Arruda L, Diaz-Cano SJ, Hernández-Losa J and Castellví J: Clinical implications of intratumor heterogeneity: Challenges and opportunities. J Mol Med (Berl). 98:161–177. 2020.PubMed/NCBI View Article : Google Scholar

Related Articles

  • Abstract
  • View
  • Download
  • Twitter
Copy and paste a formatted citation
Spandidos Publications style
Birsin Z, Çerme E, Sönmez Wetherilt C and Turna ZH: Unmasking intratumoral heterogeneity: Postoperative revelation of subclonal divergence in <em>de novo</em> metastatic HR‑positive/HER2‑negative breast cancer: A case report. Mol Clin Oncol 24: 27, 2026.
APA
Birsin, Z., Çerme, E., Sönmez Wetherilt, C., & Turna, Z.H. (2026). Unmasking intratumoral heterogeneity: Postoperative revelation of subclonal divergence in <em>de novo</em> metastatic HR‑positive/HER2‑negative breast cancer: A case report. Molecular and Clinical Oncology, 24, 27. https://doi.org/10.3892/mco.2026.2936
MLA
Birsin, Z., Çerme, E., Sönmez Wetherilt, C., Turna, Z. H."Unmasking intratumoral heterogeneity: Postoperative revelation of subclonal divergence in <em>de novo</em> metastatic HR‑positive/HER2‑negative breast cancer: A case report". Molecular and Clinical Oncology 24.4 (2026): 27.
Chicago
Birsin, Z., Çerme, E., Sönmez Wetherilt, C., Turna, Z. H."Unmasking intratumoral heterogeneity: Postoperative revelation of subclonal divergence in <em>de novo</em> metastatic HR‑positive/HER2‑negative breast cancer: A case report". Molecular and Clinical Oncology 24, no. 4 (2026): 27. https://doi.org/10.3892/mco.2026.2936
Copy and paste a formatted citation
x
Spandidos Publications style
Birsin Z, Çerme E, Sönmez Wetherilt C and Turna ZH: Unmasking intratumoral heterogeneity: Postoperative revelation of subclonal divergence in <em>de novo</em> metastatic HR‑positive/HER2‑negative breast cancer: A case report. Mol Clin Oncol 24: 27, 2026.
APA
Birsin, Z., Çerme, E., Sönmez Wetherilt, C., & Turna, Z.H. (2026). Unmasking intratumoral heterogeneity: Postoperative revelation of subclonal divergence in <em>de novo</em> metastatic HR‑positive/HER2‑negative breast cancer: A case report. Molecular and Clinical Oncology, 24, 27. https://doi.org/10.3892/mco.2026.2936
MLA
Birsin, Z., Çerme, E., Sönmez Wetherilt, C., Turna, Z. H."Unmasking intratumoral heterogeneity: Postoperative revelation of subclonal divergence in <em>de novo</em> metastatic HR‑positive/HER2‑negative breast cancer: A case report". Molecular and Clinical Oncology 24.4 (2026): 27.
Chicago
Birsin, Z., Çerme, E., Sönmez Wetherilt, C., Turna, Z. H."Unmasking intratumoral heterogeneity: Postoperative revelation of subclonal divergence in <em>de novo</em> metastatic HR‑positive/HER2‑negative breast cancer: A case report". Molecular and Clinical Oncology 24, no. 4 (2026): 27. https://doi.org/10.3892/mco.2026.2936
Follow us
  • Twitter
  • LinkedIn
  • Facebook
About
  • Spandidos Publications
  • Careers
  • Cookie Policy
  • Privacy Policy
How can we help?
  • Help
  • Live Chat
  • Contact
  • Email to our Support Team