Spandidos Publications Logo
  • About
    • About Spandidos
    • Aims and Scopes
    • Abstracting and Indexing
    • Editorial Policies
    • Reprints and Permissions
    • Job Opportunities
    • Terms and Conditions
    • Contact
  • Journals
    • All Journals
    • Oncology Letters
      • Oncology Letters
      • Information for Authors
      • Editorial Policies
      • Editorial Board
      • Aims and Scope
      • Abstracting and Indexing
      • Bibliographic Information
      • Archive
    • International Journal of Oncology
      • International Journal of Oncology
      • Information for Authors
      • Editorial Policies
      • Editorial Board
      • Aims and Scope
      • Abstracting and Indexing
      • Bibliographic Information
      • Archive
    • Molecular and Clinical Oncology
      • Molecular and Clinical Oncology
      • Information for Authors
      • Editorial Policies
      • Editorial Board
      • Aims and Scope
      • Abstracting and Indexing
      • Bibliographic Information
      • Archive
    • Experimental and Therapeutic Medicine
      • Experimental and Therapeutic Medicine
      • Information for Authors
      • Editorial Policies
      • Editorial Board
      • Aims and Scope
      • Abstracting and Indexing
      • Bibliographic Information
      • Archive
    • International Journal of Molecular Medicine
      • International Journal of Molecular Medicine
      • Information for Authors
      • Editorial Policies
      • Editorial Board
      • Aims and Scope
      • Abstracting and Indexing
      • Bibliographic Information
      • Archive
    • Biomedical Reports
      • Biomedical Reports
      • Information for Authors
      • Editorial Policies
      • Editorial Board
      • Aims and Scope
      • Abstracting and Indexing
      • Bibliographic Information
      • Archive
    • Oncology Reports
      • Oncology Reports
      • Information for Authors
      • Editorial Policies
      • Editorial Board
      • Aims and Scope
      • Abstracting and Indexing
      • Bibliographic Information
      • Archive
    • Molecular Medicine Reports
      • Molecular Medicine Reports
      • Information for Authors
      • Editorial Policies
      • Editorial Board
      • Aims and Scope
      • Abstracting and Indexing
      • Bibliographic Information
      • Archive
    • World Academy of Sciences Journal
      • World Academy of Sciences Journal
      • Information for Authors
      • Editorial Policies
      • Editorial Board
      • Aims and Scope
      • Abstracting and Indexing
      • Bibliographic Information
      • Archive
    • International Journal of Functional Nutrition
      • International Journal of Functional Nutrition
      • Information for Authors
      • Editorial Policies
      • Editorial Board
      • Aims and Scope
      • Abstracting and Indexing
      • Bibliographic Information
      • Archive
    • International Journal of Epigenetics
      • International Journal of Epigenetics
      • Information for Authors
      • Editorial Policies
      • Editorial Board
      • Aims and Scope
      • Abstracting and Indexing
      • Bibliographic Information
      • Archive
    • Medicine International
      • Medicine International
      • Information for Authors
      • Editorial Policies
      • Editorial Board
      • Aims and Scope
      • Abstracting and Indexing
      • Bibliographic Information
      • Archive
  • Articles
  • Information
    • Information for Authors
    • Information for Reviewers
    • Information for Librarians
    • Information for Advertisers
    • Conferences
  • Language Editing
Spandidos Publications Logo
  • About
    • About Spandidos
    • Aims and Scopes
    • Abstracting and Indexing
    • Editorial Policies
    • Reprints and Permissions
    • Job Opportunities
    • Terms and Conditions
    • Contact
  • Journals
    • All Journals
    • Biomedical Reports
      • Information for Authors
      • Editorial Policies
      • Editorial Board
      • Aims and Scope
      • Abstracting and Indexing
      • Bibliographic Information
      • Archive
    • Experimental and Therapeutic Medicine
      • Information for Authors
      • Editorial Policies
      • Editorial Board
      • Aims and Scope
      • Abstracting and Indexing
      • Bibliographic Information
      • Archive
    • International Journal of Epigenetics
      • Information for Authors
      • Editorial Policies
      • Editorial Board
      • Aims and Scope
      • Abstracting and Indexing
      • Bibliographic Information
      • Archive
    • International Journal of Functional Nutrition
      • Information for Authors
      • Editorial Policies
      • Editorial Board
      • Aims and Scope
      • Abstracting and Indexing
      • Bibliographic Information
      • Archive
    • International Journal of Molecular Medicine
      • Information for Authors
      • Editorial Policies
      • Editorial Board
      • Aims and Scope
      • Abstracting and Indexing
      • Bibliographic Information
      • Archive
    • International Journal of Oncology
      • Information for Authors
      • Editorial Policies
      • Editorial Board
      • Aims and Scope
      • Abstracting and Indexing
      • Bibliographic Information
      • Archive
    • Medicine International
      • Information for Authors
      • Editorial Policies
      • Editorial Board
      • Aims and Scope
      • Abstracting and Indexing
      • Bibliographic Information
      • Archive
    • Molecular and Clinical Oncology
      • Information for Authors
      • Editorial Policies
      • Editorial Board
      • Aims and Scope
      • Abstracting and Indexing
      • Bibliographic Information
      • Archive
    • Molecular Medicine Reports
      • Information for Authors
      • Editorial Policies
      • Editorial Board
      • Aims and Scope
      • Abstracting and Indexing
      • Bibliographic Information
      • Archive
    • Oncology Letters
      • Information for Authors
      • Editorial Policies
      • Editorial Board
      • Aims and Scope
      • Abstracting and Indexing
      • Bibliographic Information
      • Archive
    • Oncology Reports
      • Information for Authors
      • Editorial Policies
      • Editorial Board
      • Aims and Scope
      • Abstracting and Indexing
      • Bibliographic Information
      • Archive
    • World Academy of Sciences Journal
      • Information for Authors
      • Editorial Policies
      • Editorial Board
      • Aims and Scope
      • Abstracting and Indexing
      • Bibliographic Information
      • Archive
  • Articles
  • Information
    • For Authors
    • For Reviewers
    • For Librarians
    • For Advertisers
    • Conferences
  • Language Editing
Login Register Submit
  • This site uses cookies
  • You can change your cookie settings at any time by following the instructions in our Cookie Policy. To find out more, you may read our Privacy Policy.

    I agree
Search articles by DOI, keyword, author or affiliation
Search
Advanced Search
presentation
Medicine International
Join Editorial Board Propose a Special Issue
Print ISSN: 2754-3242 Online ISSN: 2754-1304
Journal Cover
September-October 2022 Volume 2 Issue 5

Full Size Image

Sign up for eToc alerts
Recommend to Library

Journals

International Journal of Molecular Medicine

International Journal of Molecular Medicine

International Journal of Molecular Medicine is an international journal devoted to molecular mechanisms of human disease.

International Journal of Oncology

International Journal of Oncology

International Journal of Oncology is an international journal devoted to oncology research and cancer treatment.

Molecular Medicine Reports

Molecular Medicine Reports

Covers molecular medicine topics such as pharmacology, pathology, genetics, neuroscience, infectious diseases, molecular cardiology, and molecular surgery.

Oncology Reports

Oncology Reports

Oncology Reports is an international journal devoted to fundamental and applied research in Oncology.

Experimental and Therapeutic Medicine

Experimental and Therapeutic Medicine

Experimental and Therapeutic Medicine is an international journal devoted to laboratory and clinical medicine.

Oncology Letters

Oncology Letters

Oncology Letters is an international journal devoted to Experimental and Clinical Oncology.

Biomedical Reports

Biomedical Reports

Explores a wide range of biological and medical fields, including pharmacology, genetics, microbiology, neuroscience, and molecular cardiology.

Molecular and Clinical Oncology

Molecular and Clinical Oncology

International journal addressing all aspects of oncology research, from tumorigenesis and oncogenes to chemotherapy and metastasis.

World Academy of Sciences Journal

World Academy of Sciences Journal

Multidisciplinary open-access journal spanning biochemistry, genetics, neuroscience, environmental health, and synthetic biology.

International Journal of Functional Nutrition

International Journal of Functional Nutrition

Open-access journal combining biochemistry, pharmacology, immunology, and genetics to advance health through functional nutrition.

International Journal of Epigenetics

International Journal of Epigenetics

Publishes open-access research on using epigenetics to advance understanding and treatment of human disease.

Medicine International

Medicine International

An International Open Access Journal Devoted to General Medicine.

Journal Cover
September-October 2022 Volume 2 Issue 5

Full Size Image

Sign up for eToc alerts
Recommend to Library

  • Article
  • Citations
    • Cite This Article
    • Download Citation
    • Create Citation Alert
    • Remove Citation Alert
    • Cited By
  • Similar Articles
    • Related Articles (in Spandidos Publications)
    • Similar Articles (Google Scholar)
    • Similar Articles (PubMed)
  • Download PDF
  • Download XML
  • View XML
Case Report Open Access

COVID-19-associated pneumonia in Swyer-James-MacLeod syndrome: A case report

  • Authors:
    • Aikaterini Bitsani
    • Anna Garmpi
    • Pantelis Avramopoulos
    • Demetrios A. Spandidos
    • George Fotakopoulos
    • Petros Papalexis
    • Kyriakos Tarantinos
    • Serafeim Chlapoutakis
    • Pagona Sklapani
    • Nikolaos Trakas
    • Vasiliki Epameinondas Georgakopoulou
  • View Affiliations / Copyright

    Affiliations: First Department of Propedeutic Internal Medicine, Laiko General Hospital, Medical School, National and Kapodistrian University of Athens, Athens 11527, Greece, First Department of Internal Medicine, Laiko General Hospital, Medical School, National and Kapodistrian University of Athens, Athens 11527, Greece, Laboratory of Clinical Virology, School of Medicine, University of Crete, 71003 Heraklion, Greece, Department of Neurosurgery, General University Hospital of Larissa, 41221 Larissa, Greece, Unit of Endocrinology, First Department of Internal Medicine, Laiko General Hospital, National and Kapodistrian University of Athens, 11527 Athens, Greece, First Department of Pulmonology, Sismanogleio Hospital, 15126 Athens, Greece, Department of Thoracic Surgery, Agios Savvas Hospital, 11522 Athens, Greece, Department of Cytology, Mitera Hospital, 15123 Athens, Greece, Department of Biochemistry, Sismanogleio Hospital, 15126 Athens, Greece, Department of Infectious Diseases and COVID-19 Unit, Laiko General Hospital, Medical School, National and Kapodistrian University of Athens, 11527 Athens, Greece
    Copyright: © Bitsani et al. This is an open access article distributed under the terms of Creative Commons Attribution License.
  • Article Number: 28
    |
    Published online on: September 6, 2022
       https://doi.org/10.3892/mi.2022.53
  • Expand metrics +
Metrics: Total Views: 0 (Spandidos Publications: | PMC Statistics: )
Metrics: Total PDF Downloads: 0 (Spandidos Publications: | PMC Statistics: )
Cited By (CrossRef): 0 citations Loading Articles...

This article is mentioned in:



Abstract

Coronavirus disease 2019 (COVID-19) exerts differential effects on various individuals. The majority of infected individuals experience mild-to-moderate disease and usually recover, without requiring hospitalization. It has been reported that those who have underlying chronic diseases are more susceptible to infection and may thus develop significantly more serious illness. As a result, COVID-19 may aggravate pre-existing respiratory illnesses, such as interstitial lung disease, chronic obstructive pulmonary disease and asthma. Swyer-James-MacLeod syndrome is an uncommon clinical condition marked by post-infectious infantile bronchiolitis obliterans. Traditionally, the diagnosis is made in infancy following an investigation for reoccurring respiratory infections, although in rare cases, the diagnosis is made in adulthood. The present study describes the case of a 45-year-old patient with Swyer-James-MacLeod syndrome hospitalized due to COVID-19, which is the first one to be reported. To the best of our knowledge, there are currently no data available on the effects of COVID-19 in these individuals, stheir optimal therapy, or the impact of COVID-19 vaccination on their clinical course. Thus, it is hoped that the present study sheds some light into this condition.

Introduction

On March 11, 2020, coronavirus disease 2019 (COVID-19) was recognized as a pandemic by the World Health Organization (WHO) (1). It has thus far affected >600 million individuals worldwide, with a total of 6.47 million related deaths (https://www.worldometers.info/coronavirus/). It has been highlighted that 75% of patients hospitalized for COVID-19 have at least one COVID-19-associated comorbidity. It has been reported that those with underlying chronic diseases are more prone to infection and to becoming seriously ill (2,3). Patients with COVID-19 who have a history of cardiovascular disease, malignancy, obesity, chronic respiratory disease, diabetes mellitus, or neurological disorders have the worst outcomes and are more susceptible to developing pneumonia or acute respiratory distress syndrome (2,3).

COVID-19 can affect the respiratory tract via a number of mechanisms and at varying degrees of severity, depending on the individual's immune system, age and comorbidities. Symptoms can vary from minor to severe, including cough, dyspnea and fever, as well as respiratory failure, shock and multi-organ system failure. As a result, prior respiratory disorders, such as interstitial lung disease, asthma and chronic obstructive pulmonary disease (COPD) may be exacerbated by COVID-19(4).

Swyer-James-MacLeod syndrome is an uncommon clinical entity associated with post-infectious infantile bronchiolitis obliterans. It is characterized by pulmonary arterial hypoplasia and/or agenesis, resulting in the hypoperfusion of the lung parenchyma. Traditionally, the diagnosis is confirmed in infancy following an inquiry for recurring respiratory infections; however, in certain cases, patients with minimal or no bronchiectasis have few or no symptoms, and the syndrome may thus remain undetected until adulthood (5). Other symptoms include wheezing, breathlessness on exertion, decreased exercise tolerance and cough, which may be accompanied by hemoptysis and chest pain (6).

The most common finding associated with this condition on pulmonary function tests is airflow obstruction (7), while the presence of pulmonary hyperlucency on chest imaging is a hallmark of the syndrome (8). Swyer-James-MacLeod syndrome complications include recurrent infections, particularly in patients with bronchiectasis, lung abscess and pneumothorax (9,10). The cornerstone of treatment is conservative management. Surgery is only used in certain situations, such as when a patient has recurrent lung infections, does not respond to treatment, or has symptoms that are insufficiently handled by the most appropriate medical care. Pneumonectomy and lung volume reduction procedures, such as lobectomy and segmentectomy are surgical treatment options (6).

The present study describes the case of a 45-year-old patient with Swyer-James-MacLeod syndrome hospitalized due to COVID-19, which is the first one to be reported to date, at least to the best of our knowledge.

Case report

A 45-year-old male patient (non-smoker) presented to the department of Infectious Diseases-COVID-19 unit of Laiko General Hospital with complaints of fever, post-nasal drip, dry cough and dyspnea at rest over the past 12 days. He had a medical history of Swyer-James-MacLeod syndrome and gastroesophageal reflux. His medications included omeprazole and a combination of inhaled indacaterol/glycopyrronium bromide.

A clinical examination of this respiratory system revealed crackles on auscultation in all lung fields of the right lung and diminished lung sounds in all lung fields of the left lung. The evaluation of the other bodily systems did not reveal any abnormalities. His blood pressure was 135/80 mmHg, his heart rate was 120 beats per minute, his oxygen saturation in room air was 89%, and his body temperature was 38.5˚C. An electrocardiography revealed sinus tachycardia.

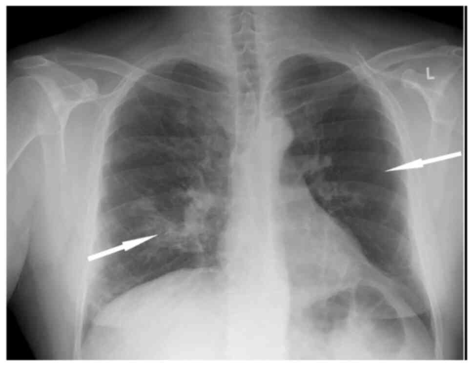
Arterial blood gas analysis revealed a partial pressure of oxygen (pO2) of 56 mmHg, a partial pressure of carbon dioxide (pCO2) of 28 mmHg, pH 7.51 and bicarbonate (HCO3-) levels of 22.3 mmol/l in room air. A chest X-ray revealed patchy infiltrates in the right lung lower lobe and a hyperlucent left lung (Fig. 1).

Figure 1

Chest X-ray illustrating patchy infiltrates in the right lung lower lobe (arrow) and a hyperlucent left lung (arrow).

The laboratory analyses included a complete blood cell count, serum biochemistry and coagulation tests. Notable laboratory findings included C-reactive protein levels of 133.17 mg/l (normal, <6 mg/l), ferritin levels of 710 ng/ml (normal range, 150-400 ng/ml) and d-dimer levels of 0.65 µg/ml (normal, <0.5 µg/ml). The procalcitonin test was negative (0.03 ng/ml; normal, <0.1 ng/ml).

The patient had a positive detection of severe acute respiratory syndrome 2 (SARS-CoV-2) nucleic acid in the examined nasopharyngeal sample using reverse transcription-polymerase chain reaction (RT-PCR). The patient was unvaccinated against SARS-CoV-2. He was hospitalized in the COVID-19 unit and was administered oxygen therapy with a Venturi mask supplying 35% oxygen, along with prophylactic subcutaneous enoxaparin at a daily dose of 40 mg, and intravenous dexamethasone at a daily dose of 6 mg, as well as remdesivir (200 mg on the first day, followed by a daily dose of 100 mg for the following 4 days) (11). The duration of therapy was 5 days for all agents.

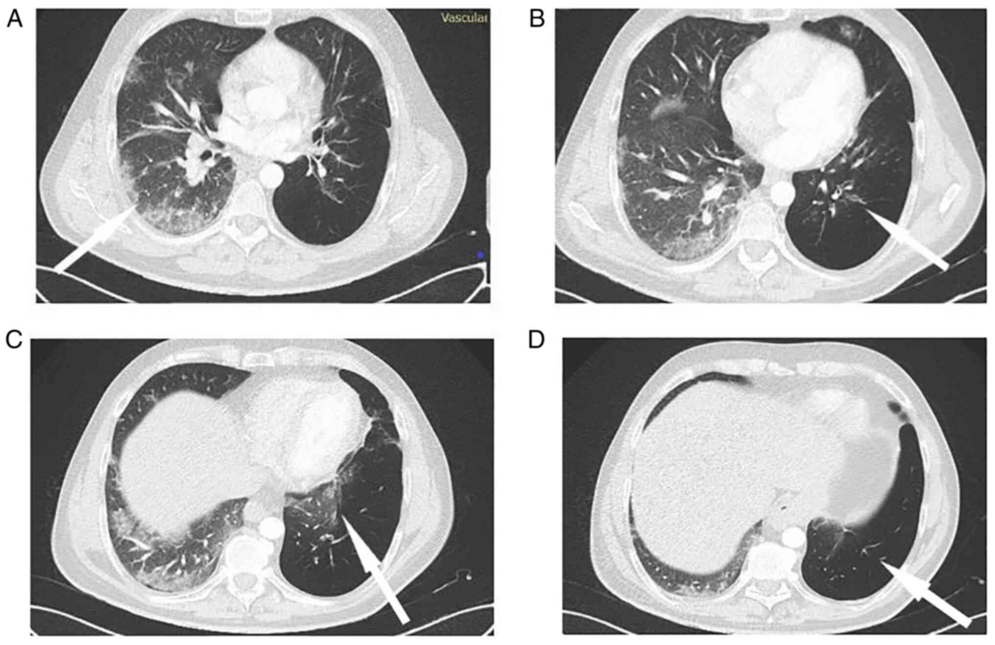
The patient was also advised to continue receiving the combination of inhaled bronchodilators during his hospitalization. He underwent a computed tomography pulmonary angiogram, which revealed no pulmonary embolism, and a high-resolution computed tomography scan of the chest, which revealed lung infiltrates in all lung fields of the right lung, as well as a hyperlucent left lung with bronchiectasis and much fewer lung infiltrates (Fig. 2). Furthermore, a sputum culture was performed that did not reveal any microorganisms, and therefore the patient did not receive any antibiotics.

Figure 2

Chest computed tomography scan. (A) Arrow indicates infiltrates in the right lung. (B) Arrow indicates bronchiectasis in the left lung. (C) Arrow indicates infiltrates in the left lung. (D) Arrow indicates hypelucency of the left lung.

Following 3 days in the hospital, his fever had subsided and his oxygen levels had improved. He exhibited a gradual recovery and was discharged on the 6th day of hospitalization without the need for supplemental oxygen; a new arterial blood gas analysis revealed a pO2 of 86 mmHg, a pCO2 of 34 mmHg, pH 7.44 and HCO3- levels of 23.7 mmol/l in room air.

Discussion

To the best of our knowledge, this is the first reported case of COVID-19-associated pneumonia in a patient with Swyer-James-MacLeod syndrome. Since the first cases of COVID-19 were reported, COPD has been linked to a greater likelihood of a poor prognosis, as measured by the number of hospitalizations and mortality (12-14). Chronic inflammation (usually T2) and bronchial remodeling, both of which are common hallmarks of asthma, may enhance sensitivity to COVID-19. It has been debated whether asthma increases the chance of infection; however, new research suggests that the risk is limited to severe types of the disease (15). A recent study found that individuals with asthma had a higher risk of hospitalization due to COVID-19 than those without asthma, and that those who had two or more oral corticosteroid bursts in the preceding 2 years had a higher chance of ICU admission or mortality, even accounting for vaccination status (16). However, there are currently no data available indicating the effects of COVID-19 in patients with Swyer-James-MacLeod syndrome, at least to the best of our knowledge.

As regards bronchiectasis, although the findings of studies on COVID-19 and bronchiectasis are conflicting (17-20), it should be noted that when making comparisons in patients with COVID-19 with or without bronchiectasis, the former are more likely to experience the severe manifestations of the infection, may require oxygen therapy or hospitalization and may even be more likely to require admission to an intensive care unit or to succumb to the disease (17-21). In the present study, the patient suffered from a syndrome characterized by an obstructive lung pattern and bronchiectasis, and required hospitalization and oxygen therapy; fortunately, he had a favorable outcome.

To the best of our knowledge, there are currently no data available on the use of bronchodilators in patients with Swyer-James-MacLeod syndrome and COVID-19-associated pneumonia. Patients with few or no bronchiectasis have minor symptoms or are asymptomatic and may remain undiagnosed until adulthood. Adult patients with this syndrome are frequently diagnosed following a chest X-ray for other reasons (6). Furthermore, there is currently no evidence that agents used for the treatment of COPD or its comorbidities adversely affect the prognosis of patients with COVID-19. Patients with COPD are strongly advised to continue their usual treatments, avoiding the use of nebulizers, particularly if they are not accompanied by a filter in the expiratory branch (5). Based on this fact, the patient described herein continued to receive his usual medication for this obstructive syndrome during his hospital stay.

Another interesting point is that the patient had a favorable outcome despite the fact that he was unvaccinated against COVID-19. It is well established that this is an additional risk factor for hospitalization and poor outcomes (22). Although there are no data suggesting that the efficacy of the vaccine in patients with chronic lung diseases, including Swyer-James-MacLeod syndrome, differs from that of the general population (5), it has been reported that airway immune responses to COVID-19 vaccination are the same in patients with COPD and healthy subjects (23).

In conclusion, the present study describes an interesting case of COVID-19-associated pneumonia in a patient with Swyer-James-MacLeod syndrome. Patients with this syndrome are vulnerable to COVID-19 as are patients with other chronic lung diseases, requiring oxygen therapy and hospitalization. However, to the best of our knowledge, there are currently no data available on the effects of COVID-19 in these patients, their optimal management, or the role of COVID-19 vaccine in their clinical course.

Acknowledgements

Not applicable.

Funding

Funding: No funding was received.

Availability of data and materials

The datasets used and/or analyzed during the current study are available from the corresponding author on reasonable request.

Authors' contributions

AB and VEG conceptualized the study. AB, VEG, PA, AG, PP and KT advised on patient care and medical treatment, and wrote and prepared the draft of the manuscript. PS, NT, GF, SC and DAS analyzed the data and provided critical revisions. AB and VEG confirm the authenticity of all the data. All authors contributed to manuscript revision and have read and approved the final version of the manuscript.

Ethics approval and consent to participate

Written informed was obtained from the patient described herein. A copy of the written consent is available for review by the editorial office of this journal on request.

Patient consent for publication

Written informed was obtained from the patient for publication of his data. A copy of the written consent is available for review by the editorial office of this journal on request.

Competing interests

The authors declare that they have no competing interests.

References

1 

Cucinotta D and Vanelli M: WHO declares COVID-19 a pandemic. Acta Biomed. 91:157–160. 2020.PubMed/NCBI View Article : Google Scholar

2 

Guan WJ, Ni ZY, Hu Y, Liang WH, Ou CQ, He JX, Liu L, Shan H, Lei CL, Hui DSC, et al: China medical treatment expert group for Covid-19. Clinical characteristics of coronavirus disease 2019 in China. N Engl J Med. 382:1708–1720. 2020.PubMed/NCBI View Article : Google Scholar

3 

Muñoz-Rodríguez JR, Gómez-Romero FJ, Pérez-Ortiz JM, López-Juárez P, Santiago JL, Serrano-Oviedo L and Redondo-Calvo FJ: COVID-19 SESCAM Network. Characteristics and risk factors associated with mortality in a multicenter spanish cohort of patients with COVID-19 pneumonia. Arch Bronconeumol. 57:34–41. 2021.PubMed/NCBI View Article : Google Scholar

4 

Chiner-Vives E, Cordovilla-Pérez R, de la Rosa-Carrillo D, García-Clemente M, Izquierdo-Alonso JL, Otero-Candelera R, Pérez-de Llano L, Sellares-Torres J and de Granda-Orive JI: Short and long-term impact of COVID-19 infection on previous respiratory diseases. Arch Bronconeumol. 58 (Suppl 1):S39–S50. 2022.PubMed/NCBI View Article : Google Scholar : (In English, Spanish).

5 

Chlapoutakis S, Garmpi A, Trakas N, Damaskos C and Georgakopoulou VE: Recurrent exacerbations of chronic obstructive pulmonary disease reveal Swyer-James-Macleod syndrome in a 63-year-old patient. Cureus. 13(e12601)2021.PubMed/NCBI View Article : Google Scholar

6 

Behrendt A and Lee Y: Swyer-james-macleod syndrome. In: StatPearls [Internet]. StatPearls Publishing, Treasure Island, FL, 2022.

7 

Chang AB, Masel JP and Masters B: Post-infectious bronchiolitis obliterans: Clinical, radiological and pulmonary function sequelae. Pediatr Radiol. 28:23–29. 1998.PubMed/NCBI View Article : Google Scholar

8 

Tortajada M, Gracia M, García E and Hernández R: Diagnostic considerations in unilateral hyperlucency of the lung (Swyer-James-MacLeod Syndrome). Allergol Immunopathol (Madr). 32:265–270. 2004.PubMed/NCBI View Article : Google Scholar : (In Spanish).

9 

Wang JY, Chen KY, Chang YC, Chang YL and Lee LN: Swyer-James syndrome complicated by lung abscess. J Formos Med Assoc. 99:252–256. 2000.PubMed/NCBI

10 

Soni R and Barnes D: Macleod's syndrome presenting with spontaneous pneumothorax. Respirology. 4:275–277. 1999.PubMed/NCBI View Article : Google Scholar

11 

National Institutes of Health: COVID-19 Treatment Guidelines. Therapeutic Management of Hospitalized Adults With COVID-19. https://www.covid19treatmentguidelines.nih.gov/tables/therapeutic-management-of-hospitalized-adults/. Accessed July 19, 2022.

12 

Graziani D, Soriano JB, Rio-Bermudez CD, Morena D, Díaz T, Castillo M, Alonso M, Ancochea J, Lumbreras S and Izquierdo JL: Characteristics and prognosis of COVID-19 in patients with COPD. J Clin Med. 9(3259)2020.PubMed/NCBI View Article : Google Scholar

13 

Lippi G and Henry BM: Chronic obstructive pulmonary disease is associated with severe coronavirus disease 2019 (COVID-19). Respir Med. 167(105941)2020.PubMed/NCBI View Article : Google Scholar

14 

Quaranta VN, Kyriakopoulos C, Liontos A, Barkas F, Chronis C, Biros D, Athanasiou L, Milionis O, Tsourlos S, Veliani C, et al: Baseline characteristics and outcome predictors in patients hospitalized with COVID-19 in the university general hospital of Ioannina, Greece. Pneumon. 35(9)2022.

15 

Liu S, Cao Y, Du T and Zhi Y: Prevalence of comorbid asthma and related outcomes in COVID-19: A systematic review and meta-analysis. J Allergy Clin Immunol Pract. 9:693–701. 2021.PubMed/NCBI View Article : Google Scholar

16 

Shi T, Pan J, Vasileiou E, Robertson C and Sheikh A: Public Health Scotland and the EAVE II Collaborators. Risk of serious COVID-19 outcomes among adults with asthma in Scotland: A national incident cohort study. Lancet Respir Med. 10:347–354. 2022.PubMed/NCBI View Article : Google Scholar

17 

Georgakopoulou VE, Avramopoulos P, Papalexis P, Bitsani A, Damaskos C, Garmpi A, Gkoufa A, Garmpis N, Mantzouranis K, Chlapoutakis S, et al: Exacerbation of bronchiectasis by Pseudomonas putida complicating COVID-19 disease: A case report. Exp Ther Med. 22(1452)2021.PubMed/NCBI View Article : Google Scholar

18 

Choi H, Lee H, Lee SK, Yang B, Chung SJ, Yeo Y, Park TS, Park DW, Moon JY, Kim TH, et al: Impact of bronchiectasis on susceptibility to and severity of COVID-19: A nationwide cohort study. Ther Adv Respir Dis. 15(1753466621995043)2021.PubMed/NCBI View Article : Google Scholar

19 

Guan WJ, Liang WH, Shi Y, Gan LX, Wang HB, He JX and Zhong NS: Chronic respiratory diseases and the outcomes of COVID-19: A nationwide retrospective cohort study of 39,420 cases. J Allergy Clin Immunol Pract. 9:2645–2655. 2021.PubMed/NCBI View Article : Google Scholar

20 

Aveyard P, Gao M, Lindson N, Hartmann-Boyce J, Watkinson P, Young D, Coupland CAC, Tan PS, Clift AK, Harrison D, et al: Association between pre-existing respiratory disease and its treatment, and severe COVID-19: A population cohort study. Lancet Respir Med. 9:909–923. 2021.PubMed/NCBI View Article : Google Scholar

21 

Crichton ML, Shoemark A and Chalmers JD: The impact of the COVID-19 pandemic on exacerbations and symptoms in bronchiectasis: A prospective study. Am J Respir Crit Care Med. 204:857–859. 2021.PubMed/NCBI View Article : Google Scholar

22 

Griffin JB, Haddix M, Danza P, Fisher R, Koo TH, Traub E, Gounder P, Jarashow C and Balter S: SARS-CoV-2 infections and hospitalizations among persons aged ≥16 years, by vaccination status-Los Angeles County, California, May 1-July 25, 2021. MMWR Morb Mortal Wkly Rep. 70:1170–1176. 2021.PubMed/NCBI View Article : Google Scholar

23 

Southworth T, Jackson N and Singh D: Airway immune responses to COVID-19 vaccination in COPD patients and healthy subjects. Eur Respir J. 60(2200497)2022.PubMed/NCBI View Article : Google Scholar

Related Articles

  • Abstract
  • View
  • Download
Copy and paste a formatted citation
Spandidos Publications style
Bitsani A, Garmpi A, Avramopoulos P, Spandidos DA, Fotakopoulos G, Papalexis P, Tarantinos K, Chlapoutakis S, Sklapani P, Trakas N, Trakas N, et al: COVID-19-associated pneumonia in Swyer-James-MacLeod syndrome: A case report. Med Int 2: 28, 2022.
APA
Bitsani, A., Garmpi, A., Avramopoulos, P., Spandidos, D.A., Fotakopoulos, G., Papalexis, P. ... Georgakopoulou, V.E. (2022). COVID-19-associated pneumonia in Swyer-James-MacLeod syndrome: A case report. Medicine International, 2, 28. https://doi.org/10.3892/mi.2022.53
MLA
Bitsani, A., Garmpi, A., Avramopoulos, P., Spandidos, D. A., Fotakopoulos, G., Papalexis, P., Tarantinos, K., Chlapoutakis, S., Sklapani, P., Trakas, N., Georgakopoulou, V. E."COVID-19-associated pneumonia in Swyer-James-MacLeod syndrome: A case report". Medicine International 2.5 (2022): 28.
Chicago
Bitsani, A., Garmpi, A., Avramopoulos, P., Spandidos, D. A., Fotakopoulos, G., Papalexis, P., Tarantinos, K., Chlapoutakis, S., Sklapani, P., Trakas, N., Georgakopoulou, V. E."COVID-19-associated pneumonia in Swyer-James-MacLeod syndrome: A case report". Medicine International 2, no. 5 (2022): 28. https://doi.org/10.3892/mi.2022.53
Copy and paste a formatted citation
x
Spandidos Publications style
Bitsani A, Garmpi A, Avramopoulos P, Spandidos DA, Fotakopoulos G, Papalexis P, Tarantinos K, Chlapoutakis S, Sklapani P, Trakas N, Trakas N, et al: COVID-19-associated pneumonia in Swyer-James-MacLeod syndrome: A case report. Med Int 2: 28, 2022.
APA
Bitsani, A., Garmpi, A., Avramopoulos, P., Spandidos, D.A., Fotakopoulos, G., Papalexis, P. ... Georgakopoulou, V.E. (2022). COVID-19-associated pneumonia in Swyer-James-MacLeod syndrome: A case report. Medicine International, 2, 28. https://doi.org/10.3892/mi.2022.53
MLA
Bitsani, A., Garmpi, A., Avramopoulos, P., Spandidos, D. A., Fotakopoulos, G., Papalexis, P., Tarantinos, K., Chlapoutakis, S., Sklapani, P., Trakas, N., Georgakopoulou, V. E."COVID-19-associated pneumonia in Swyer-James-MacLeod syndrome: A case report". Medicine International 2.5 (2022): 28.
Chicago
Bitsani, A., Garmpi, A., Avramopoulos, P., Spandidos, D. A., Fotakopoulos, G., Papalexis, P., Tarantinos, K., Chlapoutakis, S., Sklapani, P., Trakas, N., Georgakopoulou, V. E."COVID-19-associated pneumonia in Swyer-James-MacLeod syndrome: A case report". Medicine International 2, no. 5 (2022): 28. https://doi.org/10.3892/mi.2022.53
Follow us
  • Twitter
  • LinkedIn
  • Facebook
About
  • Spandidos Publications
  • Careers
  • Cookie Policy
  • Privacy Policy
How can we help?
  • Help
  • Live Chat
  • Contact
  • Email to our Support Team