Spandidos Publications Logo
  • About
    • About Spandidos
    • Aims and Scopes
    • Abstracting and Indexing
    • Editorial Policies
    • Reprints and Permissions
    • Job Opportunities
    • Terms and Conditions
    • Contact
  • Journals
    • All Journals
    • Oncology Letters
      • Oncology Letters
      • Information for Authors
      • Editorial Policies
      • Editorial Board
      • Aims and Scope
      • Abstracting and Indexing
      • Bibliographic Information
      • Archive
    • International Journal of Oncology
      • International Journal of Oncology
      • Information for Authors
      • Editorial Policies
      • Editorial Board
      • Aims and Scope
      • Abstracting and Indexing
      • Bibliographic Information
      • Archive
    • Molecular and Clinical Oncology
      • Molecular and Clinical Oncology
      • Information for Authors
      • Editorial Policies
      • Editorial Board
      • Aims and Scope
      • Abstracting and Indexing
      • Bibliographic Information
      • Archive
    • Experimental and Therapeutic Medicine
      • Experimental and Therapeutic Medicine
      • Information for Authors
      • Editorial Policies
      • Editorial Board
      • Aims and Scope
      • Abstracting and Indexing
      • Bibliographic Information
      • Archive
    • International Journal of Molecular Medicine
      • International Journal of Molecular Medicine
      • Information for Authors
      • Editorial Policies
      • Editorial Board
      • Aims and Scope
      • Abstracting and Indexing
      • Bibliographic Information
      • Archive
    • Biomedical Reports
      • Biomedical Reports
      • Information for Authors
      • Editorial Policies
      • Editorial Board
      • Aims and Scope
      • Abstracting and Indexing
      • Bibliographic Information
      • Archive
    • Oncology Reports
      • Oncology Reports
      • Information for Authors
      • Editorial Policies
      • Editorial Board
      • Aims and Scope
      • Abstracting and Indexing
      • Bibliographic Information
      • Archive
    • Molecular Medicine Reports
      • Molecular Medicine Reports
      • Information for Authors
      • Editorial Policies
      • Editorial Board
      • Aims and Scope
      • Abstracting and Indexing
      • Bibliographic Information
      • Archive
    • World Academy of Sciences Journal
      • World Academy of Sciences Journal
      • Information for Authors
      • Editorial Policies
      • Editorial Board
      • Aims and Scope
      • Abstracting and Indexing
      • Bibliographic Information
      • Archive
    • International Journal of Functional Nutrition
      • International Journal of Functional Nutrition
      • Information for Authors
      • Editorial Policies
      • Editorial Board
      • Aims and Scope
      • Abstracting and Indexing
      • Bibliographic Information
      • Archive
    • International Journal of Epigenetics
      • International Journal of Epigenetics
      • Information for Authors
      • Editorial Policies
      • Editorial Board
      • Aims and Scope
      • Abstracting and Indexing
      • Bibliographic Information
      • Archive
    • Medicine International
      • Medicine International
      • Information for Authors
      • Editorial Policies
      • Editorial Board
      • Aims and Scope
      • Abstracting and Indexing
      • Bibliographic Information
      • Archive
  • Articles
  • Information
    • Information for Authors
    • Information for Reviewers
    • Information for Librarians
    • Information for Advertisers
    • Conferences
  • Language Editing
Spandidos Publications Logo
  • About
    • About Spandidos
    • Aims and Scopes
    • Abstracting and Indexing
    • Editorial Policies
    • Reprints and Permissions
    • Job Opportunities
    • Terms and Conditions
    • Contact
  • Journals
    • All Journals
    • Biomedical Reports
      • Information for Authors
      • Editorial Policies
      • Editorial Board
      • Aims and Scope
      • Abstracting and Indexing
      • Bibliographic Information
      • Archive
    • Experimental and Therapeutic Medicine
      • Information for Authors
      • Editorial Policies
      • Editorial Board
      • Aims and Scope
      • Abstracting and Indexing
      • Bibliographic Information
      • Archive
    • International Journal of Epigenetics
      • Information for Authors
      • Editorial Policies
      • Editorial Board
      • Aims and Scope
      • Abstracting and Indexing
      • Bibliographic Information
      • Archive
    • International Journal of Functional Nutrition
      • Information for Authors
      • Editorial Policies
      • Editorial Board
      • Aims and Scope
      • Abstracting and Indexing
      • Bibliographic Information
      • Archive
    • International Journal of Molecular Medicine
      • Information for Authors
      • Editorial Policies
      • Editorial Board
      • Aims and Scope
      • Abstracting and Indexing
      • Bibliographic Information
      • Archive
    • International Journal of Oncology
      • Information for Authors
      • Editorial Policies
      • Editorial Board
      • Aims and Scope
      • Abstracting and Indexing
      • Bibliographic Information
      • Archive
    • Medicine International
      • Information for Authors
      • Editorial Policies
      • Editorial Board
      • Aims and Scope
      • Abstracting and Indexing
      • Bibliographic Information
      • Archive
    • Molecular and Clinical Oncology
      • Information for Authors
      • Editorial Policies
      • Editorial Board
      • Aims and Scope
      • Abstracting and Indexing
      • Bibliographic Information
      • Archive
    • Molecular Medicine Reports
      • Information for Authors
      • Editorial Policies
      • Editorial Board
      • Aims and Scope
      • Abstracting and Indexing
      • Bibliographic Information
      • Archive
    • Oncology Letters
      • Information for Authors
      • Editorial Policies
      • Editorial Board
      • Aims and Scope
      • Abstracting and Indexing
      • Bibliographic Information
      • Archive
    • Oncology Reports
      • Information for Authors
      • Editorial Policies
      • Editorial Board
      • Aims and Scope
      • Abstracting and Indexing
      • Bibliographic Information
      • Archive
    • World Academy of Sciences Journal
      • Information for Authors
      • Editorial Policies
      • Editorial Board
      • Aims and Scope
      • Abstracting and Indexing
      • Bibliographic Information
      • Archive
  • Articles
  • Information
    • For Authors
    • For Reviewers
    • For Librarians
    • For Advertisers
    • Conferences
  • Language Editing
Login Register Submit
  • This site uses cookies
  • You can change your cookie settings at any time by following the instructions in our Cookie Policy. To find out more, you may read our Privacy Policy.

    I agree
Search articles by DOI, keyword, author or affiliation
Search
Advanced Search
presentation
Medicine International
Join Editorial Board Propose a Special Issue
Print ISSN: 2754-3242 Online ISSN: 2754-1304
Journal Cover
July-August 2022 Volume 2 Issue 4

Full Size Image

Sign up for eToc alerts
Recommend to Library

Journals

International Journal of Molecular Medicine

International Journal of Molecular Medicine

International Journal of Molecular Medicine is an international journal devoted to molecular mechanisms of human disease.

International Journal of Oncology

International Journal of Oncology

International Journal of Oncology is an international journal devoted to oncology research and cancer treatment.

Molecular Medicine Reports

Molecular Medicine Reports

Covers molecular medicine topics such as pharmacology, pathology, genetics, neuroscience, infectious diseases, molecular cardiology, and molecular surgery.

Oncology Reports

Oncology Reports

Oncology Reports is an international journal devoted to fundamental and applied research in Oncology.

Experimental and Therapeutic Medicine

Experimental and Therapeutic Medicine

Experimental and Therapeutic Medicine is an international journal devoted to laboratory and clinical medicine.

Oncology Letters

Oncology Letters

Oncology Letters is an international journal devoted to Experimental and Clinical Oncology.

Biomedical Reports

Biomedical Reports

Explores a wide range of biological and medical fields, including pharmacology, genetics, microbiology, neuroscience, and molecular cardiology.

Molecular and Clinical Oncology

Molecular and Clinical Oncology

International journal addressing all aspects of oncology research, from tumorigenesis and oncogenes to chemotherapy and metastasis.

World Academy of Sciences Journal

World Academy of Sciences Journal

Multidisciplinary open-access journal spanning biochemistry, genetics, neuroscience, environmental health, and synthetic biology.

International Journal of Functional Nutrition

International Journal of Functional Nutrition

Open-access journal combining biochemistry, pharmacology, immunology, and genetics to advance health through functional nutrition.

International Journal of Epigenetics

International Journal of Epigenetics

Publishes open-access research on using epigenetics to advance understanding and treatment of human disease.

Medicine International

Medicine International

An International Open Access Journal Devoted to General Medicine.

Journal Cover
July-August 2022 Volume 2 Issue 4

Full Size Image

Sign up for eToc alerts
Recommend to Library

  • Article
  • Citations
    • Cite This Article
    • Download Citation
    • Create Citation Alert
    • Remove Citation Alert
    • Cited By
  • Similar Articles
    • Related Articles (in Spandidos Publications)
    • Similar Articles (Google Scholar)
    • Similar Articles (PubMed)
  • Download PDF
  • Download XML
  • View XML
Article Open Access

Clinical efficacy of laparoscopic surgery used for the excision of villus tissue and the repair of uterine scar in patients with cesarean scar pregnancy‑II

  • Authors:
    • Xiao Man Li
    • Xiao Feng Xu
    • Ning Ning Wang
    • Li Yao
  • View Affiliations / Copyright

    Affiliations: Department of Obstetrics and Gynecology, Zhengzhou Yi He Hospital, Zhengzhou, Henan 450000, P.R. China
    Copyright: © Li et al. This is an open access article distributed under the terms of Creative Commons Attribution License.
  • Article Number: 23
    |
    Published online on: July 26, 2022
       https://doi.org/10.3892/mi.2022.48
  • Expand metrics +
Metrics: Total Views: 0 (Spandidos Publications: | PMC Statistics: )
Metrics: Total PDF Downloads: 0 (Spandidos Publications: | PMC Statistics: )
Cited By (CrossRef): 0 citations Loading Articles...

This article is mentioned in:


Abstract

The present study described the clinical presentation of patients with cesarean scar pregnancy type II (CSP)‑II diagnosed by ultrasound or magnetic resonance imaging, who underwent laparoscopic surgery resection or hysteroscopic treatment. The aim of the present study was to evaluate the outcomes of different treatments for CSP. The patients with CSP‑II were assigned to the laparoscopy and hysteroscopy groups according to the type of surgery performed. The general indicators and post‑operative outcomes were compared between the two groups. Statistically significant differences (P<0.05) were noted in the treatment efficacy indices between the two groups. The laparoscopic group exhibited a lower value of β‑human chorionic gonadotropin (β‑HCG) following surgery (P=0.017), a shorter time required for β‑HCG to return to normal levels (P=0.001), a reduced post‑operative thickness of the uterine scar (P<0.001) and a reduced menstruation recovery time (P<0.001). However, no significant differences were noted in blood loss during operation (P>0.05). On the whole, the data indicated that the laparoscopic resection of the scar with gestational tissue and wound repair may be used to preserve the uterus and may thus be an effective method for CSP‑II. The appropriate treatment needs to be selected according to the condition of each patient. Based on the latter and on the available technology, priority may perhaps be given to laparoscopic surgery.

Introduction

Although cesarean scar pregnancy (CSP) is considerably infrequent among patients with ectopic pregnancy, in which the gestational sac (GS) is implanted into the myometrium at the place of a previous cesarean section scar, it is one of the most dangerous long-term complications following cesarean section (1,2). The approximate incidence of CSP ranges from 1/1,800 to 1/2,200 and the percentage of ectopic pregnancies among women with a history of cesarean section accounts to 6.1% and has exhibited an increasing tendency (3,4).

CSP has been classified as two different pathophysiological types by Vial et al (5). The first type (CSP-I) exhibits a certain success rate of viable birth, although the amniotic sac implants into the previous cesarean section. The amniotic sac grows towards the cervico-isthmic space and the uterine cavity with the progression of pregnancy. A high risk of massive bleeding is possible due to the placenta previa and placenta accrete (5,6). The second type of CSP (CSP-II) is associated with a high risk of bleeding and uterine rupture, in which the GS is deeply implanted into the myometrium with the progression of pregnancy (5,6). However, the CSP has been classified into three types according to the association between the GS and uterine incision scar in 2016 in the Expert opinion of Diagnosis and Treatment of Cesarean Scar Pregnancy (7).

At present, to the best of our knowledge, there are no unified standards available for the diagnosis and treatment of CSP. The available treatments mainly include drug therapy, surgery, uterine artery embolization, high-intensity focused ultrasound (HIFU) ablation and combined therapy. At present, the removal of the pregnancy tissue by surgery is the mainstay treatment.

Patients and methods

General patient information

The clinical data of 25 patients receiving timely treatment with laparoscopic surgery at the Department of Gynecology at Zheng Zhou Yi He Hospital (Zhengzhou, China) were collected between January, 2017 and October, 2020. In addition, a total of 23 patients treated with suction curettage in operative hysteroscopy were followed-up for 6 months. The following selection criteria were used: i) A history of cesarean section delivery; ii) early clinical manifestations of pregnancy; iii) a diagnosis of CSP determined by ultrasound or confirmed by magnetic resonance imaging (MRI) according to the recommended diagnostic criteria (8,9); iv) stable vital signs and the desire to retain the uterus; v) a gestational age <70 days. The clinical data of the patients who received laparoscopic surgery are presented in Tables I and II. The patients were 22-40 years of age. A total of 18 patients had one previous cesarean delivery and 7 patients had two previous cesarean deliveries. All these operations were classified as lower uterine segment transverse incisions. The missed menses of all patients ranged from 35 to 70 days. According to the patient's condition, the surgical method was explained to them, followed by a comprehensive discussion between the patient and the surgeon explaining the pros and cons of the surgical strategy. The patients then signed a surgery consent form as routine clinical practice. The research protocol was approved by the Ethics Committee of Zheng Zhou Yi He Hospital. The informed consent to participate was waived off due to the retrospective nature of the study.

Table I

Patient indicators in laparoscopic group.

Table I

Patient indicators in laparoscopic group.

Patient no.Age (years)Time from last menstruation (days)Average diameter of the gestation sac (mm)No. of cesarean sectionsPeriod of bleeding (days)Initial β-HCG levels (IU/l)
12760361251,556.8
22470152301,348.2
33939112715,638.9
42743181338,237.1
530502811984,059.9
626543012324,377.0
72641161101,248.3
8283914195,632.7
931421712433,471.1
103245222116,869.6
11274827184,956.8
1225553312122,613.2
1330472311353,791.4
143251292199,467.9
15275432120892.0
163149301108,653.2
17294623199,201.8
1825523121211,030.0
193648291164,250.4
203056341133,485.2
212443201812,092.3
222850282186,241.0
232755341112,893.3
24294625168,362.4
2533593622022,013.4

[i] β-HCG, β-human chorionic gonadotropin.

Table II

Patient indicators in the laparoscopic group following surgery.

Table II

Patient indicators in the laparoscopic group following surgery.

Patient no.β-HCG levels (IU/l) at 3-4 days after surgeryBlood loss during surgery (ml)Time for β-HCG levels to return to normal (days)Post-operative uterine thickness of scar (mm)Menstruation recovery time (days)
148.41,000152.540
238800153.138
31,583200214.045
4947.750142.835
56674100283.250
6852.5120143.043
74550143.738
8328.6700183.342
9862.3100214.240
10410200142.637
11365.7150143.745
121,123100214.348
132,341.2850283.850
14582.3100143.840
1541.880143.435
16230200143.232
17340150143.038
18998.4300213.540
19186.5100143.436
20121.1120142.939
211,102.8250213.142
22438.3150144.040
23157.2200143.835
24325.8100143.337
25890.3950213.545

[i] β-HCG, β-human chorionic gonadotropin.

The following clinical findings were observed: i) A total of 15 patients had a history of cesarean section and menolipsis; ii) all patients presented with irregular vaginal bleeding ranging from 3 to 30 days; iii) a total of 6 patients (patients 2, 7, 11, 15, 20, and 23) had received prior curettage or medical treatment in local hospitals 2 weeks to 1 month prior. Patient 15 who was diagnosed with CSP in the local hospitals was initially treated with 150 mg mifepristone, which was received orally and with 600 µg misoprostol. After 1 week, the patient received 50 mg methotrexate (MTX) intramuscularly as the first treatment was not effective. Patients 2, 7, 20, and 23 had received prior curettage. The levels of β-human chorionic gonadotropin (β-HCG) were not reduced and the GS was still present as monitored by ultrasonography. Patient 11 developed heavy bleeding due to the blind curettage and was transferred immediately to our hospital. The other 23 patients were diagnosed by ultrasound and received suction curettage under hysteroscopy due to their relatively stable conditions.

The following laboratory findings and specific examinations were performed: i) The levels of β-HCG were assessed prior to surgery, and ranged between 892 and 84059.9 IU/l; ii) the characteristic ultrasound was an empty uterus and empty cervical canal; iii) the MRI data of patients 1, 5, 12 and 14 were all indicative of prompt GS, which was convex to the bladder.

Treatment

A total of 25 patients with CSP-II diagnosed by ultrasound or MRI underwent laparoscopic surgery resection of the scar with gestational tissue and wound repair to preserve the uterus. The blood loss during the surgery was estimated to be 50-1,000 ml. The range of β-HCG concentration from the 3rd to the 4th day following surgery was reduced to 38-6,674 IU/l.

Pathological diagnosis identified as placenta and villus

The surgical procedure was as follows: Laparoscopy was performed under general anesthesia in the supine lithotomy position. Laparoscopy displayed a bulging in the lower uterine segment (Fig. 1). Subsequently, a 12 IU vasopressin solution was injected into the uterus. The bladder peritoneum was incised to expose the pregnancy scar; a bulging was noted comprised of blood vessels and gestational tissues. The gestational tissue was rapidly removed with grasping forceps, scissors and an aspirator (Figs. 2 and 3). This procedure was performed as quickly as possible. The myometrial scar was resected and stanched by bipolar coagulation. Finaly, a continuous suture with an absorbable suture (1-0) was used to close the uterine wound (Fig. 4).

Figure 1

Image illustrating a bulging in the lower uterine segment following laparoscopy and the positioning of the gestational sac convex to the bladder (patient 5).

Figure 2

Opening of the bladder peritoneum and application of the pressure to the bladder (patient 5).

Figure 3

Resection of the scar with gestational tissue (patient 5).

Figure 4

The visual appearance of the uterus following sutures (patient 5).

A total of 23 patients in the hysteroscopy group underwent hysteroscopic removal of the pregnancy tissues and MTX (50 mg/m2) was administered during surgery. A total of 4 of these patients did not agree to laparoscopic surgical treatment. Uterine arterial embolization (UAE) was used as a pre-treatment to reduce the risk of intraoperative bleeding.

Evaluation of therapeutic effects

The clinical effects of the two protocols were determined based on the evaluation of the following indices: Bleeding, recovery with preserve fertility, the absence of repeated surgical intervention or embolization and the lack of any severe complication. Serum β-HCG levels were measured every 3 to 7 days following treatment until complete recovery. A transvaginal ultrasound was performed every 4 weeks to evaluate the condition of residual lesion and the thickness of the uterine scar.

Statistical analysis

The data were analyzed with SPSS 20.0 software (IBM Corp.). The continuous data with a normal distribution are presented as the mean ± standard deviation. Comparisons between the two groups were analyzed using an unpaired t-test for continuous variables. The significant level (a) was set at 0.05 and a P-value <0.05 was considered to indicate a statistically significant difference.

Results

No significant differences were noted between the two groups as regards baseline characteristics, age, time from last menstruation, the average diameter of the gestation sac, the number of cesarean sections, the period of bleeding and initial human chorionic gonadotropin (HCG) concentrations (all P>0.05, Table III).

Table III

Comparison of general data of the patients.

Table III

Comparison of general data of the patients.

ParameterLaparoscopic groupHysteroscopy groupP-value
Number of cases (n)2523 
Age (years)28.800±2.7328.385±2.930.827
Time from last menstruation (days)49.200±1.2748.000±1.310.650
Average diameter of the gestation sac (mm)23.400±7.9025.077±7.330.113
Number of cesarean sections1.267±0.461.308±0.480.312
Period of bleeding (days)15.000±7.4412.308±5.150.125
Initial β-HCG level (IU/l) 20,277.393±23793.17 21,673.569±20,846.360.500

[i] Data are presented as the mean ± SD. β-HCG, β-human chorionic gonadotropin.

All 25 laparoscopy procedures were successful, preserving the uterus without conversion to open laparotomy. The pathological diagnosis was placenta and villus. Following a follow-up period of 6 months, no apparent abnormalities were reported. The time required for the β-HCG levels to reach a normal level ranged from 2 to 4 weeks. The operation time ranged from 60 to 120 min. Intraoperative hemorrhage ranged from 50 to 1,000 ml.

The comparison between the laparoscopy and hysteroscopy groups revealed statistically significant differences (P<0.05, Table IV) as regards the post-operative expression of HCG, the time required for HCG to return to normal levels, the post-operative thickness of the uterine scar and the menstruation recovery time. However, no significant differences were noted in blood loss during the surgery (P>0.05). A total of 4 patients in the hysteroscopy group were treated with UAE to reduce the risk of intraoperative bleeding. The surgery was successfully completed in all patients without any surgical complications, such as hemorrhage. However, 2 patients had residual lesions and 1 patient underwent laparoscopic surgery.

Table IV

Outcomes of the different treatments.

Table IV

Outcomes of the different treatments.

ParameterLaparoscopic groupHysteroscopy groupP-value
After surgery β-HCG level (IU/l; 3-4 days after surgery) 1,082.900±1,675.99 2,675.385±1,605.720.017
Blood loss during operation (ml)306.667±339.13336.154±230.910.79
Time for the β-HCG level to return to normal (days)17.667±5.0427.462±8.790.001
Post-operative thickness of uterine scar (mm)3.413±0.552.154±0.36<0.001
Recovery time of menstruation (days)41.733±4.9951.769±7.18<0.001

[i] Data are presented as the mean ± SD. β-HCG, β-human chorionic gonadotropin.

Discussion

CSP is a relatively infrequent type of ectopic pregnancy. The cesarean section infiltrate grows into the myometrium and even penetrates the uterine wall; therefore, in early pregnancy, it can cause uterine hemorrhage, perforation and even rupture. Due to its anatomy and pathology, it often causes uncontrolled bleeding for the blind curettage and may require hysterectomy, and endanger the lives of the patients. Therefore, early detection and timely treatment are instrumental to preserve fertility and avoid severe disease complications.

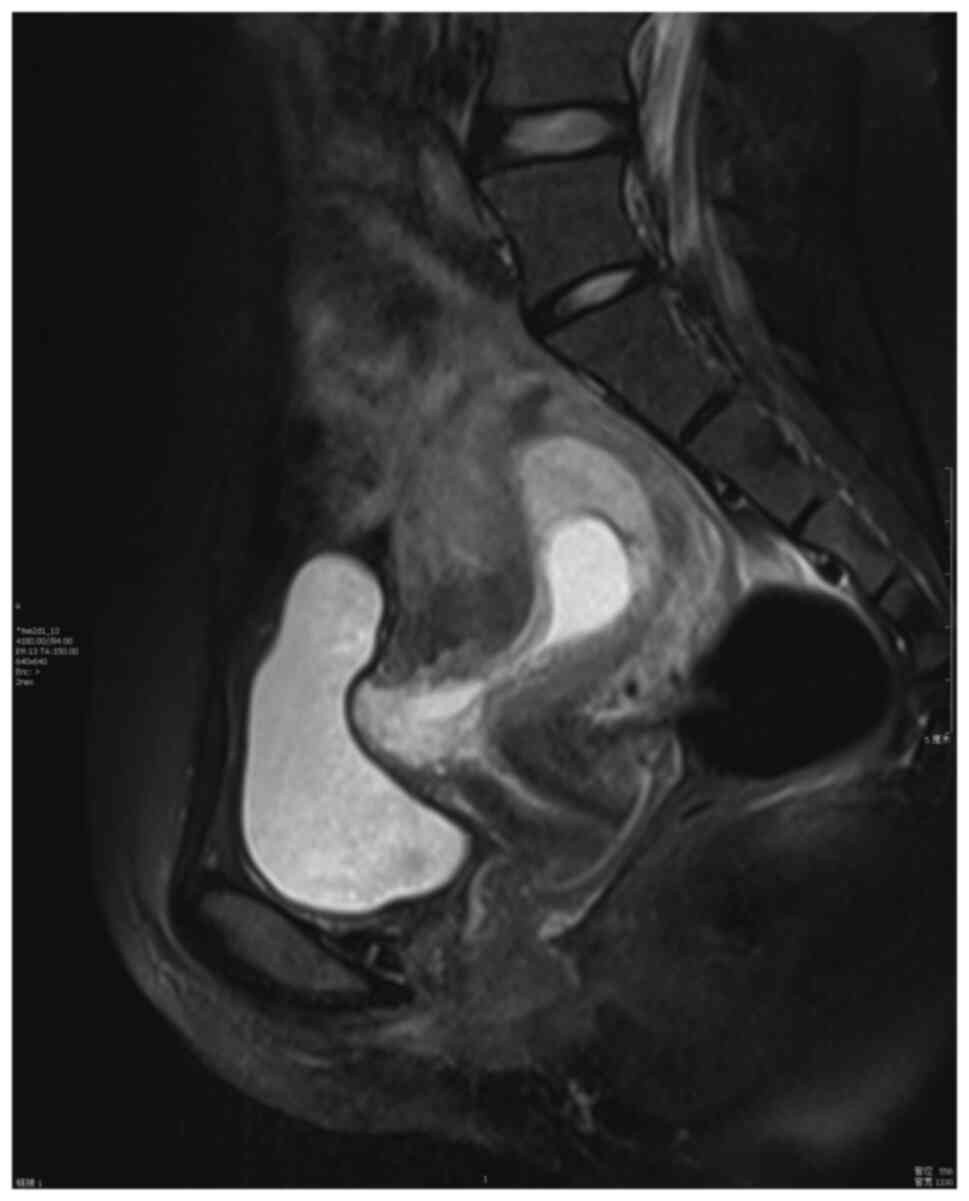
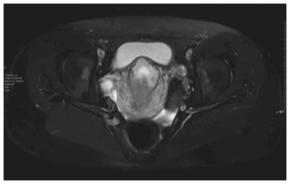
The imaging criteria for diagnosis (Figs. 5 and 6; patient 5) include the following: An empty uterus and cervical canal; the development of the GS toward the anterior wall of the isthmic portion; the loss of myometrial anterior wall continuity on a sagittal plane of the uterus through the GS; the absence of or diminished healthy myometrium between the bladder and the sac; the monitoring of peri-trophoblastic vascular flow with high velocity and low impedance surrounded by the sac using Doppler examination (10,11). The pathological features included trophoblast invasion and destructive growth to the uterine wall. Since the opened blood vessels do not possess systolic function and the scar tissue cannot contract, a potential misdiagnosis leading to an artificial or spontaneous abortion will result in massive hemorrhage (12).

Figure 5

Magnetic resonance imaging of the empty uterus, the empty cervical canal, and the cesarean scar pregnancy (patient 5).

Figure 6

Magnetic resonance imaging of the GS surrounded by the myometrium and absence of the myometrium between the GS and the bladder. GS, gestational sac (patient 5).

The therapeutic strategies for CSP include drug therapy, laparotomy surgery resection of gestational tissue, hysteroscopic treatment, laparoscopic management, uterine artery drug infusion and embolization, the transvaginal resection of gestational nidus and repeated HIFU ablation.

The drugs used include mifepristone, MTX and Radix trichosanthis. These can be used alone or in combination. MTX and mifepristone are the main drugs of conservative treatment for ectopic pregnancy. They are mainly suitable for patients at an early gestational age, with a stable condition, reduced bleeding and small lesions. Furthermore, this type of treatment requires a prolonged follow-up period (the HCG levels require a maximum duration of 4 months to return to normal) (13).

Traditional laparotomy for the resection of the lesion is mainly used in patients with critical condition and severe bleeding. This type of treatment is associated with various advantages, such as the ability to directly investigate straight lesions and remove the nidus thoroughly. Patients with barren requirements can have their scars directly resected with the gestational tissue; however, the extent of trauma is greater. It has been reported that open surgery is the optimal treatment option for CSP, since it may be able to reduce the risk of recurrence of this condition (14).

Hysteroscopic treatment has become the primary means of diagnosis and treatment for CSP since the first report of successful hysteroscopy to treat resection in 2005. Wang et al (12) indicated that hysteroscopy could clearly distinguish the GS and implantation area of the vascular distribution in the embryonic sac and could be used to guide or direct treatment. It may be an effective method for the treatment of CSP. Moreover, it has the advantages of a shorter operation time, reduced bleeding, rapid recovery, a shorter hospitalization time, lower costs and the preservation of the uterus. The typical patient with CSP-II may experience the risk of hemorrhage and consequently the treatment is changed to laparotomy or laparoscopic surgery.

Uterine artery chemoembolization is a hotspot investigated in recent years for the treatment of CSP; its advantages are the following: Firstly, focal perfusion MTX may hinder the growth of trophoblast cells and lead to the inhibition of embryonic growth; the increase in the local drug concentration can terminate the bleeding of the bilateral uterine artery caused by embolization, reduce the risk of peri-operative bleeding due to curettage, allow the absorption of the thrombus following vascular embolization, and post-operatively recover the unobstructed uterine artery. The most important advantage is that the uterine functions are not affected. UAE is often used as a pre-treatment.

Kang et al (15) first reported a case of CSP treated successfully with transvaginal resection of the gestational nidus in 2011. Due to its reduced complications, rapid post-operative recovery and smaller trauma, gradually, it is widely used in clinical practice, although it includes the shortcomings of a small surgical field and difficult exposure.

The resection of the gestational tissue and repair scar by laparoscopic surgery is suitable for the GS deep implantation toward the myometrium and bulging from the uterine serosal surface to abdominal cavity and bladder. Lee et al (3) first reported a case of CSP successfully treated with laparoscopy in 1999. Laparoscopic surgery provides greater security; in the case of intraoperative bleeding, the patient can undergo bilateral uterine artery ligation; however, this requires advanced technology. The significant risks of CSP-II include severe bleeding, perforation and rupture. During the blind curettage used for the misdiagnosis of normal pregnancy, massive hemorrhage and uterine rupture can occur, leading to an emergency hysterectomy, which can endanger the lives of the patients. Therefore, surgery should be the first choice for patients with CSP-II. In the present study, all 25 operations were successfully performed using laparoscopy with the surgical resection of the gestational tissue and wound repair to preserve fertility without conversion to open laparotomy. The key point during the operation is to avoid injury to the bladder and ureter following the separation of the bladder from the lower uterine segment. Furthermore, the GS and uterine scar are completely excised as much as possible (16). In the present study, patients 1, 2, 8, 13 and 25 demonstrated a heavy blood loss of almost 1,000 ml during the resection of the scar with the gestational tissue. This was due to long-term bleeding following the last menstruation (~1 month). A high amount of necrotic tissue and obsolete hematoceles were observed in the GS; therefore, a longer time would be required to resect the GS. Furthermore, the operation included a limited time period to undergo bilateral uterine artery ligation and reduce bleeding. Patients 6, 12, 14 and 23 were administered bilateral uterine artery ligation prior to the resection of the scar, since the gestational mass size was >3 cm. Furthermore, the bleeding time of these 4 patients was >20 days. The blood loss during the surgery of these 4 patients was markedly lower than that noted in patients 1, 2, 8, 13 and 25. Therefore, the therapeutic approach to excise the uterine scar and repair the uterine wound would depend on the size of the gestational mass indicated by the ultrasound or the MRI scan. However, considering the dense pre-operative adhesion formation, the selection of transvaginal resection of the gestational nidus may be optimal. This is due to the difficulty in separating the bladder from the lower uterine segment and the possibility to damage the bladder during laparoscopcy.

In conclusion, to reduce the incidence rate of CSP, particular attention should be paid to examine the indication for cesarean section in primiparae (17). The optimal therapeutic strategy for CSP needs to ensure early detection and early treatment to reduce bleeding and avoid the possibility of hysterectomy. Following the diagnosis of CSP, the appropriate treatment needs to be selected by clinicians according to the different types of patients, which includes drug therapy, interventional therapy, surgical or combined therapy. According to the results of the present study, which included 25 patients, and the results reported by similar research (18), laparoscopy is an effective surgical method with limited associated trauma; it is also a safe procedure devoid of complications and an efficient method with which to completely remove the pregnancy tissue in a hysteroscopic manner combined with laparoscopic surgery and the reversible ligation of the uterine artery (18). The resection of the scar with the gestational tissue and the wound repair caused by laparoscopy is considered an effective method for the treatment of CSP-II. It can remove the nidus directly and perform bilateral uterine artery ligation to reduce bleeding; moreover, it removes the old scar and can also increase the success rate of secondary pregnancy. Currently, to the best of our knowledge, only a limited number of reports have been published on the recurrence of laparoscopic management for CSP-II, which may minimize the recurrent risk of CSP through the resection of the old scar and may facilitate the new wound repair by laparoscopy. However, the long-term complications and safety require additional research studies and follow-up observations.

Acknowledgements

Not applicable.

Funding

Funding: No funding was received.

Availability of data and materials.

The datasets used and/or analyzed during the current study are available from the corresponding author on reasonable request.

Authors' contributions

XML and LY provided the original idea for the study and contributed to the design of the experiments. XML and NNW conducted the experiments and collected the data. XML and XFX analyzed the data and prepared the original draft of the manuscript. LY and XFX confirm the authenticity of all the raw data. All authors contributed to the interpretation and/or discussion of the results, leading to the final version of the manuscript, and all authors have read and approved the final manuscript.

Ethics approval and consent to participate

The research protocol was approved by the Ethics Committee of Zheng Zhou Yi He Hospital. The patients signed a surgery consent form as routine clinical practice. The informed consent to participate was waived off due to the retrospective nature of the study.

Patient consent for publication

The patients provided written informed consent for their data to be published.

Competing interests

The authors declare that they have no competing interests.

References

1 

Herman A, Weinraub Z, Avrech O, Maymon R, Ron-El R and Bukovsky Y: Follow up and outcome of isthmic pregnancy located in a previous caesarean section scar. Br J Obstet Gynaecol. 102:839–841. 1995.PubMed/NCBI View Article : Google Scholar

2 

Seow KM, Hwang JL, Tsai YL, Huang LW, Lin YH and Hsieh BC: Subsequent pregnancy outcome after conservative treatment of a previous cesarean scar pregnancy. Acta Obstet Gynecol Scand. 83:1167–1172. 2004.PubMed/NCBI View Article : Google Scholar

3 

Lee CL, Wang CJ, Chao A, Yen CF and Soong YK: Laparoscopic management of an ectopic pregnancy in a previous caesarean section scar. Hum Reprod. 14:1234–1236. 1999.PubMed/NCBI View Article : Google Scholar

4 

Rotas MA, Haberman S and Levgur M: Cesarean scar ectopic pregnancies: Etiology, diagnosis, and management. Obstet Gynecol. 107:1373–1381. 2006.PubMed/NCBI View Article : Google Scholar

5 

Vial Y, Petignat P and Hohlfeld P: Pregnancy in a cesarean scar. Ultrasound Obstet Gynecol. 16:592–593. 2000.PubMed/NCBI View Article : Google Scholar

6 

Gurol-Urganci I, Bou-Antoun S, Lim CP, Cromwell DA, Mahmood TA, Templeton A and van der Meulen JH: Impact of Caesarean section on subsequent fertility: A systematic review and meta-analysis. Hum Reprod. 28:1943–1952. 2013.PubMed/NCBI View Article : Google Scholar

7 

Family Planning Subgroup, Chinese Society of Obstetrics and Gynocology, Chinese Medical Association. Expert opinion of diagnosis and treatment of cesarean scar pregnancy (2016). Zhonghua Fu Chan Ke Za Zhi. 51:568–572. 2016.PubMed/NCBI View Article : Google Scholar : (In Chinese).

8 

Timor-Tritsch IE, Monteagudo A, Cali G, Vintzileos A, Viscarello R, Al-Khan A, Zamudio S, Mayberry P, Cordoba MM and Dar P: Cesarean scar pregnancy is a precursor of morbidly adherent placenta. Ultrasound Obstet Gynecol. 44:346–353. 2014.PubMed/NCBI View Article : Google Scholar

9 

Timor-Tritsch IE, Monteagudo A, Cali G, El Refaey H, Kaelin Agten A and Arslan AA: Easy sonographic differential diagnosis between intrauterine pregnancy and cesarean delivery scar pregnancy in the early first trimester. Am J Obstet Gynecol. 215:225.e1–7. 2016.PubMed/NCBI View Article : Google Scholar

10 

Fylstra DL: Ectopic pregnancy within a caesarean scar: A review. Obstet Gynecol Surv. 57:537–543. 2002.PubMed/NCBI View Article : Google Scholar

11 

Jurkovic D, Hillaby K, Woelfer B, Lawrence A, Salim R and Elson CJ: First-trimester diagnosis and management of pregnancies implanted into the lower uterine segment Cesarean section scar. Ultrasound Obstet Gynecol. 21:220–227. 2003.PubMed/NCBI View Article : Google Scholar

12 

Wang YL, Su TH and Chen HS: Laparoscopic management of an ectopic pregnancy in a lower segment cesarean section scar: A review and case report. J Minim Invasive Gynecol. 12:73–79. 2005.PubMed/NCBI View Article : Google Scholar

13 

Doubilet PM, Benson CB, Frates MC and Ginsburg E: Sonographically guided minimally invasive treatment of unusual ectopic pregnancies. J Ultrasound Med. 23:359–370. 2004.PubMed/NCBI View Article : Google Scholar

14 

Fylstra DL, Pound-Chang T, Miller MG, Cooper A and Miller KM: Ectopic pregnancy within a cesarean delivery scar: A case report. Am J Obstet Gynecol. 187:302–304. 2002.PubMed/NCBI View Article : Google Scholar

15 

Kang SY, Park BJ, Kim YW and Ro DY: Surgical management of caesarean scar ectopic pregnancy: Hysterectomy by transvaginal approach. Fertil Steril. 96:E25–E28. 2011.PubMed/NCBI View Article : Google Scholar

16 

Wang HY, Zhang J, Li YN, Wei W, Zhang DW, Lu YQ and Zhang HF: Laparoscopic management or laparoscopy combined with transvaginal management of type II cesarean scar pregnancy. JSLS. 17:263–272. 2013.PubMed/NCBI View Article : Google Scholar

17 

Delbaere I, Cammu H, Martens E, Tency I, Martens G and Temmerman M: Limiting the caesarean section rate in low risk pregnancies is key to lowering the trend of increased abdominal deliveries: An observational study. BMC Pregnancy Childbirth. 12(3)2012.PubMed/NCBI View Article : Google Scholar

18 

Huang L, Zhao L and Shi H: Clinical efficacy of combined hysteroscopic and laparoscopic surgery and reversible ligation of the uterine artery for excision and repair of uterine scar in patients with type II and III cesarean scar pregnancy. Med Sci Monit. 26(e924076)2020.PubMed/NCBI View Article : Google Scholar

Related Articles

  • Abstract
  • View
  • Download
Copy and paste a formatted citation
Spandidos Publications style
Li XM, Xu XF, Wang NN and Yao L: Clinical efficacy of laparoscopic surgery used for the excision of villus tissue and the repair of uterine scar in patients with cesarean scar pregnancy‑II. Med Int 2: 23, 2022.
APA
Li, X.M., Xu, X.F., Wang, N.N., & Yao, L. (2022). Clinical efficacy of laparoscopic surgery used for the excision of villus tissue and the repair of uterine scar in patients with cesarean scar pregnancy‑II. Medicine International, 2, 23. https://doi.org/10.3892/mi.2022.48
MLA
Li, X. M., Xu, X. F., Wang, N. N., Yao, L."Clinical efficacy of laparoscopic surgery used for the excision of villus tissue and the repair of uterine scar in patients with cesarean scar pregnancy‑II". Medicine International 2.4 (2022): 23.
Chicago
Li, X. M., Xu, X. F., Wang, N. N., Yao, L."Clinical efficacy of laparoscopic surgery used for the excision of villus tissue and the repair of uterine scar in patients with cesarean scar pregnancy‑II". Medicine International 2, no. 4 (2022): 23. https://doi.org/10.3892/mi.2022.48
Copy and paste a formatted citation
x
Spandidos Publications style
Li XM, Xu XF, Wang NN and Yao L: Clinical efficacy of laparoscopic surgery used for the excision of villus tissue and the repair of uterine scar in patients with cesarean scar pregnancy‑II. Med Int 2: 23, 2022.
APA
Li, X.M., Xu, X.F., Wang, N.N., & Yao, L. (2022). Clinical efficacy of laparoscopic surgery used for the excision of villus tissue and the repair of uterine scar in patients with cesarean scar pregnancy‑II. Medicine International, 2, 23. https://doi.org/10.3892/mi.2022.48
MLA
Li, X. M., Xu, X. F., Wang, N. N., Yao, L."Clinical efficacy of laparoscopic surgery used for the excision of villus tissue and the repair of uterine scar in patients with cesarean scar pregnancy‑II". Medicine International 2.4 (2022): 23.
Chicago
Li, X. M., Xu, X. F., Wang, N. N., Yao, L."Clinical efficacy of laparoscopic surgery used for the excision of villus tissue and the repair of uterine scar in patients with cesarean scar pregnancy‑II". Medicine International 2, no. 4 (2022): 23. https://doi.org/10.3892/mi.2022.48
Follow us
  • Twitter
  • LinkedIn
  • Facebook
About
  • Spandidos Publications
  • Careers
  • Cookie Policy
  • Privacy Policy
How can we help?
  • Help
  • Live Chat
  • Contact
  • Email to our Support Team